Submitted:
27 April 2024
Posted:
14 May 2024
You are already at the latest version
Abstract
Keywords:
1. Introduction
2. Materials and Methods
2.1. Animals
2.2. Metallic Implants
2.3. Evaluation of Acute Toxicity of Aqueous Extracts TNT and BT-6
2.4. Assessment of the Irritanting Effects of TNT and BT-6 Water Extracts:
2.5. Assesment of the Biocompatibility and Osteoinduction of TNT and BT-6 Metal Alloy:
2.6. Histological Analysis
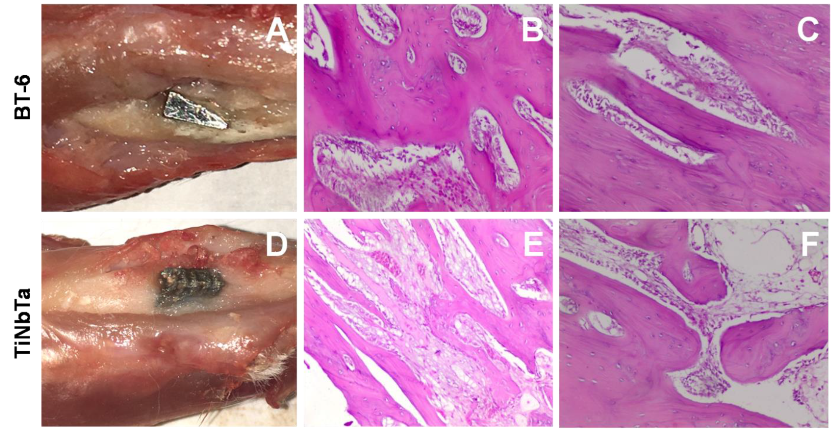
3. Results
3.1. Results of the Acute Toxicity Test
3.2. Conjunctival Test
3.3. Skin Application Test
3.4. Biocompatibility and Osteoinduction Study
4. Discussion
Acute Toxicity Study
Study of Irritating Properties
Biocompatibility Study
5. Conclusion
Author Contributions
Funding
Conflicts of Interest
References
- Holzapfel BM, Reichert JC, Schantz JT, Gbureck U, Rackwitz L, Nöth U, Jakob F, Rudert M, Groll J, Hutmacher DW. How smart do biomaterials need to be? A translational science and clinical point of view. Adv Drug Deliv Rev. 2013;65(4):581-603. [CrossRef] [PubMed]
- Lazarev AF, Solod EI, Ahtjamov IF. Racional'nyj osteosintez (Rational osteosynthesis). [in Russian]. Kazan': Izd-vo «Skripta».2011:287. Available from URL: https://www.alib.ru/5_lazarev_a_solod_q_ahtyamov_racionalnmnnyj_osteosintez_w1t11251ee286d04b4a126c277014626d860d9e.html.
- Rai M, Deshmukh SD, Ingle AP, Gupta IR, Galdiero M, Galdiero S. Metal nanoparticles: The protective nanoshield against virus infection. Crit Rev Microbiol. 2016;42(1):46-56. Epub 2014 Apr 22. [CrossRef] [PubMed]
- Pelgrift RY, Friedman AJ. Nanotechnology as a therapeutic tool to combat microbial resistance. Adv Drug Deliv Rev. 2013 Nov;65(13-14):1803-15. [CrossRef] [PubMed]
- Awasthi R, Roseblade A, Hansbro PM, Rathbone MJ, Dua K, Bebawy M. Nanoparticles in Cancer Treatment: Opportunities and Obstacles. Curr Drug Targets. 2018;19(14):1696-1709. [CrossRef] [PubMed]
- Rafique R., Kailasa SK., Park TJ. Recent advances of upconversion nanoparticles in theranostics and bioimaging applications. TrAC Trends Anal. Chem. 2019;120:115646. [CrossRef]
- Li Y, Yang C, Zhao H, Qu S, Li X, Li Y. New Developments of Ti-Based Alloys for Biomedical Applications. Materials (Basel). 2014 Mar 4;7(3):1709-1800. [CrossRef] [PubMed] [PubMed Central]
- Geetha M, Singh AK, Asokamani R, Gogia, AK. Ti based biomaterials, the ultimate choice for orthopaedic implants—A review. Prog. Mater. Sci. 2009;54:397–425. [CrossRef]
- Zhang LC, Chen LY. A Review on Biomedical Titanium Alloys: Recent Progress and Prospect. Adv. Eng. Mater. 2019;21:1801215. [CrossRef]
- Kourtis S, Damanaki M, Kaitatzidou S, Kaitatzidou A, Roussou V. Loosening of the fixing screw in single implant crowns: predisposing factors, prevention and treatment options. J Esthet Restor Dent. 2017 Jul 8;29(4):233-246. Epub 2017 May 27. [CrossRef] [PubMed]
- Thyssen JP, Menné T. Metal allergy--a review on exposures, penetration, genetics, prevalence, and clinical implications. Chem Res Toxicol. 2010 Feb 15;23(2):309-18. [CrossRef] [PubMed]
- Thomas P, Summer B, Krenn V, Thomsen M. Allergiediagnostik bei Verdacht auf Metallimplantatunverträglichkeit [Allergy diagnostics in suspected metal implant intolerance]. Orthopade. 2013 Aug;42(8):602-6. German. [CrossRef] [PubMed]
- Niinomi M, Nakai M, Hieda J. Development of new metallic alloys for biomedical applications. Acta Biomater. 2012 Nov;8(11):3888-903. [CrossRef] [PubMed]
- Yang Y-L, Song Z-Q, Xu J. Corrosion fatigue behavior of MRI-compatible Nb-60Ta-2Zr alloy in exposure to simulated physiological solution. International Journal of Fatigue. 2022;Vol155:106583.ISSN0142-1123. [CrossRef]
- Rubitschek F, Niendorf T, Karaman I, Maier HJ. Corrosion fatigue behavior of a biocompatible ultrafine-grained niobium alloy in simulated body fluid. J Mech Behav Biomed Mater. 2012 Jan;5(1):181-92. Epub 2011 Sep 8. [CrossRef] [PubMed]
- Mohsan AUH, Wei D. Advancements in Additive Manufacturing of Tantalum via the Laser Powder Bed Fusion (PBF-LB/M): A Comprehensive Review. Materials (Basel). 2023;16(19):6419. Published 2023 Sep 27. [CrossRef]
- Yang F, Wu M, Chen H, et al. Combination therapy with BMSCs-exosomes and porous tantalum for the repair of femur supracondylar defects. Mol Med Rep. 2023;28(1):130. [CrossRef]
- Wang X, Xu S, Zhou S, Xu W, Leary M, Choong P, Qian M, Brandt M, Xie YM. Topological design and additive manufacturing of porous metals for bone scaffolds and orthopaedic implants: A review. Biomaterials. 2016Mar;83:127-41. [CrossRef] [PubMed]
- Zhou L, Yuan T, Tang J, He J, Li R. Mechanical and corrosion behavior of titanium alloys additively manufactured by selective laser melting—A comparison between nearly β titanium, α titanium and α + β titanium. Opt. Laser Technol. 2019;119:105625. [CrossRef]
- Chen L-Y, Cui Y-W, Zhang L-C. Recent Development in Beta Titanium Alloys for Biomedical Applications. Metals. 2020;10(9):1139. [CrossRef]
- Rukovodstvo po provedeniju doklinicheskih issledovanij lekarstvennyh sredstv. Nauchnyj centr jekspertizy sredstv medicinskogo primenenija Minzdravsocrazvitija Rossii (Guidelines for conducting preclinical studies of medicinal products. Scientific Center for Expertise of Medical Products of the Ministry of Health and Social Development of Russia) [in Russian]. Moscow, Grif and K, 2012; 1:944. ISBN 978-5-8125-1466-3. – EDN SDEWMP. Available from URL: https://rsmu.ru/fileadmin/templates/DOC/Zakon_RF/Mironov_Rukovodstvo_po_provedeniju_doklinicheskikh_issledovanii_lekarstvennykh_sredstv.pdf.
- World Medical Association Declaration of Helsinki. JAMA, 2013; 310(20): 2191. [CrossRef]
- Decree of the Minister of Health of the Republic of Kazakhstan dated December 21, 2020, No. QR DSM-310/2020. Registered with the Ministry of Justice of the Republic of Kazakhstan on December 22, 2020, No. 21851. On the approval of the rules for conducting biomedical research and requirements for research centers.
- Liu J, Lin Y, Bian D, Wang M, Lin Z, Chu X, Li W, Liu Y, Shen Z, Liu Y, Tong Y, Xu Z, Zhang Y, Zheng Y. In vitro and in vivo studies of Mg-30Sc alloys with different phase structure for potential usage within bone. Acta Biomater. 2019 Oct 15;98:50-66. [CrossRef] [PubMed]
- Xiong L, Huang J, Wu C, et al. Yttrium chloride induces ferroptosis in cardiomyocytes via iron accumulation and triggers cardiac lipid peroxidation and inflammation that cause heart adverse events in mice. Ecotoxicol Environ Saf. 2023;263:115279. [CrossRef]
- Myrissa A, Braeuer S, Martinelli E, Willumeit-Römer R, Goessler W, Weinberg AM. Gadolinium accumulation in organs of Sprague-Dawley® rats after implantation of a biodegradable magnesium-gadolinium alloy. Acta Biomater. 2017;48:521-529. [CrossRef]
- Hosoki M, Bando E, Asaoka K, Takeuchi H, Nishigawa K. Assessment of allergic hypersensitivity to dental materials. Biomed Mater Eng. 2009;19(1):53-61. [CrossRef]
- Stejskal V, Ockert K, Bjørklund G. Metal-induced inflammation triggers fibromyalgia in metal-allergic patients. Neuro Endocrinol Lett. 2013;34(6):559-565. [PubMed]
- Wang H, Zhao B, Liu C, Wang C, Tan X, Hu M. A Comparison of Biocompatibility of a Titanium Alloy Fabricated by Electron Beam Melting and Selective Laser Melting. PLoS One. 2016;11(7):e0158513. Published 2016 Jul 8. [CrossRef]
- Katunar MR, Gomez Sanchez A, Santos Coquillat A, et al. In vitro and in vivo characterization of anodised zirconium as a potential material for biomedical applications. Mater Sci Eng C Mater Biol Appl. 2017;75:957-968. [CrossRef]
- Chan YH, Lew WZ, Lu E, et al. An evaluation of the biocompatibility and osseointegration of novel glass fiber reinforced composite implants: In vitro and in vivo studies. Dent Mater. 2018;34(3):470-485. [CrossRef]





| Study group | Initial body weight of mice, g | Body weight of mice 1 week after drug administration, g | Body weight of mice 2 weeks after drug administration, g |
| 1 group, «TNT», ♂, n=6 | 27,7±0,5 | 29,8±0,6 | 32,2±0,8 |
| 2 group, «ВТ-6», ♂, n=6 | 26,9±0,6 | 28,8±1,2 | 29,9±1,1 |
| 3 group, control, ♂, n=6 | 26,7±0,5 | 28,4±0,6 | 29,5±1,0 |
| 4 group, «TNT», ♀, n=6 | 24,9±0,7 | 25,6±0,5 | 25,6±0,7 |
| 5 group, «ВТ-6», ♀, n=6 | 25,6±0,9 | 27,5±0,9 | 28,0±1,1 |
| 6 group, control, ♀, n=6 | 23,3±0,8 | 25,0±1,0 | 25,8±1,2 |
| р=0,161 | р=0,236 | р=0,281 |
| Parameter under study | Group of animals, n=6 | |||||
|---|---|---|---|---|---|---|
| 1 group, «TNT», ♂ | 2 group, «ВТ-6», ♂ | 3 group, control, ♂ | 4 group, «TNT», ♀ | 5 group, «ВТ-6», ♀ | 6 group, control, ♀ | |
| Intensity and nature of physical activity | Mice are active. Coordination of movements is not impaired. | |||||
| Presence and nature of seizures | None | |||||
| Condition of hair and skin | No changes were detected (the coat is white, clean, smooth) | |||||
| Condition and color of mucous membranes | No changes detected | |||||
| Reaction to sound and pain stimuli | React | |||||
| Animal death | 0 | |||||
| Urination (color of urine) | No changes detected | |||||
| Defecation (consistency, color) | No changes detected | |||||
| Study group | Weight of internal organs, g | ||||||
|---|---|---|---|---|---|---|---|
| Brain | Heart | Lungs | Liver | Spleen | Kidneys | Gonads/ovaries | |
| 1 group, «TNT», ♂, n=6 | 0,425±0,024 | 0,190±0,015 | 0,259±0,022 | 1,673±0,152 | 0,118±0,012 | 0,249±0,009 | 0,105±0,004 |
| 2 group, «ВТ-6», ♂, n=6 (control) | 0,415±0,028 | 0,181±0,014 | 0,260±0,020 | 1,644±0,146 | 0,160±0,018 | 0,242±0,009 | 0,103±0,005 |
| 3 group, false control, ♂, n=6 | 0,394±0,017 | 0,163±0,010 | 0,225±0,016 | 1,434±0,077 | 0,131±0,008 | 0,230±0,014 | 0,096±0,005 |
| 4 group, «TNT», ♀, n=6 | 0,431±0,012 | 0,176±0,009 | 0,265±0,012 | 1,832±0,096 | 0,140±0,013 | 0,207±0,007 | 0,027±0,002 |
| 5 group, «ВТ-6», ♀, n=6 (control) | 0,434±0,014 | 0,174±0,010 | 0,274±0,014 | 1,746±0,125 | 0,154±0,013 | 0,213±0,016 | 0,026±0,002 |
| 6 group, false control, ♀, n=6 | 0,401±0,022 | 0,158±0,012 | 0,256±0,022 | 1,595±0,118 | 0,164±0,010 | 0,192±0,007 | 0,024±0,002 |
| р=0,122 | р=0,115 | р=0,426 | р=0,096 | р=0,135 | р=0,152 | ♂р=0,243;♀р=0,296 | |
| Study group | Parameters studied | ||||||||||
|---|---|---|---|---|---|---|---|---|---|---|---|
| Leukocytes, units/μl | Red blood cells, units/μl | Ketones, mmol/l | Protein, g/l | Nitrites (negative/positive) | Bilirubin, µmol/l | Urobilinogen, µmol/l | Glucose, mmol/l | pH | Specific gravity | Ascorbic acid, mg/dl | |
| 1 group, «TNT»,♂, n=6 | 6/6 – neg. | 6/6 – neg. | 6/6 – neg. | 6/6 – 0,3 g/l | 6/6 – neg. | 6/6 – neg. | 6/6 – 3,5 µmol/l | 6/6 – neg. |
6,0±0,0 (6/6–6,0) |
1,030 ± 0,000 |
2/6 – 0 mg/dl 2/6 – 10 mg/dl 2/6 – 20 mg/dl |
| 2 group, «ВТ-6»,♂, n=6 (control) | 6/6 – neg. | 6/6 – neg. | 6/6 – neg. |
1/6 – 0,1 g/l 5/6 – 0,3 g/l |
6/6 – neg. | 6/6 – neg. | 6/6 – 3,5 µmol/l | 6/6 – neg. |
6,0±0,0 (6/6–6,0) |
1,030 ± 0,000 |
3/6 – 0 mg/dl 1/6 – 10 mg/dl 2/6 – 20 mg/dl |
| 3 group, false control,♂, n=6 | 6/6 – neg. | 6/6 – neg. | 6/6 – neg. |
1/6 – 0,1 g/l 5/6 – 0,3 g/l |
6/6 – neg. | 6/6 – neg. | 6/6 – 3,5 µmol/l | 6/6 – neg. |
6,0±0,0 (6/6–6,0) |
1,029 ± 0,001 |
2/6 – 0 mg/dl 2/6 – 10 mg/dl 2/6 – 20 mg/dl |
| 4 group, «TNT», ♀, n=6 | 6/6 – neg. | 6/6 – neg. | 6/6 – neg. |
1/6 – 0,1 g/l 5/6 – 0,3 g/l |
6/6 – neg. | 6/6 – neg. | 6/6 – 3,5 µmol/l | 6/6 – neg. |
6,0±0,0 (6/6–6,0) |
1,027 ± 0,002 |
3/6 – 0 mg/dl 2/6 – 10 mg/dl 1/6 – 20 mg/dl |
| 5 group, «ВТ-6», ♀, n=6 (control) | 6/6 – neg. | 6/6 – neg. | 6/6 – neg. | 6/6 – 0,3 g/l | 6/6 – neg. | 6/6 – neg. | 6/6 – 3,5 µmol/l | 6/6 – neg. |
6,0±0,0 (6/6–6,0) |
1,030 ± 0,000 |
4/6 – 0 mg/dl 2/6 – 10 mg/dl |
| 6 group, false control, ♀, n=6 | 6/6 – neg. | 6/6 – neg. | 6/6 – neg. | 6/6 – 0,3 g/l | 6/6 – neg. | 6/6 – neg. | 6/6 – 3,5 µmol/l | 6/6 – neg. |
6,0±0,0 (6/6–6,0) |
1,027 ± 0,002 |
4/6 – 0 mg/dl 2/6 – 10 mg/dl |
| Groups | Number of animals with a positive reaction in the conjunctival test | ||
|---|---|---|---|
| After 15 minutes | In 24 hours | In 48 hours | |
| 1 group, «TNT», ♂ , n=5 | 0 | 0 | 0 |
| 1 group, «Control 1», ♂ , n=5 | 0 | 0 | 0 |
| 1 group, «ВТ-6», ♂ , n=5 | 0 | 0 | 0 |
| 1 group, «Control 2», ♂ , n=5 | 0 | 0 | 0 |
| Groups | Number of applications | Number of animals with a positive reaction (presence of erythema/edema) |
|---|---|---|
| 1 group, «TNT», ♂ , n=5 | 10 | 0/0 |
| 1 group, «Control 1», ♂ , n=5 | 10 | 0/0 |
| 1 group, «ВТ-6», ♂ , n=5 | 10 | 0/0 |
| 1 group, «Control 2», ♂ , n=5 | 10 | 0/0 |
| Indicators | Control group ВТ-6 (n=10) | Experienced group TNT (n=10) | р |
|---|---|---|---|
| Body weight, g | 2780±47 | 2850±58 | р=0,356 |
| Kidneys, g | 4,8±0,62 | 5,1±0,53 | р=0,169 |
| Liver, g | 98±3,51 | 102±3,42 | р=0,295 |
| Spleen, g | 1,36±0,09 | 1,38±0,11 | р=0,128 |
Disclaimer/Publisher’s Note: The statements, opinions and data contained in all publications are solely those of the individual author(s) and contributor(s) and not of MDPI and/or the editor(s). MDPI and/or the editor(s) disclaim responsibility for any injury to people or property resulting from any ideas, methods, instructions or products referred to in the content. |
© 2024 by the authors. Licensee MDPI, Basel, Switzerland. This article is an open access article distributed under the terms and conditions of the Creative Commons Attribution (CC BY) license (http://creativecommons.org/licenses/by/4.0/).
