Submitted:
28 April 2024
Posted:
13 May 2024
You are already at the latest version
Abstract
Keywords:
Introduction
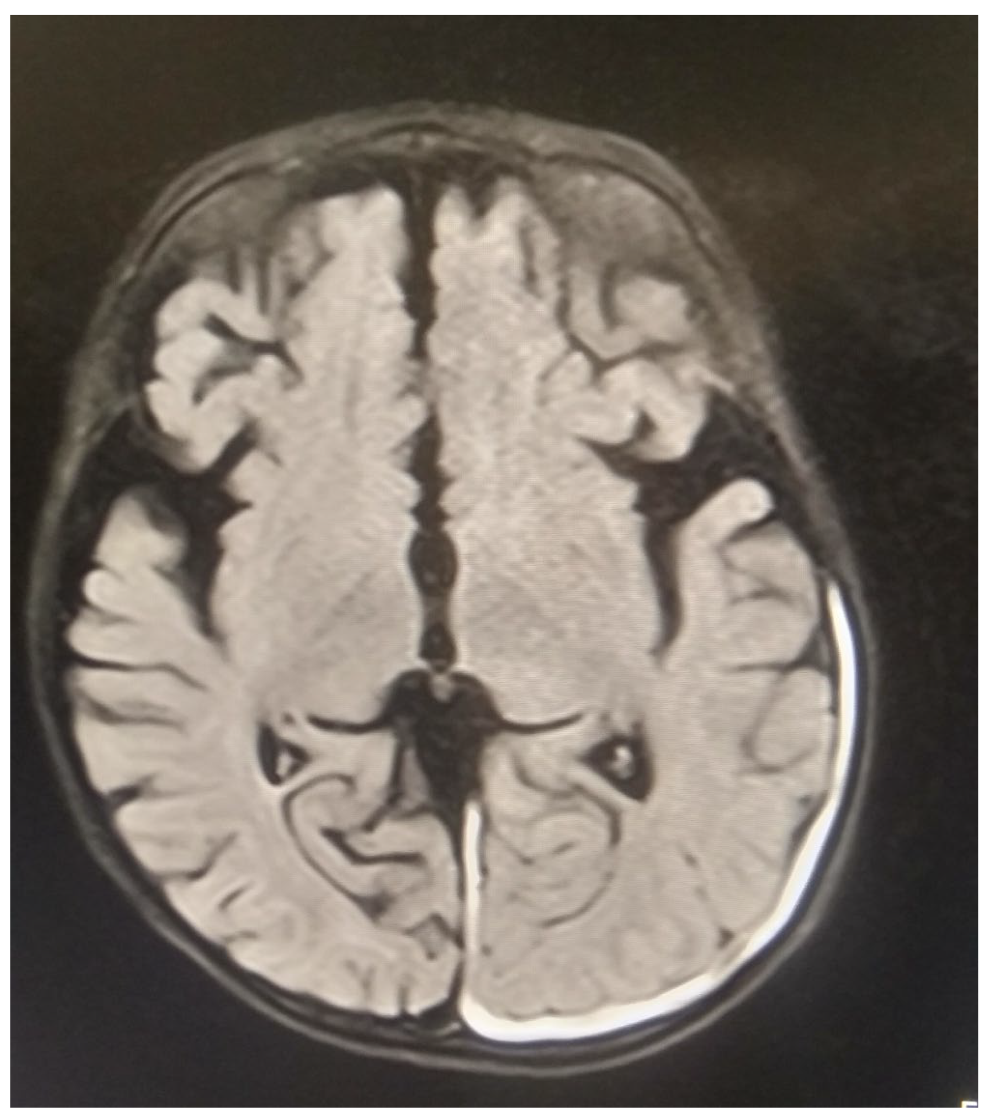
Case Report
Conclusions
References
- Ferry PC. Neurologic sequelae of open heart surgery in children. Am J Dis Child 1990; 144: 369-73. [CrossRef]
- Shen Y, Drum M, Roth S. The prevalence of perioperative visual loss in the United States: A 10-year study from 1996 to 2005 of spinal, orthopedic, cardiac, and general surgery. Anesth Analg. 2009; 109(5) : 1534 -45. [CrossRef]
- Bharati S, Sharma MK, Chattopadhay A, Das D. Transient cortical blindness following intracardiac repair of congenital heart disease in an 11-year-old boy. Ann Card Anaesth 2017;20:256-8. [CrossRef]
- Tchantchaleishvili V, Dibardino DJ, Bolman RM 3rd. Transient bilateral blindness in a patient after cardiac surgery. Heart Surg Forum 2011;14:E198-9.
- Shin YD, Lim SW, Bae JH, Lee DH, Baek DH, Hong JS. Transient cortical blindness after heart surgery in a child patient – A case report. Korean J Anesthesiol 2010;59:61-4. [CrossRef]
- Scarpino, Maenia et al. Cortical Blindness After Cardiac Surgery: Just an Ischemic Mechanism? Journal of Cardiothoracic and Vascular Anesthesia, Volume 30, Issue 4, 1053 - 1056.
- Faried; et al. Cortical visual impairment as an initial clinical manifestation of post-traumatic brain injury: A case report and review of literature.Interdisciplinary Neurosurgery 18 (2019) 1004852. [CrossRef]
- Virginia C.N. Wong, Cortical blindness in children: A study of etiology and prognosis, Pediatric Neurology, Volume 7, Issue 3,1991,Pages 178-185,. [CrossRef]



Disclaimer/Publisher’s Note: The statements, opinions and data contained in all publications are solely those of the individual author(s) and contributor(s) and not of MDPI and/or the editor(s). MDPI and/or the editor(s) disclaim responsibility for any injury to people or property resulting from any ideas, methods, instructions or products referred to in the content. |
© 2024 by the authors. Licensee MDPI, Basel, Switzerland. This article is an open access article distributed under the terms and conditions of the Creative Commons Attribution (CC BY) license (http://creativecommons.org/licenses/by/4.0/).