Submitted:
04 May 2024
Posted:
06 May 2024
You are already at the latest version
Abstract
Keywords:
1. Introduction
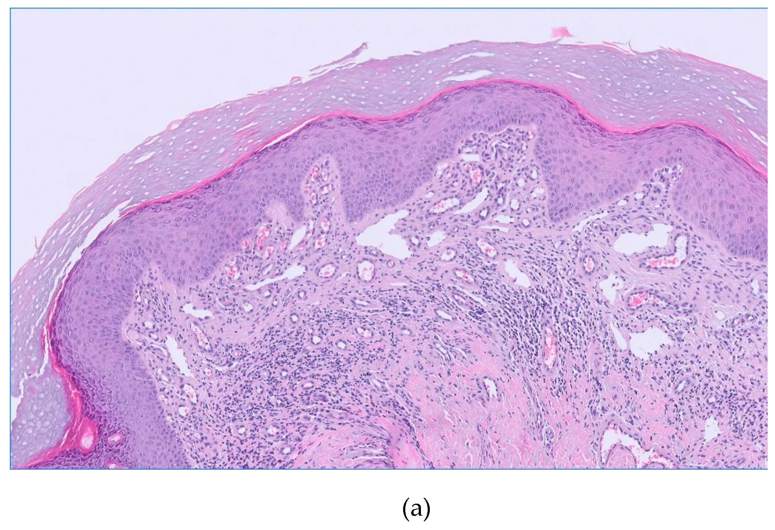
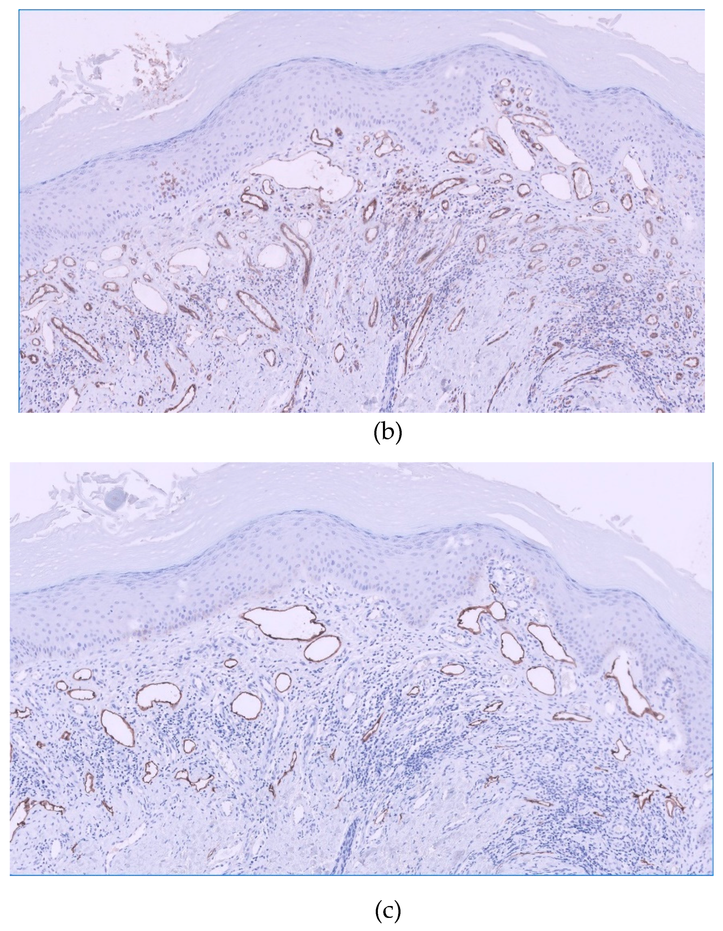
2. Case Report
3. Discussion
4. Conclusions
Author Contributions
Funding
Institutional Review Board Statement
Informed Consent Statement
Data Availability Statement
Conflicts of Interest
References
- Semkova, K.; Carr, R.; Grainger, M.; Green, R.; Hafejee, A.; Makrygeorgou, A.; Melly, L.; Motta, L.; Newsham, J.; Owen, C.; Sillars, J.; Taibjee, S.; Calonje, E. Poikilodermatous plaque-like hemangioma: Case series of a newly defined entity. J Am Acad Dermatol. 2019, 81, 1257–1270. [Google Scholar] [CrossRef]
- Sullivan, M. , Hartman, R., Mahalingam, M. Poikilodermatous plaque-like hemangioma: A benign vasoformative entity with reproducible histopathologic and clinical features. J Cutan Pathol. [CrossRef]
- Salgüero Fernández, I. , Hospital Gil, M., Nájera Botello, L., Roustan Gullón, G. Not All Is Infantile Hemangioma: An Erythematous Plaque in an Adult. Actas Dermosifiliogr. [CrossRef]
- Que, S.K.T. , Zwald, F.O., Schmults, C.D. Cutaneous squamous cell carcinoma: Incidence, risk factors, diagnosis, and staging. J Am Acad Dermatol. [CrossRef]
- Williams, M.J. , Hunter, G.R., Kekes-Szabo, T., Snyder, S., Treuth, M.S. Regional fat distribution in women and risk of cardiovascular disease. Am J Clin Nutr. 1997, 65, 855–60. [Google Scholar] [CrossRef] [PubMed]
- Hahnel, E. , Blume-Peytavi, U., Trojahn, C., Kottner, J. Associations between skin barrier characteristics, skin conditions and health of aged nursing home residents: a multi-center prevalence and correlational study. BMC Geriatr. [CrossRef]
- Hahnel, E. , Lichterfeld, A., Blume-Peytavi, U., Kottner, J. The epidemiology of skin conditions in the aged: A systematic review. J Tissue Viability. [CrossRef]



Disclaimer/Publisher’s Note: The statements, opinions and data contained in all publications are solely those of the individual author(s) and contributor(s) and not of MDPI and/or the editor(s). MDPI and/or the editor(s) disclaim responsibility for any injury to people or property resulting from any ideas, methods, instructions or products referred to in the content. |
© 2024 by the authors. Licensee MDPI, Basel, Switzerland. This article is an open access article distributed under the terms and conditions of the Creative Commons Attribution (CC BY) license (http://creativecommons.org/licenses/by/4.0/).