Submitted:
19 March 2024
Posted:
20 March 2024
You are already at the latest version
Abstract
Keywords:
1. Introduction
2. Materials and Methods
3.2. Classic Echocardiographic Parameters: Diagnosis
3.1. Studies Comparing Echocardiography with Right Heart Catheterization (RHC)
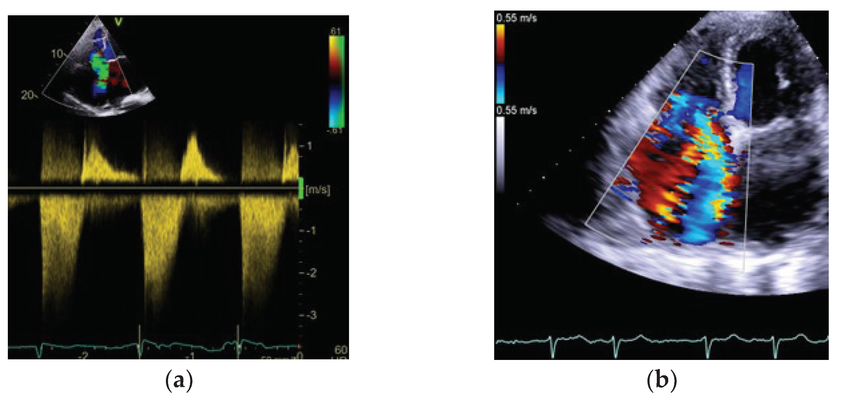
3.2. Tricuspid Regurgitation Velocity Peak (TRVpeak) and PASP Calculation
3.3. Right Ventricular Outflow Track Acceleration Time (RVOT-AT)
3.4. Pulmonary Regurgitation
4. Classic Echocardiographic Parameters: Prognosis
4.1. Tricuspid Annular Plane Systolic Excursion (TAPSE)
4.2. Right Ventricular Size
4.3. Right Ventricular Function
4.4. Right Atrium Size and Function
4.5. Pericardial Effusion
4.6. Right Ventricular Systolic Pressure (RVSP)
4.7. Other Echocardiographic Parameters

5. Novel Echocardiographic Techniques for Diagnosis and Prognosis
5.1. RV Function Assessment with 3D Echocardiography
5.2. Right Ventricle Speckle Tracking
5.3. Right Atrium Volume and Strain
6. Conclusions
Author Contributions
Funding
Data Availability Statement
Conflicts of Interest
References
- Poch, D.; Mandel, J. Pulmonary Hypertension. Ann. Intern. Med. 2021, 174, ITC49–ITC64. [Google Scholar] [CrossRef]
- Kadoglou, N. P. E.; Papadopoulos, C. H.; Krommydas, A. The prognostic value of exercise-induced pulmonary hypertension in asymptomatic patients with primary mitral regurgitation. J. Cardiol. 2022, 79, 306–310. [Google Scholar] [CrossRef] [PubMed]
- Humbert, M.; Kovacs, G.; Hoeper, M. M.; Badagliacca, R.; Berger, R. M. F.; Brida, M.; Carlsen, J.; Coats, A. J. S.; Escribano-Subias, P.; Ferrari, P.; Ferreira, D. S.; Ghofrani, H. A.; Giannakoulas, G.; Kiely, D. G.; Mayer, E.; Meszaros, G.; Nagavci, B.; Olsson, K. M.; Pepke-Zaba, J.; Quint, J. K.; Rådegran, G.; Simonneau, G.; Sitbon, O.; Tonia, T.; Toshner, M.; Vachiery, J. L.; Vonk Noordegraaf, A.; Delcroix, M.; Rosenkranz, S. ESC/ERS Scientific Document Group. 2022 ESC/ERS Guidelines for the diagnosis and treatment of pulmonary hypertension. Eur. Respir. J. 2023, 61, 2200879. [Google Scholar] [CrossRef]
- Velidakis, N.; Khattab, E.; Gkougkoudi, E.; Kadoglou, N. P. E. Pulmonary Hypertension in Left Ventricular Valvular Diseases: A Comprehensive Review on Pathophysiology and Prognostic Value. Life (Basel). 2023, 13(9), 1793. [Google Scholar] [CrossRef]
- Parperis, K.; Velidakis, N.; Khattab, E.; Gkougkoudi, E.; Kadoglou, N. P. E. Systemic Lupus Erythematosus and Pulmonary Hypertension. Int. J. Mol. Sci. 2023, 24(6), 5085. [Google Scholar] [CrossRef]
- Ullah, W.; Minalyan, A.; Saleem, S.; Nadeem, N.; Abdullah, H. M.; Abdalla, A.; Chan, V.; Saeed, R.; Khan, M.; Collins, S.; Mukhtar, M.; Grover, H.; Sattar, Y.; Panchal, A.; Narayana Gowda, S.; Khwaja, U.; Lashari, B.; Fischman, D. L. Comparative accuracy of non-invasive imaging versus right heart catheterization for the diagnosis of pulmonary hypertension: A systematic review and meta-analysis. Int. J. Cardiol. Heart Vasc. 2020, 29, 100568. [Google Scholar] [CrossRef] [PubMed]
- Tsujimoto, Y.; Kumasawa, J.; Shimizu, S.; Nakano, Y.; Kataoka, Y.; Tsujimoto, H.; Kono, M.; Okabayashi, S.; Imura, H.; Mizuta, T. Doppler trans-thoracic echocardiography for detection of pulmonary hypertension in adults. Cochrane Database Syst. Rev. 2022, 5(5), CD012809. [Google Scholar]
- Yock, P. G.; Popp, R. L. Noninvasive estimation of right ventricular systolic pressure by Doppler ultrasound in patients with tricuspid regurgitation. Circulation 1984, 70, 657–662. [Google Scholar] [CrossRef] [PubMed]
- Berger, M.; Haimowitz, A.; Van Tosh, A.; Berdoff, R. L.; Goldberg, E. Quantitative assessment of pulmonary hypertension in patients with tricuspid regurgitation using continuous wave Doppler ultrasound. J. Am. Coll. Cardiol. 1985, 6, 359–365. [Google Scholar] [CrossRef]
- Currie, P. J.; Seward, J. B.; Chan, K. L.; Fyfe, D. A.; Hagler, D. J.; Mair, D. D.; Reeder, G. S.; Nishimura, R. A.; Tajik, A. J. Continuous wave Doppler determination of right ventricular pressure: a simultaneous Doppler-catheterization study in 127 patients. J. Am. Coll. Cardiol. 1985, 6, 750–756. [Google Scholar] [CrossRef]
- Vazquez de Prada, J. A.; Ruano, J.; Martin-Duran, R.; Larman, M.; Zueco, J.; Ortiz de Murua, J. A.; Torres, A.; Figueroa, A. Noninvasive determination of pulmonary arterial systolic pressure by continuous wave Doppler. Int. J. Cardiol. 1987, 16, 177–184. [Google Scholar] [CrossRef] [PubMed]
- Shapiro, S. M.; Oudiz, R. J.; Cao, T.; Romano, M. A.; Beckmann, X. J.; Georgiou, D.; Mandayam, S.; Ginzton, L. E.; Brundage, B. H. Primary Pulmonary Hypertension: Improved Long-Term Effects and Survival with Continuous Intravenous Epoprostenol Infusion. J. Am. Coll. Cardiol. 1997, 30, 343–349. [Google Scholar] [CrossRef] [PubMed]
- Haddad, F.; Zamanian, R.; Beraud, A.-S.; Schnittger, I.; Feinstein, J.; Peterson, T.; Yang, P.; Doyle, R.; Rosenthal, D. A Novel Non-Invasive Method of Estimating Pulmonary Vascular Resistance in Patients with Pulmonary Arterial Hypertension. J. Am. Soc. Echocardiogr. 2009, 22, 523–529. [Google Scholar] [CrossRef] [PubMed]
- Greiner, S.; Jud, A.; Aurich, M.; Hess, A.; Hilbel, T.; Hardt, S.; Katus, H. A.; Mereles, D. Reliability of noninvasive assessment of systolic pulmonary artery pressure by Doppler echocardiography compared to right heart catheterization: analysis in a large patient population. J Am Heart Assoc. 2014, 3, e001103; [Google Scholar] [CrossRef] [PubMed]
- Amsallem, M.; Sternbach, J. M.; Adigopula, S.; Kobayashi, Y.; Vu, T. A.; Zamanian, R.; Liang, D.; Dhillon, G.; Schnittger, I.; McConnell, M. V.; Haddad, F. Addressing the Controversy of Estimating Pulmonary Arterial Pressure by Echocardiography. J. Am. Soc. Echocardiogr. 2016, 29, 93–102. [Google Scholar] [CrossRef] [PubMed]
- Schewel, J.; Schlüter, M.; Schmidt, T.; Kuck, K.; Frerker, C.; Schewel, D. Correlation between Doppler Echocardiography and Right Heart Catheterization Assessment of Systolic Pulmonary Artery Pressure in Patients with Severe Aortic Stenosis. Echocardiography 2020, 37, 380–387. [Google Scholar] [CrossRef]
- Laaban, J.-P.; Diebold, B.; Zelinski, R.; Lafay, M.; Raffoul, H.; Rochemaure, J. Noninvasive Estimation of Systolic Pulmonary Artery Pressure Using Doppler Echocardiography in Patients with Chronic Obstructive Pulmonary Disease. Chest 1989, 96, 1258–1262. [Google Scholar] [CrossRef]
- Tramarin, R.; Torbicki, A.; Marchandise, B.; Laaban, J. P.; Morpurgo, M. Tramarin, R.; Torbicki, A.; Marchandise, B.; Laaban, J. P.; Morpurgo, M. Doppler Echocardiographic Evaluation of Pulmonary Artery Pressure in Chronic Obstructive Pulmonary Disease. A European Multicentre Study. Working Group on Noninvasive Evaluation of Pulmonary Artery Pressure. European Office of the World Health Organization, Copenhagen. Eur. Heart J. 1991, 12, 103–111. [Google Scholar] [CrossRef]
- Brecker, S. J.; Gibbs, J. S.; Fox, K. M.; Yacoub, M. H.; Gibson, D. G. Comparison of Doppler Derived Haemodynamic Variables and Simultaneous High Fidelity Pressure Measurements in Severe Pulmonary Hypertension. Br. Heart J. 1994, 72, 384–389. [Google Scholar] [CrossRef]
- Arcasoy, S. M.; Christie, J. D.; Ferrari, V. A.; Sutton, M. St.; Zisman, D. A.; Blumenthal, N. P.; Pochettino, A.; Kotloff, R. M. Echocardiographic assessment of pulmonary hypertension in patients with advanced lung disease. Am. J. Respir. Crit. Care Med. 2003, 167, 735–740. [Google Scholar] [CrossRef]
- Janda, S.; Shahidi, N.; Gin, K.; Swiston, J. Diagnostic Accuracy of Echocardiography for Pulmonary Hypertension: A Systematic Review and Meta-Analysis. Heart 2011, 97, 612–622. [Google Scholar] [CrossRef]
- Albani, S.; Pinamonti, B.; Giovinazzo, T.; de Scordilli, M.; Fabris, E.; Stolfo, D.; Perkan, A.; Gregorio, C.; Barbati, G.; Geri, P.; et al. Accuracy of Right Atrial Pressure Estimation Using a Multi-Parameter Approach Derived from Inferior Vena Cava Semi-Automated Edge-Tracking Echocardiography: A Pilot Study in Patients with Cardiovascular Disorders. Int. J. Cardiovasc. Imaging 2020, 36(7), 1213–1225. [Google Scholar] [CrossRef] [PubMed]
- Rudski, L. G.; Lai, W. W.; Afilalo, J.; Hua, L.; Handschumacher, M. D.; Chandrasekaran, K.; Solomon, S. D.; Louie, E. K.; Schiller, N. B. Guidelines for the echocardiographic assessment of the right heart in adults: a report from the American Society of Echocardiography endorsed by the European Association of Echocardiography, a registered branch of the European Society of Cardiology, and the Canadian Society of Echocardiography. J. Am. Soc. Echocardiogr. 2010, 23, 685–713. [Google Scholar] [CrossRef] [PubMed]
- Fortmeier, V.; Lachmann, M.; Körber, M. I.; Unterhuber, M.; von Scheidt, M.; Rippen, E.; Harmsen, G.; Gerçek, M.; Friedrichs, K. P.; Roder, F.; Rudolph, T. K.; Yuasa, S.; Joner, M.; Laugwitz, K.-L.; Baldus, S.; Pfister, R.; Lurz, P.; Rudolph, V. Solving the Pulmonary Hypertension Paradox in Patients With Severe Tricuspid Regurgitation by Employing Artificial Intelligence. JACC Cardiovasc Interv 2022, 15, 381–394. [Google Scholar] [CrossRef] [PubMed]
- Lurz, P.; Orban, M.; Besler, C.; Braun, D.; Schlotter, F.; Noack, T.; Desch, S.; Karam, N.; Kresoja, K.-P.; Hagl, C.; Borger, M.; Nabauer, M.; Massberg, S.; Thiele, H.; Hausleiter, J.; Rommel, K.-P. Clinical Characteristics, Diagnosis, and Risk Stratification of Pulmonary Hypertension in Severe Tricuspid Regurgitation and Implications for Transcatheter Tricuspid Valve Repair. Eur. Heart J. 2020, 41, 2785–2795. [Google Scholar] [CrossRef] [PubMed]
- Dong, T.-X.; Zhu, Q.; Wang, S.-T.; Wang, Y.-H.; Li, G.-Y.; Kong, F.-X.; Ma, C.-Y. Diagnostic and Prognostic Value of Echocardiography in Pulmonary Hypertension: An Umbrella Review of Systematic Reviews and Meta-Analyses. BMC Pulm. Med. 2023, 23, 253. [Google Scholar] [CrossRef] [PubMed]
- Sonaglioni, A.; Cassandro, R.; Luisi, F.; Ferrante, D.; Nicolosi, G. L.; Lombardo, M.; Anzà, C.; Harari, S. Correlation Between Doppler Echocardiography and Right Heart Catheterisation-Derived Systolic and Mean Pulmonary Artery Pressures: Determinants of Discrepancies Between the Two Methods. Heart Lung Circ 2021, 30, 656–664. [Google Scholar] [CrossRef] [PubMed]
- Kitabatake, A.; Inoue, M.; Asao, M.; Masuyama, T.; Tanouchi, J.; Morita, T.; Mishima, M.; Uematsu, M.; Shimazu, T.; Hori, M.; et al. Noninvasive Evaluation of Pulmonary Hypertension by a Pulsed Doppler Technique. Circulation 1983, 68, 302–309. [Google Scholar] [CrossRef] [PubMed]
- Yared, K.; Noseworthy, P.; Weyman, A. E.; McCabe, E.; Picard, M. H.; Baggish, A. L. Pulmonary Artery Acceleration Time Provides an Accurate Estimate of Systolic Pulmonary Arterial Pressure during Transthoracic Echocardiography. J. Am. Soc. Echocardiogr. 2011, 24, 687–692. [Google Scholar] [CrossRef]
- Wang, Y.-C.; Huang, C.-H.; Tu, Y.-K. Pulmonary Hypertension and Pulmonary Artery Acceleration Time: A Systematic Review and Meta-Analysis. J. Am. Soc. Echocardiogr. 2018, 31, 201–210e3. [Google Scholar] [CrossRef]
- Hellenkamp, K.; Unsöld, B.; Mushemi-Blake, S.; Shah, A. M.; Friede, T.; Hasenfuß, G.; Seidler, T. Echocardiographic Estimation of Mean Pulmonary Artery Pressure: A Comparison of Different Approaches to Assign the Likelihood of Pulmonary Hypertension. J. Am. Soc. Echocardiogr. 2018, 31(1), 89–98. [Google Scholar] [CrossRef] [PubMed]
- Dammassa, V.; Corradi, F.; Colombo, C. N.; Mojoli, F.; Price, S.; Tavazzi, G. Pulmonary Artery Acceleration Time Accuracy for Systolic Pulmonary Artery Pressure Estimation in Critically Ill Patients. Ultrasound J 2022, 14, 26. [Google Scholar] [CrossRef] [PubMed]
- Rengier, F.; Melzig, C.; Derlin, T.; Marra, A. M.; Vogel-Claussen, J. Advanced Imaging in Pulmonary Hypertension: Emerging Techniques and Applications. Int. J. Cardiovasc. Imaging 2019, 35(8), 1407–1420. [Google Scholar] [CrossRef] [PubMed]
- Mandras, S. A.; Mehta, H. S.; Vaidya, A. Pulmonary Hypertension: A Brief Guide for Clinicians. Mayo Clin. Proc. 2020, 95(9), 1978–1988. [Google Scholar] [CrossRef] [PubMed]
- Kolte, D.; Lakshmanan, S.; Jankowich, M. D.; Brittain, E. L.; Maron, B. A.; Choudhary, G. Mild Pulmonary Hypertension Is Associated With Increased Mortality: A Systematic Review and Meta-Analysis. J. Am. Heart Assoc. 2018, 7(18), e009729. [Google Scholar] [CrossRef] [PubMed]
- Virsinskaite, R.; Karia, N.; Kotecha, T.; Schreiber, B. E.; Coghlan, J. G.; Knight, D. S. Pulmonary Hypertension - The Latest Updates for Physicians. Clin. Med. (Lond). 2023, 23(5), 449–454. [Google Scholar] [CrossRef] [PubMed]
- D’Alto, M.; Romeo, E.; Argiento, P.; Di Salvo, G.; Badagliacca, R.; Cirillo, A. P.; Kaemmerer, H.; Bossone, E.; Naeije, R. Pulmonary Arterial Hypertension: The Key Role of Echocardiography. Echocardiography 2015, 32 (Suppl 1), S23–37. [Google Scholar] [CrossRef] [PubMed]
- Khattab, E.; Velidakis, N.; Gkougkoudi, E.; Kadoglou, N. P. E. Exercise-Induced Pulmonary Hypertension: A Valid Entity or Another Factor of Confusion? Life (Basel) 2023, 13(1), 128. [Google Scholar] [CrossRef]
- Hoette, S.; Creuzé, N.; Günther, S.; Montani, D.; Savale, L.; Jaïs, X.; Parent, F.; Sitbon, O.; Rochitte, C. E.; Simonneau, G.; Humbert, M.; Souza, R.; Chemla, D. RV Fractional Area Change and TAPSE as Predictors of Severe Right Ventricular Dysfunction in Pulmonary Hypertension: A CMR Study. Lung 2018, 196(2), 157–164. [Google Scholar] [CrossRef]
- Ptaszyńska-Kopczyńska, K.; Krentowska, A.; Sawicka, E.; Skoneczny, A.; Jasiewicz, M.; Knapp, M.; Musiał, W. J.; Sobkowicz, B.; Kamiński, K. A. The strengths and weaknesses of non-invasive parameters obtained by echocardiography and cardiopulmonary exercise testing in comparison with the hemodynamic assessment by the right heart catheterization in patients with pulmonary hypertension. Adv. Med. Sci. 2017, 62(1), 39–44. [Google Scholar] [CrossRef]
- Liu, K.; Zhang, C.; Chen, B.; Li, M.; Zhang, P. Association between right atrial area measured by echocardiography and prognosis among pulmonary arterial hypertension: a systematic review and meta-analysis. BMJ Open 2020, 10(9), e031316. [Google Scholar] [CrossRef] [PubMed]
- Lammers, A. E.; Marek, J.; Diller, G. P.; Haworth, S. G.; Moledina, S. Prognostic Value of Transthoracic Echocardiography in Children With Pulmonary Arterial Hypertension. J. Am. Heart Assoc. 2023, 12(6), e023118. [Google Scholar] [CrossRef]
- Shukla, M.; Park, J. H.; Thomas, J. D.; Delgado, V.; Bax, J. J.; Kane, G. C.; et al. Prognostic Value of Right Ventricular Strain Using Speckle-Tracking Echocardiography in Pulmonary Hypertension: A Systematic Review and Meta-Analysis. Can. J. Cardiol. 2018, 34(8), 1069–1078. [Google Scholar] [CrossRef] [PubMed]
- Moceri, P.; Baudouy, D.; Chiche, O.; Cerboni, P.; Bouvier, P.; Chaussade, C.; Ferrari, E. Imaging in Pulmonary Hypertension: Focus on the Role of Echocardiography. Arch. Cardiovasc. Dis. 2014, 107(4), 261–271. [Google Scholar] [CrossRef]
- Tello, K.; Wan, J.; Dalmer, A.; Vanderpool, R.; Ghofrani, H. A.; Naeije, R.; Roller, F.; Mohajerani, E.; Seeger, W.; Herberg, U.; Sommer, N.; Gall, H.; Richter, M. J. Validation of the Tricuspid Annular Plane Systolic Excursion/Systolic Pulmonary Artery Pressure Ratio for the Assessment of Right Ventricular-Arterial Coupling in Severe Pulmonary Hypertension. Circ. Cardiovasc. Imaging 2019, 12(9), e009047. [Google Scholar] [CrossRef] [PubMed]
- Brener, M. I.; Lurz, P.; Hausleiter, J.; Rodés-Cabau, J.; Fam, N.; Kodali, S. K.; Rommel, K. P.; Muntané-Carol, G.; Gavazzoni, M.; Nazif, T. M.; Pozzoli, A.; Alessandrini, H.; Latib, A.; Biasco, L.; Braun, D.; Brochet, E.; Denti, P.; Lubos, E.; Ludwig, S.; Kalbacher, D.; Estevez-Loureiro, R.; Connelly, K. A.; Frerker, C.; Ho, E. C.; Juliard, J. M.; Harr, C.; Monivas, V.; Nickenig, G.; Pedrazzini, G.; Philippon, F.; Praz, F.; Puri, R.; Schofer, J.; Sievert, H.; Tang, G. H. L.; Andreas, M.; Thiele, H.; Unterhuber, M.; Himbert, D.; Alcázar, M. U.; Von Bardeleben, R. S.; Windecker, S.; Wild, M. G.; Maisano, F.; Leon, M. B.; Taramasso, M.; Hahn, R. T. Right Ventricular-Pulmonary Arterial Coupling and Afterload Reserve in Patients Undergoing Transcatheter Tricuspid Valve Repair. J. Am. Coll. Cardiol. 2022, 79(5), 448–461. [Google Scholar] [CrossRef] [PubMed]
- Kew, E. P.; Caruso, V.; Grapsa, J.; Bosco, P.; Lucchese, G. Predictors of Outcome in Patients with Pulmonary Hypertension Undergoing Mitral and Tricuspid Valve Surgery. Medicina (Kaunas) 2023, 59(6), 1103. [Google Scholar] [CrossRef] [PubMed]
- Augustine, D. X.; Coates-Bradshaw, L. D.; Willis, J.; Harkness, A.; Ring, L.; Grapsa, J.; Coghlan, G.; Kaye, N.; Oxborough, D.; Robinson, S.; Sandoval, J.; Rana, B. S.; Siva, A.; Nihoyannopoulos, P.; Howard, L. S.; Fox, K.; Bhattacharyya, S.; Sharma, V.; Steeds, R. P.; Mathew, T. Echocardiographic Assessment of Pulmonary Hypertension: A Guideline Protocol from the British Society of Echocardiography. Echo Res Pract 2018, 5, G11–G24. [Google Scholar] [CrossRef]
- Lang, R. M.; Badano, L. P.; Mor-Avi, V.; Afilalo, J.; Armstrong, A.; Ernande, L.; Flachskampf, F. A.; Foster, E.; Goldstein, S. A.; Kuznetsova, T.; Lancellotti, P.; Muraru, D.; Picard, M. H.; Rietzschel, E. R.; Rudski, L.; Spencer, K. T.; Tsang, W.; Voigt, J.-U. Recommendations for Cardiac Chamber Quantification by Echocardiography in Adults: An Update from the American Society of Echocardiography and the European Association of Cardiovascular Imaging. Eur. Heart J. Cardiovasc. Imaging 2015, 16, 233–270. [Google Scholar] [CrossRef]
- Schmeißer, A.; Rauwolf, T.; Groscheck, T.; Fischbach, K.; Kropf, S.; Luani, B.; Tanev, I.; Hansen, M.; Meißler, S.; Schäfer, K.; Steendijk, P.; Braun-Dullaeus, R. C. Predictors and prognosis of right ventricular function in pulmonary hypertension due to heart failure with reduced ejection fraction. ESC Heart Fail. 2021, 8(4), 2968–2981. [Google Scholar] [CrossRef]
- Pawade, T.; Holloway, B.; Bradlow, W.; Steeds, R. P. Noninvasive imaging for the diagnosis and prognosis of pulmonary hypertension. Expert Rev. Cardiovasc. Ther. 2014, 12(1), 71–86. [Google Scholar] [CrossRef] [PubMed]
- Grabysa, R.; Wańkowicz, Z. Can Echocardiography, Especially Tricuspid Annular Plane Systolic Excursion Measurement, Predict Pulmonary Hypertension and Improve Prognosis in Patients on Long-Term Dialysis? Med Sci Monit 2015, 21, 4015–4022. [Google Scholar] [CrossRef]
- Wright, L. M.; Dwyer, N.; Celermajer, D.; Kritharides, L.; Marwick, T. H. Follow-Up of Pulmonary Hypertension With Echocardiography. JACC Cardiovasc Imaging 2016, 9(6), 733–746. [Google Scholar] [CrossRef]
- Hasselberg, N. E.; Kagiyama, N.; Soyama, Y.; Sugahara, M.; Goda, A.; Ryo-Koriyama, K.; Batel, O.; Chakinala, M.; Simon, M. A.; Gorcsan, J. 3rd. The Prognostic Value of Right Atrial Strain Imaging in Patients with Precapillary Pulmonary Hypertension. J. Am. Soc. Echocardiogr. 2021, 34(8), 851-861.e1. [CrossRef]
- Yogeswaran, A.; Rako, Z. A.; Yildiz, S.; Ghofrani, H. A.; Seeger, W.; Brito da Rocha, B.; Gall, H.; Kremer, N. C.; Douschan, P.; Papa, S.; Vizza, C. D.; Filomena, D.; Tedford, R. J.; Naeije, R.; Richter, M. J.; Badagliacca, R.; Tello, K. Echocardiographic evaluation of right ventricular diastolic function in pulmonary hypertension. ERJ Open Res. 2023, 9(5), 00226–2023. [Google Scholar] [CrossRef]
- Querejeta Roca, G.; Campbell, P.; Claggett, B.; Solomon, S. D.; Shah, A. M. Right Atrial Function in Pulmonary Arterial Hypertension. Circ. Cardiovasc. Imaging 2015, 8(11), e003521; discussion e003521. [CrossRef]
- Watanabe, R.; Amano, H.; Saito, F.; Toyoda, S.; Sakuma, M.; Abe, S.; Nakajima, T.; Inoue, T. Echocardiographic surrogates of right atrial pressure in pulmonary hypertension. Heart Vessels 2019, 34(3), 477–483. [Google Scholar] [CrossRef]
- Unlu, S.; Farsalinos, K.; Ameloot, K.; Daraban, A. M.; Ciarka, A.; Delcroix, M.; Voigt, J. U. Apical traction: a novel visual echocardiographic parameter to predict survival in patients with pulmonary hypertension. Eur. Heart J. Cardiovasc. Imaging 2016, 17(2), 177–183. [Google Scholar] [CrossRef]
- Sano, H.; Tanaka, H.; Motoji, Y.; Fukuda, Y.; Mochizuki, Y.; Hatani, Y.; Matsuzoe, H.; Hatazawa, K.; Shimoura, H.; Ooka, J.; Ryo-Koriyama, K.; Nakayama, K.; Matsumoto, K.; Emoto, N.; Hirata, K. I. Right ventricular relative wall thickness as a predictor of outcomes and of right ventricular reverse remodeling for patients with pulmonary hypertension. Int. J. Cardiovasc. Imaging 2017, 33(3), 313–321. [Google Scholar] [CrossRef] [PubMed]
- Richter, M. J.; Zedler, D.; Berliner, D.; Douschan, P.; Gall, H.; Ghofrani, H. A.; Kimmig, L.; Kremer, N.; Olsson, K. M.; Brita da Rocha, B.; Rosenkranz, S.; Seeger, W.; Yogeswaran, A.; Rako, Z.; Tello, K. Clinical Relevance of Right Atrial Functional Response to Treatment in Pulmonary Arterial Hypertension. Front. Cardiovasc. Med. 2021, 8, 775039. [Google Scholar] [CrossRef] [PubMed]
- D’Alto, M.; D’Andrea, A.; Di Salvo, G.; Scognamiglio, G.; Argiento, P.; Romeo, E.; Di Marco, G. M.; Mattera Iacono, A.; Bossone, E.; Sarubbi, B.; Russo, M. G. Right atrial function and prognosis in idiopathic pulmonary arterial hypertension. Int. J. Cardiol. 2017, 248, 320–325. [Google Scholar] [CrossRef] [PubMed]
- Doutreleau, S.; Canuet, M.; Enache, I.; Di Marco, P.; Lonsdorfer, E.; Oswald-Mammoser, M.; Charloux, A. Right Heart Hemodynamics in Pulmonary Hypertension - An Echocardiography and Catheterization Study. Circ. J. 2016, 80(9), 2019–2025. [Google Scholar] [CrossRef]
- Mouratoglou, S. A.; Dimopoulos, K.; Kamperidis, V.; Feloukidis, C.; Kallifatidis, A.; Pitsiou, G.; Stanopoulos, I.; Grosomanidis, V.; Hadjimiltiades, S.; Karvounis, H.; Giannakoulas, G. Right Atrial Function Predicts Clinical Outcome in Patients with Precapillary Pulmonary Hypertension. J. Am. Soc. Echocardiogr. 2018, 31(10), 1137–1145. [Google Scholar] [CrossRef]
- Baggen, V. J. M.; Driessen, M. M. P.; Post, M. C.; van Dijk, A. P.; Roos-Hesselink, J. W.; van den Bosch, A. E.; et al. Echocardiographic findings associated with mortality or transplant in patients with pulmonary arterial hypertension: a systematic review and meta-analysis. Neth. Heart J. 2016, 24(6), 374–389. [Google Scholar] [CrossRef]
- Huston, J. H.; Maron, B. A.; French, J.; Huang, S.; Thayer, T.; Farber-Eger, E. H.; Wells, Q. S.; Choudhary, G.; Hemnes, A. R.; Brittain, E. L. Association of Mild Echocardiographic Pulmonary Hypertension With Mortality and Right Ventricular Function. JAMA Cardiol 2019, 4, 1112–1121. [Google Scholar] [CrossRef]
- Papolos, A.; Tison, G. H.; Mayfield, J.; Vasti, E.; DeMarco, T. Echocardiographic assessment of pulmonary arterial capacitance predicts mortality in pulmonary hypertension. J. Cardiol. 2021, 77(3), 279–284. [Google Scholar] [CrossRef]
- Steiner, J.; Wu, W. C.; Jankowich, M.; Maron, B. A.; Sharma, S.; Choudhary, G. Echocardiographic predictors of mortality in patients with pulmonary hypertension and cardiopulmonary comorbidities. PLoS One 2015, 10(3), e0119277. [Google Scholar] [CrossRef]
- Blanchard, D. G.; Malouf, P. J.; Gurudevan, S. V.; Auger, W. R.; Madani, M. M.; Thistlethwaite, P.; Waltman, T. J.; Daniels, L. B.; Raisinghani, A. B.; DeMaria, A. N. Utility of Right Ventricular Tei Index in the Noninvasive Evaluation of Chronic Thromboembolic Pulmonary Hypertension before and after Pulmonary Thromboendarterectomy. JACC Cardiovasc Imaging 2009, 2, 143–149. [Google Scholar] [CrossRef]
- Inaba, T.; Yao, A.; Nakao, T.; Hatano, M.; Maki, H.; Imamura, T.; Shiga, T.; Yamazaki, T.; Sonoda, M.; Kinugawa, K.; Shiota, T.; Suzuki, J.; Takenaka, K.; Hirata, Y.; Nagai, R. Volumetric and Functional Assessment of Ventricles in Pulmonary Hypertension on 3-Dimensional Echocardiography. Circ J 2013, 77, 198–206. [Google Scholar] [CrossRef]
- Jone, P. N.; Schäfer, M.; Pan, Z.; Bremen, C.; Ivy, D. D. 3D echocardiographic evaluation of right ventricular function and strain: a prognostic study in paediatric pulmonary hypertension. Eur Heart J Cardiovasc Imaging 2018, 19(9), 1026–1033. [Google Scholar] [CrossRef]
- Lattanzio, M.; Scelsi, L.; Golino, M.; Lattuada, M.; Raineri, C.; Turco, A.; Giuntini, C.; Ceriani, F.; Curti, M.; Bonelli, A.; Piacentino, F.; Venturini, M.; Ghiringhelli, S.; Morandi, F.; De Ponti, R.; Ghio, S. Assessment of right ventricle in pulmonary arterial hypertension with three-dimensional echocardiography and cardiovascular magnetic resonance. J Cardiovasc Med (Hagerstown) 2021, 22(12), 929–936. [Google Scholar] [CrossRef]
- Ikeda, S.; Tsuneto, A.; Kojima, S.; Koga, S.; Nakata, T.; Yoshida, T.; Eto, M.; Minami, T.; Yanagihara, K.; Maemura, K. Longitudinal Strain of Right Ventricular Free Wall by 2-Dimensional Speckle-Tracking Echocardiography Is Useful for Detecting Pulmonary Hypertension. Life Sci 2014, 111, 12–17. [Google Scholar] [CrossRef]
- Shiino, K.; Sugimoto, K.; Yamada, A.; Takada, K.; Kawai, H.; Sugimoto, K.; Takahashi, H.; Takagi, Y.; Iwase, M.; Ozaki, Y. Usefulness of Right Ventricular Basal Free Wall Strain by Two-Dimensional Speckle Tracking Echocardiography in Patients with Chronic Thromboembolic Pulmonary Hypertension. Int Heart J 2015, 56, 100–104. [Google Scholar] [CrossRef]
- Haeck, M. L.; Scherptong, R. W.; Marsan, N. A.; Holman, E. R.; Schalij, M. J.; Bax, J. J.; Vliegen, H. W.; Delgado, V. Prognostic value of right ventricular longitudinal peak systolic strain in patients with pulmonary hypertension. Circ Cardiovasc Imaging 2012, 5(5), 628–636. [Google Scholar] [CrossRef] [PubMed]
- Motoji, Y.; Tanaka, H.; Fukuda, Y.; Ryo, K.; Emoto, N.; Kawai, H.; Hirata, K. Efficacy of right ventricular free-wall longitudinal speckle-tracking strain for predicting long-term outcome in patients with pulmonary hypertension. Circ J 2013, 77(3), 756–763. [Google Scholar] [CrossRef] [PubMed]
- Hulshof, H. G.; Eijsvogels, T. M. H.; Kleinnibbelink, G.; van Dijk, A. P.; George, K. P.; Oxborough, D. L.; Thijssen, D. H. J.; Opondo, M. A. Prognostic value of right ventricular longitudinal strain in patients with pulmonary hypertension: a systematic review and meta-analysis. Eur Heart J Cardiovasc Imaging 2019, 20(4), 475–484. [Google Scholar] [CrossRef] [PubMed]
- Moceri, P.; Bouvier, P.; Baudouy, D.; Dimopoulos, K.; Cerboni, P.; Wort, S. J.; Gatzoulis, M. A. Cardiac remodelling amongst adults with various aetiologies of pulmonary arterial hypertension including Eisenmenger syndrome-implications on survival and the role of right ventricular transverse strain. Eur Heart J Cardiovasc Imaging 2017, 18(11), 1262–1270. [Google Scholar] [CrossRef]
- Deng Y, Guo SL, Wu WF, Wang Q, Su HY, Tan Z, Wang F, He QY. Right Atrial Evaluation in Patients With Pulmonary Hypertension: A Real-time 3-Dimensional Transthoracic Echocardiographic Study. J. Ultrasound Med. 2016, 35(1), 49-61. [CrossRef]
- Tello K, Dalmer A, Vanderpool R, Ghofrani HA, Naeije R, Roller F, Seeger W, Wiegand M, Gall H, Richter MJ. Right ventricular function correlates of right atrial strain in pulmonary hypertension: a combined cardiac magnetic resonance and conductance catheter study. Am J Physiol Heart Circ Physiol. 2020, 318(1), H156-H164. [CrossRef]
- Jone PN, Schäfer M, Li L, Craft M, Ivy DD, Kutty S. Right Atrial Deformation in Predicting Outcomes in Pediatric Pulmonary Hypertension. Circ Cardiovasc Imaging. 2017, 10(12), e006250. [CrossRef]


| Parameter | Technical aspects | Correlations with RHC | Limitations |
|---|---|---|---|
| TRVpeak | PSAX, 4Ch, or any modified view. CW doppler through TV | Proportional -moderate to high | • Severe TR • Assumption of Bernouli equation |
| PASP | PSAX, 4Ch, or any modified view. CW doppler through TV | Moderate | • Severe TR • Assumption of Bernouli equation • Assumption of RAP based on the IVC (size and collapsibility, volume overload situations) – underestimation • Rapid equalization of pressures between RA and RV |
| RVOT-AT | PSAX. May be not well-visualized | High | • Arrhythmias • Impaired RV function in critically ill patients |
| Pulmonary regurgitation | PSAX. May be not well-visualized | Low | • Rare finding |
| RV speckle tracking | 4Ch view. RV free wall may be not well-visualized | Moderate to high | • Limited studies on specific populations • Image quality |
| RA strain | 4Ch view may be not well-visualized | No data | • Limited studies on specific populations • Image quality |
Disclaimer/Publisher’s Note: The statements, opinions and data contained in all publications are solely those of the individual author(s) and contributor(s) and not of MDPI and/or the editor(s). MDPI and/or the editor(s) disclaim responsibility for any injury to people or property resulting from any ideas, methods, instructions or products referred to in the content. |
© 2024 by the authors. Licensee MDPI, Basel, Switzerland. This article is an open access article distributed under the terms and conditions of the Creative Commons Attribution (CC BY) license (http://creativecommons.org/licenses/by/4.0/).