Submitted:
14 March 2024
Posted:
18 March 2024
You are already at the latest version
Abstract
Keywords:
1. Introduction
2. Epidemiology
3. Etiopathogenesis
4. Clinical Picture
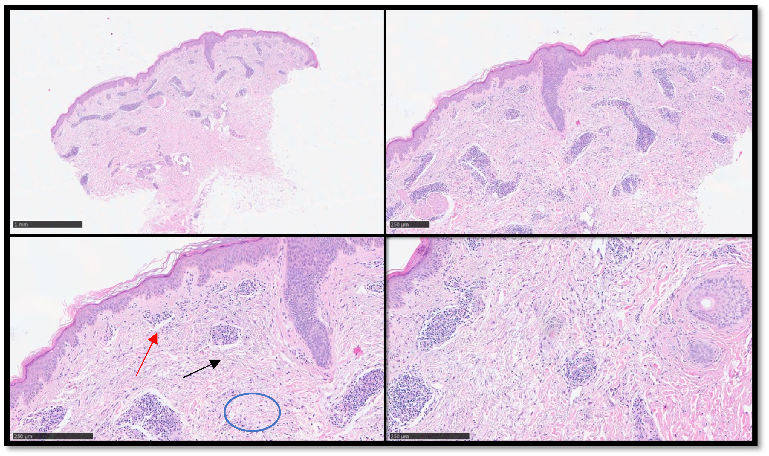
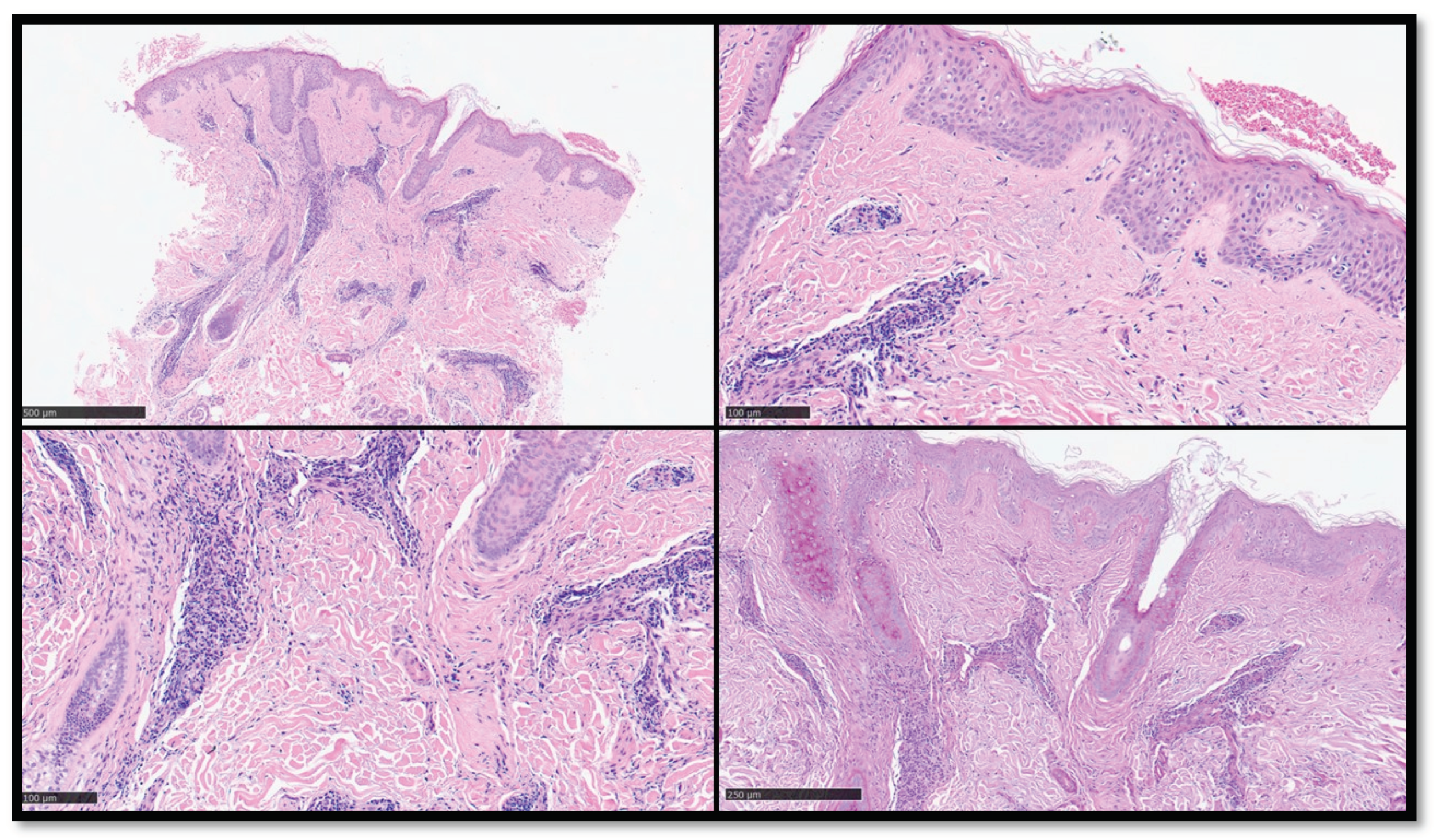
5. Histopathology


6. Classification of TLE
7. Prognosis
8. Therapy
9. Differential Diagnosis
9.1. Jessner-Kanof Infiltrate (Pseudolymphoma)
9.2. Polymorphous Light Eruption (PLE)
9.3. Reticular Erythematous Mucinosis (REM)
9.4. Granuloma Faciale (GF)
9.5. Cutaneous Manifestations of B-Chronic Lymphocytic Leukemia (B-CLL)
10. Associations Rarely Reported
11. The Larger Series of TLE Reported in Literature
12. Conclusions
Author Contributions
Funding
Institutional Review Board Statement
Informed Consent Statement
Data Availability Statement
Acknowledgments
Conflicts of Interest
References
- Petty, A.J.; Floyd, L.; Henderson, C.; Nicholas, M.W. Cutaneous Lupus Erythematosus: Progress and Challenges. Curr Allergy Asthma Rep. 2020 Apr 4;20(5):12. 1. [CrossRef]
- Walling, H.W.; Sontheimer, R.D. Cutaneous lupus erythematosus: issues in diagnosis and treatment. Am J Clin Dermatol. 2009;10(6):365-81. [CrossRef]
- Moura Filho, J.P.; Peixoto, R.L.; Martins, L.G.; Melo, S.D.; Carvalho, L.L.; Pereira, A.K.; Freire, E.A. Lupus erythematosus: considerations about clinical, cutaneous and therapeutic aspects. An Bras Dermatol. 2014 Jan-Feb;89(1):118-25. [CrossRef]
- Niebel, D.; de Vos, L.; Fetter, T.; Brägelmann, C.; Wenzel, J. Cutaneous Lupus Erythematosus: An Update on Pathogenesis and Future Therapeutic Directions. Am J Clin Dermatol. 2023 Jul;24(4):521-540. [CrossRef]
- Poh, Y.J.; Alrashid, A.; Sangle, S.R.; Higgins, E.; Benton, E.; McGibbon, D.; D'Cruz, D.P. Proton pump inhibitor induced subacute cutaneous lupus erythematosus: Clinical characteristics and outcomes. Lupus. 2022 Aug;31(9):1078-1083. [CrossRef]
- Zhou, W.; Wu, H.; Zhao, M.; Lu, Q. New insights into the progression from cutaneous lupus to systemic lupus erythematosus. Expert Rev Clin Immunol. 2020 Aug;16(8):829-837. [CrossRef]
- Joseph, A.K.; Windsor, B.; Hynan, L.S.; Chong, B.F. Discoid lupus erythematosus skin lesion distribution and characteristics in Black patients: a retrospective cohort study. Lupus Sci Med. 2021 Nov;8(1):e000514. [CrossRef]
- Green, P.J.; Pasternak, S. Hypertrophic and ulcerated discoid lupus erythematosus. J Cutan Med Surg. 2012 Nov-Dec;16(6):453-7. [CrossRef]
- Kuhn, A.; Richter-Hintz, D.; Oslislo, C.; Ruzicka, T.; Megahed, M.; Lehmann, P. Lupus erythematosus tumidus--a neglected subset of cutaneous Lupus erythematosus: report of 40 cases. Arch Dermatol. 2000, 136, 1033–1041. [Google Scholar] [CrossRef] [PubMed]
- Alexiades-Armenakas, M.R.; Baldassano, M.; Bince, B.; Werth, V.; Bystryn, J.C.; Kamino, H, Soter, N.A.; Franks, A.G. Tumid lupus erythematosus: criteria for classification with immunohistochemical analysis. Arthritis Rheum. 2003, 49, 494–500. [CrossRef]
- Sontheimer, R.D. The lexicon of cutaneous lupus erythematosus--a review and personal perspective on the nomenclature and classification of the cutaneous manifestations of lupus erythematosus. Lupus. 1997, 6, 84–95. [Google Scholar] [CrossRef]
- Hoffmann, E. Demonstrationen: lupus erythematodes tumidus. Derm Zeitschr 1909, 16, 159–160. [Google Scholar]
- Vieira, V.; Del Pozo, J.; Yebra-Pimente,l M. T.; Martínez, W.; Fonseca, E. Lupus erythematosus tumidus: a series of 26 cases. Int J Dermatol. 2006, 45, 512–517. [Google Scholar] [CrossRef]
- Schmitt, V.; Meuth, A.M.; Amler, S.; Kuehn, E.; Haust, M.; Messer, G.; Bekou, V.; Sauerland, C.; Metze, D.; Köpcke, W.; Bonsmann, G.; Kuhn, A. Lupus erythematosus tumidus is a separate subtype of cutaneous lupus erythematosus. Br J Dermatol. 2010, 162, 64–73. [Google Scholar] [CrossRef]
- Kuhn, A.; Sonntag, M.; Ruzicka, T.; Lehmann, P.; Megahed, M. Histopathologic findings in lupus erythematosus tumidus: review of 80 patients. J Am Acad Dermatol. 2003, 48, 901–908. [Google Scholar] [CrossRef]
- Gilliam, J.N.; Sontheimer, R.D. Distinctive cutaneous subsets in the spectrum of lupus erythematosus. J Am Acad Dermatol 1981, 4, 471–475. [Google Scholar] [CrossRef] [PubMed]
- Saleh, D.; Grubbs, H.; Koritala, T.; Crane, J.S. Tumid Lupus Erythematosus. StatPearls Publishing; 2023.
- Available online: https://icd.who.int/browse10/2019/en#/L93.2 (accessed on 17 February 2024).
- Sonntag, M.; Lehmann, P.; Megahed, M.; Ruzicka, T.; Kuhn, A. Lupus erythematosus tumidus in childhood. Report of 3 patients. Dermatology. 2003, 207, 188–192. [Google Scholar] [CrossRef] [PubMed]
- Biazar, C.; Sigges, J.; Patsinakidis, N.; Ruland, V.; Amler, S.; Bonsmann, G.; Kuhn, A; EUSCLE co-authors. Cutaneous lupus erythematosus: first multicenter database analysis of 1002 patients from the European Society of Cutaneous Lupus Erythematosus (EUSCLE). Autoimmun Rev. 2013, 12, 444–454. [Google Scholar] [CrossRef] [PubMed]
- Liu, E.; Daze, R.P.; Moon, S. Tumid Lupus Erythematosus: A Rare and Distinctive Variant of Cutaneous Lupus Erythematosus Masquerading as Urticarial Vasculitis. Cureus. 2020, 12, e8305. [Google Scholar] [CrossRef]
- Vale, E.C. S, do.; Garcia, L.C. Cutaneous lupus erythematosus: a review of etiopathogenic, clinical, diagnostic and therapeutic aspects. An Bras Dermatol. 2023, 98, 355–372. [Google Scholar] [CrossRef] [PubMed]
- Kuhn, A.; Sonntag, M.; Richter-Hintz, D.; Oslislo, C.; Megahed, M.; Ruzicka, T.; Lehmann, P. Phototesting in lupus erythematosus: a 15-year experience. J Am Acad Dermatol. 2001, 45, 86–95. [Google Scholar] [CrossRef] [PubMed]
- Yu, C.; Chang, C.; Zhang, J. Immunologic and genetic considerations of cutaneous lupus erythematosus: a comprehensive review. J Autoimmun. 2013, 41, 34–45. [Google Scholar] [CrossRef]
- Böckle, B.C.; Sepp, N.T. Smoking is highly associated with discoid lupus erythematosus and lupus erythematosus tumidus: analysis of 405 patients. Lupus. 2015, 24, 669–674. [Google Scholar] [CrossRef] [PubMed]
- Schneider, S.W.; Staender, S.; Schlüter, B.; Luger, T.A.; Bonsmann, G. Infliximab-induced lupus erythematosus tumidus in a patient with rheumatoid arthritis. Arch Dermatol. 2006, 142, 115–116. [Google Scholar] [CrossRef] [PubMed]
- Sohl, S.; Renner, R.; Winter, U.; Bodendorf, M.; Paasch, U.; Simon, J.C.; Treudler, R. [Drug-induced lupus erythematosus tumidus during treatment with adalimumab]. Hautarzt. 2009, 60, 826–829. [Google Scholar] [CrossRef]
- Schepis, C.; Lentini, M.; Siragusa, M.; Batolo, D. ACE-inhibitor-induced drug eruption resembling lymphocytic infiltration (of Jessner-Kanof) and Lupus erythematosus tumidus. Dermatology. 2004, 208, 354–355. [Google Scholar] [CrossRef] [PubMed]
- Böckle, B.C.; Baltaci, M.; Weyrer, W.; Sepp, N.T. Bortezomib-induced lupus erythematosus tumidus. Oncologist. 2009, 14, 637–639. [Google Scholar] [CrossRef]
- Abadías-Granado, I.; Sánchez-Bernal, J.; Felipo-Berlanga, F.; Ara-Martín, M. Coexistence of Tumid Lupus Erythematosus and Discoid Lupus Erythematosus. Actas Dermo-Sifiliográficas (English Edition). 2019, 110, 253–255. [Google Scholar] [CrossRef]
- Jatwani, K.; Chugh, K.; Osholowu, O.S.; Jatwani, S. Tumid Lupus Erythematosus and Systemic Lupus Erythematosus: A Report on Their Rare Coexistence. Cureus. 2020, 12, e7545. [Google Scholar] [CrossRef]
- Gambichler, T.; Pätzholz, J.; Schmitz, L.; Lahner, N.; Kreuter, A. FOXP3+ and CD39+ regulatory T cells in subtypes of cutaneous lupus erythematosus. J Eur Acad Dermatol Venereol. 2015, 29, 1972–1977. [Google Scholar] [CrossRef]
- Rodríguez-Caruncho, C.; Bielsa, I. Lupus erythematosus tumidus: A clinical entity still being defined. Actas Dermosifiliogr. 2011, 102, 668–674. [Google Scholar] [CrossRef]
- Patsinakidis, N.; Kautz, O.; Gibbs, B.F.; Raap, U. Lupus erythematosus tumidus: clinical perspectives. CCID. 2019, 12, 707–719. [Google Scholar] [CrossRef] [PubMed]
- Shen, A.; Fisher, J.M.; Kuklinski, L.F.; Hogeling, M. A teen with blaschkolinear tumid lupus erythematosus. JAAD Case Rep. 2022;21:1-5. [CrossRef]
- Available online: https://www.pathologyoutlines.com/topic/skinnontumorlupussle.html (accessed on 17 February 2024).
- The Lives of Lesions: Chronology in Dermatopathology. Antoinette F. Hood, MD. The Lives of Lesions: Chronology in Dermatopathology. Antoinette F. Hood, MD. Arch Dermatol. 1985;121(6):809. [CrossRef]
- Weldemann, A.; Ziepert, M.; Kreuz, M.; Dumann, K.; Simon, J.C.; Kunz, M.; Ziemer, M. Lupus erythematosus: correlation of clinical and histological findings and proposal for a modified disease classification. JDDG 2021, 19, 11. [Google Scholar] [CrossRef]
- Tan, B.C.H.; Tang, I.; Bonin, J.; Koelmeyer, R.; Hoi, A. The performance of different classification criteria for systemic lupus erythematosus in a real-world rheumatology department. Rheumatology (Oxford). 2022 Nov 2;61(11):4509-4513. [CrossRef]
- Gougerot, H.; Burnier, R. Lupus érythémateux tumidus. Bull Soc Fr Dermatol Syphil. 1930, 37, 1219–1292. [Google Scholar]
- Rockl, H. Erythematodes tumidus; a case history with reference to the problem of erythematodic lymphocytoma. Hautarzt. 1954, 5, 422–423. [Google Scholar] [PubMed]
- Vilanova, X. [The profundus and tumidus forms of lupus erythe-matosus; report of a case and comments]. Rev Clin Sep 1950, 36, 388–393. [Google Scholar]
- Kuhn, A.; Sonntag, M.; Ruzicka, T.; Lehmann, P.; Megahed, M. Histopathologic findings in lupus erythematosus tumidus: review of 80 patients. J Am Acad Dermatol. 2003, 48, 901–908. [Google Scholar] [CrossRef] [PubMed]
- Kuhn, A.; Ruzicka, T. Classification of cutaneous lupus erythematosus. In: Kuhn A, Lehmann P, Ruzicka T, editors. Cutaneous Lupus Erythematosus. New York: Springer; 2005:53–57.
- Rodriguez-Caruncho, C.; Bielsa, I.; Fernández-Figueras, M.T.; Roca, J.; Carrascosa, J.M.; Ferrándiz, C. Lupus erythematosus tumidus: a clinical and histological study of 25 cases. Lupus. 2015 Jun;24(7):751-5. [CrossRef]
- Kuhn, A.; Bein, D.; Bonsmann, G. The 100th anniversary of lupus erythematosus tumidus. Autoimmun Rev. 2009 May;8(6):441-8. [CrossRef]
- Stead, J.; Headley, C.; Ioffreda, M.; Kovarik, C.; Werth, V. Coexistence of tumid lupus erythematosus with systemic lupus erythematosus and discoid lupus erythematosus: a report of two cases of tumid lupus. J Clin Rheumatol. 2008, 14, 338–341. [Google Scholar] [CrossRef] [PubMed]
- Sigges, J.; Biazar, C.; Landmann, A.; Ruland, V.; Patsinakidis, N.; Amler, S.; Bonsmann, G. Therapeutic strategies evaluated by the European Society of Cutaneous Lupus Erythematosus (EUSCLE) Core Set Questionnaire in more than 1000 patients with cutaneous lupus erythematosus. Autoimmun Rev. 2013 May;12(7):694-702. [CrossRef]
- Pona, A.; Cardenas-de la Garza, J.A.; Broderick, A.; Sangueza, O.P.; Niehaus, A.G.; Bowers, N.; Pichardo, R.O. Lupus Erythematosus Tumidus Clinical Characteristics and Treatment: A Retrospective Review of 25 Patients. Cutis. 2022 Jun;109(6):330-332. [CrossRef]
- Marmor, M.F.; Kellner, U.; Lai, T.Y.; Melles, R.B.; Mieler, W.F; American Academy of Ophthalmology. Recommendations on Screening for Chloroquine and Hydroxychloroquine Retinopathy (2016 Revision). Ophthalmology. 2016 Jun;123(6):1386-94. [CrossRef]
- Kuhn, A.; Aberer, E.; Bata-Csörgő, Z.; Caproni, M.; Dreher, A.; Frances, C.; Gläser, R.; Klötgen, H.W.; Landmann, A.; Marinovic, B.; Nyberg, F.; Olteanu, R.; Ranki, A.; Szepietowski, J.C.; Volc-Platzer, B. S2k guideline for treatment of cutaneous lupus erythematosus - guided by the European Dermatology Forum (EDF) in cooperation with the European Academy of Dermatology and Venereology (EADV). J Eur Acad Dermatol Venereol. 2017 Mar;31(3):389-404. [CrossRef]
- Kreuter, A.; Tigges, C.; Hunzelmann, N.; Oellig, F.; Lehmann, P.; Hofmann, S.C. Rituximab in the treatment of recalcitrant generalized lupus erythematosus tumidus. J Dtsch Dermatol Ges. 2017 Jul;15(7):729-731. [CrossRef]
- Verdelli, A.; Coi, A.; Marzano, A.V.; Antiga, E.; Cozzani, E.; Quaglino, P.; La Placa, M.; Benucci, M.; De Simone, C.; Papini, M.; Parodi, A.; Bianchi, F.; Caproni, M. Autoantibody profile and clinical patterns in 619 Italian patients with cutaneous lupus erythematosus. J Eur Acad Dermatol Venereol. 2019 Apr;33(4):742-752. [CrossRef]
- Böckle, B.C.; Sepp, N.T. Smoking is highly associated with discoid lupus erythematosus and lupus erythematosus tumidus: analysis of 405 patients. Lupus. 2015, 24, 669–674. [Google Scholar] [CrossRef] [PubMed]
- Jessner, M.; Kanof, N.B. Lymphocytic infiltration of the skin. Arch Dermatol 1953, 68, 447–449. [Google Scholar]
- Weber, F.; Schmuth, M.; Fritsch, P.; Sepp, N. Lymphocytic infiltration of the skin is a photosensitive variant of lupus erythematosus: evidence by phototesting. Br J Dermatol. 2001 Feb;144(2):292-6. [CrossRef]
- Rémy-Leroux, V.; Léonard, F.; Lambert, D.; Wechsler, J.; Cribier, B.; Thomas, P.; Adamski, H.; Marguery, M.C.; Aubin, F.; Leroy, D.; Bernard, P. Comparison of histopathologic-clinical characteristics of Jessner's lymphocytic infiltration of the skin and lupus erythematosus tumidus: Multicenter study of 46 cases. J Am Acad Dermatol. 2008 Feb;58(2):217-23. [CrossRef]
- Superficial and deep perivascular inflammatory dermatoses. En: McKee PH, Calonje E, Granter SR, editors. Pathology of the skin with clinical correlations. 3rd edition. Philadephia: Elsevier; 2005. p. 269–71.
- Steigleder, G.K.; Gartmann, H.; Linker, U. REM syndrome: reticular erythematous mucinosis (round-cell erythematosis), a new entity? Br J Dermatol. 1974 Aug;91(2):191-9. [CrossRef]
- PERRY, H.O.; KIERLAND, R.R.; MONTGOMERY, H. Plaque-like form of cutaneous mucinosis. Arch Dermatol. 1960 Dec;82:980-5. [CrossRef]
- Bleehen, S.S.; Slater, D.N.; Mahood, J.; Church, R.E. Reticular erythematous mucinosis: light and electron microscopy, immunofluorescence and histochemical findings. Br J Dermatol. 1982 Jan;106(1):9-18. [CrossRef]
- Vanuytrecht-Henderickx, D.; Dewolf-Peeters, C.; Degreef, H. Morphological study of the reticular erythematous mucinosis syndrome. Dermatologica. 1984;168(4):163-9. [CrossRef]
- Izumi, T.; Tajima, S.; Harada, R.; Nishikawa, T. Reticular erythematous mucinosis syndrome: glycosaminoglycan synthesis by fibroblasts and abnormal response to interleukin-1 beta. Dermatology. 1996;192(1):41-5. [CrossRef]
- Del Pozo, J.; Martínez, W.; Almagro, M.; Yebra, M.T.; García-Silva, J.; Fonseca, E. Reticular erythematous mucinosis syndrome. Report of a case with positive immunofluorescence. Clin Exp Dermatol. 1997 Sep;22(5):234-6. [CrossRef]
- Al Dhafiri, M.; Kaliyadan, F. Granuloma Faciale. 2023 Jul 4. In: StatPearls [Internet]. Treasure Island (FL): StatPearls Publishing; 2024 Jan–.
- Skin Lymphoma, The Illustrated Guide. Lorenzo Cerroni. Wiley Blackwell. 5th Edition. 2020.
- Georgiadou, N.; Singh, S.; Singh, M. Lupus Erythematosus Tumidus Associated With Hemophagocytosis. Am J Dermatopathol. 2022 Jul 1;44(7):519-522. [CrossRef]
- Choonhakarn, C.; Poonsriaram, A.; Chaivoramukul, J. Lupus erythematosus tumidus. Int J Dermatol. 2004 Nov;43(11):815-8. [CrossRef]
- Boggio, F.; Lora, V.; Cota, C.; Pereira, A.; Müllegger, R.; Prieto-Torres, L.; Cerroni, L. Cutaneous hemophagocytosis: Clinicopathologic features of 21 cases. J Am Acad Dermatol. 2018 Feb;78(2):377-382. [CrossRef]
- Kerl, K.; Wolf, I.H.; Cerroni, L.; Wolf, P.; French, L.E.; Kerl, H. Hemophagocytosis in Cutaneous Autoimmune Disease. Am J Dermatopathol. 2015 Jul;37(7):539-43. [CrossRef]
- Magaña, M.; Castellanos, G.; Meurehg, C.C.; Magaña-Mainero, M.R. Lupus Erythematosus Tumidus: Clinical and Pathological Features in a Series of 20 Patients. Am J Dermatopathol. 2022 Jul 1;44(7):469-477. [CrossRef]

Disclaimer/Publisher’s Note: The statements, opinions and data contained in all publications are solely those of the individual author(s) and contributor(s) and not of MDPI and/or the editor(s). MDPI and/or the editor(s) disclaim responsibility for any injury to people or property resulting from any ideas, methods, instructions or products referred to in the content. |
© 2024 by the authors. Licensee MDPI, Basel, Switzerland. This article is an open access article distributed under the terms and conditions of the Creative Commons Attribution (CC BY) license (http://creativecommons.org/licenses/by/4.0/).