Submitted:
13 March 2024
Posted:
13 March 2024
You are already at the latest version
Abstract
Keywords:
1. Introduction
2. Case Presentation
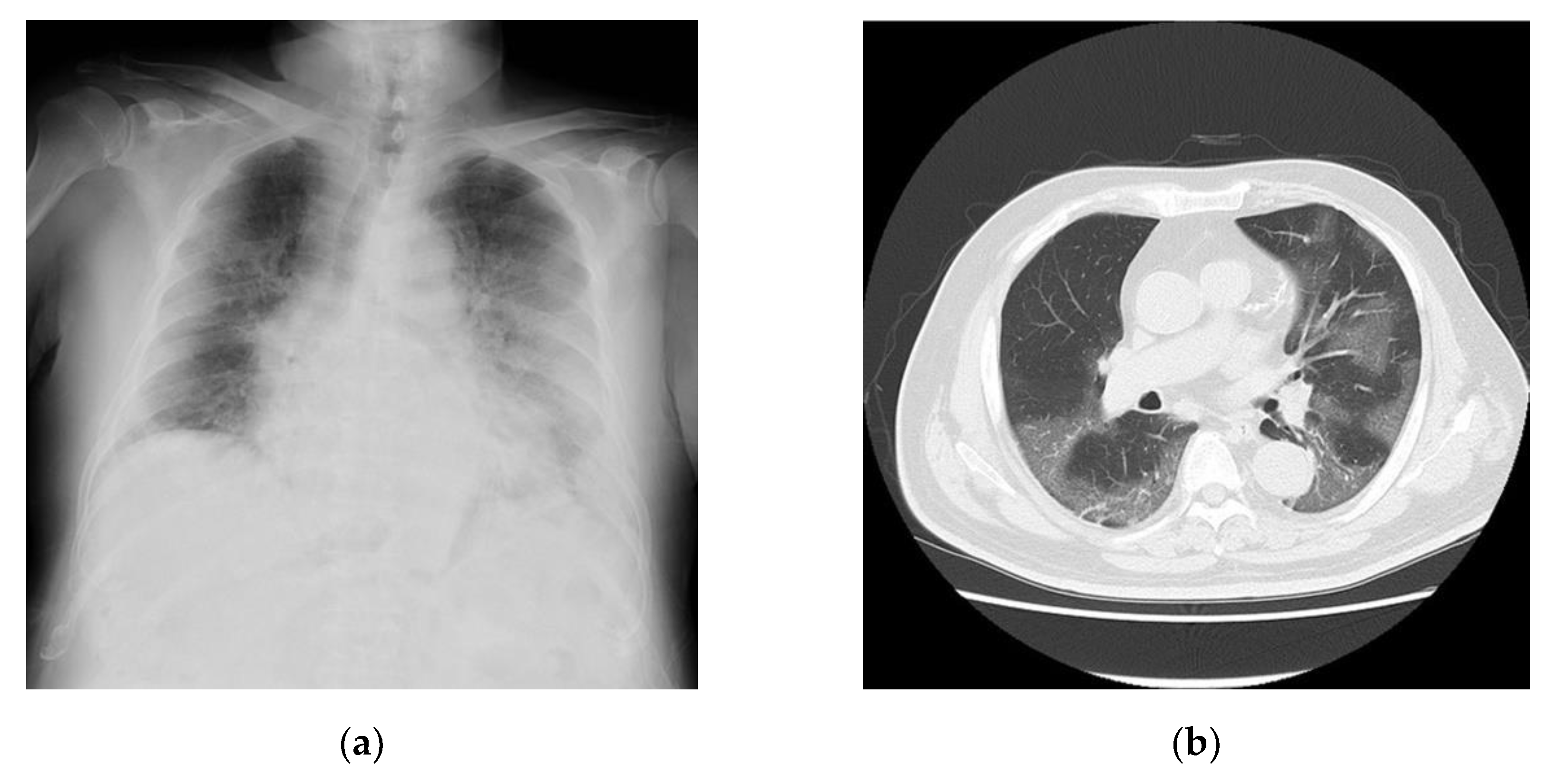
2.1. Case 1
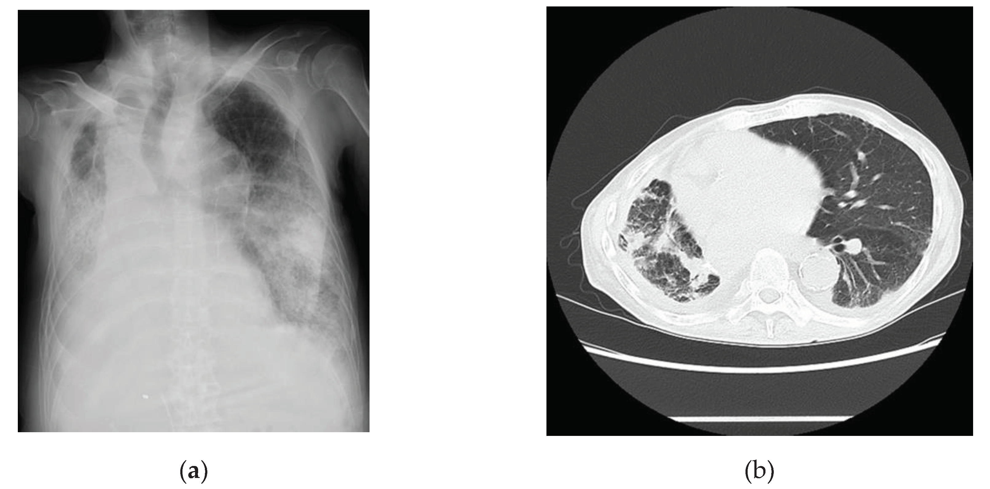
2.2. Case 2
2.3. Case 3
| Marker | Abnormal value or cutoff value | Case 1 | Case 2 | Case 3 |
|---|---|---|---|---|
| Late potential | ||||
| fQRS, millisecond | >135 | 128 | 136 | 160 |
| RMS40, μV | <20 | 4.4 | 1.5 | 10.4 |
| LAS40, millisecond | >38 | 60 | 53 | 57 |
| Determination | Positive | Positive | Positive | |
| T-wave alternans | ||||
| Noise level, mV | (*1), (*2) | 10.0 | 9.6 | 12.3 |
| TWA, μV | (*1), (*2) | 80.0 | 28.4 | 35.7 |
| Determination | Positive | Positive | Positive | |
| Heart rate variability | ||||
| SDNN, millisecond | <75 | 41.6 | 64.0 | 64.0 |
| Determination | Positive | Positive | Positive | |
| Heart rate turbulence | ||||
| TO, % | ≥0 | 0.01 | 0.01 | 0.01 |
| TS, millisecond/RR interval | ≤2.5 | 1.30 | 1.00 | 1.00 |
| Determination | Abnormal (Category 2) |
Abnormal (Category 2) |
Abnormal (Category 2) |
4. Discussion
5. Conclusions
Author Contributions
Funding
Institutional Review Board Statement
Informed Consent Statement
Data Availability Statement
Acknowledgments
Conflicts of Interest
References
- World Health Organization. Title of Site. Available online: https://data.who.int/dashboards/covid19/deaths?n=c (accessed on 21 February 2024).
- Sharma, Y.P.; Agstam, S.; Yadav, A.; Gupta, A.; Gupta, A. Cardiovascular manifestations of COVID-19: An evidence-based narrative review. Indian J. Med. Res. 2021, 153, 7–16. [Google Scholar] [CrossRef]
- Madjid, M.; Safavi-Naeini, P.; Solomon, S.D.; Vardeny, O. Potential effects of coronaviruses on the cardiovascular system: A review. JAMA Cardiol. 2020, 5, 831–840. [Google Scholar] [CrossRef]
- Azevedo, R.B.; Botelho, B.G.; Hollanda, J.V.G.; Ferreira, L.V.L.; Junqueira de Andrade, L.Z.; Oei, S.S.M.L.; Mello, T.S.; Muxfeldt, E.S. Covid-19 and the cardiovascular system: A comprehensive review. J. Hum. Hypertens. 2021, 35, 4–11. [Google Scholar] [CrossRef] [PubMed]
- Long, B.; Brady, W.J.; Bridwell, R.E.; Ramzy, M.; Montrief, T.; Singh, M.; Gottlieb, M. Electrocardiographic manifestations of COVID-19. Am. J. Emerg. Med. 2021, 41, 96–103. [Google Scholar] [CrossRef] [PubMed]
- Kinoshita, T.; Hashimoto, K.; Yoshioka, K.; Miwa, Y.; Yodogawa, K.; Watanabe, E.; Nakamura, K.; Nakagawa, M.; Nakamura, K.; Watanabe, T.; et al. Risk stratification for cardiac mortality using electrocardiographic markers based on 24-hour Holter recordings: The JANIES-SHD study. J. Cardiol. 2020, 75, 155–163. [Google Scholar] [CrossRef] [PubMed]
- Hashimoto, K.; Amino, M.; Yoshioka, K.; Kasamaki, Y.; Kinoshita, T.; Ikeda, T. Combined evaluation of ambulatory-based late potentials and nonsustained ventricular tachycardia to predict arrhythmic events in patients with previous myocardial infarction: A Japanese noninvasive electrocardiographic risk stratification of sudden cardiac death (JANIES) substudy. Ann. Noninvasive Electrocardiol. 2021, 26, e12803. [Google Scholar] [CrossRef]
- Gatzoulis, K.A.; Tsiachris, D.; Arsenos, P.; Antoniou, C.K.; Dilaveris, P.; Sideris, S.; Kanoupakis, E.; Simantirakis, E.; Korantzopoulos, P.; Goudevenos, I.; et al. Arrhythmic risk stratification in post-myocardial infarction patients with preserved ejection fraction: The PRESERVE EF study. Eur. Heart J. 2019, 40, 2940–2949. [Google Scholar] [CrossRef]
- Bauer, A.; Malik, M.; Schmidt, G.; Barthel, P.; Bonnemeier, H.; Cygankiewicz, I.; Guzik, P.; Lombardi, F.; Müller, A.; Oto, A.; et al. Heart rate turbulence: Standards of measurement, physiological interpretation, and clinical use: International Society for Holter and Noninvasive Electrophysiology Consensus. J. Am. Coll. Cardiol. 2008, 52, 1353–1365. [Google Scholar] [CrossRef]
- Yoshioka, K.; Amino, M.; Zareba, W.; Shima, M.; Matsuzaki, A.; Fujii, T.; Kanda, S.; Deguchi, Y.; Kobayashi, Y.; Ikari, Y.; et al. Identification of high-risk Brugada syndrome patients by combined analysis of late potential and T-wave amplitude variability on ambulatory electrocardiograms. Circ. J. 2013, 77, 610–618. [Google Scholar] [CrossRef]
- Hashimoto, K.; Harada, N.; Kasamaki, Y. Reference values for a novel ambulatory-based frequency domain T-wave alternans in subjects without structural heart disease. J. Cardiol. 2020, 76, 506–513. [Google Scholar] [CrossRef]
- Trachanas, K.; Sideris, S.; Arsenos, P.; Tsiachris, D.; Antoniou, C.K.; Dilaveris, P.; Triantafyllou, K.; Xenogiannis, I.; Tsimos, K.; Efremidis, M.; et al. Noninvasive risk factors for the prediction of inducibility on programmed ventricular stimulation in post-myocardial infarction patients with an ejection fraction ≥40% at risk for sudden cardiac arrest: Insights from the PRESERVE-EF study. Ann. Noninvasive Electrocardiol. 2022, 27, e12908. [Google Scholar] [CrossRef]
- Yakubo, S.; Ozawa, Y.; Saito, S.; Kasamaki, Y.; Komaki, K.; Hanakawa, K.; Sasaki, Y.; Aruga, M.; Miyazawa, I.; Kanda, T.; et al. Normal limits of high-resolution signal-averaged ECG parameters of Japanese adult men and women. J. Electrocardiol. 2000, 33, 225–231. [Google Scholar] [CrossRef]
- Yang, T.F.; Macfarlane, P.W. New sex dependent normal limits of the signal averaged electrocardiogram. Br. Heart J. 1994, 72, 197–200. [Google Scholar] [CrossRef]
- Lui, P.P.; Blet, A.; Smyth, D.; Li, H. The science underlying COVID-19: Implications for the cardiovascular system. Circulation 2020, 142, 68–78. [Google Scholar] [CrossRef]
- Hashimoto, K.; Kinoshita, T.; Miwa, Y.; Amino, M.; Yoshioka, K.; Yodogawa, K.; Nakagawa, M.; Nakamura, K.; Watanabe, E.; Nakamura, K.; et al. Ambulatory electrocardiographic markers predict serious cardiac events in patients with chronic kidney disease: The Japanese Noninvasive Electrocardiographic Risk Stratification of Sudden Cardiac Death in Chronic Kidney Disease (JANIES-CKD) study. Ann. Noninvasive Electrocardiol. 2022, 27, e12923. [Google Scholar] [CrossRef] [PubMed]
- Steinberg, J.S.; Regan, A.; Sciacca, R.R.; Bigger, J.T. Jr; Fleiss, J.L. Predicting arrhythmic events after acute myocardial infarction using the signal-averaged electrocardiogram. Am. J. Cardiol. 1992, 69, 13–21. [Google Scholar] [CrossRef]
- Amit, G.; Rosenbaum, D.S.; Super, D.M.; Costantini, O. Microvolt T-wave alternans and electrophysiologic testing predict distinct arrhythmia substrates: Implications for identifying patients at risk for sudden cardiac death. Heart Rhythm 2010, 7, 763–768. [Google Scholar] [CrossRef]
- Watanabe, M.A.; Schmidt, G. Heart rate turbulence: A 5-year review. Heart Rhythm 2004, 1, 732–738. [Google Scholar] [CrossRef]
- Lindgren, K.S.; Mäkikallio, T.H.; Seppänen, T.; Raatikainen, M.J.; Castellanos, A.; Myerburg, R.J.; Huikuri, H.V. Heart rate turbulence after ventricular and atrial premature beats in subjects without structural heart disease. J. Cardiovasc. Electrophysiol. 2003, 14, 447–452. [Google Scholar] [CrossRef]
- Tondas, A.E.; Munawar, D.A.; Marcantoni, I.; Liberty, I.A.; Mulawarman, R.; Hadi, M.; Trifitriana, M.; Indrajaya, T.; Yamin, M.; Irfannuddin, I.; et al. Is T-wave alternans a repolarization abnormality marker in COVID-19? An investigation on the potentialities of portable electrocardiogram device. Cardiol. Res. 2023, 14, 45–53. [Google Scholar] [CrossRef]
- Mol, M.B.A.; Strous, M.T.A.; van Osch, F.H.M.; Vogelaar, F.J.; Barten, D.G.; Farchi, M.; Foudraine, N.A.; Gidron, Y. Heart-rate-variability (HRV), predicts outcomes in COVID-19. PLoS One 2021, 16, e0258841. [Google Scholar] [CrossRef]
- Duca, Ș.T.; Chetran, A.; Miftode, R.Ș.; Mitu, O.; Costache, A.D.; Nicolae, A.; Iliescu-Halițchi, D.; Halițchi-Iliescu, C.O.; Mitu, F.; Costache, I.I. Myocardial ischemia in patients with COVID-19 infection: Between pathophysiological mechanisms and electrocardiographic findings. Life (Basel) 2022, 12, 1015. [Google Scholar] [CrossRef]



| Characteristic | Case 1 | Case 2 | Case 3 |
|---|---|---|---|
| Age (years), sex | 78, female | 76, male | 67, male |
| Race | Asian | Asian | Asian |
| Prior history | Myasthenia gravis, postoperative phrenic nerve injury, and chronic kidney disease | Hypertension, diabetes mellitus, and cerebral infarction | Renal cancer, lung cancer, and pancreatic diabetes |
| Medication for cardiac diseases | — | — | — |
| Significant structured heart disease | — | — | — |
| Medication for hypertension/diabetes/dyslipidemia | — | DPP-4 inhibitor, SGLT2 inhibitor, metformin | Insulin |
| Family history of sudden cardiac death | — | — | — |
| History of smoking | — | + | + |
| Vital signs on admission | |||
| Blood pressure, mmHg | 122/73 | 116/91 | 177/97 |
| Pulse rate, beats per minute | 107 | 89 | 96 |
| Body temperature, ℃ | 38.1 | 37.0 | 36.9 |
| Respiratory rate, breaths per minute | 34 | 20 | 23 |
| Oxygen saturation, % | 95 (with oxygen mask and reservoir bag, 8 L/min flow) |
95 (with oxygen mask, 4 L/min flow) |
96 (with oxygen mask, 3 L/min flow) |
| 12-Lead electrocardiogram | |||
| QT prolongation | — | — | — |
| QT, millisecond | 352 | 382 | 427 |
| QTc, millisecond | 406 | 384 | 432 |
| ST-T changes | — | — | — |
| Finding | Case 1 | Case 2 | Case 3 |
|---|---|---|---|
| White blood cell count, μL | 12,000 | 10,900 | 7,100 |
| Hemoglobin, g/dL | 10.9 | 17.2 | 10.3 |
| Platelet count × 104/μL | 23.3 | 10.2 | 23.9 |
| AST, U/L | 20 | 44 | 19 |
| ALT, U/L | 9 | 36 | 8 |
| LDH, U/L | 251 | 417 | 137 |
| Total protein, g/dL | 6.1 | 6.4 | 7.0 |
| Albumin, g/dL | 3.1 | 3.1 | 2.0 |
| BUN, mg/dL | 38 | 30 | 14 |
| Creatinine, mg/dL | 1.53 | 1.11 | 0.57 |
| eGFR, mL/min | 25.8 | 56.6 | 107.3 |
| Procalcitonin, ng/dL | 0.3 | 0.4 | 0.17 |
| CRP, mg/dL | 19.7 | 20.3 | 6.5 |
| BNP, pg/mL | 178.3 | 20.3 | 162.0 |
| Troponin I, pg/mL(reference value: <28.0) | 272.8 | 10.6 | N/A |
| D-dimer, ng/mL | 1.0 | 1.8 | 3.5 |
| SF, μg/mL(reference value: <3.0) | 33.3 | 26.9 | N/A |
| Finding | Case 1 | Case 2 | Case 3 |
|---|---|---|---|
| IVS, mm | 8.5 | 7.0 | 9.3 |
| LVDd, mm | 35.6 | 51.0 | 50.5 |
| PWT, mm | 10.3 | 10.2 | 8.7 |
| LVEF, % | 82.7 | 75.1 | 64.2 |
| RVFAC, % | 44.4 | 53.9 | - |
| TAPSE, mm | 20.5 | 22.7 | - |
Disclaimer/Publisher’s Note: The statements, opinions and data contained in all publications are solely those of the individual author(s) and contributor(s) and not of MDPI and/or the editor(s). MDPI and/or the editor(s) disclaim responsibility for any injury to people or property resulting from any ideas, methods, instructions or products referred to in the content. |
© 2024 by the authors. Licensee MDPI, Basel, Switzerland. This article is an open access article distributed under the terms and conditions of the Creative Commons Attribution (CC BY) license (http://creativecommons.org/licenses/by/4.0/).