Preprint
Article

This version is not peer-reviewed.

Analysis of Factors Related to the Efficacy of Consciousness-Regaining Therapy for Prolonged Disorder of consciousness:A Retrospective Cohort Study

A peer-reviewed article of this preprint also exists.

Submitted:

28 February 2024

Posted:

29 February 2024

You are already at the latest version

Abstract
To explore the relevant factors that affect the efficacy of consciousness-regaining therapy (CRT)for prolonged disorder of consciousness(pDOC),a retrospective analysis was conducted on the case data of 114 patients with pDOC admitted to department of functional neurosurgery of Tianjin Huanhu Hospital from January 2019 to January 2022. Basic information on the cases,data on pDOC disease assessment, consciousness-regaining therapy methods, and efficacy evaluation were collected. A total of 114 patients were grouped and compared based on the efficacy at the end of treatment. Among them, there were 61 cases in the ineffective group and 53 cases in the effective group. There was no statistically significant difference (P>0.05) between the two groups in terms of gender, age, etiology, acute cerebral herniation, emergency craniotomy surgery, emergency decompressive craniectomy, time from onset to start of consciousness-regaining therapy , and duration of consciousness-regaining therapy(P>0.05). However, there were statistically significant differences (P<0.05) in terms of secondary hydrocephalus, , consciousness-regaining therapy methods, CRS-R grading before treatment, and GOSE score at 6 months after treatment. Binary logistic regression analysis showed that the type of therapy (OR=0.169, 95% CI: 0.057-0.508) was a related factor affecting the efficacy of consciousness-regaining therapy (P<0.05).Compared with non-invasive therapy, personalized awakening therapy using various invasive consciousness-regaining therapy methods can help improve the efficacy of therapy for pDOC.
Keywords: 
;  ;  ;  ;  

1. Introduction

Disorder of consciousness(DOC) is a change in consciousness state caused by damage or dysfunction of the nervous system that regulates arousal and consciousness [1,2]. Patients who fall into coma during the acute phase after brain injury exhibit a lack of both awakening and consciousness. After recovering from a coma, some patients exhibit a state of unresponsiveness to external stimuli (or only simple reflex movements unrelated to commands) and are diagnosed with vegetative state/unresponsive arousal syndrome (VS/UWS) [4]. If a patient exhibits evidence of clear self or environmental conscious behavior despite fluctuations, it can be diagnosed as being in a minimally conscious state(MCS) [5]. A consciousness disorder lasting more than 28 days is referred to as prolonged disorder of consciousness(pDOC) [6]. Considering the heavy economic burden and mental pressure brought by pDOC to society and families [7], how to provide better consciousness-regaining therapy for pDOC patients is currently a hot topic in clinical research. A series of clinical treatment have been formed, including drug therapy, non-invasive brain stimulation therapy, invasive deep brain electrical stimulation therapy, spinal cord electrical stimulation surgery, etc., which have given hope for improving the condition of many pDOC patients [6,8,9]. However, various factors such as different etiologies, severity of the condition, and treatment methods may affect the prognosis of patients with pDOC [10]. Currently, there is still a lack of large-scale case studies in the treatment of pDOC. Here is a summary of our center’s experience in the consciousness-regaining therapy for pDOC.

2. Materials and Methods

2.1. Participants

This study included patients of pDOC admitted to the Functional Neurosurgery Department of Tianjin Huanhu Hospital from January 2019 to January 2022, including basic information of the cases (gender, age, etc.), the condition during the acute phase, etiology, onset time, duration of treatment, comorbidities, methods of consciousness evaluation, methods of consciousness-regaining therapy, and efficacy.
Inclusion criteria: (1). Meets the diagnostic criteria for pDOC [6,11]; (2). Admitted into the functional neurosurgery department of our hospital for consciousness assessment and consciousness-regaining therapy; (3). Data of pDOC cases are complete.
Exclusion criteria: (1).Patients who have not received complete consciousness assessment and consciousness-regaining therapy.(2).pDOC patients with incomplete treatment information.

2.2. Assessment Methods for Consciousness Disorders

The evaluation of pDOC was mainly based on the JFK Coma Recovery Scale-Revised (CRS-R), combined with other multimodal evaluations such as neurophysiological monitoring, imaging examination, and laboratory testing. The Glasgow Coma Scale (GCS) score was used for evaluating the condition during the acute phase. CRS-R was conducted before the start of consciousness-regaining therapy after admission, during treatment, and after treatment.
As a supplement to clinical behavioral evaluation, it was not required that all patients underwent all the other multimodal evaluations. The imaging examination methods include brain CT and MRI examinations at different stages of the disease, cerebral vascular imaging CTA, MRA and DSA, cerebral perfusion imaging PWI and CTP, brain diffusion tensor imaging DTI, functional MRI(fMRI) etc. Some patients underwent neurophysiological examinations, such as 24-hour video EEG monitoring of patients; evoked potentials including brainstem auditory evoked potential (BAEP), somatosensory evoked potential (SEP), and visual evoked localization (VEP);event related potentials (ERP) including mismatch negativity(MMN) and P300, etc.

2.3. Grouping and Treatment Strategies of Consciousness-Regaining Therapy

According to whether the patient received surgical treatment related to CRT, all the cases included were divided into non-invasive group and invasive group. Non-invasive treatment includes: drug treatment, including oral amantadine and other resuscitation drugs, and hyperbaric oxygen treatment, median nerve electrical stimulation, acupuncture and moxibustion treatment, music therapy and other rehabilitation wake-up treatment. Invasive treatments include:Cranioplasty(CP), Ventriculoperitoneal shunt/Lumboperitoneal shunt(VPS/LPS), DBS surgery, SCS surgery, Vagus nerve electrical stimulation (VNS) surgery, etc. The preferred surgical method for hydrocephalus diversion is ventriculoperitoneal shunt(VPS). When the conditions for VPS are not available or the patient’s family refuses, LPS is chosen. The target of DBS is the bilateral centromedian-parafascicular complex of thalamus (CM-pf). If electrodes cannot be placed on one side due to cranioplasty or other reasons, the other side can be placed only, and it can be placed on the same side with the VPS tube. The electrode placement site for SCS is on the dorsal side of the epidural layer at the level of 2-4 vertebral body of the cervical spine.Invasive therapy is carried out on the basis of non-invasive therapy that has already been performed.
The treatment of pDOC adopts a phased strategy: (1) In the acute phase, the main focus is on treating the primary disease, while also treating various complications and maintaining the stability of vital signs; (2) During the 1-3 months of the pDOC period, non-invasive CRT treatment measures such as rehabilitation therapy, median nerve electrical stimulation (MNS) and hyperbaric oxygen therapy should be carried out, and cranioplasty should be carried out as soon as possible. (3)The restoration of cranial cavity morphology treatment inclued cranioplasty and hydrocephalus shunt surgery.Patients with hydrocephalus should undergo ventriculoperitoneal shunt (VPS)surgery. Currently, lumbar cistern peritoneal shunt(LPS) surgery is another choice.After the restoration of cranial cavity morphology treatment, patients who have not woken up after 3 months of DOC may consider choosing stimulation treatment such as DBS and SCS.
The brief surgical indications for DBS and SCS are: Consciousness CRS-R assessment is MCS and lasts for more than 3 months(non-traumatic); TBI patients with MCS state for more than 6 months; CRS-R with a VS state, but multimodal assessment suggests the possibility of consciousness recovery;short term SCS can be implemented after 1 months of DOC.
There is currently no guide on how to choose DBS and SCS.In clinical practice, selection of DBS and SCS is mostly based on research progress at the time and patient willingnessAll patients have signed informed consent forms for surgery.

2.4. Efficacy Evaluation and Analysis of Related Factors in Consciousness-Regaining Therapy

During and at the end of therapy, CRS-R scale evaluation is conducted as the main basis for efficacy evaluation, and auxiliary methods such as neuroimaging and electrophysiological monitoring are used to reduce misdiagnosis rates. According to the CRS-R assessment, the consciousness status is graded as eMCS, MCS+, MCS -, UWS, coma, and death. At the end of wake-up therapy and 6-month follow-up after discharge, comprehensive methods such as the CRS-R scale score were used to evaluate whether the therapeutic effect had improved. An increase in the score was considered as improvement, while no change in the score was considered ineffective.
According to the efficacy evaluation results of the included study cases at the end of treatment, they were divided into an ineffective group and an effective group. The basic information and etiology of the two groups, the condition before consciousness-regaining therapy, the time from onset to treatment, the duration of consciousness-regaining therapy, and the type of consciousness-regaining therapy were compared, and relevant factors that may affect the efficacy of consciousness-regaining therapy were analyzed.

2.5. Statistical Analysis

Perform statistical analysis using SPSS 26.0 software. Measurement data is expressed as mean ± standard deviation (x ± s), and data is subjected to normal distribution testing. Data that conforms to normal distribution is subjected to t-test; Count data is expressed in percentage (%), using χ 2 Inspection.Binary logistic regression was used for the multivariate analysis. All tests were two-sided, and the results were considered statistically significant at P<0.05.

3. Results

3.1. Factors of Demographic and Clinical Characteristics Influencing Recovery of Consciousness

This study included a total of 114 patients with pDOC, who were divided into an ineffective group and an effective group based on the evaluation of consciousness improvement by CRS-R at the end of consciousness-regaining therapy. Univariate analysis showed that there were no statistically significant differences between the two groups in terms of gender, age, etiology, acute cerebral herniation, emergency craniotomy surgery, decompressive craniectomy, time from onset to start of consciousness-regaining therapy, and duration of awakening treatment (all P>0.05). However, there were significant differences in the presence of secondary hydrocephalus, consciousness-regaining therapy methods, etc. There were statistically significant differences (P<0.05 for both) in the consciousness state grading before consciousness-regaining therapy and the GOSE score and 6-month CRS-R after consciousness-regaining therapy, as shown in Table 1.
The results of the multivariate logistic regression analysis showed that the therapy method (OR=0.169) was a significant correlation factor affecting the efficacy of consciousness-regaining therapy, and invasive consciousness-regaining therapy was associated with good early efficacy (P<0.05), as shown in Table 2.

3.2. Invasive Consciousness-Regaining Therapy

A total of 53 patients underwent invasive consciousness-regaining therapy methods, include: 17patients underwent VPS surgery treatment only, 7patients underwent CP treatment only, 4patients underwent DBS surgery only, 2 patients underwent SCS surgery only, 1patients underwent VNS surgery only, 14 patients underwent VPS/LPS+CP; 4 patients underwent VPS/LPS+DBS;4 patients underwent VPS/LPS+CP+DBS(Table 3).
The target of DBS surgery is the bilateral thalamic central midline parafascicular nucleus (CM-pf nucleus). If electrodes cannot be placed on one side due to skull repair or other reasons, only the other side can be placed, and it can be placed on the same side as the ventricular shunt tube (Figure 1). The electrode placement site for spinal cord electrical stimulation is on the dorsal side of the epidural layer at the level of 2-3th in the neck(Figure 2).

4. Discussion

4.1. Factors Related to the Efficacy of Therapy for pDoC

Prognosis of pDOC may be related to the patient’s different etiology, severity of the onset condition, whether the early treatment is reasonable and timely, the timing of rehabilitation and CRT, and the choice of CRT methods [10,11,12,13].Traumatic brain injury is the primary cause of pDOC, and stroke, ischemic hypoxic encephalopathy, poisoning, etc. are also the causes of this disease [12].VS/UWS has a poor prognosis for recovery of awareness when present for more than a year in traumatic cases and for 3 months in non-traumatic cases. The outcomes of minimally conscious state are variable [13]. Electrical stimulation treatments have been disappointing in vegetative state but occasionally improve minimally conscious state [13].Ruizhe Zheng et al. reported that the effectiveness of CRT could be affected by the age, baseline state of consciousness, and duration of stimulation treatment. Compared with non-invasive intervention, an invasive treatment can bring more behavioral improvement to MCS rather than UWS/VS patients. And importantly, they found that neuromodulation is a valuable therapy even years after the onset of DOC [14].
In this study, we conducted analysis on relevant factors that may affect the prognosis of pDOC, including patient basic information, general condition at the onset of the disease, treatment measures, and CRT methods. We also evaluated the patient’s recovery and the effectiveness of CRT. Results showed that there were significant differences in the presence of secondary hydrocephalus, CRT methods in different efficacy groups. This suggests that secondary hydrocephalus and the selection of CRT methods have a significant impact on the prognosis of pDOC.The study also found that different states of consciousness before CRT are correlated with different prognosis. At 6 months after the end of CRT treatment, there was still a significant difference in consciousness between the effective and ineffective groups.Analysis showed that the type of therapy was a related factor affecting the efficacy of CRT.Compared with non-invasive therapy, personalized invasive CRT methods can help improve the efficacy of therapy for pDOC.

4.2. Treatment Methods for pDOC

There is currently a lack of precise and effective treatment methods for pDOC [10,11,12]. Despite the lack of systematic research and sufficient evidence-based medicine, clinical research and attempts to treat pDOC have been ongoing due to the large population of pDOC patients and the enormous demand for treatment [6,7,8,9,10,11,12].
There is not enough evidence to support the use of drugs to improve the awareness level of pDOC patients so far. Some drugs such as amantadine, zolpidem, levodopa, midazolam, etc. have been reported to have an increasing effect on the awareness level of pDOC patients, but these are still in clinical research [8,9,10,11,12]. Hyperbaric oxygen therapy can increase brain tissue oxygen partial pressure, promote excitability of the brainstem ascending activating system, and be beneficial for nerve repair and cognitive function improvement in pDOC patients. Repetitive transcranial magnetic stimulation (rTMS) is based on the principle of electromagnetic induction to form an electric field in the brain, induce neuronal depolarization, and achieve the effect of regulating cortical excitability. MCS patients benefit better from rTMS treatment compared to VS patients [8]. Transcranial direct current stimulation (tDCS) utilizes weak direct current to regulate cortical excitability and connectivity, and MCS can benefit more from treatment. The cumulative effect of long-term tDCS regulation can reshape the consciousness network. Median nerve electrical stimulation (MNS) increases cerebral blood flow, enhances brain electrical activity, affects neurotransmitter secretion, and enhances arousal and awareness levels. The non-invasive CRT methods of this study mainly includes hyperbaric oxygen therapy, MNS therapy, and medical treatment.

4.3. Repair of Cranial Morphology and Neuromodulation

There are other treatment methods that contribute to the recovery of consciousness after entering the pDoC period, such as cranioplasty, hydrocephalus ventriculoperitoneal shunt, etc., which can be classified as complications treatment. Dang et al. has reported that cranioplasty is safe in patients with DOC and may be beneficial for the recovery of consciousness. Early surgery and surgery for MCS provide better results. Timely cranioplasty can help to reduce preoperative VPS, control incision complications, and detect and intervene in potential hydrocephalus [14].Hydrocephalus is one of these complications in patients with DOC. Hydrocephalus may also develop with a significant delay after the initial injury, reducing the potential for natural recovery of consciousness.Arnts H.et al. advocate a low threshold for CSF diversion when hydrocephalus is suspected, even months or years after brain injury [15].In this study, a total of 39 patients diagnosed with secondary hydrocephalus received VPS/LPS treatment, including those who received other invasive treatments.A total of 25 patients with postoperative skull defects underwent skull repair surgery.The final results of he study show that as part of invasive CRT treatment, these treatments are meaningful.
Clinical application of neuromodulation therapy in patients with pDOC is a hot topic.Zheng R.et al reported that compared with non-invasive intervention, an invasive intervention can bring more behavioral improvement to MCS rather than UWS/VS patients, the application of neuromodulation can improve the behavioral performance of patiens with DOC [16]. DBS is based on the central circuit mechanism of consciousness, which stimulates the bilateral central thalamus, a key node of the circuit, to improve the low level of neural activity after brain injury. SCS enhances stimulation input and increases cerebral blood flow in the brainstem reticular activation system, thereby enhancing the excitability of the conscious loop [8,11]. Based on current guidelines and clinical practice, we adopt a phased strategy for the treatment of DOC included in this shtudy.Firstly, all 114 cases included in the study were treated with non-invasive CRT, including rehabilitation and hyperbaric oxygen therapy and so on. On the basis of non-invasive awakening therapy, a total of 15 patients received invasive neuromodulation therapy including DBS, SCS, and VNS,some of whom were treated with VPS and CP. The results show that selective invasive CRT based on the patient’s condition has achieved better therapeutic effects.

4.4. Improvement of Assessment Methods for pDOC

At present, the most commonly used consciousness assessment and grading standard in clinical practice is CRS-R [17,18]. However, there is still a 40% misdiagnosis rate for diagnosing DOC based on clinical scale scores such as CRS-R, which can easily lead to missed surgical opportunities for patients who have the opportunity to wake up [19].The accurate evaluation of pDOC has important guiding significance for treatment [6,8]. If MCS patients are misdiagnosed as VS/UWS, they may miss the opportunity to receive further treatment due to a pessimistic prognosis. In recent years, the development of multimodal neurophysiological detection and neuroimaging technology has led to significant progress in the detection, clinical diagnosis, prognosis assessment, and treatment of pDOC residual consciousness [19,20,21,22].In order to more accurately assess the level of consciousness and provide better reference for clinical decision-making, it is necessary to conduct multimodal and comprehensive EEG and imaging testing on the basis of clinical behavior assessment, forming a EEG monitoring model combining 24-hour EEG, evoked potentials, and event related potentials, and a multimodal imaging evaluation model qualitative using conventional MRI screening, DTI localization, fMRI and PET, and fNIRS [22,23]. It is generally believed that the damage to the brain in the state of micro consciousness is lighter than that in the state of vegetation, and fMRI shows more activated areas and extensive connections in the brain, resulting in a better prognosis [23].In this study, we still used CRS-R as the basic criterion for evaluating the state of consciousness, only some cases underwent EEG and ERP related monitoring, so detailed reports were not provided in this article. We will conduct specialized analysis in future reports.

5. Conclusions

In clinical practice, patients with pDOC have different etiologies and pathogenesis, resulting in different locations of brain damage and degrees of consciousness disorders [24,25]. The efficacy of CRT for pDOC is influenced by multiple factors. This requires personalized CRT based on the characteristics of each patient to achieve the best therapeutic effect.As a real-world study,we did not further group and compare the cases in the invasive treatment group due to the limited number of cases. We will conduct further research as the number of cases accumulates.How to choose a more reasonable CRT program for different levels and causes of pDOC is also the next research direction that needs to be studied.
To achieve optimal outcomes, future research should focus on refining the treatment protocol, identifying subgroups of patients who are most likely to benefit from CRT, and exploring novel approaches to enhance recovery from pDOC.

Author Contributions

Yan’gang Wang and Zhongzhen Li contributed equally to this work.Conception and design:Yan’gang Wang, Zhongzhen Li and Shaoya Yin. Acquisition of data: Wang Yangang, Zhongzhen Li and Yuzhang Wu. Analysis and interpretation of data: Yan’gangWang, Zhongzhen Li, Yuzhang Wu and Guangrui Zhao. Drafting the article: Yan’gangWang. Critically revising the article:Yifeng Cheng, Keke Feng; Study supervision: Shaoya Yin.

Funding

This research was funded by the Natural Science Foundation of Tianjin Science and Technology Correspondent Project(grant number. 20JCYBJC00930).

Institutional Review Board Statement

The study was conducted in accordance with the Declaration of Helsinki and approved by the Ethics Committee of Tianjin Huanhu Hospital (no. 2021-059).

Informed Consent Statement

Informed consent was obtained from all subjects involved in the study.

Data Availability Statement

The data used to support the findings of this study are available from the corresponding author upon request.

Acknowledgments

This research was funded by the Natural Science Foundation of Tianjin Science and Technology Correspondent Project(grant number. 20JCYBJC00930).

Conflicts of Interest

The authors have no conflicts of interest to declare.

References

  1. Giacino JT;Fins JJ; Laureys S;Schif ND. Disorders of consciousness after acquired brain injury: the state of the science. Nat Rev Neurol.2014,10:99–114. [CrossRef]
  2. Schif ND;Plum F.The role of arousal and “gating” systems in the neurology of impaired consciousness. J Clin Neurophysiol 2000,17:438–452.
  3. Marsden, C. The diagnosis of stupor and coma (3rd edn). J Neurol Neurosurg Psychiatry.1981,44:270–271.
  4. Laureys S;Celesia GG;Cohadon F; Lavrijsen J; Leon-Carrion J;Sannita WG;Sazbon L;Schmutzhard E;von Wild KR;Zeman A;Dolce G;European Task Force on Disorders of Consciousness.Unresponsive wakefulness syndrome: a new name for the vegetative state or apallic syndrome. BMC Med.2010,8:68. 1186. [CrossRef]
  5. Giacino JT; Ashwal S;Childs N;Cranford R;Jennett B; Katz DI;Kelly JP;Rosenberg JH;Whyte J; Zafonte RD;Zasler ND.The minimally conscious state: defnition and diagnostic criteria. Neurology.2002,58:349–353. [CrossRef]
  6. Giacino JT;Katz DI;Schiff ND;Whyte J;Ashman EJ;Ashwal S;Barbano R;Hammond FM;Laureys S;Ling GSF;Nakase-Richardson R;Seel RT;Yablon S;Getchius TSD;Gronseth GS;Armstrong MJ.Practice guideline update recommendations summary: Disorders of consciousness: report of the Guideline Development, Dissemination, and Implementation Subcommittee of the American Academy of Neurology; the American Congress of Rehabilitation Medicine; and the National Institute on Disability, Independent Living, and Rehabilitation Research. Neurology. 2018,91:450–460. [CrossRef]
  7. Nekrasova J; Kanarskii M; Borisov I; Pradhan P; Shunenkov D; Vorobiev A; Smirnova M; Pasko V; Petrova MV; Luginina E; Pryanikov I.One-year demographical and clinical indices of patients with chronic disorders of consciousness. Brain Sciences 2021,11:651. [CrossRef]
  8. Thibaut A, Schiff N, Giacino J, Laureys S, Gosseries O. Therapeutic interventions in patients with prolonged disorders of consciousness. Lancet Neurol. 2019,18:600-614. [CrossRef]
  9. Giacino JT; Katz DI; Schiff ND; Whyte J; Ashman EJ; Ashwal S; Barbano R; Hammond FM; Laureys S; Ling GSF; Nakase-Richardson R; Seel RT; Yablon S; Getchius TSD; Gronseth GS; Armstrong MJ. Practice Guideline Update Recommendations Summary: Disorders of Consciousness: Report of the Guideline Development, Dissemination, and Implementation Subcommittee of the American Academy of Neurology; the American Congress of Rehabilitation Medicine; and the National Institute on Disability, Independent Living, and Rehabilitation Research. Arch Phys Med Rehabil. 2018 99:1699-1709. [CrossRef]
  10. Russell ME, Ivanhoe CB, Reed EA. Prognostication and Trajectories of Recovery in Disorders of Consciousness. Phys Med Rehabil Clin N Am. 2024,35:167-173. [CrossRef]
  11. Group of Disorders of Consciousness and Conscious-promotion, Professional Committee of Neurorepair of Chinese Medical Doctor Association.Diagnoses and treatments of prolonged disorders of consciousness: an experts consensus.Chinese Journal of Neuromedicine.2020,19:977-982. [CrossRef]
  12. Kondziella D, Bender A, Diserens K, van Erp W, Estraneo A, Formisano R, Laureys S, Naccache L, Ozturk S, Rohaut B, Sitt JD, Stender J, Tiainen M, Rossetti AO, Gosseries O, Chatelle C; EAN Panel on Coma, Disorders of Consciousness. European Academy of Neurology guideline on the diagnosis of coma and other disorders of consciousness. European Journal of Neurology, 2020, 27:741-756. [CrossRef]
  13. Bernat, JL. Chronic disorders of consciousness. Lancet. 2006,367:1181-92. [CrossRef]
  14. Dang Y; Ping J; Guo Y; Yang Y; Xia X; Huang R; Zhang J; He J. Cranioplasty for patients with disorders of consciousness. Ann Palliat Med. 2021;10:8889-8899. [CrossRef]
  15. Arnts H; van Erp WS; Sanz LRD; Lavrijsen JCM; Schuurman R; Laureys S; Vandertop WP; van den Munckhof P. The Dilemma of Hydrocephalus in Prolonged Disorders of Consciousness. J Neurotrauma. 2020,37:2150-2156. [CrossRef]
  16. Zheng R; Qi Z; Thibaut A; Wang Z; Xu Z; Di H; Wu X; Mao Y; Laureys S. Clinical application of neuromodulation therapy in patients with disorder of consciousness: A pooled analysis of 544 participants. NeuroRehabilitation. 2023,53:491-503. [CrossRef]
  17. Schnakers, C. Update on diagnosis in disorders of consciousness. Expert Rev Neurother. 2020,20:997-1004. [CrossRef]
  18. Golden K, Bodien YG, Giacino JT. Disorders of Consciousness: Classification and Taxonomy. Phys Med Rehabil Clin N Am. 2024,3:15-33. [CrossRef]
  19. André-Obadia N; Zyss J; Gavaret M; Lefaucheur JP; Azabou E; Boulogne S; Guérit JM; McGonigal A; Merle P; Mutschler V; Naccache L; Sabourdy C; Trébuchon A; Tyvaert L; Vercueil L; Rohaut B; Delval A. Recommendations for the use of electroencephalography and evoked potentials in comatose patients. Neurophysiologie Clinique. 2018,48:143-169. [CrossRef]
  20. Curley WH; Forgacs PB; Voss HU; Conte MM; Schiff ND.Characterization of EEG signals revealing covert cognition in the injured brain. Brain.2018, 141:1404–1421. [CrossRef]
  21. Yu Y; Meng F; Zhang L; Liu X; Wu Y; Chen S; Tan X; Li X; Kuang S; Sun Y; Luo B. A multi-domain prognostic model of disorder of consciousness using resting-state fMRI and laboratory parameters. Brain Imaging Behav. 2021 ,15:1966-1976. [CrossRef]
  22. Zieleniewska, M.; Duszyk, A.; Róza ’nski, P.; Pietrzak, M.; Bogotko, M.; Durka, P. Parametric Description of EEG Profiles for ˙ Assessment of Sleep Architecture in Disorders of Consciousness. Int. J. Neural Syst. 2019,29:1850049. [CrossRef]
  23. Wu, M.; Li, F.; Wu, Y.; Zhang, T.; Gao, J.; Xu, P.; Luo, B. Wu, M.; Li, F.; Wu, Y.; Zhang, T.; Gao, J.; Xu, P.; Luo, B. Impaired Frontoparietal Connectivity in Traumatic Individuals with Disorders of Consciousness: A Dynamic Brain Network Analysis. Aging Dis. 2020, 11:301–314. [CrossRef]
  24. Jang SH; Kim OL; Kim SH; Kim JB.The Relation between loss of consciousness,severity of traumatic brain injury, and injury of ascending reticular activating system in patients with traumatic brain injury. Am J Phys Med Rehabil.2019,98:1067-1071. [CrossRef]
  25. Pistarini C; Maggioni G. Early rehabilitation of Disorders of Consciousness (DOC): management, neuropsychological evaluation and treatment. Neuropsychol Rehabil.2018,28:1319-1330. [CrossRef]
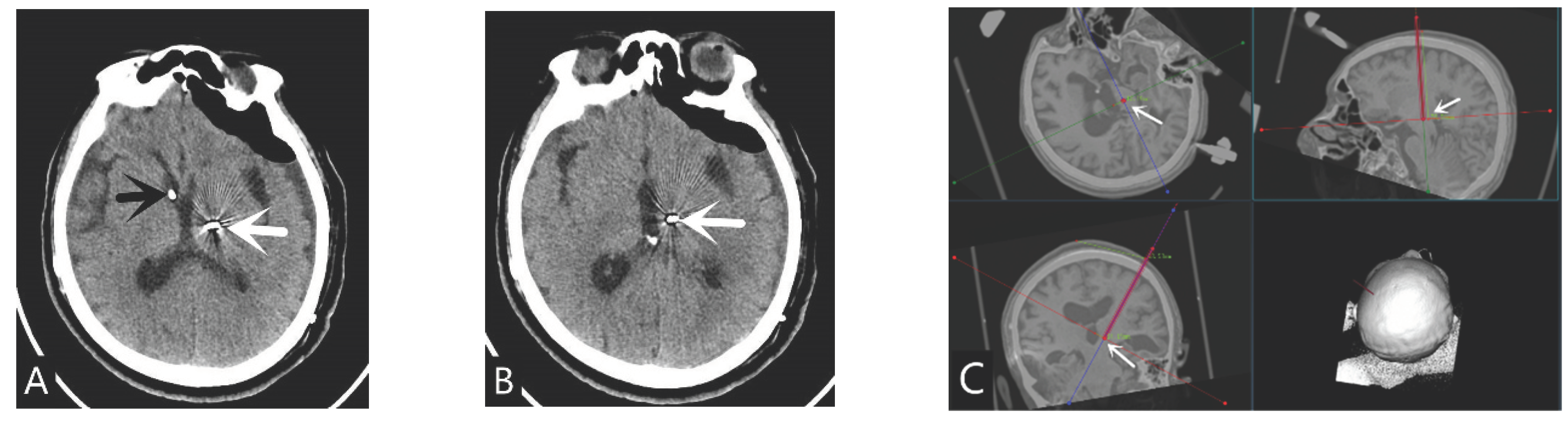
Figure 1. A stroke patient with secondary hydrocephalus underwent VPS and DBS surgery: (A) Placement of left DBS (white arrow)and right ventricular shunt(black arrow) simultaneously during surgery; (B) Fusion of CT and MRI images before DBS surgery, locating the left CM-pf nucleus(white arrow); (C) The end of the DBS electrode is located in the left CM-pf nucleus region(white arrow).
Figure 1. A stroke patient with secondary hydrocephalus underwent VPS and DBS surgery: (A) Placement of left DBS (white arrow)and right ventricular shunt(black arrow) simultaneously during surgery; (B) Fusion of CT and MRI images before DBS surgery, locating the left CM-pf nucleus(white arrow); (C) The end of the DBS electrode is located in the left CM-pf nucleus region(white arrow).
Preprints 100128 g001
Figure 2. High position SCS electrode located at the level of the 2-3th cervical vertebral body. (A) Lateral view of SCS electrode shown on DSA(white arrow); (B) Sagittal CT image of SCS electrode(white arrow); (C) Coronal CT image of SCS electrode (white arrow); (D) Axial CT image of SCS electrode(white arrow).
Figure 2. High position SCS electrode located at the level of the 2-3th cervical vertebral body. (A) Lateral view of SCS electrode shown on DSA(white arrow); (B) Sagittal CT image of SCS electrode(white arrow); (C) Coronal CT image of SCS electrode (white arrow); (D) Axial CT image of SCS electrode(white arrow).
Preprints 100128 g002
Table 1. Comparison of demographic and clinical characteristics between ineffective group and effective group.
Table 1. Comparison of demographic and clinical characteristics between ineffective group and effective group.
Variables Total (n=114) ineffective group(n= 47) effective group
(n= 67)
t/χ2 P value
Gender Male 79 30 49 1.234 0.289
Female 35 17 18
Age (years) 49.21±16.416 49.84±15.252 0.029 0.865
Etiology TBI 42 16 26 3.582 0.167
Stroke 60 23 37
Ischemic hypoxic encephalopathy 12 8 4
Cerebral hernia 55 23 32 0.015 0.902
EC 67 18 49 1.124 0.289
EDC 56 22 34 0.171 0.679
Secondary hydrocephalus 69 23 46 4.496 0.034*
Time interval 1.181±1.195 2.105±5.328 2.931 0.090
Treatment duration 1.660±0.950 2.800±4.300 3.845 0.052
Therapy methods Noninvasive therapy 61 36 25 17.134 0.000*
Invasive therapy 53 11 42
CRS-R before therapy Coma 1 0 1 19.124# 0.000*
VS/UWS 96 47 49
MCS 18 0 18
6-monthGOSE score Death 7 4 3 28.147 0.000*
No change 36 27 9
Improvement 67 15 52
Lost follow-up 4 1 3
6-month CRS-R No improvement 47 32 (68.1%) 15 (22.4%) 23.806 0.000*
Improvement 67 15 (31.9%) 52 (77.6%)
* indicates a significant difference (P<0.05); #, Fisher’s exact test. TBI, traumatic brain injury; EC, emergency craniotomy; EDC, emergency decompressive craniectomy; Time interval, time from onset to start of treatment; CRS-R, JFK Coma Recovery Scale-Revised; GOSE, Extended Glasgow Outcome Scale.
Table 2. Logistic regression analysis of the factors related to the efficacy of consciousness recovery.
Table 2. Logistic regression analysis of the factors related to the efficacy of consciousness recovery.
Variables P value OR 95% CI
treatment duration 0.304 1.154 0.879-1.515
Time interval 0.674 1.036 0.878-1.224
Secondary hydrocephalus 0.318 1.723 0.592-5.012
Therapy methods 0.002* 0.169 0.057-0.508
TBI 0.170 2.973 0.628-14.071
Stroke 0.150 3.005 0.672-13.449
* indicates a significant difference (P<0.05). Time interval, time from onset to start of treatment.TBI, traumatic brain injury.
Table 3. Different surgical methods and improvement of consciousness in the invasive treatment group.
Table 3. Different surgical methods and improvement of consciousness in the invasive treatment group.
Invasive therapy ineffective group
(n= 11)
effective group
(n= 42)
Total
(n=53)
VPS/LPS 2 15 17
CP 2 5 7
DBS 1 3 4
SCS 1 1 2
VNS 0 1 1
VPS/LPS+CP 2 12 14
VPS/LPS+DBS 2 2 4
VPS/LPS+CP+DBS 1 3 4
CP, cranioplasty; VPS, ventriculoperitoneal shunt; LPS, Lumboperitoneal shunt; DBS, Deep brain stimulation;SCS, Spinal cord electrical stimulation; VNS, Vagus nerve electrical stimulation.
Disclaimer/Publisher’s Note: The statements, opinions and data contained in all publications are solely those of the individual author(s) and contributor(s) and not of MDPI and/or the editor(s). MDPI and/or the editor(s) disclaim responsibility for any injury to people or property resulting from any ideas, methods, instructions or products referred to in the content.
Copyright: This open access article is published under a Creative Commons CC BY 4.0 license, which permit the free download, distribution, and reuse, provided that the author and preprint are cited in any reuse.
Prerpints.org logo

Preprints.org is a free preprint server supported by MDPI in Basel, Switzerland.

Subscribe

Disclaimer

Terms of Use

Privacy Policy

Privacy Settings

© 2026 MDPI (Basel, Switzerland) unless otherwise stated