Submitted:
06 February 2024
Posted:
07 February 2024
You are already at the latest version
Abstract
Keywords:
1. Introduction
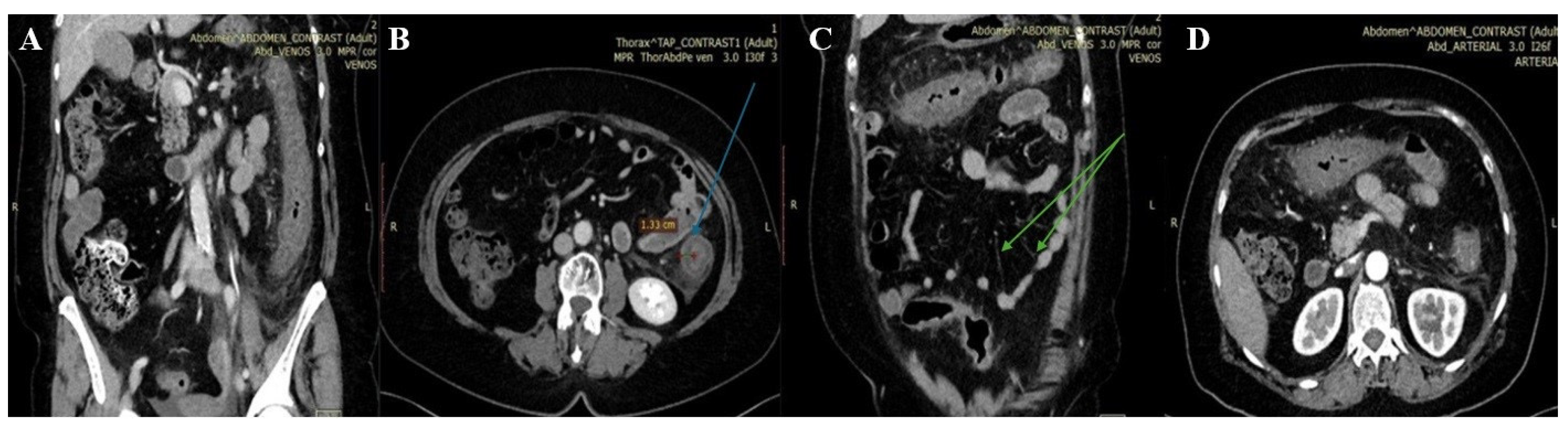
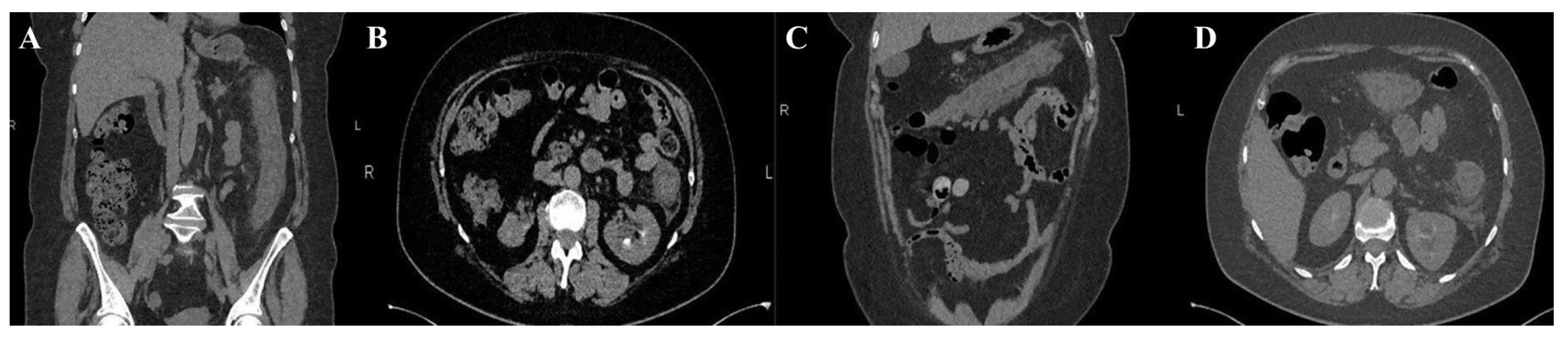
2. Case presentation
3. Discussion
4. Conclusions
Author Contributions
Funding
Institutional Review Board Statement
Informed Consent Statement
Data Availability Statement
Acknowledgments
Conflicts of Interest
References
- Beutin, L.; Fach, P. Detection of Shiga Toxin-Producing Escherichia coli from Nonhuman Sources and Strain Typing. Microbiol Spectr. 2014, 2. [Google Scholar] [CrossRef] [PubMed]
- Plastaras, L.; Vuitton, L.; Badet, N.; Koch, S.; Di Martino, V.; Delabrousse, E. Acute colitis: Differential diagnosis using multidetector CT. Clin Radiol. 2015, 70, 262–269. [Google Scholar] [CrossRef] [PubMed]
- Tarr, P.I.; Gordon, C.A.; Chandler, W.L. Shiga-toxin-producing Escherichia coli and haemolytic uraemic syndrome. Lancet 2005, 365, 1073–1086. [Google Scholar] [CrossRef] [PubMed]
- Kaper, J.B.; O’Brien, A.D. Overview and Historical Perspectives. Microbiol Spectr. 2014, 2. [Google Scholar] [CrossRef] [PubMed]
- Fernandez-Brando, R.J.; Sacerdoti, F.; Amaral, M.M.; Bernal, A.M.; Da Rocha, M.; Belardo, M.; Palermo, M.S.; Ibarra, C.A. Detection of plasma anti-lipopolysaccharide (LPS) antibodies against enterohemorrhagic Escherichia coli (EHEC) in asymptomatic kindergarten teachers from Buenos Aires province. Rev Argent Microbiol. 2023, Epub ahead of print. [CrossRef] [PubMed]
- Azer, S.A.; Tuma, F. Infectious Colitis. [Updated 2022 Sep 26]. In: StatPearls [Internet]. Treasure Island (FL): StatPearls Publishing; 2023 Jan-. Available online: https://www.ncbi.nlm.nih.gov/books/NBK544325/.
- Al-Smadi, D.M.; Shahwan, M.Y.; Madi, M.Y. Breaking Down the Gut: A Case of Severe Toxin-Mediated Colitis. Cureus 2023, 15, e37092. [Google Scholar] [CrossRef] [PubMed]
- Jessurun, J. The Differential Diagnosis of Acute Colitis: Clues to a Specific Diagnosis. Surg Pathol Clin. 2017, 10, 863–885. [Google Scholar] [CrossRef] [PubMed]
- Mühlen, S.; Dersch, P. Treatment Strategies for Infections With Shiga Toxin-Producing Escherichia coli. Front Cell Infect Microbiol. 2020, 10, 169. [Google Scholar] [CrossRef] [PubMed]
- Tanquilut, C.D.; Jung, C.W.; Nelson, A.W.; Lau, S.K. Infection due to Shiga toxin-producing enterohemorrhagic Escherichia coli (EHEC) presenting as ischemic colitis. IDCases 2019, 18, e00629. [Google Scholar] [CrossRef] [PubMed]
- Matthew, C.; Kerstin, A.; Igor, S. S1915 A Sporadic Case of Shiga Toxin-Producing Enterohemorrhagic Escherichia Coli O111 Infection Manifesting as Ischemic Colitis. Am. J. Gastroenterol. 2021, 116, S841. [Google Scholar] [CrossRef]
- Cocca, S.; Campigotto, M.; Simonini, M.S.; Gozzi, C.; Grande, G.; et al. Enterohemorrhagic shiga- like toxin producer Escherichia Coli Ileitis: The first capsule endoscopy report in adults. J Clin Images Med Case Rep. 2022, 3, 1667. [Google Scholar] [CrossRef]
- Gary, R.K.; Smith, K.; Wagstrom, L. Colonic Necrosis and Perforation Secondary to Escherichia coli O157:H7 Gastroenteritis in an Adult Patient without Hemolytic Uremic Syndrome. Clinical Infectious Diseases 2002, 35, e103–e105. [Google Scholar] [CrossRef]
- Kendrick, J.B.; Risbano, M.; Groshong, S.D.; Frankel, S.K. A rare presentation of ischemic pseudomembranous colitis due to Escherichia coli O157:H7. Clin Infect Dis. 2007, 45, 217–219. [Google Scholar] [CrossRef] [PubMed]
- Tominaga, T.; Oikawa, M.; Takeshita, H.; Kunizaki, M.; Tou, K.; Abo, T.; Hidaka, S.; Nanashima, A.; Sawai, T.; Nagayasu, T. Successful Colectomy for Hemorrhagic Colitis with Hemolytic Uremic Syndrome and Acute Encephalopathy due to Escherichia coli O157 Infection. Case Rep Gastroenterol. 2014, 8, 82–88. [Google Scholar] [CrossRef] [PubMed]
- Radhakrishnan, S.T.; Ruban, A.; Uthayakumar, A.K.; Cohen, P.; Levy, J.; Teare, J. Haemolytic uraemic syndrome—A rare case report of bloody diarrhoea in adults. BMC Gastroenterol. 2019, 19, 156. [Google Scholar] [CrossRef] [PubMed]
- Falup-Pecurariu, O.; Lixandru, R.I.; Cojocaru, E.; Csutak, K.; Monescu, V.; Muhsen, K.; Falup-Pecurariu, C.; Cohen, D. Shiga toxin producing Escherichia coli-associated diarrhea and hemolytic uremic syndrome in young children in Romania. Gut Pathog. 2019, 11, 46. [Google Scholar] [CrossRef] [PubMed]
- Emilie, P.; Alina, Z.; Cipriana, Z.L.; Ettore, S.; Otilia, M.; Codruta, U.; Mihaela, B.; Laura, E.; Josep, J.; Gaia, S.; et al. Early findings in outbreak of haemolytic uraemic syndrome among young children caused by Shiga toxin-producing Escherichia coli, Romania, January to February 2016. Euro Surveill. 2016, 21, pii-30170. [Google Scholar] [CrossRef]
- European Centre for Disease Prevention Control Chlamydia infection In:, E.C.D.C. Annual epidemiological report for 2021. Stockholm: ECDC; 2022 (Accessed on 4th of January 2024).




| Day 1 | Day 3 | Day 6 | Day 8 | Day 10 | |
|---|---|---|---|---|---|
| WBC (103/mm3) | 21.1 | 18 | 12.5 | 9.5 | 8.3 |
| Neutrophils (%) | 77.9 | 81.4 | 76 | 71 | 60 |
| Platelets (103/mm3) | 331 | 238 | 238 | 255 | 326 |
| Haemoglobin (g/dl) | 14.9 | 12 | 11.8 | 11.4 | 11.8 |
| Fibrinogen (mg/dl) | 483 | 641 | 469 | 363 | |
| CRP (mg/dl) | 1.4 | 98.9 | 69.82 | 30 | |
| BUN (mg/dl) | 25 | 37 | |||
| Creatinine (mg/dl) | 0.5 | 0.5 | 0.6 | 0.68 | 0.5 |
| Na (mmol/l) | 133 | 132 | 140 | ||
| K (mmol/l) | 3.48 | 3.56 | 4.06 | 4.67 | |
| BT (mg/dl) | 1.0 | 0.17 | |||
| BD (mg/dl) | 0.2 | 0.06 | |||
| BI (mg/dl) | 0.8 | ||||
| AST (U/L) | 18 | 41 | 19 | ||
| ALT (U/L) | 23 | 15 | 28 | 17 | |
| GGT (U/L) | 27 | 59 | |||
| ALP (U/L) | 74 | ||||
| Amylase (U/L) | 68 | 27 | 23 | ||
| Lipase (U/L) | 13 | ||||
| Albumin (g/dl) | 2.67 | 3.34 | |||
| Glucose (mg/dl) | 146 | 73 | 65 | ||
| LDH (U/L) | 192 | ||||
| CK (U/L) | 22 | ||||
| D-DIMER (ng/mL) | 1665 | ||||
| PCT (ng/mL) | < 0.5 |
| Reference | Cases (sex, age) |
Clinical findings | Biological changes | Microbiological tests | Imagistic investigations | Histological findings | Management | HUS | Other complications |
|---|---|---|---|---|---|---|---|---|---|
| Kravitz, 2002 (13) |
F, 48 | Pain, fever, vomiting, non-bloody diarrhoea | Leucocytosis, low sodium and potassium level, | Negative stool culture; antibodies to E coli O157 LPS with positive dynamics |
Ileus and free subdiaphragmatic air on radiography | Bowel wall rupture, acute haemorrhagic colitis with ischemic features |
Imipenem-cilastatin; piperacillin-tazobactam, fluconazole. Surgical intervention |
No | Colon perforation |
| Kendrick, 2007 (14) |
M, 59 | Pain, fever, bloody diarrhoea | Mild leucocytosis | E coli O157:H7 isolated in stool culture | Wall thickening through the entire colon at CT scan | Inflammatory pseudo-membranes, mucosal ischemia, and ulceration | Metronidazole Surgical intervention |
No | Colon necrosis |
| Tominaga, 2014 (15) | M, 81 | Pain, febrile, bloody diarrhoeae, | Inflammatory syndrome, thrombocytopenia | E coli O157 isolated in stool culture; positive verotoxin | Thickening of the entire colon wall and ascites at CT scan | haemorrhagic necrosis into mucosa with subjacent oedema | Cefotiam, levofloxacin Surgical intervention |
Yes | Colon necrosis, septic shock |
| Radhakrishnan, 2019 (16) | M, 17 | Pain, fever, bloody diarrhoea | Mild leucocytosis, | Positive STEC antibodies | Wall thickening in the ascending colon at CT scan | Haemorrhagic lesions, inflammatory exudate, and atrophic crypts | Cefuroxime, metronidazole, Eculizumab | Yes | Thrombocytopenia, partial-complex seizures |
| Tanquilut, 2019 (10) | F, 32 | Pain, afebrile, non-bloody diarrhoea | Intense leucocytosis, low sodium | GI panel stool positive for STEC Negative stool culture |
ND | Superficial mucosal necrosis, haemorrhages into lamina propria | Ciprofloxacin, metronidazole, piperacillin-tazobactam, | No | No |
| Caldis, 2021 (11) | F, 59 | Pain, Afebrile, non-bloody emesis, dark stool |
Moderate leucocytosis | E coli O111 isolated in stool culture | Severe colitis, without evidence of large vessel occlusion on CT angiogram | Ischemic colitis in appearance | Ceftriaxone, metronidazole | No | No |
| Cocca, 2022 (12) | M, 44 | Asthenia, Fever, melena |
Mild inflammation (CRP) | GI panel stool positive for STEC O157 | Thickened wall of terminal ileum at angio-CT | Inflamed and ulcerated mucosa | Azithromycin | No | No |
| Al-Smadi, 2023 (7) | M, 21 | Pain, afebrile, bloody diarrhoea | Mild leucocytosis | Positive stool for STEC | Normal CT scan of large intestine | Erosion and necrosis of mucosa, crypt atrophy | Ceftriaxone, metronidazole | No | No |
| No | Reference | Cases (sex, age) | Ileum | Ascending colon | Descending colon | Rectum |
|---|---|---|---|---|---|---|
| 1. | Kravitz, 2002 (13) | F, 48 | ND | ND | ND | ND |
| 2. | Kendrick, 2007 (14) | M, 59 | - | ++ | ++ | ++ |
| 3. | Tominaga, 2014 (15) | M, 81 | - | ++ | + | - |
| 4. | Radhakrishnan, 2019 (16) | M, 17 | - | + | + | + |
| 5. | Tanquilut, 2019 (10) | F, 32 | ND | ND | +++ | + |
| 6. | Caldis, 2021 (11) | F, 59 | - | ++ | + | + |
| 7. | Cocca, 2022 (12) | M, 44 | +++ | - | - | - |
| 8. | Al-Smadi, 2023 (7) | M, 21 | - | + | ++ | - |
Disclaimer/Publisher’s Note: The statements, opinions and data contained in all publications are solely those of the individual author(s) and contributor(s) and not of MDPI and/or the editor(s). MDPI and/or the editor(s) disclaim responsibility for any injury to people or property resulting from any ideas, methods, instructions or products referred to in the content. |
© 2024 by the authors. Licensee MDPI, Basel, Switzerland. This article is an open access article distributed under the terms and conditions of the Creative Commons Attribution (CC BY) license (http://creativecommons.org/licenses/by/4.0/).
