1. Introduction
Matrix metalloproteinases (MMPs) are a family of zinc-dependent extracellular matrix (ECM) remodeling endopeptidases. They have a capacity to degrade almost every component of the ECM and are involved in cell repair and the remodeling of tissues. When expression of MMPs is altered, it can generate the abnormal degradation of the ECM. The tissue inhibitors of MMPs (TIMPs) inhibit the proteolytic activity of MMPs. Both of them modulate angiogenesis, cell proliferation, and apoptosis [
1]. At present, 26 MMPs described in humans can be functionally divided into six groups: collagenases (MMP-1, -8, -13, and -18), gelatinases (MMP-2 and -9), stromelysins (MMP-3, -10, and -11), matrilysins (MMP-7 and -26), and membrane-type matrix metalloproteinases (MT-MMPs; MMP-14 to -17, -24, and -25) [
2]. Recently, our group has studied the MMP1- and 9- and TIMP 1- and 9- expression, respectively, in case of mitral valve insufficiency. We found a clear correlation between the MMP expression and the MI degree of severity. The expression of MMPs proved to be high in relation to mild insufficiencies and relatively weak in the case of severe ones [2, 3]. The apparent close correlation between MMP expression and degeneration suggests a similar pathophysiological process in the formation of ascendic aortic aneurysms and dissections. Therefore, the same set of protease/inhibitor antibodies was used immunohistochemically to study morphologic changes in the aortic wall during aneurysm formation or dissection. The focus was on 3 questions. On one hand, it was important to show how the MMP/TIMP are distributed in the cross-section of the wall. On the other hand, when MMP/TIMP are distributed throughout the whole cross-section of the wall the question remains whether MMP/TIMP patterns differ, either between the layers, or between aneurysm and dissection. At last, question remains for insights into the pathophysiology of cardiovascular diseases. The available data are inconclusive. While MMP-1 and MMP-9 are reported to be elevated in thoracic chronic aneurysms, TIMP 1 and 2 are reported to be "similar to controls" or detected only to a low extent in aortic tissue [1, 2].
2. Patients and Methods
2.1. Ethical Approval
This study was approved by the ethics committee of the Philipps- University of Marburg in September 2016 (Az.: 70/16).
2.2. Subjects
We examined the clinical reports of 111 patients (30 women and 81 men) who suffered from Aortic aneurysms and an aortic dissection, respectively. Herein, seven patients, who had coronary heart disease served as „healthy controls“ für histological examination. All patients were surgically operated in the period from 2007 to 2015. The age of onset of patients ranged from 28 to 85 years with a median age of 64 years. A tissue sample of the aortic biopsies was collected from each patient during surgery. The sample was fixed in a 10% formalin solution, embedded in paraffin, and archived at the Institute for Pathology at the Philipps University of Marburg. Several patients were symptomatic at the time of diagnosis. Hyperlipidämia, Diabetes mellitus Type 2 and arterial hypertension were present among all the groups in 22.5%, 10.0% and 74.8%, respectively. There were no differences between the groups (p=0.813, p=0.141 and p= 0.823). Further details see
Table 1 and
Table 2.
2.3. Echocardiography
All patients underwent transoesophageal echocardiography immediately prior to surgery. This involved measuring the aortic roots (
Table 3) and examining the morphology of the aortic valves (
Table 4). The competence of the Mitral valves were demonstrated in all the examinated groups.
2.4. Tissue Preparation for Staining
All the details of tissue preparation and staining were already discribed from Irqsusi et al. [
3]. Sections were prepared using a sled microtome (SM2000 R; Leica) and were mounted on glass slides (Thermo Fisher Scientific). The slides were placed in the incubator at 60°C and were dewaxed for at least 60 min.
2.5. Hematoxylin and Eosin Staining
The tissue samples were stained with hematoxylin and eosin in acontinuous linear stainer (Tissue Stainer COT 20). Xylene, alcohol (100%, 96%, and 70%), hemalum, eosin, alcohol (96% and 100%), and xylene were used to stain the slides in the given order. The tissue sections were subsequently assessed.
2.6. Immunohistochemical Staining
The tissue slides were dewaxed by immersing in xylene, followed by ethanol (100%, 96%, and 70%) for 5 min each time. The slides were then immersed in the unmasking solution, were placed in a steam cooker for 45 min, and were rinsed with distilled water. The endogenous enzymes were blocked with a peroxidase-inhibitingsolution and were rinsed with wash buffer. Primary antibodies were applied to the slides for 45 min (MMP-1: MAB 3307; Millipore; MMP-9: NCL-MMP9-439; Leica Biosystems; TIMP-1: M7293, Fa.Dako; TIMP-2: NCl-TIMP2-487; Leica Biosystems). The slides were rinsed with wash buffer followed by the application of secondary antibodies. The excess of secondary antibodies was removed with washing buffer and the slides were immersed in Dako Real Envision polymer conjugate for 20 min followed by rewashing. The slides were then immersed in chromogen for 12 min and were rinsed with washing buffer and distilled water. They were counterstained with hematoxylin solution for 5 min. The tissue sections were then dehydrated with ethanol (70%, 96%, and 100%) to ensure complete dehydration. The slides were finally immersed in xylene. A few drops of Entellan were poured on the tissue sections were covered with a coverslip. Afterward, the slides were examined under a light microscope (Olympus) with ×4, ×10, and ×40 magnification. The stained tissues were classified semi-quantitatively based on the percentage of stained cells. The following scale was used: 0 = negative (no visible color), 1 = positive in very few cells, 2 = positive in a moderate proportion of cells, and 3 = strongly positive for a larger proportion of cells. Positive control specimen of related antibody binding in histological examinations were performed according Irqsusi et al. [
3]. Detection of capillary vessels in the sections were performed by an anti- CD 31 antibody with the peroxidase staining technique (Monoclonal Mouse Anti-Human CD 31 for Endothelial Cells, Clone: JC70A, Dako Agilent (SantaClara, CA, U.S.A.), M 0823, Diluted 1:50 with second AB against horse radish peroxidase (Dako REAL EnVision HRP Rabbit/Mouse 5007).
2.7. Imaging
The images were processed and recorded with a photomicroscope (Leica) using Leica Im50 Software. Data of blinded specimens were evaluated by two independent experienced pathologists.
2.8. Statistical Analysis
Statistical analysis was performed using IBM SPSS Statistics version 24 software. p < 0.05 was considered significant for all statistical tests. For continuous variables, descriptive statistics (mean, median, minimum, and maximum) were used. Note, for categorical variables, frequencies (median rank) were evaluated to show the different appearence („Frequency“) and the extent („Scores“) of MMP and TIMP staining, respectively. Comparison of pairs from all groups were performed with the Krustal-Wallis-Test. Herein, we used the „sample avarage rank“ of the groups. The groups were named „Aneurysms“ (A), „Dissections“ (D) and „Healthy controls“ (H) corresponding to CIHD patients.
3. Results
3.1. Patients
Comparing the groups, it is first noticeable that the patients with aortic dissection are somewhat younger than the patients who required surgery for aneurysm or CIHD. Both of the latter groups underwent predominantly elective surgery. In association with aneurysmal dilatation of the aorta, valvular insufficiency of the aortic valve was also prominent, requiring valve replacement. In the study group of dissections, a lethality of 21. 2% had to be registered (Table1). Moreover, in the aortic aneurysm group a increased part of aortic valve replacements (AVR) have to be mentioned (Table 4). When considering the concomitant diseases in our patient groups, it is noticeable that, apart from the comparison group with CIHD (p<0.030), the proportion of coronary arteriosclerosis is also increased in the "aneurysm" group (Table 2). In contrast, no differences in the occurrence of arterial hypertension were found at all groups. Also of interest, by echocardiographic measurements of the aortic vessels it is shown, that the size of the sinutubular junction did not differ between the groups. The size of the aortic annulus, the ascending part of the aorta, as well as the maximum diameter were significantly smaller in the patients with dissection compared with the aneurysm group (Table3).
3.2. Histological Examinations
Intraoperatively, appropriate fragments of the ascending aorta were taken and immediately histologically processed after fixation. Evaluation was performed by two colleagues with relevant experience in the field of vascular pathology. The first important point to note is that there is no uniform distribution among the target proteins detected, either between the groups or between the wall layers of the aorta in the groups. In the small comparison group of patients with CIHD (punch cylinder of the ascending aorta before implantation of bypasses), there are weak signs of MMP1 enzyme expression at the intima (grade 1, 28.6%) and throughout at the media (grade 1, 100%). MMP 9 were expressed at the intima in 14.3%, only. Corresponding data according to the original counts (see
Tables S5 and S6), for proteinase inhibitors (TIMP 1 and TIMP 2), we found no staining across all tissue layers in the comparison group.
Opposite effects were found in the aneurysmatic vessel group and in the group with dissected vessels, as well. Interestingly, consideration of matrix metalloproteases distribution and their inhibitors, both by type and by localization in the vessel wall, does not give a uniform impression. Since on the one hand the effect of these enzymes and their counterparts, the inhibitors, is a dynamic process and on the other hand the histological examination represents only a temporal section of this process, we speak in the following of "expressions" in order to emphasize the "actual state". The change of the quantities in the dynamics of the pathophysiological process is highly probable, but cannot be investigated within the scope of this work. Histological sections of the corresponding aortic fragments were taken intraoperatively and stained. In the evaluation, a score assignment of the staining intensities was performed and their frequencies of occurrence in the groups were statistically processed. According to the lack of normal distribution of the parameters, the median rank values in the aneurysms (A) and dissections (D) groups were first compared. The MMP 1 expression in the intima and media of the aortas show a rather balanced distribution of the frequencies (standards for immunostains by the corresponding AB‘s
, Figure 1; examples for histological grading and subsequent scores,
Figure 2). In the adventitia, we found a shift to higher scores in cases of dissection. For MMP 9, we found a balanced distribution in the intima, with a tendency toward higher scores in the media and adventitia according to the median rank distribution
(Figure 3 A - D). For the inhibitors, TIMP 1 shows a balanced distribution in the intima and a tendency towards higher scores and frequencies in the media and adventitia. In contrast, TIMP 2 shows a balanced pattern in all vessel sections. It is indeed surprising that a closer look at the HE staining of the specimens does not reveal a differentiation between mediadegenaration and progressive arteriosclerosis (
see Tables S7 and S8, and Figure 4 and Figure 5).
For further analysis, the sample average ranks of the groups (aneurysm (A), dissection (D) and the comparison group (H)) were compared in a triangle scheme and the significances were calculated, exactly. Strikingly, there is a large difference between dissection and aneurysm in MMP 1 expression
of the adventitia (p=0.001).
MMP 9 expression in the media and adventitia also differed between these two groups
. However, differences in MMP 1 and MMP 9 in the intima could not be shown (Figure 6A). We found a clear difference in TIMP 1 expression in comparison to the control group, both in the intima of aneurysm patients and in the media of patients with a dissection
(Figure 6B).
TIMP 1 was found to be significantly increased in the adventitia in the case of dissection compared with aneurysmal tissue, but differences from the control group could not be detected because of the variance of the results. On the other hand, TIMP 2 showed clear differences in the intima and adventitia, but TIMP2 was found increased in the intima in the case of aneurysm and TIMP2 in the adventitia in the case of dissection. Detection of TIMP2 in the media did not reveal any differences.
Some notable changes in the histological evidence of metalloproteases and antagonists were compiled in a synopsis. The grading specific data (see
Tables S5 and S6) were used.
Figure 7 shows important changes in MMP1 and MMP 9 corresponding to the layers of the aorta. It can be seen that MMP 1 and MMP 9 expression increases significantly in the adventitia in case of dissection (higher grading). MMP 9 is also increased in the media. There are no significant changes in metalloproteases in the intima. With regard to the protease inhibitors, the changes for the grade 2 values of TIMP 1 and grade 1 values of TIMP 2 are shown in
Figure 8. The rather mild expression of the latter parameter in the intima and media encountered in the aneurysmal changes is found in the adventitia in case of dissection. A stronger expression of TIMP 1 (grade 2) is found in aortic dissections.
The expressions of TIMP 1 increases significantly from the vessel lumen to the adventitia. In the case of an aneurysm, this kind of expression has an opposite direction.
TIMP1 is found to be increased in the vessel wall of aortic aeurysms, but in the intima. It is stimulated by TNFα. In our study, overall the highest values of TIMP1 expression were detected in case of dissection, but in the adventitia. A difference was seen in the media and in the adventitia, but not in the intima. Interestingly, there are no differences in the discription of mediagenerative or arteriosclerotic alterations in the histological examination (
Figure 4 and
Figure 5,
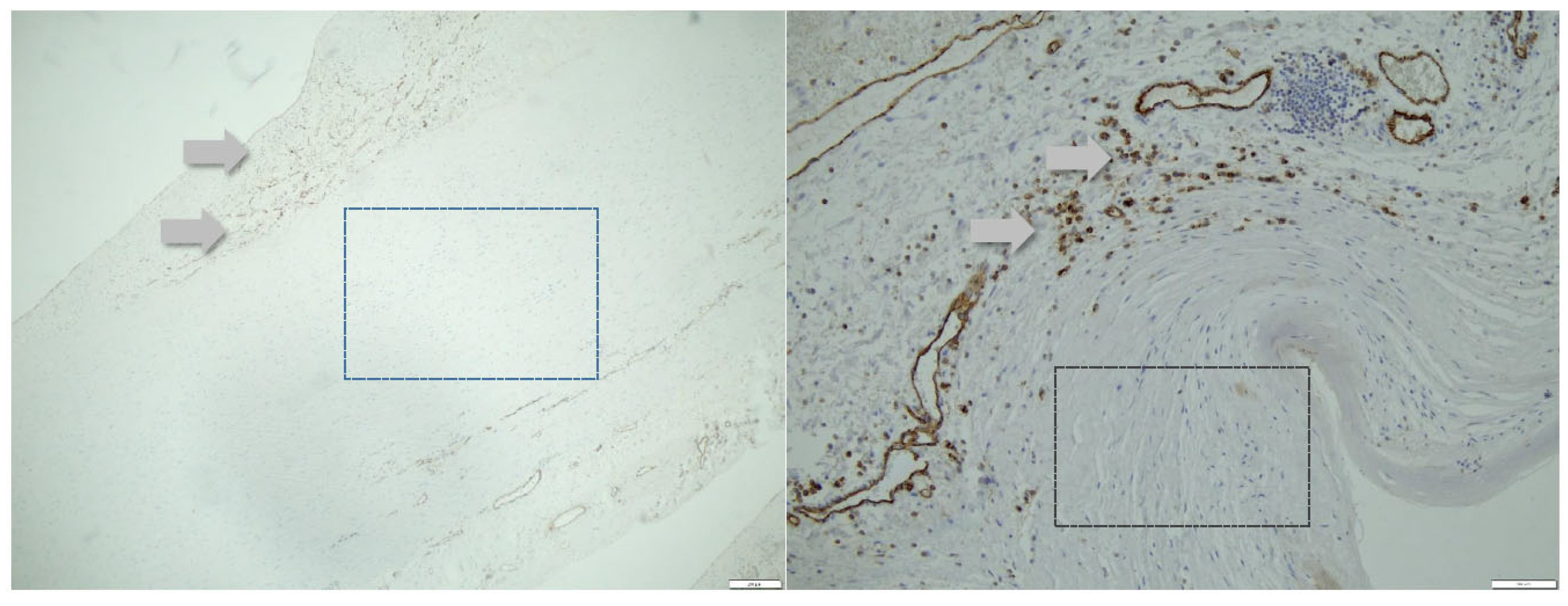
Tables S7 and S8) but staining the vessels opens a new view upon the the sections. Although in case of aneurysms a vascularization is found dominantly in the intima opposite effect appears in medial degeneration and dissection, whereas many vessels can be detected in media and adventitia (
Figure 9).
4. Discussion
Three questions remains to be answered. If rupture of the intima from inside is to be assumed as a pathological substrate for the development of aortic dissections, it could be also assumed that metabolism shows certain uniformity of changes from the inside to the outside with respect to the vascular layers. Present concept is held that an increased intraluminal pressure (arterial hypertension) initially causes a dilatation of the aortic tube and finally a rupture of the intima is provoked by the mechanical shear forces, leading to dissection. This assumption is contradicted by two facts of this study: on the one hand, there are clear differences in the distribution of proteases and their inhibitors in the layers (
see Figures 3 A – D, Figures 6 A and B, Tables S5 and S6) , and on the other hand, the echocardiographic studies clearly show that the native diameters of aortic dissections are smaller than those of aneurysms (
Table 3).
Hence, it cannot be intraluminal pressure alone that leads to tearing of a damaged intima and allows intimomedial blood flow. There must be indwell changes of the wall, i.e. material-dependent, causes for aortic dissection. Extracellular matrix remodelling occurs in both blood vessels and the heart in response to increases in mechanical forces such as raised blood pressure and flow. Mechanical load may directly affect mesenchymal cell activity and/or the stimulus may come from release of profibrotic growth factors produced either in direct response to the mechanical load, in a paracrine or autocrine manner, or as a result of the underlying pathology that produces the increase in blood pressure [
5].
Cells and extracellular matrix interplay. Cardiovascular aging is a physiological process affecting all components of the heart and the vessels. Increasing evidence is pointing at the pivotal role of extracellular matrix (ECM). Structural and molecular changes in ECM composition during aging are the base for understanding the diseased aortic root and also the cardiac valve apparatus [
3,
6]. Coming back to the first question. When Proteases and their inhibitors are differentially distributed throughout the vessel wall a different status of metabolism can be suggested.
4.1. MMP and TIMP as Mediators for ECM Modelling
Blood vessels are exposed to several forms of mechanical force – shear stress, pressure and tensile stress. The latter has several components including a circumferential stress caused by expansion or dilation of the vessel wall and internal stresses generated by the cells themselves in response to the external forces. Out of the collagenases we have selected
MMP 1. Collagenases (MMP-1, MMP-8, MMP-13, MMP-18) are hydrolytic enzymes acting on collagen types I, II and III found between cells. Product of catabolism of these substances is obtained denatured collagen or gelatin. In vertebrates, these enzymes are produced by various cells such as fibroblasts and macrophages, as well as epithelial cells. They can also act on other molecules of the extracellular matrix. From the Gelatinases (MMP-2, MMP-9) we studied
MMP-9. They help in the catabolism of type I, II and III collagens. They also act on denatured collagen or gelatin obtained after the action of collagenases [
6]. As counterparts of the proteases, we examined
TIMP1 and
TIMP2. Interstitial collagenase is also known as fibroblast collagenase or matrix metalloproteinase-1
(MMP-1). The enzyme is involved in the breakdown of extracellular matrix in normal physiological processes, such as embryonic development, reproduction, and tissue remodeling, as well as in disease processes, such as arthritis and metastasis. MMP 1 expression is associated with increased rates of aneurysmal rupture and reduced survival and aortic dissection. The expression is stimulated by TNFα and IL1 [7, 8]. TNF-α signaling triggers downstream epigenetic modifications that result in lasting enhancement of pro-inflammatory responses in cells. For example, it is a potent chemoattractant for neutrophils, and promotes the expression of adhesion molecules on endothelial cells, helping neutrophils to migrate. According to the results of our study, there is no difference in MMP1 expression between the intima and the media, either in the case of aneurysm, dissection, or in comparison to the control group. The highest levels of MMP1 expression were found in the adventitia of the patient group with a dissection. Thus, it must be assumed that only perivascular inflammatory processes favor the formation of an aortic dissection in contrast to aneurysms. This result is supported by the observation of LaMaire et al., according to this experimental work. Compared with aortic tissues from mice that received ciprofloxacin they showed decreased expression of lysyl oxidase, an enzyme that is critical in the assembly and stabilization of elastic fibers and collagen. He concluded that Ciprofloxacin increases susceptibility to aortic dissection and rupture in a mouse model of moderate, sporadic aortic dissections [9, 10]. Ciprofloxacin is involved in the breakdown of ECM in inflammatory processes dissolving interstitial collages by induction of MMP1 [
11].
MMP9 appears associated with the development of aortic aneurysms, because its suppression prevents the development of aortic aneurysms. Interestingly, Doxycycline, opposite to ciprofloxacin, suppresses the growth of aortic aneurysms in animal models through its inhibition of MMP 9 by reduction of
aortic inflammation in humans [11, 12, 13]. MMP-9 or gelatinase B, is a matrixin, a class of enzymes that belong to the zinc-metalloproteinases family involved in the degradation of the extracellular matrix in normal physiological processes, such as embryonic development, reproduction, angiogenesis, bone development, wound healing, cell migration, learning and memory, as well as in pathological processes, such as arthritis, intracerebral hemorrhage and metastasis. Together with MMP 2, this protein belongs to the key effectors of ECM remodeling and is greatly upregulated in wound repair.
Based on these few facts, it can be stated with regard to the histological results that an active remodeling processes of the ECM primarily take place in the wall of dissecting vessels as a direct response to a mechanical impact.
When asking the
second question, how expression of the investigated parameters differs in the wall layers, the function of the proteases and their inhibitors must be considered.
MMP 9 appears a regulatory factor in neutrophil migration [
14] and may play an important role in angiogenesis and neovascularization. It is a
key regulator of both the growth plate formation and growth plate angiogenesis. Increased expression of MMP9 (e.g., in the heart and cardiovascular system) means an expression of a disease state and is not part of the normal expression pattern of various tissues (colon, bone marrow, lung, etc.) [1, 24]. MMP 2 and MMP9 work together in ECM remodeling, vascular smooth cell apoptosis, balancing ROS and to trigger inflammation. Highest values for MMP9 expression were found in case of dissection No differences were found in the intima, but the media and again the adventitia had an extreme increase. This could mean the last line of defense for the vascular wall to protect for pressure loading and an indicator for maximum TGF-β activation. Therefore, involvement of MMP 9, along with MMP 2, in the formation of aneurysms may be derived [
16]. Infiltrating leukocytes, cardiomyocytes, fibroblasts, and endothelial cells secrete MMP-9 during all phases of tissue repair. MMP-9 both exacerbates the inflammatory response and aids in inflammation resolution by stimulating the pro-inflammatory to reparative cell transition. In addition, MMP-9 has a dual effect on neovascularization and prevents an overly stiff scar [
17]. In case of dissection, we found an increase in expression of TIMP1 and 2 from
" inside to outside". The highest values are found in the adventitia. The glycoproteins are natural inhibitors of MMP1 and MMP 9, a group of peptidases involved in degradation of the extracellular matrix. In addition to its inhibitory role against most of the known MMPs, the encoded protein is able to promote cell proliferation in a wide range of cell types, and may also have an anti-apoptotic function [
18]. It is stimulated by TNFα. In our study, overall the highest values of TIMP1 expression were detected in the case of dissection. This difference was seen in the media and in the adventitia, but also not in the intima. TIMP2 is a natural inhibitor of different MMPs, and represents a peptidase involved in degradation of the extracellular matrix. In addition to an inhibitory role against metalloproteinases, the encoded protein has a unique role among TIMP family members in its ability to directly
suppress the proliferation of endothelial cells. This protein may be critical to the maintenance of tissue homeostasis by suppressing the proliferation of quiescent tissues
in response to angiogenic factors, and by inhibiting protease activity in tissues undergoing remodelling of the extracellular matrix [19, 20, 21]. Interestingly, the highest TIMP2 expression was measured in the intima in case of aneurysms. TIMP2 was less expressed in the case of dissection. Conversely, we found higher expression in the adventitia in the case of dissection and to a lesser extent in the case of aneurysm. No differences were found in the media. It can be stated that in the investigated aortic tissue a clear proteolytic transformation can be assumed, which favors a progressive destruction of the extracellular matrix, but also degradative and constructive (reparative) processes can be assumed, focussed on angiogenesis and neoangiogenesis of the supplying blood vessels (vasa vasorum) [2, 22].
4.2. It Is All about the Vessels of the Vessels
The
third question adressed the differences of the proteases and inhibitors in their expressions regarding conclusions about a assumed pathomechanisms for vascular dissections. Angiogenesis can be directly or indirectly mediated by MMPs through the modulation of the balance between pro- and anti-angiogenic factors [
23]. The role of vasa vasorum (VV) in atherosclerosis is controversial, experimental and clinical evidence strongly suggest the potential of VV in vascular proliferative disorders [
24]. Since vasa vasorum are end arteries, they easily develop hypoxia and/or ischemia in the cells of intima or media of arterial wall. They are also known to be the most common sites of atherosclerosis [
25]. The recruitment and accumulation of inflammatory cells and the subsequent release of several cytokines, especially from resident macrophages, stimulate the expansion of existing VV and the formation of new highly permeable microvessels. So, angiogenesis of VV appears responsible for initiation and progression of atherosclerosis [
26]. Atherosclerosis is initiated by endothelium activation and, followed by a cascade of events (accumulation of lipids, fibrous elements, and calcification), triggers the vessel narrowing and activation of inflammatory pathways [
27]. The vasa vasorum form a network of microvasculature that originate primarily in the adventitial layer of large arteries. These vessels supply oxygen and nutrients to the outer layers of the arterial wall. The expansion of the vasa vasorum to the second order is associated with neovascularization related to progression of atherosclerosis [
28]. We found increased TIMP1 -and TIMP 2 – expression in the adventitia of dissected aortic tissue. Markers, which indicate inhibition of neoangiogensis [
22].
4.3. Modification of the Extracellular Matrix by HIF
A hypoxia-related acidosis can modulate the composition and architecture of the ECM, which in turn impacts on three-dimensional cellular organization and promotes metastasis. Through HIF, hypoxia is a modulator of the lysyl oxidase (LOX), an enzyme that catalyzes collagen and elastin crosslinking. Action of LOX on collagen and elastin results in peroxide production doing harm to the tissue. When Collagenases (MMP-1, −8, and −13) proteins are associated with angiogenesis, and their loss results in irreversible rupture of the matrix and TIMP-1 and TIMP-2 regulate Type IV collagen and its participation in cell endothelial migration in the interstitial stromal spaces, then it is highly probable that they are playing a key role in angiogenesis regulation
by inhibiting neovascularization [
23]. Absolutely consistent, Billaud et al. reported medial hypoxia and vasa vasorum remodeling in the aneurysmal ascending aorta. They found that aneurysmal tissue is characterized by a lower density of small size vasa vasorum [
29]. They point out that these data highlight differences in vasa vasorum remodeling and associated medial chronic hypoxia markers between aneurysms of different etiology. These aberrations could contribute to malnourishment of the aortic media and could conceivably participate in the pathogenesis of thoracic aortic aneurysm. Supporting this statement, Son et al. demonstrated histologically a complete regional absence of vasa vasorum in an aneurysm of the ascending aorta [
30]. Even in our histological study, media and adventitia regions appeared empty regarding vasculogenesis. TNF-α, IL-8 and other factors with a known pro-angiogenic capacity, stimulate the production of MMP −9 in endothelial cells and regulate the angiogenesis process [
23]. In our study we found a higher MMP1 and MMP 9 expression in the adventitia, but also a higher MMP9 expression in the media fitting to the already mentioned remodelling processes in the aortic wall. Increasing parts of TIMP1 and TIMP 2 expression from „inside to outside“ (intima/media/adventitia) indicate affected neoangiogenesis of VV in case of dissection and uncover this finding as possible characteristic histological marker. The increased evidence of MMP9 expression in the media (induced by several angiogenic factors) and TIMP 2 expression within the adventitia (suppressed neoangiogenesis) indicate an important biomechanical factor leading to dissection. The diameters of the dissected aortas were smaller in the study group and thus, according to Laplace's law, the surface tension of the aortic wall should have been lower than in the group of patients who had an aneurysm then in dissected vessels.
4.4. Aspect of Biomechanics
By finite element approach for identification of the anisotropic hyperelastic properties of normal and diseased aortic walls we found a much higher cyclic longitudinal strain in the ascending aorta vs. abdominal aorta than the circumferential strain [31, 32]. Moreover, absolute values of the cyclic rotation amplitudes of the ascending aorta are also much higher than the abdominal aorta. The ascending aorta undergoes a complex deformation with alternating clockwise and counterclockwise twist. Longitudinal strain and its phase shift to circumferential strain contribute to the proximal aorta's Windkessel function. Complex cyclic deformations are known to be highly fatiguing. This may account for increased degradation of components of the aortic wall and therefore promote aortic dissection or aneurysm formation. Moreover, strong negative correlation between flow-induced vascular stress and media thickness was observed. Li et al. had shown that vessel structural stress mediates aortic media degeneration [
33]. These statements correlate with the generally accepted view that rupture or hemorrhage of the vasa vasorum means the initial moment for dissection. Due to the increasing disstress between longitudinal and circumferential strain or deformation [31, 32] respectivelly, resulting from an increase in diameter of the ascending aorta, which in turn is caused by hypoxia or HIF mediated remodeling of the extracellular matrix, a mechanical support (cyclic amplitudes leading to aspiration and squeezing of the medial blood in and out off the aortic wall) for the perfusion of the vascular media is lost. Consequently, under hypoxic conditions, new vessels are induced (HIF1α and VEGF interaction), but they are too small [
29] and may be malformed. Intercellular leakage leads to exudation of lipoproteins by immunocompetent cells, which maintain inflammation [
34]. We have found artriosclerotic and mediadegegnerative alterations in both the aneurysm and dissection groups as well. The point remains, in case of aorta dissections we have found additionally a lot of small vessels appearing as a suggested part of repair mechanisms. The question „too small for effective nutrition“ remains open in this concern.
The accumulated knowledge about the importance of metalloproteases and their inhibitors, as well as their overall involvement in metabolism, seems to justify the assumption of aortic wall intrinsic processes for the development of dissection [
35]. This "outside-in mechanism" has already been formulated, wherein aortic dissection has been characterized as a disease of the nourishing vessels.
Supplementary Materials
The following supporting information can be downloaded at the website of this paper posted on Preprints.org. Table S5, Table S6, Table S7, Table S8.
Author Contributions
MI, IT, SV, AJR performed the operations; MI, RR, SV designed the study; LAD and FR performed staining and further histological analysis, LAD, MI, SV and RR did further statistics, AJR made substantial contributions to the study; SV, MI, IT, MG and RR wrote the ms and interpreted the data; all authors read and approved the final version of the ms.
Funding
There is a funding for this manuscript by the DEAL- project of the DFG in Germany.
Availability of data and materials
All the data and material that supports this study are avialable from the corresponding author upon reasonable request.
Declarations
The present study was approved by the local ethic commitee (Az.: 70/16). All patients signed a written informed consent.
Consent for publication
Not applicable.
Acknowledgments
We thank all members of our team for the excellent work and support.
Competing interests
All authors declare that they have no competing interest in this study.
Abbrevations
MMP 1 - (or collagenase-1) is the prototypical MMP, functioning primarily to degrade collagen types 1 and 3.
MMP 9 - also known as 92 kDa type IV collagenase, 92 kDa gelatinase or gelatinase B (GELB), is a matrixin, a class of enzymes that belong to the zinc-metalloproteinases family involved in the degradation of the extracellular matrix.
TIMP 1- a tissue inhibitor of metalloproteinases, is a glycoprotein with a molecular weight of 28 kDa and a natural inhibitor of the matrix metalloproteinases (MMPs), a group of peptidases involved in degradation of the extracellular matrix.
TIMP 2- is a natural inhibitor of MMP, a group of peptidases involved in degradation of the extracellular matrix. In addition to an inhibitory role against metalloproteinases, the encoded protein has a unique role among TIMP family members in its ability to directly suppress the proliferation of endothelial cells. It is critical to the maintenance of tissue homeostasis by suppressing the proliferation of quiescent tissues in response to angiogenic factors.
ECM - extracellular matrix
TNFα- Tumor necrosis factor (TNF, cachexin, or cachectin; formerly known as tumor necrosis factor alpha or TNF-α is an adipokine and a cytokine. TNF is a member of the TNF superfamily, which consists of various transmembrane proteins with a homologous TNF domain.
ROS- reactive oxygen species
HIF - Hypoxia-inducible factors (HIFs) are transcription factors that respond to decreases in available oxygen in the cellular environment, or hypoxia.
References
- Cabral-Pacheco, G.A.; Garza-Veloz, I.; La Castruita-De Rosa, C.; Ramirez-Acuña, J.M.; Perez-Romero, B.A.; Guerrero-Rodriguez, J.F.; Martinez-Avila, N.; Martinez-Fierro, M.L. The Roles of Matrix Metalloproteinases and Their Inhibitors in Human Diseases. International Journal of Molecular Sciences 2020, 21, 9739. [Google Scholar] [CrossRef] [PubMed]
- Zhang, X.; Wu, D.; Choi, J.C.; Minard, C.G.; Hou, X.; Coselli, J.S.; Shen, Y.H.; LeMaire, S.A. Matrix metalloproteinase levels in chronic thoracic aortic dissection. Journal of Surgical Research 2014, 189, 348–358. [Google Scholar] [CrossRef] [PubMed]
- Marc Irqsusi; Azza Labene Mansouri; Anette Ramaswamy; Peter Rexin; Midhat Salman; Saqib Mahmood; Nikolas Mirow; Tamer Ghazi; Rabia Ramzan; Ardawan J. Rastan; et al. Role of matrix metalloproteinases in mitral valve regurgitation: Association between the of MMP-1, MMP-9, TIMP-1, and TIMP-2 expression, degree of mitral valve insufficiency, and pathologic etiology. Journal of Cardiac Surgery 2022, 37, 1613–1622. [CrossRef]
- Stary, H.C.; Chandler, A.B.; Dinsmore, R.E.; Fuster, V.; Glagov, S.; Insull, W.; Rosenfeld, M.E.; Schwartz, C.J.; Wagner, W.D.; Wissler, R.W. A definition of advanced types of atherosclerotic lesions and a histological classification of atherosclerosis. A report from the Committee on Vascular Lesions of the Council on Arteriosclerosis, American Heart Association. Circulation 1995, 92. [Google Scholar] [CrossRef] [PubMed]
- Bishop, J.E.; Lindahl, G. Regulation of cardiovascular collagen synthesis by mechanical load. Cardiovascular research 1999, 42. [Google Scholar] [CrossRef]
- Spadaccio, C.; Mozetic, P.; Nappi, F.; Nenna, A.; Sutherland, F.; Trombetta, M.; Chello, M.; Rainer, A. Cells and extracellular matrix interplay in cardiac valve disease: because age matters. Basic research in cardiology 2016, 111. [Google Scholar] [CrossRef]
- Wikipedia. Matrix metalloproteinase. Available online: https://en.wikipedia.org/w/index.php?title=Matrix_metalloproteinase&oldid=1190019248 (accessed on 26 January 2024).
- Maguire, E.M.; Pearce, S.W.A.; Xiao, R.; Oo, A.Y.; Xiao, Q. Matrix Metalloproteinase in Abdominal Aortic Aneurysm and Aortic Dissection. Pharmaceuticals (Basel, Switzerland) 2019, 12. [Google Scholar] [CrossRef] [PubMed]
- Wikipedia. Interstitial collagenase. Available online: https://en.wikipedia.org/w/index.php?title=Interstitial_collagenase&oldid=1189919896 (accessed on 26 January 2024).
- LeMaire, S.A.; Zhang, L.; Zhang, N.S.; Luo, W.; Barrish, J.P.; Zhang, Q.; Coselli, J.S.; Shen, Y.H. Ciprofloxacin accelerates aortic enlargement and promotes dissection and rupture in Marfan mice. The Journal of thoracic and cardiovascular surgery 2022, 163. [Google Scholar] [CrossRef]
- LeMaire, S.A.; Zhang, L.; Luo, W.; Ren, P.; Azares, A.R.; Wang, Y.; Zhang, C.; Coselli, J.S.; Shen, Y.H. Effect of Ciprofloxacin on Susceptibility to Aortic Dissection and Rupture in Mice. JAMA surgery 2018, 153. [Google Scholar] [CrossRef]
- Reviglio, V.E.; Hakim, M.A.; Song, J.K.; O'Brien, T.P. Effect of topical fluoroquinolones on the expression of matrix metalloproteinases in the cornea. BMC ophthalmology 2003, 3. [Google Scholar] [CrossRef]
- Newman, K.M.; Ogata, Y.; Am Malon; Irizarry, E.; Gandhi, R.H.; Nagase, H.; Tilson, M.D. Identification of matrix metalloproteinases 3 (stromelysin-1) and 9 (gelatinase B) in abdominal aortic aneurysm. Arteriosclerosis and thrombosis : a journal of vascular biology 1994, 14. [CrossRef]
- Lindeman, J.H.; Abdul-Hussien, H.; van, B.J.H.; Wolterbeek, R.; Kleemann, R. Clinical trial of doxycycline for matrix metalloproteinase-9 inhibition in patients with an abdominal aneurysm: doxycycline selectively depletes aortic wall neutrophils and cytotoxic T cells. Circulation 2009, 119. [Google Scholar] [CrossRef] [PubMed]
- Wikipedia. MMP9. Available online: https://en.wikipedia.org/w/index.php?title=MMP9&oldid=1193758177 (accessed on 26 January 2024).
- Pyo, R.; Lee, J.K.; Shipley, J.M.; Curci, J.A.; Mao, D.; Ziporin, S.J.; Ennis, T.L.; Shapiro, S.D.; Senior, R.M.; Thompson, R.W. Targeted gene disruption of matrix metalloproteinase-9 (gelatinase B) suppresses development of experimental abdominal aortic aneurysms. The Journal of clinical investigation 2000, 105. [Google Scholar] [CrossRef] [PubMed]
- Longo, G.M.; Xiong, W.; Greiner, T.C.; Zhao, Y.; Fiotti, N.; Baxter, B.T. Matrix metalloproteinases 2 and 9 work in concert to produce aortic aneurysms. The Journal of clinical investigation 2002, 110. [Google Scholar] [CrossRef]
- Becirovic-Agic, M.; Chalise, U.; Daseke, M.J.; Konfrst, S.; Salomon, J.D.; Mishra, P.K.; Lindsey, M.L. Infarct in the Heart: What's MMP-9 Got to Do with It? Biomolecules 2021, 11. [Google Scholar] [CrossRef] [PubMed]
- Wikipedia. TIMP1. Available online: https://en.wikipedia.org/w/index.php?title=TIMP1&oldid=1187422728 (accessed on 26 January 2024).
- Wikipedia. TIMP2. Available online: https://en.wikipedia.org/w/index.php?title=TIMP2&oldid=1142788670 (accessed on 26 January 2024).
- Ruppa, I.M. Mitral valve insufficiency (literature survey). Zdravookhr. Kirg. 1976, 56–59. [Google Scholar]
- Stetler-Stevenson, W.G.; Seo, D.W. TIMP-2: an endogenous inhibitor of angiogenesis. Trends in molecular medicine 2005, 11. [Google Scholar] [CrossRef] [PubMed]
- Sang, Q.X. Complex role of matrix metalloproteinases in angiogenesis. Cell research 1998, 8. [Google Scholar] [CrossRef] [PubMed]
- Quintero-Fabián, S.; Arreola, R.; Becerril-Villanueva, E.; Torres-Romero, J.C.; Arana-Argáez, V.; Lara-Riegos, J.; Ramírez-Camacho, M.A.; Alvarez-Sánchez, M.E. Role of Matrix Metalloproteinases in Angiogenesis and Cancer. Frontiers in oncology 2019, 9. [Google Scholar] [CrossRef] [PubMed]
- Langheinrich, A.C.; Kampschulte, M.; Buch, T.; Bohle, R.M. Vasa vasorum and atherosclerosis - Quid novi? Thrombosis and haemostasis 2007, 97. [Google Scholar]
- Järvilehto, M.; Tuohimaa, P. Vasa vasorum hypoxia: initiation of atherosclerosis. Medical hypotheses 2009, 73. [Google Scholar] [CrossRef] [PubMed]
- Sedding, D.G.; Boyle, E.C.; Demandt, J.A.F.; Sluimer, J.C.; Dutzmann, J.; Haverich, A.; Bauersachs, J. Vasa Vasorum Angiogenesis: Key Player in the Initiation and Progression of Atherosclerosis and Potential Target for the Treatment of Cardiovascular Disease. Frontiers in immunology 2018, 9. [Google Scholar] [CrossRef] [PubMed]
- Jebari-Benslaiman, S.; Galicia-García, U.; Larrea-Sebal, A.; Olaetxea, JR; Alloza, I.; Vandenbroeck, K.; Benito-Vicente, A.; Martín, C. Pathophysiology of Atherosclerosis. International Journal of Molecular Sciences 2022, 23. [CrossRef]
- Mulligan-Kehoe, M.J. The vasa vasorum in diseased and nondiseased arteries. American journal of physiology. Heart and circulatory physiology 2010, 298. [Google Scholar] [CrossRef] [PubMed]
- Billaud, M.; Hill, J.C.; Richards, T.D.; Gleason, T.G.; Phillippi, J.A. Medial Hypoxia and Adventitial Vasa Vasorum Remodeling in Human Ascending Aortic Aneurysm. Frontiers in cardiovascular medicine 2018, 5. [Google Scholar] [CrossRef] [PubMed]
- Son, A.Y.; DeMarais, N.M.; Malaisrie, S.C.; Lomasney, J.W.; Pradella, M.; Wilsbacher, L.D.; Allen, B.A.; Markl, M.; Avery, R. Complete Regional Absence of Vasa Vasorum in an Ascending Aortic Aneurysm. Circulation. Cardiovascular imaging 2021, 14. [Google Scholar] [CrossRef] [PubMed]
- Wittek, A.; Derwich, W.; Karatolios, K.; Fritzen, C.P.; Vogt, S.; Schmitz-Rixen, T.; Blase, C. A finite element updating approach for identification of the anisotropic hyperelastic properties of normal and diseased aortic walls from 4D ultrasound strain imaging. Journal of the mechanical behavior of biomedical materials 2016, 58. [Google Scholar] [CrossRef] [PubMed]
- Wittek, A.; Karatolios, K.; Fritzen, C.P.; Bereiter-Hahn, J.; Schieffer, B.; Moosdorf, R.; Vogt, S.; Blase, C. Cyclic three-dimensional wall motion of the human ascending and abdominal aorta characterized by time-resolved three-dimensional ultrasound speckle tracking. Biomechanics and modeling in mechanobiology 2016, 15. [Google Scholar] [CrossRef] [PubMed]
- Li, F.; Wang, S.; Gao, Q.; Chen, X.; Yin, G.; Yu, C.; Wang, Y.; Wang, X.; Qiao, E.; Meddings, Z.; et al. Vessel structural stress mediates aortic media degeneration in bicuspid aortopathy: New insights based on patient-specific fluid-structure interaction analysis. Journal of biomechanics 2021, 129. [Google Scholar] [CrossRef] [PubMed]
- Liu, S.; Deng, X.; Zhang, P.; Wang, X.; Fan, Y.; Zhou, S.; Mu, S.; Mehta, J.L.; Ding, Z. Blood flow patterns regulate PCSK9 secretion via MyD88-mediated pro-inflammatory cytokines. Cardiovascular research 2020, 116. [Google Scholar] [CrossRef]
- Haverich, A.; Boyle, E.C. Aortic dissection is a disease of the vasa vasorum. JTCVS open 2021, 5. [Google Scholar] [CrossRef]
Figure 1.
Histo controls of AB’s action: Positive controls (10x magnification, left to right): MMP1 stains tubular epithelia in kidney tissue, MMP9 stains diffusely distributed macrophages in tonsil tissue, TIMP1 stains single inflammatory cells in colonic mucosa, TIMP2 stains trophoblast cells in placental tissue.
Figure 1.
Histo controls of AB’s action: Positive controls (10x magnification, left to right): MMP1 stains tubular epithelia in kidney tissue, MMP9 stains diffusely distributed macrophages in tonsil tissue, TIMP1 stains single inflammatory cells in colonic mucosa, TIMP2 stains trophoblast cells in placental tissue.
Figure 2.
Compilation of individual examples of the differential immunochemical staining in the tissue sections: MMP1 was lowly expressed, corresponding to score 0. In some specimens, few cells showed staining, corresponding to score 1. In some cases, staining becomes positive in a moderate proportion of cells, corresponding to score 2; in the example, cells are predominantly found within atherosclerotic plaques in the lower portion of the image. For MMP 9, a few samples stained strongly with many cells, corresponding to score 3, in the example above within an atherosclerotic plaque grouped around flushed out cholesterol needles. In some cases, staining of TIMP 1 was seen in few individual cells, corresponding to score 1, in the above example in small superficial lipid spots. Other samples showed expression in a moderate proportion of cells, corresponding to score 2, here in the area of cell-rich areas of inflammatory activity in the media. Some cases showed labeling for TIMP2 in a moderate number of cells, corresponding to score 2, in the above example within an intimal plaque. Strong positivity in a large proportion of cells (score 3) could not be detected in any sample (n.d.).
Figure 2.
Compilation of individual examples of the differential immunochemical staining in the tissue sections: MMP1 was lowly expressed, corresponding to score 0. In some specimens, few cells showed staining, corresponding to score 1. In some cases, staining becomes positive in a moderate proportion of cells, corresponding to score 2; in the example, cells are predominantly found within atherosclerotic plaques in the lower portion of the image. For MMP 9, a few samples stained strongly with many cells, corresponding to score 3, in the example above within an atherosclerotic plaque grouped around flushed out cholesterol needles. In some cases, staining of TIMP 1 was seen in few individual cells, corresponding to score 1, in the above example in small superficial lipid spots. Other samples showed expression in a moderate proportion of cells, corresponding to score 2, here in the area of cell-rich areas of inflammatory activity in the media. Some cases showed labeling for TIMP2 in a moderate number of cells, corresponding to score 2, in the above example within an intimal plaque. Strong positivity in a large proportion of cells (score 3) could not be detected in any sample (n.d.).

Figure 3.
A - D: Frequencies of encountered scores in histological evaluation of tissue sections from patients who had aortic aneurysm (A) or aortic dissection (D). The values for the median rank were entered. The results for MMP 1, MMP 9 and TIMP1 and TIMP 2 as well were presented separately for the tissue layers intima, media and adventitia, respectively.
Figure 3.
A - D: Frequencies of encountered scores in histological evaluation of tissue sections from patients who had aortic aneurysm (A) or aortic dissection (D). The values for the median rank were entered. The results for MMP 1, MMP 9 and TIMP1 and TIMP 2 as well were presented separately for the tissue layers intima, media and adventitia, respectively.
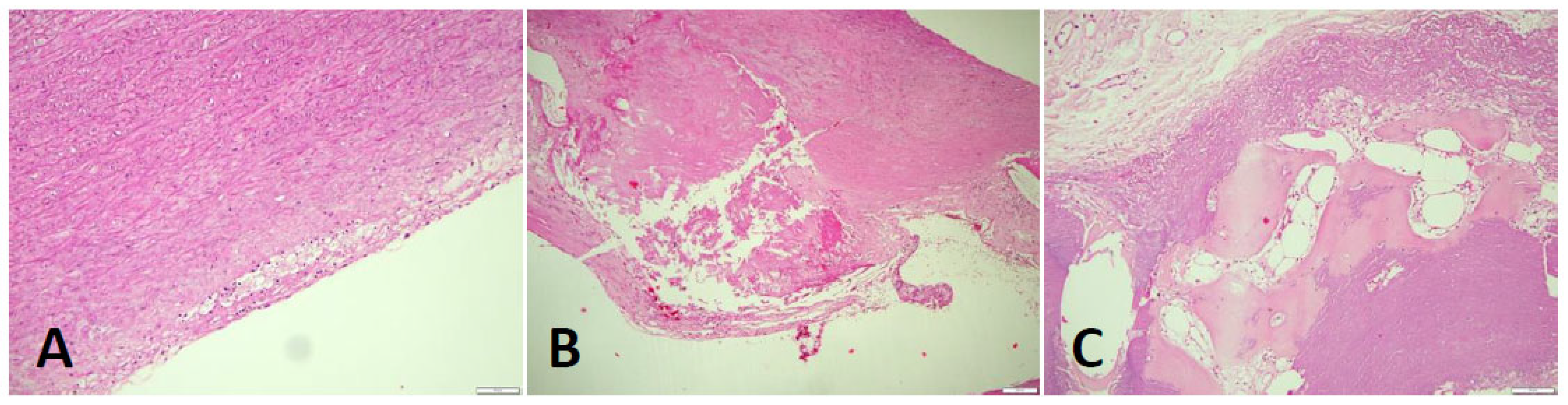
Figure 4.
Arteriosclerotic lesions in the aortic wall (HE stain): In the samples examined, the degree of atherosclerosis varied markedly from mild to severe cases. In the initial plaque, a few foam cells can be demarcated in the intimal layer (A), which may eventually appear macroscopically together with smooth muscle proliferates as so-called "fatty streaks". In the advanced atheromatous bed (B) smooth muscle proliferates are more prominent in the arterial wall. In addition, abundant cholesterol-containing material can be seen. In isolated cases, heterotopic ossification with formation of bone bellows and intervening medullary spaces was seen in the plaque (C).
Figure 4.
Arteriosclerotic lesions in the aortic wall (HE stain): In the samples examined, the degree of atherosclerosis varied markedly from mild to severe cases. In the initial plaque, a few foam cells can be demarcated in the intimal layer (A), which may eventually appear macroscopically together with smooth muscle proliferates as so-called "fatty streaks". In the advanced atheromatous bed (B) smooth muscle proliferates are more prominent in the arterial wall. In addition, abundant cholesterol-containing material can be seen. In isolated cases, heterotopic ossification with formation of bone bellows and intervening medullary spaces was seen in the plaque (C).
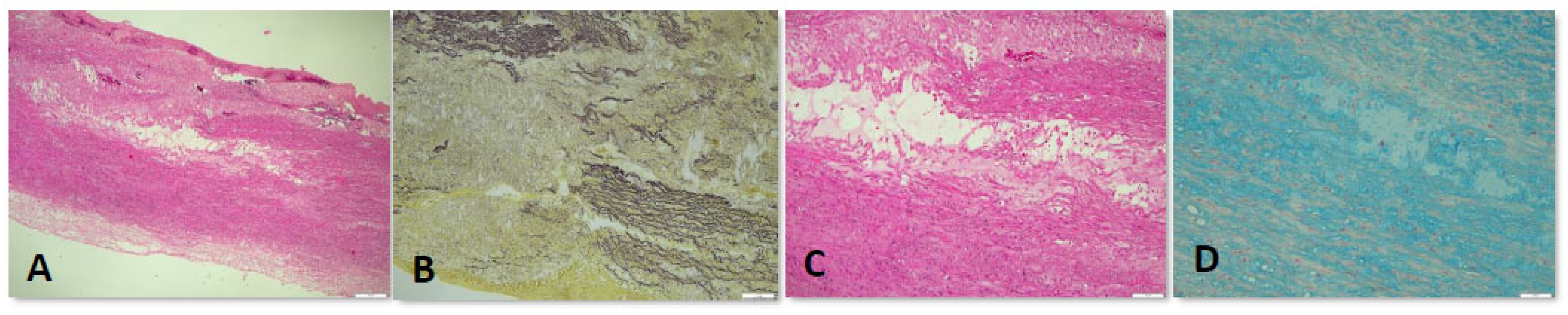
Figure 5.
Cystic degeneration of the media: Lesoins are found mainly within the media of the vessel: visually empty gaps in the tissue are seen in the HE stain, where the fibers break apart (A, 4x magnification). In the Elastica-van Gieson stain, fragmentation of elastic fibers is highlighted (B, 4x magnification). These changes are shown at 20× magnification: An incorporation of basophilic ground substance is seen in the gaps of the vessel wall (C, HE stain), which contains mucopolysaccharides and can be detected in the Alcian blue stain (D).
Figure 5.
Cystic degeneration of the media: Lesoins are found mainly within the media of the vessel: visually empty gaps in the tissue are seen in the HE stain, where the fibers break apart (A, 4x magnification). In the Elastica-van Gieson stain, fragmentation of elastic fibers is highlighted (B, 4x magnification). These changes are shown at 20× magnification: An incorporation of basophilic ground substance is seen in the gaps of the vessel wall (C, HE stain), which contains mucopolysaccharides and can be detected in the Alcian blue stain (D).
Figure 6.
A: Comparison of pairs from all groups MMP1 and MMP9 (Kruskal-Wallis-Test), each node shows the sample average rank of the group; Test was considered „n.s.“ when p > = 0.05; significance shown with green arrows; a = 0.0001, b = 0.001, c = 0.0001, d = 0.031, e = 0.0001; H = Healthy, D = Dissection, A = Aneurysm. B: Comparison of pairs from all groups TIMP1 and TIMP9 (Kruskal-Wallis-Test), each node shows the sample average rank of the group; Test was considered „n.s.“ when p > = 0.05; significance shown with green arrows; a = 0.029, b = 0.0001, c = 0.004, d = 0.0001, e = 0.0001, f = 0.030; H = Healthy, D = Dissection, A = Aneurysm.
Figure 6.
A: Comparison of pairs from all groups MMP1 and MMP9 (Kruskal-Wallis-Test), each node shows the sample average rank of the group; Test was considered „n.s.“ when p > = 0.05; significance shown with green arrows; a = 0.0001, b = 0.001, c = 0.0001, d = 0.031, e = 0.0001; H = Healthy, D = Dissection, A = Aneurysm. B: Comparison of pairs from all groups TIMP1 and TIMP9 (Kruskal-Wallis-Test), each node shows the sample average rank of the group; Test was considered „n.s.“ when p > = 0.05; significance shown with green arrows; a = 0.029, b = 0.0001, c = 0.004, d = 0.0001, e = 0.0001, f = 0.030; H = Healthy, D = Dissection, A = Aneurysm.
Figure 7.
Synopsis showing partial results of MMP1 and MMP9 expressions in the histological examinations: Data are given in % grading proportions in relation to the respective study groups. In the case of aneurysm, we find high rates of low grade staining in MMP1 and MMP 9 expression in the adventitia. In contrast, the proportions shift in the assessment of dissection. Both low grade and high grade staining are significantly increased in adventitia (red arrows, *p<0.001). highlighting the important role of MMP 1 and MMP 9 in the remodeling pathomechanism, possibly on an inflammatory base. This kind of shifts in expression is particularly evident for MMP 9 in the media: The schematic picture of an aortic cross-section is divided into two parts. On the left side some findings of MMP 1 and MMP 9 staining in aneurysms are shown. On the right side corresponding findings of aortic dissections were presented. Starting from the interrupted red line, the extent (or size) of the staining is shown in blue arrows to the left and right according to the pathology. The grading, which corresponds to the intensity of the staining, is plotted progressively from top to bottom (see small diagram below right). The results are shown in relation to the adventitia and media. For instance, we find a difference in MMP 9 expression grade 2 in the media of 40.4% (red arrow) in a dissection versus 5.8% in an aneurysmatic vessel or 37.3% grade 2 expression of MMP 9 in the adventitia of a dissection versus 0.0% in aneurysmata or a 23.5% grade 3 increased expression of MMP1 in the adventitia (* p<0.001), respectively. Base for this presentation are direct immunohistologic evaluations of 2 independent pathologists in the detection of MMP 1 and 9 (see
Table S5 in the supplement).
Figure 7.
Synopsis showing partial results of MMP1 and MMP9 expressions in the histological examinations: Data are given in % grading proportions in relation to the respective study groups. In the case of aneurysm, we find high rates of low grade staining in MMP1 and MMP 9 expression in the adventitia. In contrast, the proportions shift in the assessment of dissection. Both low grade and high grade staining are significantly increased in adventitia (red arrows, *p<0.001). highlighting the important role of MMP 1 and MMP 9 in the remodeling pathomechanism, possibly on an inflammatory base. This kind of shifts in expression is particularly evident for MMP 9 in the media: The schematic picture of an aortic cross-section is divided into two parts. On the left side some findings of MMP 1 and MMP 9 staining in aneurysms are shown. On the right side corresponding findings of aortic dissections were presented. Starting from the interrupted red line, the extent (or size) of the staining is shown in blue arrows to the left and right according to the pathology. The grading, which corresponds to the intensity of the staining, is plotted progressively from top to bottom (see small diagram below right). The results are shown in relation to the adventitia and media. For instance, we find a difference in MMP 9 expression grade 2 in the media of 40.4% (red arrow) in a dissection versus 5.8% in an aneurysmatic vessel or 37.3% grade 2 expression of MMP 9 in the adventitia of a dissection versus 0.0% in aneurysmata or a 23.5% grade 3 increased expression of MMP1 in the adventitia (* p<0.001), respectively. Base for this presentation are direct immunohistologic evaluations of 2 independent pathologists in the detection of MMP 1 and 9 (see
Table S5 in the supplement).

Figure 8.
Synopsis showing partial results of TIMP 1 and TIMP 2 expressions in the histological examinations, presentation chosen resembles figure 7: Data are given in % grading proportions in relation to the respective study groups. The protease inhibitors are reduced at maximum in the Intima in case of a dissection. This allows two hypotheses. On the one hand, this may indicate an increased remodeling process in response to increased intraluminal pressure in the aorta and damage in the media (compare increased MMP 9 values, synopsis figure 7) or increased neocapillarization, which, however, decreases from the "inside to the outside" of the aortic lumen. Grade 3 staining was mild and showed no difference between groups. Increasing parts of TIMP1 and TIMP 2 expression from „inside to outside“ (intima/media/adventitia) indicate affected neoangiogenesis of VV in case of dissection and uncover this finding as possible characteristic histological marker.
Figure 8.
Synopsis showing partial results of TIMP 1 and TIMP 2 expressions in the histological examinations, presentation chosen resembles figure 7: Data are given in % grading proportions in relation to the respective study groups. The protease inhibitors are reduced at maximum in the Intima in case of a dissection. This allows two hypotheses. On the one hand, this may indicate an increased remodeling process in response to increased intraluminal pressure in the aorta and damage in the media (compare increased MMP 9 values, synopsis figure 7) or increased neocapillarization, which, however, decreases from the "inside to the outside" of the aortic lumen. Grade 3 staining was mild and showed no difference between groups. Increasing parts of TIMP1 and TIMP 2 expression from „inside to outside“ (intima/media/adventitia) indicate affected neoangiogenesis of VV in case of dissection and uncover this finding as possible characteristic histological marker.
Figure 9.
CD 31 antibody/peroxidase staining technique of the vessels: In atherosclerosis, neovascularization (arrows) occurs mainly in the intima (left), whereas in medial degeneration and dissection (right), many vessels can be detected either in the media or adventitia, but not in the intima. No staining of vessels in the arteriosclerotic media (left square) and in the dissected aortic media, either (right square).
Figure 9.
CD 31 antibody/peroxidase staining technique of the vessels: In atherosclerosis, neovascularization (arrows) occurs mainly in the intima (left), whereas in medial degeneration and dissection (right), many vessels can be detected either in the media or adventitia, but not in the intima. No staining of vessels in the arteriosclerotic media (left square) and in the dissected aortic media, either (right square).
Table 2.
Concomitant Diseases in %.
Table 2.
Concomitant Diseases in %.
Table 3.
Echocardiographic measurements of the Aortic roots (data in mm).
Table 3.
Echocardiographic measurements of the Aortic roots (data in mm).
Table 4.
Echocardiographic findings of the Aorta in the study groups.
Table 4.
Echocardiographic findings of the Aorta in the study groups.
|
Disclaimer/Publisher’s Note: The statements, opinions and data contained in all publications are solely those of the individual author(s) and contributor(s) and not of MDPI and/or the editor(s). MDPI and/or the editor(s) disclaim responsibility for any injury to people or property resulting from any ideas, methods, instructions or products referred to in the content. |
© 2024 by the authors. Licensee MDPI, Basel, Switzerland. This article is an open access article distributed under the terms and conditions of the Creative Commons Attribution (CC BY) license (http://creativecommons.org/licenses/by/4.0/).