Submitted:
08 January 2024
Posted:
10 January 2024
You are already at the latest version
Abstract
Keywords:
1. Introduction
2. Research Objective
Research Tasks
- 1.
- A comparative morphological analysis of the appendix in children of different age groups with COVID-19.
- 2.
- Determine the cellular character of the inflammatory infiltrate in children of different age groups with COVID-19 based on the levels of expression of immunocompetent cell differentiation clusters: CD3, CD4, CD20, CD68, CD163, CD138.
- 4.
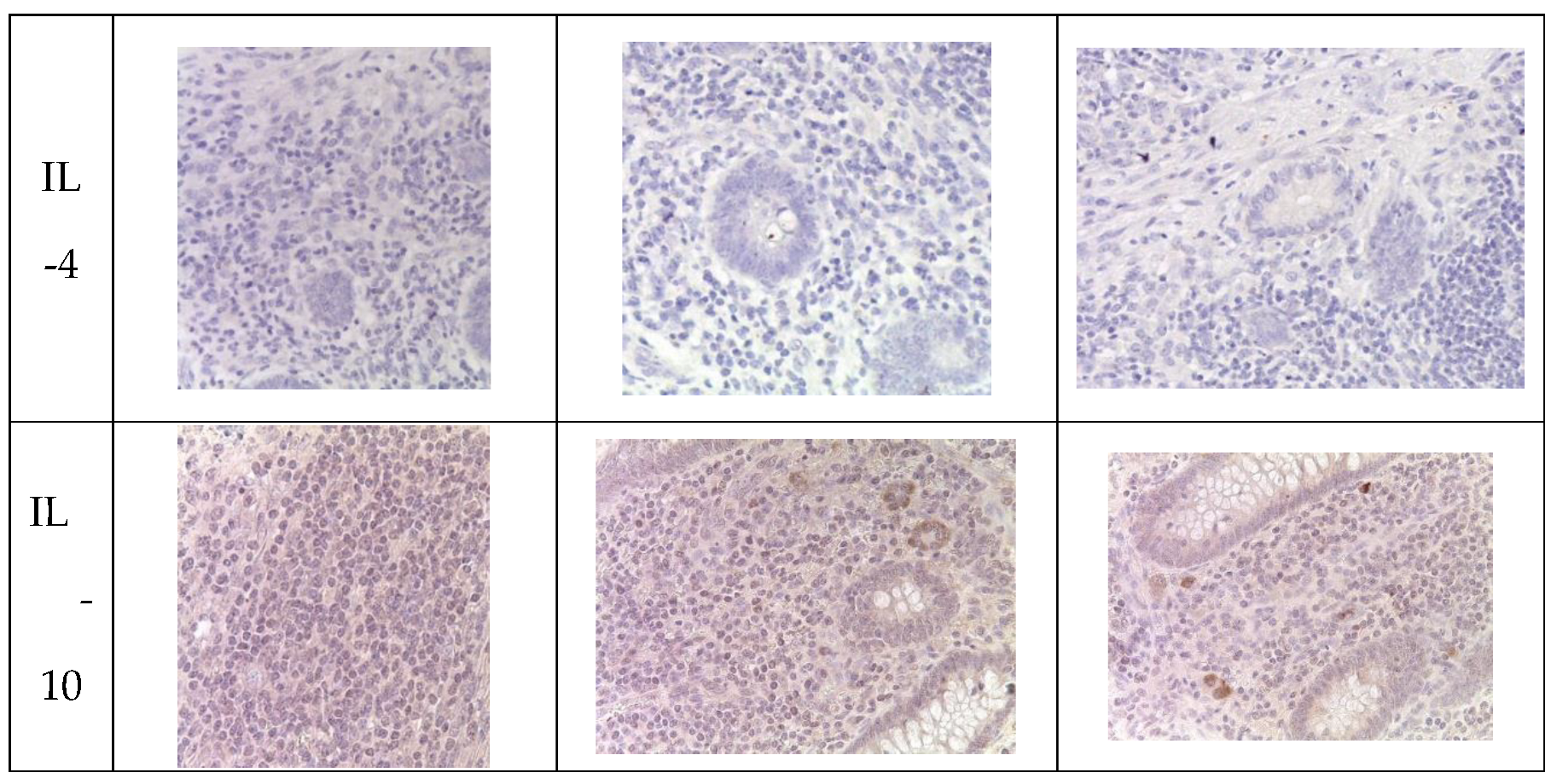
- Evaluate the state of the cytokine balance in the tissues of the appendices of children of selected age groups with COVID-19 based on the levels of expression of proinflammatory (IL-1, IL-6) and anti-inflammatory (IL-4, IL-10) markers.
3. Materials and Methods
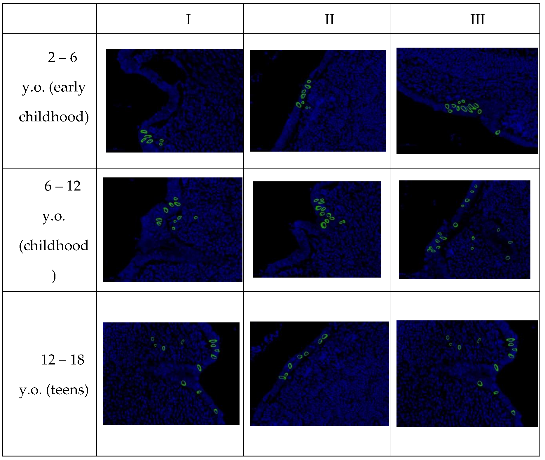
- (n = 42; aged 2 to 18 years, average - 10.8 years) - surgical material of vermiform appendices after appendectomy in children with a confirmed clinical diagnosis of coronavirus infection (COVID-19, PCR +).
- (n = 55; aged 2 to 18 years, average - 9.7 years) - surgical material of vermiform appendices after appendectomy in children with a confirmed clinical diagnosis of acute appendicitis; collected before the onset of the COVID-19 pandemic in 2017-2019.
- (n = 38; aged 2 to 18 years, average - 10.3 years) - control group. For the purity of the study, autopsy material of the vermiform appendix was obtained before the pandemic in 2017-2019. Death occurred due to decompensation or complications of a number of diseases. Macroscopic signs of inflammatory and/or oncogenic processes were absent.
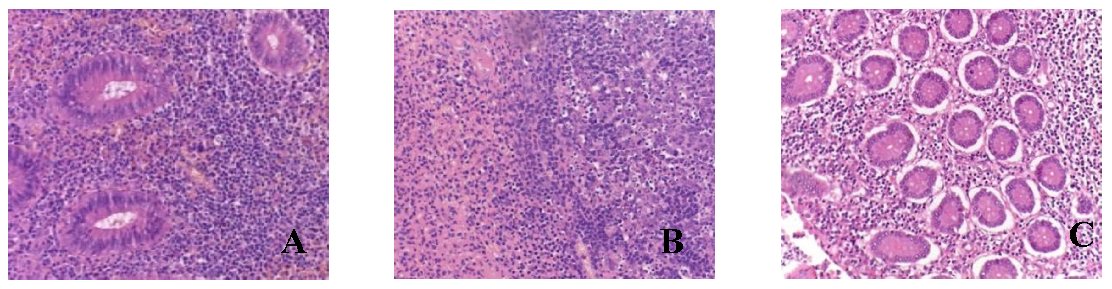
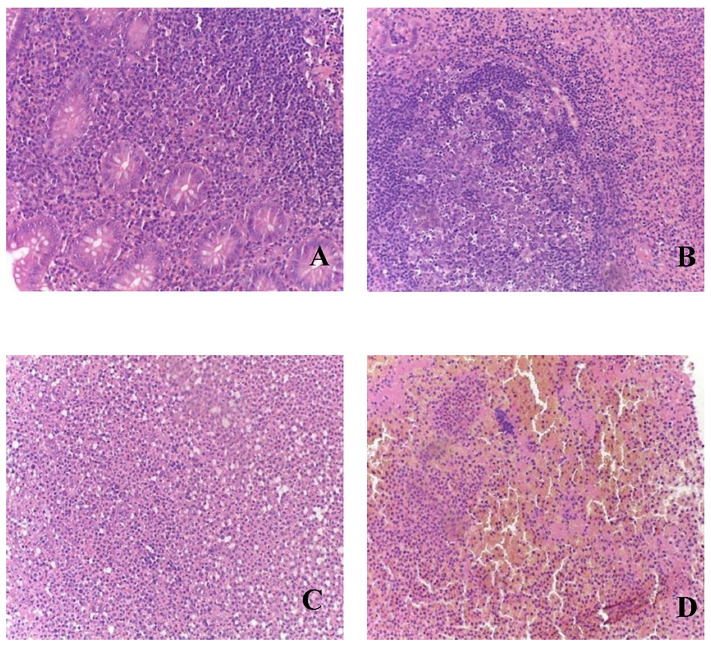
4. Results
5. Discussion
6. Conclusions
Conflicts of Interest
References
- Kogan E. A., Berezovsky Yu. S., Protsenko D. D., Bagdasaryan T. R., Gretsov E. M., Demura S. A., Demyashkin G. A., Kalinin D. V., Kukleva A. D., Kurilina E. V., Nekrasova T. P., Paramonova N. B., Ponomarev A. B., Radenska-Lopovok S. G., Semyonova L. A., Tertychny A. S. Pathological Anatomy of Infection Caused by SARS-CoV-2. Russian Journal of Forensic Medicine. 2020;6(2):8–30. (In Russ.) . [CrossRef]
- Ciotti M, Ciccozzi M, Terrinoni A, Jiang WC, Wang CB, Bernardini S. The COVID-19 pandemic. Crit Rev Clin Lab Sci. 2020 Sep;57(6):365-388. [CrossRef]
- Clarke NE, Turner AJ. Angiotensin-converting enzyme 2: the first decade. Int J Hypertens 2012: 307315, 2012. [CrossRef]
- Hodgson CL, Higgins AM, Bailey MJ, Mather AM, Beach L, Bellomo R, Bissett B, Boden IJ, Bradley S, Burrell A, Cooper DJ, Fulcher BJ, Haines KJ, Hopkins J, Jones AYM, Lane S, Lawrence D, van der Lee L, Liacos J, Linke NJ, Gomes LM, Nickels M, Ntoumenopoulos G, Myles PS, Patman S, Paton M, Pound G, Rai S, Rix A, Rollinson TC, Sivasuthan J, Tipping CJ, Thomas P, Trapani T, Udy AA, Whitehead C, Hodgson IT, Anderson S, Neto AS; COVID-Recovery Study Investigators and the ANZICS Clinical Trials Group. The impact of COVID-19 critical illness on new disability, functional outcomes and return to work at 6 months: a prospective cohort study. Crit Care. 2021 Nov 8;25(1):382. [CrossRef]
- Heesakkers H, van der Hoeven JG, Corsten S, Janssen I, Ewalds E, Simons KS, Westerhof B, Rettig TCD, Jacobs C, van Santen S, Slooter AJC, van der Woude MCE, van den Boogaard M, Zegers M. Clinical Outcomes Among Patients With 1-Year Survival Following Intensive Care Unit Treatment for COVID-19. JAMA. 2022 Feb 8;327(6):559-565. [CrossRef]
- Dhochak N, Singhal T, Kabra SK, Lodha R. Pathophysiology of COVID-19: Why Children Fare Better than Adults? Indian J Pediatr. 2020 Jul;87(7):537-546. [CrossRef]
- Nikolopoulou GB, Maltezou HC. COVID-19 in Children: Where do we Stand? Arch Med Res. 2022 Jan;53(1):1-8. [CrossRef]
- Feldstein LR, Rose EB, Horwitz SM, Collins JP, Newhams MM, Son MBF, Newburger JW, Kleinman LC, Heidemann SM, Martin AA, Singh AR, Li S, Tarquinio KM, Jaggi P, Oster ME, Zackai SP, Gillen J, Ratner AJ, Walsh RF, Fitzgerald JC, Keenaghan MA, Alharash H, Doymaz S, Clouser KN, Giuliano JS Jr, Gupta A, Parker RM, Maddux AB, Havalad V, Ramsingh S, Bukulmez H, Bradford TT, Smith LS, Tenforde MW, Carroll CL, Riggs BJ, Gertz SJ, Daube A, Lansell A, Coronado Munoz A, Hobbs CV, Marohn KL, Halasa NB, Patel MM, Randolph AG; Overcoming COVID-19 Investigators; CDC COVID-19 Response Team. Multisystem Inflammatory Syndrome in U.S. Children and Adolescents. N Engl J Med. 2020 Jul 23;383(4):334-346. [CrossRef]
- Giovanni JE, Hrapcak S, Melgar M, Godfred-Cato S. Global Reports of Intussusception in Infants With SARS-CoV-2 Infection. Pediatr Infect Dis J. 2021 Jan;40(1):e35-e36. [CrossRef]
- Puoti MG, Rybak A, Kiparissi F, Gaynor E, Borrelli O. SARS-CoV-2 and the Gastrointestinal Tract in Children. Front Pediatr. 2021 Feb 22;9:617980. [CrossRef]
- Lamers MM, Beumer J, van der Vaart J, Knoops K, Puschhof J, Breugem TI, Ravelli RBG, Paul van Schayck J, Mykytyn AZ, Duimel HQ, van Donselaar E, Riesebosch S, Kuijpers HJH, Schipper D, van de Wetering WJ, de Graaf M, Koopmans M, Cuppen E, Peters PJ, Haagmans BL, Clevers H. SARS-CoV-2 productively infects human gut enterocytes. Science. 2020 Jul 3;369(6499):50-54. [CrossRef]
- Suwanwongse K, Shabarek N. Pseudo-Appendicitis in an Adolescent With COVID-19. Cureus. 2020 Jul 25;12(7):e9394. [CrossRef]
- Demyashkin G.A., Tsibulevskiy A.Yu., Gorokhov KR., Nikitin P.V., Zorin I.A. Molecular genetic changes in appendix or the children with COVID-19 // Vestnik NovSU. Issue: Medical Sciences. 2021. №1(122) P.62-66. [CrossRef]
- Demyashkin G, Gorokhov K, Zorin I, Shchekin V, Shegay P, Kaprin A. Angiotensin-Converting Enzyme 2 and Furin Expression in the Appendix of Children with COVID-19. Surg Infect (Larchmt). 2022 Jun;23(5):470-474. [CrossRef]
- Ahmad S, Ahmed RN, Jani P, Ullah M, Aboulgheit H. SARS-CoV-2 isolation from an appendix. J Surg Case Rep. 2020;(8):245. [CrossRef]
- 16. Aljabr W, Al-Amari A, Abbas B, Karkashan A, Alamri S, Alnamnakani M, Al-Qahtani A. Evaluation of the Levels of Peripheral CD3+, CD4+, and CD8+ T Cells and IgG and IgM Antibodies in COVID-19 Patients at Different Stages of Infection. Microbiol Spectr. 2022;23;10(1):e0084521. [CrossRef]
- Anderson JE, Campbell JA, Durowoju L, Greenberg SLM, Rice-Townsend SE, Gow KW, Avansino J. COVID-19-associated multisystem inflammatory syndrome in children (MIS-C) presenting as appendicitis with shock. J Pediatr Surg Case Rep. 2021;71:101913. [CrossRef]
- Kind S, Merenkow C, Büscheck F, Möller K, Dum D, Chirico V, Luebke AM, Höflmayer D, Hinsch A, Jacobsen F, Göbel C, Weidemann S, Fraune C, Möller-Koop C, Hube-Magg C, Clauditz TS, Simon R, Sauter G, Wilczak W, Bawahab AA, Izbicki JR, Perez D, Marx A. Prevalence of Syndecan-1 (CD138) Expression in Different Kinds of Human Tumors and Normal Tissues. Dis Markers. 2019;2019:4928315. [CrossRef]
- Hagen C, Nowack M, Messerli M, Saro F, Mangold F, Bode PK. Fine needle aspiration in COVID-19 vaccine-associated lymphadenopathy. Swiss Med Wkly. 2021;151:w20557. [CrossRef]
- Ragab D, Salah Eldin H, Taeimah M, Khattab R, Salem R. The COVID-19 Cytokine Storm; What We Know So Far. Front Immunol. 2020 Jun 16;11:1446. [CrossRef]
- Dhar SK, K V, Damodar S, Gujar S, Das M. IL-6 and IL-10 as predictors of disease severity in COVID-19 patients: results from meta-analysis and regression. Heliyon. 2021 Feb;7(2):e06155. [CrossRef]
- Grifoni E, Valoriani A, Cei F, Lamanna R, Gelli AMG, Ciambotti B, Vannucchi V, Moroni F, Pelagatti L, Tarquini R, Landini G, Vanni S, Masotti L. Interleukin-6 as prognosticator in patients with COVID-19. J Infect. 2020 Sep;81(3):452-482. [CrossRef]
- Cifaldi L, Prencipe G, Caiello I, Bracaglia C, Locatelli F, De Benedetti F, Strippoli R. Inhibition of natural killer cell cytotoxicity by interleukin-6: implications for the pathogenesis of macrophage activation syndrome. Arthritis Rheumatol. 2015 Nov;67(11):3037-46. [CrossRef]
- Lu L, Zhang H, Dauphars DJ, He YW. A Potential Role of Interleukin 10 in COVID-19 Pathogenesis. Trends Immunol. 2021 Jan;42(1):3-5. [CrossRef]
- Vaz de Paula CB, de Azevedo MLV, Nagashima S, Martins APC, Malaquias MAS, Miggiolaro AFRDS, da Silva Motta Júnior J, Avelino G, do Carmo LAP, Carstens LB, de Noronha L. IL-4/IL-13 remodeling pathway of COVID-19 lung injury. Sci Rep. 2020 Oct 29;10(1):18689. [CrossRef]
- Han H, Ma Q, Li C, Liu R, Zhao L, Wang W, Zhang P, Liu X, Gao G, Liu F, Jiang Y, Cheng X, Zhu C, Xia Y. Profiling serum cytokines in COVID-19 patients reveals IL-6 and IL-10 are disease severity predictors. Emerg Microbes Infect. 2020 Dec;9(1):1123-1130. [CrossRef]
- Hoffmann M, Kleine-Weber H, Schroeder S, Krüger N, Herrler T, Erichsen S, Schiergens TS, Herrler G, Wu NH, Nitsche A, Müller MA, Drosten C, Pöhlmann S. SARS-CoV-2 Cell Entry Depends on ACE2 and TMPRSS2 and Is Blocked by a Clinically Proven Protease Inhibitor. Cell. 2020 Apr 16;181(2):271-280.e8. [CrossRef]
- Kuba K, Imai Y, Rao S, Gao H, Guo F, Guan B, Huan Y, Yang P, Zhang Y, Deng W, Bao L, Zhang B, Liu G, Wang Z, Chappell M, Liu Y, Zheng D, Leibbrandt A, Wada T, Slutsky AS, Liu D, Qin C, Jiang C, Penninger JM. A crucial role of angiotensin converting enzyme 2 (ACE2) in SARS coronavirus-induced lung injury. Nat Med. 2005 Aug;11(8):875-9. [CrossRef]
- Xiao L, Sakagami H, Miwa N. ACE2: The key Molecule for Understanding the Pathophysiology of Severe and Critical Conditions of COVID-19: Demon or Angel? Viruses. 2020 Apr 28;12(5):491. [CrossRef]
- Xia S, Lan Q, Su S, Wang X, Xu W, Liu Z, Zhu Y, Wang Q, Lu L, Jiang S. The role of furin cleavage site in SARS-CoV-2 spike protein-mediated membrane fusion in the presence or absence of trypsin. Signal Transduct Target Ther. 2020 Jun 12;5(1):92. [CrossRef]
- Berni Canani R, Comegna M, Paparo L, Cernera G, Bruno C, Strisciuglio C, Zollo I, Gravina AG, Miele E, Cantone E, Gennarelli N, Nocerino R, Carucci L, Giglio V, Amato F, Castaldo G. Age-Related Differences in the Expression of Most Relevant Mediators of SARS-CoV-2 Infection in Human Respiratory and Gastrointestinal Tract. Front Pediatr. 2021 Jul 28;9:697390. Erratum in: Front Pediatr. 2021 Nov 10;9:790285. [CrossRef]





| Age | Subgroup | n |
|---|---|---|
|
2 – 6 y.o. (early childhood) |
I – COVID-19 | 9 |
| II – appendicitis | 15 | |
| III – control | 8 | |
|
6 – 12 y.o. (childhood) |
I – COVID-19 | 13 |
| II – appendicitis | 19 | |
| III – control | 13 | |
|
12 – 18 y.o. (teens) |
I – COVID-19 | 20 |
| II – appendicitis | 21 | |
| III – control | 17 |
| Group/Form | n | catarrhal | phlegmonous-ulcerative | gangrenous |
|---|---|---|---|---|
|
2 – 6 y.o. (early childhood) |
9 | 1 | 7 | 1 |
|
6 – 12 y.o. (childhood) |
13 | 0 | 10 | 3 |
|
12 – 18 y.o. (teens) |
20 | 0 | 16 | 4 |
| Total: | 1 | 33 | 8 |
| Group/Form | n | catarrhal | phlegmonous | gangrenous | perforativ |
|---|---|---|---|---|---|
|
2 – 6 y.o. (early childhood) |
15 | 9 | 5 | 1 | 0 |
|
6 – 12 y.o. (childhood) |
19 | 5 | 13 | 1 | 0 |
|
12 – 18 y.o. (teens) |
21 | 2 | 13 | 4 | 2 |
| Total: | 16 | 31 | 6 | 2 |
| Group | n | CD3 | CD4 | CD20 | CD138 |
|---|---|---|---|---|---|
| COVID-19 | 11 | 3 | 2 | 3 | 3 |
| Acute appendicitis | 26 | 2 | 1 | 2 | 1 |
| Control | 51 | 1 | 1 | 1 | 1 |
| Group | n | CD68 | CD163 |
|---|---|---|---|
| COVID-19 | 11 | 2 | 3 |
| Acute appendicitis | 26 | 1 | 2 |
| Control | 51 | 1 | 1 |
| Group | n | IL-1 | IL-6 | IL-4 | IL-10 |
|---|---|---|---|---|---|
| COVID-19 | |||||
| catarrhal | 1 | 11,6 | 12,6 | 10,8 | 21,3 |
| phlegmonous-ulcerative | 33 | 22,7 | 31,1 | 16,2 | 34,5 |
| gangrenous | 8 | 48,6 | 58,9 | 25,3 | 46,9 |
| Acute appendicitis | |||||
| catarrhal | 16 | 8,5 | 10,2 | 9,3 | 18,9 |
| phlegmonous | 31 | 18,3 | 27,6 | 12,4 | 29,7 |
| gangrenous | 6 | 34,7 | 47,8 | 24,8 | 41,5 |
| perforative | 2 | 43,8 | 62,4 | 36,1 | 52,4 |
| Control | 38 | 8,3 | 9,5 | 8,6 | 15,4 |
| Age | Subgroup | RNA SARS-CoV-2 |
|---|---|---|
| 2 – 6 y.o. (early childhood) | I – COVID-19 | 34,26±10.7 |
| 6 – 12 y.o. (childhood) | I – COVID-19 | 33,78±8.7 |
| 12 – 18 y.o. (teens) | I – COVID-19 | 34,68±9.3 |
Disclaimer/Publisher’s Note: The statements, opinions and data contained in all publications are solely those of the individual author(s) and contributor(s) and not of MDPI and/or the editor(s). MDPI and/or the editor(s) disclaim responsibility for any injury to people or property resulting from any ideas, methods, instructions or products referred to in the content. |
© 2024 by the authors. Licensee MDPI, Basel, Switzerland. This article is an open access article distributed under the terms and conditions of the Creative Commons Attribution (CC BY) license (http://creativecommons.org/licenses/by/4.0/).