Submitted:
12 February 2024
Posted:
12 February 2024
Read the latest preprint version here
Abstract
Keywords:
Introduction
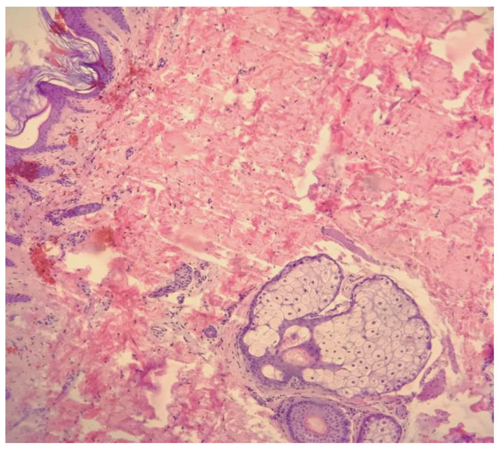
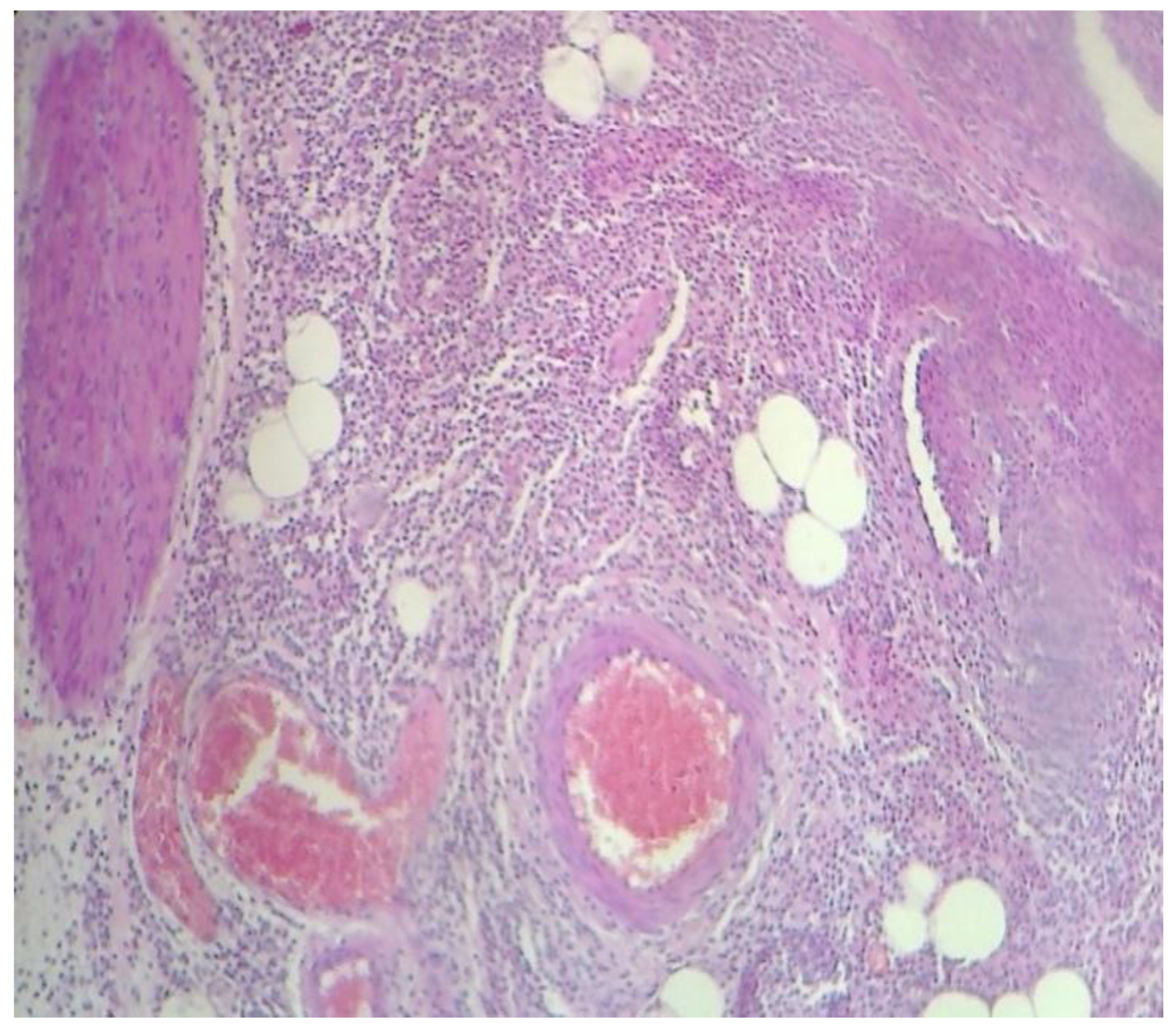
Material and methods
Results
Discussions
Conclusions
References
- Salzer, M.C.; Lafzi, A.; Berenguer-Llergo, A.; Youssif, C.; Castellanos, A.; Solanas, G.; Peixoto, F.O.; Stephan-Otto Attolini, C.; Prats, N.; Aguilera, M.; Martín-Caballero, J.; Heyn, H.; Benitah, S.A. Identity noise and adipogenic traits characterize dermal fibroblast aging. Cell. 2018, 175, 1575–1590.e22. [Google Scholar] [CrossRef] [PubMed]
- Palicka GA, Rhodes AR. Acral melanocytic nevi: prevalence and distribution of gross morphologic features in white and black adults. Arch Dermatol. 2010 Oct;146, 1085-94. [CrossRef]
- Wang M, Xu Y, Wang J, Cui L, Wang J, Hu XB, Jiang HQ, Hong ZJ, Yuan SM. Surgical Management of Plantar Melanoma: A Retrospective Study in One Center. J Foot Ankle Surg. 2018 Jul-Aug;57, 689-693. [CrossRef]
- Richtig, E. ASCO Congress 2018: melanoma treatment. Memo. 2018, 11, 261–265. [Google Scholar] [CrossRef] [PubMed]
- Wang B, Qu XL, Chen Y. Identification of the potential prognostic genes of human melanoma. J Cell Physiol. 2019 Jun;234, 9810-9815. [CrossRef]
- Bristow I, Bower C. Melanoma of the Foot. Clin Podiatr Med Surg. 2016 Jul;33, 409-22. [CrossRef]
- Lallas A, Kyrgidis A, Koga H, Moscarella E, Tschandl P, Apalla Z, Di Stefani A, Ioannides D, Kittler H, Kobayashi K, Lazaridou E, Longo C, Phan A, Saida T, Tanaka M, Thomas L, Zalaudek I, Argenziano G. The BRAAFF checklist: a new dermoscopic algorithm for diagnosing acral melanoma. Br J Dermatol. 2015 Oct;173, 1041-9. [CrossRef]
- Tronnier M. Melanotische Flecke und melanozytäre Nävi. In: Plewig G, Ruzicka T, Kaufmann R, Hertl M. Braun-Falcos Dermatol. Venerol. Allergol. Springer Berlin Heidelberg, 7. Auflage, 2016. Braun-Falcos Dermatol. Venerol. Allergol.
- Tolleson, WH. Human Melanocyte Biology, Toxicology, and Pathology. J Environ Sci Health Part C 2005, 23, 105–61. [Google Scholar] [CrossRef]
- Thomas AJ, Erickson CA. The making of a melanocyte: the specification of melanoblasts from the neural crest. Pigment Cell Melanoma Res 2008, 21, 598–610. [Google Scholar] [CrossRef] [PubMed]
- Colebatch AJ, Ferguson P, Newell F et al. Molecular genomic profiling of melanocytic nevi. J Invest Dermatol 2019, 139, 1762–8. [Google Scholar] [CrossRef]
- Kinsler VA, Thomas AC, Ishida M et al. Multiple congenital melanocytic nevi and neurocutaneous melanosis are caused by postzygotic mutations in codon 61 of NRAS. J Invest Dermatol 2013, 133, 2229–36. [Google Scholar] [CrossRef] [PubMed]
- Bandyopadhyay, D. Halo nevus. Indian Pediatr 2014, 51, 850. [Google Scholar] [PubMed]
- Fernandez-Flores, A. Eponyms, Morphology, and Pathogenesis of some less mentioned types of melanocytic nevi. Am J Dermatopathol 2012, 34, 607–18. [Google Scholar] [CrossRef]
- Kim JJ (Department of Dermatology, Henry Ford Health System, Detroit, MI 48202, USA), Chang MW, Shwayder T. Topical tre-tinoin and 5-fluorouracil in the treatment of linear verrucous epidermal nevus. J Am Acad Dermatol. 2000 Jul;43(1 Pt 1):129–132. [CrossRef]
- Brown HM, Gorlin RJ. Oral mucosal involvement in nevus unius lateris (Icthyosis Hysterix). Arch Dermatol. 1960 Apr;81, 509–515. [CrossRef]
- Zvulunov A (Soroka Medical Center, Ben-Gurion University, Beer-Sheva Israel), Grunwald MH, Halvy S. Topical calcipotriol for treatment of infammatory linear verrucous epidermal nevus. Arch Dermatol. 1997 May;133, 567–568.
- Boyce S (Washington Institute of Dermatologic Laser Surgery, Washington, DC 20037, USA), Alster T. CO2 laser treatment of epidermal nevi: Long-term success. Dermatol Surg. 2002 Jul;28, 611–614.
- Arad Ehud , Zuker M. Ronald, The shifting paradigm in the management of giant congenital melanocytic nevi: review and clinical applications, Plast Reconstr Surg., 2014 Feb;133, 367-376. [CrossRef]
- Mologousis MA, Tsai SY, Tissera KA, Levin YS, Hawryluk EB., Updates in the Management of Congenital Melanocytic Nevi., Children (Basel). 2024 Jan 2;11, 62. [CrossRef]




Disclaimer/Publisher’s Note: The statements, opinions and data contained in all publications are solely those of the individual author(s) and contributor(s) and not of MDPI and/or the editor(s). MDPI and/or the editor(s) disclaim responsibility for any injury to people or property resulting from any ideas, methods, instructions or products referred to in the content. |
© 2024 by the authors. Licensee MDPI, Basel, Switzerland. This article is an open access article distributed under the terms and conditions of the Creative Commons Attribution (CC BY) license (http://creativecommons.org/licenses/by/4.0/).