Preprint
Review

This version is not peer-reviewed.

Structural Analysis of Melanocytic Nevi

Submitted:

08 January 2024

Posted:

09 January 2024

Read the latest preprint version here

Abstract
The aim of the study is to identify structural characteristics of melanocytic nevi. In this context using microscope, could be possible a good describtion related melanocytic nevi, reffering to youth pacients.Jnowing the risk factors, one of the research direction is to have in attention the management options for melanocytic nevi. In this direction, implication of an interprofessional team strategies is one of the proper condition. Future directions refers to preventive and prophylactic methods.
Keywords: 
;  ;  ;  ;  

Introduction

In order to define a disease, must have in attention a lot of differents factors such as historical points, or social and cultural points. Good to mention that in a human individual life, play a significant role, genetic, epigenetic, microbiomic, and proteomic factors together with others. Results of research studies, show us that some connective cells such as fibroblasts, lose their identity, in pathological conditions. [1] Another specific cells, namely melanocytes are known that having a specific structural point that is consider important in structural pathological description. [2]
Refering to melanocytic nevi, in medical specific field, various pigmented lesions of the epiderm, known as nevi, could be observe in differents part of the body, specific for pathology including solar lentigo. [3] In medical analyse, an atypical nevus, can be biopsied.[4]
Is important to practice a biopsy beside the extended clinical evaluation in melanocytic nevi. Specialists, are usualy looking also for changes that surrounding nevi. Related to melanocytic nevi, in some circumstances, could be possible that the prognosis be poor having in attention the healthy of the patients having comorbidities. A great point in this field of research, could be possible the genetic susceptibility. [5] A complete medical examination, play a great point for establishing the medical conduct, for healthy status improving.[6,7]
Structural analysis describe specific cells namely melanocytes as aggregated in ‘nests’, which conduct forming the nevus cells.[8] To the human persons with different age, this specific cells knowing as melanocytes could be found in various areas of the skin of the parts of the body. [9,10] Theoretical and practical studies, show that melanocytic nevi developing in utero present genetical differences from those that appear later.[11,12] From scientific literature, that are known informations, referring to specific nevi. [13] Also from literature and from practicum are known different informatiuons about extending melanocytic nevi, having specific scientific names.[14]

Material and methods

Realization of permanent microscopic preparations was knowing the steps from the classic method, using a standard H&E staining technique. The samples were drawn from male and female gender patients, children before 16 age, from urban and rural home environment. In order to assist medical staff in understanding the concerns outlined, a series of digital images have been prepared. The operative pieces are intended to bring in the pathological anatomy service for macroscopic examination for diagnostic purposes. This are examined by performing the microscopic analysis.

Results

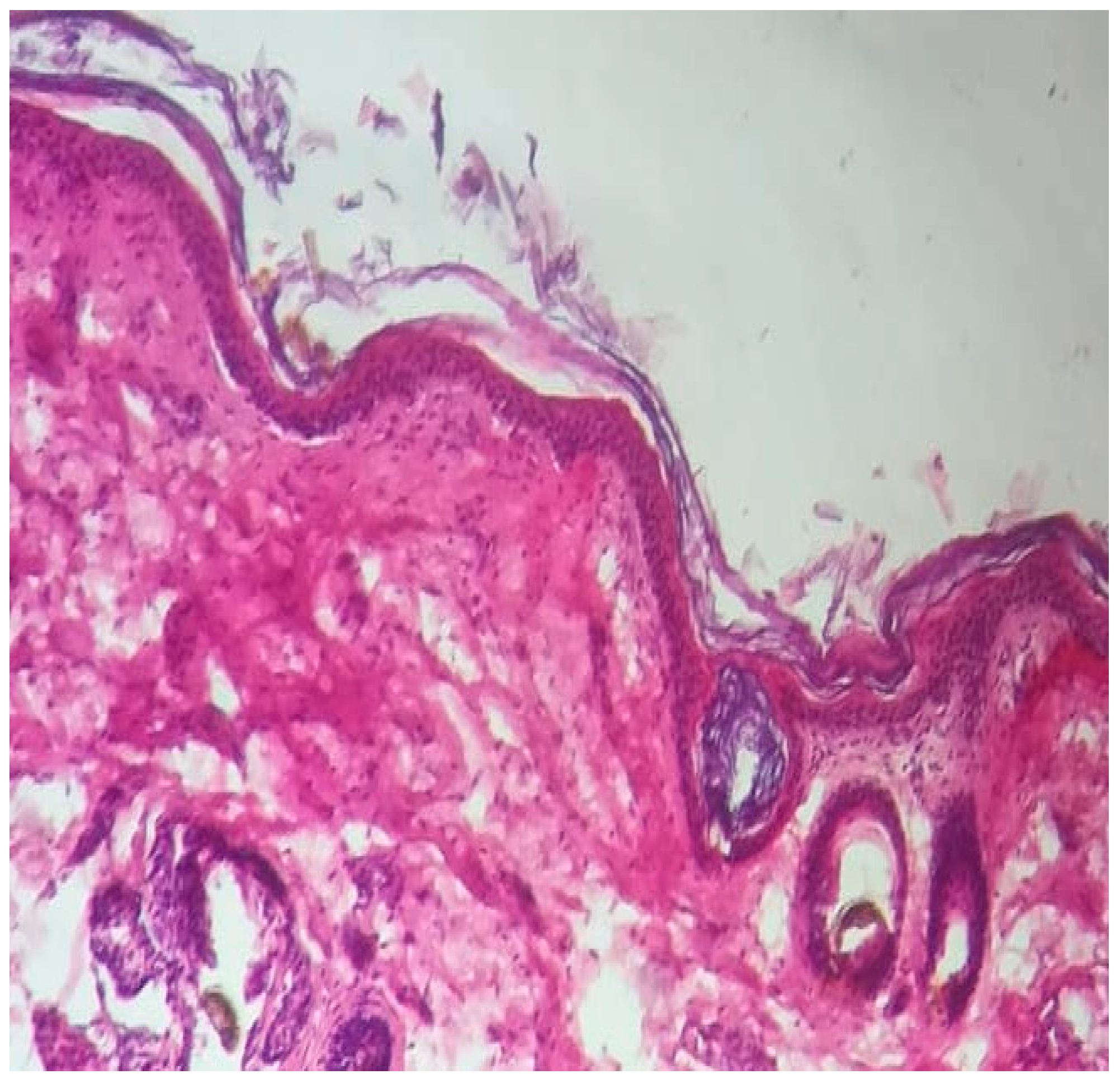
Skin protect us during the life, from different factors. For epiderm analyse, structural and ultrastructural characteristics could be able to be describes, using optical and electron microscope. (Figure 1) Structural analyse of the epiderm, using colour laboratory techniques, is able to describe the specific layers with their characteristics. Using electron microscope, filaggrin knowing as an important epidermal protein and tight junction located in the granular layer of the epiderm, could be observed. For this purpose, transmission electron microscope examination, is consider one proper method for analyse. Scanning electron microscopy is also a modern method for analyse, which offer results that demonstrate abnormalities in the epiderm ultrastructure.
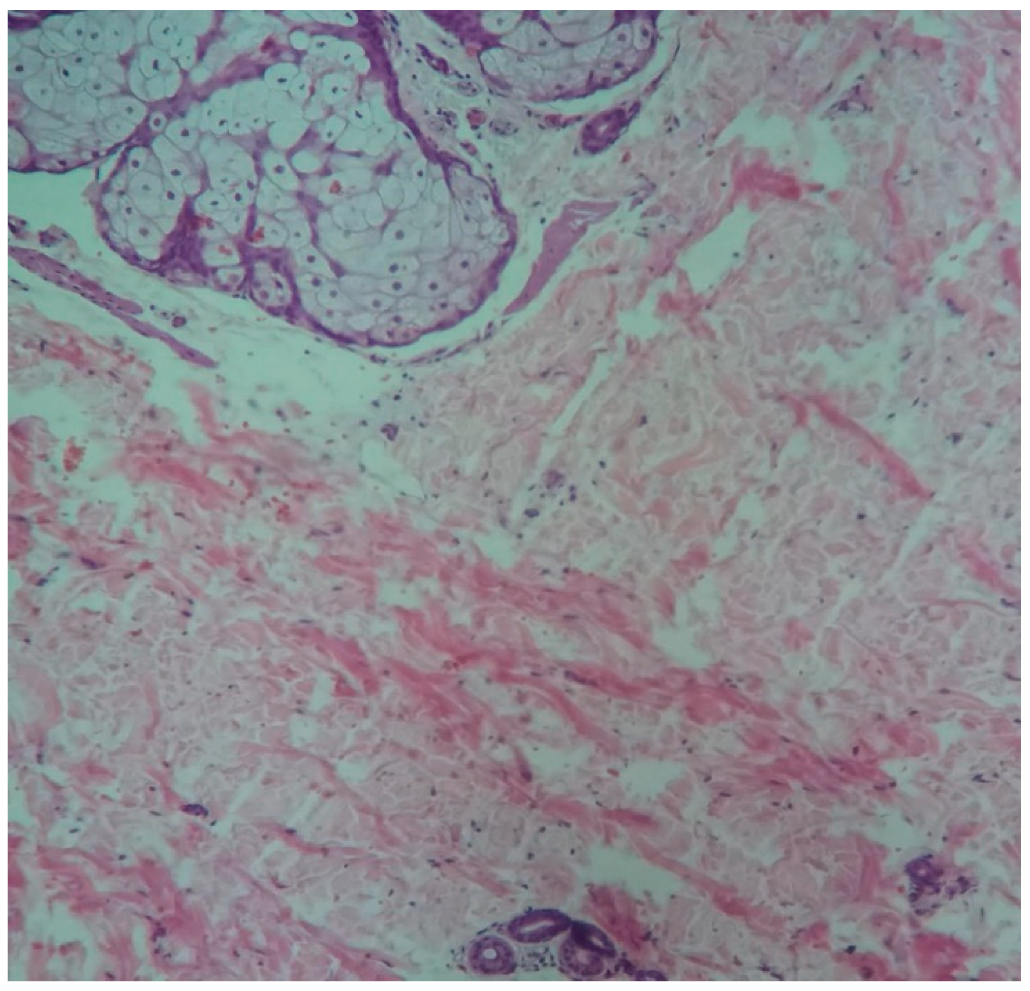
The body is covers by skin and the epiderm contein differents types of glands, as sebaceous glands and sudoripar glands.(Figure 2) It is known a specific physiopathlogic mechanism in the functionality of the body and epidermal compounds and their body sorroundings.
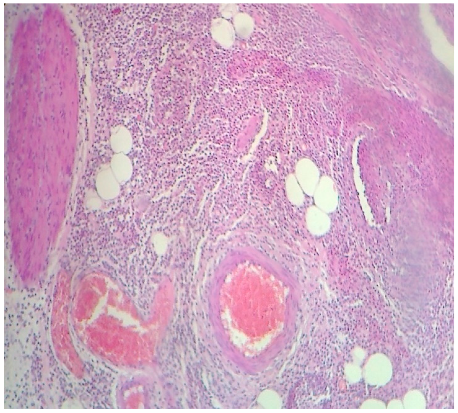
Histopathological analyse describe to the melanocytic nevi located on various regions of the body, with asymmetry, irregular form, cytologic atypia, and mitotic activity. Medical specialists, describe and conclude that to benign melanocytic nevi, could be possible to describe atypical pathological characteristics and more important good to mention characteristics when benign nevi are traumatized.(Figure 3) Dermoscopy play a role for a proper diagnostic important in practice to all ages, including, youth age and children.

Discussions

Great interest in knowing epidermal compounds. So, the epiderm, is composed of a number of specific lyers. Specific cells are known. One of the role of the epiderm is implication in differents injuries. Alterations in the compunds of the epiderm layers, contribute to the visual signs of pathologic conditions. One research direction, refer to the role of benign melanocytic lesions with alterations, which conduct to malignant cutanat melanoma.

Conclusions

Prevention and educational methods, are important. More than early detection in melanocytic nevi is a grest poit in order to try to treat and to avoid maybe possible malignancy degeneration.

References

  1. Salzer M.C., Lafzi A., Berenguer-Llergo A., Youssif C., Castellanos A., Solanas G., Peixoto F.O., Stephan-Otto Attolini C., Prats N., Aguilera M., Martín-Caballero J., Heyn H., Benitah S.A. Identity noise and adipogenic traits characterize dermal fibroblast aging. Cell. 2018;175:1575–1590.e22. [CrossRef]
  2. Palicka GA, Rhodes AR. Acral melanocytic nevi: prevalence and distribution of gross morphologic features in white and black adults. Arch Dermatol. 2010 Oct;146(10):1085-94. [CrossRef]
  3. Wang M, Xu Y, Wang J, Cui L, Wang J, Hu XB, Jiang HQ, Hong ZJ, Yuan SM. Surgical Management of Plantar Melanoma: A Retrospective Study in One Center. J Foot Ankle Surg. 2018 Jul-Aug;57(4):689-693. [CrossRef]
  4. Richtig, E. ASCO Congress 2018: melanoma treatment. Memo. 2018;11(4):261-265. [CrossRef]
  5. Wang B, Qu XL, Chen Y. Identification of the potential prognostic genes of human melanoma. J Cell Physiol. 2019 Jun;234(6):9810-9815. [CrossRef]
  6. Bristow I, Bower C. Melanoma of the Foot. Clin Podiatr Med Surg. 2016 Jul;33(3):409-22. [CrossRef]
  7. Lallas A, Kyrgidis A, Koga H, Moscarella E, Tschandl P, Apalla Z, Di Stefani A, Ioannides D, Kittler H, Kobayashi K, Lazaridou E, Longo C, Phan A, Saida T, Tanaka M, Thomas L, Zalaudek I, Argenziano G. The BRAAFF checklist: a new dermoscopic algorithm for diagnosing acral melanoma. Br J Dermatol. 2015 Oct;173(4):1041-9. [CrossRef]
  8. Tronnier, M. Melanotische Flecke und melanozytäre Nävi. In: Plewig G, Ruzicka T, Kaufmann R, Hertl M. Braun-Falcos Dermatol. Venerol. Allergol. Springer Berlin Heidelberg, 7. Auflage, 2016. [CrossRef]
  9. Tolleson WH. Human Melanocyte Biology, Toxicology, and Pathology. J Environ Sci Health Part C 2005; 23: 105–61. [CrossRef]
  10. Thomas AJ, Erickson CA. The making of a melanocyte: the specification of melanoblasts from the neural crest. Pigment Cell Melanoma Res 2008; 21: 598–610. [CrossRef]
  11. Colebatch AJ, Ferguson P, Newell F et al. Molecular genomic profiling of melanocytic nevi. J Invest Dermatol 2019; 139: 1762–8. [CrossRef]
  12. Kinsler VA, Thomas AC, Ishida M et al. Multiple congenital melanocytic nevi and neurocutaneous melanosis are caused by postzygotic mutations in codon 61 of NRAS. J Invest Dermatol 2013; 133: 2229–36. [CrossRef]
  13. Bandyopadhyay, D. Halo nevus. Indian Pediatr 2014; 51: 850.
  14. Fernandez-Flores, A. Eponyms, Morphology, and Pathogenesis of some less mentioned types of melanocytic nevi. Am J Dermatopathol 2012; 34: 607–18. [CrossRef]
Figure 1. Normal epidermis H&E stain x10.
Figure 1. Normal epidermis H&E stain x10.
Preprints 95847 g001
Figure 2. Sebaceous and sudoripar gland H&Ex 10.
Figure 2. Sebaceous and sudoripar gland H&Ex 10.
Preprints 95847 g002
Figure 3. Traumatic pigmentar nevus and adjacent region H&E stain x10.
Figure 3. Traumatic pigmentar nevus and adjacent region H&E stain x10.
Preprints 95847 g003
Disclaimer/Publisher’s Note: The statements, opinions and data contained in all publications are solely those of the individual author(s) and contributor(s) and not of MDPI and/or the editor(s). MDPI and/or the editor(s) disclaim responsibility for any injury to people or property resulting from any ideas, methods, instructions or products referred to in the content.
Copyright: This open access article is published under a Creative Commons CC BY 4.0 license, which permit the free download, distribution, and reuse, provided that the author and preprint are cited in any reuse.
Prerpints.org logo

Preprints.org is a free preprint server supported by MDPI in Basel, Switzerland.

Subscribe

Disclaimer

Terms of Use

Privacy Policy

Privacy Settings

© 2026 MDPI (Basel, Switzerland) unless otherwise stated