Submitted:
26 December 2023
Posted:
27 December 2023
You are already at the latest version
Abstract
Keywords:
1. Introduction
2. Materials and Methods
2.1. Study Population
2.2. Imaging Protocols
2.3. Statistical Analysis
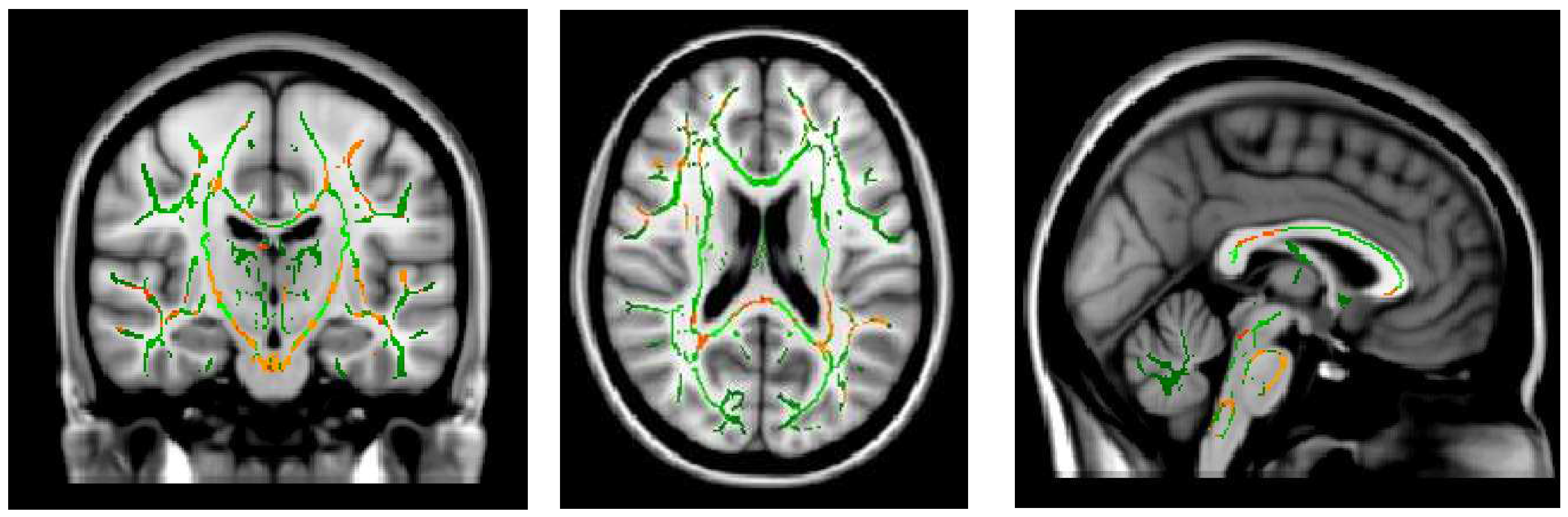
3. Results
4. Discussion
5. Conclusions
Author Contributions
Funding
Institutional Review Board Statement
Informed Consent Statement
Data Availability Statement
Conflicts of Interest
References
- Vos T, Abajobir AA, Abate KH, Abbafati C, Abbas KM, Abd-Allah F, Abdulkader RS, Abdulle AM, Abebo TA, Abera SF, et al: Global, regional, and national incidence, prevalence, and years lived with disability for 328 diseases and injuries for 195 countries, 1990–2016, a systematic analysis for the Global Burden of Disease Study 2016. The Lancet 2017, 390, 1211–1259.
- Headache Classification Committee of the International Headache Society (IHS) The International Classification of Headache Disorders, 3rd edition. Cephalalgia 2018, 38, 1–211. [CrossRef]
- Lassen LH, Haderslev PA, Jacobsen VB, Iversen HK, Sperling B, Olesen J: Cgrp May Play A Causative Role in Migraine. Cephalalgia 2002, 22, 54–61. [CrossRef] [PubMed]
- Tepper S, Ashina M, Reuter U, Brandes JL, Doležil D, Silberstein S, Winner P, Leonardi D, Mikol D, Lenz R: Safety and efficacy of erenumab for preventive treatment of chronic migraine: a randomised, double-blind, placebo-controlled phase 2 trial. The Lancet Neurology 2017, 16, 425–434. [CrossRef] [PubMed]
- Silberstein S, Dodick D, Bigal M, Yeung P, Goadsby P, Blankenbiller T, Grozinski-Wolff M, Yang R, Ma Y, Aycardi E: Fremanezumab for the Preventive Treatment of Chronic Migraine. N Engl J Med 2017, 377, 2113–2122. [CrossRef] [PubMed]
- Förderreuther S, Zhang Q, Stauffer VL, Aurora SK, Láinez MJA: Preventive effects of galcanezumab in adult patients with episodic or chronic migraine are persistent: data from the phase 3, randomized, double-blind, placebo-controlled EVOLVE-1, EVOLVE-2, and REGAIN studies. The Journal of Headache and Pain 2018, 19, 121.
- Croop R, Lipton RB, Kudrow D, Stock DA, Kamen L, Conway CM, Stock EG, Coric V, Goadsby PJ: Oral rimegepant for preventive treatment of migraine: a phase 2/3, randomised, double-blind, placebo-controlled trial. The Lancet 2021, 397, 51–60. [CrossRef] [PubMed]
- Ailani J, Lipton RB, Goadsby PJ, Guo H, Miceli R, Severt L, Finnegan M, Trugman JM: Atogepant for the Preventive Treatment of Migraine. New England Journal of Medicine 2021, 385, 695–706. [CrossRef]
- Dodick DW, Lipton RB, Ailani J, Halker Singh RB, Shewale AR, Zhao S, Trugman JM, Yu SY, Viswanathan HN: Ubrogepant, an Acute Treatment for Migraine, Improved Patient-Reported Functional Disability and Satisfaction in 2 Single-Attack Phase 3 Randomized Trials, ACHIEVE I and II. Headache: The Journal of Head and Face Pain 2020, 60, 686–700.
- Ailani J, Lipton RB, Hutchinson S, Knievel K, Lu K, Butler M, Yu SY, Finnegan M, Severt L, Trugman JM: Long-Term Safety Evaluation of Ubrogepant for the Acute Treatment of Migraine: Phase 3, Randomized, 52-Week Extension Trial. Headache: The Journal of Head and Face Pain 2020, 60, 141–152. [CrossRef]
- Alpuente A, Gallardo VJ, Asskour L, Caronna E, Torres-Ferrus M, Pozo-Rosich P: Salivary CGRP can monitor the different migraine phases: CGRP (in)dependent attacks. Cephalalgia 2021, 42, 186–196.
- Alpuente A, Gallardo VJ, Asskour L, Caronna E, Torres-Ferrus M, Pozo-Rosich P: Salivary CGRP and Erenumab Treatment Response: Towards Precision Medicine in Migraine. Annals of Neurology 2022, 92, 846–859. [CrossRef]
- Wechsler LR: Imaging Evaluation of Acute Ischemic Stroke. Stroke 2011, 42, S12–15.
- Robert, J. Young EAK: Brain MRI: Tumor evaluation. Journal of Magnetic Resonance Imaging 2006, 24, 709–724. [Google Scholar]
- Wintermark M, Sanelli PC, Anzai Y, Tsiouris AJ, Whitlow CT: Imaging Evidence and Recommendations for Traumatic Brain Injury: Advanced Neuro- and Neurovascular Imaging Techniques. American Journal of Neuroradiology 2015, 36, E1–E11. [CrossRef]
- Glenn OA, Barkovich AJ: Magnetic Resonance Imaging of the Fetal Brain and Spine: An Increasingly Important Tool in Prenatal Diagnosis, Part 1. AJNR Am J Neuroradiol 2006, 27, 1604–1611.
- Greitz D, Hannerz J, Rähn T, Bolander H, Ericsson A: MR imaging of cerebrospinal fluid dynamics in health and disease. Acta Radiologica 1994, 35, 204–211. [CrossRef]
- Kakeda S, Korogi Y: The efficacy of a voxel-based morphometry on the analysis of imaging in schizophrenia, temporal lobe epilepsy, and Alzheimer's disease/mild cognitive impairment: a review. Neuroradiology 2010, 52, 711–721. [CrossRef] [PubMed]
- Kruit MC, van Buchem MA, Hofman PAM, Bakkers JTN, Terwindt GM, Ferrari MD, Launer LJ: Migraine as a Risk Factor for Subclinical Brain Lesions. JAMA 2004, 291, 427–434. [CrossRef]
- Kruit MC, Launer LJ, Ferrari MD, van Buchem MA: Brain stem and cerebellar hyperintense lesions in migraine. Stroke 2006, 37, 1109–1112. [CrossRef]
- MacClellan LR, Giles W, Cole J, Wozniak M, Stern B, Mitchell BD, Kittner SJ: Probable Migraine With Visual Aura and Risk of Ischemic Stroke: The Stroke Prevention in Young Women Study. Stroke 2007, 38, 2438–2445. [CrossRef] [PubMed]
- Hamedani AG, Rose KM, Peterlin BL, Mosley TH, Coker LH, Jack CR, Knopman DS, Alonso A, Gottesman RF: Migraine and white matter hyperintensities: the ARIC MRI study. Neurology 2013, 81, 1308–1313.
- Monteith T, Gardener H, Rundek T, Dong C, Yoshita M, Elkind MSV, DeCarli C, Sacco RL, Wright CB: Migraine, White Matter Hyperintensities, and Subclinical Brain Infarction in a Diverse Community: The Northern Manhattan Study. Stroke 2014, 45, 1830–1832. [CrossRef]
- Øie LR, Kurth T, Gulati S, Dodick DW: Migraine and risk of stroke. Journal of Neurology, Neurosurgery & Psychiatry 2020, 91, 593–604. [CrossRef]
- Sakai F, Igarashi H: Prevalence of migraine in Japan: a nationwide survey. Cephalalgia 1997, 17, 15–22. [CrossRef]
- Chu M, Kim D-W, Kim B-K, Kim J-M, Jang T-W, Park J, Lee K, Cho S-J: Gender-specific influence of socioeconomic status on the prevalence of migraine and tension-type headache: the results from the Korean headache survey. The Journal of Headache and Pain 2013, 14, 82. [CrossRef]
- Fazekas F, Koch M, Schmidt R, Offenbacher H, Payer F, Freidl W, Lechner H: The prevalence of cerebral damage varies with migraine type: a MRI study. Headache 1992, 32, 287–291. [CrossRef] [PubMed]
- Boudreau G, al. e: The complications of migraine classified under the international classification of headache disorders: a review. Headache Care 2006, 3, 85–90. [Google Scholar] [CrossRef]
- Kurth T, Winter AC, Eliassen AH, Dushkes R, Mukamal KJ, Rimm EB, Willett WC, Manson JE, Rexrode KM: Migraine and risk of cardiovascular disease in women: prospective cohort study. BMJ 2016, 353.
- West BH, Noureddin N, Mamzhi Y, Low CG, Coluzzi AC, Shih EJ, Gevorgyan Fleming R, Saver JL, Liebeskind DS, Charles A, Tobis JM: Frequency of Patent Foramen Ovale and Migraine in Patients With Cryptogenic Stroke. Stroke 2018, 49, 1123–1128. [CrossRef]
- Takagi H, Umemoto T: A meta-analysis of case-control studies of the association of migraine and patent foramen ovale. Journal of Cardiology 2016, 67, 493–503. [CrossRef] [PubMed]
- Pezzini A, Grassi M, Lodigiani C, Patella R, Gandolfo C, Casoni F, Musolino R, Calabro RS, Bovi P, Adami A, et al: Predictors of Migraine Subtypes in Young Adults With Ischemic Stroke: The Italian Project on Stroke in Young Adults. Stroke 2011, 42, 17–21. [CrossRef] [PubMed]
- Lance JW: The pathophysiology of migraine. Ann Acad Med, Singap 1985.
- Hadjikhani N, Sanchez del Rio M, Wu O, Schwartz D, Bakker D, Fischl B, Kwong KK, Cutrer FM, Rosen BR, Tootell RBH, et al: Mechanisms of migraine aura revealed by functional MRI in human visual cortex. PNAS 2001, 98, 4687–4692. [CrossRef] [PubMed]
- Tfelt-Hansen PC: History of migraine with aura and cortical spreading depression from 1941 and onwards. Cephalalgia 2009, 30, 780–792.
- Burstein R, Noseda R, Borsook D: Migraine: Multiple Processes, Complex Pathophysiology. The Journal of neuroscience : the official journal of the Society for Neuroscience 2015, 35, 6619–6629. [CrossRef]
- Schulte LH, Mehnert J, May A: Longitudinal Neuroimaging over 30 Days: Temporal Characteristics of Migraine. Annals of Neurology 2020, 87, 646–651. [CrossRef]
- Arkink EB, Terwindt GM, Craen AJMd, Konishi J, Grond Jvd, Buchem MAv, Ferrari MD, Kruit MC: Infratentorial Microbleeds. Stroke 2015, 46, 1987–1989.
- Dai Z, Zhong J, Xiao P, Zhu Y, Chen F, Pan P, Shi H: Gray matter correlates of migraine and gender effect: A meta-analysis of voxel-based morphometry studies. Neuroscience 2015, 299, 88–96. [CrossRef] [PubMed]
- Liu J, Lan L, Li G, Yan X, Nan J, Xiong S, Yin Q, von Deneen KM, Gong Q, Liang F, et al: Migraine-Related Gray Matter and White Matter Changes at a 1-Year Follow-Up Evaluation. The Journal of Pain 2013, 14, 1703–1708. [CrossRef]
- Shibata Y, Goto M, Ishiyama S: Analysis of Migraine Pathophysiology by Magnetic Resonance Imaging. OBM Neurobiology 2022, 06, 115.
- DaSilva AFM, Granziera C, Nouchine Hadjikhani JS: Thickening in the somatosensory cortex of patients with migraine. Neurology 2007, 69, 1990–1995. [CrossRef]
- Kim JH, Kim JB, Suh SI, Seo WK, Oh K, Koh SB: Thickening of the somatosensory cortex in migraine without aura. Cephalalgia 2014, 34, 1125–1133. [CrossRef]
- Chong CD, Dodick DW, Schlaggar BL, Schwedt TJ: Atypical age-related cortical thinning in episodic migraine. Cephalalgia 2014, 34, 1115–1124. [CrossRef]
- Maleki N, Becerra L, Brawn J, Bigal M, Burstein R, Borsook D: Concurrent functional and structural cortical alterations in migraine. Cephalalgia 2012, 32, 607–620. [CrossRef]
- Messina R, Rocca MA, Colombo B, Valsasina P, Horsfield MA, Copetti M, Falini A, Comi G, Filippi M: Cortical Abnormalities in Patients with Migraine: A Surface-based Analysis. Radiology 2013, 268, 170–180. [CrossRef]
- Shibata Y, Ishiyama S, Matsushita A: White matter diffusion abnormalities in migraine and medication overuse headache: A 1.5-Tesla tract-based spatial statistics study. Clinical Neurology and Neurosurgery 2018, 174, 167–173. [CrossRef]
- Schwedt TJ, Si B, Li J, Wu T, Chong CD: Migraine Subclassification via a Data-Driven Automated Approach Using Multimodality Factor Mixture Modeling of Brain Structure Measurements. Headache: The Journal of Head and Face Pain 2017, 57, 1051–1064. [CrossRef]
- Planchuelo-Gómez Á, García-Azorín D, Guerrero ÁL, de Luis-García R, Rodríguez M, Aja-Fernández S: Alternative Microstructural Measures to Complement Diffusion Tensor Imaging in Migraine Studies with Standard MRI Acquisition. Brain Sciences 2020, 10, 711. [CrossRef]
- Schramm S, Börner C, Reichert M, Baum T, Zimmer C, Heinen F, Bonfert MV, Sollmann N: Functional magnetic resonance imaging in migraine: A systematic review. Cephalalgia 2023, 43, 03331024221128278.
- Ishiyama S, Shibata Y, Ayuzawa S, Matsushita A, Matsumura A, Ishikawa E: The Modifying of Functional Connectivity Induced by Peripheral Nerve Field Stimulation using Electroacupuncture for Migraine: A Prospective Clinical Study. Pain Medicine 2022, 23, 1560–1569. [CrossRef]
- Planchuelo-Gómez Á, García-Azorín D, Guerrero ÁL, Aja-Fernández S, Rodríguez M, de Luis-García R: White matter changes in chronic and episodic migraine: a diffusion tensor imaging study. The Journal of Headache and Pain 2020, 21, 1. [CrossRef]
- Zhang H, Schneider T, Wheeler-Kingshott CA, Alexander DC: NODDI: Practical in vivo neurite orientation dispersion and density imaging of the human brain. NeuroImage 2012, 61, 1000–1016. [CrossRef]
- Seyedmirzaei H, Nabizadeh F, Aarabi MH, Pini L: Neurite Orientation Dispersion and Density Imaging in Multiple Sclerosis: A Systematic Review. Journal of Magnetic Resonance Imaging 2023, 58, 1011–1029. [CrossRef]
- Andica C, Kamagata K, Hatano T, Saito A, Uchida W, Ogawa T, Takeshige-Amano H, Zalesky A, Wada A, Suzuki M, et al: Free-Water Imaging in White and Gray Matter in Parkinson’s Disease. Cells 8, 2019.
- Nakaya M, Sato N, Matsuda H, Maikusa N, Shigemoto Y, Sone D, Yamao T, Ogawa M, Kimura Y, Chiba E, et al: Free water derived by multi-shell diffusion MRI reflects tau/neuroinflammatory pathology in Alzheimer's disease. Alzheimer Dementia 2022, 8, e12356.
- Kraguljac NV, Guerreri M, Strickland MJ, Zhang H: Neurite Orientation Dispersion and Density Imaging in Psychiatric Disorders: A Systematic Literature Review and a Technical Note. Biological Psychiatry Global Open Science 2023, 3, 10–21. [CrossRef]
- Timmers I, Roebroeck A, Bastiani M, Jansma B, Rubio-Gozalbo E, Zhang H: Assessing Microstructural Substrates of White Matter Abnormalities: A Comparative Study Using DTI and NODDI. PLOS ONE 2016, 11, e0167884.
- Penzes P, Cahill ME, Jones KA, VanLeeuwen J-E, Woolfrey KM: Dendritic spine pathology in neuropsychiatric disorders. Nat Neurosci 2011, 14, 285–293. [CrossRef]
- Nazeri A, Mulsant BH, Rajji TK, Levesque ML, Pipitone J, Stefanik L, Shahab S, Roostaei T, Wheeler AL, Chavez S, Voineskos AN: Gray Matter Neuritic Microstructure Deficits in Schizophrenia and Bipolar Disorder. Biological Psychiatry 2017, 82, 726–736. [CrossRef]
- Zhao J, Li J-b, Wang J-y, Wang Y-l, Liu D-w, Li X-b, Song Y-k, Tian Y-s, Yan X, Li Z-h, et al: Quantitative analysis of neurite orientation dispersion and density imaging in grading gliomas and detecting IDH-1 gene mutation status. NeuroImage: Clinical 2018, 19, 174–181. [CrossRef]
- Parker TD, Slattery CF, Zhang J, Nicholas JM, Paterson RW, Foulkes AJM, Malone IB, Thomas DL, Modat M, Cash DM, et al: Cortical microstructure in young onset Alzheimer's disease using neurite orientation dispersion and density imaging. Hum Brain Mapp 2018, 39, 3005–3017. [CrossRef]
- Yu-Chien W, M. MS, Jaroslaw H, Chandana K, A. FL, W. MT: Hybrid Diffusion Imaging in Mild Traumatic Brain Injury. J Neurotrauma 2018, 0, null. [Google Scholar]
- Hara S, Hori M, Ueda R, Hayashi S, Inaji M, Tanaka Y, Maehara T, Ishii K, Aoki S, Nariai T: Unraveling Specific Brain Microstructural Damage in Moyamoya Disease Using Diffusion Magnetic Resonance Imaging and Positron Emission Tomography. Journal of Stroke and Cerebrovascular Diseases 2019, 28, 1113–1125. [CrossRef]
- Sacco S, Caverzasi E, Papinutto N, Cordano C, Bischof A, Gundel T, Cheng S, Asteggiano C, Kirkish G, Mallott J, et al: Neurite Orientation Dispersion and Density Imaging for Assessing Acute Inflammation and Lesion Evolution in MS. American Journal of Neuroradiology 2020, 41, 2219–2226. [CrossRef]
- Winston GP: The potential role of novel diffusion imaging techniques in the understanding and treatment of epilepsy. Quantitative Imaging in Medicine and Surgery 2015, 5, 279–287.
- Sone D, Sato N, Ota M, Maikusa N, Kimura Y, Matsuda H: Abnormal neurite density and orientation dispersion in unilateral temporal lobe epilepsy detected by advanced diffusion imaging. NeuroImage: Clinical 2018, 20, 772–782. [CrossRef]
- Schwedt TJ, Chong CD: Medication Overuse Headache: Pathophysiological Insights from Structural and Functional Brain MRI Research. Headache: The Journal of Head and Face Pain 2017, 57, 1173–1178. [CrossRef]
- Schmitz N, Admiraal-Behloul F, Arkink EB, Kruit MC, Schoonman GG, Ferrari MD, Van Buchem MA: Attack Frequency and Disease Duration as Indicators for Brain Damage in Migraine. Headache: The Journal of Head and Face Pain 2008, 48, 1044–1055. [CrossRef]
- Smith SM: Tract-based spatial statistics. NeuroImage 2006, 31, 1487–1505.
- Szabó N, Kincses ZT, Párdutz Á, Tajti J, Szok D, Tuka B, Király A, Babos M, Vörös E, Bomboi G, et al: White matter microstructural alterations in migraine: A diffusion-weighted MRI study. PAIN 2012, 153, 651–656. [CrossRef]
- Yu D, Yuan K, Qin W, Zhao L, Dong M, Liu P, Yang X, Liu J, Sun J, Zhou G, et al: Axonal loss of white matter in migraine without aura: a tract-based spatial statistics study. Cephalalgia 2013, 33, 34–42. [CrossRef] [PubMed]
- Li XL, Fang YN, Gao QC, Lin EJ, Hu SH, Ren L, Ding MH, Luo BN: A Diffusion Tensor Magnetic Resonance Imaging Study of Corpus Callosum From Adult Patients With Migraine Complicated With Depressive/Anxious Disorder. Headache: The Journal of Head and Face Pain 2011, 51, 237–245.
- Rocca MA, Pagani E, Colombo B, Tortorella P, Falini A, Comi G, Filippi M: Selective diffusion changes of the visual pathways in patients with migraine: a 3-T tractography study. Cephalalgia 2008, 28, 1061–1068. [CrossRef] [PubMed]
- Coppola G, Tinelli E, Lepre C, Iacovelli E, Di Lorenzo C, Di Lorenzo G, Serrao M, Pauri F, Fiermonte G, Bianco F, Pierelli F: Dynamic changes in thalamic microstructure of migraine without aura patients: a diffusion tensor magnetic resonance imaging study. Eur J Neurol 2014, 21, 287–e213. [CrossRef] [PubMed]
- Coppola G, Di Renzo A, Tinelli E, Iacovelli E, Lepre C, Di Lorenzo C, Di Lorenzo G, Di Lenola D, Parisi V, Serrao M, et al: Evidence for brain morphometric changes during the migraine cycle: A magnetic resonance-based morphometry study. Cephalalgia 2015, 35, 783–791. [CrossRef]
- Yuan K, Qin W, Liu P, Zhao L, Yu D, Dong M, Liu J, Yang X, von Deneen KM, Liang F, Tian J: Reduced fractional anisotropy of corpus callosum modulates inter-hemispheric resting state functional connectivity in migraine patients without aura. PLoS One 2012, 7, e45476.





| Migraine | Healthy Volunteer | p | |
|---|---|---|---|
| n | 29 | 23 | - |
| Male/Female | 2/27 | 6/17 | ns |
| Mean age ±SD | 44.5±13.5 | 44.9±12.7 | ns |
| Duration ±SD | 21.4±15.7 | - | - |
| MOH(Yes/No) | 4/25 | - | - |
| EM/CM | 17/12 | - | - |
| EM | CM | p | |
|---|---|---|---|
| n | 17 | 12 | |
| Male/Female | 0/17 | 1/11 | |
| Mean age +SD | 46.6 ± 14.6 | 41.4 ± 11.0 | 0.3 |
| Duration +SD | 23.9 ± 15.4 | 17.6 ± 15.3 | 0.32 |
| MOH | Non-MOH | p | |
|---|---|---|---|
| n | 4 | 25 | |
| Male/Female | 0/4 | 1/24 | |
| Mean age +SD | 37.8 ± 7.1 | 45.6 ± 13.9 | 0.155 |
| Duration +SD | 7.5 ± 4.6 | 23.6 ± 15.7 | <0.01 |
Disclaimer/Publisher’s Note: The statements, opinions and data contained in all publications are solely those of the individual author(s) and contributor(s) and not of MDPI and/or the editor(s). MDPI and/or the editor(s) disclaim responsibility for any injury to people or property resulting from any ideas, methods, instructions or products referred to in the content. |
© 2023 by the authors. Licensee MDPI, Basel, Switzerland. This article is an open access article distributed under the terms and conditions of the Creative Commons Attribution (CC BY) license (http://creativecommons.org/licenses/by/4.0/).
