Submitted:
04 May 2025
Posted:
07 May 2025
Read the latest preprint version here
Abstract
Keywords:
Introduction
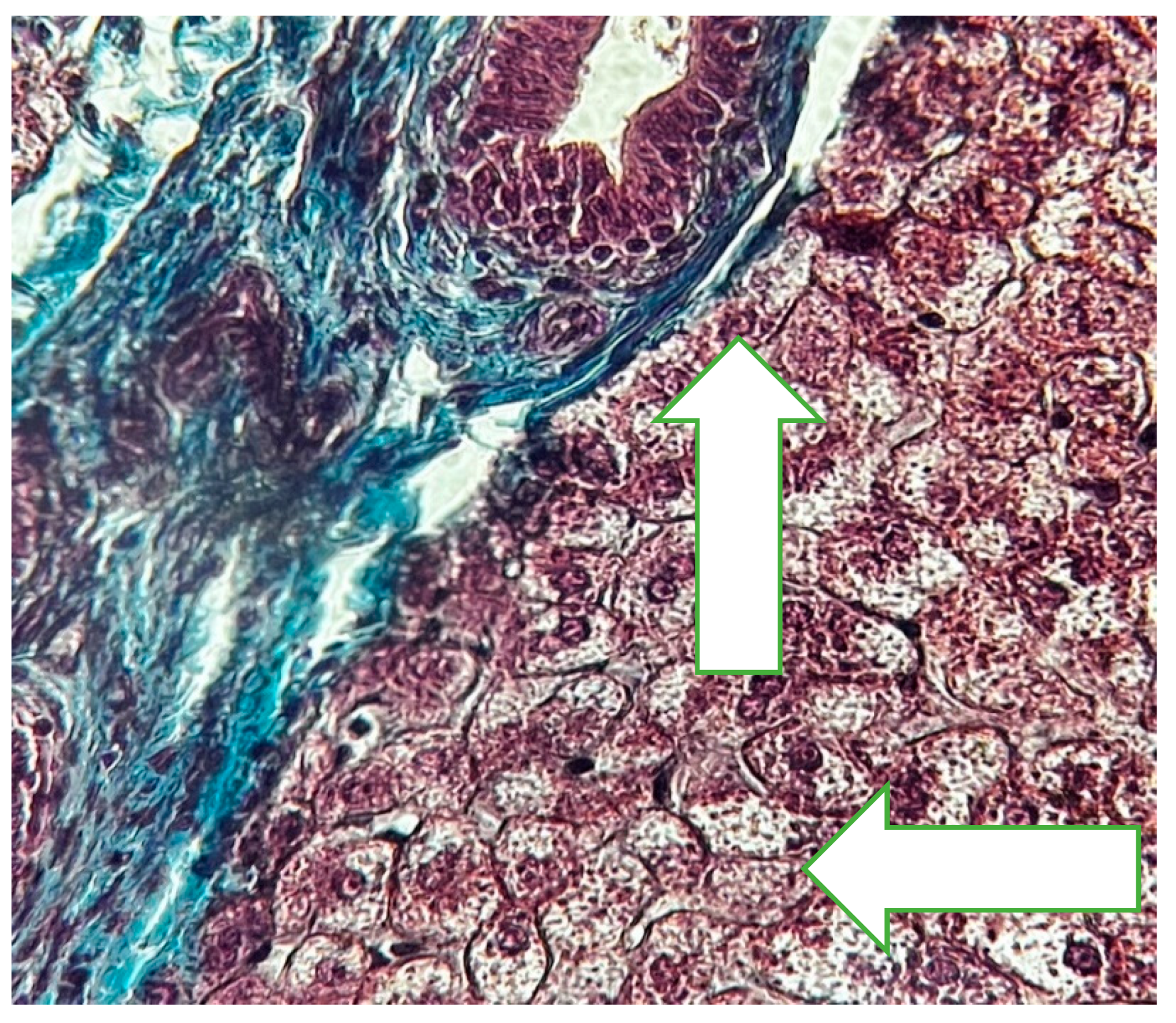
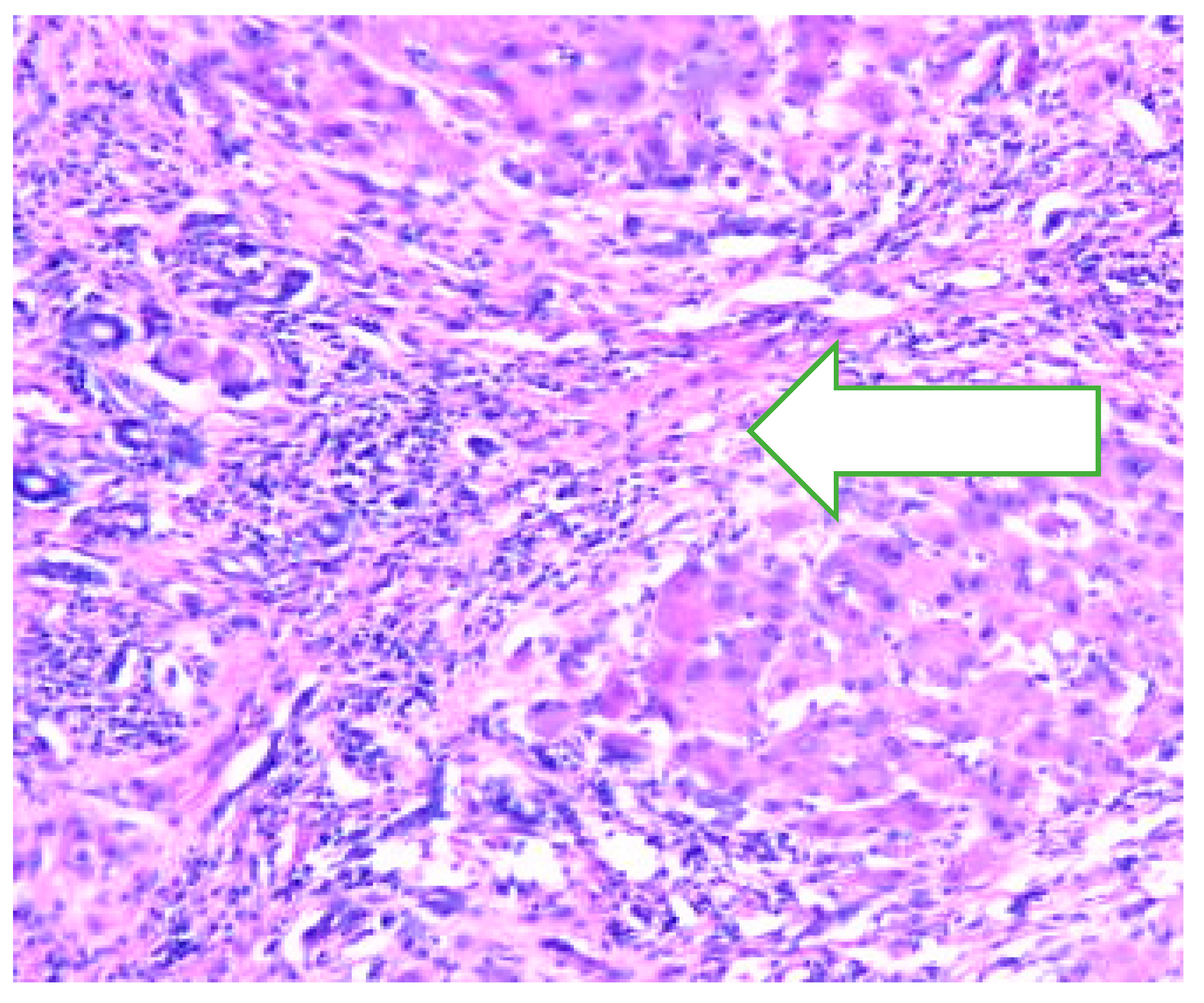
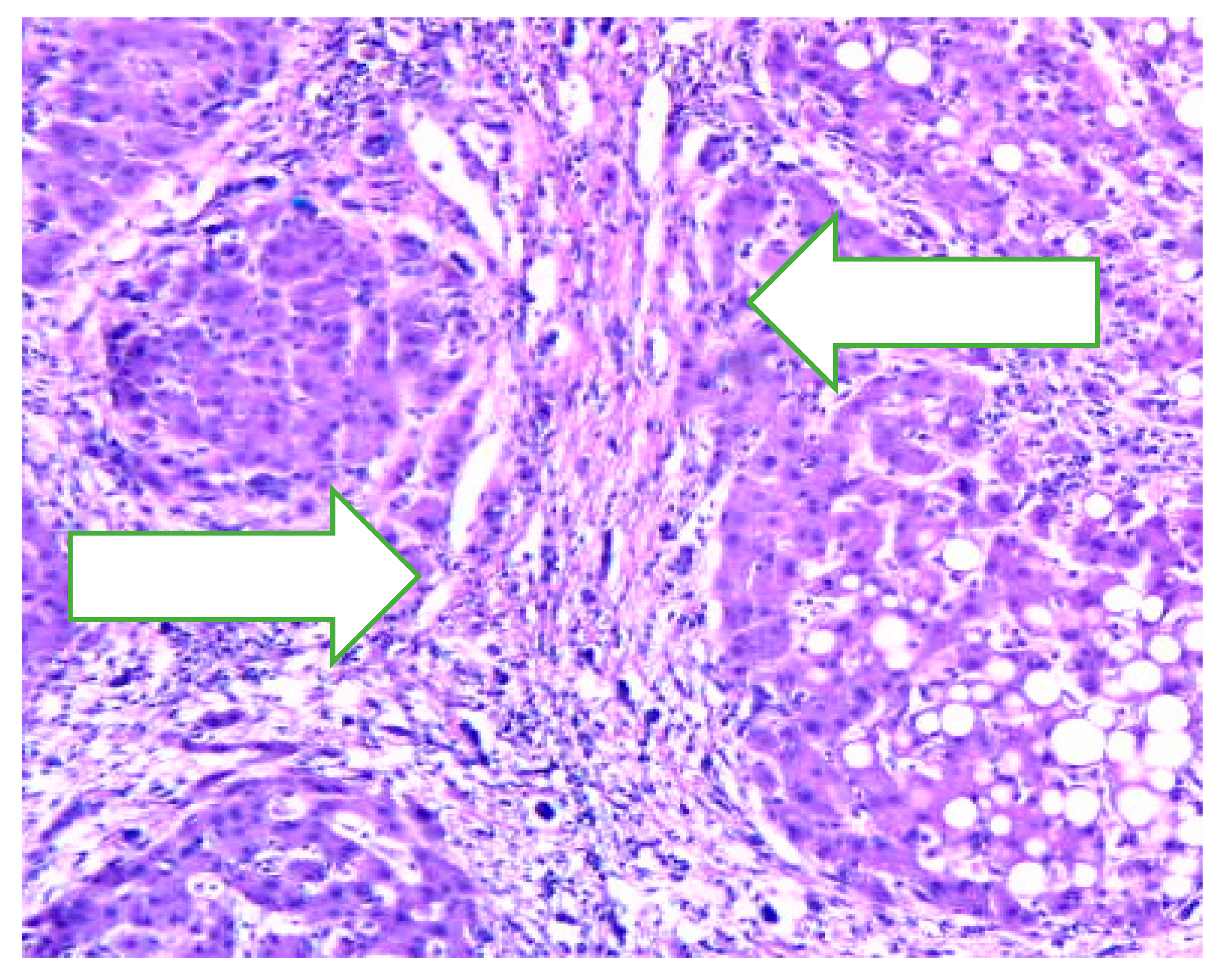
Material and Methods
4. Complications in Cirrhosis
5. Cellular and Molecular Key Points
Discussions
Conclusions
References
- AASLD-IDSA. HCV Guidance: Recommendations for Testing, Managing, and Treating Hepatitis C 2016. Available from: http://hcvguidelines.org/sites/default/files/HCV-Guidance_October_2016_a.pdf. Guidance produced by the American Association for the Study of Liver Disease and the Infectious Disease Society of America (AASLD-IDSA) covering recommendations for hepatitis C testing, clinical management and treatment.
- Recommendations for prevention and control of hepatitis C virus (HCV) infection and HCV-related chronic disease. Centers for Disease Control and Prevention. MMWR Recomm Rep. 1998, 47, 1–39, Recommendations from the Centers for the Disease Control and Prevention definng populations for risk-based testing of hepatitis C. [Google Scholar]
- Moyer, V.A. Screening for hepatitis C virus infection in adults: U.S. Preventive Services Task Force recommendation statement. Ann Intern Med. 2013, 159, 349–357, Hepatitis C testing recommendations for adults from the United States Preventive Services Task Force including risk-based testing and testing for adults born from 1945–1965. [Google Scholar] [CrossRef]
- Holmberg, S.D.; Spradling, P.R.; Moorman, A.C.; Denniston, M.M. Hepatitis C in the United States. N Engl J Med. 2013, 368, 1859–1861, Description of a care cascade integrating data from the Chronic Hepatitis Cohort Study and the National Health and Nutrition Examination Survey. [Google Scholar] [CrossRef]
- Viner, K.; Kuncio, D.; Newbern, E.C.; Johnson, C.C. The continuum of hepatitis C testing and care. Hepatology. 2015, 61, 783–789, Description of an HCV continuum of care in a US urban center highlighting important areas where patients become lost at each stage. [Google Scholar] [CrossRef]
- Koneru, A.; Nelson, N.; Hariri, S.; Canary, L.; Sanders, K.J.; Maxwell, J.F.; et al. Increased Hepatitis C Virus (HCV) Detection in Women of Childbearing Age and Potential Risk for Vertical Transmission - United States and Kentucky, 2011–2014. MMWR Morb Mortal Wkly Rep. 2016, 65, 705–710, Analysis finding that the proportion of infants born to HCV-infected mothers increased 68% nationally and 124% in Kentucky. [Google Scholar] [CrossRef]
- Kuncio, D.E.; Newbern, E.C.; Johnson, C.C.; Viner, K.M. Failure to Test and Identify Perinatally Infected Children Born to Hepatitis C Virus-Infected Women. Clin Infect Dis. 2016, 62, 980–985, Analysis of surveillance data from the Philadelphia Department of Public Health finding a significiant number of women giving birth in Philadelphia tested positive for HCV but that most of their children were not tested for HCV. [Google Scholar] [CrossRef]
- Lambers, F.A.; Prins, M.; Thomas, X.; Molenkamp, R.; Kwa, D.; Brinkman, K.; et al. Alarming incidence of hepatitis C virus re-infection after treatment of sexually acquired acute hepatitis C virus infection in HIV-infected MSM. AIDS. 2011, 25, F21–F27. [Google Scholar] [CrossRef]
- Martin, T.C.; Martin, N.K.; Hickman, M.; Vickerman, P.; Page, E.E.; Everett, R.; et al. Hepatitis C virus reinfection incidence and treatment outcome among HIV-positive MSM. AIDS (London, England) 2013, 27, 2551–2557. [Google Scholar] [CrossRef] [PubMed]
- Ingiliz, P.; Martin, T.C.; Rodger, A.; Stellbrink, H.J.; Mauss, S.; Boesecke, C.; et al. HCV reinfection incidence and spontaneous clearance rates in HIV-positive men who have sex with men in Western Europe. J Hepatol. 2016. [CrossRef]
- Testing for HCV infection: an update of guidance for clinicians and laboratorians. MMWR Morb Mortal Wkly Rep. 2013, 62, 362–365, Updated guidance for clinicians and laboratorians from the Centers for Disease Control and Prevention on diagnostic testing procedures for hepatitis C.
- Moyer, V.A. Screening for hepatitis C virus infection in adults: U.S. Preventive Services Task Force recommendation statement. Ann Intern Med. 2013, 159, 349–357, Hepatitis C testing recommendations for adults from the United States Preventive Services Task Force including risk-based testing and testing for adults born from 1945–1965. [Google Scholar] [CrossRef]
- Thomas, D.L.; Seeff, L.B. Natural history of hepatitis C. Clin Liver Dis. 2005, 9, 383–98. vi. [Google Scholar] [CrossRef]
- Mack, C.L.; Gonzalez-Peralta, R.P.; Gupta, N.; Leung, D.; Narkewicz, M.R.; Roberts, E.A.; et al. NASPGHAN practice guidelines: Diagnosis and management of hepatitis C infection in infants, children, and adolescents. J Pediatr Gastroenterol Nutr. 2012, 54, 838–855. [Google Scholar] [CrossRef]
- Thein, H.H.; Yi, Q.; Dore, G.J.; Krahn, M.D. Estimation of stage-specific fibrosis progression rates in chronic hepatitis C virus infection: a meta-analysis and meta-regression. Hepatology. 2008, 48, 418–431. [Google Scholar] [CrossRef]
- Conteduca, V.; Sansonno, D.; Russi, S.; Pavone, F.; Dammacco, F. Therapy of chronic hepatitis C virus infection in the era of direct-acting and host-targeting antiviral agents. J Infect. 2014, 68, 1–20. [Google Scholar] [CrossRef] [PubMed]
- Gomez, J.; Martell, M.; Quer, J.; Cabot, B.; Esteban, J.I. Hepatitis C viral quasispecies. J Viral Hepat. 1999, 6, 3–16. [Google Scholar] [CrossRef]
- Duffy, S.; Shackelton, L.A.; Holmes, E.C. Rates of evolutionary change in viruses: patterns and determinants. Nat Rev Genet. 2008, 9, 267–276. [Google Scholar] [CrossRef]
- Bukh, J. The history of hepatitis C virus (HCV): Basic research reveals unique features in phylogeny, evolution and the viral life cycle with new perspectives for epidemic control. J Hepatol. 2016, 65 (1 Suppl), S2–S21. [Google Scholar] [CrossRef]
- Ly, K.N.; Hughes, E.M.; Jiles, R.B.; Holmberg, S.D. Rising Mortality Associated With Hepatitis C Virus in the United States, 2003–2013. Clin Infect Dis. 2016, 62, 1287–1288, Describes rising HCV-associated mortality in the United States from 2003–2013. During that time period, HCV-associated deaths surpassed 60 other nationally natofiable infectious conditions combined. [Google Scholar] [CrossRef]
- Allison, R.D.; Tong, X.; Moorman, A.C.; Ly, K.N.; Rupp, L.; Xu, F.; et al. Increased incidence of cancer and cancer-related mortality among persons with chronic hepatitis C infection, 2006–2010. J Hepatol. 2015, 63, 822–828, Analysis of a cohort of HCV-infected persons that found the the incidence of liver cancer and many types of non-liver cancers were higher, and age at diagnosis and death younger, in patients with chronic HCV infection compared to the general population. [Google Scholar] [CrossRef]
- Alberti, A.; Chemello, L.; Benvegnù, L. Natural history of hepatitis C. J Hepatol. 1999, 31 (Suppl. 1), 17–24. [Google Scholar] [CrossRef]
- Hoofnagle, J.H. Course and outcome of hepatitis C. Hepatology. 2002, 36, S21–S29. [Google Scholar] [CrossRef]
- Chen, S.L.; Morgan, T.R. The natural history of hepatitis C virus (HCV) infection. Int J Med Sci. 2006, 3, 47–52. [Google Scholar] [CrossRef]
- Chevaliez, S.; Pawlotsky, J.M. Virology of hepatitis C virus infection. Best Pract Res Clin Gastroenterol. 2012, 26, 381–389. [Google Scholar] [CrossRef]
- Saludes, V.; González, V.; Planas, R.; Matas, L.; Ausina, V.; Martró, E. Tools for the diagnosis of hepatitis C virus infection and hepatic fibrosis staging. World J Gastroenterol. 2014, 20, 3431–3442. [Google Scholar] [CrossRef]
- Naveau, S.; Perlemuter, G.; Balian, A. [Epidemiology and natural history of cirrhosis]. Rev Prat. 2005, 55, 1527–32. [Google Scholar]
- Kleinbloesem, C.H.; van Harten, J.; Wilson, J.P.; Danhof, M.; van Brummelen, P.; Breimer, D.D. Nifedipine: kinetics and hemodynamic effects in patients with liver cirrhosis after intravenous and oral administration. Clin Pharmacol Ther. 1986, 40, 21–28. [Google Scholar] [CrossRef]
- Bircher J, Benhamou JP, McIntyre N, Rizzetto M, Rodes J, editors. Oxford Textbook of Clinical Hepatology. 2nd Edition Oxford University Press; 1999.
- Sherlock S, Dooley J, editors. Diseases of the Liver and Biliary System. 11th Edition Blackwell Science; Oxford, UK; Malden, MA: 2002.
- Schiff ER, Sorrell MF, Maddrey EC, editors. Schiff’s Diseases of the Liver. 9th Edition Lippincott, Williams & Wilkins; Philadelphia: 2003.
- Desmet, V.J.; Roskams, T. Cirrhosis reversal: a duel between dogma and myth. J Hepatol. 2004, 40, 860–867. [Google Scholar] [CrossRef]
- European Association for the Study of the Liver EASL Clinical Practice Guidelines for the management of patients with decompensated cirrhosis. Hepatol. 2018, 69, 406–460. [CrossRef]
- Wanless, I.R.; Nakashima, E.; Sherman, M. Regression of human cirrhosis. Morphologic features and the genesis of incomplete septal cirrhosis. Arch Pathol Lab Med. 2000, 124, 1599–1607. [Google Scholar] [CrossRef]
- Macdonald, S.; Jepsen, P.; Alrubaiy, L.; Watson, H.; Vilstrup, H.; Jalan, R. ,Quality of life measures predict mortality in patients with cirrhosis and severe ascites. Aliment Pharmacol Ther. 2019, 49, 321–330. [Google Scholar] [CrossRef]
- Häussinger, D.; Dhiman, R.K.; Felipo, V.; Görg, B.; Jalan, R.; Kircheis, G.; Merli, M.; Montagnese, S.; Romero-Gomez, M.; Schnitzler, A.; Taylor-Robinson, S.D.; Vilstrup, H. Hepatic encephalopathy. Nat Rev Dis Primers. 2022, 8, 43. [Google Scholar] [CrossRef] [PubMed]
- Ridola, L.; Faccioli, J.; Nardelli, S.; Gioia, S.; Riggio, O. Hepatic Encephalopathy: Diagnosis and Management. J Transl Int Med. 2020, 8, 210–219. [Google Scholar] [CrossRef] [PubMed]
- European Association for the Study of the Liver. EASL clinical practice guidelines on the management of ascites, spontaneous bacterial peritonitis, and hepatorenal syndrome in cirrhosis. J Hepatol. 2010, 53, 397–417. [Google Scholar] [CrossRef]
- Gravito-Soares, M.; Gravito-Soares, E.; Lopes, S.; Ribeiro, G.; Figueiredo, P. Spontaneous fungal peritonitis: a rare but severe complication of liver cirrhosis. Eur J Gastroenterol Hepatol. 2017, 29, 1010–1016. [Google Scholar] [CrossRef] [PubMed]
- Fiore, M.; Chiodini, P.; Pota, V.; Sansone, P.; Passavanti, M.B.; Leone, S.; Aurilio, C.; Pace, M.C. Risk of spontaneous fungal peritonitis in hospitalized cirrhotic patients with ascites: a systematic review of observational studies and meta-analysis. Minerva Anestesiol. 2017, 83, 1309–1316. [Google Scholar] [CrossRef]
- Alqahtani, S.A.; Jang, S. Pathophysiology and Management of Variceal Bleeding. Drugs 2021, 81, 647–667. [Google Scholar] [CrossRef]
- Baiges, A.; Hernández-Gea, V. Management of Liver Decompensation in Advanced Chronic Liver Disease: Ascites, Hyponatremia, and Gastroesophageal Variceal Bleeding. Clin Drug Investig. 2022, 42, 25–31. [Google Scholar] [CrossRef]
- Molleston, J.P.; Bennett, W.E., Jr. Mortality, Risk Factors and Disparities Associated with Esophageal Variceal Bleeding in Children’s Hospitals in the US. J Pediatr. 2021, 232, 176–182. [Google Scholar] [CrossRef]
- Van der Merwe, S.; Chokshi, S.; Bernsmeier, C.; Albillos, A. The multifactorial mechanisms of bacterial infection in decompensated cirrhosis. J Hepatol. 2021, 75 (Suppl. 1), S82–S100. [Google Scholar] [CrossRef]
- Choudry, N.; Sasso, R.; Rockey, D.C. Infection in Hospitalized Cirrhosis Patients: Changing Epidemiology and Clinical Features. Am J Med Sci. 2022, 363, 114–121. [Google Scholar] [CrossRef] [PubMed]
- Fernández, J.; Piano, S.; Bartoletti, M.; Wey, E.Q. Management of bacterial and fungal infections in cirrhosis: The MDRO challenge. J Hepatol. 2021, 75 (Suppl 1), S101–S117. [Google Scholar] [CrossRef] [PubMed]
- Trefts Elijah, GannonMaureen, Wasserman David H. , The liver, Published in final edited form as: Curr Biol. 2017, 27, R1147–R1151.
- Su, W.; Mao, Z.; Liu, Y.; Zhang, X.; Zhang, W.; Gustafsson, J.A.; Guan, Y. Role of HSD17B13 in the liver physiology and pathophysiology. Mol Cell Endocrinol. 2019, 489, 119–125. [Google Scholar] [CrossRef] [PubMed]
- Adams, L.A.; Angulo, P.; Lindor, K.D. Nonalcoholic fatty liver disease. CMAJ. 2005, 172, 899–905. [Google Scholar] [CrossRef]
- Malinchoc, M.; Kamath, P.S.; Gordon, F.D.; Peine, C.J.; Rank, J.; ter Borg, P.C. A model to predict poor survival in patients undergoing transjugular intrahepatic portosystemic shunts. Hepatology. 2000, 31, 864–871. [Google Scholar] [CrossRef]
- Godfrey, E.L.; Kueht, M.L.; Rana, A.; Awad, S. MELD-Na (the new MELD) and peri-operative outcomes in emergency surgery. Am J Surg. 2018, 216, 407–413. [Google Scholar] [CrossRef]




Disclaimer/Publisher’s Note: The statements, opinions and data contained in all publications are solely those of the individual author(s) and contributor(s) and not of MDPI and/or the editor(s). MDPI and/or the editor(s) disclaim responsibility for any injury to people or property resulting from any ideas, methods, instructions or products referred to in the content. |
© 2025 by the authors. Licensee MDPI, Basel, Switzerland. This article is an open access article distributed under the terms and conditions of the Creative Commons Attribution (CC BY) license (http://creativecommons.org/licenses/by/4.0/).