Submitted:
12 December 2023
Posted:
13 December 2023
Read the latest preprint version here
Abstract
Keywords:
1. Introduction
2. Material and Methods
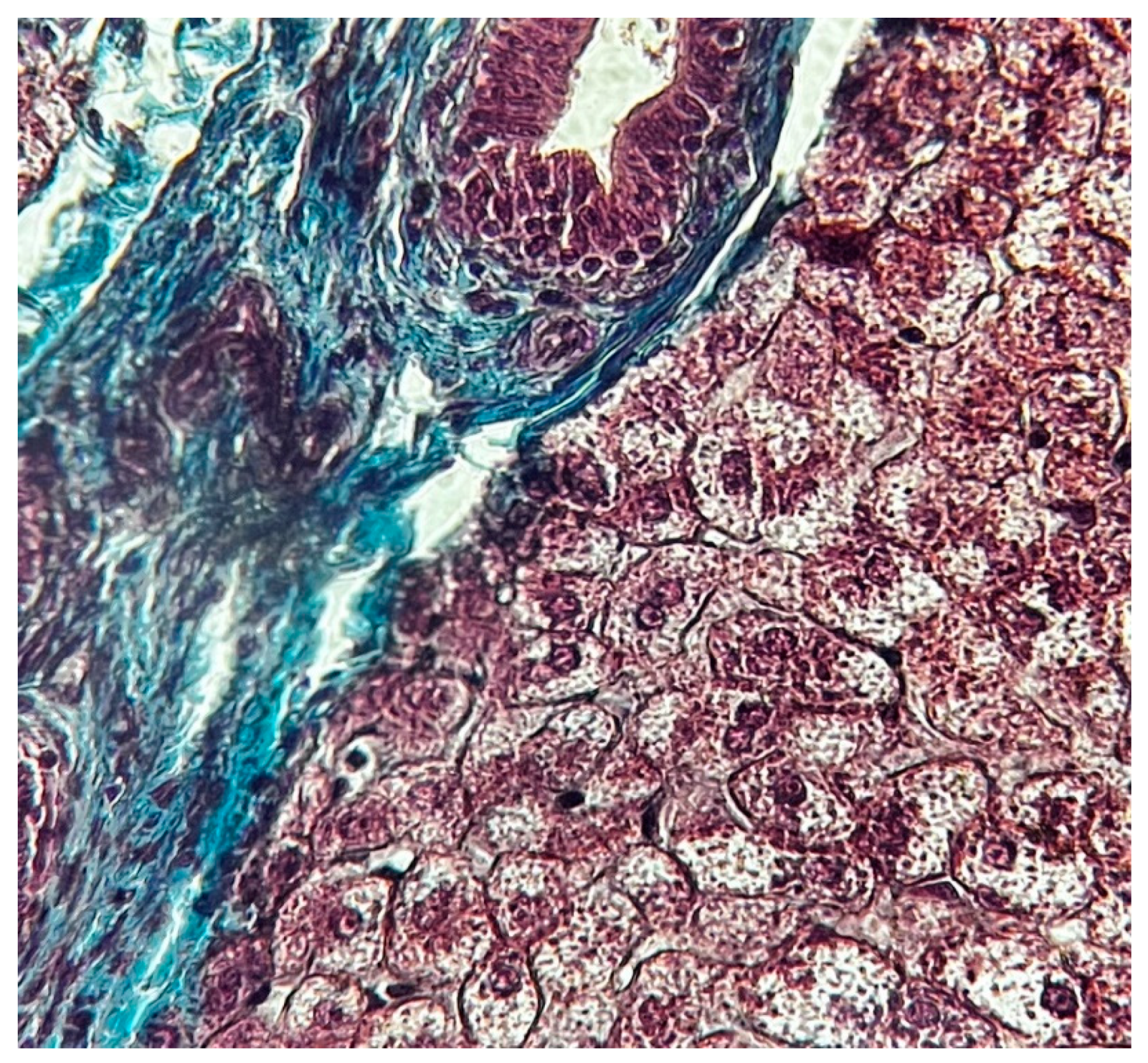
3. Results
- Zone I is considered to be the periportal region of hepatocytes and are the best perfused and first to regenerate due to their proximity to oxygenated blood and nutrients. Implication in oxidative metabolisms.
- Zone II is defined as the pericentral region of the hepatocytes.
- Zone III has the lowest perfusion due to its distance from the portal triad. Implication role in detoxification.

4. Discusions
5. Conclusions
Author Contributions
Funding
Institutional Review Board Statement
Informed Consent Statement
Data Availability Statement
Acknowledgments
Conflicts of Interest
References
- Naveau S, Perlemuter G, Balian A. [Epidemiology and natural history of cirrhosis]. Rev Prat. 2005 Sep 30;55(14):1527-32.
- Kim MY, Baik SK, Lee SS. Hemodynamic alterations in cirrhosis and portal hypertension. Korean J Hepatol. 2010 Dec;16(4):347-52. [CrossRef]
- George Joseph, Mutsumi, Tsutsumi Mikihiro, Molecular mechanisms in the pathogenesis of N-nitrosodimethylamine induced hepatic fibrosis, Cell Death Dis.,. 2019 Jan 8;10(1):18. [CrossRef]
- Promrat K, Kleiner DE, Niemeier HM, Jackvony E, Kearns M, Wands JR, Fava JL, Wing RR. Randomized controlled trial testing the effects of weight loss on nonalcoholic steatohepatitis. Hepatology. 2010 Jan;51(1):121-9. [CrossRef]
- Hayward KL, Weersink RA. Improving Medication-Related Outcomes in Chronic Liver Disease. Hepatol Commun. 2020 Nov;4(11):1562-1577. [CrossRef]
- Mittal S, El-Serag HB. Epidemiology of hepatocellular carcinoma: consider the population. J Clin Gastroenterol. 2013 Jul;47 Suppl:S2-6. [CrossRef]
- Schuppan D, Afdhal NH. Liver cirrhosis. Lancet. 2008 Mar 08;371(9615):838-51. [CrossRef]
- Scaglione S, Kliethermes S, Cao G, Shoham D, Durazo R, Luke A, Volk ML. The Epidemiology of Cirrhosis in the United States: A Population-based Study. J Clin Gastroenterol. 2015 Sep;49(8):690-6. [CrossRef]
- Kim MY, Baik SK, Lee SS. Hemodynamic alterations in cirrhosis and portal hypertension. Korean J Hepatol. 2010 Dec;16(4):347-52. [CrossRef]
- John S, Thuluvath PJ. Hyponatremia in cirrhosis: pathophysiology and management. World J Gastroenterol. 2015 Mar 21;21(11):3197-205. [CrossRef]
- Lata J. Hepatorenal syndrome. World J Gastroenterol. 2012 Sep 28;18(36):4978-84. [CrossRef]
- Promrat K, Kleiner DE, Niemeier HM, Jackvony E, Kearns M, Wands JR, Fava JL, Wing RR. Randomized controlled trial testing the effects of weight loss on nonalcoholic steatohepatitis. Hepatology. 2010 Jan;51(1):121-9. [CrossRef]
- Vinaixa C, Rubín A, Aguilera V, Berenguer M. Recurrence of hepatitis C after liver transplantation. Ann Gastroenterol. 2013;26(4):304-313.
- Tangkijvanich Pisit Yee Hal F. Jr., Cirrhosis--can we reverse hepatic fibrosis? Eur J Surg Suppl., 2002;(587):100-12.





Disclaimer/Publisher’s Note: The statements, opinions and data contained in all publications are solely those of the individual author(s) and contributor(s) and not of MDPI and/or the editor(s). MDPI and/or the editor(s) disclaim responsibility for any injury to people or property resulting from any ideas, methods, instructions or products referred to in the content. |
© 2023 by the authors. Licensee MDPI, Basel, Switzerland. This article is an open access article distributed under the terms and conditions of the Creative Commons Attribution (CC BY) license (http://creativecommons.org/licenses/by/4.0/).