Submitted:
16 November 2023
Posted:
21 November 2023
You are already at the latest version
Abstract
Keywords:
Introduction
Materials and Methods
Data Search
Study selection
- Published in English.
- Studies that reported data on patients' clinical characteristics, microbiology, treatment, and outcomes.
- Published in 2015 or later.
- Those considered secondary research papers, such as reviews, or did not report results on primary research.
- Studies which were conducted on non-human subjects.
- Studies that were conducted on patients who had not undergone transplantation.
- Studies not written in English.
Study Outcomes
- Document the epidemiological characteristics of kidney transplant recipients with infective endocarditis (IE).
- Examine the clinical characteristics of the patients involved in the study.
- Document the treatment methods used for Enterococcal IE.
- Assess the clinical cure outcomes in the patients under investigation.
Data Extraction and Definitions
Ethics Statement
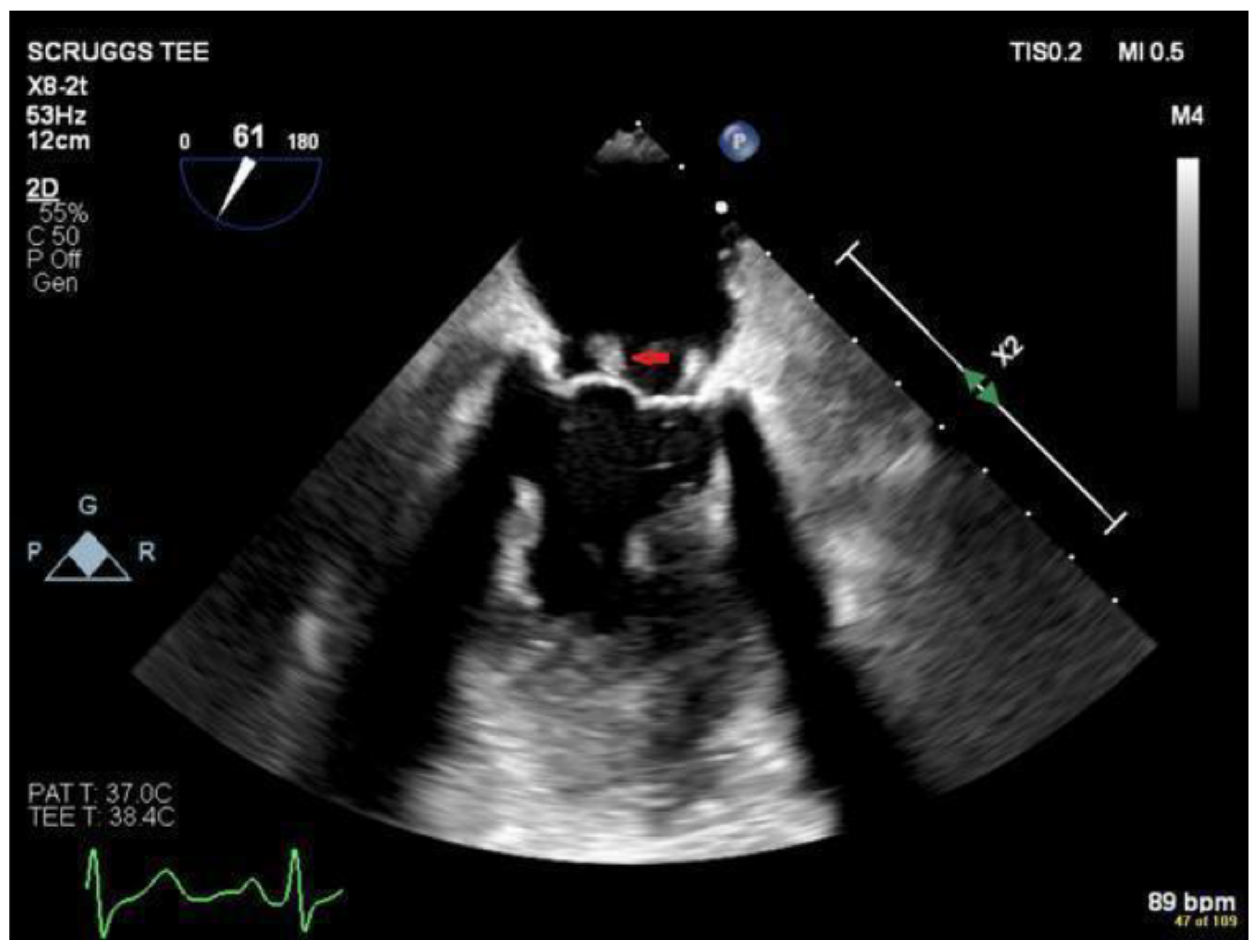
Case Report
Discussion
Conclusions
References
- Ioannou, P., Alexakis, K., & Kofteridis, D. P. (2021). Endocarditis in kidney transplant recipients: a systematic review. Journal of Chemotherapy, 33(5), 269–275. [CrossRef]
- Lentine, K. L., Smith, J. M., Miller, J. M., Bradbrook, K., Larkin, L., Weiss, S., Handarova, D. K., Temple, K., Israni, A. K., & Snyder, J. J. (2023). OPTN/SRTR 2021 Annual Data Report: Kidney. American Journal of Transplantation, 23(2, Supplement 1), S21–S120. [CrossRef]
- Pericàs JM, Llopis J, Muñoz P, et al. A Contemporary Picture of Enterococcal Endocarditis. J Am Coll Cardiol. 2020 Feb 11;75(5):482-494.
- Baddour, L. M., Wilson, W. R., Bayer, A. S., Fowler, V. G., Tleyjeh, I. M., Rybak, M. J., Barsic, B., Lockhart, P. B., Gewitz, M. H., Levison, M. E., Bolger, A. F., Steckelberg, J. M., Baltimore, R. S., Fink, A. M., O'Gara, P., Taubert, K. A., & null, null. (2015). Infective Endocarditis in Adults: Diagnosis, Antimicrobial Therapy, and Management of Complications. Circulation, 132(15), 1435–1486. [CrossRef]
- Fernández-Hidalgo, N., Almirante, B., Gavaldà, J., Gurgui, M., Peña, C., de Alarcón, A., Ruiz, J., Vilacosta, I., Montejo, M., Vallejo, N., López-Medrano, F., Plata, A., López, J., Hidalgo-Tenorio, C., Gálvez, J., Sáez, C., Lomas, J. M., Falcone, M., de la Torre, J., … Pahissa, A. (2013). Ampicillin Plus Ceftriaxone Is as Effective as Ampicillin Plus Gentamicin for Treating Enterococcus faecalis Infective Endocarditis. Clinical Infectious Diseases, 56(9), 1261–1268. [CrossRef]
- Sierra-Hoffman, M., Iznaola, O., Goodwin, M., & Mohr, J. (2012). Combination Therapy with Ampicillin and Daptomycin for Treatment of Enterococcus faecalis Endocarditis. Antimicrobial Agents and Chemotherapy, 56(11), 6064. [CrossRef]
- Sierra-Hoffman, M., Iznaola, O., Lamp, K. C., Mohr, J. F., & Winn, R. E. (2015). Daptomycin and Ampicillin Combination for Treatment of Enterococcus faecalis Endocarditis. Infectious Diseases in Clinical Practice, 23(4). https://journals.lww.com/infectdis/fulltext/2015/07000/daptomycin_and_ampicillin_combination_for.8.aspx.
- Castro-Lainez, M. T., Sierra-Hoffman, M., Valladares, V., Tillman, T., Iznaloa-Esquivel, O. A., Howell, A., Fader, R., Winn, R., & Jinadatha, C. (2018). A rationale for combination ampicillin and daptomycin in renal transplant patients with Enterococcal infective endocarditis. IDCases, 14, e00460. [CrossRef]
- Sierra-Hoffman, M.; Deliz, R.J.; Sekhon, A.K.; Gollapalli, A.; Saddler, K.; Stevens, M.; Castro-Lainez, M.; Pericas, J.M. 2020. "A multi-national study for the treatment of Enterococcal endocarditis with Ampicillin-Daptomycin combination therapy." 30th European Congress of Clinical Microbiology and Infectious Diseases Abstract book 2020, abstract 4165, page 1993.
- Hoen B, & Duval X. (2013). Infective Endocarditis. New England Journal of Medicine, 369(8), 784–785. [CrossRef]
- Murdoch, D. R., Corey, G. R., Hoen, B., Miró, J. M., Fowler Jr, V. G., Bayer, A. S., Karchmer, A. W., Olaison, L., Pappas, P. A., Moreillon, P., Chambers, S. T., Chu, V. H., Falcó, V., Holland, D. J., Jones, P., Klein, J. L., Raymond, N. J., Read, K. M., Tripodi, M. F., … Investigators, I. C. on E. C. S. (ICE-P. (2009). Clinical Presentation, Etiology, and Outcome of Infective Endocarditis in the 21st Century: The International Collaboration on Endocarditis–Prospective Cohort Study. Archives of Internal Medicine, 169(5), 463–473. [CrossRef]
- Chirouze, C., Athan, E., Alla, F., Chu, V. H., Ralph Corey, G., Selton-Suty, C., Erpelding, M.-L., Miro, J. M., Olaison, L., & Hoen, B. (2013). Enterococcal endocarditis in the beginning of the 21st century: analysis from the International Collaboration on Endocarditis-Prospective Cohort Study. Clinical Microbiology and Infection, 19(12), 1140–1147. [CrossRef]
- Regueiro, A., Linke, A., Latib, A., Ihlemann, N., Urena, M., Walther, T., Husser, O., Herrmann, H. C., Nombela-Franco, L., Cheema, A. N., le Breton, H., Stortecky, S., Kapadia, S., Bartorelli, A. L., Sinning, J. M., Amat-Santos, I., Munoz-Garcia, A., Lerakis, S., Gutiérrez-Ibanes, E., … Rodés-Cabau, J. (2016). Association Between Transcatheter Aortic Valve Replacement and Subsequent Infective Endocarditis and In-Hospital Death. JAMA, 316(10), 1083–1092. [CrossRef]
- Pericàs, J. M., Llopis, J., Jiménez-Exposito, M. J., Kourany, W. M., Almirante, B., Carosi, G., Durante-Mangoni, E., Fortes, C. Q., Giannitsioti, E., Lerakis, S., Montagna-Mella, R., Ambrosioni, J., Tan, R. S., Mestres, C. A., Wray, D., Pachirat, O., Moreno, A., Chu, V. H., de Lazzari, E., … Cabell, C. H. (2021). Infective Endocarditis in Patients on Chronic Hemodialysis. Journal of the American College of Cardiology, 77(13), 1629–1640. [CrossRef]
- Pericás, J. M., Zboromyrska, Y., Cervera, C., Castañeda, X., Almela, M., Garcia-de-la-Maria, C., Mestres, C., Falces, C., Quintana, E., Ninot, S., Llopis, J., Marco, F., Moreno, A., & Miró, J. M. (2015). Enterococcal endocarditis revisited. Future Microbiology, 10(7), 1215–1240. [CrossRef]
- Arias, C. A., Mendes, R. E., Stilwell, M. G., Jones, R. N., & Murray, B. E. (2012). Unmet Needs and Prospects for Oritavancin in the Management of Vancomycin-Resistant Enterococcal Infections. Clinical Infectious Diseases, 54(suppl_3), S233–S238. [CrossRef]
- Nappi, F.; Avtaar Singh, S.S.; Jitendra, V.; Fiore, A. Bridging Molecular and Clinical Sciences to Achieve the Best Treatment of Enterococcus faecalis Endocarditis. Preprints 2023, 2023080217. [CrossRef]
- Nardi Agmon, I., Goldberg, E., Cohen, E., & Krause, I. (2017). Infective endocarditis in the setting of renal transplantation: Case report and review of the literature. Transplant Infectious Disease, 19(6), e12786. [CrossRef]
- Pericas, J. M., Cervera, C., del Rio, A., Moreno, A., Garcia de la Maria, C., Almela, M., Falces, C., Ninot, S., Castañeda, X., Armero, Y., Soy, D., Gatell, J. M., Marco, F., Mestres, C. A., Miro, J. M., & The Hospital Clinic Endocarditis Study Group. (2014). Changes in the treatment of Enterococcus faecalis infective endocarditis in Spain in the last 15 years: from ampicillin plus gentamicin to ampicillin plus ceftriaxone. Clinical Microbiology and Infection, 20(12), O1075–O1083. [CrossRef]
- Habib, G., Lancellotti, P., Antunes, M. J., Bongiorni, M. G., Casalta, J.-P., del Zotti, F., Dulgheru, R., el Khoury, G., Erba, P. A., Iung, B., Miro, J. M., Mulder, B. J., Plonska-Gosciniak, E., Price, S., Roos-Hesselink, J., Snygg-Martin, U., Thuny, F., Tornos Mas, P., Vilacosta, I., … Group, E. S. C. S. D. (2015). 2015 ESC Guidelines for the management of infective endocarditis: The Task Force for the Management of Infective Endocarditis of the European Society of Cardiology (ESC)Endorsed by: European Association for Cardio-Thoracic Surgery (EACTS), the European Association of Nuclear Medicine (EANM). European Heart Journal, 36(44), 3075–3128. [CrossRef]
- Dahl, A., Rasmussen, R. v, Bundgaard, H., Hassager, C., Bruun, L. E., Lauridsen, T. K., Moser, C., Sogaard, P., Arpi, M., & Bruun, N. E. (2013). Enterococcus faecalis Infective Endocarditis. Circulation, 127(17), 1810–1817. [CrossRef]
- Beganovic, M., Luther, M. K., Rice, L. B., Arias, C. A., Rybak, M. J., & LaPlante, K. L. (2018). A Review of Combination Antimicrobial Therapy for Enterococcus faecalis Bloodstream Infections and Infective Endocarditis. Clinical Infectious Diseases, 67(2), 303–309. [CrossRef]
- Koehler, P., Jung, N., Cornely, O. A., Rybniker, J., & Fätkenheuer, G. (2019). Combination Antimicrobial Therapy for Enterococcus faecalis Infective Endocarditis. Clinical Infectious Diseases, 69(5), 900. [CrossRef]
- Schleifer KH, Kilpper-Balz R. Transfer of Streptococcus faecalis and Streptococcus faecium to the Genus Enterococcus norn. rev. as Enterococcus faecalis comb. nov. and Enterococcus faecium comb. nov. :4.
- Pericàs, J. M., García-de-la-Mària, C., Brunet, M., Armero, Y., García-González, J., Casals, G., Almela, M., Quintana, E., Falces, C., Ninot, S., Fuster, D., Llopis, J., Marco, F., Moreno, A., Miró, J. M., & Group, on behalf of the H. C. E. S. (2017). Early in vitro development of daptomycin non-susceptibility in high-level aminoglycoside-resistant Enterococcus faecalis predicts the efficacy of the combination of high-dose daptomycin plus ampicillin in an in vivo model of experimental endocarditis. Journal of Antimicrobial Chemotherapy, 72(6), 1714–1722. [CrossRef]
- Sakoulas G, Bayer AS, Pogliano J, Tsuji BT, Yang S-J, Mishra NN, et al. Ampicillin Enhances Daptomycin- and Cationic Host Defense Peptide-Mediated Killing of Ampicillin- and Vancomycin-Resistant Enterococcus faecium. Antimicrob Agents Chemother. 2012 Feb;56(2):838–44. [CrossRef]
- Herrera-Hidalgo L, Fernández-Rubio B, Luque-Márquez R, López-Cortés LE, Gil-Navarro MV, de Alarcón A. Treatment of Enterococcus faecalis Infective Endocarditis: A Continuing Challenge. Antibiotics (Basel). 2023 Apr 4;12(4):704. PMID: 37107066; PMCID: PMC10135260. [CrossRef]
- Carlos Armiñanzas, Concepción Fariñas-Alvarez, Jesús Zarauza, Patricia Muñoz, Víctor González Ramallo, Manuel Martínez Sellés, José Mª. Miró Meda, Juan Manuel Pericás, et al. Role of age and comorbidities in mortality of patients with infective endocarditis, European Journal of Internal Medicine, Volume 64, 2019, Pages 63-71, ISSN 0953-6205. [CrossRef]
- Juan M. Pericàs, Juan Corredoira, Asunción Moreno, M. José García-País, Carlos Falces, Ramón Rabuñal, Carlos A. Mestres, M. Pilar Alonso, Francesc Marco, Eduard Quintana, Manel Almela, Juan C. Paré, Jaume Llopis, Antoni Castells, José M. Miró. Relationship Between Enterococcus faecalis Infective Endocarditis and Colorectal Neoplasm: Preliminary Results From a Cohort of 154 Patients. Revista Española de Cardiología, Volume 70, Issue 6, 2017, Pages 451-458,ISSN 0300-8932. [CrossRef]


| Case | Age (Sex) |
Underlying Disease /transplant organ | Time between transplant and IE development | Affected Valve(s) / type of endocarditis | Organism | Initial Therapy | Directed therapy | Outcome | Reference |
|---|---|---|---|---|---|---|---|---|---|
| 1 | 28 (F) | kidney | 6 mo | Mitral and Aortic/native | E. faecalis | Vancomycin | Vancomycin; MVR; AVR | 1 yr follow-up: Alive and Well | (28) |
| 2 | 22 (M) | kidney | 5 mo | Mitral, Aortic/native | NM | Ampicillin 2G IV | Vancomycin and Amikacin added; AVR | 3 mo follow-up: Alive and Well | (28) |
| 3 | 60 (F) | Rheumatic valve disease, kidney |
2 mo | Mitral / native | NM | Ampicillin; Gentamicin | Ampicillin; Gentamicin | Alive and well | (29) |
| 4 | 50 (M) | heart | 2 yr | Aortic/native | E. faecalis | Vancomycin 1g every 12 hr; plus, gentamicin 80mg every 8 hrs | Ampicillin; plus, gentamicin 40 mg every 6 hr; AVR | Alive and well | (31) |
| 5 | 68 (F) | Diabetes Mellitus type 2; Burkitt Lymphoma (in remission); kidney |
11 yr | Aortic | E. faecalis | Ampicillin 2G IV q/4hr; Daptomycin 6mg/kg q/d for 6 weeks | Ampicillin 2G IV q/4hr; Daptomycin 6mg/kg q/d for 6 weeks | 6 mo follow-up: Alive and Well | (32) |
| 6 | 59 (M) | No comorbidities liver |
7 mo | Aortic and mitral valve/native | E. faecalis (HLR to Gentamicin) | Vancomycin | vancomycin | Alive | (29) |
| 7 | 67(M) | Heart | 18.5 mo | Tricuspid valve / NM | E. faecalis | NM | NM | Death (1 day after diagnosis) | (34) |
| 8 | 32 (F) | Cystic fibrosis, Heart-Lung |
11 mo | Aortic valve / native | NM | Benzylpenicillin and streptomycin | AVR High dose benzylpenicillin (9.6 gr) |
Alive and well | (35) |
| 9 | 60 (M) | kidney | 2 weeks | No described | E. faecalis | Sulfonamide (10 days). | Linezolid and piperacillin/tazobactam for 7 days. | Death | 2020 |
| 10 | 48 (M) | kidney | 1 week | No described |
E. faecalis | imipenem/cilastatin and linezolid. | imipenem/ cilastatin and linezolid | Death | 2020 |
| 11 | 77 (M) | Kidney right eye Endogenous endophthalmitis |
NM | mitral valve/ native | E. faecalis | Intravenous amoxicillin. | Intravenous amoxicillin (6-week total duration), oral ciprofloxacin and intravitreal vancomycin and ceftriaxone. | Good recovery from his endocarditis, loss of vision in the affected eye. | 2016 |
| 12 | 45 (F) | Kidney | 6 Yr | mitral valve/ native | E. faecalis | Daptomycin 450 mg IV daily for 42 days Ampicillin sodic/ sulbactam sodic 3 gm IV BID for 42 days |
Daptomycin 450 mg IV daily for 42 days Ampicillin sodic/ sulbactam sodic 3 mg IV BID for 42 days |
Good recovery from her endocarditis, alive and well. | 2022 |
| Case | Age | Infected Valve | Kidney Function status | Prior Therapy | Final Therapy | Outcome |
|---|---|---|---|---|---|---|
| 1 | 79 | Mitral and Aortic | ESRD | Ampicillin 2g every 24h x 3 week | Daptomycin 6mg/kg q/48h and Ampicillin 2g q/d x 6weeks | Success with 6-months follow-up |
| 2 | 83 | Aortic | CKD | Levofloxacin 500mg x 15 days | Daptomycin 6mg/kg q/48h and Ampicillin 2g q/12h x 6weeks | Success with 1-year follow-up |
| 3 | 59 | Mitral | Acute kidney injury requiring temporary HD for 3 months | None | Daptomycin 6mg/kg q/d and Ampicillin 2g q/6h x 6weeks | Success, died at 6months from pneumonia |
| 4 | 89 | Mitral | CKD | Levofloxacin 500mg x 10 days | Daptomycin 6mg/kg q/48h and Ampicillin 1g q/6h x 6weeks | Success with 11-months follow-up |
| 5 | 62 | Mitral annulus | ESRD | Vancomycin and gentamicin, dose and duration unknown | Daptomycin 6mg/kg q/48h and Ampicillin 2g q/12h x 8weeks | Success with 3-months follow-up |
| 6 | 68 | Aortic | Renal Transplant | Ampicillin 2g IV q/4h; Daptomycin 6mg/kg q/d for 6 weeks | Same as initial | Success with 1-year follow-up |
| 7 | 45 | Mitral | Renal Transplant | None | Daptomycin 6 mg/kg q/d and Ampicillin/sulbactam 3g q/12h x 6weeks | Success with 1-year follow-up |
| 1. Number 1 cause of IE in kidney transplanted patients.[1] |
| 2. Number 1 cause of IE in TAVI patients.[27] |
| 3. Number 2 cause of IE in hemodialysis patients.[14] |
| 4. Number 1 cause of most common cause of hospital acquired IE.[3] |
| 5. Enterococcal IE is significantly more frequent among patients aged 65 years or more.[28] |
| 6. Association between EFIE and colorectal neoplasm. [29] |
| 7. Third most common cause of Infective Endocarditis in high-income countries.[3] |
| 8. More frequently HCA disease occurring predominantly among elderly patients with a large burden of comorbidities and seldom a clear identifiable source.[3] |
| 9. The aortic valve is more frequently involved in enterococcal IE cases.[3] |
| 10. E. faecalis produced significantly more prosthetic valve IE cases than other enterococcal species while the latter produced significantly more native valve IE, which has not been noted before.[3] |
Disclaimer/Publisher’s Note: The statements, opinions and data contained in all publications are solely those of the individual author(s) and contributor(s) and not of MDPI and/or the editor(s). MDPI and/or the editor(s) disclaim responsibility for any injury to people or property resulting from any ideas, methods, instructions or products referred to in the content. |
© 2023 by the authors. Licensee MDPI, Basel, Switzerland. This article is an open access article distributed under the terms and conditions of the Creative Commons Attribution (CC BY) license (http://creativecommons.org/licenses/by/4.0/).
