Preprint
Article

This version is not peer-reviewed.

Acta Plane: A New Reference for Virtual Orientation of Cone Beam Computed Tomography Scans

A peer-reviewed article of this preprint also exists.

Submitted:

14 November 2023

Posted:

15 November 2023

You are already at the latest version

Abstract
Introduction Cone Beam Computed Tomography (CBCT) scans should be digitally oriented using a reference plane before being evaluated for patient growth and treatment outcome. Current orientation planes are usually dependent on the Porion points. Using more reliable landmarks than the Porion, we introduce the Acta plane and investigate its reliability as an alternative reference plane for cases in which the Porion point is inaccessible. Methods To test its reliability, a dental student and an orthodontist located sixteen skeletal and dental landmarks in sixteen CBCT scans, before and after reorientation. Also, four measurements were calculated based on these landmarks’ coordinates. The reorientation of these CBCT scans with the Acta plane was done by another dental student. Intraclass Correlation Coefficient (ICC) was calculated before and after orientation, intra- and inter-examiner. The data were tested for significance through the Shapiro Wilk test with a threshold set at 0.05. Through the ICC variation of the points’ coordinates, this article also evaluated the reliability of this plane with the t-paired and exact-sign tests. Results: The identification of landmarks was more reliable in the reoriented CBCT images than in the original images, with a significant increase of 0.012 in the median of the ICC. Linear and angular measures showed no significant differences between groups. Conclusion This plane is a reliable alternative for the orientation of CBCT images. The design of the Acta plane might allow the use of a smaller field of view and, consequently, a reduction in the radiation dose.
Keywords: 
;  ;  ;  ;  ;  ;  

1. Introduction

In orthodontics, patient records are used for documentation, diagnosis, planning, and evaluation of the outcome of treatment.1–3 Although 2D panoramic and cephalometric radiographs have been the standard procedure in Orthodontics for a long time, they present limitations such as distortions, superimposition of bilateral structures, and variable enlargement ratios.3–5 In more complex cases such as surgical or asymmetry cases, and cases involving impacted teeth, patients and orthodontists benefit from a three-dimensional (3D) evaluation.6
In the late 1990s, Cone Beam Computed Tomography (CBCT) technology made it possible to generate 3D skull images efficiently at reasonable cost and radiation levels.3 It also provides high-resolution images, volumetric assessment of structures, options for 3D reconstruction, and easier access to bilateral structures than a two-dimensional (2D) image.3 Application of CBCT is expected to increase6 and, although the radiation dose requires critical consideration,4 drastic reductions are possible by modulating CBCT parameters such as the field of view.7,8
To analyze and quantify changes in the morphology of the dentofacial complex brought by growth or treatment results, radiographs are taken at different stages and are then evaluated and might even be superimposed.9 CBCT scans are an adequate choice for this purpose because they are reproducible and consistent regarding landmark identification and measurements, with similar or even higher reliability than 2D cephalometrics.4,10 Regarding image superimposition, CBCT scans are just as reliable as 2D cephalometrics.9 However, reliability in determining landmarks is dependent on the chosen anatomic point or structure, on the examiner’s expertise and on the scan orientation.11–13
In a cephalometric radiograph, the physical position of the patient’s head during the acquisition affects permanently the final image.14 During the acquisition of the CBCT image, the patient’s position (standing or lying) and the resultant physical orientation of the patient’s head is important, as it can have an effect on the mandibular position and, consequently, on the airways. However, slight variances on head position may have limited effect on the final image and still influence the ability of an examiner to efficiently locate an anatomical structure. This problem is easily solved in the CBCT imaging technique, because the final 3D image can always be virtually oriented after being taken. In order to measure changes as a result of treatment or growth, CBCT images should be similarly acquired and oriented. However, it is virtually impossible to deliver two CBCT images in which the skull is exactly and precisely positioned in the same direction. Different orientation of CBCT images might influence the operator’s ability to identify landmarks and perform measurements, affecting especially the vertical measurements.15 The orientation of the scan also affects 3D model segmentation.16 Therefore, it is essential to virtually orient the CBCT images in order to improve the reliability in landmark detection, measurements and segmentation.
Traditionally, this orientation can be performed with the assistance of a reference plane and the standard reference plane for 2D cephalometric tracings is the Frankfort Horizontal Plane (FHP).17 Therefore, the FHP was automatically applied as a reference for the orientation of 3D images. This plane is delimited by the right and left Porion points (the most superior-posterior margins of the most external point of the external acoustic meatus), and the most inferior points of the lower margins of both Orbitas. Although this plane has been considered a reliable orientation reference in multiplanar reconstructed magnetic resonance images,18 it is highly dependent on the Porion points. The right and left Porion points are challenging to locate, have poor reproducibility in CBCT scans, are positioned in curved areas, and are, frequently, asymmetric; for these reasons they might not be shown due to limited field of view or when the patient’s head is tilted.8,11,19–21
Given the technical difficulties in identifying Porion for defining the FHP, a new reference plane is presented, the Acta plane, which stands for Academisch Centrum Tandheelkunde Amsterdam. Instead of Porions, this plane is defined by reference points more central to the skull. Therefore, the aim of this study was to determine whether the newly defined Acta plane affects the examiner's reliability when locating anatomical landmarks and performing measurements.

2. Material And Methods

The sample consisted of 16 CBCT images of patients in permanent dentition, between 8 and 13 years old (mean 11.42 years, SD 1.31), in need of Rapid Maxillary Expansion (RME), with good quality CBCT, obtained with the same protocol, treated at the Orthodontics Clinic at the School of Health and Life Sciences of Pontificia Universidade Catolica do Rio Grande do Sul. All CBCT images were acquired with a volumetric scanner (model I-Cat Next-Generation Imaging Science International, Hatfield, Pa, United States) using the following settings: 120 kV, 8mA, exposure time 40s, protocol FULL and a voxel resolution varying from 0.25 to 0.30 mm3. The institutional Research Ethics Committee approved this retrospective study under protocol number 10/05093.
In this study, the goal was to evaluated the Acta plane and not growth or treatment outcome. Therefore, the same scan was compared with and without orientation. The scans before and after RME were neither compared nor superimposed.
Three examiners participated in this study: two dental students and one orthodontist. The dental students underwent a calibration period under supervision, and the orthodontist had already worked extensively with CBCT images. Examiners 1 (dental student) and 2 (orthodontist) located the landmarks in multiplanar axial, sagittal and coronal slices during the same period of time. To determine intra-examiner reliability, the location of the landmarks was repeated at a 1-week interval. Subsequently, examiner 3 (dental student) reoriented the scans, identifying the landmarks of the plane himself. Examiners 1 and 2, then, located the landmarks on the reoriented images. To assess intra-examiner reliability, the landmarks were randomly relocated two days later, and examiners were not blinded for this landmark identification. Data involving landmark distances and measurements were later calculated by examiner 2. Examiners were not involved with CBCT scanning procedures nor the orthodontic treatment.
Landmarks and measurements were selected based on the previous study by Meijer et al.22 added to the landmarks that define the Acta plane. The following landmarks were chosen for this research: Nasion (Na), Sella (Se), Basion (Ba), Pogonion (Pog), Gonion (Go), Mandibular Fossa (MF), Orbita (Or), Lateral Orbita (OrbitaLat), Porion (Po), and Root Tip (TL.6). Definition of the landmarks and measurements are listed in Table 1.
Three points determined the Acta plane: O, F right (FR), and F left (FL) (Table 2). Point O is the midpoint between the most craniodorsal point of the dorsum Sella and the most posterior dorsal point of the Basion in the midsagittal plane (Figure 1). Both points F are a result of the intersection between two lines: the line that connects the most inferior points of the lower orbital margins right and left, and a line perpendicular to this line, that runs through the most external points of the orbital margins, right and left (Figure 2). The new transverse reference plane, the Acta plane (Figure 2), is created by connecting the O-point (Figure 1) with FR and FL (Figure 2).

CBCT Reorientation and Co-Ordinate Transformation Procedure

After determining the coordinates of the landmarks relevant for the Acta plane the orientation of the skull with respect to the coordinate system of the DICOM could be determined. This orientation was defined by three angles: azimuth (the angle between the sagittal axis of the skull and the forward axis of the DICOM), elevation (the angle between the transversal axis of the skull and the medio-lateral axis of the DICOM) and roll (the angle between the vertical axis of the skull and the vertical axis of the DICOM). These angles were transformed into a 4x4 rotation matrix23 which served as an input for a custom-made computer script based upon algorithms provided by the Visualization Toolkit (VTK) (www.vtk.org)24, a freely available software system for 3D computer graphics, image processing, and visualization.
The output of this script was a new DICOM in which the orientation of the skull was aligned with its coordinate system. The transformation matrix was computed from the coordinates of the relevant landmarks using a spreadsheet (Microsoft Excel 2007, Company, City, State, US) (Table 3).
The final DICOM images were further analyzed using the open-source software ITK-SNAP (www.itksnap.org).

3. Statistical Analysis

For statistical analysis, SPSS (version 23.0, SPSS Inc, Chicago, IL, US) was used. Two-way mixed Intraclass Correlation Coefficient (ICC) was used to evaluate measuring reliability (intra- and inter-examiner) with a significance threshold set at 0.05. Inter-examiner reliability was assessed with 37.5% of the sample, and intra-examiner reliability was evaluated for examiners 1 and 2 with the complete sample.
Intra-examiner Intraclass Correlation Coefficient (average measures) was calculated for every coordinate of every landmark, with and without orientation with the Acta plane (Table 4). Reliability was considered poor (ICC < 0.50), moderate (between 0.50 and 0.75), good (between 0.75 and 0.90) or excellent (ICC> 0.90).25
Distribution of the ICC’s per landmark was tested with the Shapiro Wilk normality test (p<0.05) and used the exact sign test to compare the differences in reliability with the two orientations.
Four measurements (linear and angular) were also evaluated for normality with the Shapiro Wilk test. Either a paired t-test or a sign test was performed to assess the influence of orientation with the Acta plane in performing measurements (Table 5).

4. Results

Sixteen landmarks were used to assess the possible benefits of orientation with the Acta plane concerning reliability in oriented versus non-orientated scans. Inter-examiner Intraclass Correlation Coefficient (ICC) was of 0.997*. Intra-examiner reliability was also excellent for both examiners 1 and 2 (ICC of 0.992* and 0.999*, respectively).
For all the accessed landmarks in Table 4, reliability was mostly excellent in the non-oriented group (ICC > 0.90), except for the following coordinates (axis):
-
Basion (X, Y), right and left lateral Orbita (X) and left Porion (X) had good ICC scores (ICC between 0.75 and 0.90);
-
Left lateral Orbita (Y, Z) had moderate ICC scores (ICC between 0.50 and 0.75);
-
Right lateral Orbita (Y, Z) and Basion (Z) had poor scores (ICC of less than 0.50).
In the group that was oriented with the Acta plane, reliability was also mostly excellent (ICC > 0.90), with the following exceptions: left Gonion (Z’) and right Porion (Z’) had good ICC scores (ICC between 0.75 and 0.90).
The Shapiro Wilk test showed a not normal distribution of the ICC’s (Table 4) and, even though most of the scores were excellent, a significant difference was detected with the exact-sign test between the groups with and without orientation with the Acta plane. The Acta plane group elicited a statistically significant median increase in ICC (0.012) compared to non-orientation (p = 0.000019).
For all linear measurements evaluated, there was no significant difference between oriented and non-oriented groups (Table 5).

5. Discussion

The present study described how the Acta plane was developed and investigated whether the reorientation of a CBCT scan with the Acta plane would affect examiner's reliability when performing measurements and locating anatomical landmarks.
Different from the majority of the existing planes, the Acta plane was idealized for 3D use. Therefore, our goal was to determine both external and internal references in the skull. External references were determined from the orbital rim. The first reference line was originated from the connection between the most inferior points of the left and right lower orbital margins. In order to maintain the head facing forward, a line was traced perpendicularly to the first line, running through the most external points of the left and right orbital margins. The intersection of these two lines resulted in points F, that orient the CBCT scan in the x-axis and y-axis.
When determining the internal reference of the skull, the aim was to determine an origin point in the midsagittal plane, as previous studies have confirmed the consistency of the landmarks in the midsagittal plane.11 At first, the midpoint between the left and right anterior clinoid processes was considered as the origin point. However, the left and right anterior clinoid processes have been reported as a reference with low reliability,26 and they were asymmetric in dry skulls as well as in many CBCT images from this sample. The second option was to use the most anterior border of the dorsum Sella. However, the Sella-landmarks (Sella, Sella inferior, Sella posterior) are highly dependent on the DICOM orientation.11,26 On the other hand, the most superior-posterior point of the dorsum Sella seemed more accessible and less orientation-dependent on the CBCT images. However, after using this point to align the CBCT scans, the final head position rolled too far backward. This issue was probably caused by the excessively high position of the dorsum Sella relative to the F-points. To address this discrepancy, the origin point was set in a lower position. One of the options considered was the Basion point. However, its position was too low in regard to the F points, which resulted in a forward-rolled skull after reorientation. As a result, the midpoint between the Basion and the dorsum Sella was adopted as the origin point, named point O.
The main advantage of the Acta plane is that it allows the virtual orientation of already existing CBCT scans that, either by accident or insufficient field of view, do not include the image of both Porion points. Using the Porion points as references presents several disadvantages. First, locating the Porion points in CBCT images is challenging, especially in the sagittal plane.18 Second, because the FHP was first used in 2D, the usual asymmetry between the right and left Porion landmarks were not so evident due to the superimposition of bilateral structures. However, the irregular anatomy of the Porion points often means that discrepancy between left and right Porion is high21, and it might cause a tilt in the head when used to orient the 3D images.
Also, because the reference points of the Acta plane are more central to the skull, the new plane might allow CBCTs to be taken with a smaller field of view whilst still being able to be oriented afterward, subsequently resulting in reduction in radiation dosis.7,8 This would allow orthodontists to obtain scans with lower radiation that would still be acceptable to use for diagnosis (ALADA principle – as low as diagnostically acceptable).27 For these reasons, the Acta plane is a reliable option to virtually orient an existing scan without the image of Porion.
The main disadvantage of the plane is the high dependency on orbital symmetry. Therefore, in cases in which there is a severe asymmetry, the Acta plane’s accuracy still has to be further tested. Also, the stability of the point O through growth and time still has to be evaluated.
In addition to introducing the Acta plane, this study also aimed to verify whether the reorientation of a CBCT scan with the Acta plane would affect the examiner's reliability to locate landmarks or perform measurements.
Without orientation, some of the landmarks chosen to test the plane did not have excellent ICC scores, such as Porion, Basion and lateral Orbitas. The point Basion (X-axis, Y-axis), lateral Orbitas (X-axis) and left Porion (X-axis) scored a “good” ICC, while the left lateral Orbita (Y-axis, Z-axis) a “moderate” ICC, and the right lateral Orbita (Y-axis, Z-axis) and the Basion (Z-axis) a “poor” ICC.
Porion and external orbital rims are reportedly less reliable landmarks.28–30 Even though bilateral landmarks have been reported to be less reliable than midsagittal landmarks,11 Basion ICC was also poorly detected without orientation.
Using the Acta plane for orientation, all scores improved, except for the left Gonion and right Porion. The Z-axis of the left Gonion and right Porion were affected after reorientation, but their ICC scores were still “good”. Difficulties in locating these landmarks are a result of a curved anatomical structure which makes it more difficult for the examiner to identify these landmarks.20
Performing measurements was equally reliable in the groups with or without orientation probably because the majority of the landmarks used to calculate linear and angular measurements had an excellent ICC, except for Gonion. Even then, differences in the coordinates of the landmarks did not affect the measurements significantly (Table 5).
As previously discussed; the anatomy of the landmark has a considerable influence on its identification (e.g.: landmarks on curvatures are harder to locate correctly).20 In addition; the instrument used to locate these landmarks - multiplanar slices versus 3D reconstructions versus cephalometric radiographs - also influence its identification.31 Some studies have shown that CBCT multi-planar slices provide high accuracy in determining landmarks.31,32 Therefore; in this study, landmarks were located in multiplanar slices
In agreement with this paper’s results, other studies showed a more reliable location of landmarks after the virtual orientation of CBCT images. In these studies, researchers have tried different setups of the FHP30, alternative planes to the FHP19 or even the natural head position versus intracranial references.12 Still, most of the references used also relied on Porion.12,33–35
Dos Santos et al. varied the FHP setups in 3D and noticed that not only did different orientations result in differences in reliability but also that setups dependent on the Porion points and Orbitales were mostly affected.30 Also in agreement with the present study, Cevidanes et al. suggested that the use of intracranial references might increase reliability in measuring and detecting landmarks in CBCT scans.12 However, this study relied on the transporionic plane, also dependent on Porion.
The study of Pittayapat et al. used the internal acoustic meatus (IAM) instead of the Porion.19 Even though the reliability and reproducibility of the IAM has been indicated26, including it or Porion in a CBCT scan demands a large field of view and, even then, if physical orientation of the patient’s head is tilted, it might result in not including the Porion in the CBCT scan.
In contrast with the present findings, other studies showed no significant increase in reliability of locating landmarks after the orientation of CBCT images.32,36 El-Beialy et al. evaluated scans acquired with different head-positions and no virtual orientation, and their results showed no significant difference between measurements.37 This study was, however, performed with a dry skull and showed less concordance with a complex head position. In a similar study with dry skull and variation of the position of the head, Sabban et al. suggested that the head position might significantly influence linear measurements in CBCT scans, especially vertical and horizontal measurements as a result of extension and flexion head movements.15 Another study in dry skulls showed that different head positions and orientation affected 3D model segmentation but these differences were not clinically relevant.16 In studies with dry skulls the images are however not similar to clinical images as soft tissue is absent; it might be that clinical images would have more significant differences. Gupta et al. also suggested no difference in reliability after orientation of the CBCT scans.4 However, this study only had highly skilled examiners, which might have influenced the results.
The main limitation of this study is the absence of a comparison plane. Also, the small sample size and the lack of a power analysis present limitations. However, this article intends to first introduce the Acta plane and future publications may further evaluate it. The fact that two examiners were dental students might have been a problem as, by definition, they were not as experienced as trained dentists. On the other hand, they underwent calibration and if dental students can perform this method efficiently enough, it is certainly a good indication for the general applicability of the technique. Also, the dental student who located the landmarks was actually compared to an orthodontist, whilst the other dental student reoriented the scans. In addition, there is still too little information on the stability of point O over growth and time.
Future studies should apply the Acta plane with different groups of examiners such as dentists, orthodontists, oral maxillofacial surgeons, and radiologists. In addition, the Acta plane’s reliability and reproducibility should be tested on cases covering a longer time span or follow up to investigate its reliability concerning growth and orthodontic treatment. It is also crucial to compare the Acta plane to other reference planes currently available in the literature.

6. Conclusions

Within the limitations of the study, the proposed Acta plane not only provides higher reliability than non-orientation when identifying landmarks in CBCT images
The use of the Acta plane presents an opportunity to reduce the radiation dose to which the patient is exposed. Besides, the Acta plane provides a reliable alternative for already existing scans in which the Porion points cannot be located.

Author Contributions

F. Sanders-Mello contributed to conception, design, data acquisition, analysis, interpretation, and critically revised the manuscript; L. M. Menezes and F. Azeredo contributed to conception, data acquisition, and revised the manuscript; T. Griekspoor and S. de Windt contributed to the design, data acquisition, analysis and drafted the manuscript; U. T. Puetter contributed to design, data acquisition, analysis, and interpretation, and critically revised the manuscript. F.R. Rozema, C. Livas, R.E.G. Jonkman and J.H. Koolstra contributed to conception, interpretation and critically revised the manuscript. All authors gave final approval and agree to be accountable for all aspects of the work.

References

  1. Rischen RJ, Breuning KH, Bronkhorst EM, Kuijpers-Jagtman AM. Records needed for orthodontic diagnosis and treatment planning: A systematic review. PLoS One 2013;8(11).
  2. Proffit W, Fields H, Sarver D, Ackerman J. Orthodontic diagnosis: the problem-oriented approach. In: Contemporary orthodontics 5th Ed. St. Louis: Elsevier/Mosby; 2013:150–219.
  3. Graber L, Vanarsdall R, Vig K. Orthodontics: current principles and techniques. 5th Ed. Philadelphia: Elsevier/Mosby; 2012.
  4. Cassetta M, Altieri F, Di Giorgio R, Silvestri A. Two-Dimensional and Three-Dimensional Cephalometry Using Cone Beam Computed Tomography Scans. J. Craniofac. Surg. 2015;26(4):e311–e315.
  5. Chien PC, Parks ET, Eraso F, Hartsfield JK, Roberts WE, Ofner S. Comparison of reliability in anatomical landmark identification using two-dimensional digital cephalometrics and three-dimensional cone beam computed tomography in vivo. Dentomaxillofacial Radiol. 2009;38(5):262–73.
  6. Halazonetis, D.J. Halazonetis DJ. From 2-dimensional cephalograms to 3-dimensional computed tomography scans. Am. J. Orthod. Dentofac. Orthop. 2005;127(5):627–37.
  7. Stratis A, Zhang G, Jacobs R, Bogaerts R, Bosmans H. The growing concern of radiation dose in paediatric dental and maxillofacial CBCT: an easy guide for daily practice. Eur. Radiol. 2019;29(12):7009–18.
  8. Feragalli B, Rampado O, Abate C, et al. Cone beam computed tomography for dental and maxillofacial imaging: technique improvement and low-dose protocols. Radiol. Medica 2017;122(8):581–8.
  9. Heinz J, Stewart K, Ghoneima A. Evaluation of two-dimensional lateral cephalogram and three-dimensional cone beam computed tomography superimpositions: a comparative study. Int. J. Oral Maxillofac. Surg. 2019;48(4):519–25.
  10. Kamburoglu K, Kolsuz E, Kurt H, Kiliç C, Özen T, Paksoy CS. Accuracy of CBCT measurements of a human skull. J. Digit. Imaging 2011;24(5):787–93.
  11. Gupta A, Kharbanda OP, Balachandran R, et al. Precision of manual landmark identification between as-received and oriented volume-rendered cone-beam computed tomography images. Am. J. Orthod. Dentofac. Orthop. 2017;151(1):118–31.
  12. Cevidanes L, Oliveira AE, Motta A, Phillips C, Burke B, Tyndall D. Head orientation in CBCT-generated cephalograms. Angle Orthod. 2009;79(5):971–7.
  13. de Oliveira AEF, Cevidanes L, Phillips C, Motta A, Burke B, Tyndall D. Observer Reliability of Three-Dimensional Cephalometric Landmark Identification on Cone-Beam CT. Oral Surg Oral Med Oral Pathol Oral Radiol Endod 2009;107(2):256–65.
  14. Tng TTH, Chan TCK, Cooke MS, Hägg U. Effect of head posture on cephalometric sagittal angular measures. Am. J. Orthod. Dentofac. Orthop. 1993;104(4):337–41.
  15. Sabban H, Mahdian M, Dhingra A, Lurie AG, Tadinada A. Evaluation of linear measurements of implant sites based on head orientation during acquisition: An ex vivo study using cone-beam computed tomography. Imaging Sci. Dent. 2015;45(2):73–80.
  16. Stamatakis HC, Steegman R, Dusseldorp J, Ren Y. Head positioning in a cone beam computed tomography unit and the effect on accuracy of the three-dimensional surface mode. Eur. J. Oral Sci. 2019;127(1):72–80.
  17. Ricketts R, Schulhof R, Bagha L. Orientation-Sella-nasion or Frankfort horizontal. Am J Orthod 69(6):648–54.
  18. Daboul A, Schwahn C, Schaffner G, et al. Reproducibility of Frankfort Horizontal Plane on 3D Multi-Planar Reconstructed MR Images. PLoS One 2012;7(10):1–11.
  19. Pittayapat P, Jacobs R, Bornstein MM, et al. Three-dimensional Frankfort horizontal plane for 3D cephalometry: A comparative assessment of conventional versus novel landmarks and horizontal planes. Eur. J. Orthod. 2018;40(3):239–48.
  20. Lagravère MO, Low C, Flores-Mir C, et al. Intraexaminer and interexaminer reliabilities of landmark identification on digitized lateral cephalograms and formatted 3-dimensional cone-beam computerized tomography images. Am. J. Orthod. Dentofac. Orthop. 2010;137(5):598–604.
  21. Sanders DA, Chandhoke TK, Uribe FA, Rigali PH, Nanda R. Quantification of skeletal asymmetries in normal adolescents: Cone-beam computed tomography analysis. Prog. Orthod. 2014;15(1):1–11.
  22. Meijer F, Spier J-L. The effects of RME on the zygomatic bones , joint structures and the dimensions and position of the mandible. ACTA bachelor thesis. Jul 2017.
  23. Weisstein, Eric W. "Rotation Matrix." From MathWorld--A Wolfram Web Resource. Last accessed on June 23rd 2020 at https://mathworld.wolfram.com/RotationMatrix.html.
  24. Schroeder W, Martin K, Lorensen B. The Visualization Toolkit. 4th ed. Kitware; 2006.
  25. Koo TK, Li MY. A Guideline of Selecting and Reporting Intraclass Correlation Coefficients for Reliability Research. J. Chiropr. Med. 2016;15(2):155–63.
  26. Liberton DK, Verma P, Contratto A, Lee JS. Development and Validation of Novel Three-Dimensional Craniofacial Landmarks on Cone-Beam Computed Tomography Scans. J. Craniofac. Surg. 2019;30(7):E611–5.
  27. Jaju PP, Jaju SP. Cone-beam computed tomography: Time to move from ALARA to ALADA. Imaging Sci. Dent. 2015;45:263–5.
  28. Lisboa C de O, Masterson D, da Motta AFJ, Motta AT. Reliability and reproducibility of three-dimensional cephalometric landmarks using CBCT: a systematic review. J. Appl. oral Sci. 2015;23(2):112–9.
  29. Olszewski R, Tanesy O, Cosnard G, Zech F, Reychler H. Reproducibility of osseous landmarks used for computed tomography based three-dimensional cephalometric analyses. J. Cranio-Maxillofacial Surg. 2010;38(3):214–21.
  30. dos Santos RMG, De Martino JM, Haiter Neto F, Passeri LA. Influence of different setups of the Frankfort horizontal plane on 3-dimensional cephalometric measurements. Am. J. Orthod. Dentofac. Orthop. 2017;152(2):242–9.
  31. Ludlow JB, Gubler M, Cevidanes L, Mol A. Precision of cephalometric landmark identification: Cone-beam computed tomography vs conventional cephalometric views. Am. J. Orthod. Dentofac. Orthop. 2009;136(3):1–10.
  32. Berco M, Rigali PH, Miner RM, DeLuca S, Anderson NK, Will LA. Accuracy and reliability of linear cephalometric measurements from cone-beam computed tomography scans of a dry human skull. Am. J. Orthod. Dentofac. Orthop. 2009;136(1):1–9.
  33. Kim JH, Jeong HG, Hwang JJ, Lee JH, Han SS. The impact of reorienting cone-beam computed tomographic images in varied head positions on the coordinates of anatomical landmarks. Imaging Sci. Dent. 2016;46(2):133–9.
  34. Lagravère MO, Hansen L, Harzer W, Major PW. Plane orientation for standardization in 3-dimensional cephalometric analysis with computerized tomography imaging. Am. J. Orthod. Dentofac. Orthop. 2006;129(5):601–4.
  35. Ruellas AC de O, Tonello C, Gomes LR, et al. Common 3-dimensional coordinate system for assessment of directional changes. Am. J. Orthod. Dentofac. Orthop. 2016;149(5):645–56.
  36. Hassan B, Van Der Stelt P, Sanderink G. Accuracy of three-dimensional measurements obtained from cone beam computed tomography surface-rendered images for cephalometric analysis: Influence of patient scanning position. Eur. J. Orthod. 2009;31(2):129–34.
  37. El-Beialy AR, Fayed MS, El-Bialy AM, Mostafa YA. Accuracy and reliability of cone-beam computed tomography measurements: Influence of head orientation. Am. J. Orthod. Dentofac. Orthop. 2011;140(2):157–65.
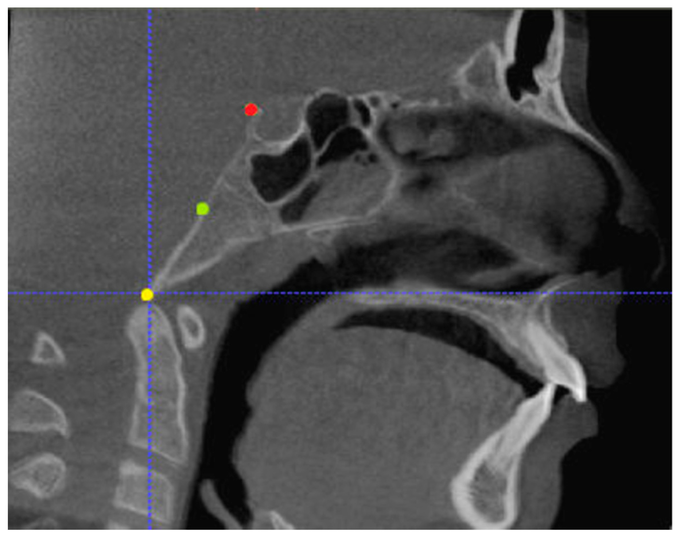
Figure 1. Point O (green dot) is the midpoint between the dorsum Sella (Se) (red dot) and the Basion point (Ba) (yellow dot).
Figure 1. Point O (green dot) is the midpoint between the dorsum Sella (Se) (red dot) and the Basion point (Ba) (yellow dot).
Preprints 90547 g001
Figure 2. (A) Construction of the F-points (right and left), frontal view. The F-points are originated from the intersection between the line connecting points A (the most inferior point of the lower orbit) and the perpendicular line to it that passes through points B (most external/lateral point of the Orbita). (B) Transverse view of the ACTA plane.
Figure 2. (A) Construction of the F-points (right and left), frontal view. The F-points are originated from the intersection between the line connecting points A (the most inferior point of the lower orbit) and the perpendicular line to it that passes through points B (most external/lateral point of the Orbita). (B) Transverse view of the ACTA plane.
Preprints 90547 g002
Table 1. Description of landmarks.
Table 1. Description of landmarks.
Preprints 90547 i001aPreprints 90547 i001b
Table 2. Description of the reference-plane points.
Table 2. Description of the reference-plane points.
Point O the midpoint between the most cranio-dorsal point of the dorsum Sella and the most posterior-dorsal point of the Basion in the midsagittal plane.(Figure 1)
Point F
(bilateral)
is derived by the intersection of the line connecting the most inferior points of the left and right lower orbital margins (A) and a line perpendicular to this connective line that runs through the most lateral point of the left and right orbital margins (B).(Figure 2)
Table 3. Transformation matrix.
Table 3. Transformation matrix.
Cos(a) • Cos(e) Cos(a) • Sin(e) • Sin(r) – Sin(a) • Cos(r) Cos(a) • Sin(e) • Cos(r) + Sin(a) •Sin(r) 0
Sin(a) • Cos(e) Cos(a) • Cos(r) + Sin(a) • Sin(e) • Sin(r) Sin(a) • Sin(e) • Cos(r) – Cos(a) • Sin(r) 0
-Sin(e) Cos(e) • Sin(r) Cos(e) • Cos(r) 0
0 0 0 1
with Cos(a) = Cosinus (azimuth), Sin(a) = sinus (azimuth), Cos(e) = Cosinus (elevation), Sin(e) = sinus (elevation), Cos(r) = Cosinus (roll), Sin(r) = sinus (roll).
Table 4. Intra-examiner Intraclass Correlation Coefficient per coordinate of landmark (average measures).
Table 4. Intra-examiner Intraclass Correlation Coefficient per coordinate of landmark (average measures).
Landmark X X’ACTA Y Y’ACTA Z Z’ACTA
Nasion .997* .998* .999* 1.000* .997* .999*
Sella .985* .997* .998* 1.000* .999* 1.000*
Basion .894* .999* .880* 1.000* .429 1.000*
Pogonion .996* .998* 1.000* 1.000* .953* .996*
Gonion.R .991* .994* .991* .986* .974* .997*
Gonion.L .997* .935* .995* .879* .990* .804*
MF.R .986* .990* .987* .999* .999* 1.000*
MF.L .992* .992* .994* 1.000* .999* 1.000*
Orbita.R .985* .980* .974* 1.000* .979* .992*
Orbita.L .958* .975* .975* .997* .949* .990*
OrbitaLat.R .774* .997* .495 1.000* .183 .998*
OrbitaLat.L .774* .999* .502 1.000* .634* .998*
Porion.R .938* .928* .978* .989* .959* .780*
Porion.L .899* .931* .980* .996* .987* .991*
Roottip.R .997* .993* .995* 1.000* .987* .999*
Roottip.L .987* .997* .989* .999* .975* 1.000*
Reliability: ICC < 0.50 is poor, between 0.50 and 0.75 is moderate, between 0.75 and 0.90 is good, and ICC> 0.90 it is excellent.30.
Table 5. Statistical analysis of the measurements with and without orientation.
Table 5. Statistical analysis of the measurements with and without orientation.
Shapiro-Wilk normality test Type of test P-value
Intermandibularfossa_nonoriented .379 Paired t-test 0.921
Intermandibularfossa_ACTA .234
Intergonions_nonoriented .016 Sign Test 0.454
Intergonions_ACTA .004
Intermandibular_roots_nonoriented .438 Sign Test 1.000
Intermandibular_roots_ACTA .000
Chin_angle_nonoriented .787 Sign Test 0.804
Chin_angle_ACTA .023
Linear and angular measurements: Intermandibular fossa right Mandibular fossa to left Mandibular fossa; Intergonions right Gonion to left Gonion; Right Root tip to left Root tip of mesial root tip right first mandibular molar; Intermandibular roots; Chin angle right Gonion to Pogonion to left Gonion (Go.R-Pog-Go.L).
Disclaimer/Publisher’s Note: The statements, opinions and data contained in all publications are solely those of the individual author(s) and contributor(s) and not of MDPI and/or the editor(s). MDPI and/or the editor(s) disclaim responsibility for any injury to people or property resulting from any ideas, methods, instructions or products referred to in the content.
Copyright: This open access article is published under a Creative Commons CC BY 4.0 license, which permit the free download, distribution, and reuse, provided that the author and preprint are cited in any reuse.
Prerpints.org logo

Preprints.org is a free preprint server supported by MDPI in Basel, Switzerland.

Subscribe

Disclaimer

Terms of Use

Privacy Policy

Privacy Settings

© 2026 MDPI (Basel, Switzerland) unless otherwise stated