Submitted:
13 September 2023
Posted:
15 September 2023
You are already at the latest version
Abstract
Keywords:
1. Introduction
2. Materials and Methods
2.1. Chemicals and reagents
2.2. Cell culture and treatments
2.3. MTT assay
2.4. Western blotting
2.5. qRT-PCR
2.6. Glucose stimulated insulin secretion (GSIS)
2.7. Enzyme-Linked Immunosorbent (ELISA)
2.8. Statistics
3. Results
3.1. Pre-treatment with 5 μM THC, CBD, THCV, CBC, and CBN Increased the Viability of β-cells under HG-HL Conditions.
3.2. CBD, THCV, CBC, and CBN Improved GSIS in HG-HL-Treated β-cells
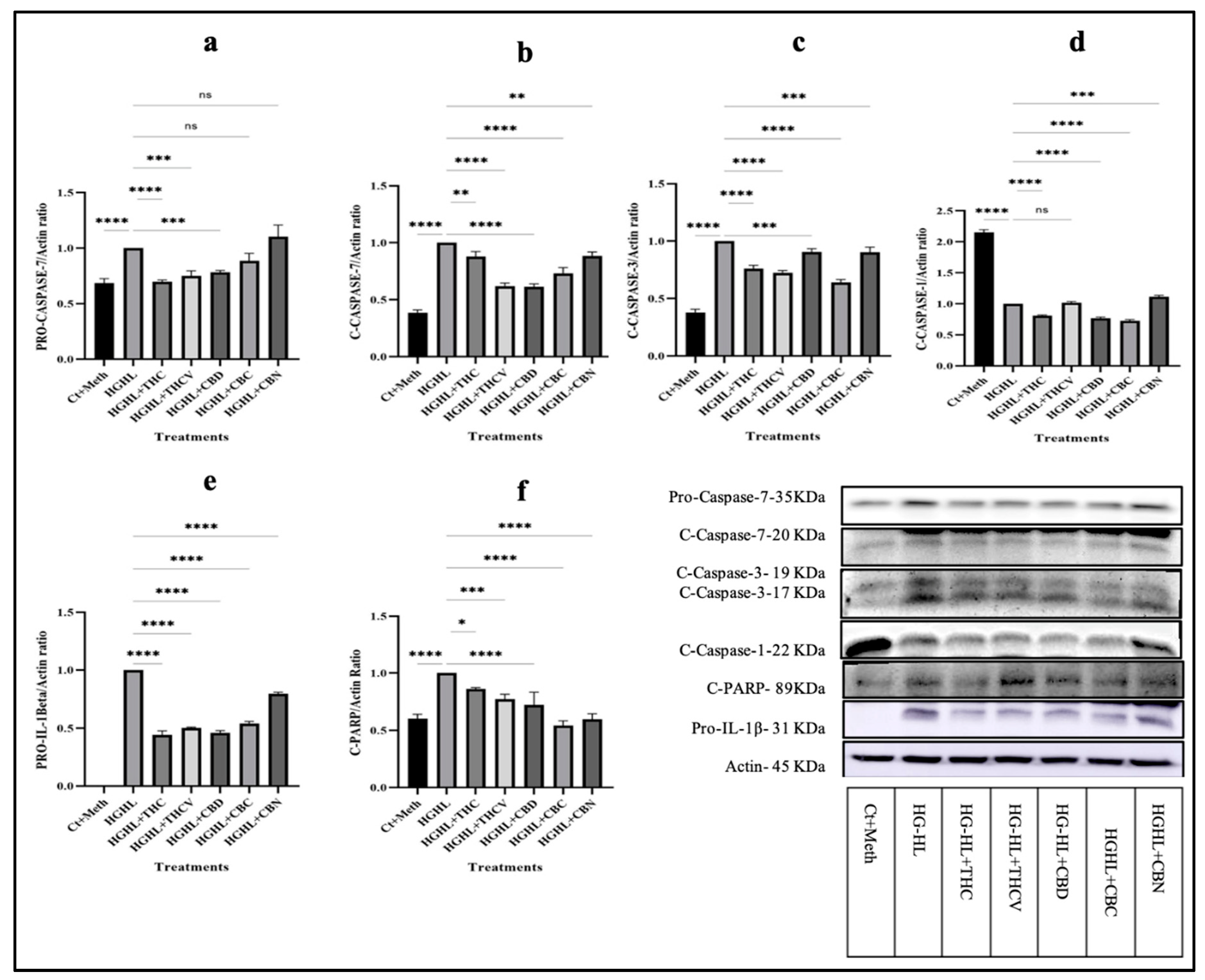
3.3. The Phytocannabinoids Mitigated HG-HL-Induced β-cells Loss Through Reduction of Apoptosis and Pyroptosis
3.4. Treatment with THC Restores the Decreased Level of PDX-1 Protein and NEUROD1 and Slc2A2 Transcripts in HG-HL-Induced β-cells
3.5. CBD Treatment Modulates the Response of Most Genes and Proteins Associated with β-Cell Dedifferentiation
3.6. THCV Treatment Restores the Levels of PDX-1 protein and Ins-1, NEUROD1 and Slc2A2 Transcripts in HG-HL-Treated β-cells
3.7. Treatment with CBC Modulates Elevated TXNIP Protein Levels and Reduced Slc2A2 Transcript Levels in HG-HL-Induced β-cells
3.8. CBN Treatment Reduces Elevated TXNIP Levels and Increases the PDX-1 Protein and Slc2A Transcript Levels in HG-HL-Induced β-cells
4. Discussion
4.1. The effect of THC on HG-HL-challenged β-cells
4.2. The effect of CBD on HG-HL-challenged β-cells
4.3. The effect of THCV on HG-HL-challenged β-cells
4.4. The effect of CBC on HG-HL-challenged β-cells
4.5. The effect of CBN on HG-HL-challenged β-cells
5. Conclusions
Supplementary Materials
Author Contributions
Funding
Institutional Review Board Statement
Informed Consent Statement
Data Availability Statement
Acknowledgments
Conflicts of Interest
References
- Holt, R. I.; Cockram, C.; Flyvbjerg, A.; Goldstein, B. J. Textbook of diabetes. John Wiley & Sons: 2017.
- Nagappan, A.; Shin, J.; Jung, M.H. Role of Cannabinoid Receptor Type 1 in Insulin Resistance and Its Biological Implications. Int. J. Mol. Sci. 2019, 20, 2109. [Google Scholar] [CrossRef] [PubMed]
- Back, S.H.; Kaufman, R.J. Endoplasmic Reticulum Stress and Type 2 Diabetes. Annu. Rev. Biochem. 2012, 81, 767–793. [Google Scholar] [CrossRef] [PubMed]
- Ghasemi-Gojani, E.; Kovalchuk, I.; Kovalchuk, O. Cannabinoids and terpenes for diabetes mellitus and its complications: from mechanisms to new therapies. Trends Endocrinol. Metab. 2022, 33, 828–849. [Google Scholar] [CrossRef] [PubMed]
- DeFronzo, R.A.; Eldor, R.; Abdul-Ghani, M. Pathophysiologic Approach to Therapy in Patients With Newly Diagnosed Type 2 Diabetes. Diabetes Care 2013, 36, S127–S138. [Google Scholar] [CrossRef]
- John, A.N.; Morahan, G.; Jiang, F.-X. Incomplete Re-Expression of Neuroendocrine Progenitor/Stem Cell Markers is a Key Feature of β-Cell Dedifferentiation. J. Neuroendocr. 2017, 29. [Google Scholar] [CrossRef]
- Amo-Shiinoki, K.; Tanabe, K.; Hoshii, Y.; Matsui, H.; Harano, R.; Fukuda, T.; Takeuchi, T.; Bouchi, R.; Takagi, T.; Hatanaka, M.; et al. Islet cell dedifferentiation is a pathologic mechanism of long-standing progression of type 2 diabetes. J. Clin. Investig. 2021, 6. [Google Scholar] [CrossRef]
- Khin, P.-P.; Lee, J.-H.; Jun, H.-S. A Brief Review of the Mechanisms of β-Cell Dedifferentiation in Type 2 Diabetes. Nutrients 2021, 13, 1593. [Google Scholar] [CrossRef]
- Moin, A.S.M.; Butler, A.E. Alterations in Beta Cell Identity in Type 1 and Type 2 Diabetes. Curr. Diabetes Rep. 2019, 19, 1–12. [Google Scholar] [CrossRef]
- Efrat, S. Beta-cell dedifferentiation in type 2 diabetes: concise review. Stem Cells 2019, 37, 1267–1272. [Google Scholar] [CrossRef]
- Butler, A. E.; Dhawan, S.; Hoang, J.; Cory, M.; Zeng, K.; Fritsch, H.; Meier, J. J.; Rizza, R. A.; Butler, P. C. β-cell deficit in obese type 2 diabetes, a minor role of β-cell dedifferentiation and degranulation. The Journal of Clinical Endocrinology & Metabolism 2016, 101, 523–532. [Google Scholar]
- Spijker, H.S.; Song, H.; Ellenbroek, J.H.; Roefs, M.M.; Engelse, M.A.; Bos, E.; Koster, A.J.; Rabelink, T.J.; Hansen, B.C.; Clark, A.; et al. Loss of β-Cell Identity Occurs in Type 2 Diabetes and Is Associated with Islet Amyloid Deposits. Diabetes 2015, 64, 2928–2938. [Google Scholar] [CrossRef] [PubMed]
- Pacher, P.; Kogan, N. M.; Mechoulam, R. Beyond THC and endocannabinoids. Annual review of pharmacology and toxicology 2020, 60, 637–659. [Google Scholar] [CrossRef] [PubMed]
- Shin, H.; Han, J.H.; Yoon, J.; Sim, H.J.; Park, T.J.; Yang, S.; Lee, E.K.; Kulkarni, R.N.; Egan, J.M.; Kim, W. Blockade of cannabinoid 1 receptor improves glucose responsiveness in pancreatic beta cells. J. Cell. Mol. Med. 2018, 22, 2337–2345. [Google Scholar] [CrossRef] [PubMed]
- Suryavanshi, S.V.; Zaiachuk, M.; Pryimak, N.; Kovalchuk, I.; Kovalchuk, O. Cannabinoids Alleviate the LPS-Induced Cytokine Storm via Attenuating NLRP3 Inflammasome Signaling and TYK2-Mediated STAT3 Signaling Pathways In Vitro. Cells 2022, 11, 1391. [Google Scholar] [CrossRef]
- Kowalczuk, A.; Marycz, K.; Kornicka, J.; Groborz, S.; Meissner, J.; Mularczyk, M. Tetrahydrocannabivarin (THCV) Protects Adipose-Derived Mesenchymal Stem Cells (ASC) against Endoplasmic Reticulum Stress Development and Reduces Inflammation during Adipogenesis. Int. J. Mol. Sci. 2023, 24, 7120. [Google Scholar] [CrossRef]
- Bergsbaken, T.; Fink, S.L.; Cookson, B.T. Pyroptosis: host cell death and inflammation. Nat. Rev. Genet. 2009, 7, 99–109. [Google Scholar] [CrossRef]
- Zhu, Y.; Liu, Q.; Zhou, Z.; Ikeda, Y. PDX1, Neurogenin-3, and MAFA: critical transcription regulators for beta cell development and regeneration. Stem Cell Res. Ther. 2017, 8, 1–7. [Google Scholar] [CrossRef]
- Roderigo-Milne, H.; Hauge-Evans, A.C.; Persaud, S.J.; Jones, P.M. Differential expression of insulin genes 1 and 2 in MIN6 cells and pseudoislets. Biochem. Biophys. Res. Commun. 2002, 296, 589–595. [Google Scholar] [CrossRef]
- Koranyi, L.; Permutt, M.A.; Chirgwin, J.M.; Giddings, S.J. Proinsulin I and II gene expression in inbred mouse strains. Mol. Endocrinol. 1989, 3. [Google Scholar] [CrossRef]
- Wentworth, B.M.; Rhodes, C.; Schnetzler, B.; Gross, D.J.; Halban, P.A.; Villa-Komaroff, L. The ratio of mouse insulin I:insulin II does not reflect that of the corresponding preproinsulin mRNAs. Mol. Cell. Endocrinol. 1992, 86, 177–186. [Google Scholar] [CrossRef]
- Leroux, L.; Desbois, P.; Lamotte, L.; Duvillié, B.; Cordonnier, N.; Jackerott, M.; Jami, J.; Bucchini, D.; Joshi, R. L. Compensatory responses in mice carrying a null mutation for Ins1 or Ins2. Diabetes 2001, 50 (Suppl. S1), S150. [Google Scholar] [CrossRef] [PubMed]
- Naya, F.J.; Stellrecht, C.M.; Tsai, M.J. Tissue-specific regulation of the insulin gene by a novel basic helix-loop-helix transcription factor. Minerva Anestesiol. 1995, 9, 1009–1019. [Google Scholar] [CrossRef] [PubMed]
- Romer, A.I.; Singer, R.A.; Sui, L.; Egli, D.; Sussel, L. Murine Perinatal β-Cell Proliferation and the Differentiation of Human Stem Cell–Derived Insulin-Expressing Cells Require NEUROD1. Diabetes 2019, 68, 2259–2271. [Google Scholar] [CrossRef] [PubMed]
- Rubio-Cabezas, O.; Minton, J.A.; Kantor, I.; Williams, D.; Ellard, S.; Hattersley, A.T. Homozygous Mutations in NEUROD1 Are Responsible for a Novel Syndrome of Permanent Neonatal Diabetes and Neurological Abnormalities. Diabetes 2010, 59, 2326–2331. [Google Scholar] [CrossRef]
- Malecki, M.T.; Jhala, U.S.; Antonellis, A.; Fields, L.; Doria, A.; Orban, T.; Saad, M.; Warram, J.H.; Montminy, M.; Krolewski, A.S. Mutations in NEUROD1 are associated with the development of type 2 diabetes mellitus. Nat. Genet. 1999, 23, 323–328. [Google Scholar] [CrossRef]
- Ono, Y.; Kataoka, K. MafA, NeuroD1, and HNF1β synergistically activate the Slc2a2 (Glut2) gene in β-cells. Journal of Molecular Endocrinology 2021, 67, 71–82. [Google Scholar] [CrossRef]
- Nishimura, W.; Kondo, T.; Salameh, T.; El Khattabi, I.; Dodge, R.; Bonner-Weir, S.; Sharma, A. A switch from MafB to MafA expression accompanies differentiation to pancreatic β-cells. Dev. Biol. 2006, 293, 526–539. [Google Scholar] [CrossRef]
- Nishimura, W.; Bonner-Weir, S.; Sharma, A. Expression of MafA in pancreatic progenitors is detrimental for pancreatic development. Dev. Biol. 2009, 333, 108–120. [Google Scholar] [CrossRef]
- Kaneto, H.; Matsuoka, T.-A.; Nakatani, Y.; Miyatsuka, T.; Matsuhisa, M.; Hori, M.; Yamasaki, Y. A Crucial Role of MafA as a Novel Therapeutic Target for Diabetes. J. Biol. Chem. 2005, 280, 15047–15052. [Google Scholar] [CrossRef]
- Zhou, Q.; Brown, J.; Kanarek, A.; Rajagopal, J.; Melton, D.A. In vivo reprogramming of adult pancreatic exocrine cells to β-cells. Nature 2008, 455, 627–632. [Google Scholar] [CrossRef]
- Butler, A.E.; Robertson, R.P.; Hernandez, R.; Matveyenko, A.V.; Gurlo, T.; Butler, P.C. Beta cell nuclear musculoaponeurotic fibrosarcoma oncogene family A (MafA) is deficient in type 2 diabetes. Diabetologia 2012, 55, 2985–2988. [Google Scholar] [CrossRef] [PubMed]
- Guo, S.; Dai, C.; Guo, M.; Taylor, B.; Harmon, J.S.; Sander, M.; Robertson, R.P.; Powers, A.C.; Stein, R. Inactivation of specific β cell transcription factors in type 2 diabetes. J. Clin. Investig. 2013, 123, 3305–3316. [Google Scholar] [CrossRef] [PubMed]
- Kovalchuk, I.; Pellino, M.; Rigault, P.; Van Velzen, R.; Ebersbach, J.; Ashnest, J.; Mau, M.; Schranz, M.; Alcorn, J.; Laprairie, R. The genomics of Cannabis and its close relatives. Annual Review of Plant Biology 2020, 71, 713–739. [Google Scholar] [CrossRef] [PubMed]
- Li, X.; E Kaminski, N.; Fischer, L.J. Examination of the immunosuppressive effect of Δ9-tetrahydrocannabinol in streptozotocin-induced autoimmune diabetes. Int. Immunopharmacol. 2001, 1, 699–712. [Google Scholar] [CrossRef]
- Coskun, Z.M.; Bolkent, S. Evaluation of Δ(9)-tetrahydrocannabinol metabolites and oxidative stress in type 2 diabetic rats. Iran J Basic Med Sci 2016, 19, 154–8. [Google Scholar]
- Altınok, A.; Coşkun, Z.; Karaoğlu, K.; Bolkent, S.; Akkan, A.; Özyazgan, S. Δ9-tetrahydrocannabinol treatment improved endothelium-dependent relaxation on streptozotocin/nicotinamide-induced diabetic rat aorta. Acta Physiol. Hung. 2015, 102, 51–59. [Google Scholar] [CrossRef]
- Pertwee, R. The diverse CB1 and CB2 receptor pharmacology of three plant cannabinoids: Δ9-tetrahydrocannabinol, cannabidiol and Δ9-tetrahydrocannabivarin. British journal of pharmacology 2008, 153, (2), 199–215. [Google Scholar] [CrossRef]
- Russo, E.B. Taming THC: potential cannabis synergy and phytocannabinoid-terpenoid entourage effects. Br. J. Pharmacol. 2011, 163, 1344–1364. [Google Scholar] [CrossRef]
- Jiang, N.; Liu, J.; Guan, C.; Ma, C.; An, J.; Tang, X. Thioredoxin-interacting protein: A new therapeutic target in bone metabolism disorders? Frontiers in Immunology 2022, 13, 955128. [Google Scholar] [CrossRef]
- Fu, Z.; R Gilbert, E.; Liu, D. Regulation of insulin synthesis and secretion and pancreatic Beta-cell dysfunction in diabetes. Current diabetes reviews 2013, 9, (1), 25–53. [Google Scholar] [CrossRef]
- Iype, T.; Francis, J.; Garmey, J. C.; Schisler, J. C.; Nesher, R.; Weir, G. C.; Becker, T. C.; Newgard, C. B.; Griffen, S. C.; Mirmira, R. G. Mechanism of insulin gene regulation by the pancreatic transcription factor Pdx-1: application of pre-mRNA analysis and chromatin immunoprecipitation to assess formation of functional transcriptional complexes. Journal of Biological Chemistry 2005, 280, (17), 16798–16807. [Google Scholar] [CrossRef]
- Zhao, L.; Guo, M.; Matsuoka, T.-A.; Hagman, D.K.; Parazzoli, S.D.; Poitout, V.; Stein, R. The Islet β Cell-enriched MafA Activator Is a Key Regulator of Insulin Gene Transcription. J. Biol. Chem. 2005, 280, 11887–11894. [Google Scholar] [CrossRef] [PubMed]
- Sharma, A.; Moore, M.; Marcora, E.; Lee, J. E.; Qiu, Y.; Samaras, S.; Stein, R. The NeuroD1/BETA2 sequences essential for insulin gene transcription colocalize with those necessary for neurogenesis and p300/CREB binding protein binding. Molecular and cellular biology 1999, 19, (1), 704–713. [Google Scholar] [CrossRef]
- Welters, H.; Meyer, J.; Smith, D. M.; Kulkarni, R. N. In Role of PPAR gamma in Pancreatic beta-Cell Proliferation, DIABETES, 2009; AMER DIABETES ASSOC 1701 N BEAUREGARD ST, ALEXANDRIA, VA 22311-1717 USA: pp A412-A412.
- Olefsky, J. M.; Glass, C. K. Macrophages, inflammation, and insulin resistance. Annual review of physiology 2010, 72, 219–246. [Google Scholar] [CrossRef]
- Rock, E. M.; Sticht, M. A.; Duncan, M.; Stott, C.; Parker, L. A. Evaluation of the potential of the phytocannabinoids, cannabidivarin (CBDV) and Δ9-tetrahydrocannabivarin (THCV), to produce CB1 receptor inverse agonism symptoms of nausea in rats. British journal of pharmacology 2013, 170, (3), 671–678. [Google Scholar] [CrossRef]
- nbsp, *!!! REPLACE !!!*; Pollastro, F.; Minassi, A.; Fresu, L.G. Cannabis Phenolics and their Bioactivities. Curr. Med. Chem. 2018, 25, 1160–1185. [Google Scholar] [CrossRef]
- Romano, B.; Borrelli, F.; Fasolino, I.; Capasso, R.; Piscitelli, F.; Cascio, M.; Pertwee, R.; Coppola, D.; Vassallo, L.; Orlando, P.; et al. The cannabinoid TRPA1 agonist cannabichromene inhibits nitric oxide production in macrophages and ameliorates murine colitis. Br. J. Pharmacol. 2013, 169, 213–229. [Google Scholar] [CrossRef] [PubMed]
- Cao, D.-S.; Zhong, L.; Hsieh, T.-H.; Abooj, M.; Bishnoi, M.; Hughes, L.; Premkumar, L.S. Expression of Transient Receptor Potential Ankyrin 1 (TRPA1) and Its Role in Insulin Release from Rat Pancreatic Beta Cells. PLOS ONE 2012, 7, e38005. [Google Scholar] [CrossRef]
- Wei, Y.; Cai, J.; Zhu, R.; Xu, K.; Li, H.; Li, J. Function and therapeutic potential of transient receptor potential ankyrin 1 in fibrosis. Front. Pharmacol. 2022, 13, 1014041. [Google Scholar] [CrossRef]









Disclaimer/Publisher’s Note: The statements, opinions and data contained in all publications are solely those of the individual author(s) and contributor(s) and not of MDPI and/or the editor(s). MDPI and/or the editor(s) disclaim responsibility for any injury to people or property resulting from any ideas, methods, instructions or products referred to in the content. |
© 2023 by the authors. Licensee MDPI, Basel, Switzerland. This article is an open access article distributed under the terms and conditions of the Creative Commons Attribution (CC BY) license (http://creativecommons.org/licenses/by/4.0/).