Submitted:
07 September 2023
Posted:
11 September 2023
You are already at the latest version
Abstract
Keywords:
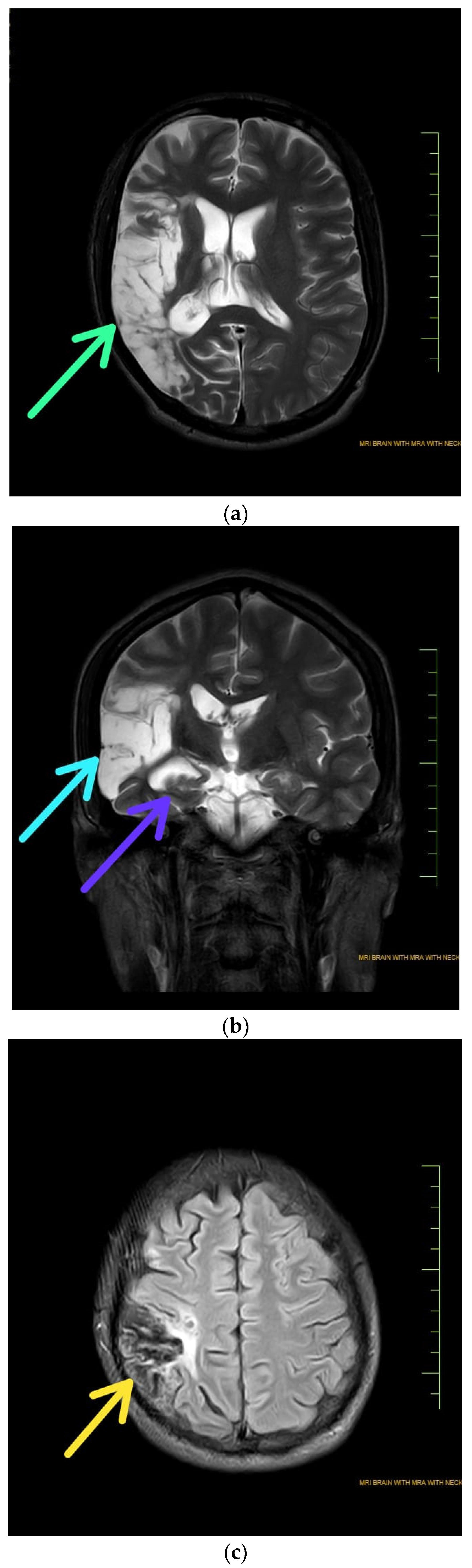
- (a)
- T2 Weighted MRI unveiling Encephalomalacia with surrounding gliosis in right parieto-temporal lobe with green arrow
- (b)
- Coronal T2 weighted indicating Stage 3 Wallerian degeneration with purple arrow where Gliosis replaces the degenerating axons and myelin sheaths, and myelin lipid breakdown (more than 14 weeks). Gliosis appears as an area with increased T2/FLAIR signal, somewhat reduced T1 signal. Light blue arrow indicates Encephalomalacia with surrounding gliosis noted in right parieto-temporal lobe.
- (c)
- T2 FLAIR (Fluid Attenuated Inversion Recovery) indicated atrophy of right middle cerebral peduncle s/o Wallerian degeneration [7].
Author Contributions
Funding
Informed Consent Statement
Data Availability Statement
Acknowledgments
Conflicts of Interest
References
- Karaman E, Isildak H, Yilmaz M, Enver O, Albayram S: Encephalomalacia in the frontal lobe: complication of the endoscopic sinus surgery. J Craniofac Surg. 2011, 22, 2374–2375. [CrossRef]
- Matlung SE, Bilo R a. C, Kubat B, van Rijn RR: Multicystic encephalomalacia as an end-stage finding in abusive head trauma. Forensic Sci Med Pathol. 2011, 7, 355–363. [CrossRef]
- Naidich TP, Chakera TM: Multicystic encephalomalacia: CT appearance and pathological correlation. J Comput Assist Tomogr. 1984, 8, 631–636. [CrossRef]
- MD DCT: Encephalomalacia: Causes, Types, Symptoms, Diagnosis, Treatment, Complications and Prevention - Scope Heal. 2018.
- Lunardo E: Bel Marra Health. Bel Marra Health - Breaking Health News and Health Information. (2017). Available online: https://www.belmarrahealth.com (accessed on 31 August 2023).
- Garg V: Encephalomalacia | Radiology Reference Article | Radiopaedia.org. Radiopaedia. Available online: https://radiopaedia.org/articles/encephalomalacia (accessed on 29 August 2023). [CrossRef]
- St-Amant M: Wallerian degeneration | Radiology Reference Article | Radiopaedia.org. Radiopaedia. Available online: https://radiopaedia.org/articles/wallerian-degeneration?lang=us (accessed on 29 August 2023). [CrossRef]

Disclaimer/Publisher’s Note: The statements, opinions and data contained in all publications are solely those of the individual author(s) and contributor(s) and not of MDPI and/or the editor(s). MDPI and/or the editor(s) disclaim responsibility for any injury to people or property resulting from any ideas, methods, instructions or products referred to in the content. |
© 2023 by the authors. Licensee MDPI, Basel, Switzerland. This article is an open access article distributed under the terms and conditions of the Creative Commons Attribution (CC BY) license (http://creativecommons.org/licenses/by/4.0/).