Submitted:
04 September 2023
Posted:
06 September 2023
Read the latest preprint version here
Abstract
Keywords:
1. Introduction
- An origin from totipotent cells left behind in their migration through Hensen's node, explaining the frequent median and paraxial distribution of teratomas;
- Teratomas explained as a consequence of an incomplete twinning, which could clarify intracranial, mediastinal, abdominal and sacrococcygeal localizations;
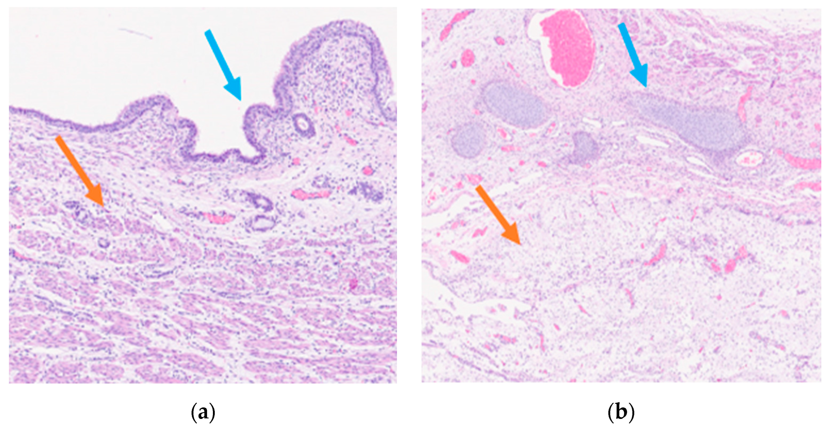
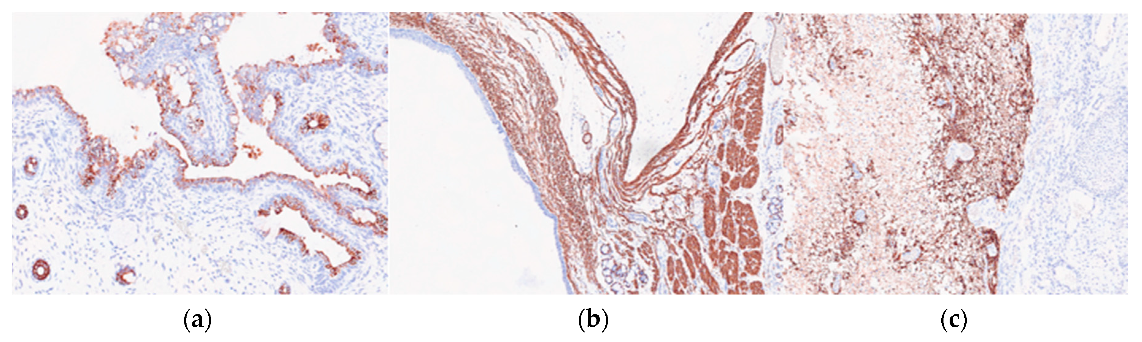
2. Case report
3. Discussion
4. Conclusions
Author Contributions
Funding
Informed Consent Statement
Conflicts of Interest
References
- Pace, S.; Sacks, M.A.; Goodman, L.F.; Tagge, E.P.; Radulescu, A. Antenatal Diagnosis of Retroperitoneal Cystic Mass: Fetiform Teratoma or Fetus in Fetu? A Case Report. Am. J. Case Rep. 2021, 2, e929247. [Google Scholar] [CrossRef]
- Peiró, J.L.; Sbragia, L.; Scorletti, F.; Lim, F.Y.; Shaaban, A. Management of fetal teratomas. Pediatr. Surg. Int. 2016, 32, 635–647. [Google Scholar] [CrossRef] [PubMed]
- Win, T.T.; Razy, N.; Hamid, S.; Ubramanian, A.B.; Ramalinggam, G. Congenital mature cystic teratoma of the lateral neck presenting as cystic hygroma: a rare case report with literature review. Turk. J. Pathol. 2014, 30, 220–224. [Google Scholar] [CrossRef]
- Grosfeld, J.L.; Billmire, D.F. Teratomas in infancy and childhood. Curr. Probl. Cancer 1985, 9, 1–53. [Google Scholar] [CrossRef]
- Bonasoni, M.P.; Comitini, G.; Barbieri, V.; Palicelli, A.; Salfi, N.; Pilu, G. Fetal Presentation of Mediastinal Immature Teratoma: Ultrasound, Autopsy and Cytogenetic Findings. Diagnostics 2021, 11, 1543. [Google Scholar] [CrossRef]
- Srisupundit, K.; Sukpan, K.; Tongsong, T.; Traisrisilp, K. Prenatal sonographic features of fetal mediastinal teratoma. J. Clin. Ultrasound 2020, 48, 419–422. [Google Scholar] [CrossRef]
- Isaacs, H. Fetal Intracranial Teratoma. A Review. Fetal Pediatr. Pathol. 2014, 33, 289–292. [Google Scholar] [CrossRef]
- Xu, L.; Ma, Q.; Tian, X.; Huang, W.; Zhong, W.; Shang, N. Prenatal ultrasonic features of a mediastinal teratoma: A case report and literature review. J. Clin. Ultrasound 2022, 50, 1004–1012. [Google Scholar] [CrossRef] [PubMed]
- Darouich, S.; Bellamine, H. Fetal mediastinal teratoma: Misinterpretation as congenital cystic lesions of the lung on prenatal ultrasound. J. Clin. Ultrasound 2020, 48, 287–290. [Google Scholar] [CrossRef]
- Simonini, C.; Strizek, B.; Berg, C.; Gembruch, U.; Mueller, A.; Heydweiller, A.; Geipel, A. Fetal teratomas – A retrospective observational single-center study. Prenat. Diagn. 2021, 41, 301–307. [Google Scholar] [CrossRef]
- Haloua, M.; El Bouardi, N.; Hbibi, M.; Alami, B.E.; Lamrani, Y.A.; Hammas, N.; Maaroufi, M.; Bouabdallah, Y.; Boubbou, M. Posterior mediastinal teratoma presenting as an abdominal mass in a child: A case report. Radiol. Case Rep. 2022, 17, 3825–3829. [Google Scholar] [CrossRef]
- Feng, Q.; Xiao, Y.; Han, F. Posterior Mediastinal Mature Cystic Teratoma-Known But Rare Entity. Am. J. Med Sci. 2020, 359, 308–309. [Google Scholar] [CrossRef]
- Ogata, S.; Okusa, Y.; Ogawa, T.; Ogawa, T.; Inoue, K.; Ozeki, Y. Mature cystic teratoma in the posterior mediastinum. Can. J. Surg. 2009, 52, E73–4. [Google Scholar] [PubMed]
- Arisoy, R.; Erdogdu, E.; Kumru, P.; Demirci, O.; Ergin, N.; Pekin, O.; Sahinoglu, Z.; Tugrul, A.S.; Sancak, S.; Çetiner, H.; et al. Prenatal diagnosis and outcomes of fetal teratomas. J. Clin. Ultrasound 2016, 44, 118–125. [Google Scholar] [CrossRef] [PubMed]
- Heerema-McKenney, A.; Harrison, M.R.; Bratton, B.; Farrell, J.; Zaloudek, C. Congenital Teratoma: A clinicopathologic study of 22 fetal and neonatal tumors. Am. J. Surg. Pathol. 2005, 29, 29–38. [Google Scholar] [CrossRef] [PubMed]
- Nogales, F.F.; Dulcey, I.; Preda, O. Germ Cell Tumors of the Ovary: An Update. Arch. Pathol. Lab. Med. 2014, 138, 351–362. [Google Scholar] [CrossRef]
- Moraru, L.; Mitranovici, M.-I.; Chiorean, D.M.; Coroș, M.; Moraru, R.; Oală, I.E.; Turdean, S.G. Immature Teratoma: Diagnosis and Management—A Review of the Literature. Diagnostics 2023, 13, 1516. [Google Scholar] [CrossRef]
- Charoenkwan, P.; Senger, C.; Weitzman, S.; Sexsmith, E.; Sherman, C.G.; Malkin, D.; Thorner, P.S. Significance of p53 Expression in Immature Teratomas. Pediatr. Dev. Pathol. 2002, 5, 499–507. [Google Scholar] [CrossRef]
- Floridia, M.; Mastroiacovo, P.; Tamburrini, E.; Tibaldi, C.; Todros, T.; Crepaldi, A.; Sansone, M.; Fiscon, M.; Liuzzi, G.; Guerra, B.; et al. Birth defects in a national cohort of pregnant women with HIV infection in Italy, 2001-2011. BJOG: Int. J. Obstet. Gynaecol. 2013, 120, 1466–1476. [Google Scholar] [CrossRef]
- Peiró, J.L.; Sbragia, L.; Scorletti, F.; Lim, F.Y.; Shaaban, A. Management of fetal teratomas. Pediatr. Surg. Int. 2016, 32, 635–647. [Google Scholar] [CrossRef]
- Xu, L.; Ma, Q.; Tian, X.; Huang, W.; Zhong, W.; Shang, N. Prenatal ultrasonic features of a mediastinal teratoma: A case report and literature review. J. Clin. Ultrasound 2022, 50, 1004–1012. [Google Scholar] [CrossRef]
- A Mon, R.; Johnson, K.N.; Ladino-Torres, M.; Heider, A.; Mychaliska, G.B.; Treadwell, M.C.; Kunisaki, S.M. Diagnostic accuracy of imaging studies in congenital lung malformations. Arch. Dis. Child. - Fetal Neonatal Ed. 2019, 104, F372–F377. [Google Scholar] [CrossRef]
- Kunisaki, S.M.; Saito, J.M.; Fallat, M.E.; Peter, S.D.S.; Lal, D.R.; Karmakar, M.; Deans, K.J.; Gadepalli, S.K.; Hirschl, R.B.; Minneci, P.C.; et al. Fetal Risk Stratification and Outcomes in Children with Prenatally Diagnosed Lung Malformations: Results from a Multi-Institutional Research Collaborative. Ann. Surg. 2022, 276, e622–e630. [Google Scholar] [CrossRef]
- Ruchonnet-Metrailler, I.; Leroy-Terquem, E.; Stirnemann, J.; Cros, P.; Ducoin, H.; Hadchouel, A.; Khen-Dunlop, N.; Labbé, A.; Labouret, G.; Lebras, M.-N.; et al. Neonatal Outcomes of Prenatally Diagnosed Congenital Pulmonary Malformations. PEDIATRICS 2014, 133, e1285–e1291. [Google Scholar] [CrossRef]
- Girsen, A.I.; Hintz, S.R.; Sammour, R.; Naqvi, A.; El-Sayed, Y.Y.; Sherwin, K.; Davis, A.S.; Chock, V.Y.; Barth, R.A.; Rubesova, E.; et al. Prediction of neonatal respiratory distress in pregnancies complicated by fetal lung masses. Prenat. Diagn. 2017, 37, 266–272. [Google Scholar] [CrossRef]




Disclaimer/Publisher’s Note: The statements, opinions and data contained in all publications are solely those of the individual author(s) and contributor(s) and not of MDPI and/or the editor(s). MDPI and/or the editor(s) disclaim responsibility for any injury to people or property resulting from any ideas, methods, instructions or products referred to in the content. |
© 2023 by the authors. Licensee MDPI, Basel, Switzerland. This article is an open access article distributed under the terms and conditions of the Creative Commons Attribution (CC BY) license (http://creativecommons.org/licenses/by/4.0/).