Submitted:
14 August 2023
Posted:
16 August 2023
You are already at the latest version
Abstract

Keywords:
1. Introduction
2. Materials and Methods
2.1. Composition and production of modified chitosan
2.2. Animal characterization and modeling of type I diabetes mellitus in rats
2.3. The conditions of animal detention
2.4. Modeling defects of the critical size in rats
2.5. Postoperative period
2.6. Morphological analysis of bone tissue
- BV - volumetric density of bone tissue, the percentage ratio of the volume occupied by bone structures to the total volume of the histological section
- BTT - thickness of bone trabeculae (mm), the criterion stipulates that the bone trabecula is a thin plate, measurements were taken between the edges of the bone trabecula (5-8 measurements in relation to each trabecula with the calculation of the median)
- ITS - intertrabecular spaces (mm), the distance between the edges of the cancellous bone trabeculae, the calculation is made in accordance with the so-called parallel plate model: BV minus BTT
- OBS - osteoblastic surface of bone trabeculae, the percentage ratio of the surface of bone trabeculae occupied by osteoblasts to the total bone surface
- OS - osteoid surface of bone trabeculae, the percentage ratio of the surface of bone trabeculae occupied by osteoid to the total bone surface, was assessed by polarized light microscopy
- ES - eroded (osteoclastic) surface of bone trabeculae, the percentage ratio of the surface of bone trabeculae with the formation of gaps to the total bone surface, includes the surface occupied by osteoclasts
- TBS - total bone surface
- FS - free surface of bone trabeculae, the percentage of the non-eroded surface of bone trabeculae and the surface not occupied by osteoblasts, osteoclasts to the total bone surface
2.7. Statistical analysis
3. Results
3.1. Morphological of the bone cavity walls in the induced type I diabetes mellitus development
3.2. Regeneration of the bone cavity in healthy animals when filling with CH-SA-HA
3.3. Regeneration of the bone cavity walls using a collagen sponge
3.4. Bone defect regeneration in animals with sub-compensated diabetes mellitus under CH-SA-HA implantation
4. Conclusion
5. Discussion
Acknowledgments and project funding application
Conflicts of Interest
References
- Bolshakov, I. N.; Levenets, A. A.; Patlataya, N. N.; Nikolaenko, M. M.; Dmitrienko, A. E.; Ryaboshapko, E. I.; Matveeva, N. D.; Ibragimov, I. G.; Kotikov, A. R.; Furtsev, T. V. The Role of Modified Chitosan in Bone Engineering in Diabetes Mellitus: Analytical Review. Int. J. Dent. Oral. Health 2021, 7, 1–13. [Google Scholar] [CrossRef]
- Yamagishi, S. Role of advanced glycation end products (AGEs) in osteoporosis in diabetes. Curr. Drug Targets. 2011, 12(14), 2096–3002. [Google Scholar] [CrossRef]
- Graves, D. T.; Kayal, R. A. Diabetic complications and dysregulated innate immunity. NIH Public Access Author Manuscript. Front Biosci. 2008, 13, 1227–1239. [Google Scholar] [CrossRef]
- Nikolajczyk, B. S.; Jagannathan-Bogdan, M.; Shin, H.; Gyurko, R. State of the union between metabolism and the immune system in type 2 diabetes. Genes Immun. 2011, 12(4), 239–250. [Google Scholar] [CrossRef]
- García-Hernández, A.; Arzate, H.; Gil-Chavarría, I.; Rojo, R.; Moreno-Fierros, L. High glucose concentrations alter the biomineralization process in human osteoblastic cells. Bone. 2012, 50(1), 276–288. [Google Scholar] [CrossRef]
- Napoli, N.; Chandran, M.; Pierroz, D. D.; Abrahamsen, B.; Schwartz, A. V.; Ferrari, S. L. Mechanisms of diabetes mellitus-induced bone fragility. Nat. Rev. Endocrinol. 2017, 13, 208–219. [Google Scholar] [CrossRef]
- Napoli, N.; Strollo, R.; Paladini, A.; Briganti, S. I.; Pozzilli, P.; Epstein, S. The alliance of mesenchymal stem cells, bone, and diabetes. Int. J. Endocrinol. 2014, 2014, 690783. [Google Scholar] [CrossRef]
- Landis, W. J. The strength of a calcified tissue depends in part on the molecular structure and organization of its constituent mineral crystals in their organic matrix. Bone. 1995, 16, 533–544. [Google Scholar] [CrossRef]
- Lee, N. K.; Choi, Y. G.; Baik, J. Y.; Han, S. Y.; Jeong, D.-W.; Bae, Y. S.; Kim, N.; Lee, S. Y. A crucial role for reactive oxygen species in RANKL-induced osteoclast differentiation. Blood. 2005, 106(3), 852–859. [Google Scholar] [CrossRef]
- Tanaka, S.; Nakamura, K.; Takahasi, N.; Suda, T. Role of RANKL in physiological and pathological bone resorption and therapeutics targeting the RANKL-RANK signaling system. Immunol. Rev. 2005, 208, 30–49. [Google Scholar] [CrossRef]
- Ha, H.; Kwak, H.;B.; Lee, S.;W.; Jin, H.;M.; Kim, H.-M.; Kim, H.-H.; Lee Z. H. Reactive oxygen species mediate RANK signaling in osteoclasts. Exp. Cell Res. 2004, 301(2), 119–127. [CrossRef] [PubMed]
- Liu, R.; Bal, H. S.; Desta, T.; Krothapalli, N.; Alyassi, M.; Luan, Q.; Graves, D. T. Diabetes enhances periodontal bone loss through enhanced resorption and diminished bone formation. J. Dent. Res. 2006, 85(6), 510–514. [Google Scholar] [CrossRef] [PubMed]
- Andriankaja, O. M.; Galicia, J.; Dong, G.; Xiao, W.; Alawi, F.; Graves, D. T. Gene expression dynamics during diabetic periodontitis. J. Dent. Res. 2012, 91(12), 1160–1165. [Google Scholar] [CrossRef] [PubMed]
- Pacios, S.; Andriankaja, O.; Kang, J.; Alnammary, M.; Bae, J.; Bezerra, B. de B.; Schreiner, H.; Fine, D. H.; Graves, D. T. Bacterial infection increases periodontal bone loss in diabetic rats through enhanced apoptosis. Am. J. Pathol. 2013, 183, 1928–1935. [Google Scholar] [CrossRef]
- Alblowi, J.; Tian, C.; Siqueira, F. M.; Kayal, R. A.; McKenzie, E.; Behl, Y.; Gerstenfeld, L.; Einhorn, T. A.; Graves, D. T. Chemokine expression is upregulated in chondrocytes in diabetic fracture healing. Bone. 2013, 53(1), 294–300. [Google Scholar] [CrossRef] [PubMed]
- Katayama, Y.; Akatsu, T.; Yamamoto, M.; Kugai, N.; Nagata, N. Role of nonenzymatic glycosylation of type I collagen in diabetic osteopenia. J. Bone Miner. Res. 1996, 11(7), 931–937. [Google Scholar] [CrossRef]
- Stolzing, A.; Sellers, D.; Llewelyn, O.; Scutt, A. Diabetes induced changes in rat mesenchymal stem cells. Cells Tissues Organs. 2010, 191(6), 453–465. [Google Scholar] [CrossRef]
- García-Hernández, A.; Arzate, H.; Gil-Chavarría, I.; Rojo, R.; Moreno-Fierros, L. High glucose concentrations alter the biomineralization process in human osteoblastic cells. Bone. 2012, 50(1), 276–288. [Google Scholar] [CrossRef]
- Bartell, S. M.; Kim, H.-N.; Ambrogini, E.; Han, L.; Iyer, S.; Ucer, S.S.; Rabinovitch, P.; Jilka, R. L.; Weinstein, R. S.; Zhao, H.; O'Brien, C. A.; Manolagas, S. C.; Almeida, M. FoxO proteins restrain osteoclastogenesis and bone resorption by attenuating H2O2 accumulation. Nat. Commun. 2014, 5, 3773. [Google Scholar] [CrossRef]
- Wang, Y.; Dong, G.; Jeon, H. H.; Elazizi, M.; La, L. B.; Hameedaldeen, A.; Xiao, E.; Tian, C.; Alsadun, S.; Choi, Y.; Graves D., T. FOXO1 mediates RANKL-induced osteoclast formation and activity. J. Immunol. 2015, 194(6), 2878–2887. [Google Scholar] [CrossRef]
- Kang, J.; de Bezerra, B. B.; Pacios, S.; Andriankaja, O.; Tsiagbe, V.; Li, Y.; Schreiner, H.; Fine, D. H.; Graves, D. T. Aggregatibacter actinomycetem comitans infection enhances apoptosis in vivo through a caspase-3-dependent mechanism in experimental periodontitis. Infect. Immun. 2012, 80(6), 2247–2256. [Google Scholar] [CrossRef] [PubMed]
- Richardsand, D.; Rutherford, R. The effects of interleukin 1 on collagenolytic activity and prostaglandin-E secretion by human periodontal-ligament and gingival fibroblasts. Arch. Oral Biol. 1988, 33, 237–243. [Google Scholar] [CrossRef] [PubMed]
- Leslie, W. D.; Rubin, M. R.; Schwartz, A. V.; Kanis, J. A. Type 2 diabetes and bone. J. Bone Miner. Res. 2012, 27, 2231–2237. [Google Scholar] [CrossRef]
- Saito, M.; Marumo, K. Collagen cross-links as a determinant of bone quality: a possible explanation for bone fragility in aging, osteoporosis, and diabetes mellitus. Osteoporos. Int. 2010, 21, 195–214. [Google Scholar] [CrossRef]
- Mahamed, D. A.; Marleau, A.; Alnaeeli, M.; Singh, B.; Zhang, X.; Penninger, J. M.; Teng, T.-Y. A. G(−) anaerobes-reactive CD4 + T-cells trigger RANKL-mediated enhanced alveolar bone loss in diabetic NOD mice. Diabetes 2005, 54, 1477–1486. [Google Scholar] [CrossRef] [PubMed]
- Shetty, S.; Kapoor, N.; Bondu, J. D.; Thomas, N.; Paul, T. V. Bone turnover markers: Emerging tool in the management of osteoporosis. Indian J. Endocrinol. Metab. 2016, 20, 846–852. [Google Scholar] [CrossRef] [PubMed]
- Maggio, A. B. R.; Ferrari, S.; Kraenzlin, M.; Marchand, L. M.; Schwitzgebel, V.; Beghetti, M.; Rizzoli, R.; Farpour-Lambert, N. J. Decreased bone turnover in children and adolescents with well controlled type 1 diabetes. J. Pediatr. Endocrinol. Metab. 2010, 23, 697–707. [Google Scholar] [CrossRef]
- Kayal, R. A.; Tsatsas, D.; Bauer, M. A.; Allen, B.; Al-Sebaei, M. O.; Kakar, S.; Leone, C. W.; Morgan, E. F.; Gerstenfeld, L. C.; Einhorn, T. A.; Graves D., T. Diminished Bone Formation During Diabetic Fracture Healing is Related to the Premature Resorption of Cartilage Associated With Increased Osteoclast Activity. J. Bone Miner. Res. 2007, 22(4), 560–568. [Google Scholar] [CrossRef]
- Kayal, R. A.; Siqueira, M.; Alblowi, J.; McLean, J.; Krothapalli, N.; Faibish, D.; Einhorn, T. A.; Gerstenfeld, L. C.; Graves, D. T. TNF-alpha mediates diabetes-enhanced chondrocyte apoptosis during fracture healing and stimulates chondrocyte apoptosis through FOXO1. J. Bone Miner. Res. 2010, 25(7), 1604–1615. [Google Scholar] [CrossRef]
- Claes, L.; Recknagel, S.; Ignatius, A. Fracture healing under healthy and inflammatory conditions. Nat.Rev. Rheumatol. 2012, 8, 133–143. [Google Scholar] [CrossRef]
- Li, Y.-M.; Shilling, T.; Benisch, P.; Zeck, S.; Meissner-Weigl, J.; Schneider, D.; Limbert, C.; Seufert, J.; Kassem, M.; Schütze, N.; Jakob, F.; Ebert, R. Effects of high glucose on mesenchymal stem cell proliferation and differentiation. Biochem. Biophys. Res. Commun. 2007, 363(1), 209–215. [Google Scholar] [CrossRef] [PubMed]
- Hamada, Y.; Fujii, H.; Fukagawa, M. Role of oxidative stress in diabetic bone disorder. Bone. 2009, 45(1), S35–38. [Google Scholar] [CrossRef] [PubMed]
- Kozusko, S. D.; Riccio, C.; Goulart, M.; Bumgardner, J.; Jing, X. L.; Konofaos, P. Chitosan as a bone scaffold biomaterial. J. Craniofacial Surg. 2018, 29(7), 1788–1793. [Google Scholar] [CrossRef] [PubMed]
- Kumbhar, S. Self-functionalized, oppositely charged chitosan-alginate scaffolds for biomedical applications. BioTechnology: An Indian J. 2017, 3, 1–15. [Google Scholar]
- Rodríguez-Vázquez, M.; Vega-Ruiz, B.; Ramos-Zúñiga, R.; Saldaña-Koppel, D. A.; Quiñones-Olvera, L. F. Chitosan and its potential use as a scaffold for tissue engineering in regenerative medicine. BioMed. Res. Int. 2015. special iss. New biomaterials in drug delivery and wound care: article ID 821279. [Google Scholar] [CrossRef]
- Jiang, T.; Kumbar, S. G.; Nair, L. S.; Laurencin, C. T. Biologically active chitosan systems for tissue engineering and regenerative medicine. Curr. Top. Med. Chem. 2008, 8(4), 354–364. [Google Scholar] [CrossRef]
- Costa-Pinto, A. R.; Reis, R. L.; Neves, N. M. Scaffolds based bone tissue engineering: the role of chitosan. Review. Tissue Eng. Part B Rev. 2011, 17, 331–347. [Google Scholar] [CrossRef]
- Spin-Neto, R.; Coletti, F. L.; de Freitas, R. M.; Pavone, C.; Campana-Filholo, S. P.; Marcantonio, R. A. C. Chitosan-based biomaterials used in critical-size bone defects: radiographic study in rat's calvaria. Rev. Odontol. UNESP. 2012, 41(5), 312–317. [Google Scholar] [CrossRef]
- Dhandayuthapani, B.; Yoshida, Ya.; Maekawa, T.; Kumar, D. S. Polymeric scaffolds in tissue engineering application: a review. Int. J. Polymer Sci. 2011, 290602. [Google Scholar] [CrossRef]
- Chatzipetros, E.; Christopoulos, P.; Donta, C.; Tosios, K.-I.; Tsiambas, E.; Tsiourvas, D.; Kalogirou, E.-M.; Tsiklakis, K. Application of nano-hydroxyapatite/chitosan scaffolds on rat calvarial critical-sized defects: a pilot study. Med. Oral Patol. Oral Cir. Bucal. 2018, 23(5), e625–632. [Google Scholar] [CrossRef]
- Hu, J. X.; Ran, J. B.; Chen, S.; Jiang, P.; Shen, X. Y.; Tong, H. Carboxylated agarose (CA)-silk fibroin (SF) dual confluent matrices containing oriented hydroxyapatite (HA) crystals: biomimetic organic/inorganic composites for tibia repair. Biomacromolecules. 2016, 17(7), 2437–2447. [Google Scholar] [CrossRef]
- Luo, Y.; Lode, A.; Wu, C.; Chang, J.; Gelinsky, M. Alginate/nanohydroxyapatite scaffolds with designed core/shell structures fabricated by 3D plotting and in situ mineralization for bone tissue engineering. ACS Appl. Mater. Interfaces. 2015, 7(12), 6541–6549. [Google Scholar] [CrossRef] [PubMed]
- Koshihara, Y.; Kawamura, M.; Oda, H.; Higaki, S. In vitro calcification in human osteoblastic cell line derived from periosteum. Biochem. Biophys. Res. Comm. 1987, 145, 651–657. [Google Scholar] [CrossRef]
- Chung, T.-W.; Liu, D.-Z.; Wang, S.-Y.; Wang, S.-S. Enhancement of the growth of human endothelial cells by surface roughness at nanometer scale. Biomaterials. 2003, 24(25), 4655–4661. [Google Scholar] [CrossRef] [PubMed]
- Vissarionov, S. V.; Asadulaev, M. S.; Shabunin, A. S.; Yudin, V. E. Experimental evaluation of the efficiency of chitosan matrixes under conditions of modeling of a bone defect in vivo (preliminary report). Pediatric traumatology, orthopedics and reconstructive surgery. 2020, 8, 53–62. [Google Scholar] [CrossRef]
- Patent RF 2254145, 20/06/2005.
- Patel, Z. S.; Young, S.; Tabata, Y.; Jansen, J. A.; Wong, M. E.; Mikos, A. G. Dual delivery of an angiogenic and an osteogenic growth factor for bone regeneration in a critical size defect model. Bone 2008, 43(5), 931–940. [Google Scholar] [CrossRef]
- Patent RF 2309748, 01/10/2006.
- Dempster, D. W.; Compston, J. E.; Drezner, M. K.; Glorieux, F. H.; Kanis J., A.; Malluche, H.; Meunier, P. J.; Ott, S. M.; Recker, R. R.; Parfitt, A. M. Standardized nomenclature, symbols, and units for bone histomorphometry: a 2012 update of the report of the ASBMR Histomorphometry Nomenclature Committee. J. Bone Miner. Res. 2013, 28(1), 2–17. [Google Scholar] [CrossRef]
- Morgan, C. J. Use of proper statistical techniques for research studies with small samples. Am. J. Physiol. Lung Cell Mol. Physiol. 2017, 313(5), L873–L877. [Google Scholar] [CrossRef]
- Lovett, M.; Lee, K.; Edwards, A.; Kaplan D., L. Vascularization strategies for tissue engineering. Tissue Eng. Part B Rev. 2009, 15(3), 353–370. [Google Scholar] [CrossRef]
- Giacco, F.; Brownlee, M. Oxidative stress and diabetic complications. Rev. Circ. Res. 2010, 107(9), 1058–1070. [Google Scholar] [CrossRef]
- Pitocco, D.; Zaccardi, F.; Di Stasio, E.; Romitelli, F.; Santini, S. A.; Zuppi, C.; Ghirlanda, G. Oxidative stress, nitric oxide, and diabetes. Rev. Diabet. Stud. Spring. 2010, 7(1), 15–25. [Google Scholar] [CrossRef] [PubMed]
- Pitocco, D.; Tesauro, M.; Alessandro, R.; Ghirlanda, G.; Cardillo, C. Oxidative stress in diabetes: implications for vascular and other complications. Int. J. Mol. Sci. 2013, 14(11), 21525–21550. [Google Scholar] [CrossRef]
- Folli, F.; Corradi, D.; Fanti, P.; Davalli, A.; Paez, A.; Giaccari, A.; Perego, C.; Muscogiuri, G. The role of oxidative stress in the pathogenesis of type 2 diabetes mellitus micro- and macrovascular complications: avenues for a mechanistic-based therapeutic approach. Curr. Diabetes Rev. 2011, 7(5), 313–324. [Google Scholar] [CrossRef]
- Lee, N. K.; Choi, Y. G.; Baik, J. Y.; Han, S. Y.; Jeong, D. W.; Bae, Y. S.; Kim, N.; Lee, S. Y. A crucial role for reactive oxygen species in RANKL-induced osteoclast differentiation. Blood. 2005, 106(3), 852–859. [Google Scholar] [CrossRef]
- Tanaka, S.; Nakamura, K.; Takahasi, N.; Suda, T. Role of RANKL in physiological and pathological bone resorption and therapeutics targeting the RANKL-RANK signaling system. Immunol. Rev. 2005, 208, 30–49. [Google Scholar] [CrossRef] [PubMed]
- Ha, H.; Kwak, H. B.; Lee, S. W.; Jin, H. M.; Kim, H.-M.; Kim, H.-H.; Lee, Z. H. Reactive oxygen species mediate RANK signaling in osteoclasts. Exp. Cell Res. 2004, 301(2), 119–127. [Google Scholar] [CrossRef] [PubMed]
- Bartell, S. M.; Kim, H.-N.; Ambrogini, E.; Han, L.; Iyer, S.; Ucer, S. S.; Rabinovitch, P.; Jilka, R. L.; Weinstein, R. S.; Zhao, H.; O'Brien, C. A.; Manolagas, S. C.; Almeida, M. FoxO proteins restrain osteoclastogenesis and bone resorption by attenuating H2O2 accumulation. Nat. Commun. 2014, 5, 3773. [Google Scholar] [CrossRef]
- Wang, Y.; Dong, G.; Jeon, H. H.; Elazizi, M.; La, L. B.; Hameedaldeen, A.; Xiao, E.; Tian, C.; Alsadun, S.; Choi, Y.; Graves, D. T. FOXO1 mediates RANKL-induced osteoclast formation and activity. J. Immunol. 2015, 194(6), 2878–2887. [Google Scholar] [CrossRef]
- Kang, J.; de Bezerra, B. B.; Pacios, S.; Andriankaja, O.; Li, Y.; Tsiagbe, V.; Schreiner, H.; Fine, D. H.; Graves, D. T. Aggregatibacter actinomycetem comitans infection enhances apoptosis in vivo through a caspase-3-dependent mechanism in experimental periodontitis. Infect. Immun. 2012, 80(6), 2247–2256. [Google Scholar] [CrossRef]
- Andriankaja, O. M.; Galicia, J.; Dong, G.; Xiao, W.; Alawi, F.; Graves, D. T. Gene expression dynamics during diabetic periodontitis. J. Dent. Res. 2012, 91(12), 1160–1165. [Google Scholar] [CrossRef]
- Pacios, S.; Andriankaja, O.; Kang, J.; Alnammary, M.; Bae, J.; Bezerra, B.de. B.; Schreiner, H.; Fine, D. H.; Graves, D. T. Bacterial infection increases periodontal bone loss in diabetic rats through enhanced apoptosis. Am. J. Pathol. 2013, 183(6), 1928–1935. [Google Scholar] [CrossRef] [PubMed]
- Alblowi, J.; Tian, C.; Siqueira, M. F.; Kayal, R. A.; McKenzie, E.; Behl, Y.; Louis, G.; Einhorn, T. A.; Graves, D. T. Chemokine expression is upregulated in chondrocytes in diabetic fracture healing. Bone. 2013, 53(1), 294–300. [Google Scholar] [CrossRef] [PubMed]
- Alblowi, J.; Kayal, R. A.; Siqueira, M.; McKenzie, E.; Krothapalli, N.; McLean, J.; Conn, J.; Nikolajczyk, B.; Einhorn, T. A.; Gerstenfeld, L.; Graves, D. T. High levels of tumor necrosis factor-alpha contribute to accelerated loss of cartilage in diabetic fracture healing. Am. J. Pathol. 2009, 175(4), 1574–1585. [Google Scholar] [CrossRef] [PubMed]
- Hasegawa, T.; Yamamoto, T.; Tsuchiya, E.; Hongo, H.; Tsuboi, K.; Kudo, A.; Abe, M.; Yoshida, T.; Nagai, T.; Khadiza, N.; Yokoyama, A.; Oda, K.; Ozawa, H.; de Freitas, P. H. L.; Li, M.; Amizuka, N. Ultrastructural and biochemical aspects of matrix vesiclemediated mineralization. Jpn. Dent. Sci. Rev. 2017, 53(2), 34–45. [Google Scholar] [CrossRef] [PubMed]
- Amaral, I. F.; Neiva, I.; da Silva, F. F.; Sousa, S. R.; Piloto, A. M.; Lopes, C. D. F.; Barbosa, M. A.; Kirkpatrick, C. J.; Pego, A. P. Endothelialization of chitosan porous conduits via immobilization of a recombinant fibronectin fragment (rhFNIII(7-10)). Acta Biomaterialia. 2013, 9(3), 5643–5652. [Google Scholar] [CrossRef]
- Sivaraj, K. K.; Adams, R. H. Blood vessel formation and function in bone. Development. 2016, 143(15), 2706–2715. [Google Scholar] [CrossRef]
- Gorustovich, A. A.; Roether, J. A.; Boccaccini, A. R. Effect of bioactive glasses on angiogenesis: A Review of in vitro and in vivo evidences. Tissue Eng. Part B Rev. 2010, 16(2), 199–207. [Google Scholar] [CrossRef]
- Thomas, A. M.; Gomez, A. J.; Palma, J. L.; Yap, W. T.; Shea, L. D. Heparin-chitosan nanoparticle functionalization of porous poly(ethylene glycol) hydrogels for localized lentivirus delivery of angiogenic factors. Biomaterials. 2014, 35(30), 8687–8693. [Google Scholar] [CrossRef]
- Stegen, S.; van Gastel, N.; Carmeliet, G. Bringing new life to damaged bone: The importance of angiogenesis in bone repair and regeneration. Bone. 2015, 70, 19–27. [Google Scholar] [CrossRef]
- Kuttappan, S.; Mathew, D.; Jo, J.-I.; Tanaka, R.; Menon, D.; Ishimoto, T.; Nakano, T.; Nair, S. V.; Nair, M. B.; Tabata, Y. Dual release of growth factor from nanocomposite fibrous scaffold promotes vascularisation and bone regeneration in rat critical sized calvarial defect, Acta Biomater. 2018, 78, 36–47. [Google Scholar] [CrossRef]
- Nguyen, L. H.; Annabi, N.; Nikkhah, M.; Bae, H.; Binan, L.; Park, S.; Kang, Y.; Yang, Y.; Khademhosseini, A. Vascularized bone tissue engineering: approaches for potential improvement, Tissue Eng. Part B Rev. 2012, 18(5), 363–382. [Google Scholar] [CrossRef]
- Sheridan, M. H.; Shea, L. D.; Peters, M. C.; Mooney, D. J. Bioabsorbable polymer scaffolds for tissue engineering capable of sustained growth factor delivery. J. Control Release 2000, 64(1-3), 91–102. [Google Scholar] [CrossRef]
- Vojtová, L.; Pavliňáková, V.; Muchová, J.; Kacvinská, K.; Brtníková, J.; Knoz, M.; Lipový, B.; Faldyna, M.; Göpfert, E.; Holoubek, J.; Pavlovský, Z.; Vícenová, M.; Blahnová, V. H.; Hearnden, V.; Filová, E. Healing and angiogenic properties of collagen/chitosan scaffolds enriched with hyperstable FGF2-STAB® protein: In vitro, ex novo and in vivo comprehensive evaluation. Biomedicines. 2021, 9(6), 590. [Google Scholar] [CrossRef] [PubMed]
- Croisier, F.; Jérôme, C. Chitosan-based biomaterials for tissue engineering. Eur. Polym. J. 2013, 49(4), 780–792. [Google Scholar] [CrossRef]
- Muchová, J.; Hearnden, V.; Michlovská, L.; Vištejnová, L.; Zavad’áková, A.; Šmerková, K.; Kočiová, S.; Adam, V.; Kopel, P.; Vojtová, L. Mutual influence of selenium nanoparticles and FGF2-STAB® on biocompatible properties of collagen/chitosan 3D scaffolds: In vitro and ex novo evaluation. J. Nanobiotechnol. 2021, 19(1), 103. [Google Scholar] [CrossRef]
- Habraken, W.; Habibovic, P.; Epple, M.; Bohner, M. Calcium phosphates in biomedical applications: Materials for the future? Materials Today. 2015, 19(2), 69–87. [Google Scholar] [CrossRef]
- Kokubo, T.; Kim, H. M.; Kawashita, M. Novel bioactive materials with different mechanical properties. Biomaterials. 2003, 24(13), 2161–2175. [Google Scholar] [CrossRef] [PubMed]
- Kamakura, S.; Nakajo, S.; Suzuki, O.; Sasano, Y. New scaffold for recombinant human bonemorphogenetic protein-2. J. Biomed. Mater. Res. Part A. 2004, 71(2), 299–307. [Google Scholar] [CrossRef] [PubMed]
- Fernández-Cervantes, I.; Morales, M.; Agustín-Serrano, R.; Cardenas-García, M.; Pérez-Luna, P.; Arroyo-Reyes, B.; Maldonado-García, A. Polylactic acid/sodium alginate/hydroxyapatite composite scaffolds with trabecular tissue morphology designed by a bone remodeling model using 3D printing. J. Mater. Sci. 2019, 54(13), 1–19. [Google Scholar] [CrossRef]
- Hu, Y.; Ma, S.; Yang, Z.; Zhou, W.; Du, Z.; Huang, J.; Yi, H.; Wang, C. Facile fabrication of poly (L-lactic acid) microsphere-incorporated calcium alginate/hydroxyapatite porous scaffolds based on Pickering emulsion templates. Colloids Surf. B. 2016, 140, 382–391. [Google Scholar] [CrossRef] [PubMed]
- Hokmabad, V. R.; Davaran, S.; Aghazadeh, M.; Rahbarghazi, R.; Salehi, R.; Ramazani, A. Fabrication and characterization of novel ethyl cellulose-grafted-poly (ɛ-caprolactone)/alginate nanofibrous/macroporous scaffolds incorporated with nano-hydroxyapatite for bone tissue engineering. J. Biomater. Appl. 2019, 33(8), 1128–1144. [Google Scholar] [CrossRef] [PubMed]
- Bolshakov, I. N.; Levenetz, A. A.; Furtsev, T. V.; Kotikov, A. R.; Patlataya, N. N.; Ryaboshapko, E. I.; Dmitrienko, A. E.; Nikolaenko, M. M.; Matveeva, N. D.; Ibragimov, I. G. Experimental Reconstruction of Critical Size Defect of Bone Tissue in the Maxillofacial Region When Using Modified Chitosan. Biomed. Transl. Sci. 2022, 2(1), 1–8. [Google Scholar] [CrossRef]
- Lu, Q.; Li, M.; Zou, Y.; Cao, T. Delivery of basic fibroblast growth factors from heparinized decellularized adipose tissue stimulates potent de novo adipogenesis. J. Control Release. 2014, 174, 43–50. [Google Scholar] [CrossRef]
- Shen, H.; Hu, X.; Yang, F.; Bei, J.; Wang, S. Cell affinity for bFGF immobilized heparin-containing poly(lactide-co-glycolide) scaffolds. Biomaterials. 2011, 32(13), 3404–3412. [Google Scholar] [CrossRef]
- Thompson, L. D.; Pantoliano, M. W.; Springer, B. A. Energetic characterization of the basic fibroblast growth factor-heparin interaction: identification of the heparin binding domain. Biochemistry. 1994, (13), 3831–3840. [Google Scholar] [CrossRef]
- Hu, X. X.; Shen, H.; Yang, F.; Bei, J. Z.; Wang, S. G. Preparation and cell affinity of microtubular orientation-structured PLGA(70/30) blood vessel scaffold. Biomaterials. 2008, 29(21), 3128–3136. [Google Scholar] [CrossRef] [PubMed]
- Yeo, Y. J.; Jeon, D. W.; Kim, C. S.; Choi, S. H.; Cho, K. S.; Lee, Y. K.; Kim, C.-K. Effects of chitosan nonwoven membrane on periodontal healing of surgically created one-wall intrabony defects in beagle dogs. J. Biomed. Mater. Res. B Appl. Biomater. 2005, 72(1), 86–93. [Google Scholar] [CrossRef]
- Darnell, M.; Sun, J.; Mehta, M.; Johnson, C.; Arany, P. R.; Suo, Z.; Mooneyl, D. J. Performance and biocompatibility of extremely tough alginate/polyacrylamide hydrogels. Biomaterials. 2013, 34(33), 8042–8048. [Google Scholar] [CrossRef]
- Bolshakov, I.N.; Svetlakov, A.V.; Sheina, Yu.I. Experimental partial and complete transsection of the spinal cord and its bioengineering reconstruction with chitosan-based substrates /Ed: K.G.Skryabin, S.N.Mikhailov, V.P.Varlamov. Chitosan, 2013, 593 p. Moscow. Center "Bioengineering" RAS (489-530).
- Tiǧli, R. S.; Gumüşderelioǧlu, M. Evaluation of alginate-chitosan semi IPNs as cartilage scaffolds. J. Mater. Sci. Mater. Med. 2009, 20(3), 699–709. [Google Scholar] [CrossRef]
- Matricardi, P.; Di Meo, C.; Coviello, T.; Hennink, W. E.; Alhaique, F. Interpenetrating polymer networks polysaccharide hydrogels for drug delivery and tissue engineering. Adv. Drug Deliv. Rev. 2013, 65(9), 1172–1187. [Google Scholar] [CrossRef]
- Venkatesan, J.; Bhatnagar, I.; Manivasagan, P.; Kang, K.-H.; Kim, S.-K. Alginate composites for bone tissue engineering: A review. Int. J. Biol. Macromol. 2015, 72, 269–281. [Google Scholar] [CrossRef]
- Chung, T.-W.; Liu, D.-Z.; Wang, S.-Y.; Wang, S.-S. Enhancement of the growth of human endothelial cells by surface roughness at nanometer scale. Biomaterials. 2003, 24(25), 4655–4661. [Google Scholar] [CrossRef] [PubMed]
- Shchipunov, Y. A.; Postnova, I. Formation of calcium alginate-based macroporous materials comprising chitosan and hydroxyapatite. Colloid J. 2011, 73(4), 565–574. [Google Scholar] [CrossRef]
- Sharma, C.; Dinda, A. K.; Potdar, P. D.; Chou, C.-F.; Mishra, N. C. Fabrication and characterization of novel nano-biocomposite scaffold of chitosan–gelatin–alginate–hydroxyapatite for bone tissue engineering. Mater. Sci. Eng. C Mater. Biol. Appl. 2016, 64, 416–427. [Google Scholar] [CrossRef]
- Jin, H.-H.; Lee, C.-H.; Lee, W.-K.; Lee, J.-K.; Park, H.-C.; Yoon, S.-Y. In-situ formation of the hydroxyapatite/chitosan-alginate composite scaffolds. Mater. Lett. 2008, 62(10), 1630–1633. [Google Scholar] [CrossRef]
- Liu, D.; Liu, Z.; Zou, J.; Li, L.; Sui, X.; Wang, B.; Yang, N.; Wang, B. Synthesis and characterization of a hydroxyapatite-sodium alginate-chitosan scaffold for bone regeneration. Front. Mater. 2021, 8, 69. [Google Scholar] [CrossRef]
- Park, J. S.; Choi, S. H.; Moon, I. S.; Cho, K. S.; Chai, J. K.; Kim, C. K. Eight-week histological analysis on the effect of chitosan on surgically created one-wall intrabony defects in beagle dogs. J. Clin. Periodontol. 2003, 30(5), 443–453. [Google Scholar] [CrossRef] [PubMed]






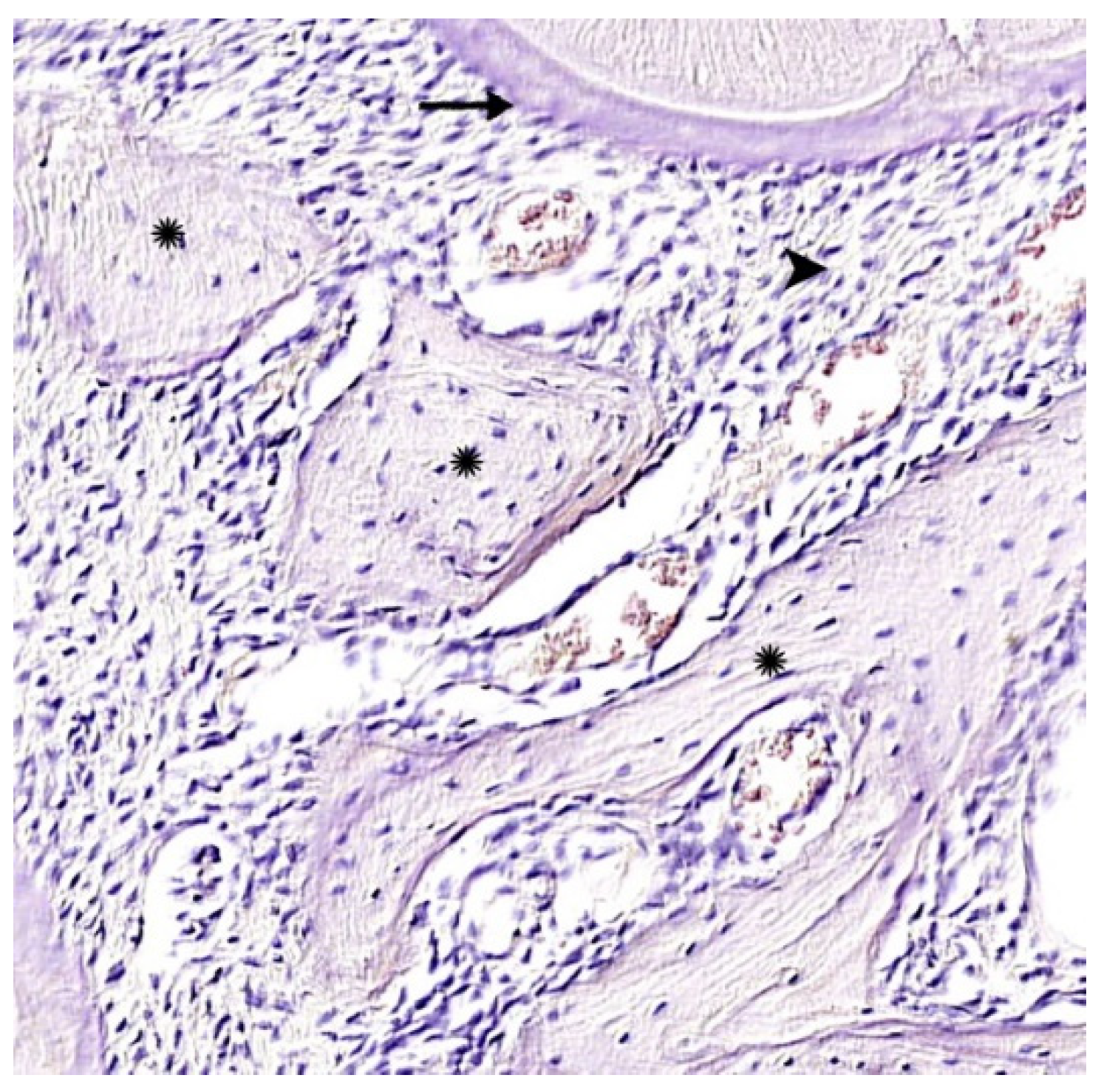
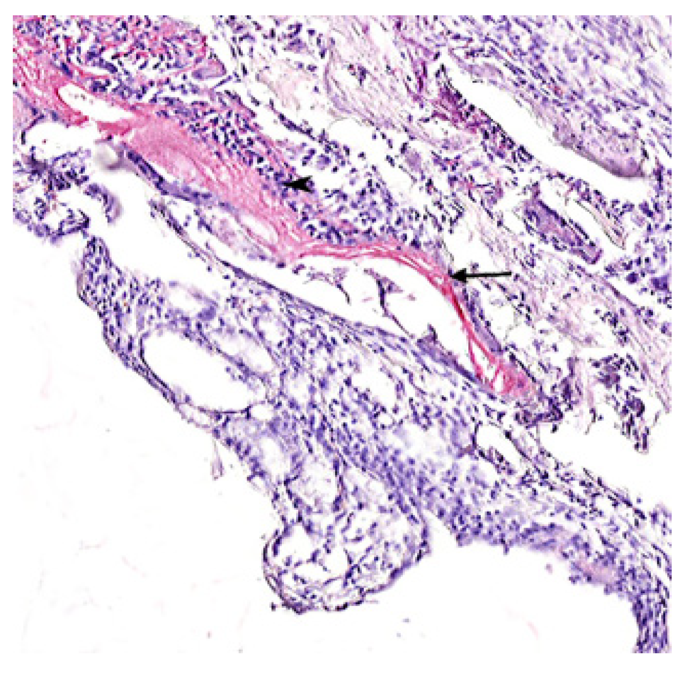
) are recorded. Hematoxylin-eosin staining. Magnification x250.
) are recorded. Hematoxylin-eosin staining. Magnification x250.

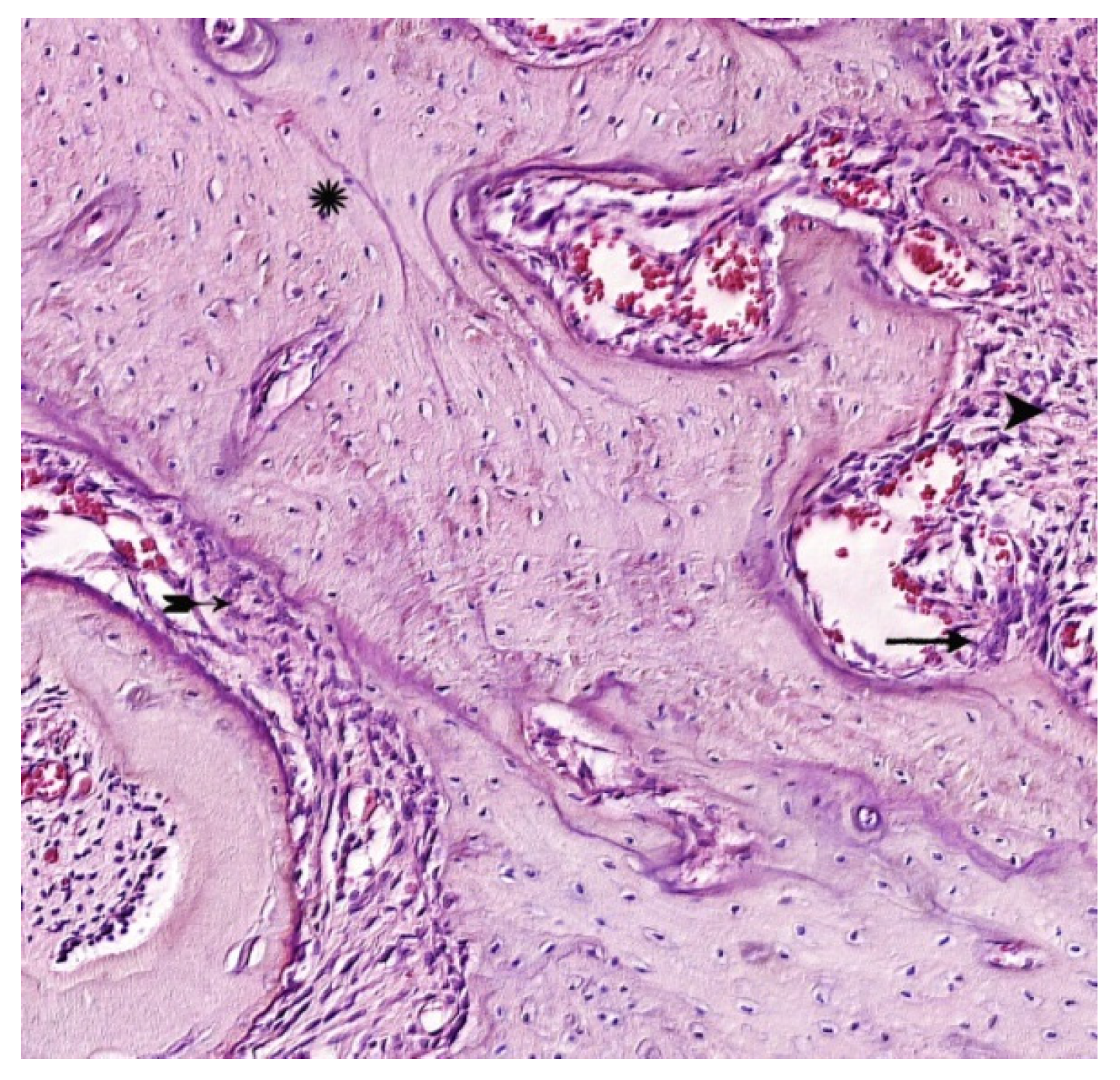
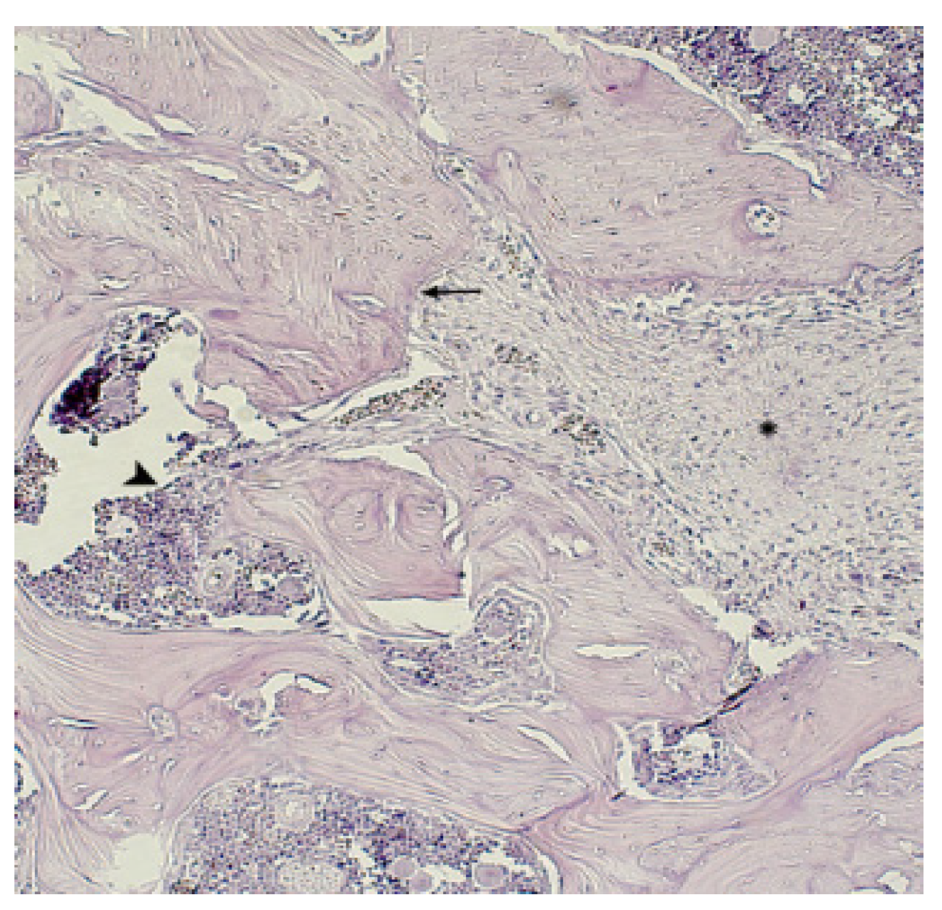
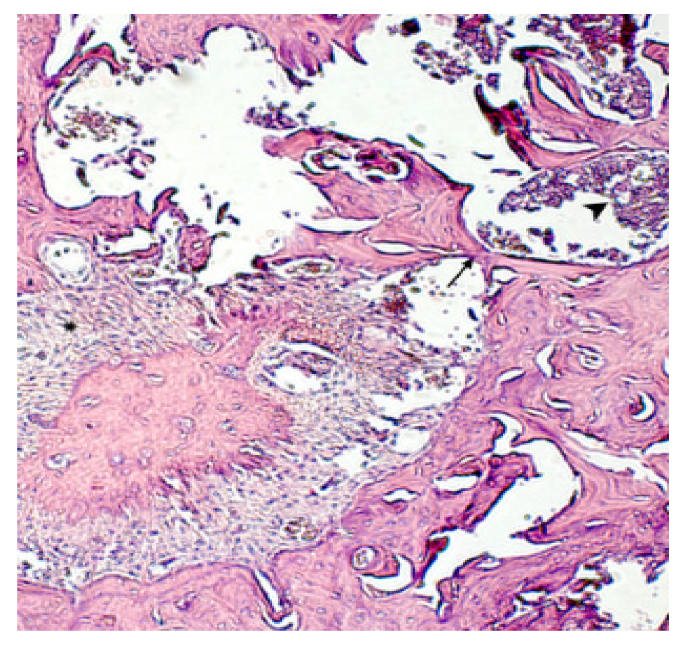
). Hematoxylin-eosin staining. Magnification x400.
). Hematoxylin-eosin staining. Magnification x400.
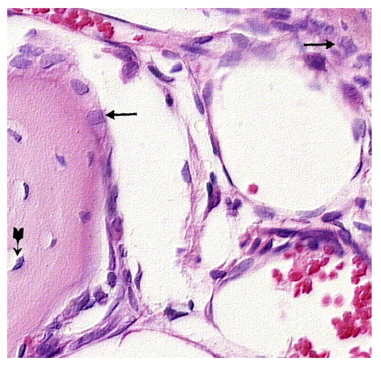
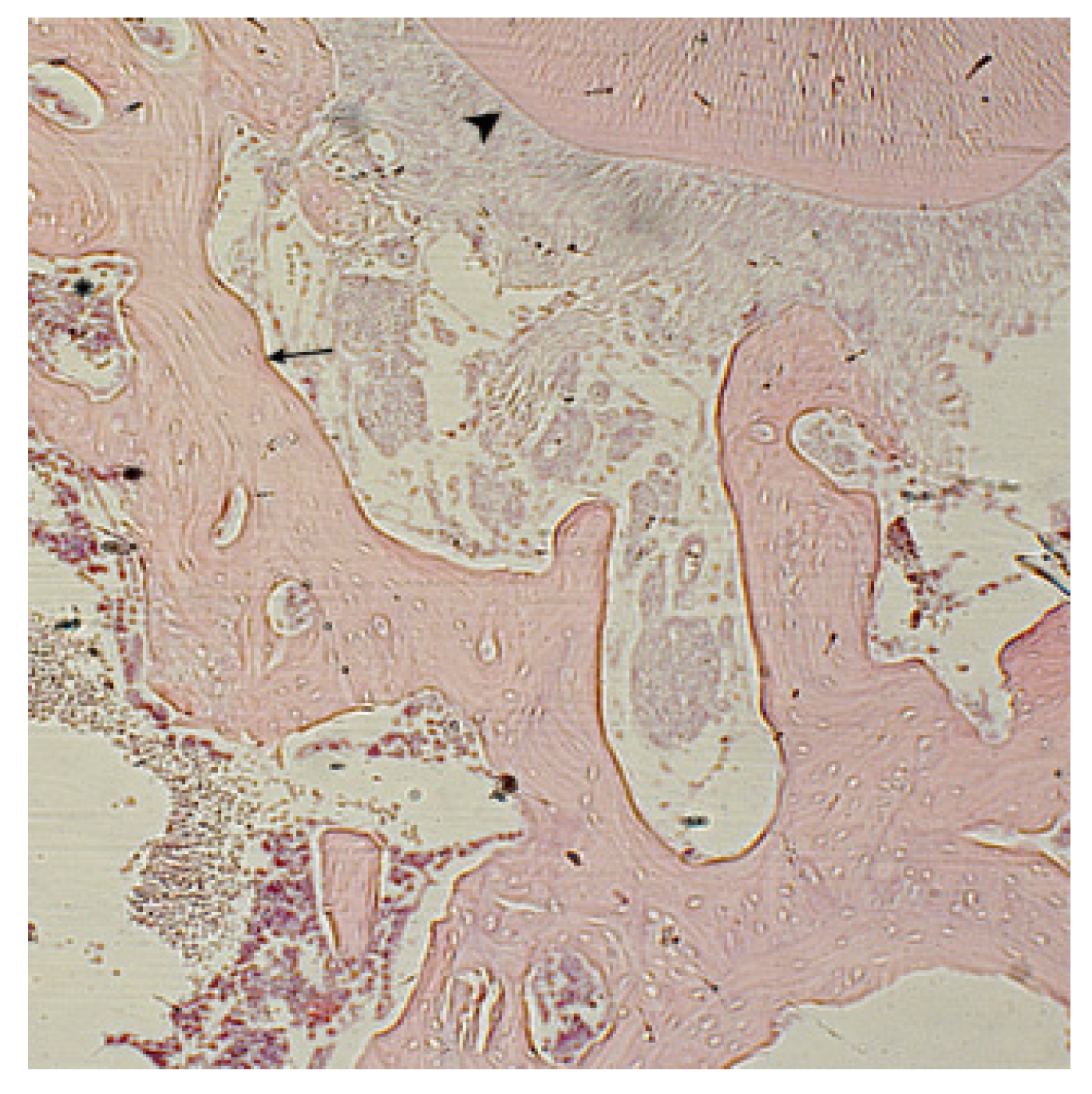
) are detected, in the bone tissue “isolated” osteocytes (^). Hematoxylin-eosin staining. Magnification x480.
) are detected, in the bone tissue “isolated” osteocytes (^). Hematoxylin-eosin staining. Magnification x480.








| Histomorpho metric criterion | 4 weeks Mandibular defect area | Peripheral zone of bone Control 4 Healthy (CH-SA-HA) |
Peripheral zone of bone (diabetes mellitus) collagen + CH-SA-HA |
||||
|---|---|---|---|---|---|---|---|
| Control 1 Healthy (under the blood clot) |
Control 2 (diabetes mellitus) (under the blood clot) |
Control 3 (diabetes mellitus) (collagen) |
Control 4 Healthy (CH-SA-HA) |
Experience (diabetes mellitus) (CH-SA-HA) |
|||
| 1 | 2 | 3 | 4 | 5 | 6 | 7 | 8 |
| BV1 (%) | 60,9[58,0;62,0]** | 50,4[49,5;51,3] + | 56,4[55,3;57,7]*** | 62,9[60,7;66,8] | 60,3[58,5;62,1] † | 66,5[64,3;68,1]•• | 61.2[58,0;64,3]++ |
| BTT1 (mm) | 0,14[0,13;0,15]* | 0,12[0,10;0,13] + | 0,13[0,12;0,15]*** | 0,16[0,15;0,17] | 0,14[0,12;0,16] † | 0,16[0,15;0,17] •• | 0,14[0,13;0,16]++ |
| ITS1(mm) | 0,22[0,21;0,22]** | 0,20[0,19;0,21] | 0,21[0,20;0,22]*** | 0,21[0,21;0,22] | 0.20[0,19;0,21] † | 0,21[0,20;0,22] | 0,18[0,17;0,20]++ |
| OBS1 (%) | 36,0[34,7;37,0]** | 29,1[28,5;29,8] + | 32,9[31,1;34,8]*** | 38,9[37,1;40,1] | 35,5[33,4;37,5] † | 7,2[6,3;7,8] •• | 4,5[3,9;5,3]++ |
| OS1(%) | 40,0[39,1;40,7]** | 27,1[26,0;28,2] + | 30,2[28,9;31,8] *** | 43,3[42,8;44,3] | 33,5[32,0;35,3] † | 10,3[9,6;11,0] •• | 6,9[5,9;8,0]++ |
| ES1(%) | 10,7[10,5;11,1]** | 15,4[14,2;16,6] + | 11,2[10,0;12,1]*** | 9,9[9,7;10,0] | 10,0[8,9;11,0] † | 1,3[1,2;1,4] •• | 1,3[1,1;1,4]++ |
| FS1(%) | 53,1[52,5;54,7]** | 62,0[60,3;63,7] + | 56,1[54,0;57,8]*** | 51,5[50,1;53,2] | 54,6[52,7;56,9] † | 91,4[90,9;92,6] •• | 94,1[93,4;94,8]++ |
Disclaimer/Publisher’s Note: The statements, opinions and data contained in all publications are solely those of the individual author(s) and contributor(s) and not of MDPI and/or the editor(s). MDPI and/or the editor(s) disclaim responsibility for any injury to people or property resulting from any ideas, methods, instructions or products referred to in the content. |
© 2023 by the authors. Licensee MDPI, Basel, Switzerland. This article is an open access article distributed under the terms and conditions of the Creative Commons Attribution (CC BY) license (https://creativecommons.org/licenses/by/4.0/).
