Submitted:
05 August 2023
Posted:
07 August 2023
You are already at the latest version
Abstract

Keywords:
1. Introduction
2. Methods
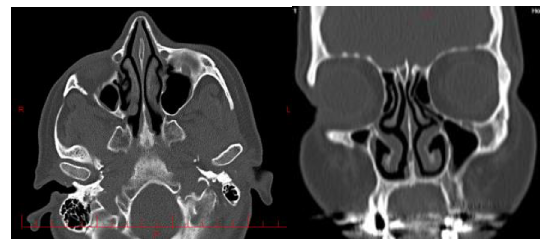
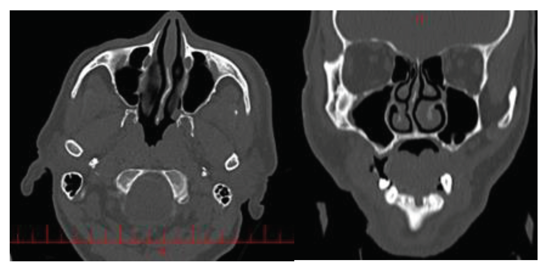
2.1. Geometry reconstruction:
2.2. Mesh generation
2.3. Governing equations
2.3.1. Model of Air Flow in Nasal Cavity
- The continuity equation (conservation of mass)
- The momentum equation (Newton’s second law)
- Reynolds transport theorem
2.3.2. Reynolds transport theorem
2.3.3. The Momentum Equation
2.3.4. Numerical solution
2.3.5. The SIMPLE Method
2.3.6. Under-relaxation
2.3.7. Numerical schemes
- Conservativeness: The amount of a property entering a cell face from one side is the same as the amount leaving the same face on the other side.
- Boundedness: Property value at a point is within the range spanned by its boundaries
2.4. Boundary Conditions
2.5 Solution Methods
3. Results
3.1. Velocity and Streamline Contours
3.2. Pressure Profiles:
3.3. Wall Shear Stress (WSS)
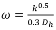
3.4. Resistance
4. Discussion
- In this study, two nasal cavities of Iranians are considered. This study can be further improvised by including different facial races and more samples.
- Examining seasonal effects and changes due to inflammation or medicated states could be considered in future studies.
- Future studies could be designed by modeling the impacts of surgery or endoscopic treatments on airflow and pressures.
- Investigating interactions between septal deviations and other nasal abnormalities is an interesting topic for further studies.
- The nasal septum plays an important role in nasal physiology, respiratory health, and potentially migraine headaches. Deviations and abnormalities in the nasal septum have been linked to an increased risk of migraine. Researchers hypothesize that nasal septal impairments may contribute to migraines by disrupting factors like nasal airflow, olfaction and inflammatory response that are implicated in migraine pathophysiology [62]. However, further high-quality studies are needed to clarify the mechanisms and establish a definitive causal connection between nasal septal abnormalities and migraines.
- The nasal septum is continuous with the walls of the eustachian tubes, which connect the middle ear cavity to the nasopharynx. Septal abnormalities have been associated with ear infections and eustachian tube dysfunction [63]. Designing studies to investigate this topic using CFD helps ENT surgeons to have comprehensive opinion about ear infections and treat them better.
5. Conclusion
References
- Hansen F, Wood DE (2013) The adrenal fatigue solution. https://adrenalfa tiguesolution.com/. Accessed 9 Apr 2021.
- Marks TN, Maddux SD, Butaric LN, Franciscus RG (2019) Climatic adaptation in human inferior nasal turbinate morphology: evidence from Arctic and equatorial populations. Am J Phys Anthropol 169(3):498–512 https://doi.org/10.1002/ajpa.23840. [CrossRef]
- Pirila T, Tikanto J. Middle turbinate lateralization for treatment of nasal septal deviation. Laryngoscope. 2017;127(5):1208-12. doi:10.1002/lary.26360. [CrossRef]
- Fettman, N., Sanford, T., and Sindwani, R. (2009). Surgical management of the deviated septum: techniques in septoplasty. Otolaryngol. Clin. North Am. 42, 241–252. https://doi.org/10.1016/j.otc.2009.01.005. [CrossRef]
- Deviated Septum (2021). American academy of otolaryngology-head and neck surgery. https://www.entnet.org/content/deviated-septum-overview.
- Rahimi-Gorji, M., Pourmehran, O., Gorgi- Bandpy, M. (2015). Journal of Molecular Liquids. 209, 121-123.
- Kim SK, Na Y, Kim JI, Chung SK (2013) Patient specific CFD models of nasal airflow: overview of methods and challenges. J Biomech 46(2):299–306 https://doi.org/10.1016/j.jbiomech.2012.1.022. [CrossRef]
- Bruening J, Goubergrits L, Hildebrandt T (2016) Team 190: CFD simulation of airflow within a nasal cavity The UberCloud. https://community.theubercloud.com/wpcontent/uploads/2016/09/Team-190-JanBruening.pdf. Accessed 9 Apr 2021.
- Garcia GJM, Bailie N, Martins DA, Kimbell JS (2007) Atrophic rhinitis: a CFD study of air conditioning in the nasal cavity. J Appl Physiol 103(3):1082– 1092 https://doi.org/10.1152/japplphysiol.0111.2006. [CrossRef]
- Faramarzi M, Baradaranfar MH, Abouali O, Atighechi S, Ahmadi G, Farhadi P et al. (2014) Numerical investigation of the flow field in realistic nasal septal perforation geometry. Allergy Rhinol (Providence) 5(2):70–77 https://doi. org/10.2500/ar.2014.5.0090. [CrossRef]
- Harkema, J. R., Carey, S. a, & Wagner, J. G. (2006). The nose revisited: a brief review of the comparative structure, function, and toxicologic pathology of the nasal epithelium. Toxicologic Pathology, 34(3), 252–269. http://doi.org/10.1080/01926230600713475. [CrossRef]
- Kim, S. K., & Chung, S. K. (2004). An investigation on airflow in disordered nasal cavity and its corrected models by tomographic PIV. Measurement Science and Technology, 15(6), 1090–1096. http://doi.org/10.1088/09570233/15/6/007. [CrossRef]
- Kim, S. K., Na, Y., Kim, J. I., & Chung, S. K. (2013). Patient specific CFD models of nasal airflow: Overview of methods and challenges. Journal of Biomechanics, 46(2), 299–306. http://doi.org/10.1016/j.jbiomech.2012.11.022. [CrossRef]
- Mylavarapu, G., Mihaescu, M., Fuchs, L., Papatziamos, G., & Gutmark, E. (2013). Planning human upper airway surgery using computational fluid dynamics. Journal of Biomechanics, 46(12), 1979–86. http://doi.org/10.1016/j.jbiomech.2013.06.016. [CrossRef]
- Mylavarapu, G., Murugappan, S., Mihaescu, M., Kalra, M., Khosla, S., & Gutmark, E. (2009a). Validation of computational fluid dynamics methodology used for human upper airway flow simulations. Journal of Biomechanics, 42(10), 1553–1559. http://doi.org/10.1016/j.jbiomech.2009.03035. [CrossRef]
- Mylavarapu, G., Murugappan, S., Mihaescu, M., Kalra, M., Khosla, S., & Gutmark, E. (2009b). Validation of computational fluid dynamics methodology used for human upper airway flow simulations. Journal of Biomechanics, 42(10), 1553–1559. http://doi.org/10.1016/j.jbiomech.2009.03.035. [CrossRef]
- Segal, R. A., Kepler, G. M., & Kimbell, J. S. (2008). Effects of differences in nasal anatomy on airflow distribution: A comparison of four individuals at rest. Annals of Biomedical Engineering, 36(11), 1870–1882. http://doi.org/10.1007/s10439-008-9556-2. [CrossRef]
- Weinhold, I., & Mlynski, G. (2004). Numerical simulation of airflow in the human nose. European Archives of Oto Rhino-Laryngology, 261(8), 452–455. http://doi.org/10.1007/s00405-003-0675-y. [CrossRef]
- Wang, S. M., Inthavong, K., Wen, J., Tu, J. Y., & Xue, C. L. (2009). Comparison of micron- and nanoparticle deposition patterns in a realistic human nasal cavity. Respiratory Physiology and Neurobiology, 166(3), 142–151. http://doi.org/10.1016/j.resp.2009.02.014. [CrossRef]
- Wang, Y., Wang, J., Liu, Y., Yu, S., Sun, X., Li, S., … Zhao, W. (2012). Fluid–structure interaction modeling of upper airways before and after nasal surgery for obstructive sleep apnea. International Journal for Numerical Methods in Biomedical Engineering, 28, 528–546. http://doi.org/10.1002/cnm. [CrossRef]
- Wang, Z., Hopke, P. K., Ahmadi, G., Cheng, Y. S., & Baron, P. a. (2008). Fibrous particle deposition in human nasal passage: The influence of particle length, flow rate, and geometry of nasal airway. Journal of Aerosol Science, 39(12), 1040–1054. http://doi.org/10.1016/j.jaerosci.2008.07.008. [CrossRef]
- Wen, J., Inthavong, K., Tian, Z., Tu, J., Xue, C., & Li, C. (2007). Airflow patterns in both sides of a realistic human nasal cavity for laminar and turbulent conditions. 16th Australasian Fluid Mechanics Conference (AFMC), (December), 68–74. Retrieved from http://espace.library.uq.edu.au/view/UQ:132285.
- Wen, J., Inthavong, K., Tu, J., & Wang, S. (2008). Numerical simulations for detailed airflow dynamics in a human nasal cavity. Respiratory Physiology & Neurobiology, 161(2), 125–135. http://doi.org/10.1016/j.resp.2008.01.012. [CrossRef]
- Xiong, G.-X., Zhan, J.-M., Zuo, K.-J., Rong, L.-W., Li, J.-F., & Xu, G. (2011). Use of computational fluid dynamics to study the influence of the uncinate process on nasal airflow. The Journal of Laryngology & Otology, 125(1), 30–37. http://doi.org/10.1017/S002221511000191X. [CrossRef]
- Xiong, G., Zhan, J.-M., Jiang, H.-Y., Li, J.-F., Rong, L.-W., & Xu, G. (2008). Computational fluid dynamics simulation of airflow in the normal nasal cavity and paranasal sinuses. American Journal of Rhinology, 22(5), 477–482. http://doi.org/10.2500/ajr.2008.22.3211. [CrossRef]
- Hilberg, O., Jackson, A. C., Swift, D. L., & Pedersen, O. F. (1989). Acoustic rhinometry: evaluation of nasal cavity geometry by acoustic reflection. Journal of Applied Physiology (Bethesda, Md.: 1985), 66(1), 295–303.
- Jones, A. S., & Lancer, J. M. (1987). Rhinomanometry. Clinical Otolaryngology & Allied Sciences, 12(3), 233–236. http://doi.org/10.1111/j.1365-2273.1987.tb00193.x. [CrossRef]
- Shelton, D. M., & Eiser, N. M. (1992). Evaluation of active anterior and posterior rhinomanometry in normal subjects. Clinical Otolaryngology & Allied Sciences, 17(2), 178–182. http://doi.org/10.1111/j.1365-2273.1992.tb01068.x. [CrossRef]
- Sipila, J., & Suonpaa, J. (1997). A prospective study using rhinomanometry and patient clinical satisfaction to determine if objective measurements of nasal airway resistance can improve the quality of septoplasty. European Archives of Oto-Rhino-Laryngology: Official Journal of the European Federation of Oto-Rhino-Laryngological Societies (EUFOS): Affiliated with the German Society for Oto-Rhino-Laryngology - Head and Neck Surgery, 254(8), 387–390.
- Suzina, A. H., Hamzah, M., & Samsudin, A. R. (2003). Active anterior rhinomanometry analysis in normal adult Malays. The Journal of Laryngology and Otology, 117(8), 605–608. http://doi.org/10.1258/002221503768199924. [CrossRef]
- Ishikawa, S., Nakayama, T., Watanabe, M., & Matsuzawa, T. (2009). Flow Mechanisms in the Human Olfactory Groove. Archives of Otolaryngology--Head & Neck Surgery, 135(2), 156–162. http://doi.org/10.1001/archoto.2008.530. [CrossRef]
- Doorly, D. J., Taylor, D. J., and Schroter, R. C. (2008). Mechanics of airflow in the human nasal airways. Respir. Physiology Neurobiol. 163, 100–110. https://doi.org/10.1016/j.esp.2008.07.027. [CrossRef]
- Vanhille, D. L., Garcia, G. J. M., Asan, O., Borojeni, A. A. T., Frank-Ito, D. O., Kimbell, J. S., et al. (2018). Virtual surgery for the nasal airway. JAMA Facial Plast. Surg. 20, 63–69. https://doi.org/10.1001/jamafacial.2017.1554. [CrossRef]
- Dmitry Tretiakow, Krzysztof Tesch, Jarosław Meyer-Szary, Karolina Markiet, Andrzej Skorek. (2020). Three-dimensional modeling and automatic analysis of the human nasal cavity and paranasal sinuses using the computational fluid dynamics method. European Archives of Oto-Rhino-Laryngology, https://doi.org/10.1007/s00405-020-06428-3. [CrossRef]
- Thomas S. Lee, Parul Goyal, Chengyu Li, Kai Zhao. (2018). Computational Fluid Dynamics to Evaluate the Effectiveness of Inferior Turbinate Reduction Techniques to Improve Nasal Airflow. JAMAFacial Plastic Surgery.
- Ya Zhang, Xudong Zhou, Miao Lou, Minjie Gong, Jingbin Zhang, Ruiping Ma, Luyao Zhang, Fen Huang, Bin Sun, Kang Zhu, Zhenbo Tong, Guoxi Zheng. (2019). Computational Fluid Dynamics (CFD) Investigation of Aerodynamic Characters inside Nasal Cavity towards Surgical Treatments for Secondary Atrophic Rhinitis. Mathematical Problems in Engineering. https://doi.org/10.1155/2019/6240320. [CrossRef]
- C. T. Crowe, D. F Elger, B. C. Williams, J. A. Roberson, 2010, Engineering Fluid Mechanics, John Wiley & Sons, Inc., 9th edition.
- N. R. B. Olsen, 2012 Numerical modelling and hydraulics, Department of Hydraulic and Environmental Engineering (NTNU), 5th edition.
- Zhang, Z. and C. Kleinstreuer (2003). Low Reynolds number turbulent flows in locally constricted conduits: a comparison study, AIAA J. (41), 831–840.
- H. K. Versteeg, W. Malalasekera, 2007, An Introduction to Computational Fluid Dynamics, Pearson Educational Limited, 2nd edition.
- AEA Technology CFX-4.4: Solver. Oxford shire, UK, Canonsburg, PA, 2001.
- Brüning, J., Hildebrandt, T., Heppt, W., Schmidt, N., Lamecker, H., Szengel, A., et al. (2020). Characterization of the airflow within an average geometry of the healthy human nasal cavity. Sci. Rep. 10, 3755. http://doi.org/10.1038/s41598-020-60755-3. [CrossRef]
- Zamankhan, P., Ahmadi, G., Wang, Z., Hopke, P. K., Cheng, Y.-S., Su,W. C., et al. (2006). Airflow and deposition o f nano particles in a human nasal cavity. Aerosol Sci. Technol. 40, 463–476. http://doi.org/10.1080/02786820600660903. [CrossRef]
- Frank-Ito, D. O., Kimbell, J. S., Borojeni, A. A. T., Garcia, G. J. M., and Rhee, J. S. (2019b). A hierarchical stepwise approach to evaluate nasal patency after virtual surgery for nasal airway obstruction. Clin. Biomech. 61, 172–180. http://doi.org/10.1016/j.clinbiomech.2018.12.014. [CrossRef]
- . Zhu, J. H., Lee, H. P., Lim, K. M., Lee, S. J., Teo Li San, L., & Wang, D. Y. (2013). nspirational airflow patterns in deviated noses: A numerical study. Computer Methods in Biomechanics and Biomedical Engineering, 16, 1298–1306. https://doi.org/10.1080/10255842.2012.670850. [CrossRef]
- Inthavong, K., Ma, J., Shang, Y., Dong, J., Chetty, A. S. R., Tu, J., et al. (2019). Geometry and airflow dynamics analysis in the nasal cavity during inhalation. Clin. Biomech. 66, 97–106. http://doi.org/10.1016/j.clinbiomech.2017.10.006. [CrossRef]
- Inthavong, K., Ma, J., Shang, Y., Dong, J., Chetty, A. S. R., Tu, J., et al. (2019). Geometry and airflow dynamics analysis in the nasal cavity during inhalation. Clin. Biomech. 66, 97–106. http://doi.org/10.1016/j.clinbiomech.2017.10.006. [CrossRef]
- Hariri A, Abdullah B, Othman N et al. Relationship between CFD and rhinomanometry results in septoplasty. J Nasal Disord 2021;1:1-5. http://doi.org/10.24983/scitemed.jnd.2021.00057. [CrossRef]
- Springett K, Wise SK, Lin SY. 3D Printing, Virtual Anatomy, Computational Fluid Dynamics: Advancing Surgical Precision Through Nasal Airway Modeling. Am J Rhinol Allergy. 2018;32(6):451-458. http://10.1177/1945892418803594. [CrossRef]
- Wen J, Inthavong K, Tu JY. Effects of nasal septal perforation repair surgery on nasal airflow patterns: A computational fluid dynamics study. Laryngoscope. 2011;121(1):60-9 https://doi.org/10.1002/lary.21170. [CrossRef]
- Kimbell JS, Subramaniam RP, Gross EA, Schlosser RJ, Morgan KT. Computer modeling of nasal airflow and odorant deposition in patients with nasal septal perforation. Am J Rhinol. 2006;20(2):152-9. https://10.2500/ajr.2006.20.2827.
- S Cocuzza, A Maniaci, M Di Luca, I La Mantia, C Grillo, G Spinato, G Motta, D Testa, S Ferlito. Long-term results of nasal surgery: comparison of mini-invasive turbinoplasty. J Biol Regul Homeost Agents. 2020;34(3):1203-1208 https://doi.org/10.23812/19-522-L-4. [CrossRef]
- Croce, C., Fodil, R., Durand, M., Sbirlea-Apiou, G., Caillibotte, G., Papon, J.-F., et al. (2006). In vitro experiments and numerical simulations of airflow in realistic nasal airway geometry. Ann. Biomed. Eng. 34, 997–1007. https://doi.org/10.1007/s10439-006-9094-8. [CrossRef]
- John Valerian Corda, B. Satish Shenoy1, Leslie Lewis, Prakashini K., S. M. Abdul Khader, Kamarul Arifin Ahmad and Mohammad Zuber. (2022). Nasal airflow patterns in a patient with septal deviation and comparison with a healthy nasal cavity using computational fluid dynamics. http://doi.org/0.3389/fmech.2022.1009640. [CrossRef]
- Ottaviano, G., and Fokkens, W. J. (2016). Measurements of nasal airflow and patency: a critical review with emphasis on the use of peak nasal inspiratory flow in daily practice. Allergy 71, 162–174. Ottaviano, G., and Fokkens, W. J. (2016). Measurements of nasal airflow and patency: a critical review with emphasis on the use of peak nasal inspiratory flow in daily practice. Allergy 71, 162–174.
- Cevenini G, Ferretti A, Anzellotti F et al. Computational fluid–dynamic modeling of normal and deviated nasal cavity: effects on airflow patterns and location. Comput Biol Med. 2014;46:32-42. https://doi.org/10.1016/j.compbiomed.2014.01.002. [CrossRef]
- Scheithauer, M. O. (2011). Surgery of the turbinates and empty nose syndrome. GMS Current Topics in Otorhinolaryngology, Head and Neck Surgery, 9, 1–28. https://doi.org/10.3205/. Menter, F. R. (1994). Two-equation eddy-viscosity turbulence models for engineering applications. AIAA J. 32, 1598 1605. http://doi.org/10.2514/3.12149. [CrossRef]
- Lee J, Na GY, Kim M, Chung S. Morphological characteristics influencing the nasal airflow in the Korean young adult. Acta Otolaryngol. 2018;138(8):732-738. http://10.1080/00016489.2018.1453130. [CrossRef]
- Antonino Maniaci, Federico Merlino, Salvatore Cocuzza, Giannicola Iannella, Claudio Vicini, Giovanni Cammaroto, Jérome R. Lechien, Christian Calvo-Henriquez, Ignazio La Mantia. Endoscopic surgical treatment for rhinogenic contact point headache: systematic review and meta-analysis. European Archives of Oto-Rhino-Laryngology. https://doi.org/10.1007/s00405-021-06724-6. [CrossRef]
- Zubair, M., Riazuddin, V. N., Abdullah, M. Z., Rushdan, I., Shuaib, I. L., and Ahmad, K. A. (2013b). Computational fluid dynamics study of pull and plug flow boundary condition on nasal airflow. Biomed. Eng. Appl. Basis Commun. 25, 1350044. http://doi.org/10.4015/S1016237213500440. [CrossRef]
- Weinhold, I., and Mlynski, G. (2004). Numerical simulation of airflow in the human nose. Eur. Arch. Otorhinolaryngol. 261, 452–455. http://doi.org/10.1007/s00405-003-0675-y. [CrossRef]
- Croce A, Bernardi A, Bertinaria L et al. Comparison of nasal airflow in healthy subjects and patients with nasal septum deviation. Int Forum Allergy Rhinol. 2011;1(4):317-324. Antonino Maniaci Federico Merlino1, Salvatore Cocuzza, Giannicola Iannella, Claudio Vicini, Giovanni Cammaroto, Jérome R. Lechien, Christian Calvo-Henriquez, Ignazio La Mantia1. Endoscopic surgical treatment for rhinogenic contact point headache: systematic review and meta-analysis. European Archives of Oto-Rhino-Laryngology https://doi.org/10.1007/s00405-021-06724-6. [CrossRef]
- Mesut Kaya, Elif Dağlı, and Savaş Kırat. Does Nasal Septal Deviation Affect the Eustachian Tube Function and Middle Ear Ventilation? Turk Arch Otorhinolaryngol. 2018 Jun; 56(2): 102–105. doi: 10.5152/tao.2018.2671. [CrossRef]











Disclaimer/Publisher’s Note: The statements, opinions and data contained in all publications are solely those of the individual author(s) and contributor(s) and not of MDPI and/or the editor(s). MDPI and/or the editor(s) disclaim responsibility for any injury to people or property resulting from any ideas, methods, instructions or products referred to in the content. |
© 2023 by the authors. Licensee MDPI, Basel, Switzerland. This article is an open access article distributed under the terms and conditions of the Creative Commons Attribution (CC BY) license (http://creativecommons.org/licenses/by/4.0/).