Submitted:
02 August 2023
Posted:
04 August 2023
You are already at the latest version
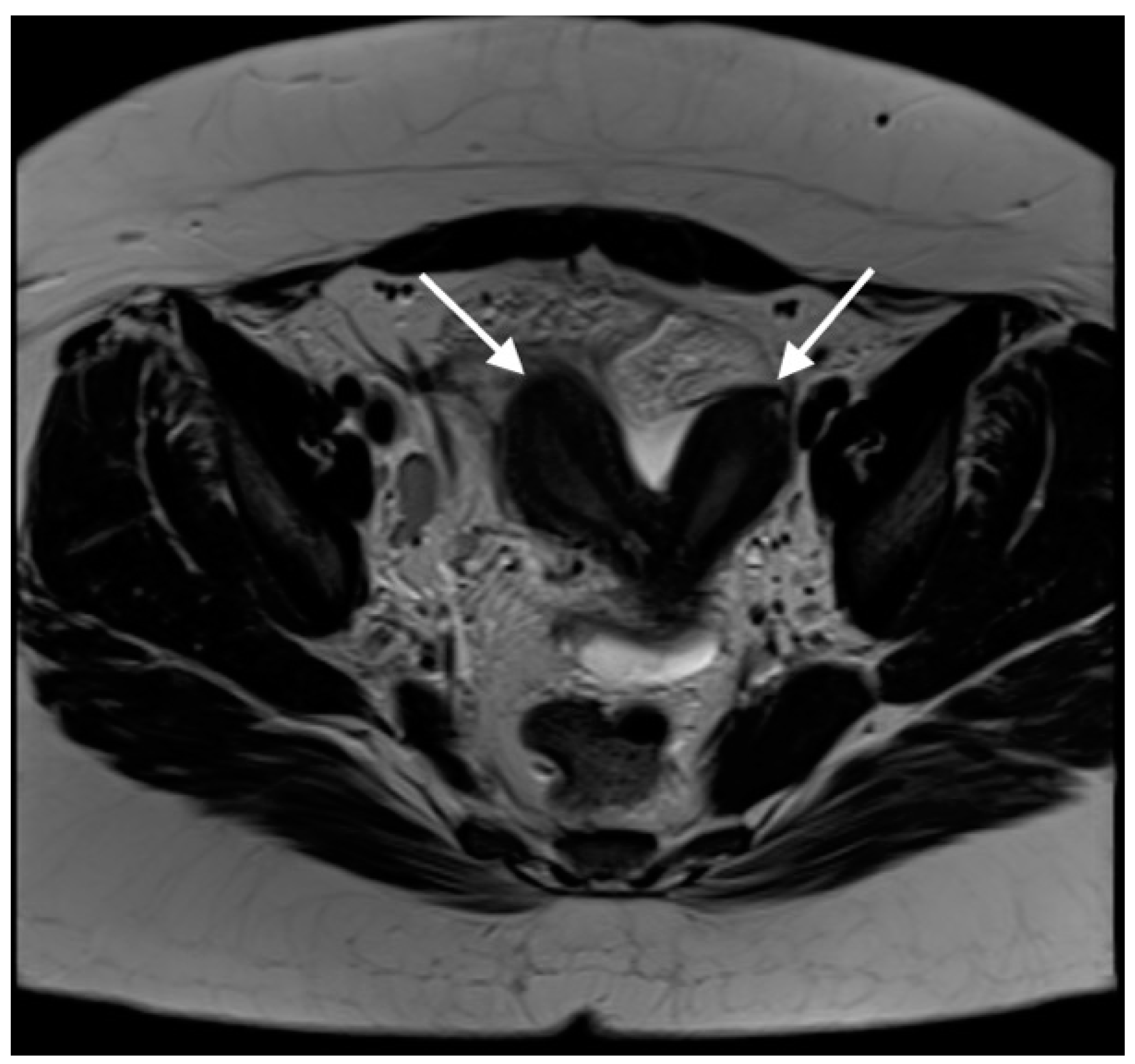
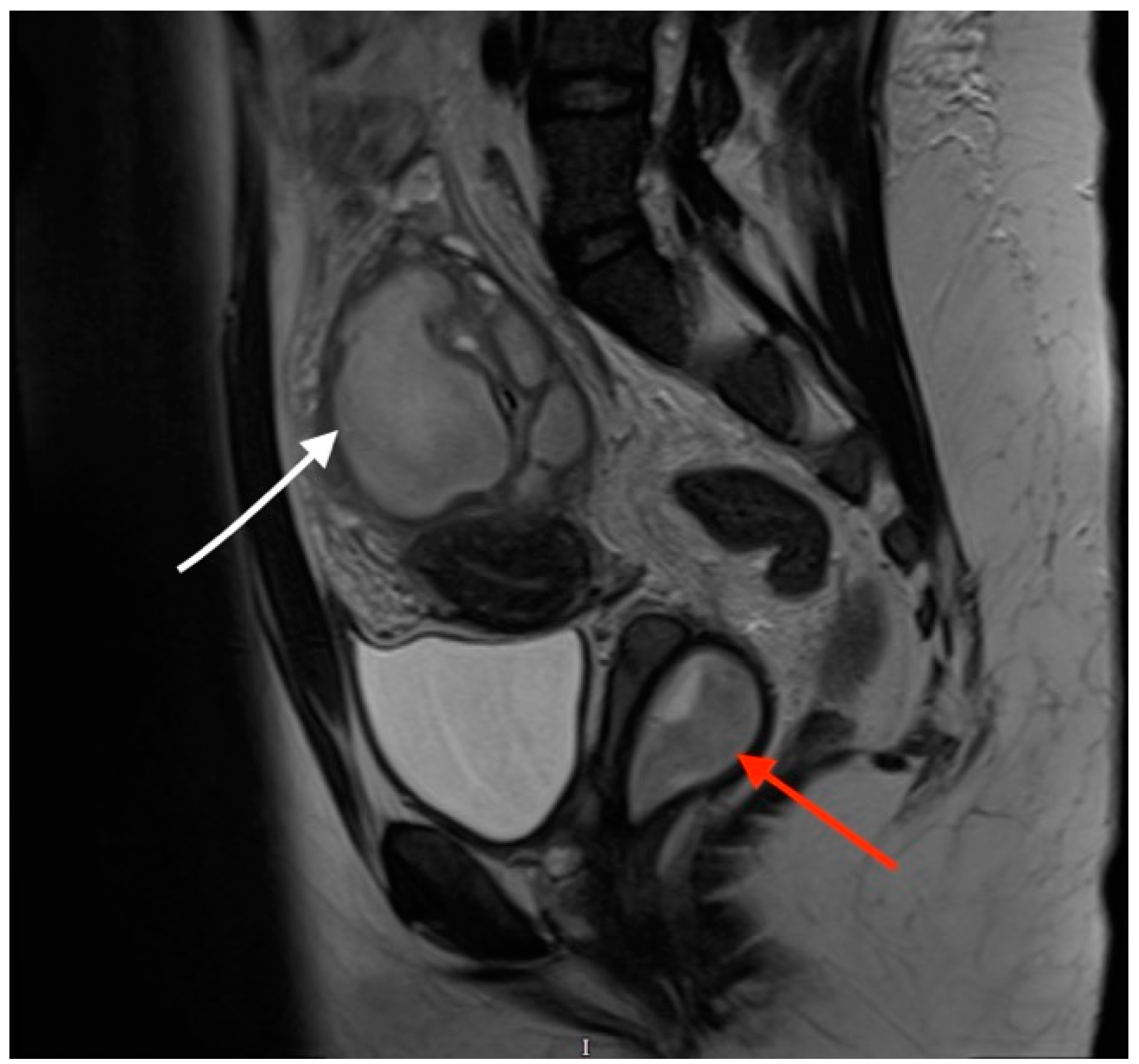
Abstract
Keywords:



Author Contributions
Funding
Informed Consent Statement
Data Availability Statement
Acknowledgments
Conflicts of Interest
Abbreviations
| PID | Pelvic inflammatory disease |
| TOA | Tuboovarian abscess |
| CT | Computed tomography |
| MRI | Magnetic resonance imaging |
| CRP | C-reactive protein |
| WCC | White cell count |
| T | Temperature |
| RR | Respiratory rate |
| HR | Heart rate mg/L: milligrams per litre mmol/L: millimole per litre |
| SO2 | saturation of oxygen |
References
- Yang, M.; Wen, S.; Liu, X.; He, D.; Wei, G.; Wu, S.; Huang, Y.; Ni, Y.; Shi, Y.; Hua, Y. Obstructed hemivagina and ipsilateral renal anomaly (OHVIRA): Early diagnosis, treatment and outcomes. Eur. J. Obstet. Gynecol. Reprod. Biol. 2021, 261, 12–16. [Google Scholar] [CrossRef]
- Dural, O.; Tas, I.S.; Ugurlucan, F.G.; Yasa, C.; Evruke, I.; Bakir, B.; et al. Unique Diagnosis of Obstructed Hemivagina and Ipsilateral Renal Anomaly (OHVIRA) at the Time of FirstTrimester Ultrasound Imaging. Journal of pediatric and adolescent gynecology 2020, 33, 748–51. [Google Scholar] [CrossRef] [PubMed]
- Robbins, J.B.; Broadwell, C.; Chow, L.C.; Parry, J.P.; Sadowski, E.A. Müllerian duct anomalies: embryological development, classification, and MRI assessment. J. Magn. Reson. Imaging. 2015, 1–12. [Google Scholar] [CrossRef] [PubMed]
- Yang, M.; Wen, S.; Liu, X.; He, D.; Wei, G.; Wu, S.; Huang, Y.; Ni, Y.; Shi, Y.; Hua, Y. Obstructed hemivagina and ipsilateral renal anomaly (OHVIRA): Early diagnosis, treatment and outcomes. Eur. J. Obstet. Gynecol. Reprod. Biol. 2021, 261, 12–16. [Google Scholar] [CrossRef]
- González Ruiz, Y.; Delgado Alvira, R.; Siles Hinojosa, A.; Izquierdo Hernández, B.; Rihuete Heras, M.Á. Diagnosis of OHVIRA syndrome in prepuberty: Is it possible? An Pediatría (English Ed [Internet]. 2019, 90, 244–245. [Google Scholar] [CrossRef]
- Fedele, L.; Motta, F.; Frontino, G.; Restelli, E.; Bianchi, S. Double uterus with obstructed hemivagina and ipsilateral renal agenesis: pelvic anatomic variants in 87 cases. Hum. Reprod. 2013, 28, 1580–1583. [Google Scholar] [CrossRef] [PubMed]
- Haddad, B.; Barranger, E.; Paniel, B.J. Blind hemivagina: long-term follow-up and reproductive performance in 42 cases. Hum. Reprod. 1999, 1962–1964. [Google Scholar] [CrossRef]
- Acien, P.; Susarte, F.; Romero, J.; et al. Complex genital malformation: ectopic ureter ending in a supposed mesonephric duct in a woman with renal agenesis and ipsilateral blind hemivagina. Eur. J. Obstet. Gynecol. Reprod. Biol. 2004, 117, 105–108. [Google Scholar] [CrossRef] [PubMed]
- Nakahara, Y.; Nakada, S.; Hitomi, K.; Hanaki, S.; Doi, K.; Goto, T.; et al. Urological anomalies associated with obstructed hemivagina and ipsilateral renal anomaly (OHVIRA) syndrome, a case series. J Pediatr Surg Case Reports [Internet]. 2020, 52, 101358. [Google Scholar] [CrossRef]
- Santos, X.M.; Dietrich, J.E. Obstructed hemivagina with ipsilateral renal anomaly. J. Pediatr. Adolesc. Gynecol. 2016, 29, 7–10. [Google Scholar] [CrossRef] [PubMed]
- Jha, S.; Abdi, S. Diverse Presentations of OHVIRA Syndrome: A Case Series. Clin Pediatr (Phila). 2021, 6–8. [Google Scholar] [CrossRef]
- Fedele, L.; Bianchi, S.; Di Nola, G.; Franchi, D.; Candiani, G.B. Endometriosis and nonobstructive Mullerian anomalies. Obstet. Gynecol. 1992, 79, 515–517. [Google Scholar] [PubMed]
- Tong, J.; Zhu, L.; Chen, N.; Lang, J. Endometriosis in association with Herlyn-WernerWunderlich syndrome. Fertil. Steril. 2014, 790–794. [Google Scholar] [CrossRef] [PubMed]
- Sanfilippo, J.S.; Wakim, N.G.; Schikler, K.N.; Yussman, M.A. Endometriosis in association with uterine anomaly. Am. J. Obstet. Gynecol. 1986, 39–43. [Google Scholar] [CrossRef]
- Audebert, A. Caractéristiques de l'endométriose de l'adolescente: à propos d'une série de 40 cas [Characteristics of adolescent endometriosis: apropos of a series of 40 cases]. Gynecol Obstet Fertil. 2000, 450–454, French. [Google Scholar]
- Kudela, G.; Wiernik, A.; Drosdzol-Cop, A.; Machnikowska-Sokołowska, M.; Gawlik, A.; HylaKlekot, L.; Gruszczyńska, K.; Koszutski, T. Multiple variants of obstructed hemivagina and ipsilateral renal anomaly (OHVIRA) syndrome - one clinical center case series and the systematic review of 734 cases. J. Pediatr. Urol. 2021, 653.e1–653.e9. [Google Scholar] [CrossRef]
- Yang, M.; Wen, S.; Liu, X.; He, D.; Wei, G.; Wu, S.; et al. Obstructed hemivagina and ipsilateral renal anomaly (OHVIRA): Early diagnosis, treatment and outcomes. Eur J Obstet Gynecol Reprod Biol [Internet]. 2021, 261, 12–16. Available from: https://pubmed.ncbi.nlm.nih.gov/33873082/. [CrossRef]
- Friedman, M.A.; Aguilar, L.; Heyward, Q.; Wheeler, C.; Caldamone, A. Screening for Mullerian anomalies in patients with unilateral renal agenesis: Leveraging early detection to prevent complications. J. Pediatr. Urol. 2018, 144–149. [Google Scholar] [CrossRef] [PubMed]
- Zarfati, A.; Lucchetti, M.C. OHVIRA (obstructed hemivagina and ipsilateral renal anomaly or Herlyn-Werner-Wunderlich syndrome): Is it time for age-specific management? J. Pediatr. Surg. 2022, S0022-3468(22)00274-3. [Google Scholar] [CrossRef]
- Heinonen, P.K. Pregnancies in women with uterine malformation, treated obstruction of hemivagina and ipsilateral renal agenesis. Arch. Gynecol. Obstet. 2013, 975–978. [Google Scholar] [CrossRef]
- Candiani, G.B.; Fedele, L.; Candiani, M. Double uterus, blind hemivagina, and ipsilateral renal agenesis: 36 cases and long-term follow-up. Obstet Gynecol. 1997, 26–32. [Google Scholar] [CrossRef] [PubMed]
- Skinner, B.; Quint, E.H. Obstructive Reproductive Tract Anomalies: A Review of Surgical Management. J. Minim. Invasive Gynecol. 2017, 901–908. [Google Scholar] [CrossRef] [PubMed]
- Dietrich, J.E.; Millar, D.M.; Quint, E.H. Obstructive reproductive tract anomalies. J. Pediatr. Adolesc. Gynecol. 2014, 396–402. [Google Scholar] [CrossRef] [PubMed]
Disclaimer/Publisher’s Note: The statements, opinions and data contained in all publications are solely those of the individual author(s) and contributor(s) and not of MDPI and/or the editor(s). MDPI and/or the editor(s) disclaim responsibility for any injury to people or property resulting from any ideas, methods, instructions or products referred to in the content. |
© 2023 by the authors. Licensee MDPI, Basel, Switzerland. This article is an open access article distributed under the terms and conditions of the Creative Commons Attribution (CC BY) license (http://creativecommons.org/licenses/by/4.0/).
