Submitted:
12 July 2023
Posted:
13 July 2023
You are already at the latest version
Abstract
Keywords:
1. Introduction
2. The Importance of Atherosclerosis in Stroke
3. The Biology of Atherosclerosis
4. Development of FDG-PET Imaging as a Marker of Plaque Vulnerability
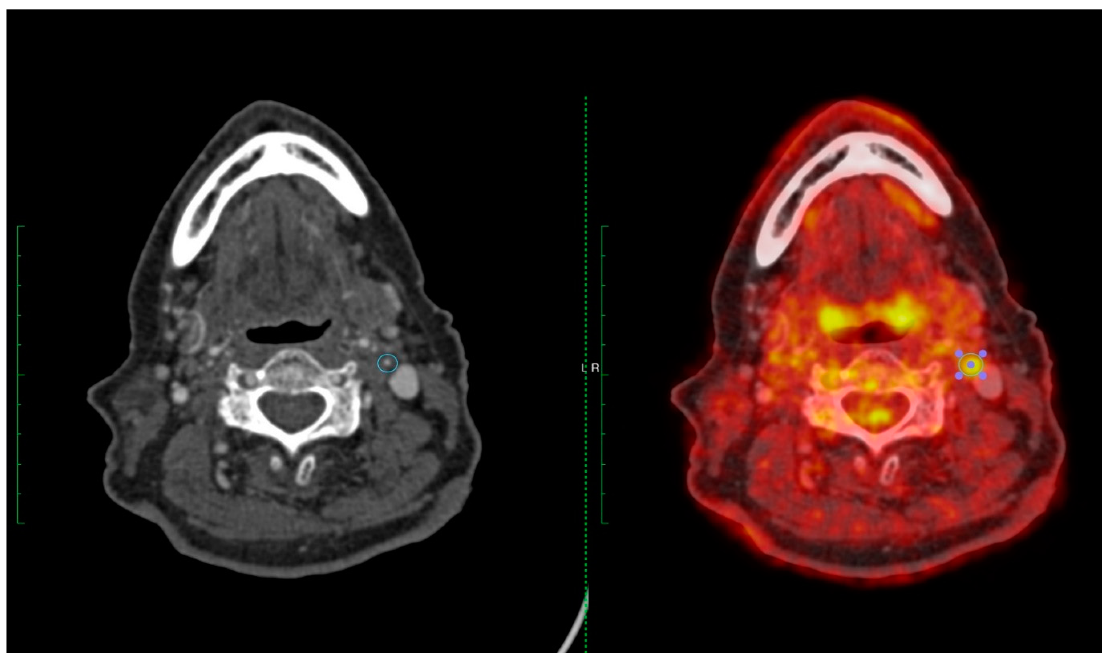
5. PET Imaging Acquisition and Analysis
6. Vascular Inflammation Imaged by PET and Systemic Vascular Risk
7. Carotid Plaque Inflammation and Stroke Risk
8. Carotid PET Imaging for Risk Stratification after Stroke
9. PET Imaging in Randomized Control Trials
10. Novel tracers and future directions
5. Conclusions
Author Contributions
Funding
Institutional Review Board Statement
Informed Consent Statement
Data Availability Statement
Acknowledgments
Conflicts of Interest
References
- Feigin VL, Brainin M, Norrving B, et al. World Stroke Organization (WSO): Global Stroke Fact Sheet 2022. Int J Stroke 2022, 17, 18–29. [Google Scholar] [CrossRef] [PubMed]
- Boulanger M, Bejot Y, Rothwell PM, Touze E. Long-Term Risk of Myocardial Infarction Compared to Recurrent Stroke After Transient Ischemic Attack and Ischemic Stroke: Systematic Review and Meta-Analysis. J Am Heart Assoc 2018, 7. [Google Scholar] [CrossRef]
- Wafa HA, Wolfe CDA, Emmett E, Roth GA, Johnson CO, Wang Y. Burden of Stroke in Europe: Thirty-Year Projections of Incidence, Prevalence, Deaths, and Disability-Adjusted Life Years. Stroke 2020, 51, 2418–27. [Google Scholar] [CrossRef] [PubMed]
- Rothwell PM, Eliasziw M, Gutnikov SA, et al. Analysis of pooled data from the randomised controlled trials of endarterectomy for symptomatic carotid stenosis. Lancet 2003, 361, 107–16. [Google Scholar] [CrossRef]
- Kleindorfer DO, Towfighi A, Chaturvedi S, et al. 2021 Guideline for the Prevention of Stroke in Patients With Stroke and Transient Ischemic Attack: A Guideline From the American Heart Association/American Stroke Association. Stroke 2021, 52, e364–e467. [Google Scholar] [CrossRef]
- Redgrave JN, Gallagher P, Lovett JK, Rothwell PM. Critical cap thickness and rupture in symptomatic carotid plaques: the oxford plaque study. Stroke; a journal of cerebral circulation 2008, 39, 1722–9. [Google Scholar] [CrossRef]
- King A, Markus HS. Doppler embolic signals in cerebrovascular disease and prediction of stroke risk: a systematic review and meta-analysis. Stroke 2009, 40, 3711–7. [Google Scholar] [CrossRef]
- Saito K, Nagatsuka K, Ishibashi-Ueda H, Watanabe A, Kannki H, Iihara K. Contrast-enhanced ultrasound for the evaluation of neovascularization in atherosclerotic carotid artery plaques. Stroke 2014, 45, 3073–5. [Google Scholar] [CrossRef]
- Camps-Renom P, Prats-Sanchez L, Casoni F, et al. Plaque neovascularization detected with contrast-enhanced ultrasound predicts ischaemic stroke recurrence in patients with carotid atherosclerosis. Eur J Neurol 2020, 27, 809–16. [Google Scholar] [CrossRef]
- Gupta A, Baradaran H, Schweitzer AD, et al. Carotid plaque MRI and stroke risk: a systematic review and meta-analysis. Stroke 2013, 44, 3071–7. [Google Scholar] [CrossRef]
- Libby, P. Inflammation in atherosclerosis. Nature 2002, 420, 868–74. [Google Scholar] [CrossRef] [PubMed]
- Redgrave JNE, Lovett JK, Gallagher PJ, Rothwell PM. Histological assessment of 526 symptomatic carotid plaques in relation to the nature and timing of ischemic symptoms - The Oxford plaque study. Circulation 2006, 113, 2320–8. [Google Scholar] [CrossRef] [PubMed]
- Marnane M, Prendeville S, McDonnell C, et al. Plaque inflammation and unstable morphology are associated with early stroke recurrence in symptomatic carotid stenosis. Stroke 2014, 45, 801–6. [Google Scholar] [CrossRef] [PubMed]
- Rudd JH, Warburton EA, Fryer TD, et al. Imaging atherosclerotic plaque inflammation with [18F]-fluorodeoxyglucose positron emission tomography. Circulation 2002, 105, 2708–11. [Google Scholar] [CrossRef]
- Lovett JK, Coull AJ, Rothwell PM. Early risk of recurrence by subtype of ischemic stroke in population-based incidence studies. Neurology 2004, 62, 569–73. [Google Scholar] [CrossRef]
- Hurford R, Wolters FJ, Li L, et al. Prevalence, predictors, and prognosis of symptomatic intracranial stenosis in patients with transient ischaemic attack or minor stroke: a population-based cohort study. Lancet Neurol 2020, 19, 413–21. [Google Scholar] [CrossRef]
- Gorelick PB, Wong KS, Bae HJ, Pandey DK. Large artery intracranial occlusive disease: a large worldwide burden but a relatively neglected frontier. Stroke 2008, 39, 2396–9. [Google Scholar] [CrossRef]
- White H, Boden-Albala B, Wang C, et al. Ischemic stroke subtype incidence among whites, blacks, and Hispanics: the Northern Manhattan Study. Circulation 2005, 111, 1327–31. [Google Scholar] [CrossRef]
- Lavallee PC, Charles H, Albers GW, et al. Effect of atherosclerosis on 5-year risk of major vascular events in patients with transient ischaemic attack or minor ischaemic stroke: an international prospective cohort study. Lancet Neurol 2023, 22, 320–9. [Google Scholar] [CrossRef]
- Ntaios G, Wintermark M, Michel P. Supracardiac atherosclerosis in embolic stroke of undetermined source: the underestimated source. Eur Heart J 2021, 42, 1789–96. [Google Scholar] [CrossRef]
- Perera KS, Vanassche T, Bosch J, et al. Embolic strokes of undetermined source: Prevalence and patient features in the ESUS Global Registry. Int J Stroke 2016, 11, 526–33. [Google Scholar] [CrossRef] [PubMed]
- Gupta A, Gialdini G, Lerario MP, et al. Magnetic resonance angiography detection of abnormal carotid artery plaque in patients with cryptogenic stroke. J Am Heart Assoc 2015, 4, e002012. [Google Scholar] [CrossRef] [PubMed]
- Coutinho JM, Derkatch S, Potvin AR, et al. Nonstenotic carotid plaque on CT angiography in patients with cryptogenic stroke. Neurology 2016, 87, 665–72. [Google Scholar] [CrossRef]
- Kamtchum-Tatuene J, Wilman A, Saqqur M, Shuaib A, Jickling GC. Carotid Plaque With High-Risk Features in Embolic Stroke of Undetermined Source: Systematic Review and Meta-Analysis. Stroke; a journal of cerebral circulation 2020, 51, 311–4. [Google Scholar] [CrossRef]
- Amarenco P, Cohen A, Tzourio C, et al. Atherosclerotic disease of the aortic arch and the risk of ischemic stroke. N Engl J Med 1994, 331, 1474–9. [Google Scholar] [CrossRef] [PubMed]
- French Study of Aortic Plaques in Stroke G, Amarenco P, Cohen A, et al. Atherosclerotic disease of the aortic arch as a risk factor for recurrent ischemic stroke. N Engl J Med 1996, 334, 1216–21. [Google Scholar] [CrossRef] [PubMed]
- Fakih R, Roa JA, Bathla G, et al. Detection and Quantification of Symptomatic Atherosclerotic Plaques With High-Resolution Imaging in Cryptogenic Stroke. Stroke 2020, 51, 3623–31. [Google Scholar] [CrossRef]
- Fisher, CM. The arterial lesions underlying lacunes. Acta Neuropathol 1968, 12, 1–15. [Google Scholar] [CrossRef]
- Fisher, CM. Capsular infarcts: the underlying vascular lesions. Arch Neurol 1979, 36, 65–73. [Google Scholar] [CrossRef]
- Gongora-Rivera F, Labreuche J, Jaramillo A, Steg PG, Hauw JJ, Amarenco P. Autopsy prevalence of coronary atherosclerosis in patients with fatal stroke. Stroke 2007, 38, 1203–10. [Google Scholar] [CrossRef]
- Investigators SPS, Benavente OR, Hart RG, et al. Effects of clopidogrel added to aspirin in patients with recent lacunar stroke. N Engl J Med 2012, 367, 817–25. [Google Scholar] [CrossRef] [PubMed]
- Herlekar R, Sur Roy A, Hajiev S, et al. The contribution of competing mechanisms in stroke despite anticoagulation in patients with atrial fibrillation. Eur Stroke J 2023, 8, 541–8. [Google Scholar] [CrossRef] [PubMed]
- Zietz A, Polymeris AA, Helfenstein F, et al. The impact of competing stroke etiologies in patients with atrial fibrillation. Eur Stroke J 2023, 23969873231185220. [Google Scholar] [CrossRef]
- Libby P, Ridker PM, Hansson GK. Progress and challenges in translating the biology of atherosclerosis. Nature 2011, 473, 317–25. [Google Scholar] [CrossRef] [PubMed]
- Cybulsky MI, Iiyama K, Li HM, et al. A major role for VCAM-1, but not ICAM-1, in early atherosclerosis. Journal of Clinical Investigation 2001, 107, 1255–62. [Google Scholar] [CrossRef]
- Libby P, Ridker PM, Maseri A. Inflammation and atherosclerosis. Circulation 2002, 105, 1135–43. [Google Scholar] [CrossRef]
- Gerard C, Rollins BJ. Chemokines and disease. Nat Immunol 2001, 2, 108–15. [Google Scholar] [CrossRef]
- Apostolakis S, Vogiatzi K, Amanatidou V, Spandidos DA. Interleukin 8 and cardiovascular disease. Cardiovasc Res 2009, 84, 353–60. [Google Scholar] [CrossRef]
- Tabas, I. Macrophage death and defective inflammation resolution in atherosclerosis. Nat Rev Immunol 2010, 10, 36–46. [Google Scholar] [CrossRef]
- Ramos MA, Kuzuya M, Esaki T, et al. Induction of macrophage VEGF in response to oxidized LDL and VEGF accumulation in human atherosclerotic lesions. Arterioscl Throm Vas 1998, 18, 1188–96. [Google Scholar] [CrossRef]
- Emerging Risk Factors C, Kaptoge S, Di Angelantonio E, et al. C-reactive protein concentration and risk of coronary heart disease, stroke, and mortality: an individual participant meta-analysis. Lancet 2010, 375, 132–40. [Google Scholar] [CrossRef] [PubMed]
- Papadopoulos A, Palaiopanos K, Bjorkbacka H, et al. Circulating Interleukin-6 Levels and Incident Ischemic Stroke: A Systematic Review and Meta-analysis of Prospective Studies. Neurology 2021. [CrossRef]
- McCabe JJ, O'Reilly E, Coveney S, et al. Interleukin-6, C-reactive protein, fibrinogen, and risk of recurrence after ischaemic stroke: Systematic review and meta-analysis. Eur Stroke J 2021, 6, 62–71. [Google Scholar] [CrossRef] [PubMed]
- Ogawa M, Ishino S, Mukai T, et al. (18)F-FDG accumulation in atherosclerotic plaques: immunohistochemical and PET imaging study. J Nucl Med 2004, 45, 1245–50. [Google Scholar]
- Tawakol A, Migrino RQ, Bashian GG, et al. In vivo 18F-fluorodeoxyglucose positron emission tomography imaging provides a noninvasive measure of carotid plaque inflammation in patients. J Am Coll Cardiol 2006, 48, 1818–24. [Google Scholar] [CrossRef]
- Pedersen SF, Graebe M, Fisker Hag AM, Hojgaard L, Sillesen H, Kjaer A. Gene expression and 18FDG uptake in atherosclerotic carotid plaques. Nucl Med Commun 2010, 31, 423–9. [Google Scholar] [CrossRef]
- Graebe M, Pedersen SF, Borgwardt L, Hojgaard L, Sillesen H, Kjaer A. Molecular pathology in vulnerable carotid plaques: correlation with [18]-fluorodeoxyglucose positron emission tomography (FDG-PET). Eur J Vasc Endovasc Surg 2009, 37, 714–21. [Google Scholar] [CrossRef]
- Pedersen SF, Graebe M, Hag AM, Hojgaard L, Sillesen H, Kjaer A. (18)F-FDG imaging of human atherosclerotic carotid plaques reflects gene expression of the key hypoxia marker HIF-1alpha. Am J Nucl Med Mol Imaging 2013, 3, 384–92. [Google Scholar]
- Liu J, Kerwin WS, Caldwell JH, et al. High resolution FDG-microPET of carotid atherosclerosis: plaque components underlying enhanced FDG uptake. The international journal of cardiovascular imaging 2016, 32, 145–52. [Google Scholar] [CrossRef]
- Camici PG, Rimoldi OE, Gaemperli O, Libby P. Non-invasive anatomic and functional imaging of vascular inflammation and unstable plaque. Eur Heart J 2012, 33, 1309–17. [Google Scholar] [CrossRef]
- Folco EJ, Sheikine Y, Rocha VZ, et al. Hypoxia but not inflammation augments glucose uptake in human macrophages: Implications for imaging atherosclerosis with 18fluorine-labeled 2-deoxy-D-glucose positron emission tomography. Journal of the American College of Cardiology 2011, 58, 603–14. [Google Scholar] [CrossRef]
- Bucerius J, Mani V, Moncrieff C, et al. Optimizing 18F-FDG PET/CT imaging of vessel wall inflammation: the impact of 18F-FDG circulation time, injected dose, uptake parameters, and fasting blood glucose levels. European journal of nuclear medicine and molecular imaging 2014, 41, 369–83. [Google Scholar] [CrossRef] [PubMed]
- Bucerius J, Hyafil F, Verberne HJ, et al. Position paper of the Cardiovascular Committee of the European Association of Nuclear Medicine (EANM) on PET imaging of atherosclerosis. European journal of nuclear medicine and molecular imaging 2015. [CrossRef]
- Evans NR, Tarkin JM, Chowdhury MM, Warburton EA, Rudd JH. PET Imaging of Atherosclerotic Disease: Advancing Plaque Assessment from Anatomy to Pathophysiology. Current atherosclerosis reports 2016, 18, 30. [Google Scholar] [CrossRef] [PubMed]
- Niccoli Asabella A, Ciccone MM, Cortese F, et al. Higher reliability of 18F-FDG target background ratio compared to standardized uptake value in vulnerable carotid plaque detection: a pilot study. Annals of nuclear medicine 2014, 28, 571–9. [Google Scholar] [CrossRef]
- Oh M, Kim JY, Shin KH, et al. Imaging Atherosclerosis in the Carotid Arteries with F-18-Fluoro-2-deoxy-D-glucose Positron Emission Tomography: Effect of Imaging Time after Injection on Quantitative Measurement. Nuclear medicine and molecular imaging 2010, 44, 261–6. [Google Scholar] [CrossRef]
- Derlin T, Habermann CR, Hahne JD, et al. Quantification of [18F]-FDG uptake in atherosclerotic plaque: impact of renal function. Annals of nuclear medicine 2011, 25, 586–91. [Google Scholar] [CrossRef]
- Elkhawad M, Rudd JH, Sarov-Blat L, et al. Effects of p38 mitogen-activated protein kinase inhibition on vascular and systemic inflammation in patients with atherosclerosis. JACC Cardiovascular imaging 2012, 5, 911–22. [Google Scholar] [CrossRef]
- Drzezga A, Souvatzoglou M, Eiber M, et al. First clinical experience with integrated whole-body PET/MR: comparison to PET/CT in patients with oncologic diagnoses. Journal of nuclear medicine : official publication, Society of Nuclear Medicine 2012, 53, 845–55. [Google Scholar] [CrossRef]
- Evans NR, Tarkin JM, Le EP, et al. Integrated cardiovascular assessment of atherosclerosis using PET/MRI. The British journal of radiology 2020, 20190921. [CrossRef]
- Chaker S, Al-Dasuqi K, Baradaran H, et al. Carotid Plaque Positron Emission Tomography Imaging and Cerebral Ischemic Disease. Stroke 2019, 50, 2072–9. [Google Scholar] [CrossRef] [PubMed]
- Rudd JH, Myers KS, Bansilal S, et al. Relationships among regional arterial inflammation, calcification, risk factors, and biomarkers: a prospective fluorodeoxyglucose positron-emission tomography/computed tomography imaging study. Circ Cardiovasc Imaging 2009, 2, 107–15. [Google Scholar] [CrossRef] [PubMed]
- Moon SH, Cho YS, Noh TS, Choi JY, Kim BT, Lee KH. Carotid FDG Uptake Improves Prediction of Future Cardiovascular Events in Asymptomatic Individuals. JACC Cardiovasc Imaging 2015, 8, 949–56. [Google Scholar] [CrossRef] [PubMed]
- Figueroa AL, Abdelbaky A, Truong QA, et al. Measurement of arterial activity on routine FDG PET/CT images improves prediction of risk of future CV events. JACC Cardiovasc Imaging 2013, 6, 1250–9. [Google Scholar] [CrossRef] [PubMed]
- Ibanez B, Fernandez-Ortiz A, Fernandez-Friera L, Garcia-Lunar I, Andres V, Fuster V. Progression of Early Subclinical Atherosclerosis (PESA) Study: JACC Focus Seminar 7/8. J Am Coll Cardiol 2021, 78, 156–79. [Google Scholar] [CrossRef]
- Fernandez-Friera L, Fuster V, Lopez-Melgar B, et al. Vascular Inflammation in Subclinical Atherosclerosis Detected by Hybrid PET/MRI. J Am Coll Cardiol 2019, 73, 1371–82. [Google Scholar] [CrossRef]
- Figueroa AL, Subramanian SS, Cury RC, et al. Distribution of Inflammation Within Carotid Atherosclerotic Plaques With High-Risk Morphological Features. Circulation: Cardiovascular Imaging 2012, 5, 69–77. [Google Scholar] [CrossRef]
- Hyafil F, Schindler A, Sepp D, et al. High-risk plaque features can be detected in non-stenotic carotid plaques of patients with ischaemic stroke classified as cryptogenic using combined (18)F-FDG PET/MR imaging. Eur J Nucl Med Mol Imaging 2016, 43, 270–9. [Google Scholar] [CrossRef]
- Giannotti N, McNulty J, Foley S, et al. Association Between 18-FDG Positron Emission Tomography and MRI Biomarkers of Plaque Vulnerability in Patients With Symptomatic Carotid Stenosis. Frontiers in Neurology 2021, 12. [Google Scholar] [CrossRef]
- Moustafa RR, Izquierdo-Garcia D, Fryer TD, et al. Carotid plaque inflammation is associated with cerebral microembolism in patients with recent transient ischemic attack or stroke: a pilot study. Circulation Cardiovascular imaging 2010, 3, 536–41. [Google Scholar] [CrossRef]
- Muller HF, Viaccoz A, Fisch L, et al. 18FDG-PET-CT: an imaging biomarker of high-risk carotid plaques. Correlation to symptoms and microembolic signals. Stroke 2014, 45, 3561–6. [Google Scholar] [CrossRef] [PubMed]
- Marnane M, Merwick A, Sheehan OC, et al. Carotid plaque inflammation on 18F-fluorodeoxyglucose positron emission tomography predicts early stroke recurrence. Annals of neurology 2012, 71, 709–18. [Google Scholar] [CrossRef] [PubMed]
- Kelly PJ, Camps-Renom P, Giannotti N, et al. Carotid Plaque Inflammation Imaged by (18)F-Fluorodeoxyglucose Positron Emission Tomography and Risk of Early Recurrent Stroke. Stroke 2019, 50, 1766–73. [Google Scholar] [CrossRef] [PubMed]
- Zheng Y, Lim MJR, Tan BYQ, et al. Role of plaque inflammation in symptomatic carotid stenosis. Frontiers in Neurology 2023, 14. [Google Scholar] [CrossRef]
- McCabe JJ, Camps-Renom P, Giannotti N, et al. Carotid Plaque Inflammation Imaged by PET and Prediction of Recurrent Stroke at 5 Years. Neurology 2021, 97, e2282–e91. [Google Scholar] [CrossRef]
- Kelly PJ, Camps-Renom P, Giannotti N, et al. A Risk Score Including Carotid Plaque Inflammation and Stenosis Severity Improves Identification of Recurrent Stroke. Stroke 2020, 51, 838–45. [Google Scholar] [CrossRef]
- Rothwell PM, Eliasziw M, Gutnikov SA, Warlow CP, Barnett HJ, Carotid Endarterectomy Trialists C. Endarterectomy for symptomatic carotid stenosis in relation to clinical subgroups and timing of surgery. Lancet 2004, 363, 915–24. [Google Scholar] [CrossRef]
- Camps-Renom P, McCabe J, Marti-Fabregas J, et al. Association of Plaque Inflammation With Stroke Recurrence in Patients With Unproven Benefit From Carotid Revascularization. Neurology 2022, 99, e109–e18. [Google Scholar] [CrossRef]
- Xia M, Yang X, Qian C. Meta-analysis Evaluating the Utility of Colchicine in Secondary Prevention of Coronary Artery Disease. Am J Cardiol 2021, 140, 33–8. [Google Scholar] [CrossRef]
- Ridker PM, Everett BM, Thuren T, et al. Antiinflammatory Therapy with Canakinumab for Atherosclerotic Disease. N Engl J Med 2017, 377, 1119–31. [Google Scholar] [CrossRef]
- Rudd JH, Myers KS, Bansilal S, et al. (18)Fluorodeoxyglucose positron emission tomography imaging of atherosclerotic plaque inflammation is highly reproducible: implications for atherosclerosis therapy trials. J Am Coll Cardiol 2007, 50, 892–6. [Google Scholar] [CrossRef] [PubMed]
- Tawakol A, Fayad ZA, Mogg R, et al. Intensification of statin therapy results in a rapid reduction in atherosclerotic inflammation: results of a multicenter fluorodeoxyglucose-positron emission tomography/computed tomography feasibility study. J Am Coll Cardiol 2013, 62, 909–17. [Google Scholar] [CrossRef] [PubMed]
- Bucerius J, Hyafil F, Verberne HJ, et al. Position paper of the Cardiovascular Committee of the European Association of Nuclear Medicine (EANM) on PET imaging of atherosclerosis. Eur J Nucl Med Mol Imaging 2016, 43, 780–92. [Google Scholar] [CrossRef] [PubMed]
- Fleming TR, Powers JH. Biomarkers and surrogate endpoints in clinical trials. Stat Med 2012, 31, 2973–84. [Google Scholar] [CrossRef]
- Dalm VA, van Hagen PM, van Koetsveld PM, et al. Expression of somatostatin, cortistatin, and somatostatin receptors in human monocytes, macrophages, and dendritic cells. American journal of physiology Endocrinology and metabolism 2003, 285, E344–53. [Google Scholar] [CrossRef]
- Reubi JC, Schär JC, Waser B, et al. Affinity profiles for human somatostatin receptor subtypes SST1-SST5 of somatostatin radiotracers selected for scintigraphic and radiotherapeutic use. European journal of nuclear medicine 2000, 27, 273–82. [Google Scholar] [CrossRef]
- Tarkin JM, Joshi FR, Evans NR, et al. Detection of Atherosclerotic Inflammation by 68Ga-DOTATATE PET Compared to [18F]FDG PET Imaging. Journal of the American College of Cardiology 2017, 69, 1774–91. [Google Scholar] [CrossRef]
- Toner YC, Ghotbi AA, Naidu S, et al. Systematically evaluating DOTATATE and FDG as PET immuno-imaging tracers of cardiovascular inflammation. Scientific reports 2022, 12, 6185. [Google Scholar] [CrossRef]
- Jensen JK, Madsen JS, Jensen MEK, Kjaer A, Ripa RS. [(64)Cu]Cu-DOTATATE PET metrics in the investigation of atherosclerotic inflammation in humans. Journal of nuclear cardiology : official publication of the American Society of Nuclear Cardiology 2022. [CrossRef]
- Döring Y, Pawig L, Weber C, Noels H. The CXCL12/CXCR4 chemokine ligand/receptor axis in cardiovascular disease. Frontiers in physiology 2014, 5, 212. [Google Scholar] [CrossRef]
- Li X, Yu W, Wollenweber T, et al. [(68)Ga]Pentixafor PET/MR imaging of chemokine receptor 4 expression in the human carotid artery. European journal of nuclear medicine and molecular imaging 2019, 46, 1616–25. [Google Scholar] [CrossRef] [PubMed]
- Weiberg D, Thackeray JT, Daum G, et al. Clinical Molecular Imaging of Chemokine Receptor CXCR4 Expression in Atherosclerotic Plaque Using (68)Ga-Pentixafor PET: Correlation with Cardiovascular Risk Factors and Calcified Plaque Burden. Journal of nuclear medicine : official publication, Society of Nuclear Medicine 2018, 59, 266–72. [Google Scholar] [CrossRef] [PubMed]
- Li X, Heber D, Leike T, et al. [68Ga]Pentixafor-PET/MRI for the detection of Chemokine receptor 4 expression in atherosclerotic plaques. European journal of nuclear medicine and molecular imaging 2018, 45, 558–66. [Google Scholar] [CrossRef] [PubMed]
- Veenman L, Gavish M. The peripheral-type benzodiazepine receptor and the cardiovascular system. Implications for drug development. Pharmacology & therapeutics 2006, 110, 503–24. [Google Scholar] [CrossRef]
- Fujimura Y, Hwang PM, Trout Iii H, et al. Increased peripheral benzodiazepine receptors in arterial plaque of patients with atherosclerosis: an autoradiographic study with [(3)H]PK 11195. Atherosclerosis 2008, 201, 108–11. [Google Scholar] [CrossRef]
- Bird JL, Izquierdo-Garcia D, Davies JR, et al. Evaluation of translocator protein quantification as a tool for characterising macrophage burden in human carotid atherosclerosis. Atherosclerosis 2010, 210, 388–91. [Google Scholar] [CrossRef]
- Gaemperli O, Shalhoub J, Owen DR, et al. Imaging intraplaque inflammation in carotid atherosclerosis with 11C-PK11195 positron emission tomography/computed tomography. European heart journal 2012, 33, 1902–10. [Google Scholar] [CrossRef]
- Hoshiga M, Alpers CE, Smith LL, Giachelli CM, Schwartz SM. Alpha-v beta-3 integrin expression in normal and atherosclerotic artery. Circulation research 1995, 77, 1129–35. [Google Scholar] [CrossRef]
- Beer AJ, Pelisek J, Heider P, et al. PET/CT imaging of integrin αvβ3 expression in human carotid atherosclerosis. JACC Cardiovascular imaging 2014, 7, 178–87. [Google Scholar] [CrossRef]
- Dietz M, Kamani CH, Deshayes E, et al. Imaging angiogenesis in atherosclerosis in large arteries with (68)Ga-NODAGA-RGD PET/CT: relationship with clinical atherosclerotic cardiovascular disease. EJNMMI research 2021, 11, 71. [Google Scholar] [CrossRef]
- Boggs KP, Rock CO, Jackowski S. Lysophosphatidylcholine and 1-O-octadecyl-2-O-methyl-rac-glycero-3-phosphocholine inhibit the CDP-choline pathway of phosphatidylcholine synthesis at the CTP:phosphocholine cytidylyltransferase step. The Journal of biological chemistry 1995, 270, 7757–64. [Google Scholar] [CrossRef] [PubMed]
- Kato K, Schober O, Ikeda M, et al. Evaluation and comparison of 11C-choline uptake and calcification in aortic and common carotid arterial walls with combined PET/CT. European journal of nuclear medicine and molecular imaging 2009, 36, 1622–8. [Google Scholar] [CrossRef] [PubMed]
- Vöö S, Kwee RM, Sluimer JC, et al. Imaging Intraplaque Inflammation in Carotid Atherosclerosis With 18F-Fluorocholine Positron Emission Tomography–Computed Tomography: Prospective Study on Vulnerable Atheroma With Immunohistochemical Validation. Circulation: Cardiovascular Imaging 2016, 9. [Google Scholar] [CrossRef]
- Derlin T, Habermann CR, Lengyel Z, et al. Feasibility of 11C-acetate PET/CT for imaging of fatty acid synthesis in the atherosclerotic vessel wall. Journal of nuclear medicine : official publication, Society of Nuclear Medicine 2011, 52, 1848–54. [Google Scholar] [CrossRef] [PubMed]
- Maldonado N, Kelly-Arnold A, Vengrenyuk Y, et al. A mechanistic analysis of the role of microcalcifications in atherosclerotic plaque stability: potential implications for plaque rupture. American journal of physiology Heart and circulatory physiology 2012, 303, H619–28. [Google Scholar] [CrossRef]
- Joshi FR, Rajani NK, Abt M, et al. Does Vascular Calcification Accelerate Inflammation?: A Substudy of the dal-PLAQUE Trial. Journal of the American College of Cardiology 2016, 67, 69–78. [Google Scholar] [CrossRef]
- Blau M, Nagler W, Bender MA. Fluorine-18: a new isotope for bone scanning. Journal of nuclear medicine : official publication, Society of Nuclear Medicine 1962, 3, 332–4. [Google Scholar]
- Hawkins RA, Choi Y, Huang SC, et al. Evaluation of the skeletal kinetics of fluorine-18-fluoride ion with PET. Journal of nuclear medicine : official publication, Society of Nuclear Medicine 1992, 33, 633–42. [Google Scholar]
- Derlin T, Richter U, Bannas P, et al. Feasibility of 18F-sodium fluoride PET/CT for imaging of atherosclerotic plaque. Journal of nuclear medicine : official publication, Society of Nuclear Medicine 2010, 51, 862–5. [Google Scholar] [CrossRef]
- Morbelli S, Fiz F, Piccardo A, et al. Divergent determinants of 18F-NaF uptake and visible calcium deposition in large arteries: relationship with Framingham risk score. The international journal of cardiovascular imaging 2014, 30, 439–47. [Google Scholar] [CrossRef]
- Dweck MR, Chow MW, Joshi NV, et al. Coronary arterial 18F-sodium fluoride uptake: a novel marker of plaque biology. Journal of the American College of Cardiology 2012, 59, 1539–48. [Google Scholar] [CrossRef] [PubMed]
- Joshi NV, Vesey AT, Williams MC, et al. 18F-fluoride positron emission tomography for identification of ruptured and high-risk coronary atherosclerotic plaques: a prospective clinical trial. Lancet 2014, 383, 705–13. [Google Scholar] [CrossRef] [PubMed]
- Cocker MS, Spence JD, Hammond R, et al. [(18)F]-NaF PET/CT Identifies Active Calcification in Carotid Plaque. JACC Cardiovascular imaging 2017, 10, 486–8. [Google Scholar] [CrossRef] [PubMed]
- Vesey AT, Jenkins WS, Irkle A, et al. 18F-Fluoride and 18F-Fluorodeoxyglucose Positron Emission Tomography After Transient Ischemic Attack or Minor Ischemic Stroke: Case-Control Study. Circulation Cardiovascular imaging 2017, 10, e004976. [Google Scholar] [CrossRef] [PubMed]
- Evans NR, Tarkin JM, Chowdhury MM, et al. Dual-Tracer Positron-Emission Tomography for Identification of Culprit Carotid Plaques and Pathophysiology In Vivo. Circulation Cardiovascular imaging 2020, 13, e009539. [Google Scholar] [CrossRef] [PubMed]



| Measure | SCAIL Points | |
| Plaque SUVmax, g/ml | <2 | 0 |
| 2-2.99 | 1 | |
| 3-3.99 | 2 | |
| ≥4 | 3 | |
| Lumen stenosis, % | <50 | 0 |
| 50-69 | 1 | |
| ≥70 | 2 | |
| Total | 0-5 |
| Ligand | Target |
|---|---|
| Cellular targets | |
| DOTATATE | Somatostatin receptor subtype-2 (SST2), which is upregulated on the surface of activate macrophages. |
| NODAGA-RGD and Galacto-RGD | αvβ3 integrin, expressed by CD68-positive macrophages and endothelial cells. |
| Pentixafor | Specific CXCR4 ligand, which is involved in the trafficking of inflammatory cells to the plaque. |
| PK11195 | Translocator protein (18 kDa), expressed on activated macrophages. |
| Metabolic targets | |
| Acetate | Fatty acid synthesis. |
| Fluorocholine | Cellular proliferation (involving the uptake of choline). |
| Sodium fluoride | Microcalcification. |
Disclaimer/Publisher’s Note: The statements, opinions and data contained in all publications are solely those of the individual author(s) and contributor(s) and not of MDPI and/or the editor(s). MDPI and/or the editor(s) disclaim responsibility for any injury to people or property resulting from any ideas, methods, instructions or products referred to in the content. |
© 2023 by the authors. Licensee MDPI, Basel, Switzerland. This article is an open access article distributed under the terms and conditions of the Creative Commons Attribution (CC BY) license (http://creativecommons.org/licenses/by/4.0/).