Preprint
Case Report

This version is not peer-reviewed.

Treatment of a Large Defect Induced by Atrophic Nonunion of Femoral Fracture in a Dog with Autogenous Coccygeal Bone Grafting

A peer-reviewed article of this preprint also exists.

Submitted:

09 May 2023

Posted:

09 May 2023

You are already at the latest version

Abstract
An 11-month-old castrated male Pomeranian presented with nonunion following a femoral fracture that occurred after femoral head and neck osteotomy. Radiography and computed tomography revealed severe atrophy of the proximal bone fragment and retardation of the ipsilateral distal fragment and tibia. An autogenous bone graft using coccygeal bone was performed, in which three-and-a-half coccyges were placed in series and fixed using an orthogonal locking plate. To promote bone healing and facilitate proper weight bearing and ambulation, bone morphogenetic proteins, biphasic calcium phosphate, platelet-rich plasma, passive range of motion exercises, transcutaneous electrical nerve stimulation, neuromuscular electrical stimulation, and low level laser therapy were applied. During the four-year follow-up, it was observed that the previously engrafted bone healed well and maintained stability over a prolonged period, resulting in the patient being able to walk and trot comfortably with good outcomes. However, some degree of lameness was noted during galloping owing to limb shortening and joint contracture.
Keywords: 
;  ;  ;  ;  ;  

1. Introduction

The treatment of nonunions is one of the most challenging areas in small animal orthopedics. The diagnosis of fracture nonunion is made using radiographic evidence of bone hypertrophy or atrophy of bone fragments, defects between the fracture ends, sclerosis, and a closed medullary cavity [1]. Most nonunions are the result of inadequate decision-making and technical problems of the surgeon, rather than factors associated with the patient or its owner [2]. In small-breed dogs, nonunion has the highest incidence in the radius, followed by the tibia, whereas the femur has the lowest occurrence, which can be attributed to the amount of soft tissue and blood supply [3]. An optimal bone graft supplies not only osteogenic cells for new bone formation, but also contains osteoinductive cells and an osteoconductive matrix that stimulates the differentiation of undifferentiated mesenchymal cells. The osteoconductive matrix also provides mechanical support for the internal growth and organization of the new bone structure [4]. Autogenous cancellous bone grafting is most effective treatment and accepted as the gold standard for stimulation of fracture healing in orthopedics [5]. Autogenous cancellous bone grafting is effective in most cases; however, if the defect is large owing to bone resorption or infection, it can be challenging to fill the cavity with cancellous bone. Because cancellous bone grafts do not provide mechanical stability. In cases with large defects, cortical bone grafts provide mechanical stability to the defect area [6].

2. Case Presentation

2.1. History and Clinical Examination

An 11-month-old, castrated male Pomeranian presented with non-weight-bearing lameness of the left hind limb. The dog underwent femoral head and neck osteotomy at another hospital when he was six months old due to a femoral head fracture. Approximately one month later, the dog fractured his proximal femur. The dog underwent fracture repair surgery with a plate and screws; however, the bone fracture failed to heal. Consequently, the patient underwent a second surgery, which again failed, resulting in severe atrophic nonunion. Therefore, the dog was referred for revision surgery.
During the physical examination, the range of motion of the stifle and hock joints was found to be severely decreased. Radiography revealed implant failure in the left femur, severe atrophy of the proximal bone fragment, and retardation of the ipsilateral distal bone fragment of the femur and tibia compared to the contralateral side. (Figure 1A). The failed implants were removed and computed tomography (CT) was performed for preoperative surgical planning (Figure 1B). An autogenous corticocancellous bone graft was planned and the coccygeal bone was ultimately chosen as the autograft (Figure 2).

2.2. Anesthesia and Surgical Treatment

Before the surgical procedure, the patient received intravenous (IV) administration of premedicants and prophylactic antibiotics containing acepromazine (0.05 mg/kg, IV), ketamine (5 mg/kg, IV) and cefazolin (25 mg/kg, IV). Anesthesia was induced with propofol (6 mg/kg, IV) and maintained with isoflurane.
To harvest the planned 8th to 11th coccygeal bones, caudectomy was first performed, and the bone was separated from the surrounding soft tissues. The articular cartilage at both ends of the bone was resected using an oscillating saw. During the surgical procedure, the soft tissue contracture was severe and required stretching. A lateral incision was made to access the left femur, revealing a poorly vascularized proximal end of the distal bone fragment. To ensure proper healing and an adequate blood supply, the end of the bone was decorticated, rimmed, and trimmed. The medial surface of the proximal bone was carefully debrided with an orthopedic rasp to promote the healing of the coccygeal bone. To apply the graft, three-and-a-half coccygeal bones were prepared in series and fixed with a 1.2 polyaxial locking plate system (ARIX®, Jeil Medical Co., South Korea) for mechanical stability (Figure 3A). Orthogonal plating was performed laterally and cranially to ensure the stability of the proximal, distal, and coccygeal bones (Figure 3B). Each coccygeal bone was stabilized with two or three screws, and screws inserted through the lateral side fixed both the proximal and coccygeal bones together. After thoroughly washing the area, recombinant human bone morphogenetic protein-2 (BMP) and biphasic calcium phosphate (BCP) (Cowell BMP®, Cowellmedi, South Korea) were applied around the gap between the coccygeal bones and the coccygeal and distal bone fragments to encourage healing (Figure 3C). The surgical site was closed in a standard manner without using a bandage to promote movement.

2.3. Post-Operative Management and Prognosis

During anesthesia, 10 ml of blood with citrate was collected from the patient to prepare platelet-rich plasma (PRP) (Sell Neo PRP 10cc kit®, NeoGenesis Co., Ltd, South Korea) for application to the soft tissue around the fracture sites to enhance the healing environment. PRP was administered three times with a one-week interval between each application, resulting in the administration of 1.5 mL of PRP each time. Transcutaneous electrical nerve stimulation (TENS) and neuromuscular electrical stimulation (NMES) were performed twice per week, and low level laser therapy (LLLT) was performed daily until hospital discharge. Additionally, passive range of motion (PROM) exercises were conducted on the hip, stifle, and hock joints four times a day until the patient was able to bear weight.
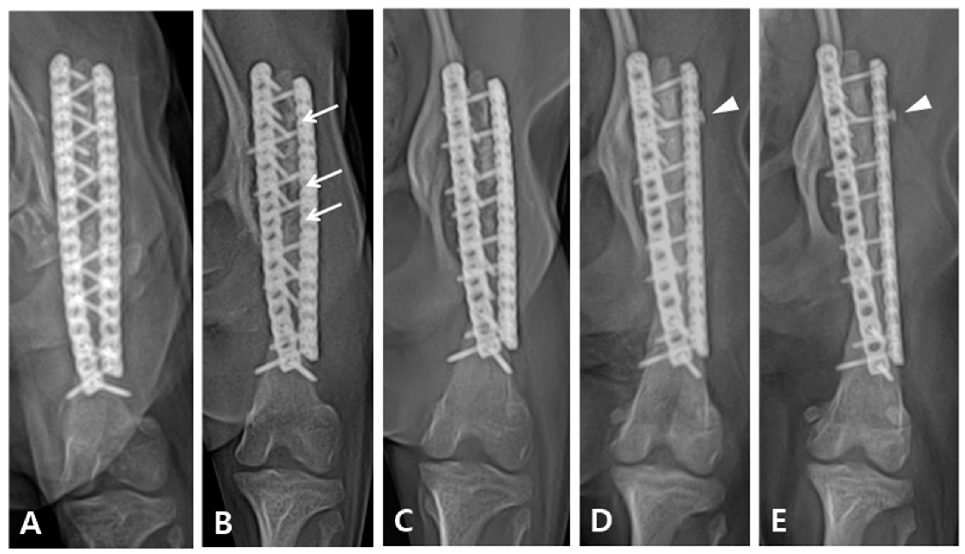
Immediately after surgery, the patient exhibited knuckling and was unable to bear weight. However, a neurological examination revealed no nerve damage. Limb shortening compared with the contralateral side was observed after the operation. Although the patient could partially bear weight, knuckling still persisted for six weeks after the operation. Three months post-operatively, the patient was able to fully bear weight in the limb extended position, with complete resolution of knuckling. On radiographic follow-up, the grafted bone showed temporarily increased lucency four weeks postoperatively, which recovered in three months after the operation (Figure 4B,C). Eighteen months postoperatively, radiographic examination revealed complete bone healing; however, loosening of the proximal second screw in the lateral plate was observed (Figure 4D). The patient was followed up for four years after the operation and exhibited satisfactory gait during walking and trotting; however, some lameness was noted following intense exercise or galloping.

3. Discussion

The patient in this case had hip contractures and muscle atrophy from two previously failed surgeries, which made the biological factors unfavorable. Autogenous bone grafting was performed to aid bone healing. While there are no large studies on the complications following autologous bone harvesting in veterinary medicine, complications as high as 25% have been reported in humans, including pain, sepsis, fatigue fractures, intraoperative bleeding, prolonged surgery, and insufficient bone harvesting [7]. In dogs, the iliac crest, proximal humerus, and proximal tibia are considered the most abundant sources of autogenous cancellous bone [8]. Owing to the substantial size of the defect, we needed to determine the donor site to harvest the largest bone with least complications, while still being able to fill the large defect with autologous bone. Hence, the coccygeal bone was selected as the autogenous bone graft. Furthermore, due to the differences in the coccygeal bone from that in humans, dogs with short or almost no tails due to breed characteristics, tumors, or fractures, can live without major inconvenience.
Successful use of the coccygeal bone to fill large defects, including the tibia and radius, has also been reported. One case report demonstrated a radial fracture nonunion, in which two coccygeal bones similar in diameter to the radius were selected and fixed in series [9]. In our case, we also arranged the bones in series, as described by Choi and Yoon (2022); however, unlike the previous study, we inserted screws into the grafted bone itself to increase fixation because there was no place for the plate to be fixed at the proximal fragment, and the length of the graft was too long. By applying the orthogonal double-locking plate to the patient, we could prevent the fixation from collapsing and strengthen the mechanical structure. Another case report presented a tibial fracture nonunion, in which the coccygeal bone was placed parallel to fill the defect owing to the difference in thickness between the tibia and coccygeal bone [10]. In the present case, we grafted the coccygeal bone onto the femur. Although the thickness and diameter of the coccygeal bone are usually much smaller than those of the femur, in our case, the diameter of the femur was significantly reduced owing to bone atrophy and retardation, resulting in a small difference in diameter between the coccygeal bone and femur.
Cancellous bone grafts have a viability rate of 85100%, which decreases over time. Therefore, the graft bone should be harvested immediately before transplantation to ensure maximal graft viability. In experiments with rabbit cancellous bone, viability decreased to 57% 3 h after harvesting and was further reduced when preserved in cooled saline [11]. In our case, we performed a caudectomy immediately before femoral fracture surgery to improve the viability of the grafted coccygeal bone. Two operators performed the surgery simultaneously to expedite transplantation, one approaching the femoral surgical site and the other separating the coccygeal bone from the surrounding soft tissues. By minimizing the time between bone harvesting and grafting, we may have ensured the survival of the grafted bone.
In some cases, autogenous bone grafting procedures may fail to achieve proper healing because of sequestration or resorption of the grafted bone [2]. To address this issue, various methods have been proposed to promote successful engraftment, including the use of BMP, BCP, and PRP [2,12,13,14,15]. BMP enhances the osteoinductivity of autologous bone grafts and stimulates osteoblast proliferation, whereas BCP exhibits osteoconductivity and promotes the proliferation of osteogenic cells [2,14]. Combining BMP with autologous bone grafting can improve bone healing more effectively than using them separately [14]. Furthermore, clinical studies have demonstrated that PRP can enhance the blood supply and increase biological activity for accelerated bone recovery [13]. To increase the engraftment success rate, we applied BMP and BCP along with autologous coccygeal bone and injected PRP into the surgical site. In addition, we also administered rehabilitation treatments, such as TENS, NMES, LLLT, and PROM, to improve blood supply and enhance biological activity, thereby promoting bone healing.
In the early stages of direct bone healing, also known as primary bone healing, radiographic fracture lines remain visible. During contact healing, there was no resorption of the fragment tip, and the cutting cone progressed across the fracture gap and became radiographically opaque. In clinical cases of simple transverse fractures treated with rigid fixation with compression, the fracture line may slowly disappear without forming callus [16,17]. In our case, as shown in Figure 3B, partial absorption of the grafted bone was observed 4 weeks after surgery, and the osteotomy line between the grafted coccygeal bone and the distal bone fragment was visible radiographically. However, in Figure 3C, taken 3 months later, the previously seen lucency became opaque, and in Figure 3D, taken after 8 months, the osteotomy line completely disappeared. Despite the extended time required for complete bone healing, rigid fixation was maintained for an extended period using locking plates and screws, which facilitated healing without callus formation.
According to D. Franczuszki [18], >20% difference in femur length can lead to gait problems. Following the operation, the patient exhibited a 22.8% reduction in femur length, 12.0% decrease in tibia length, and 40.0% reduction in tibia diameter compared with the normal contralateral limb (Figure 5). This was because a fracture and nonunion that occurred during the juvenile period. The patient was able to walk, but due to the overall shortening of the limb, the limb was extended, and although there was significant improvement with rehabilitation, the range of motion remained limited due to the presence of joint contracture.

4. Conclusions

Despite some limitations, the use of the coccygeal bone as an autogenous bone graft material has proven to be an excellent option for treating femoral fracture nonunion. In addition to proper mechanical fixation, various supplementary methods, such as BMP, BCP, PRP, PROM, TENS, NMES, and LLLT, can be useful in enhancing the engraftment rate of autologous bone. This case represents the first report of coccygeal bone grafting into a femoral nonunion; the grafted bone healed successfully, eventually enabling the patient to regain mobility.

Author Contributions

K.C. provided the main concepts for the experiments and wrote the manuscript. K.L. and K.K. developed the surgical plan and assessed the clinical data. M.K. performed the surgery, managed the patient, and revised the manuscript. All authors have read and agreed to the published version of the manuscript.

Funding

This research received no external funding.

Institutional Review Board Statement

Not applicable.

Informed Consent Statement

Informed consent was obtained from all subjects involved in the study.

Data Availability Statement

The data presented in the study are available on request from the corresponding author. The data are not publicly available due to ethical and privacy concerns.

Acknowledgments

We are thankful to Dr. Young-Hwan Kim and Dr. Jung-In Shin for their assistance during the operation and patient management.

Conflicts of Interest

The authors declare no conflict of interest.

References

  1. dos Santos, J.F.; Ferrigno, C.R.A.; dos Dal-Bó, I.S.; Caquías, D.F.I. Nonunion fractures in small animals — A literature review. Semina: Ciências Agrárias 2016, 37, 3223–3230. [Google Scholar] [CrossRef]
  2. Ann, L.J.; John, E.F.H.; Rico, V. AO Principles of Fracture Management in the Dog and Cat.; Thieme: Stuttgart, Germany, 2005; pp. 81–88. [Google Scholar]
  3. Welch, J.A.; Boudrieau, R.J.; DéJardin, L.M.; Spodnick, G.J. The intraosseous blood supply of the canine radius: implications for healing of distal fractures in small dogs. Vet Surgery 1997, 26, 57–61. [Google Scholar] [CrossRef]
  4. Douglas, H.S. Textbook of Small Animal Surgery, 3rd ed.; Saunders, Elsevier: Philadelphia, USA, 2002; pp. 1875–1891. [Google Scholar]
  5. Johnston, S.; Tobias, K. Veterinary Surgery: Small Animal Expert Consult, 2nd ed.; Saunders, Elsevier: Philadelphia, USA, 2012; pp. 676–684. [Google Scholar]
  6. DeCamp, C. Brinker Piermattei, and Flo’s Handbook of Small Animal Orthopedics and Fracture Repair, 4th ed.; Saunders, Elsevier: Philadelphia, USA, 2006; pp. 168–176. [Google Scholar]
  7. Ferguson, J. Fracture of the humerus after cancellous bone graft harvesting in a dog. J Small Anim Pract 1996, 37, 232–234. [Google Scholar] [CrossRef]
  8. Penwick, R.C.; Mosier, D.; Clark, D.M. Healing of canine autogenous cancellous bone graft donor sites. Vet surgery 1991, 20, 229–234. [Google Scholar] [CrossRef] [PubMed]
  9. Choi, J.Y.; Yoon, H.Y. Use of coccygeal vertebra autograft and platelet-rich plasma for treating a distal radial nonunion fracture in a small-breed dog. Can Vet J 2022, 66, 689–694. [Google Scholar]
  10. Goto, M.; Katayama, M.; Miyazaki, A.; Shimamura, S.; Okamura, Y.; Uzuka, Y. Use of Coccyx Autograft for Repair of Tibial Fracture Nonunion in a Dog. J Animal Clinic Med 2014, 23, 119–123. [Google Scholar]
  11. MacAnulty, J.F. Effect of various short-term storage methods on viability of cancellous bone fragments. Am J Vet Res 1999, 60, 63–67. [Google Scholar]
  12. Oryan, A.; Alidadi, S.; Moshiri, A. Platelet-rich plasma for bone healing and regeneration. Expert Opin Biol Ther 2016, 16, 213–232. [Google Scholar] [CrossRef] [PubMed]
  13. Zhang, Y.; Xing, F.; Luo, R.; Duan, X. Platelet-rich plasma for bone fracture treatment: A systematic review of current evidence in preclinical and clinical studies. Front Med 2021, 8, 676033. [Google Scholar] [CrossRef] [PubMed]
  14. Bharadwaz, A.; Jayasuriya, A.C. ; Osteogenic differentiation cues of the bone morphogenetic protein-9 (BMP-9) and its recent advance in bone tissue regeneration. Master Sci Eng C Mater Bill App 2021, 120, 111748. [Google Scholar] [CrossRef] [PubMed]
  15. Lee, E.U.; Lim, H.C.; Hong, J.Y.; Lee, J.S.; Jung, U.W.; Choi, S.H. Bone regenerative efficacy of biphasic calcium phosphate collagen composite as a carrier of rhBMP-2. Clin Oral Implants Res 2016, 27, e91–e99. [Google Scholar] [CrossRef] [PubMed]
  16. Morgan, J.P.; Leighton, R.L. Radiographic appearance of fracture healing. In Radiology of Small Animal Fracture Management, Morgan, JP. Leighton, RL., Eds.; WB Saunders: Philadelphia, USA, 1995; pp. 34–43. [Google Scholar]
  17. Rahn, B.A. Bone healing: histologic and physiologic concepts. In Bone in Clinical Orthopaedics, Fackelman, GE., Eds.; Thieme: Stuttgart, Germany, 2002; pp. 287–326. [Google Scholar]
  18. Franczuszki, D.; Chalman, J.A.; Butler, H.C.; DeBowes, R.M.; Leipold, H. Postoperative effects of experimental femoral shortening in the mature dog. AMVA 1987, 23, 429–437. [Google Scholar]
Figure 1. Preoperative evaluation and planning carried out using radiography and CT scans. (A) Lateral and (B) craniocaudal radiograph of the patient's left femur. Re-fracture occurred (arrowhead) with the distal most screw pulled out (arrow). Underdeveloped femur and tibia are observed. (C) The three-dimensional reconstructed CT image of the left femur after implant removal shows severe atrophy in the proximal bone fragment, with 1.10 mm thickness at its thinnest point.
Figure 1. Preoperative evaluation and planning carried out using radiography and CT scans. (A) Lateral and (B) craniocaudal radiograph of the patient's left femur. Re-fracture occurred (arrowhead) with the distal most screw pulled out (arrow). Underdeveloped femur and tibia are observed. (C) The three-dimensional reconstructed CT image of the left femur after implant removal shows severe atrophy in the proximal bone fragment, with 1.10 mm thickness at its thinnest point.
Preprints 73136 g001
Figure 2. The preoperative surgical plan utilizing the 8th-11th bones of the coccyx.
Figure 2. The preoperative surgical plan utilizing the 8th-11th bones of the coccyx.
Preprints 73136 g002
Figure 3. Intraoperative coccygeal bone grafting with locking plates. (A) Harvested coccygeal bones were trimmed and placed in a row with minimal spacing, and then fixed with a cranial polyaxial locking plate (arrows). (B) After securing the coccygeal bone and its distal fragment with a cranial-side plate, the proximal bone fragment was first fixed laterally to the coccygeal bone, and then fixed to the distal fragment. (C) BMP and BCP were applied around the gap between the coccygeal bones and the coccygeal and distal bone fragments.
Figure 3. Intraoperative coccygeal bone grafting with locking plates. (A) Harvested coccygeal bones were trimmed and placed in a row with minimal spacing, and then fixed with a cranial polyaxial locking plate (arrows). (B) After securing the coccygeal bone and its distal fragment with a cranial-side plate, the proximal bone fragment was first fixed laterally to the coccygeal bone, and then fixed to the distal fragment. (C) BMP and BCP were applied around the gap between the coccygeal bones and the coccygeal and distal bone fragments.
Preprints 73136 g003
Figure 4. Follow-up radiography after the operation. (A) Two weeks after the operation. (B) Four weeks after the operation. Some bone resorption observed in the grafted area (arrow). (C) Three months after the operation. The parts that were radiolucent at the last follow-up appeared more opaque. (D) Eighteen months after the operation. The cortex exhibited continuity and there was no visible fracture line, indicating that the bones had completely fused. However, it was confirmed that a screw in the lateral plate had loosened (arrow head). (E) Four years after the operation. The results from the last follow up were maintained.
Figure 4. Follow-up radiography after the operation. (A) Two weeks after the operation. (B) Four weeks after the operation. Some bone resorption observed in the grafted area (arrow). (C) Three months after the operation. The parts that were radiolucent at the last follow-up appeared more opaque. (D) Eighteen months after the operation. The cortex exhibited continuity and there was no visible fracture line, indicating that the bones had completely fused. However, it was confirmed that a screw in the lateral plate had loosened (arrow head). (E) Four years after the operation. The results from the last follow up were maintained.
Preprints 73136 g004
Disclaimer/Publisher’s Note: The statements, opinions and data contained in all publications are solely those of the individual author(s) and contributor(s) and not of MDPI and/or the editor(s). MDPI and/or the editor(s) disclaim responsibility for any injury to people or property resulting from any ideas, methods, instructions or products referred to in the content.
Copyright: This open access article is published under a Creative Commons CC BY 4.0 license, which permit the free download, distribution, and reuse, provided that the author and preprint are cited in any reuse.
Prerpints.org logo

Preprints.org is a free preprint server supported by MDPI in Basel, Switzerland.

Subscribe

Disclaimer

Terms of Use

Privacy Policy

Privacy Settings

© 2026 MDPI (Basel, Switzerland) unless otherwise stated