Submitted:
03 April 2023
Posted:
04 April 2023
Read the latest preprint version here
Abstract
Keywords:
Introduction
Methods
Study design
Patient population
Surgical techniques
Study protocol
Outcome measures
Data analysis
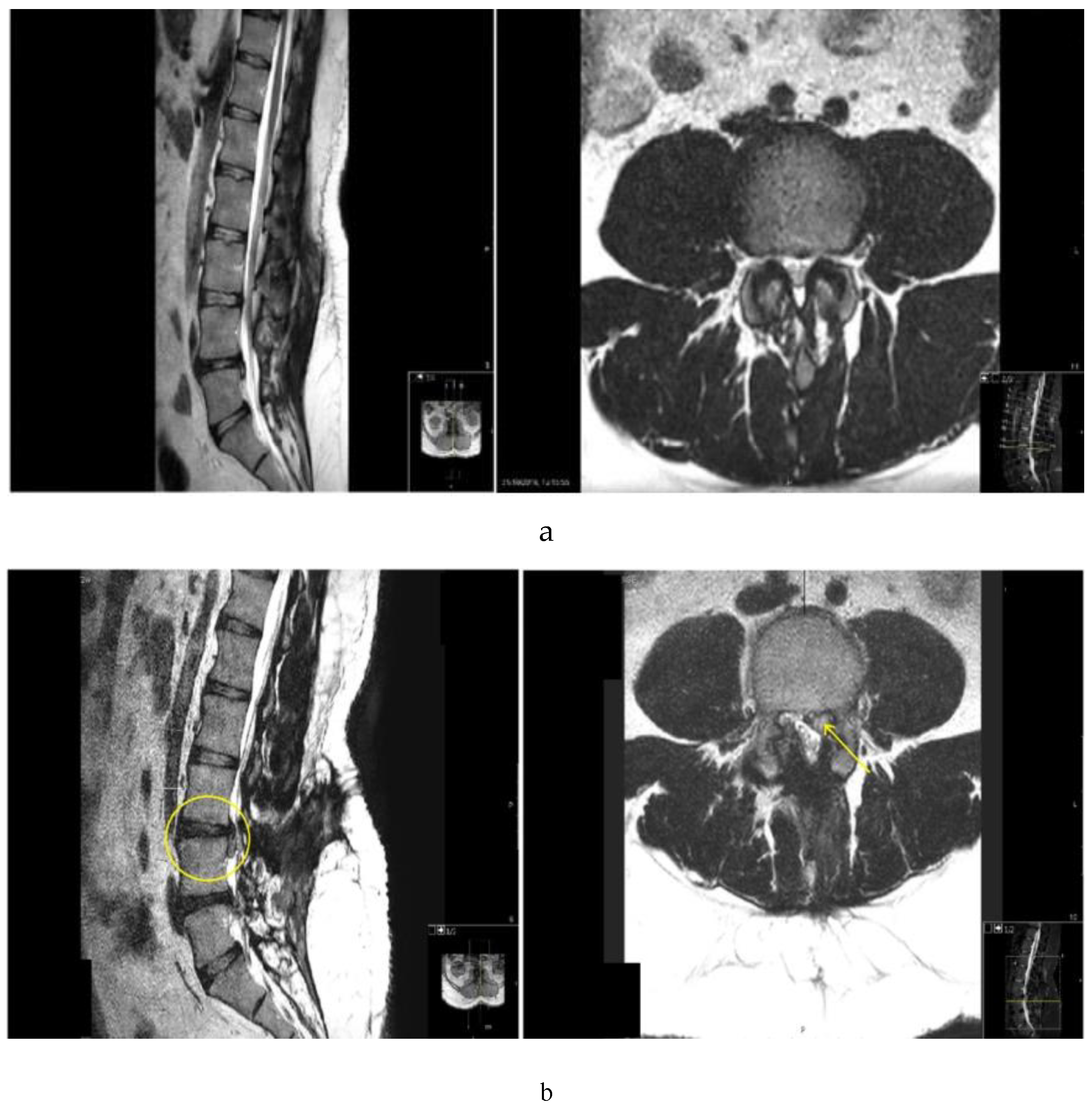
Results




Discussion
Limitations and strengths
Conclusion
References
- Kalichman L, Cole R, Kim DH, et al. (2009) Spinal stenosis prevalence and association with symptoms: the Framingham Study. Spine J 9:545–550. https://doi.org/10.1016/j.spinee.2009.03.005. [CrossRef]
- Ishimoto Y, Yoshimura N, Muraki S, et al. (2012) Prevalence of symptomatic lumbar spinal stenosis and its association with physical performance in a population-based cohort in Japan: the Wakayama Spine Study. Osteoarthr Cartil 20:1103–1108. https://doi.org/10.1016/j.joca.2012.06.018. [CrossRef]
- Costa F, Alves OL, Anania CD, et al. (2020) Decompressive surgery for lumbar spinal stenosis: WFNS spine committee recommendations. World Neurosurgery: X 7:100076. https://doi.org/10.1016/j.wnsx.2020.100076. [CrossRef]
- Weinstein JN, Tosteson TD, Lurie JD, et al. (2008) Surgical versus nonsurgical therapy for lumbar spinal stenosis. N Engl J Med 358:794–810. https://doi.org/10.1056/NEJMoa0707136. [CrossRef]
- Phan K, Mobbs RJ (2016) Minimally Invasive Versus Open Laminectomy for Lumbar Stenosis: A Systematic Review and Meta-Analysis. Spine 41:E91–E100. https://doi.org/10.1097/BRS.0000000000001161. [CrossRef]
- Overdevest GM, Jacobs W, Vleggeert-Lankamp C, et al. (2015) Effectiveness of posterior decompression techniques compared with conventional laminectomy for lumbar stenosis. Cochrane Database Syst Rev CD010036. https://doi.org/10.1002/14651858.CD010036.pub2. [CrossRef]
- Nerland US, Jakola AS, Solheim O, et al. (2015) Minimally invasive decompression versus open laminectomy for central stenosis of the lumbar spine: pragmatic comparative effectiveness study. BMJ 350:h1603. https://doi.org/10.1136/bmj.h1603. [CrossRef]
- Weinstein JN, Tosteson TD, Lurie JD, et al. (2006) Surgical vs nonoperative treatment for lumbar disk herniation: the Spine Patient Outcomes Research Trial (SPORT): a randomized trial. JAMA 296:2441–2450. https://doi.org/10.1001/jama.296.20.2441. [CrossRef]
- McMahon P, Dididze M, Levi AD (2012) Incidental durotomy after spinal surgery: a prospective study in an academic institution. J Neurosurg Spine 17:30–36. https://doi.org/10.3171/2012.3.SPINE11939. [CrossRef]
- Mueller K, Zhao D, Johnson O, et al. (2019) The difference in surgical site infection rates between open and minimally invasive spine surgery for degenerative lumbar pathology: A retrospective single center experience of 1442 cases. Oper Neurosurg (Hagerstown) 16:750–755. https://doi.org/10.1093/ons/opy221. [CrossRef]
- Takenaka S, Tateishi K, Hosono N, et al. (2016) Preoperative retrolisthesis as a risk factor of postdecompression lumbar disc herniation. J Neurosurg Spine 24:592–601. https://doi.org/10.3171/2015.6.SPINE15288. [CrossRef]
- Hwang H-J, Park H-K, Lee G-S, et al. (2016) Predictors of Reoperation after Microdecompression in Lumbar Spinal Stenosis. Korean J Spine 13:183–189. https://doi.org/10.14245/kjs.2016.13.4.183. [CrossRef]
- Hopp E, Tsou PM (1988) Postdecompression lumbar instability. Clin Orthop Relat Res 227:143–151.
- Yüce İ, Kahyaoğlu O, Çavuşoğlu HA, et al. (2019) Long-Term Clinical Outcome and Reoperation Rate for Microsurgical Bilateral Decompression via Unilateral Approach of Lumbar Spinal Stenosis. World Neurosurg 125:e465–e472. https://doi.org/10.1016/j.wneu.2019.01.105. [CrossRef]
- Tai C-L, Hsieh P-H, Chen W-P, et al. (2008) Biomechanical comparison of lumbar spine instability between laminectomy and bilateral laminotomy for spinal stenosis syndrome - an experimental study in porcine model. BMC Musculoskelet Disord 9:84. https://doi.org/10.1186/1471-2474-9-84. [CrossRef]
- Hamasaki T, Tanaka N, Kim J, et al. (2009) Biomechanical assessment of minimally invasive decompression for lumbar spinal canal stenosis: a cadaver study. J Spinal Disord Tech 22:486–491. https://doi.org/10.1097/BSD.0b013e31818d7dc9. [CrossRef]
- Lee MJ, Bransford RJ, Bellabarba C, et al. (2010) The effect of bilateral laminotomy versus laminectomy on the motion and stiffness of the human lumbar spine: a biomechanical comparison. Spine 35:1789–1793. https://doi.org/10.1097/BRS.0b013e3181c9b8d6. [CrossRef]
- Schizas C, Theumann N, Burn A, et al. (2010) Qualitative grading of severity of lumbar spinal stenosis based on the morphology of the dural sac on magnetic resonance images. Spine 35:1919–1924. https://doi.org/10.1097/BRS.0b013e3181d359bd. [CrossRef]
- Alimi M, Hofstetter CP, Pyo SY, et al. (2015) Minimally invasive laminectomy for lumbar spinal stenosis in patients with and without preoperative spondylolisthesis: clinical outcome and reoperation rates. J Neurosurg Spine 22:339–352. https://doi.org/10.3171/2014.11.SPINE13597. [CrossRef]
- Watters WC, Baisden J, Gilbert TJ, et al. (2008) Degenerative lumbar spinal stenosis: an evidence-based clinical guideline for the diagnosis and treatment of degenerative lumbar spinal stenosis. Spine J 8:305–310. https://doi.org/10.1016/j.spinee.2007.10.033. [CrossRef]
- Postacchini F, Cinotti G, Perugia D, Gumina S (1993) The surgical treatment of central lumbar stenosis. Multiple laminotomy compared with total laminectomy. J Bone Joint Surg Br 75:386–392. https://doi.org/10.1302/0301-620X.75B3.8496205. [CrossRef]
- Lurie JD, Tosteson TD, Tosteson A, et al. (2015) Long-term outcomes of lumbar spinal stenosis: eight-year results of the Spine Patient Outcomes Research Trial (SPORT). Spine 40:63–76. https://doi.org/10.1097/BRS.0000000000000731. [CrossRef]
- Goel VK, Fromknecht SJ, Nishiyama K, et al. (1985) The role of lumbar spinal elements in flexion. Spine 10:516–523. https://doi.org/10.1097/00007632-198507000-00005. [CrossRef]
- Rao RD, Wang M, Singhal P, et al. (2002) Intradiscal pressure and kinematic behavior of lumbar spine after bilateral laminotomy and laminectomy. Spine J 2:320–326. https://doi.org/10.1016/S1529-9430(02)00402-3. [CrossRef]
- Zander T, Rohlmann A, Klöckner C, Bergmann G (2003) Influence of graded facetectomy and laminectomy on spinal biomechanics. Eur Spine J 12:427–434. https://doi.org/10.1007/s00586-003-0540-0. [CrossRef]

Disclaimer/Publisher’s Note: The statements, opinions and data contained in all publications are solely those of the individual author(s) and contributor(s) and not of MDPI and/or the editor(s). MDPI and/or the editor(s) disclaim responsibility for any injury to people or property resulting from any ideas, methods, instructions or products referred to in the content. |
© 2023 by the authors. Licensee MDPI, Basel, Switzerland. This article is an open access article distributed under the terms and conditions of the Creative Commons Attribution (CC BY) license (http://creativecommons.org/licenses/by/4.0/).