Preprint
Article

This version is not peer-reviewed.

Enhanced Expression of Human Cyclin G1 (CCNG1) in Tumors, a Novel Biomarker in Development for Cancer Therapy/Gene Therapy

Submitted:

07 March 2021

Posted:

08 March 2021

You are already at the latest version

Abstract
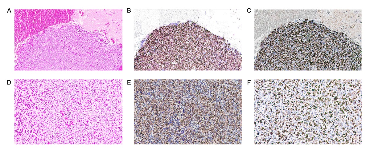
Background: Metastatic cancer is associated with an invariably fatal outcome. However, DeltaRex-G, a tumor- targeted retrovector encoding a CCNG1 inhibitor gene, has induced long term (>10 years) survival of patients with chemo-resistant metastatic pancreatic adenocarcinoma, MPNST, osteosarcoma, B-cell lymphoma, and breast carcinoma. Objective: To evaluate the level of CCNG1 expression in tumors as a potential biomarker for CCNG1 inhibitor therapy. Methods: CCNG1 RNA expression levels were measured in tumors (TCGA, N=9161), adjacent “tissues” (TCGA, N=678) and GTEx normal tissues (N=7187) across 22 organ sites. Differential expression of CCNG1 and Ki-67 in primary (N= 9161) vs metastatic (N= 393) tumors were also compared and particularly in primary (N=103) vs. metastatic (N=367) skin cancer (i.e., melanoma). Results: Enhanced CCNG1 RNA and protein expression were noted in tumors compared to normal analogous counterparts, and CCNG1 expression correlated significantly with that of Ki-67. Further, CCNG1 expression tended to be higher than that of Ki-67 in metastatic vs primary tumors, particularly in skin cancer (melanoma). Conclusions: Taken together, these data indicate that (1) CCNG1 expression is frequently enhanced in tumors when compared to their normal analogous counterparts, (2) CCNG1 and Ki-67 expressions are higher in metastatic vs primary tumors, (3) CCNG1 expression is significantly correlated with that of Ki-67, and (4) CCNG1 may be a stronger marker of metastasis than Ki-67. Phase 2 studies are planned to identify patients who are likely to respond favorably to CCNG1 inhibitor therapy by correlating treatment outcome parameters with CCNG1 expression levels in various cancer types.
Keywords: 
;  ;  ;  ;  
Copyright: This open access article is published under a Creative Commons CC BY 4.0 license, which permit the free download, distribution, and reuse, provided that the author and preprint are cited in any reuse.
Prerpints.org logo

Preprints.org is a free preprint server supported by MDPI in Basel, Switzerland.

Subscribe

Disclaimer

Terms of Use

Privacy Policy

Privacy Settings

© 2026 MDPI (Basel, Switzerland) unless otherwise stated