Preprint
Article

This version is not peer-reviewed.

Changes Induced by Pressure Processing on Immunoreactive Proteins of Tree Nuts

A peer-reviewed article of this preprint also exists.

Submitted:

29 January 2020

Posted:

30 January 2020

You are already at the latest version

Abstract
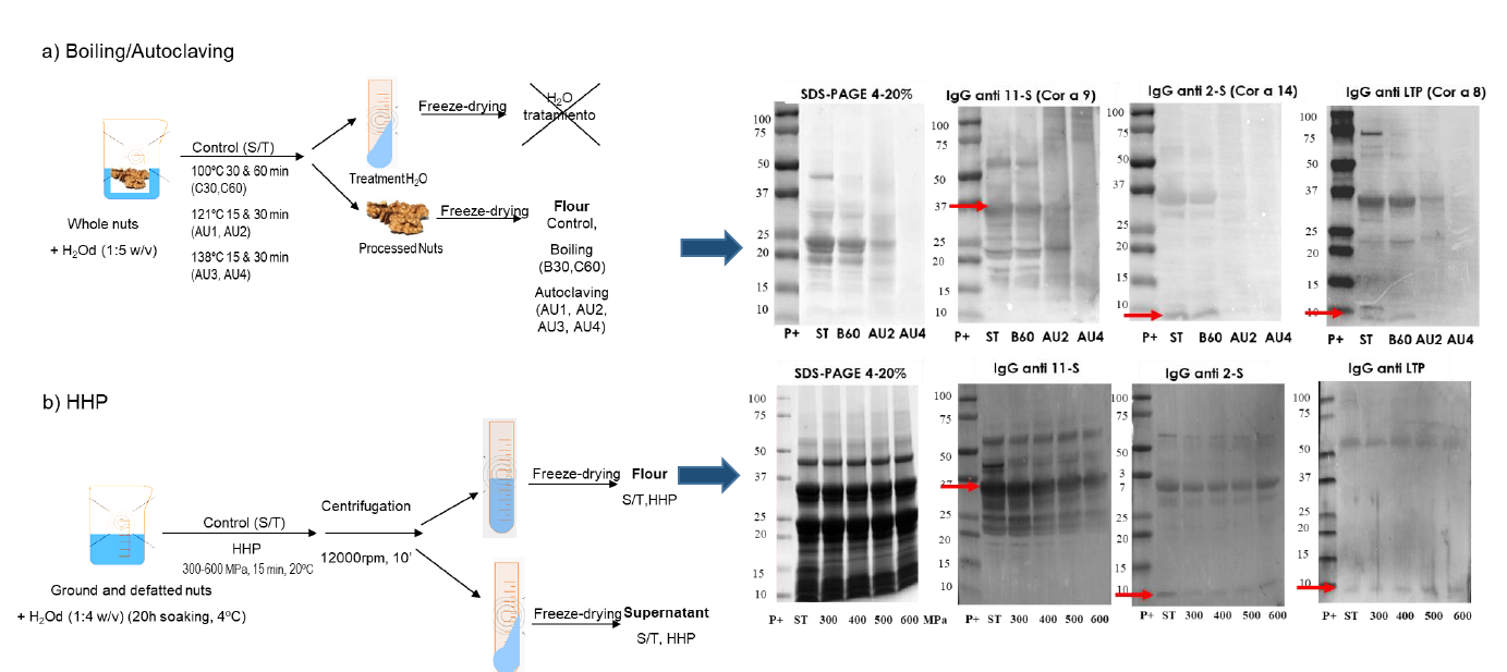
Tree nuts confer many health benefits because of their high content of vitamins and antioxidants and they are increasingly consumed in the last the years. Food processing is an important industrial tool to modify allergenic properties of foods, in addition to ensure safety and to enhance organoleptic characteristics. The effect of high pressure, without and with heating, on SDS-PAGE and immunodetection profile of potential allergenic proteins (anti-11S, anti-2S and anti-LTP) of pistachio, cashew, peanut, hazelnut, almond and chestnut was investigated. Processing based on heat and /or pressure and Ultra high pressure (HHP, 300-600 MPa) without heating was applied. After treating the six tree nuts with pressure combined with heat a progressive diminution of proteins with potential allergenic properties was observed. Moreover, some tree nuts proteins (pistachio, cashew and peanut) seemed to be more resistant to technological processing than others (hazelnut and chestnut). Differences among tree nut varieties were found regarding to protein content, SDS and immunoblotting profile. High pressure combined with heating processing markedly reduce tree nut allergenic potential as the pressure and treatment time increases. HHP do not alter hazelnut and almond immunoreactivity
Keywords: 
;  ;  ;  ;  ;  ;  ;  ;  
Copyright: This open access article is published under a Creative Commons CC BY 4.0 license, which permit the free download, distribution, and reuse, provided that the author and preprint are cited in any reuse.
Prerpints.org logo

Preprints.org is a free preprint server supported by MDPI in Basel, Switzerland.

Subscribe

Disclaimer

Terms of Use

Privacy Policy

Privacy Settings

© 2026 MDPI (Basel, Switzerland) unless otherwise stated