Submitted:
31 July 2025
Posted:
01 August 2025
You are already at the latest version
Abstract
Keywords:
Introduction
Methods
Ethics
Study population
Sample size estimation
Data collection
Inclusion Criteria
Exclusion Criteria
- Patients with other ligament injuries (MCL, PCL, LCL).
- History of previous ACL injury and repair.
- Presence of tibial or femoral fracture.
- Patients with co-existing arthropathy and skeletal congenital abnormalities.
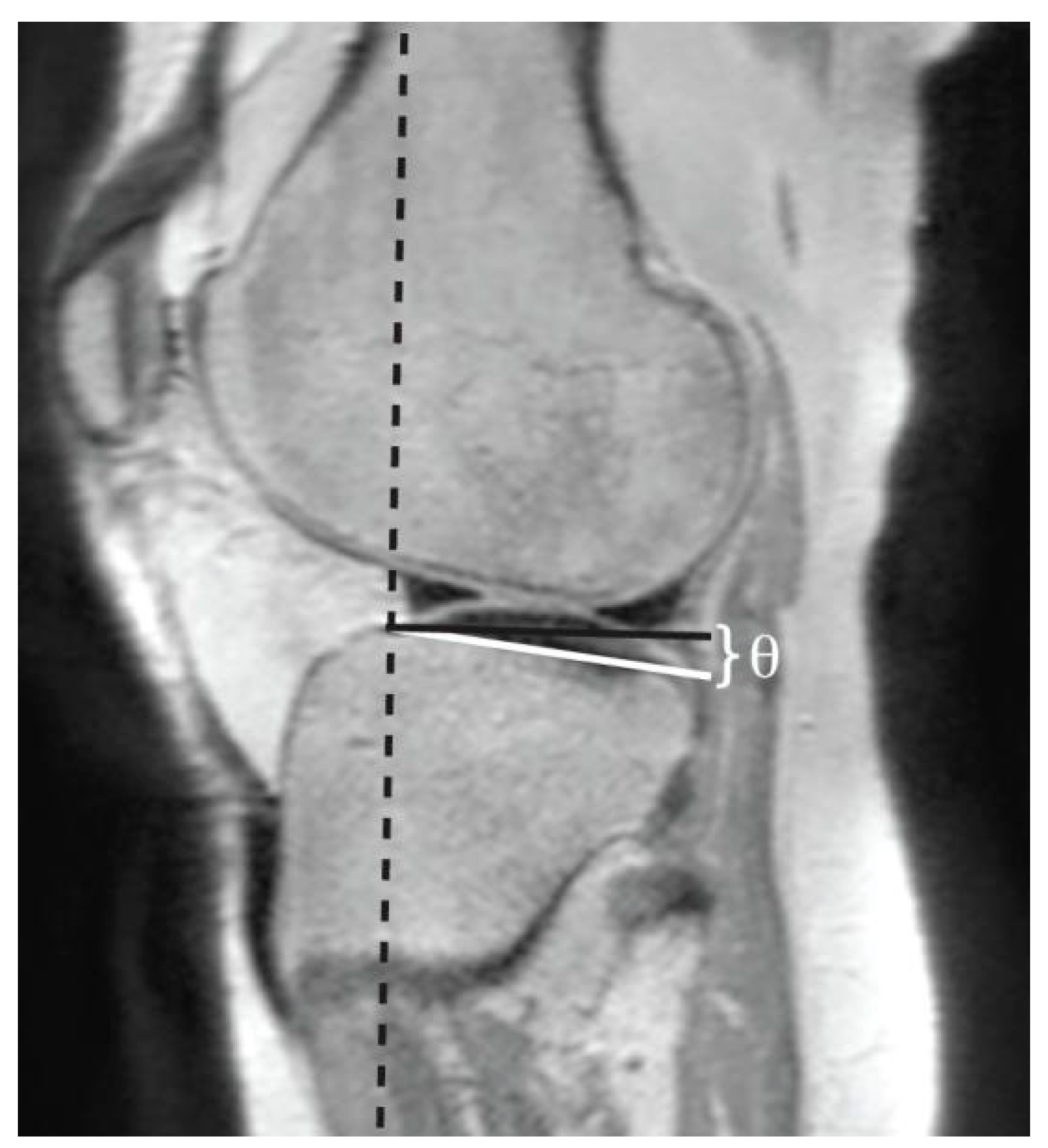
Measurement of Lateral Posterior Tibial Slope
Statistical Analysis
Results
Discussion
Conclusion
Author Contributions
Funding
Ethics committee approval
Data availability statement
Competing interests
References
- Chiu SSH. The anterior tibial translocation sign. Radiology. 2006;239(3):914-915. [CrossRef]
- Rekik RN, Tabben M, Eirale C, et al. ACL injury incidence, severity and patterns in professional male soccer players in a Middle Eastern league. BMJ Open Sport Exerc Med. 2018;4(1). [CrossRef]
- Shen L, Jin ZG, Dong QR, Li LB. Anatomical Risk Factors of Anterior Cruciate Ligament Injury. Chin Med J (Engl). 2018;131(24):2960. [CrossRef]
- Weinberg DS, Williamson DFK, Gebhart JJ, Knapik DM, Voos JE. Differences in Medial and Lateral Posterior Tibial Slope. American Journal of Sports Medicine. 2017;45(1):106-113. [CrossRef]
- Wordeman SC, Quatman CE, Kaeding CC, Hewett TE. In vivo evidence for tibial plateau slope as a risk factor for anterior cruciate ligament injury: A systematic review and meta-analysis. American Journal of Sports Medicine. 2012;40(7):1673-1681. [CrossRef]
- Bisicchia S, Scordo GM, Prins J, Tudisco C. Do ethnicity and gender influence posterior tibial slope? Journal of Orthopaedics and Traumatology. 2017;18(4):319-324. [CrossRef]
- Lipps DB, Wilson AM, Ashton-Miller JA, Wojtys EM. Evaluation of different methods for measuring lateral tibial slope using magnetic resonance imaging. American Journal of Sports Medicine. 2012;40(12):2731-2736. [CrossRef]
- Hudek R, Schmutz S, Regenfelder F, Fuchs B, Koch PP. Novel Measurement Technique of the Tibial Slope on Conventional MRI. Clin Orthop Relat Res. 2009;467(8):2066. [CrossRef]
- Sims K. Musculoskeletal MRI. J Can Chiropr Assoc. 2010;54(2):134. Accessed July 24, 2025. https://pmc.ncbi.nlm.nih.gov/articles/PMC2875914/.
- Nekkanti S, Patted P, Nair L, Chandru V, Shashank G. The variation of the posterior tibial slope in South Indians: A hospital-based study of 290 cases. Nigerian Journal of Orthopaedics and Trauma. 2018;17(1):17. [CrossRef]
- Pangaud C, Laumonerie P, Dagneaux L, et al. Measurement of the Posterior Tibial Slope Depends on Ethnicity, Sex, and Lower Limb Alignment: A Computed Tomography Analysis of 378 Healthy Participants. Orthop J Sports Med. 2020;8(1). [CrossRef]


![]() |
![]() |
![]() |
![]() |
Disclaimer/Publisher’s Note: The statements, opinions and data contained in all publications are solely those of the individual author(s) and contributor(s) and not of MDPI and/or the editor(s). MDPI and/or the editor(s) disclaim responsibility for any injury to people or property resulting from any ideas, methods, instructions or products referred to in the content. |
© 2025 by the authors. Licensee MDPI, Basel, Switzerland. This article is an open access article distributed under the terms and conditions of the Creative Commons Attribution (CC BY) license (http://creativecommons.org/licenses/by/4.0/).



