Submitted:
27 June 2025
Posted:
21 July 2025
You are already at the latest version
Abstract
Keywords:
1. Introduction
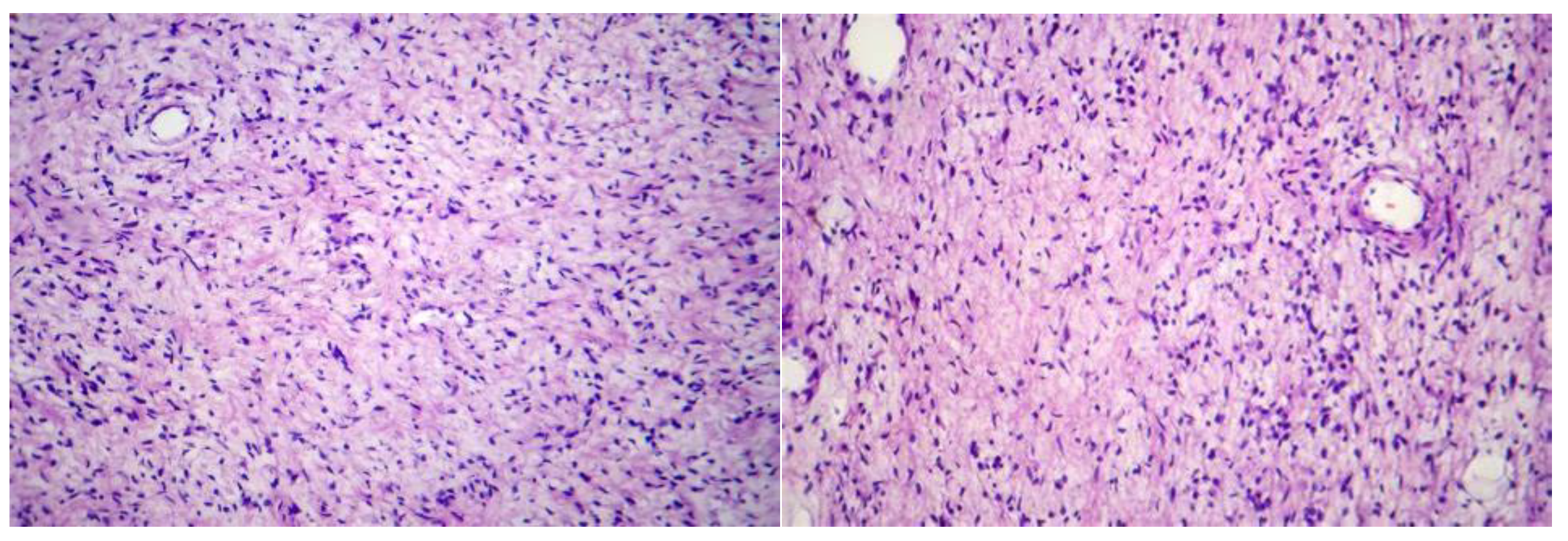
2. Case Presentation




3. Discussion
4. Conclusions
Funding
Consent
Ethical approval
References
- Zulfiqar M, Lin M, Ratkowski K, Gagnon MH, Menias C, Siegel CL. Imaging features of neurofibromatosis type 1 in the abdomen and pelvis. AJR Am J Roentgenol. 2021;216:241–51. [CrossRef]
- Cavallaro G, Basile U, Polistena A, Giustini S, Arena R, Scorsi A, et al. Surgical management of abdominal manifestations of type 1 neurofibromatosis: Experience of a single center. Am Surg. 2010;76:389–96.
- Rajiah P, Sinha R, Cuevas C, Dubinsky TJ, Bush WH, Jr, Kolokythas O. Imaging of uncommon retroperitoneal masses. Radiographics. 2011;31:949–76. [CrossRef]
- Ozcan HN, Karcaaltincaba M, Oguz B, Haliloglu M. Radiological manifestations of abdominopelvic nerve tumours seen in neurofibromatosis type 1. Clin Radiol. 2014;69:431–5. [CrossRef]
- Koşucu P, Ahmetoĝlu A, Cobanoĝlu U, Dinç H, Ozdemir O, Gümele HR. Mesenteric involvement in neurofibromatosis type 1: CT and MRI findings in two cases. Abdom Imaging. 2003;28:822–6. [CrossRef]
- Imamoğlu M, Cay A, Yariş N, Yayla S, Sarihan H. Intestinal mesenteric involvement with plexiform neurofibroma in neurofibromatosis type 1. Pediatr Int. 2006;48:337–9. [CrossRef]
- Gorbounova I, Lenahan A, Wenger T, Rudzinski E, Tang E, Smith C, et al. Mesenteric plexiform neurofibroma as a cause of weight loss and chronic diarrhea in a patient with YPEL3 variant. JPGN Reports. 2021;2:e098. [CrossRef]
- Li YT, Chen H, Ding X, Wu Q, Guo QC, Hu DM, et al. Features of CT and EUS in mesenteric plexiform neurofibroma with Neurofibromatosis type I: A case report. Radiol Case Rep. 2021;16:2103–7. [CrossRef]
- Levy AD, Patel N, Dow N, Abbott RM, Miettinen M, Sobin LH. From the archives of the AFIP: Abdominal neoplasms in patients with neurofibromatosis type 1: Radiologic-pathologic correlation. Radiographics. 2005;25:455–80. [CrossRef]
- Fortman BJ, Kuszyk BS, Urban BA, Fishman EK. Neurofibromatosis type 1: A diagnostic mimicker at CT. Radiographics. 2001;21:601–12. [CrossRef]

Disclaimer/Publisher’s Note: The statements, opinions and data contained in all publications are solely those of the individual author(s) and contributor(s) and not of MDPI and/or the editor(s). MDPI and/or the editor(s) disclaim responsibility for any injury to people or property resulting from any ideas, methods, instructions or products referred to in the content. |
© 2025 by the authors. Licensee MDPI, Basel, Switzerland. This article is an open access article distributed under the terms and conditions of the Creative Commons Attribution (CC BY) license (http://creativecommons.org/licenses/by/4.0/).