Submitted:
16 February 2025
Posted:
17 February 2025
You are already at the latest version
Abstract
Keywords:
Introduction
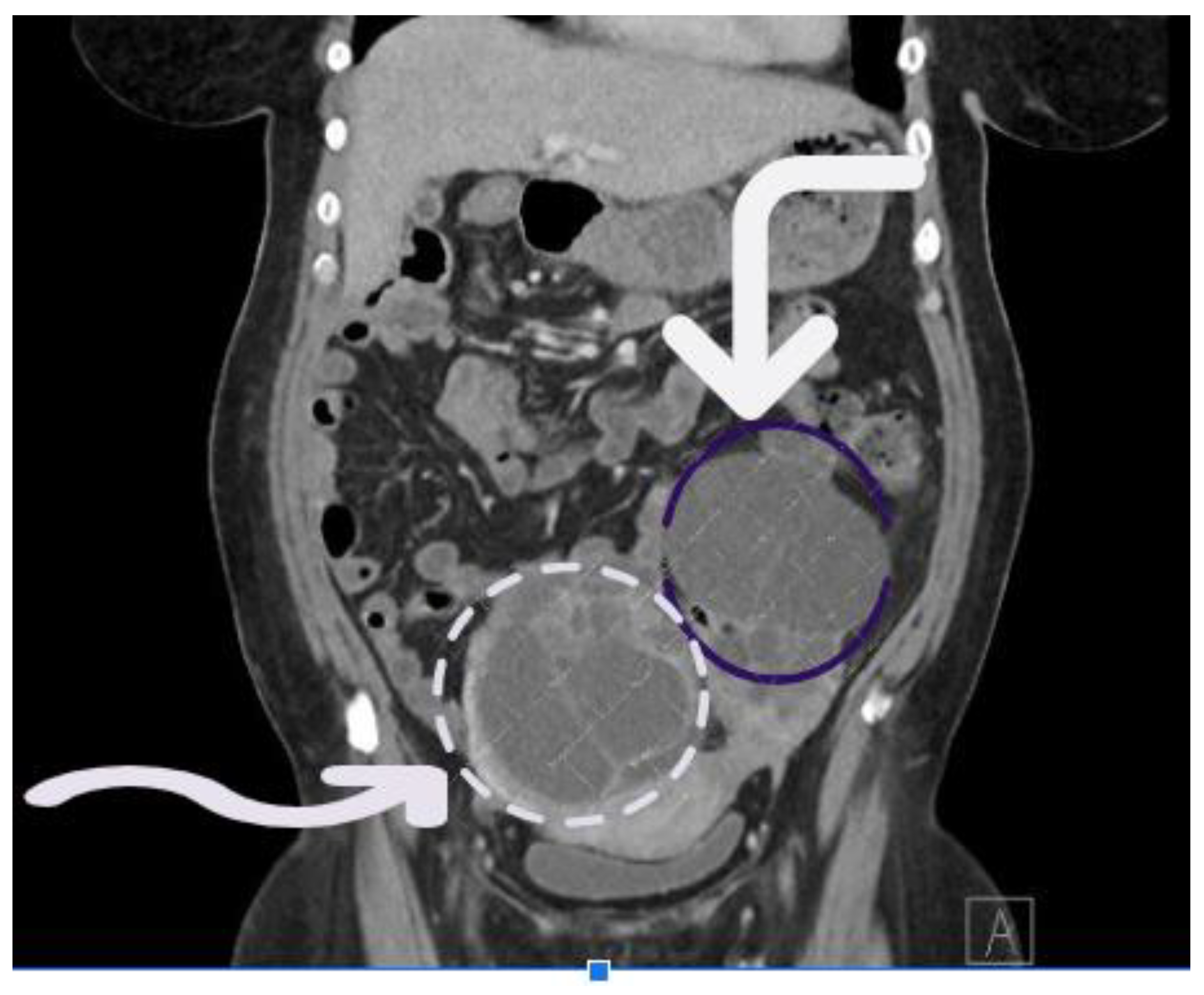
Case Presentation:
Discussion:
Probable Sources of Infection:
Management Strategies:
Clinical Features, Prognosis, and Mortality:
| Gender/Age | Probable Source of Infection | Antibiotic | Underlying disease | Co-Organism | Prognosis | Culture Source And Sensitivity/ Resistant |
| 50 yr/Fe | Gastro-intestinal | IV Ertapenem and oral Metronidazole | Metastatic Rectal Adenocarcinoma and Liver metastases | None | Recovered | Blood |
| 17yr/Fe[10] | Gastro-intestinal | Metronidazole and Surgical drainage | Autoimmune hepatitis, End-stage liver disease |
None | Recovered | Splenic abscess |
| 74yr/Fe[11] | Gastro-intestinal | Imipenem and Cilastin sodium and hydrocortisone |
Metastatic Ovarian Adenocarcinoma | None | Recovered | Blood (Strain was sensitive to cefoxitin, clindamycin, imipenem, meropenem, metronidazole, and vancomycin) |
| 32yr/M[17] | Osteomyelitis | Oral Clindamycin For 3 Months | Chronic Osteomyelitis |
None | Recovered | Bone (sensitive to penicillin, tetracycline, erythromycin, fusidic acid, rifampicin, linezolid, vancomycin and metronidazole) |
| 58yr/Fe[9] | Gastro-intestinal | Penicillin G | Alcoholic Chronic Liver Disease | - | Death due to Upper GI-bleeding | Ascites |
| 75yr/m [18] |
Unknown | Metronidazole | COPD | None | Recovered | Blood (Susceptible to Metronidazole (MIC-0.32 mg/ml)) |
| 68yr/m [18] |
Gastro-intestinal | Intravenous Amoxicillin/Clavulanic Acid and Intravenous Metronidazole | Cardiovascular disease [pericarditis] | None | Died after initial period of improvement | Blood (Susceptible to Metronidazole (MIC B/0.25 mg/ml)) |
| 72yr/Fe [19] |
Decubitus Ulcer | Ceftriaxone plus Metronidazole upgraded to for coverage of other co-organism Metronidazole, Oxacillin and Cefotaxime |
Dual malignancies of breast cancer and locally advanced shoulder myxo-fibrosarcoma on radiotherapy. Infected sacral decubitus ulcer; stage IV | S. hominis, & P. mirabilis |
Recovered | Blood (Susceptibleto metronidazole minimum inhibitory concentration (MIC- of 0.032)) |
| 19yr/M [20] |
Unknown | Metronidazole, Pip/Taz and oral Vancomycin | SMV thrombus | None | Recovered | Blood |
| 42yr/M [21] |
Decubitus Ulcer | Vancomycin and Rifampin | Paraplegic with necrotic decubitus with purulent discharge | MRSA | Recovered | Blood |
| 33yr/M [12] |
Unknown (? Aerosol) |
amoxicillin/clavulanate and pneumonectomy. and later Metronidazole was added and pericardiotomy done |
Pulmonary empyema progressing to pericardial effusion | Clostridium difficile |
Recovered | Pleural fluid (Susceptible to amoxicillin/clavulanate and metronidazole.) |
| 61yr/Fe [22] |
Gastro-intestinal | Imipenem, Amikacin and [Vancomycin for Cl. Cadaveris] | Metastatic RCC [S/P Surgery] and Lesser sac abscess. |
Escherichia coli & Bacteroides sp |
Recovered | Blood (But culture of the abscess grew Escherichia coli and Bacteroides sp.) |
| 66yr/Fe [22] |
Unknown | Mezlocillin, Gentamycin, Metronidazole later upgraded to Ceftazidime, Vancomycin Metronidazole and Tobramycin |
Chronic lymphoproliferative disease | Corynebacterium sp. & Bacillus sp |
Died of multiple organ failure |
Blood culture (susceptible to clindamycin (MICB/0.25 mg/ml) and metronidazole (MICB/0.25 mg/ml)) |
| 60yr/Fe [23] |
Iatrogenic | Intravenous clindamycin | Breast carcinoma with metastatic lytic lesion with septic arthritis in (S/P Total hip arthroplasty) |
None | Recovered | Bone debridement |
| 11yr/M [24] |
Trauma | Empirically oral Amoxicillin-Clavulanate and Piperacillin-Tazobactam upgrade to IV Cefepime and Daptomycin and Sequential debridement |
Traumatic Nail entering knee | None | Recovered | Arthrocentesis |
Conclusion:
Author Contributions
Funding Information
Ethics Approval Statements
Consent
Acknowledgements
Conflict of Interest Statements
References
- Saito, A.; Wu, S.; Kwoh, E. Clostridium Cadaveris Bacteremia in an Immunocompromised Host. J. Brown Hosp. Med. 2024, 3, 115586. [Google Scholar] [CrossRef] [PubMed]
- Klein: Ein beitrag zur bakteriologie der leichenverwesung - Google Scholar. Accessed December 21, 2024. https://scholar.google.com/scholar_lookup?journal=Zentralbl%20Bakteriol%20Parasitenkd%20Infektionskr%20Hyg&title=%5BEin%20beitrag%20zur%20bakteriologie%20der%20leichenverwesung%5D&author=E%20Klein&volume=1&publication_year=1899&pages=278-284&.
- Willis, AT. Anaerobic Bacteriology: Clinical and Laboratory Practice. Butterworth-Heinemann; 2014.
- Brook, I. Anaerobic Bacterial Bacteremia: 12-Year Experience in Two Military Hospitals. J. Infect. Dis. 1989, 160, 1071–1075. [Google Scholar] [CrossRef] [PubMed]
- Myers, G.; Ngoi, S.S.; Cennerazzo, W.; Harris, L.; DeCosse, J.J. Clostridial septicemia in an urban hospital. Surg Gynecol Obstet. 1992, 174, 291–6. [Google Scholar] [PubMed]
- Jousimies-Somer, H.; Summanen, P. Recent Taxonomic Changes and Terminology Update of Clinically Significant Anaerobic Gram-Negative Bacteria (Excluding Spirochetes). Clin. Infect. Dis Off Publ Infect Dis Soc Am. 2002, 35, S17–S21. [Google Scholar] [CrossRef] [PubMed]
- Jousimies-Somer H. Wadsworth-KTL anaerobic bacteriology manual. No Title. Published online 2002. Accessed December 21, 2024. https://cir.nii.ac.jp/crid/1130282272595631872.
- Advancement in the routine identification of anaerobic bacteria by MALDI-TOF mass spectrometry | European Journal of Clinical Microbiology & Infectious Diseases. Accessed December 21, 2024. https://link.springer.com/article/10.1007/s10096-013-1865-1.
- Herman R, Goldman IS, Bronzo R, McKinley MJ. Clostridium cadaveris: An Unusual Cause of Spontaneous Bacterial Peritonitis. | EBSCOhost. January 1, 1992. Accessed December 21, 2024. https://openurl.ebsco.com/contentitem/gcd:16018278?sid=ebsco:plink:crawler&id=ebsco:gcd:16018278.
- Yan, J.; Hinds, R.; Burgner, D. Clostridium Cadaveris Splenic Abscess in an Adolescent. J. Paediatr. Child Heal. 2018, 54, 460–461. [Google Scholar] [CrossRef] [PubMed]
- Li, X.; Wu, X.; Xu, Y.; Liu, Y. First Report of Bacteremia Caused by Clostridium cadaveris in China. Infect. Drug Resist. 2021, ume 14, 5411–5415. [Google Scholar] [CrossRef]
- Pleural Empyema Due to Clostridium difficile and... - Google Scholar. Accessed December 21, 2024. https://scholar.google.com/scholar?hl=en&as_sdt=0%2C21&q=Pleural+Empyema+Due+to+Clostridium+difficile+and+Clostridium+cadaveris&btnG=.
- McGlinchey, A.S.; Zepeda-Rivera, M.A.; Stepanovica, M.; Baryiames, A.A.; Jones, D.S.; LaCourse, K.D.; Bullman, S.; Johnston, C.D. Complete Genome Sequence of Clostridium cadaveris IFB3C5, Isolated from a Human Colonic Adenocarcinoma. Genome Announc. 2022, 11, e0113521. [Google Scholar] [CrossRef] [PubMed]
- Citron, D.M.; Merriam, C.V.; Tyrrell, K.L.; Warren, Y.A.; Fernandez, H.; Goldstein, E.J.C. In Vitro Activities of Ramoplanin, Teicoplanin, Vancomycin, Linezolid, Bacitracin, and Four Other Antimicrobials against Intestinal Anaerobic Bacteria. Antimicrob. Agents Chemother. 2003, 47, 2334–2338. [Google Scholar] [CrossRef] [PubMed]
- Kiu, R.; Caim, S.; Alcon-Giner, C.; Belteki, G.; Clarke, P.; Pickard, D.; Dougan, G.; Hall, L.J. Preterm Infant-Associated Clostridium tertium, Clostridium cadaveris, and Clostridium paraputrificum Strains: Genomic and Evolutionary Insights. Genome Biol. Evol. 2017, 9, 2707–2714. [Google Scholar] [CrossRef] [PubMed]
- Yamamoto, Y.; Itoh, N.; Sugiyama, T.; Kurai, H. Clinical features of Clostridium bacteremia in cancer patients: A case series review. J. Infect. Chemother. 2020, 26, 92–94. [Google Scholar] [CrossRef]
- Corrigan, R.A.; Lomas-Cabeza, J.; Stubbs, D.; McNally, M. Clostridium cadaveris Osteomyelitis: an Unusual Pathogen which Highlights the Importance of Deep Tissue Sampling in Chronic Osteomyelitis. J. Bone Jt. Infect. 2020, 5, 96–100. [Google Scholar] [CrossRef]
- Schade, R.P.; Van Rijn, M.; Timmers, H.J.L.M.; Dofferhoff, A.S.M.; Klaassen, C.H.W.; Meis, J.F.G.M. Clostridium cadaveris bacteraemia: Two cases and review. Scand. J. Infect. Dis. 2006, 38, 59–62. [Google Scholar] [CrossRef] [PubMed]
- Abarca, J.; Awada, B.; Itkin, B.; Milupi, M. Poly-microbial Clostridium cadaveris bacteremia in an immune-compromised patient. Oxf. Med Case Rep. 2023, 2023, omac146. [Google Scholar] [CrossRef] [PubMed]
- Knight, C.G.; Heitmann, P.T.; McDonald, C.R. Clostridium cadaveris bacteraemia with associated superior mesenteric vein thrombus. ANZ J. Surg. 2021, 91, E531–E532. [Google Scholar] [CrossRef] [PubMed]
- Poduval, R.D.; Mohandas, R.; Unnikrishnan, D.; Corpuz, M. Clostridium cadaveris Bacteremia in an Immunocompetent Host. Clin. Infect. Dis. 1999, 29, 1354–1355. [Google Scholar] [CrossRef] [PubMed]
- Gucalp, R.; Motyl, M.; Carlisle, P.; Dutcher, J.; Fuks, J.; Wiernik, P.H. Clostridium cadaveris bacteremia in the immunocompromised host. Med Pediatr. Oncol. 1993, 21, 70–72. [Google Scholar] [CrossRef] [PubMed]
- Morshed, S.; Malek, F.; Silverstein, R.M.; O'Donnell, R.J. Clostridium cadaveris Septic Arthritis after Total Hip Arthroplasty in a Metastatic Breast Cancer Patient. J. Arthroplast. 2007, 22, 289–292. [Google Scholar] [CrossRef] [PubMed]
- Lemonnier, N.; Payen, M.; Curado, J. Trauma-Induced Clostridium cadaveris Septic Arthritis of the Knee in an Immunocompetent Young Patient: A Case Report. Am. J. Case Rep. 2024, 25, e943084–e943084. [Google Scholar] [CrossRef] [PubMed]


Disclaimer/Publisher’s Note: The statements, opinions and data contained in all publications are solely those of the individual author(s) and contributor(s) and not of MDPI and/or the editor(s). MDPI and/or the editor(s) disclaim responsibility for any injury to people or property resulting from any ideas, methods, instructions or products referred to in the content. |
© 2025 by the authors. Licensee MDPI, Basel, Switzerland. This article is an open access article distributed under the terms and conditions of the Creative Commons Attribution (CC BY) license (http://creativecommons.org/licenses/by/4.0/).