Submitted:
26 September 2024
Posted:
30 September 2024
You are already at the latest version
Abstract
Keywords:
1. Introduction
2. Materials and Methods
2.1. Plant and Oil Materials
2.2. DNA Extraction
2.2.1. Pre-Concentration of the Oils
2.2.2. Modified CTAB Method
2.3. Bioinformatic Analysis and Design of Oligonucleotide Primers
2.4. PCR Analysis
2.5. Agarose Gel Electrophoresis
3. Results
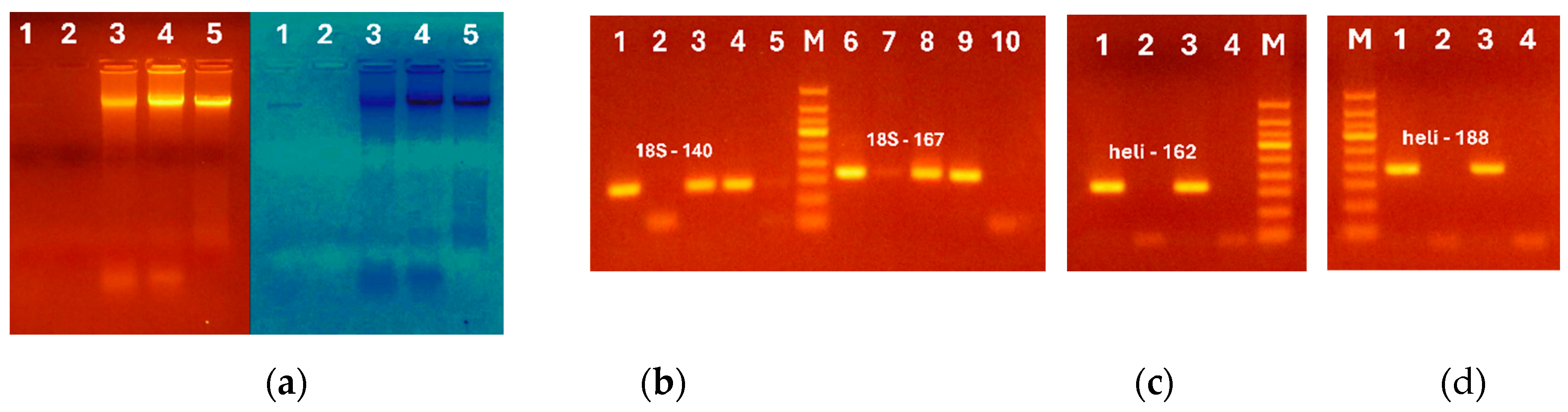
3.1. Selection of Effective PCR Primers for Identification of Sunflower
3.2. Selection of Efficient DNA Extraction Methods for Sunflower Seeds and Oils
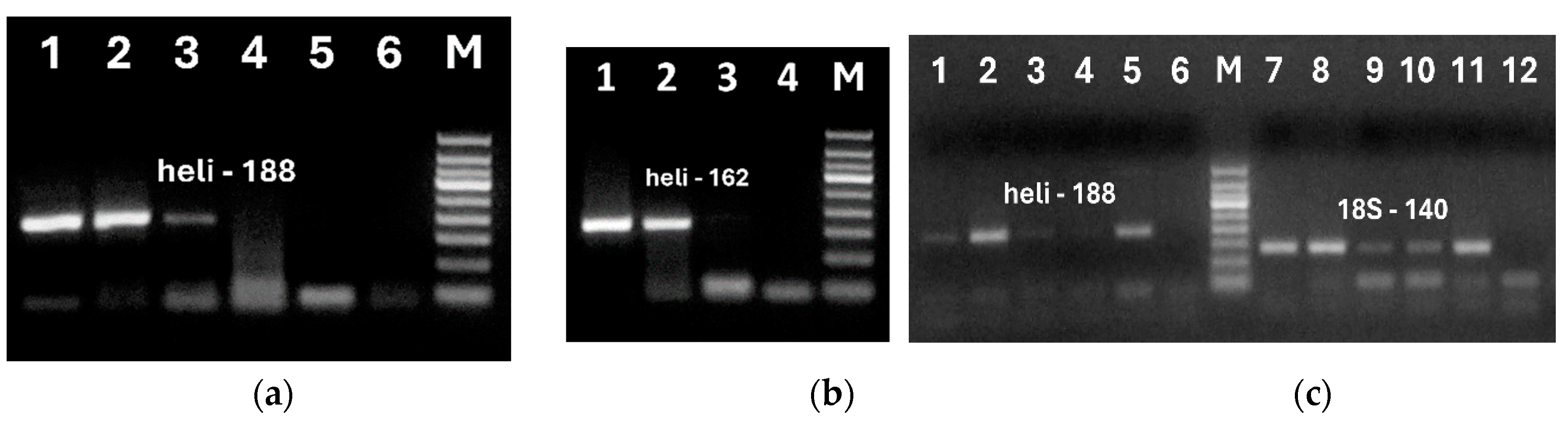
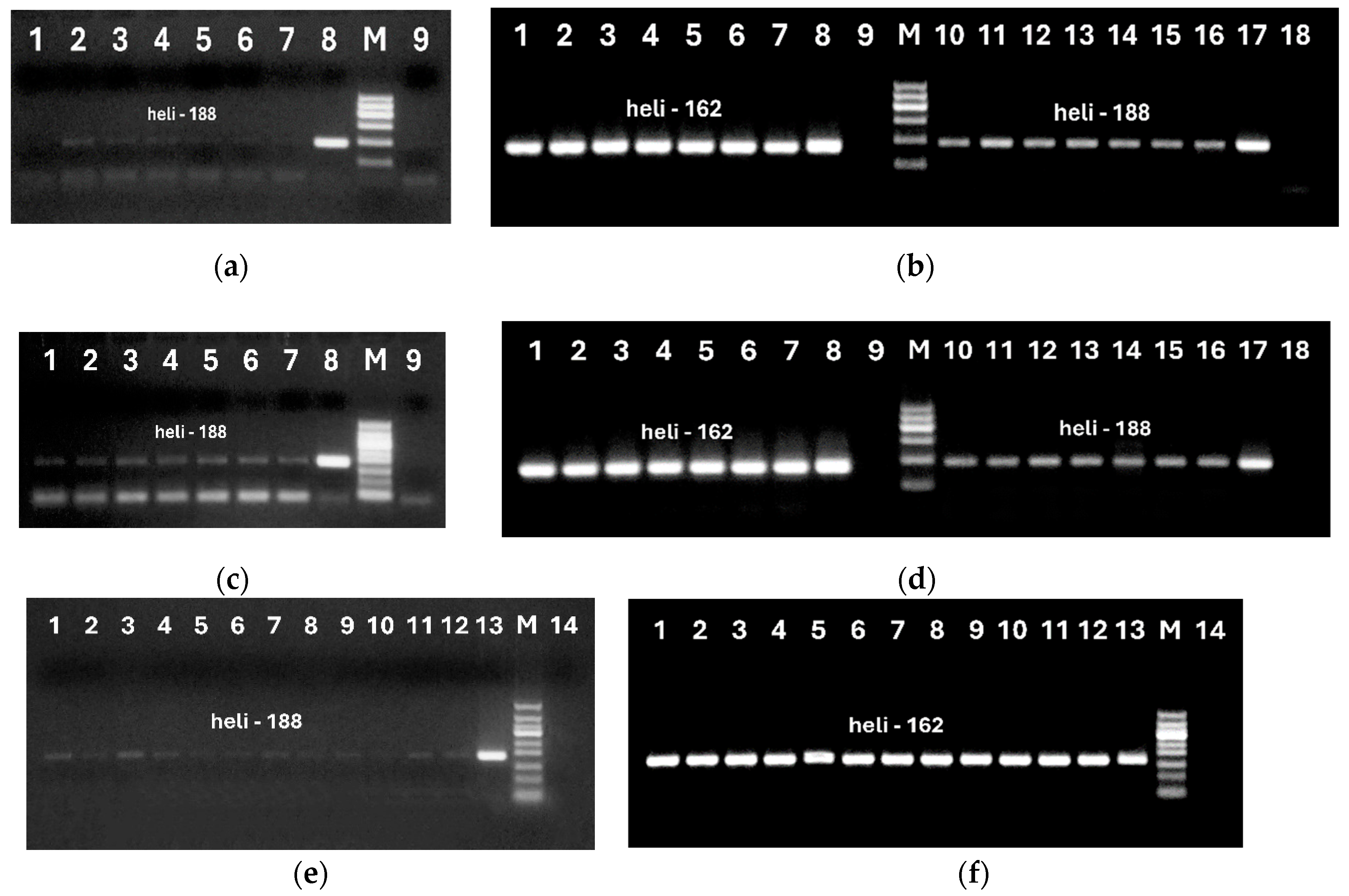
3.3. Development of Nested and Double PCRs for Sunflower Detection in Edible Oils
3.4. Tracing of Sunflower in UCO
4. Discussion
5. Conclusions
Author Contributions
Funding
Data Availability Statement
Acknowledgments
Conflicts of Interest
References
- Pilorgé, E. Sunflower in the Global Vegetable Oil System: Situation, Specificities and Perspectives. OCL 2020, 27, 34. [Google Scholar] [CrossRef]
- Li, Z.; Xiang, F.; Huang, X.; Liang, M.; Ma, S.; Gafurov, K.; Gu, F.; Guo, Q.; Wang, Q. Properties and Characterization of Sunflower Seeds from Different Varieties of Edible and Oil Sunflower Seeds. Foods 2024, 13(8), 1188. [Google Scholar] [CrossRef] [PubMed]
- Trakya University; Kaya, Y. Sunflower Production in Blacksea Region: The Situation and Problems. IJIAAR 2020, 4 (1), 147–155. [CrossRef]
- Kaya, M. D.; Ergin, N.; Harmancı, P.; Kulan, E. G. Seed Priming as a Method of Preservation and Restoration of Sunflower Seeds. OCL 2024, 31, 4. [Google Scholar] [CrossRef]
- An, J. Anaphylaxis to Sunflower Seed with Tolerance to Sunflower Oil: A Case Report. Medicina 2021, 57(7), 661. [Google Scholar] [CrossRef] [PubMed]
- Ukleja-Sokołowska, N.; Gawrońska-Ukleja, E.; Żbikowska-Gotz, M.; Bartuzi, Z.; Sokołowski, Ł. Sunflower Seed Allergy. Int J Immunopathol Pharmacol 2016, 29(3), 498–503. [Google Scholar] [CrossRef]
- Yagami, A. Anaphylaxis to Lipid Transfer Protein from Sunflower Seeds. Allergy 2010, 65(7), 1340–1341. [Google Scholar] [CrossRef]
- Axelsson, I. G. K.; Ihre, E.; Zetterström, O. Anaphylactic Reactions to Sunflower Seed. Allergy 1994, 49(7), 517–520. [Google Scholar] [CrossRef]
- Sumara, A.; Stachniuk, A.; Olech, M.; Nowak, R.; Montowska, M.; Fornal, E. Identification of Sunflower, Rapeseed, Flaxseed and Sesame Seed Oil Metabolomic Markers as a Potential Tool for Oil Authentication and Detecting Adulterations. PLoS ONE 2023, 18(4), e0284599. [Google Scholar] [CrossRef]
- Kumar, S.; Kahlon, T.; Chaudhary, S. A Rapid Screening for Adulterants in Olive Oil Using DNA Barcodes. Food Chemistry 2011, 127(3), 1335–1341. [Google Scholar] [CrossRef]
- Mannucci, P. M.; Jolliet, O.; Meijaard, E.; Slavin, J.; Rasetti, M.; Aleta, A.; Moreno, Y.; Agostoni, C. Sustainable Nutrition and the Case of Vegetable Oils to Match Present and Future Dietary Needs. Front. Public Health 2023, 11, 1106083. [Google Scholar] [CrossRef]
- Su, T.; Wei, P.; Wu, L.; Guo, Y.; Zhao, W.; Zhang, Y.; Chi, Z.; Qiu, L. Development of Nucleic Acid Isolation by Non-Silica-Based Nanoparticles and Real-Time PCR Kit for Edible Vegetable Oil Traceability. Food Chemistry 2019, 300, 125205. [Google Scholar] [CrossRef] [PubMed]
- Linacero, R.; Cuadrado, C. New Research in Food Allergen Detection. Foods 2022, 11(10), 1520. [Google Scholar] [CrossRef] [PubMed]
- Okolie, C. L.; Aryee, A. N. A.; Udenigwe, C. C. Detection and Deactivation of Allergens in Food. In Proteins in Food Processing; Elsevier, 2018; pp 367–387. [CrossRef]
- Jin, H.; Tu, L.; Wang, Y.; Zhang, K.; Lv, B.; Zhu, Z.; Zhao, D.; Li, C. Rapid Detection of Waste Cooking Oil Using Low-Field Nuclear Magnetic Resonance. Food Control 2023, 145, 109448. [Google Scholar] [CrossRef]
- Tan, C. H.; Kong, I.; Irfan, U.; Solihin, M. I.; Pui, L. P. Edible Oils Adulteration: A Review on Regulatory Compliance and Its Detection Technologies. J. Oleo Sci. 2021, 70(10), 1343–1356. [Google Scholar] [CrossRef] [PubMed]
- Tan, S. L.; Meriam Suhaimy, S. H.; Abd Samad, N. A. Evaluation of Fresh Palm Oil Adulteration with Recycled Cooking Oil Using GC-MS and ATR-FTIR Spectroscopy: A Review. Czech J. Food Sci. 2022, 40(1), 1–14. [Google Scholar] [CrossRef]
- Zhao, H.; Wang, Y.; Xu, X.; Ren, H.; Li, L.; Xiang, L.; Zhong, W. Detection of Adulterated Vegetable Oils Containing Waste Cooking Oils Based on the Contents and Ratios of Cholesterol, β-Sitosterol, and Campesterol by Gas Chromatography/Mass Spectrometry. Journal of AOAC INTERNATIONAL 2015, 98(6), 1645–1654. [Google Scholar] [CrossRef]
- BP Energy outlook, 2023 Edition, https://www.bp.com/content/dam/bp/business-sites/en/global/corporate/pdfs/energy-economics/energy-outlook/bp-energy-outlook-2023.pdf. [Accessed 07. 2024].
- Streimikiene, D.; Simionescu, M.; Bilan, Y. The Impact of Biodiesel Consumption by Transport on Economic Growth in the European Union. EE 2019, 30(1), 50–58. [Google Scholar] [CrossRef]
- Sakthivel, R.; Ramesh, K.; Purnachandran, R.; Mohamed Shameer, P. A Review on the Properties, Performance and Emission Aspects of the Third Generation Biodiesels. Renewable and Sustainable Energy Reviews 2018, 82, 2970–2992. [Google Scholar] [CrossRef]
- Ferella, F.; Mazziotti Di Celso, G.; De Michelis, I.; Stanisci, V.; Vegliò, F. Optimization of the Transesterification Reaction in Biodiesel Production. Fuel 2010, 89(1), 36–42. [Google Scholar] [CrossRef]
- Yuan, C.-S.; Lin, H.-Y.; Lee, W.-J.; Lin, Y.-C.; Wu, T.-S.; Chen, K.-F. A New Alternative Fuel for Reduction of Polycyclic Aromatic Hydrocarbon and Particulate Matter Emissions from Diesel Engines. Journal of the Air & Waste Management Association 2007, 57 (4), 465–471. [CrossRef]
- Brahma, S.; Nath, B.; Basumatary, B.; Das, B.; Saikia, P.; Patir, K.; Basumatary, S. Biodiesel Production from Mixed Oils: A Sustainable Approach towards Industrial Biofuel Production. Chemical Engineering Journal Advances 2022, 10, 100284. [Google Scholar] [CrossRef]
- Dulawat, M. S.; Makavana, J. M.; Kelaiya, S. V.; Gojiya, M. J.; Gadhiya, G. A.; Chauhan, P. M. Study on Biodiesel Production and Characterization for Used Cooking Oil. IRJPAC 2020, 76–86. [Google Scholar] [CrossRef]
- Aktas, E.S.; Demir, O.; Ucar, D. A Review of the Biodiesel Sources and Production Methods. International Journal of Energy and Smart Grid. 2020, 5, 1–10. [Google Scholar]
- Sudhakar, A.; Chakraborty, S. K.; Mahanti, N. K.; Varghese, C. Advanced Techniques in Edible Oil Authentication: A Systematic Review and Critical Analysis. Critical Reviews in Food Science and Nutrition 2023, 63(7), 873–901. [Google Scholar] [CrossRef] [PubMed]
- Wu, X.; Zhao, Z.; Tian, R.; Niu, Y.; Gao, S.; Liu, H. Total Synchronous Fluorescence Spectroscopy Coupled with Deep Learning to Rapidly Identify the Authenticity of Sesame Oil. Spectrochimica Acta Part A: Molecular and Biomolecular Spectroscopy 2021, 244, 118841. [Google Scholar] [CrossRef]
- Sun, X.; Zhang, L.; Li, P.; Xu, B.; Ma, F.; Zhang, Q.; Zhang, W. Fatty Acid Profiles Based Adulteration Detection for Flaxseed Oil by Gas Chromatography Mass Spectrometry. LWT - Food Science and Technology 2015, 63(1), 430–436. [Google Scholar] [CrossRef]
- Wei, W.; Sun, C.; Jiang, W.; Zhang, X.; Hong, Y.; Jin, Q.; Tao, G.; Wang, X.; Yang, Z. Triacylglycerols Fingerprint of Edible Vegetable Oils by Ultra-Performance Liquid Chromatography-Q-ToF-MS. LWT 2019, 112, 108261. [Google Scholar] [CrossRef]
- Cao, H.; Xue, B.; Jiang, Y.; Han, X.; Shi, H.; Cao, W. Application of Triacylglycerol Polymer Determination in the Quality Evaluation of Vegetable Oil. LWT - Food Science and Technology 2017, 82, 243–247. [Google Scholar] [CrossRef]
- Zhang, H.; Wu, Y.; Li, Y.; Wang, B.; Han, J.; Ju, X.; Chen, Y. PCR-CE-SSCP Used to Authenticate Edible Oils. Food Control 2012, 27(2), 322–329. [Google Scholar] [CrossRef]
- Pan, P.; Xing, Y.; Zhang, D.; Wang, J.; Liu, C.; Wu, D.; Wang, X. A Review on the Identification of Transgenic Oilseeds and Oils. Journal of Food Science 2023, 88(8), 3189–3203. [Google Scholar] [CrossRef]
- He, J.; Xu, W.; Shang, Y.; Zhu, P.; Mei, X.; Tian, W.; Huang, K. Development and Optimization of an Efficient Method to Detect the Authenticity of Edible Oils. Food Control 2013, 31(1), 71–79. [Google Scholar] [CrossRef]
- Costa, J.; Mafra, I.; Amaral, J. S.; Oliveira, M. B. P. P. Detection of Genetically Modified Soybean DNA in Refined Vegetable Oils. Eur Food Res Technol 2010, 230(6), 915–923. [Google Scholar] [CrossRef]
- Costa, J.; Mafra, I.; Oliveira, M. B. P. P. Advances in Vegetable Oil Authentication by DNA-Based Markers. Trends in Food Science & Technology 2012, 26(7), 43–55. [Google Scholar] [CrossRef]
- Debode, F.; Janssen, E.; Marien, A.; Berben, G. DNA Detection by Conventional and Real-Time PCR After Extraction from Vegetable Oils. J Americ Oil Chem Soc 2012, 89(4), 1249–1257. [Google Scholar] [CrossRef]
- Vietina, M.; Agrimonti, C.; Marmiroli, N. Detection of Plant Oil DNA Using High Resolution Melting (HRM) Post PCR Analysis: A Tool for Disclosure of Olive Oil Adulteration. Food Chemistry 2013, 141, 3820–3826. [Google Scholar] [CrossRef] [PubMed]
- Scollo, F.; Egea, L. A.; Gentile, A.; La Malfa, S.; Dorado, G.; Hernandez, P. Absolute Quantification of Olive Oil DNA by Droplet Digital-PCR (ddPCR): Comparison of Isolation and Amplification Methodologies. Food Chemistry 2016, 213, 388–394. [Google Scholar] [CrossRef]
- shayan, P.; Nemati, G.; Kamkar, A.; Eckert, B.; Akhondzadeh Basti, A.; Ashrafi Tamai1, I. Analysis of DNA Isolated from Different Oil Sources: Problems and Solution. Iranian Journal of Veterinary Medicine 2017, No. Online First. [CrossRef]
- Li, Y. Evaluation of Five DNA Extraction Methods for Commercial Vegetable Oils. Oil Crop Science 2018, 3, 122–136. [Google Scholar] [CrossRef]
- Vahdani, M.; Sahari, M. A.; Tanavar, M. Quantitative and Qualitative Analysis of Three DNA Extraction Methods from Soybean, Maize, and Canola Oils and Investigation of the Presence of Genetically Modified Organisms (GMOs). Food Chemistry: Molecular Sciences 2024, 8, 100201. [Google Scholar] [CrossRef]
- Hernández, M.; Esteve, T.; Pla, M. Real-Time Polymerase Chain Reaction Based Assays for Quantitative Detection of Barley, Rice, Sunflower, and Wheat. J. Agric. Food Chem. 2005, 53(18), 7003–7009. [Google Scholar] [CrossRef]
- Doveri, S.; Lee, D. Development of Sensitive Crop-Specific Polymerase Chain Reaction Assays Using 5S DNA: Applications in Food Traceability. J. Agric. Food Chem. 2007, 55(12), 4640–4644. [Google Scholar] [CrossRef]
- López-Calleja, I. M.; De La Cruz, S.; González, I.; García, T.; Martín, R. Duplex Real-Time PCR Using TaqMan® for the Detection of Sunflower (Helianthus Annuus) and Poppy (Papaver Rhoeas) in Commercial Food Products. LWT 2016, 65, 999–1007. [Google Scholar] [CrossRef]
- Datukishvili, N.; Gabriadze, I.; Kutateladze, T.; Karseladze, M.; Vishnepolsky, B. Comparative Evaluation of DNA Extraction Methods for Food Crops. Int J of Food Sci Tech 2010, 45(6), 1316–1320. [Google Scholar] [CrossRef]
- Ye, J.; Coulouris, G.; Zaretskaya, I.; Cutcutache, I.; Rozen, S.; Madden, T. L. Primer-BLAST: A Tool to Design Target-Specific Primers for Polymerase Chain Reaction. BMC Bioinformatics 2012, 13(1), 134. [Google Scholar] [CrossRef] [PubMed]
- Kalendar, R.; Lee, D.; Schulman, A. H. Java Web Tools for PCR, in Silico PCR, and Oligonucleotide Assembly and Analysis. Genomics 2011, 98(2), 137–144. [Google Scholar] [CrossRef] [PubMed]
- Zhang, W.-J.; Cai, Q.; Guan, X.; Chen, Q. Detection of Peanut (Arachis Hypogaea) Allergen by Real-Time PCR Method with Internal Amplification Control. Food Chemistry 2015, 174, 547–552. [Google Scholar] [CrossRef] [PubMed]
- Duan, Y.; Pi, Y.; Li, C.; Jiang, K. An Optimized Procedure for Detection of Genetically Modified DNA in Refined Vegetable Oils. Food Sci Biotechnol 2021, 30(1), 129–135. [Google Scholar] [CrossRef]
- Yonder Haar, R. A.; Allen, R. D.; Cohen, E. A.; Nessler, C. L.; Thomas, T. L. Organization of the Sunflower 11S Storage Protein Gene Family. Gene 1988, 74(2), 433–443. [Google Scholar] [CrossRef]
- Cheng, X.; Yang, T.; Wang, Y.; Zhou, B.; Yan, L.; Teng, L.; Wang, F.; Chen, L.; He, Y.; Guo, K.; Zhang, D. New Method for Effective Identification of Adulterated Camellia Oil Basing on Camellia Oleifera-Specific DNA. Arabian Journal of Chemistry 2018, 11(6), 815–826. [Google Scholar] [CrossRef]
- Schenk, J. J.; Becklund, L. E.; Carey, S. J.; Fabre, P. P. What Is the “Modified” CTAB Protocol? Appl Plant Sci 2023, 11(3), e11517. [Google Scholar] [CrossRef]
- Bojang, K. P.; Kuna, A.; Pushpavalli, S. N. C. V. L.; Sarkar, S.; Sreedhar, M. Evaluation of DNA Extraction Methods for Molecular Traceability in Cold Pressed, Solvent Extracted and Refined Groundnut Oils. J Food Sci Technol 2021, 58(9), 3561–3567. [Google Scholar] [CrossRef]
- Raieta, K.; Muccillo, L.; Colantuoni, V. A Novel Reliable Method of DNA Extraction from Olive Oil Suitable for Molecular Traceability. Food Chemistry 2015, 172(1), 596–602. [Google Scholar] [CrossRef]
- Horne, E. C.; Kumpatla, S. P.; Patterson, K. A.; Gupta, M.; Thompson, S. A. Improved High-Throughput Sunflower and Cotton Genomic DNA Extraction and PCR Fidelity. Plant Mol Biol Rep 2004, 22(1), 83–84. [Google Scholar] [CrossRef]
- Green, M. R.; Sambrook, J. Nested Polymerase Chain Reaction (PCR). Cold Spring Harb Protoc 2019, 2019 (2), pdb.prot095182. [CrossRef]
- And, R. T.; Lain, O. DNA Extraction from Olive Oil and PCR Amplification of Microsatellite Markers. Journal of Food Science 2005, 70(1), C108–C112. [Google Scholar] [CrossRef]







| Primer | Sequence 5'→3' | Target gene | Amplicon size (bp) | Reference |
|---|---|---|---|---|
| heli160f | TCAACGCCCACAATCTTCTC | helianthinin | 160 | This study |
| heli160r | CTTCCTTGTTCATTGGCTCTCT | |||
| heli162f | CTTCCCAGGCTGACTTTGTAA | helianthinin | 162 | This study |
| heli162r | GAAGATTGTGGGCGTTGATTG | |||
| heli177f | CCTTCCTACGTCAACACCCC | helianthinin | 177 | This study |
| heli177r | TCATAGGTTCTGCGGCATCC | |||
| heli188f | CCTTCCCAGGCTGACTTTGT | helianthinin | 188 | This study |
| heli188r | CTCAAGGCTCCCTCGGTTAC | |||
| 18S-140f | TCTGC-CCTATCAACTTTCGATGGTA | 18S rRNA | 140 | Zhang , 2015 |
| 18S-140r | AATTTGCGCGCCTGCTGCCTTCCTT | |||
| 18S-167f | GCAAGACCGAAACTCAAAGGA | 18S rRNA | 167 | Duan, 2021 |
| 18S-167r | ACGACAGCCATGCAGCACC |
| Extraction Method | Oil Samples (0.7 ml) | DNA (ng/µL) | A260/A280 |
A260/A230 |
|---|---|---|---|---|
| NucleSspin | Crude | 2.39 ± 0.76 | 1.80 ± 0.90 | 0.53 ± 0.09 |
| Cold pressed | 1.51 ± 0.64 | 1.60 ± 0.50 | 0.42 ±0.07 | |
| Extra virgin | 4.82 ± 2.07 | 1.49 ± 0.07 | 0.59 ± 0.04 | |
| Refined | 4.25 ± 0.90 | 1.42 ± 0.01 | 0.62 ± 0.02 | |
| UCO | 3.415 ± 0.70 | 2.09 ± 0.05 | 0.55 ± 0.07 | |
| Qiagen Food kit | Crude | 1.41 ± 0.02 | 1.14 ± 0.04 | 0.24 ± 0.01 |
| Cold pressed | 1.49 ± 0.55 | 1.00 ± 0.34 | 0.25 ± 0.03 | |
| Extra virgin | 1.30 ± 0.14 | 2.14 ± 1.58 | 0.25 ± 0.02 | |
| Refined | 1.40 ± 0.00 | 1.87 ± 0.20 | 0.25 ± 0.02 | |
| Oil Kit | Crude | 3.45 ± 0.10 | 2.03 ± 0.31 | 0.46 ± 0.00 |
| Cold pressed | 2.58 ± 0.55 | 2.03 ± 0.21 | 0.45 ± 0.05 | |
| Extra virgin | 2.47 ± 1.75 | 1.73 ± 0.17 | 0.44 ± 0.16 | |
| Refined | 1.72 ± 0.56 | 2.02 ± 0.10 | 0.36 ± 0.07 | |
| Modified CTAB | Crude | 5.15 ± 0.54 | 2.32 ± 0.13 | 0.24 ± 0.02 |
| Cold pressed | 5.41 ± 0.31 | 2.62 ± 0.80 | 0.25 ± 0.10 | |
| Extra virgin | 6.58 ± 1.75 | 2.11 ± 0.31 | 0.20 ± 0.01 | |
| Refined | 5.12 ± 0.71 | 1.91 ± 0.01 | 0.18 ± 0.01 | |
| UCO | 7.05 ± 1.68 | 2.09 ± 0.04 | 0.24 ± 0.02 |
Disclaimer/Publisher’s Note: The statements, opinions and data contained in all publications are solely those of the individual author(s) and contributor(s) and not of MDPI and/or the editor(s). MDPI and/or the editor(s) disclaim responsibility for any injury to people or property resulting from any ideas, methods, instructions or products referred to in the content. |
© 2024 by the authors. Licensee MDPI, Basel, Switzerland. This article is an open access article distributed under the terms and conditions of the Creative Commons Attribution (CC BY) license (http://creativecommons.org/licenses/by/4.0/).