Submitted:
17 September 2024
Posted:
18 September 2024
You are already at the latest version
Abstract
Keywords:
INTRODUCCIÓN
CUADRO CLINICO
Información del Paciente:
Evaluación Diagnóstica:
- ✓ Estudios hematológicos : mostraron bioquímica elemental iones enzimas hepáticas, pancreáticas, ácido úrico, pesquisa serológica de sífilis (serología y virus de inmunodeficiencia humana) normales, segmento urinario, conteo de Addis (normal) hematuria importante proteinemia normal. Electrocardiograma sin alteraciones.
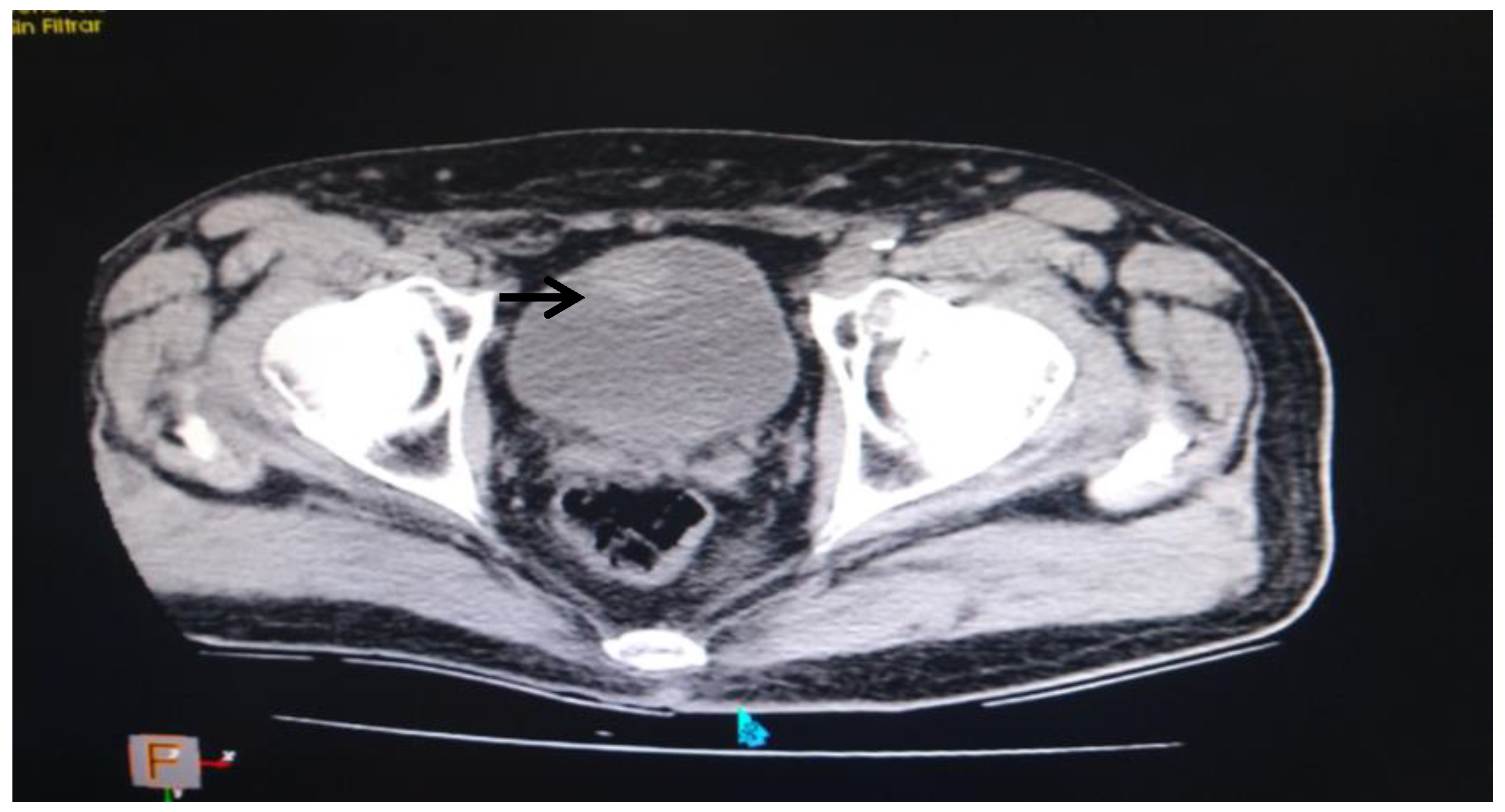
- ✓ Estudios imagenológicos:


- ✓ Cistoscopia

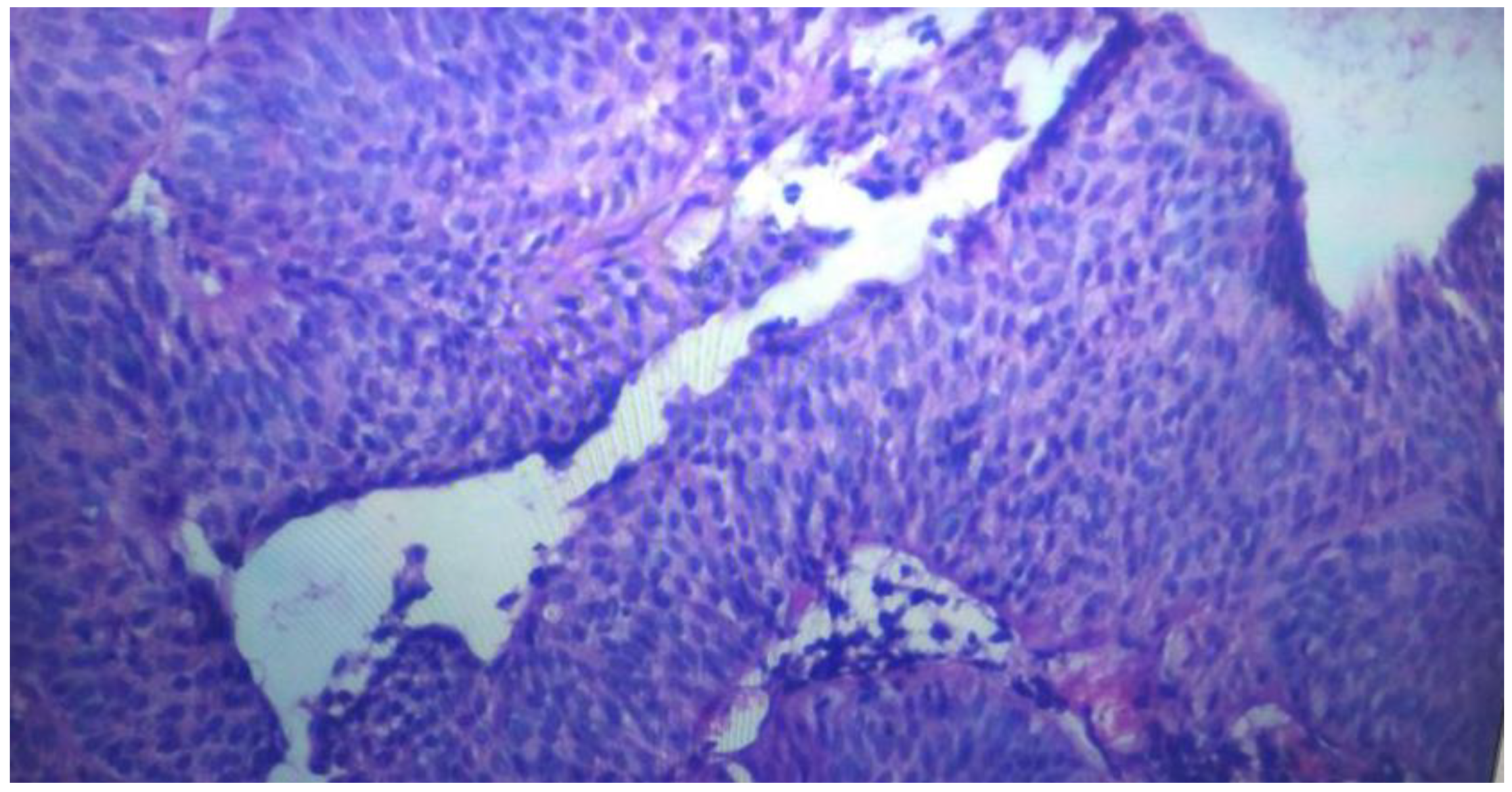
- ✓ Estudio histológico: se describen finos haces musculares que de forma discontinua se disponen paralelamente a la membrana basal y se acompañan de vasos cuyas paredes son gruesas. Finalmente la submucosa es el tejido conectivo que se sitúa entre la muscularis mucosae y la muscular propia. Llamando la atención células neoplasicas que invaden zona la zona situada entre la membrana basal y la muscularis mucosae, estando en relación con carcinoma de células transicionales de vejiga de bajo grado.(Figura 4)


DISCUSIÓN
CONCLUSIONES
Author Contributions
Funding
Conflicts of Interest
References
- Rivera-Marrero M. Caracterización clínica, epidemiológica y anatomopatológica de los pacientes con cáncer de vejiga. Revista Cubana de Urología [Internet]. 2018 [citado 6 Nov 2023]; 7 Disponible en: https://revurologia.sld.cu/index.php/rcu/article/view/402.
- Trias I., Orsola A., Español I., Vidal N., Raventós C.X., Bucar S.. Carcinoma urotelial de vejiga estadio T1: subestadiaje, patrones morfológicos de invasión y su significado pronóstico. Actas Urol Esp [Internet]. 2007 Oct [citado 2023 Nov 06] ; 31( 9 ): 1002-1008. Disponible en: http://scielo.isciii.es/scielo.php?script=sci_arttext&pid=S0210-48062007000900008&lng=es.
- Rizzuto I, Slade L, Yanling Y, Oehler MK. Synchronous Urinary Bladder Urothelial Carcinoma and Transitional Cell Carcinoma of the Ovary: A Case Report. Case Rep Oncol. 2023 Sep 14;16(1):912-918. [CrossRef] [PubMed]
- Liu J, Lai S, Wu P, Wang J, Wang J, Wang J, Zhang Y. Systematic oxidative stress indices predicts prognosis in patients with urothelial carcinoma of the upper urinary tract after radical nephroureterectomy. Eur J Med Res. 2023 Oct 28;28(1):469. [CrossRef] [PubMed]
- Ali W, Xiao W, Jacobs D, Kajdacsy-Balla A. Survival and Enrichment Analysis of Epithelial-Mesenchymal Transition Genes in Bladder Urothelial Carcinoma. Genes (Basel). 2023 Sep 30;14(10):1899. [CrossRef] [PubMed]
- Park HK. Do Histology and Primary Tumor Location Influence Metastatic Patterns in Bladder Cancer? Curr Oncol. 2023 Oct 11;30(10):9078-9089. [CrossRef] [PubMed]
- Prijovic N, Acimovic M, Santric V, Stankovic B, Nikic P, Vukovic I, Radovanovic M, Kovacevic L, Nale P, Babic U. The Impact of Variant Histology in Patients with Urothelial Carcinoma Treated with Radical Cystectomy: Can We Predict the Presence of Variant Histology? Curr Oncol. 2023 Sep 27;30(10):8841-8852. [CrossRef] [PubMed]
- López-Beltrán A, González-Peramato P, Sanz-Ortega J, Prieto Cuadra JD, Trias I, Luque Barona RJ, Semidey ME, Maroto P, Algaba F. Aspectos prácticos sobre la determinación de PD-L1 en el tratamiento de carcinoma urotelial. Consenso del grupo de uropatología de la SEAP [Practical aspects of PD-L1 assessment in the treatment of urothelial carcinoma: Consensus of the uropathology group of the SEAP]. Rev Esp Patol. 2023 Oct-Dec;56(4):261-270. Spanish. Epub 2023 Sep 1. [CrossRef] [PubMed]
- Li Y, Xu K, Zhang Y, Mao H, Qiu Q, Yan Z, Liu X, Du Y, Chen Z. Identification of a basement membrane-related genes signature with immune correlation in bladder urothelial carcinoma and verification in vitro. BMC Cancer. 2023 Oct 23;23(1):1021. [CrossRef] [PubMed]
- Varadi M, Horvath O, Modos O, Fazekas T, Grunewald CM, Niegisch G, Krafft U, Gronwald V, Hadaschik B, Olah C, Maroz A, Furka A, Szocs M, Nyirody P, Szarvas T. Efficacy of immune checkpoint inhibitor therapy for advanced urothelial carcinoma in real-life clinical practice: results of a multicentric, retrospective study. Sci Rep. 2023 Oct 13;13(1):17378. [CrossRef] [PubMed]
Disclaimer/Publisher’s Note: The statements, opinions and data contained in all publications are solely those of the individual author(s) and contributor(s) and not of MDPI and/or the editor(s). MDPI and/or the editor(s) disclaim responsibility for any injury to people or property resulting from any ideas, methods, instructions or products referred to in the content. |
© 2024 by the authors. Licensee MDPI, Basel, Switzerland. This article is an open access article distributed under the terms and conditions of the Creative Commons Attribution (CC BY) license (https://creativecommons.org/licenses/by/4.0/).