Submitted:
03 July 2024
Posted:
03 July 2024
You are already at the latest version
Abstract

Keywords:
1. Introduction
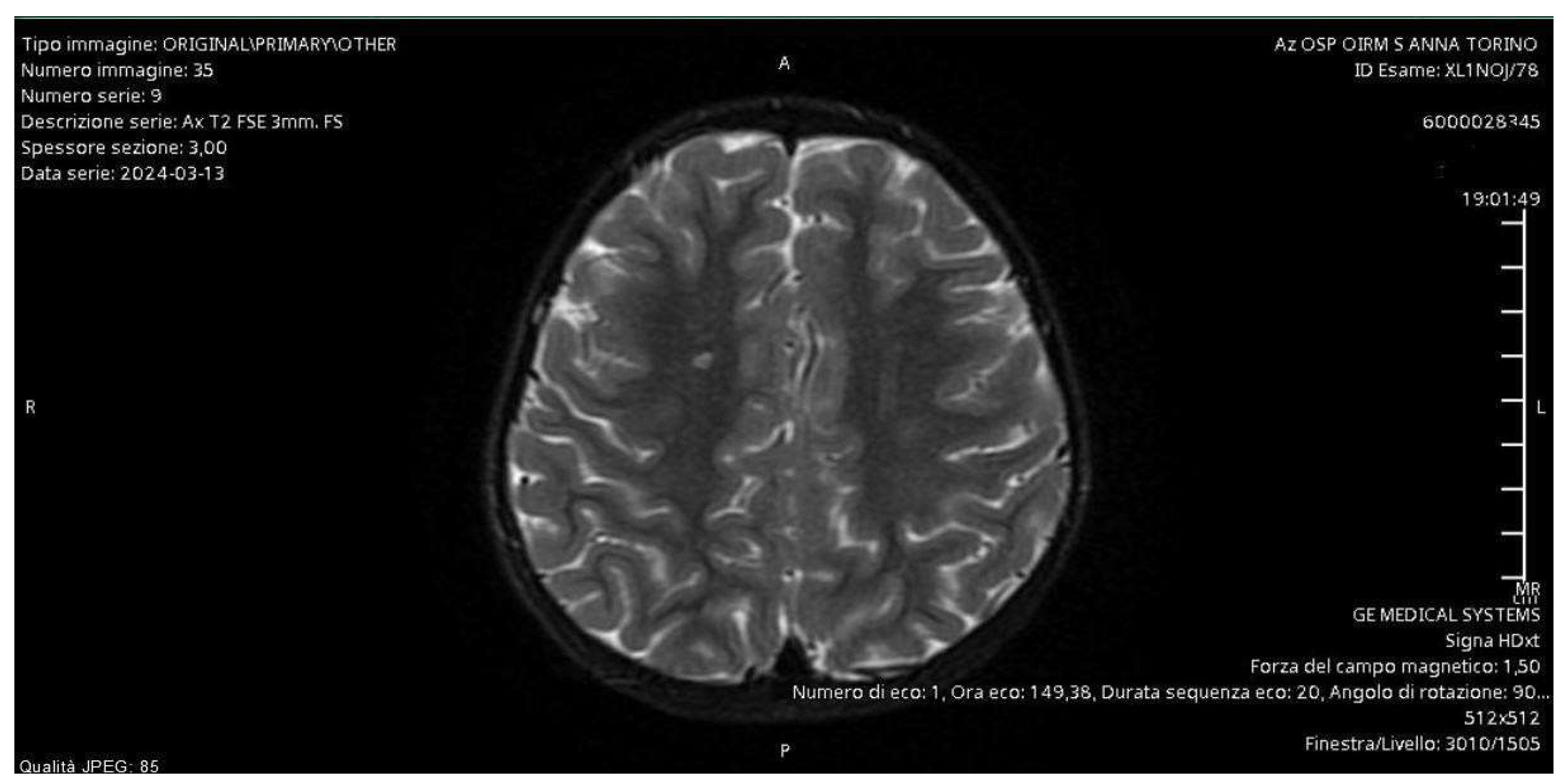
2. Case Report
3. Discussion
4. Conclusions
Informed Consent Statement
Conflicts of Interest
References
- Termsarasab, P. Chorea. Contin. Lifelong Learn. Neurol. 25, 1001–1035 (2019).
- Walker, R. H. Chorea: Contin. Lifelong Learn. Neurol. 19, 1242–1263 (2013).
- Baizabal-Carvallo, J. F. & Cardoso, F. Chorea in children: etiology, diagnostic approach and management. J. Neural Transm. 127, 1323–1342 (2020).
- Mohammad, S. S.; et al. Movement disorders in children with anti-NMDAR encephalitis and other autoimmune encephalopathies: AUTOIMMUNE MOVEMENT DISORDERS IN CHILDREN. Mov. Disord. 29, 1539–1542 (2014).
- Titulaer, M. J. , Leypoldt, F. & Dalmau, J. Antibodies to N-methyl-D-aspartate and other synaptic receptors in choreoathetosis and relapsing symptoms post–herpes virus encephalitis. Mov. Disord. 29, 3–6 (2014).
- Yilmaz, S. & Mink, J. W. Treatment of Chorea in Childhood. Pediatr. Neurol. 102, 10–19 (2020).
- Arecco, A. , Ottaviani, S., Boschetti, M., Renzetti, P. & Marinelli, L. Diabetic striatopathy: an updated overview of current knowledge and future perspectives. J. Endocrinol. Invest. 47, 1–15 (2023).
- Zijlmans, J. C. M. Vascular chorea in adults and children. in Handbook of Clinical Neurology vol. 100 261–270 (Elsevier, 2011).
- Abdshah, A.; et al. Incidence of neurological complications following pediatric heart surgery and its association with neutrophil-to-lymphocyte ratio. Health Sci. Rep. 6, e1077 (2023).
- Khan, A. , Hussain, N. & Gosalakkal, J. Post-pump chorea: Choreoathetosis after cardiac surgery with hypothermia and extracorporeal circulation. Journal of Pediatric Neurology (2012). [CrossRef]
- Gherpelli, J. L. D.; et al. Choreoathetosis after cardiac surgery with hypothermia and extracorporeal circulation. Pediatr. Neurol. 19, 113–118 (1998).
- Saudubray, J.-M. & García-Cazorla, Á. Clinical Approach to Inborn Errors of Metabolism in Paediatrics. In Inborn Metabolic Diseases (eds. Saudubray, J.-M., Baumgartner, M. R., García-Cazorla, Á. & Walter, J.) 3–123 (Springer Berlin Heidelberg, Berlin, Heidelberg, 2022). [CrossRef]
- Przekop, A. , Mcclure, C. & Ashwal, S. Postoperative encephalopathy with choreoathetosis. in Handbook of Clinical Neurology vol. 100 295–305 (Elsevier, 2011).
- Brunberg, J. A. , Doty, D. B. & Reilly, E. L. Choreoathetosis in infants following cardiac surgery with deep hypothermia and circulatory arrest. J. Pediatr. 84, 232–235 (1974).
- Popkirov, S. , Schlegel, U. & Skodda, S. Is postoperative encephalopathy with choreoathetosis an acquired form of neuroacanthocytosis? Med. Hypotheses 89, 21–23 (2016).
- Holden, K. R. , Sessions, J. C., Curé, J., Whitcomb, D. S. & Sade, R. M. NNeurologic outcomes in children with post-pump choreoathetosis.
- Medlock, M. D.; et al. A 10-year experience with postpump chorea. Ann. Neurol. 34, 820–826 (1993).
- Kirkham, F. J.; et al. Movement disorder emergencies in childhood. Eur. J. Paediatr.

| DIFFERENTIAL DIAGNOSIS OF CHOREA | |||||
|---|---|---|---|---|---|
| Disease | Diagnostic Biomarkers | Disease | Diagnostic Biomarkers | ||
| Rheumatic-Dysimmune Chorea | Metabolic Chorea | ||||
|
Anti-DNAse antibodies, TASLO, pharyngeal swab for |
Aminoacidopathies (such as homocystinuria and maple syrup urine disease) |
Amino-acids and total Homocysteine in plasma |
|||
| Rheumatic Fever | group A beta-hemolytic | ||||
| streptococcus infection. | |||||
| Organic acidemias (such as | |||||
| glutaric acidemia type 1, biotinidase deficiency, methylmalonic acidemia and |
Organic acids in urine, Acylcarnitines and Biotinidase activity in dried blood spots |
||||
| propionic acidemia) | |||||
| Antiphospholipids, | |||||
| Autoimmune | systemic | Lupus Anticoagulant (LAC), | |||
| diseases | ANA, anti-beta2 glycoprotein | ||||
| antibodies. |
Purine metabolism disorders (such as Lesch- |
Uric Acid in plasma | |||
| Nyhan disease) | |||||
|
Anti neuronal antibodies |
|||||
| (NMDA, MOG), anti-AMPAr, | |||||
| Dysimmune Encephalitis | anti-GABAr B1, anti-LG1, anti- | Wilson Disease | Ceruloplasmin in plasma | ||
| CASPR antibodies. | |||||
| Pyruvatemetabolism | |||||
| disorders (such as pyruvate | Lactate in plasma | ||||
| dehydrogenase deficiency). | |||||
| Infectious Chorea | Structural Basal Ganglia Chorea | ||||
|
Infectious diseases |
Serology for main neurotropic viruses: Lyme disease, EBV, Parvovirus, Measles,Chickenpox, Toxoplasma + Borrelia, |
Brain masses Vascular diseases Moya Moya Trauma |
Brain MRI Intracranial angiography |
MRI- |
|
| Mycoplasma, HIV. | |||||
| Toxic Chorea | Miscellaneous | ||||
|
Heavy metal and drugs intoxication |
Serum level of heavy metals (carbon monoxide, manganese) |
Nutritional deficit | Sodium,Potassium, Calcium | ||
| Vitaminic deficiency | B12 serum level | ||||
| Thyroid disease | TSH, fT4, fT3 | ||||
|
Anamnestic Chorea | |||||
| Drug- Induced | Post Pump | ||||
| Clinical History | |||||
Disclaimer/Publisher’s Note: The statements, opinions and data contained in all publications are solely those of the individual author(s) and contributor(s) and not of MDPI and/or the editor(s). MDPI and/or the editor(s) disclaim responsibility for any injury to people or property resulting from any ideas, methods, instructions or products referred to in the content. |
© 2024 by the authors. Licensee MDPI, Basel, Switzerland. This article is an open access article distributed under the terms and conditions of the Creative Commons Attribution (CC BY) license (http://creativecommons.org/licenses/by/4.0/).