Submitted:
19 June 2024
Posted:
20 June 2024
You are already at the latest version
Abstract
Keywords:
Introduction
Vascular Anatomy
Symptoms
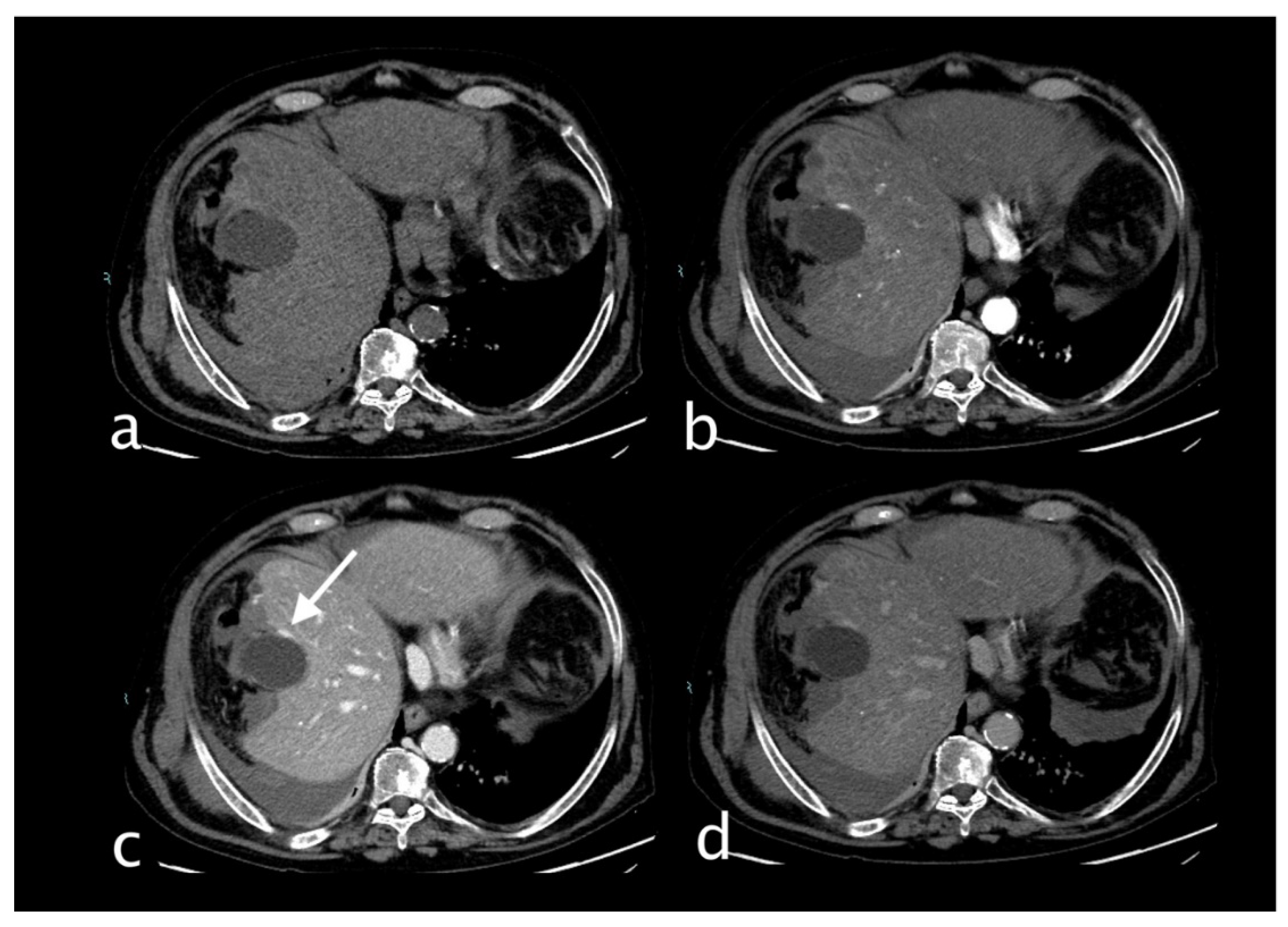
Imaging
Treatment
TRAUMATIC CYSTIC ARTERY BLEEDING
Non-Traumatic and Iatrogenic Cystic Artery Bleeding
Conclusions
References
- Hugh TB, Kelly MD, Li B: Laparoscopic anatomy of the cystic artery. Am J Surg 1992, 163(6):593-595. [CrossRef]
- Andall RG, Matusz P, du Plessis M, Ward R, Tubbs RS, Loukas M: The clinical anatomy of cystic artery variations: a review of over 9800 cases. Surg Radiol Anat 2016, 38(5):529-539. [CrossRef]
- Balija M, Huis M, Nikolic V, Stulhofer M: Laparoscopic visualization of the cystic artery anatomy. World J Surg 1999, 23(7):703-707; discussion 707. [CrossRef]
- Gupta R, Kumar A, Hariprasad CP, Kumar M: Anatomical variations of cystic artery, cystic duct, and gall bladder and their associated intraoperative and postoperative complications: an observational study. Ann Med Surg (Lond) 2023, 85(8):3880-3886. [CrossRef]
- Patil NS, Kumar AH, Pamecha V, Gattu T, Falari S, Sinha PK, Mohapatra N: Cystic artery pseudoaneurysm-a rare complication of acute cholecystitis: review of literature. Surg Endosc 2022, 36(2):871-880. [CrossRef]
- Vachhani PG, Copelan A, Remer EM, Kapoor B: Iatrogenic hepatopancreaticobiliary injuries: a review. Semin Intervent Radiol 2015, 32(2):182-194. [CrossRef]
- Machado NO, Al-Zadjali A, Kakaria AK, Younus S, Rahim MA, Al-Sukaiti R: Hepatic or Cystic Artery Pseudoaneurysms Following a Laparoscopic Cholecystectomy: Literature review of aetiopathogenesis, presentation, diagnosis and management. Sultan Qaboos Univ Med J 2017, 17(2):e135-e146. [CrossRef]
- Scaglione M, Masala S, Iacobellis F, Tonerini M, Sica G, Liguori C, Saba L, Tamburrini S: Imaging in Non-Traumatic Emergencies. Tomography 2023, 9(3):1133-1136. [CrossRef]
- Wirth S, Hebebrand J, Basilico R, Berger FH, Blanco A, Calli C, Dumba M, Linsenmaier U, Muck F, Nieboer KH et al.: European Society of Emergency Radiology: guideline on radiological polytrauma imaging and service (short version). Insights Imaging 2020, 11(1):135.
- Wittenberg A, Minotti AJ: CT diagnosis of traumatic gallbladder injury. AJR Am J Roentgenol 2005, 185(6):1573-1574. [CrossRef]
- Carey F, Rault M, Crawford M, Lewis M, Tan K: Case report: cystic artery pseudoaneurysm presenting as a massive per rectum bleed treated with percutaneous coil embolization. CVIR Endovasc 2020, 3(1):8. [CrossRef]
- Siddiqui NA, Chawla T, Nadeem M: Cystic artery pseudoaneurysm secondary to acute cholecystitis as cause of haemobilia. BMJ Case Rep 2011, 2011. [CrossRef]
- Khan H, Lourdusamy V, Bansal R: Cystic Artery Pseudoaneurysm Secondary to Cholecystitis: A Rare Cause of Hemobilia. Cureus 2023, 15(5):e39161. [CrossRef]
- Taghavi SMJ, Jaya Kumar M, Damodaran Prabha R, Puhalla H, Sommerville C: Cystic Artery Pseudoaneurysm: Current Review of Aetiology, Presentation, and Management. Surg Res Pract 2021, 2021:4492206. [CrossRef]
- Kim HC, Jeong YS, Han K, Kim GM: Transcatheter arterial embolization of cystic artery bleeding. Front Surg 2023, 10:1160149. [CrossRef]
- Lygidakis NJ, Okazaki M, Damtsios G: Iatrogenic hemobilia: how to approach it. Hepatogastroenterology 1991, 38(5):454-457.
- Desai AU, Saunders MP, Anderson HJ, Howlett DC: Successful transcatheter arterial embolisation of a cystic artery pseudoaneurysm secondary to calculus cholecystitis: a case report. J Radiol Case Rep 2010, 4(2):18-22. [CrossRef]
- Osada H, Ohno H, Watanabe W, Okada T, Nakada K, Honda N: Cystic artery bleeding due to blunt gallbladder injury: computed tomography findings and treatment with transcatheter arterial embolization. Jpn J Radiol 2010, 28(2):162-165. [CrossRef]
- Egawa N, Ueda J, Hiraki M, Ide T, Inoue S, Sakamoto Y, Noshiro H: Traumatic Gallbladder Rupture Treated by Laparoscopic Cholecystectomy. Case Rep Gastroenterol 2016, 10(2):212-217. [CrossRef]
- Pham HD, Nguyen TC, Huynh QH: Diagnostic imaging in a patient with an isolated blunt traumatic gallbladder injury. Radiol Case Rep 2021, 16(9):2557-2563. [CrossRef]
- Hamilton C, Carmichael S, Bernard A: Laparoscopic cholecystectomy for traumatic gallbladder perforation. J Surg Case Rep 2012, 2012(6):13. [CrossRef]
- Sharma O: Blunt gallbladder injuries: presentation of twenty-two cases with review of the literature. J Trauma 1995, 39(3):576-580. [CrossRef]
- Praveen Kumar Sunkara PRV, Shah PK, Rakshit K, Choudhary SR, Bohidar NP, Dubey SK: Rupture of Cystic Artery Pseudoaneurysm: a Rare Complication of Acute Cholecystitis. Indian J Surg 2018, 80(1):87-89. [CrossRef]
- Bulut HT, Yildirim A, Ekmekci B, Eskut N, Gunbey HP: False-negative diffusion-weighted imaging in acute stroke and its frequency in anterior and posterior circulation ischemia. J Comput Assist Tomogr 2014, 38(5):627-633. [CrossRef]
- Madanur MA, Battula N, Sethi H, Deshpande R, Heaton N, Rela M: Pseudoaneurysm following laparoscopic cholecystectomy. Hepatobiliary Pancreat Dis Int 2007, 6(3):294-298.









Disclaimer/Publisher’s Note: The statements, opinions and data contained in all publications are solely those of the individual author(s) and contributor(s) and not of MDPI and/or the editor(s). MDPI and/or the editor(s) disclaim responsibility for any injury to people or property resulting from any ideas, methods, instructions or products referred to in the content. |
© 2024 by the authors. Licensee MDPI, Basel, Switzerland. This article is an open access article distributed under the terms and conditions of the Creative Commons Attribution (CC BY) license (http://creativecommons.org/licenses/by/4.0/).