Submitted:
10 June 2024
Posted:
11 June 2024
You are already at the latest version
Abstract
Keywords:
1. Introduction
2. Materials and Methods
2.1. Case
2.2. Postmortem and Histopathology
2.3. Sample Collection and Preparation
2.4. Virus Isolation
2.5. DNA Extraction, PCR and Gel Electrophoresis
2.6. Sequencing and Sequence Analysis
3. Results
3.1. Postmortem
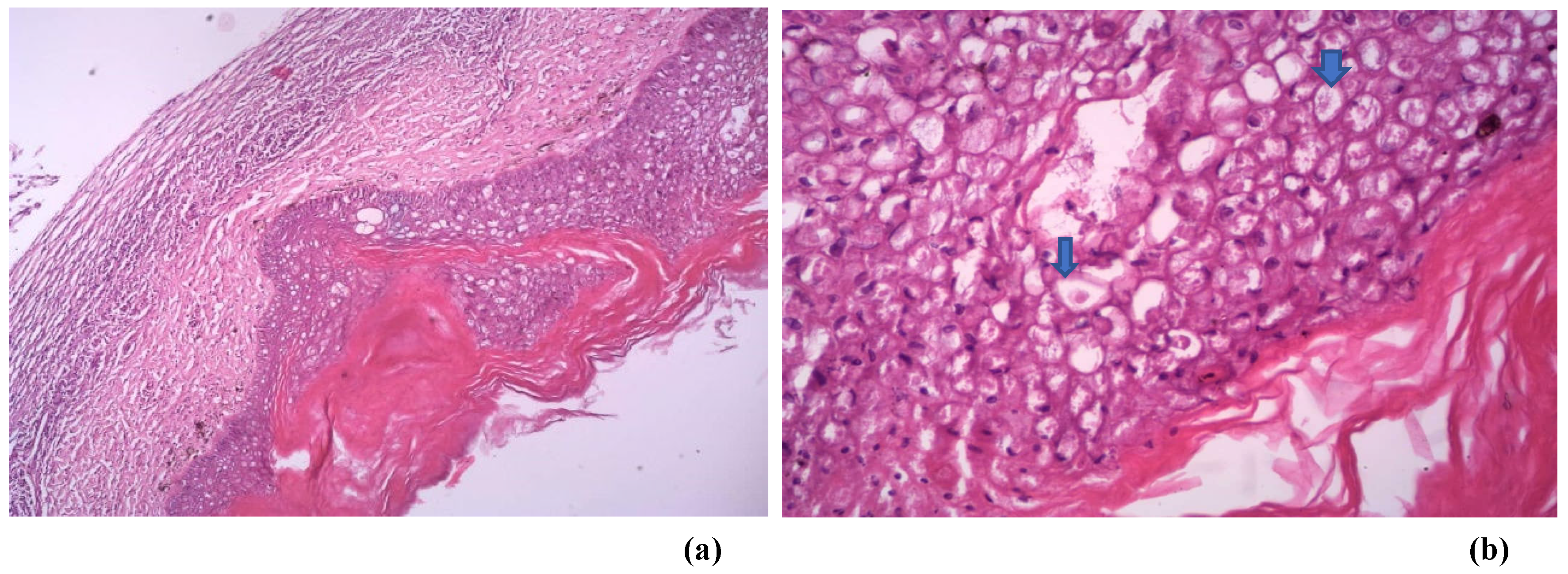
3.2. Histopathology
3.3. PCR and Gel Electrophoresis

3.4. Sequencing Data
4. Discussion
Author Contributions
Funding
Data Availability Statement
Acknowledgments
Conflicts of Interest
References
- Abd El-Samie, H. A., Mohamed, H. S., Al-Bakry, I. & Manal, A. Genomic characterisation of pigeon pox virus in Egypt. Zagazig Vet. J. 43, 94–101 (2015).
- Hibl, B. M., Blackwood, R. S., Simons, B. W. & Collins, D. E. Poxvirus Infection in a Colony of Laboratory Pigeons (Columba livia). Comp. Med. 69, 179–183 (2019). [CrossRef]
- Radwan, A. & Mikhael, C. Comparative Evaluation On The Efficacy Of Embryonated Chicken Egg Adapted And Tissue Culture Pigeon Pox Vaccines Against The Local Virulent Strain. J. Appl. Vet. Sci. 5, 87–93 (2020). [CrossRef]
- Boyle, D. B. Genus Avipoxvirus. Poxviruses 217–251 (2007). [CrossRef]
- Sultana, R. et al. Isolation and molecular detection of Fowl pox and Pigeon pox viruses for the development of live attenuated vaccine seeds from the local isolates. J. Bangladesh Agric. Univ. 17, 211–219 (2019). [CrossRef]
- Khaleefah, I. A. et al. Clinical and molecular detection of fowl pox in domestic pigeons in Basrah Southern of Iraq. Korean J. Vet. Res. 64, e7 (2024). [CrossRef]
- Kabir, L., Haque, E. & Borty, S. C. Isolation and Molecular Detection of Fowl Pox and Pigeon Pox Viruses From Recent Outbreak in Bangladesh. Indian J. Life Sci. 5, 1–7 (2015).
- Williams, R. A. J., Truchado, D. A. & Benitez, L. A Review on the Prevalence of Poxvirus Disease in Free-Living and Captive Wild Birds. Microbiol. Res. (Pavia). 12, 403–418 (2021). [CrossRef]
- Greenacre, C. B. Viral diseases of companion birds. Vet. Clin. North Am. Exot. Anim. Pract. 8, 85–105 (2005). [CrossRef]
- Somasundaram, C., Raj, A. & Rangasamy, A. Therapeutic Management of Cutaneous Form of Pigeon Pox in Coimbatore District of Tamil Nadu. Int. J. Livest. Res. 1 (2020). [CrossRef]
- Sudhakara, R. S., Sivajothi, S., Reddy B, S. & S, S. Therapeutic management of cutaneous form of pox in pigeons with azithromycin. Int. Int. J. Avian Wildl. Biol. 3, 2017–2019 (2018).
- Audarya, S. D. D. et al. Molecular Diagnosis of a Cutaneous Form of Pox in Pigeons at Mhow in Madhya Pradesh. Int. J. Curr. Microbiol. Appl. Sci. 7, 1318–1323 (2018). [CrossRef]
- Haller, S. L., Peng, C., McFadden, G. & Rothenburg, S. Poxviruses and the evolution of host range and virulence. Infect. Genet. Evol. 21, 15–40 (2014). [CrossRef]
- Tripathy, D. N. & Reed, W. M. Pox. in Diseases of Poultry 333–349 (Wiley, 2013). [CrossRef]
- Dharanesha, N. K., Baghel, K. R., Pathak, M. & Saminathan, M. Gross and histopathology of avian pox in a feral pigeon (Columba spp) - A case report. Indian J. Vet. Pathol. 44, 268–270 (2020). [CrossRef]
- David C. Tudor. Pigeon Pox: a continuing problem. (1978). doi:https://www.google.com/url?sa=i&rct=j&q=&esrc=s&source=web&cd=&cad=rja&uact=8&ved=0CBsQw7AJahcKEwjYw9ff38eBAxUAAAAAHQAAAAAQAw&url=https%3A%2F%2Fjournals.tdl.org%2Fwatchbird%2Findex.php%2Fwatchbird%2Farticle%2Fview%2F2952%2F2936&psig=AOvVaw1eIk55IS8XGCBhigdbTKB5&ust=1695799548451951&opi=89978449.
- Akanbi, O. B., Rimfa, A. G. & Okewole, P. A. Comparative study on diphtheritic, cutaneous and systemic forms of natural avipoxvirus infection in chickens. J. World Poult. Res. 6, 117–120 (2016).
- Sharma, B. et al. Occurrence and phylogenetic analysis of avipoxvirus isolated from birds around Jammu. VirusDisease 30, 288–293 (2019). [CrossRef]
- van Riper III, C. & Forrester, D. Avian pox. in Infectious diseases of wild birds (eds. Thomas, N. J., Hunter, D. B. & Atkinson, C. T.) 131–167 (Wiley, 2007). [CrossRef]
- Abd El Hafez, M. S., Shosha, E. A. E. M. & Ibrahim, S. M. Isolation and molecular detection of pigeon pox virusin Assiut and New Valley governorates. J. Virol. Methods 293, 114142 (2021).
- Bwala, D. G., Fasina, F. O. & Duncan, N. M. Avian poxvirus in a free-range juvenile speckled (rock) pigeon (Columba guinea). J. S. Afr. Vet. Assoc. 86, e1–e4 (2015). [CrossRef]
- Offerman, K., Carulei, O., van der Walt, A. P., Douglass, N. & Williamson, A.-L. The complete genome sequences of poxviruses isolated from a penguin and a pigeon in South Africa and comparison to other sequenced avipoxviruses. BMC Genomics 15, 463 (2014). [CrossRef]
- Ouma, E. A. et al. Poultry health constraints in smallholder village poultry systems in Northern Ghana and Central Tanzania. Front. Vet. Sci. 10, 1–13 (2023). [CrossRef]
- Butcher, G. D. & Miles, R. D. Avian Necropsy Techniques. https://edis.ifas.ufl.edu/publication/VM009 (2019).
- OIE. OIE Terrestial Manual; Fowl Pox. in OIE Terrestial Manual (2018).
- Pandey, M. et al. Detection of Pox virus in domestic pigeon. Indian J. Vet. Pathol. 38, 139 (2014). [CrossRef]
- Mohan, M. & Fernandez, T. F. A case report of Pigeon Pox-Histopathologic Diagnosis. Vet. World 1, 117–118 (2008).
- Rahman, S., Islam, M., Islam, M., Nazir, K. & Khan, M. Isolation and molecular detection of Avipox virus from field outbreaks in Mymensingh, Bangladesh. J. Adv. Vet. Anim. Res. 7710, 1 (2019). [CrossRef]
- Smriti, S., Upasana, V., Rs, S. & Sb, M. Efficacy of enrofloxacin for the therapeutic management of cutaneous form of pigeon pox. Pharma Innov. J. 12, 2766–2768 (2023).
- Hartati, S., Untari, T., Nuraini, A. L. & Nururrozi, A. A Case Report of Outbreak Avian Pox Virus from Layer Chickens and a Pigeon in Yogyakarta, Indonesia. Adv. Anim. Vet. Sci. 9, 1559–1563 (2021). [CrossRef]
- Lebdah, M., Hassanin, O. & Ali, A. Avipoxvirus in Egypt and African continent: A review. Zagazig Vet. J. 47, 364–377 (2019). [CrossRef]
- Wazari, M. I. & Saidu, L. CUTENEOUS AND DIPHTHERITIC FORMS OF AVIAN POX INFECTIONS IN A JUVENILE OSTRICH. Niger. Vet. J. 43, 76–83 (2022). [CrossRef]
- Ha, H. J., Alley, M., Howe, L. & Gartrell, B. Evaluation of the pathogenicity of avipoxvirus strains isolated from wild birds in New Zealand and the efficacy of a fowlpox vaccine in passerines. Vet. Microbiol. 165, 268–274 (2013). [CrossRef]
- Martain, A. R. Avian Poxvirus. https://www.wildlifecenter.org/avian-poxvirus (2023).
- Alexander, D. J., Calnek, B. W., Barnes, H. J., Beard, C. W. & McDougald, L. R. Diseases of poultry. Dis. Poult. 11, 1281/1423 (2003).
- He, L. et al. A novel pathogenic avipoxvirus infecting oriental turtle dove (Streptopelia orientalis) in China shows a high genomic and evolutionary proximity with the pigeon avipoxviruses isolated globally. Microbiol. Spectr. 11, (2023).
- Offerman, K. et al. Six host-range restricted poxviruses from three genera induce distinct gene expression profiles in an in vivo mouse model. BMC Genomics 16, 1–20 (2015). [CrossRef]
- Pravas Sahu, B. et al. First complete genome characterization of an Indian pigeon pox virus directly 1 from a clinical sample. BioRix Prepr. (2023). [CrossRef]
- Pandey, M. M. et al. Detection of Pox virus in domestic pigeon. Indian J. Vet. Pathol. 38, 139 (2014). [CrossRef]
- Husein, S. M. A., Agbolosu, A. A. & Ishaq, N. Characterization of Pigeon ( columba livia domestica ) Production Systems and Marketing in Northern Ghana. Res. Rev. A J. Vet. Sci. Technol. 12, 35–42 (2023).
- Landolt, M. & Kocan, R. M. Transmission of avian pox from starlings to Rothchild’s mynahs. J. Wildl. Dis. 12, 353–356 (1976). [CrossRef]
- Weli, S. C., Traavik, T., Tryland, M., Coucheron, D. H. & Nilssen, Ø. Analysis and comparison of the 4b core protein gene of avipoxviruses from wild birds: Evidence for interspecies spatial phylogenetic variation. Arch. Virol. 149, 2035–2046 (2004). [CrossRef]
- Mosad, S. Conventional and Molecular Detection of Avipoxviruses from Chickens, Pigeons and Turkeys. Mansoura Vet. Med. J. 20, 85–91 (2019).
- Sharma, B., Nashiruddullah, N., Ahmed, J. A., Sharma, S. & Ahamad, D. B. Host susceptibility of different Avipoxvirus isolates. J. Entomol. Zool. Stud. 7, 437–440 (2019).
- Abdallah, F. M. & Hassanin, O. Detection and molecular characterization of avipoxviruses isolated from different avian species in Egypt. Virus Genes 46, 63–70 (2013). [CrossRef]
- Mohammed, S. K. Pathogenic, antigenic and serological relationship between fowl pox, pigeon pox and canary pox viruses. (University of Khartoum, 2005).
- Boosinger, T. R., Winterfield, R. W., Feldman, D. S. & Dhillon, A. S. Psittacine pox virus: virus isolation and identification, transmission, and cross-challenge studies in parrots and chickens. Avian Dis. 26, 437–444 (1982). [CrossRef]



| Sampe ID | Barcode ID | QC Passed Reads | Mapped Reads | % Mapped |
|---|---|---|---|---|
| LS | NB26 | 162370 | 162370 | 100% |
| OG | NB27 | 6369 | 6369 | 100% |
| TC | NB28 | 54466 | 54466 | 100% |
| FS | NB29 | 26582 | 26582 | 100% |
| GI | NB30 | 1653 | 1653 | 100% |
| LG | NB31 | 97350 | 97350 | 100% |
Disclaimer/Publisher’s Note: The statements, opinions and data contained in all publications are solely those of the individual author(s) and contributor(s) and not of MDPI and/or the editor(s). MDPI and/or the editor(s) disclaim responsibility for any injury to people or property resulting from any ideas, methods, instructions or products referred to in the content. |
© 2024 by the authors. Licensee MDPI, Basel, Switzerland. This article is an open access article distributed under the terms and conditions of the Creative Commons Attribution (CC BY) license (http://creativecommons.org/licenses/by/4.0/).