Submitted:
29 January 2024
Posted:
30 January 2024
You are already at the latest version
Abstract
Keywords:
1. Introduction
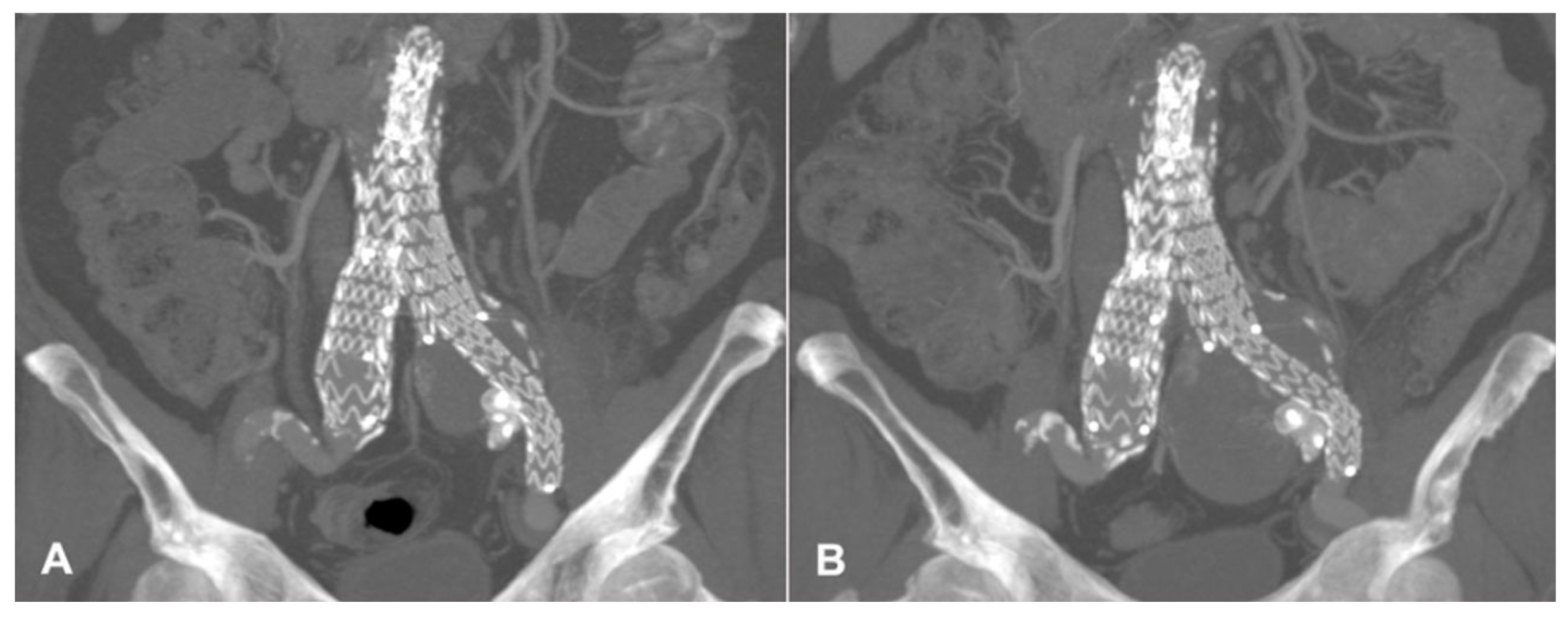
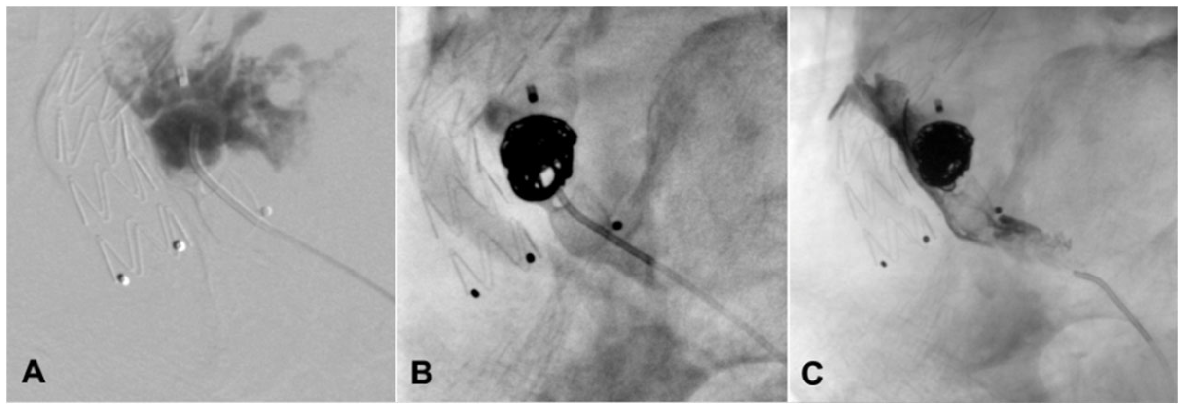
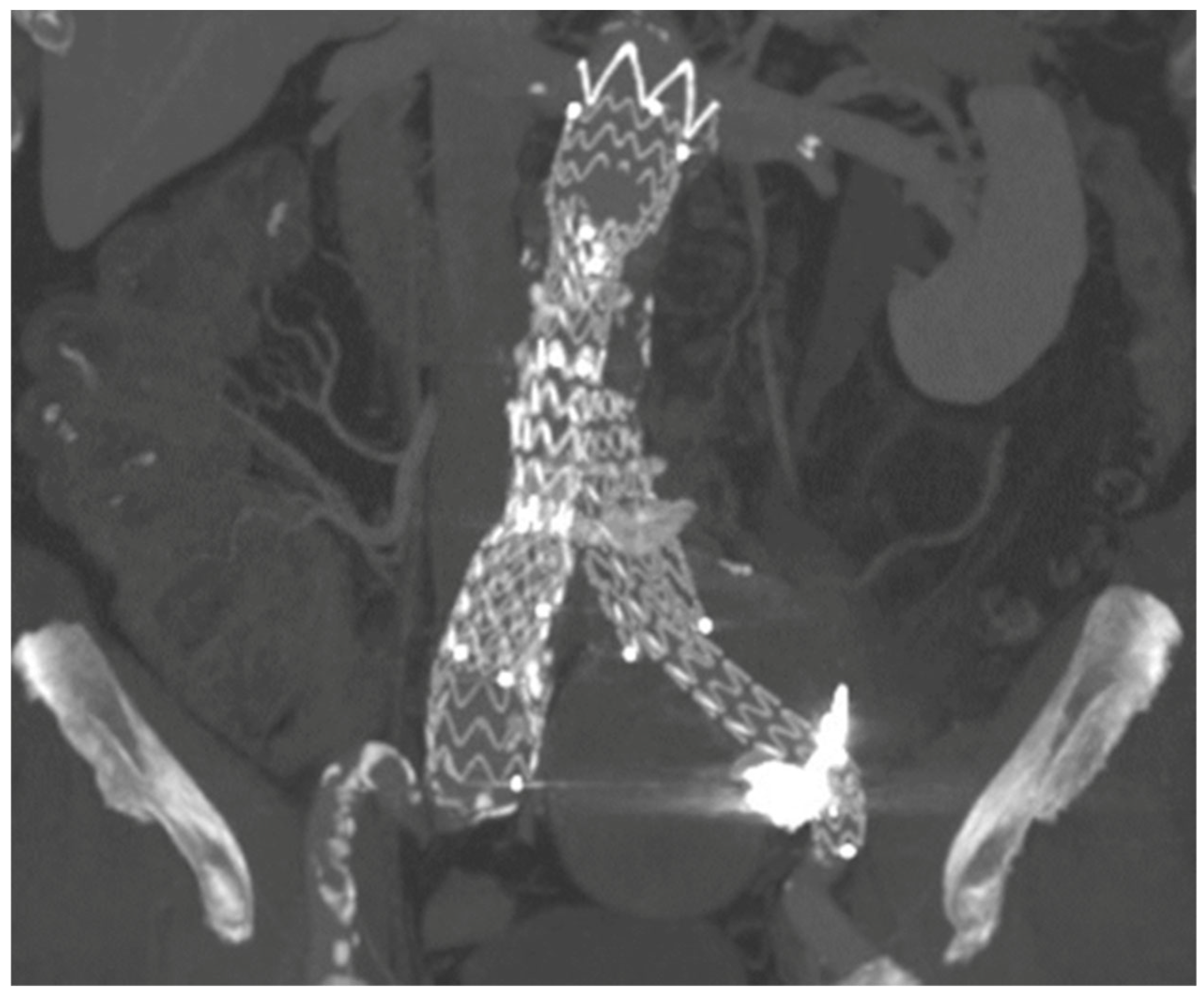
2. Case Presentation
3. Literature Search and Inclusion Criteria
3.1. Data Extraction of Included Studies
3.3. Study Identification and Characteristics
3.4. Patients’ Characteristics and Technical Aspects
4. Discussion
5. Conclusion
6. Future Directions
Author Contributions
Funding
Informed Consent Statement
Conflicts of Interest
References
- Ruby C. Lo, Dominique B. Buck, Jeremy Herrmann, Allen D. Hamdan, Mark Wyers, Virendra I. Patel, Mark Fillinger, Marc L. Schermerhorn. Risk factors and consequences of persistent type II endoleaks. J Vasc Surg. 2016 April ; 63(4): 895–901. [CrossRef]
- Harada A, Morisaki K, Kurose S, Yoshino S, Yamashita S, Furuyama T, Mori M. Internal Iliac Artery Aneurysm Ruptures with No Visualized Endoleak 2 Years after Endovascular Repair. Ann Vasc Dis. 2022 Mar 25;15(1):45-48. [CrossRef]
- Xiang Y, Chen X, Zhao J, Huang B, Yuan D, Yang Y. Endovascular Treatment Versus Open Surgery for Isolated Iliac Artery Aneurysms: A Systematic Review and Meta-Analysis. Vasc Endovascular Surg. 2019 Jul;53(5):401-407. [CrossRef] [PubMed]
- Kim YJ, Rabei R, Connolly K, Pallav Kolli K, Lehrman E. Percutaneous approach options for embolization of endoleak after iliac artery aneurysm repair: stick the sac or stick the gluteal artery. Radiol Case Rep. 2021 Apr 10;16(6):1447-1450. [CrossRef]
- Kuzuya A, Fujimoto K, Iyomasa S, Matsuda M. Transluminal coil embolization of an inferior gluteal artery aneurysm by ultrasound-guided direct puncture of the target vessel. Eur J Vasc Endovasc Surg. 2005 Aug;30(2):130-2. [CrossRef]
- Werner-Gibbings K, Rogan C, Robinson D. Novel Treatment of an Enlarging Internal Iliac Artery Aneurysm in Association with a Type 2 Endoleak via Percutaneous Embolisation of the Superior Gluteal Artery through a Posterior Approach. Case Rep Vasc Med. 2013;2013:861624. [CrossRef]
- Heye S, Nevelsteen A, Maleux G. Internal iliac artery coil embolization in the prevention of potential type 2 endoleak after endovascular repair of abdominal aortoiliac and iliac artery aneurysms: effect of total occlusion versus residual flow. J Vasc Interv Radiol. 2005 Feb;16(2 Pt 1):235-9. [CrossRef]
- Yasui K, Kanazawa S, Mimura H, Dendo S, Hiraki Y, Irie H, Sano S. Recanalization 24 months after endovascular repair of a large internal iliac artery aneurysm with use of stent-graft. Acta Med Okayama. 2001 Oct;55(5):315-8. [CrossRef]
- Millon A, Paquet Y, Ben Ahmed S, Pinel G, Rosset E, Lermusiaux P. Midterm outcomes of embolisation of internal iliac artery aneurysms. Eur J Vasc Endovasc Surg. 2013 Jan;45(1):22-7. [CrossRef]
- Couchet G, Pereira B, Carrieres C, Maumias T, Ribal JP, Ben Ahmed S, Rosset E. Predictive Factors for Type II Endoleaks after Treatment of Abdominal Aortic Aneurysm by Conventional Endovascular Aneurysm Repair. Ann Vasc Surg. 2015 Nov;29(8):1673-9. [CrossRef]
- Patel S, Chun JY, Morgan R. Enlarging aneurysm sac post EVAR - type V or occult type II Endoleak? CVIR Endovasc 2023 Feb 7;6(1):4. [CrossRef]
- Fikani A, Lermusiaux P, Della Schiava N, Millon A. Vasa vasorum associated with endoleak after endovascular repair of abdominal aortic aneurysm. Vasc Med 2021 Feb;26(1):89-90. [CrossRef]
- Martijn L. Dijkstra, Clark J. Zeebregts, Hence J. M. Verhagen, Joep A. W. Teijink, Adam H. Power, Dittmar Bockler, Patrick Peeters, Vicente Riambau, Jean-Pierre Becquemin, Michel M. P. J. Reijnen. Incidence, natural course, and outcome of type II endoleaks in infrarenal endovascular aneurysm repair based on the ENGAGE registry data. J Vasc Surg. 2020 Mar;71(3):780-789. [CrossRef]
- Regus, S. Ruptured Isolated Internal Iliac Aneurysm. Eur J Vasc Endovasc Surg 2023 Mar;65(3):345. [CrossRef]
- Wanhainen A, Verzini F, Van Herzeele I, Allaire E, Bown M, Cohnert T, Dick F, Van Herwaarden J, Karkos C, Koelemay M, Kölbel T, Loftus I, Mani K, Melissano G, Powell J, Szeberin Z. Editor’s Choice e European Society for Vascular Surgery (ESVS) 2019 Clinical Practice Guidelines on the Management of Abdominal Aorto-iliac Artery Aneurysms. Eur J Vasc Endovasc Surg (2019) 57, 8e93. [CrossRef]
- Dion YM, Gracia CR, Ben El Kadi H H. Totally laparoscopic abdominal aortic aneurysm repair. J Vasc Surg. 2001 Jan;33(1):181-5. [CrossRef]
- Zou J, Sun Y, Yang H, Ma H, Jiang J, Jiao Y, Zhang X. Laparoscopic ligation of inferior mesenteric artery and internal iliac artery for the treatment of symptomatic type II endoleak after endovascular aneurysm repair. Int Surg. 2014 Sep-Oct;99(5):681-3. [CrossRef]
- S. Heye, J. Vaninbroukx, K. Daenens, S. Houthoofd, G. Maleux. Embolization of an Internal Iliac Artery Aneurysm after Image-Guided Direct Puncture. Cardiovasc Intervent Radiol (2012) 35:807–814. [CrossRef]
- JJ. Gemmete, M Arabi, WB. Cwikiel. Percutaneous Transosseous Embolization of Internal Iliac Artery Aneurysm Type II Endoleak: Report of Two Cases. Cardiovasc Intervent Radiol (2011) 34:S122–S125. [CrossRef]
- G. Coppi, G. G. Coppi, G. Saitta, G. Coppi, S. Gennai, A. Lauricella, R. Silingardi. Transealing: A Novel and Simple Technique for Embolization of Type 2 Endoleaks Through Direct Sac Access From the Distal Stent-graft Landing Zone. Eur J Vasc Endovasc Surg. 2014 Apr;47(4):394-401. [CrossRef]
- Abderhalden S, Rancic Z, Lachat ML, Pfammatter T. Retrograde hypogastric artery embolization to treat iliac artery aneurysms growing after aortoiliac repair. J Vasc Interv Radiol. 2012 Jul;23(7):873-7. [CrossRef]
- Herskowitz MM, Walsh J, Jacobs DT. Direct sonographic-guided superior gluteal artery access for treatment of a previously treated expanding internal iliac artery aneurysm. J Vasc Surg. 2014 Jan;59(1):235-7. [CrossRef]
- Parlani G, Simonte G, Fiorucci B, De Rango P, Isernia G, Fischer MJ, Rebonato A. Bilateral Staged Computed Tomography-Guided Gluteal Artery Puncture for Internal Iliac Embolization in a Patient with Type II Endoleak. Ann Vasc Surg. 2016 Oct;36:293.e5-293.e10. [CrossRef]
- Menon PR, Agarwal S, Rees O. Direct puncture embolisation of the non-coil-embolised internal iliac artery post EVAR - a novel use of the Angio-Seal closure device. CVIR Endovasc. 2018;1(1):6. [CrossRef]
- Chi WK, Yan BP. Direct puncture of superior gluteal artery using a Doppler ultrasound-guided needle to access jailed internal iliac artery aneurysm. J Vasc Surg Cases Innov Tech. 2018 Dec 31;5(1):12-13. [CrossRef]
- Norris E, Bronzo B, Olorunsola O. Off Label Use of StarClose for Superior Gluteal Artery Puncture Closure Following Embolisation of an Internal Iliac Artery Type II Endoleak. EJVES Vasc Forum. 2021 Apr 1;51:1-4. [CrossRef]
- Fukumoto T, Ogawa Y, Chiba K, Nawata S, Morikawa S, Miyairi T, Mimura H, Nishimaki H. Coil Embolization of Recurrent Internal Iliac Artery Aneurysm via the Superior Gluteal Artery. Ann Vasc Dis. 2023 Jun 25;16(2):135-138. [CrossRef]
- Magishi K, Izumi Y, Tanaka K, Shimizu N, Uchida D. Surgical access of the gluteal artery to embolize a previously excluded, expanding internal iliac artery aneurysm. J Vasc Surg. 2007 Feb;45(2):387-90. [CrossRef]
- Torsello GB, Klenk E, Kasprzak B, Umscheid T. Rupture of abdominal aortic aneurysm previously treated by endovascular stentgraft. J Vasc Surg. 1998 Jul;28(1):184-7. [CrossRef]
- Flohr TR, Snow R, Aziz F. The fate of endoleaks after endovascular aneurysm repair and the impact of oral anticoagulation on their persistence. J Vasc Surg. 2021 Oct;74(4):1183-1192.e5. [CrossRef]
- Cantisani V, Di Leo N, David E, Clevert DA. Role of CEUS in Vascular Pathology. Ultraschall Med. 2021 Aug;42(4):348-366. English. [CrossRef]
- Illuminati G, Nardi P, Fresilli D, Sorrenti S, Lauro A, Pizzardi G, Ruggeri M, Ulisse S, Cantisani V, D'Andrea V. Fully Ultrasound-Assisted Endovascular Aneurysm Repair: Preliminary Report. Ann Vasc Surg. 2022 Aug;84:55-60. [CrossRef]



| Author, Year | SGA Access | Embolization Technique | Haemostasis | Complication | Follow-Up |
|---|---|---|---|---|---|
| Patel, 2011 |
DUS guided, 4Fr sheath 18G needle |
Microcoils, embolization of the sac and feeding vessels | Manual compression | None | NA |
| Werner-Gibbings, 2013 | CT-guided, 17G needle, sheathless |
Embolization of feeding vessels with coils and sac embolization with liquid embolic agent | Manual compression | None | Not specified, stable sac |
| Herskowitz, 2014 |
Fluoroscopic + DUS guided, 21 G needle, 5Fr sheath |
Feeding vessels embolization with coils + sac embolization with coils and thrombin | Embolization of the SGA with coil + manual compression | None | 6-months CT scan, sac regression |
| Parlani, 2016 |
CT-guided, 21 G needle, sheathless |
Sac embolization with coils | Manual compression | None | 3-months CT-scan, stable sac |
| CT-guided, 21 G needle, sheathless |
Sac embolization with coils | Manual compression | None | 3-months CT-scan, stable sac | |
| Menon, 2018 |
DUS guided, Not specified |
Feeding vessels embolization with coils | Angio-Seal | None | 1-month CT-scan, stable sac |
| Chi, 2018 |
Fluoroscopic + DUS guided, 18 G needle, 5Fr sheath |
Sac embolization with coils and glue | Manual compression | None | CT-scan, stable sac |
| Kim, 2021 |
CT + DUS-guided, 21G needle, 3Fr sheath |
Feeding vessels embolization with coils + sac embolization with coils and liquid embolic agent | Manual compression | Thigh and buttock mild claudication | 1-month CT-scan, stable sac |
| Norris, 2021 |
Fluoroscopic guided, 22G needle, 6Fr sheath |
Sac embolization with coils, liquid embolic agent and plug | StarClose | None | 6-months CT-scan, stable sac |
| Fukumoto, 2023 |
Percutaneous, DUS guided, 18G needle, 17G happycath |
Feeding vessels + sac embolization with coils | Embolization of the SGA with coils | None | 6-months MRI, stable sac |
| Present case | Angiographic + DUS guided, 18G needle, sheathless |
Sac embolization with coils and liquid embolic agent | Manual compression | None | 12-months CT-scan, stable sac |
Disclaimer/Publisher’s Note: The statements, opinions and data contained in all publications are solely those of the individual author(s) and contributor(s) and not of MDPI and/or the editor(s). MDPI and/or the editor(s) disclaim responsibility for any injury to people or property resulting from any ideas, methods, instructions or products referred to in the content. |
© 2024 by the authors. Licensee MDPI, Basel, Switzerland. This article is an open access article distributed under the terms and conditions of the Creative Commons Attribution (CC BY) license (http://creativecommons.org/licenses/by/4.0/).
