Submitted:
10 October 2023
Posted:
12 October 2023
You are already at the latest version
Abstract
Keywords:
Introduction
Fractal Geometry


Fractal Analysis

Quantifcation of Structural Heterogeneity Using Fractal Analysis(17).

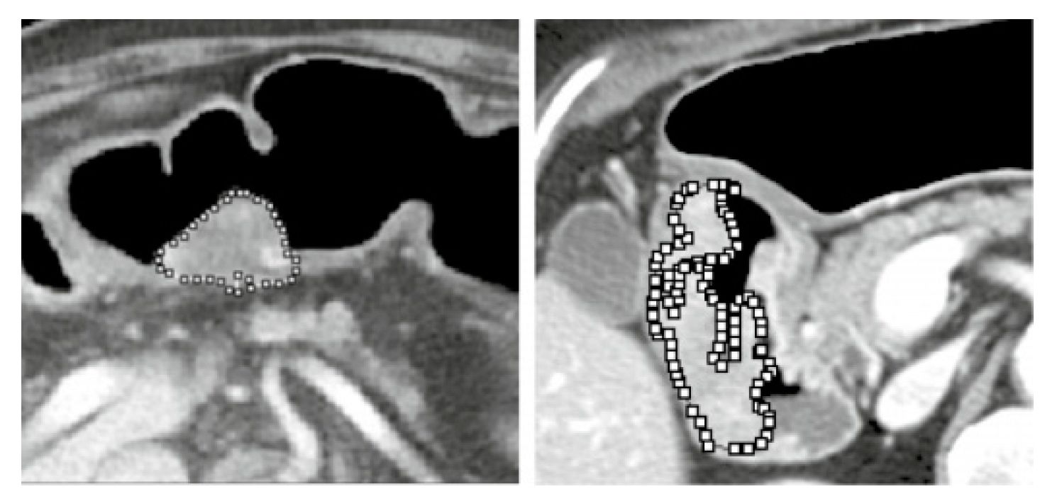
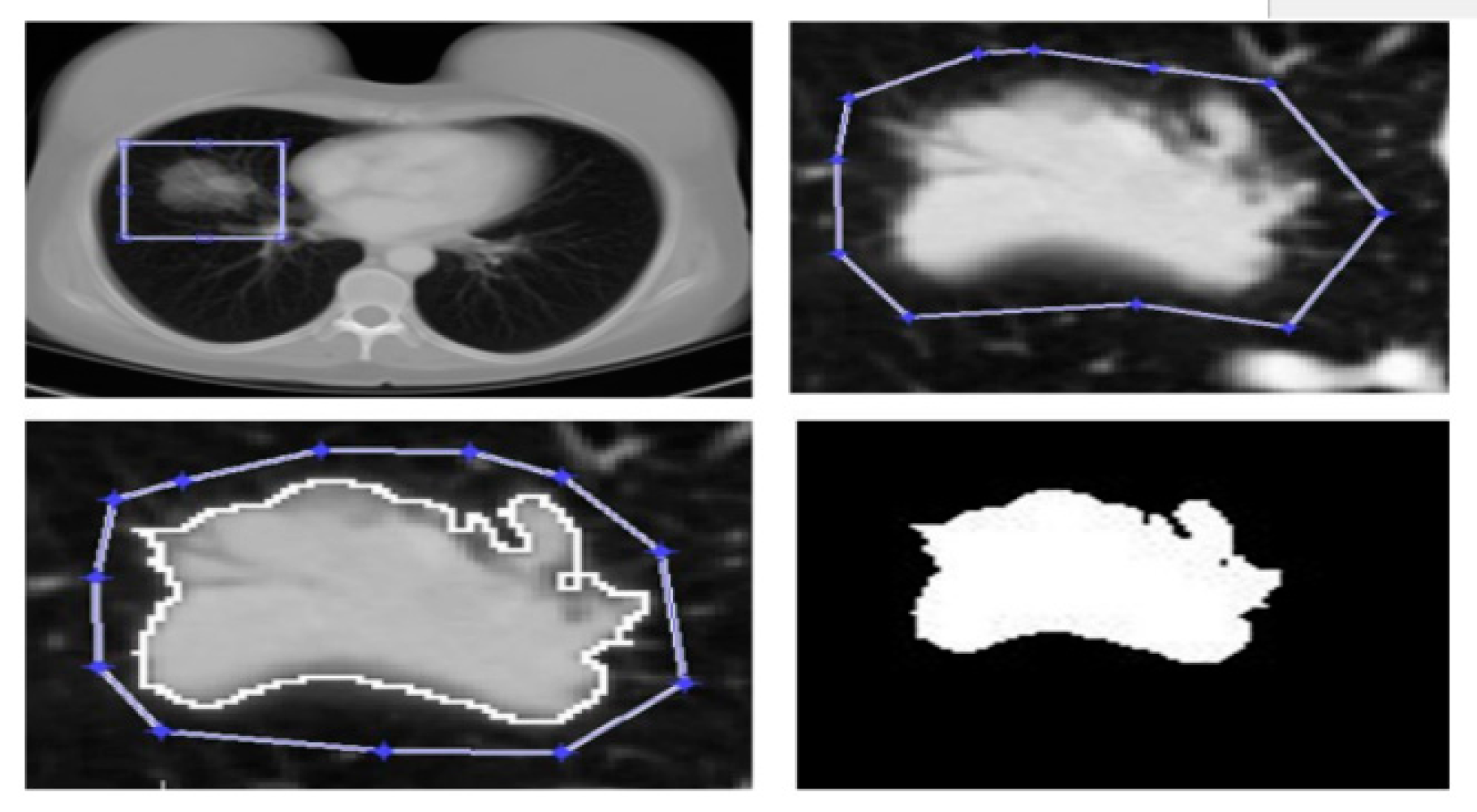
Use Of The Methods Of Segmentation C-Means, K-Means And Fractal Geometry In The Study In Alive Of the Cancer Of Lung (12).

| Type | ||
|---|---|---|
Fractal Analysis of nets microvasculars in human retinas (23).


Characterization of Border Structure Using Fractal Dimension in Melanomas(26).

Study Of Dimension Fractal, Entropy And Analysis Of Data For Mammographies With Micro - calcification Or Tumor.


Conclusiones
References
- Panigrahy, C.; Seal, A.; Mahato, N.K. Quantitative texture measurement of gray-scale images: Fractal dimension using an improved differential box counting method. Measurement 2019, 147, 106859. [Google Scholar] [CrossRef]
- Grizzi, F.; Castello, A.; Qehajaj, D.; Russo, C.; Lopci, E. The Complexity and Fractal Geometry of Nuclear Medicine Images. Mol. Imaging Biol. 2019, 21, 401–409. [Google Scholar] [CrossRef] [PubMed]
- Khobragade, P.; Fan, J.; Rupcich, F.; Crotty, D.J.; Schmidt, T.G. Application of fractal dimension for quantifying noise texture in computed tomography images. Med Phys. 2018, 45, 3563–3573. [Google Scholar] [CrossRef] [PubMed]
- Chaudhuri, B.; Sarkar, N. Texture segmentation using fractal dimension. IEEE Trans. Pattern Anal. Mach. Intell. 1995, 17, 72–77. [Google Scholar] [CrossRef]
- Keller, J.M.; Chen, S.; Crownover, R.M. Texture description and segmentation through fractal geometry. Comput. Vision, Graph. Image Process. 1989, 45, 150–166. [Google Scholar] [CrossRef]
- Backes, A.R.; Bruno, O.M. Texture analysis using volume-radius fractal dimension. Appl. Math. Comput. 2013, 219, 5870–5875. [Google Scholar] [CrossRef]
- Neil, G.; Curtis, K. Shape recognition using fractal geometry. Pattern Recognit. 1997, 30, 1957–1969. [Google Scholar] [CrossRef]
- L. Yu, D. L. Yu, D. Zhang, K. Wang, W. Yang, Coarse iris classification using box-bounting to estimate fractal dimensions, Pattern Recogn. 38 (11) (2005) 1791–1798.
- Sugihara, G.; May, R.M. Applications of fractals in ecology. Trends Ecol. Evol. 1990, 5, 79–86. [Google Scholar] [CrossRef] [PubMed]
- Bhandari, S.; Choudannavar, S.; Avery, E.R.; Sahay, P.; Pradhan, P. Detection of colon cancer stages via fractal dimension analysis of optical transmission imaging of tissue microarrays (TMA). Biomed. Phys. Eng. Express 2018, 4, 065020. [Google Scholar] [CrossRef]
- Y. Xu, Z. Y. Xu, Z. Ruijing, M. Shuo, Y. Xincong, W. Fenglai, Fractal dimension of concrete meso-structure based on x-ray computed tomography, Powder Technol. 350 (2019) 91–99.
- Rivero Borja, Mario Andres, and Jose Eduardo Escobar Martinez. “Uso de los métodos de segmentación c-means, k-means y geometría fractal en el estudio in vivo del cáncer de pulmón.” (2020).
- Kikuchi, A.; Kozuma, S.; Yasugi, T.; Taketani, Y. Fractal Analysis of Surface Growth Patterns in Endometrioid Endometrial Adenocarcinoma. Gynecol. Obstet. Investig. 2004, 58, 61–67. [Google Scholar] [CrossRef] [PubMed]
- Lee, L.H.; Tambasco, M.; Otsuka, S.; Wright, A.; Klimowicz, A.; Petrillo, S.; Morris, D.; Magliocco, A.; Bebb, D.G. Digital differentiation of non-small cell carcinomas of the lung by the fractal dimension of their epithelial architecture. Micron 2014, 67, 125–131. [Google Scholar] [CrossRef] [PubMed]
- Vasiljevic, J.; Reljin, B.; Sopta, J.; Mijucic, V.; Tulic, G.; Reljin, I. Application of multifractal analysis on microscopic images in the classification of metastatic bone disease. Biomed. Microdevices 2012, 14, 541–548. [Google Scholar] [CrossRef] [PubMed]
- Konatar, I.; Popovic, T.; Popovic, N. Box-Counting Method in Python for Fractal Analysis of Biomedical Images. 2020 24th International Conference on Information Technology (IT). pp. 1–4.
- Watanabe, H.; Hayano, K.; Ohira, G.; Imanishi, S.; Hanaoka, T.; Hirata, A.; Kano, M.; Matsubara, H. Quantification of Structural Heterogeneity Using Fractal Analysis of Contrast-Enhanced CT Image to Predict Survival in Gastric Cancer Patients. Dig. Dis. Sci. 2020, 66, 1–6. [Google Scholar] [CrossRef] [PubMed]
- Durrett, R.; Foo, J.; Leder, K.; Mayberry, J.; Michor, F. Intratumor Heterogeneity in Evolutionary Models of Tumor Progression. Genetics 2011, 188, 461–477. [Google Scholar] [CrossRef] [PubMed]
- Pries, A.R.; Cornelissen, A.J.M.; Sloot, A.A.; Hinkeldey, M.; Dreher, M.R.; Höpfner, M.; Dewhirst, M.W.; Secomb, T.W. Structural Adaptation and Heterogeneity of Normal and Tumor Microvascular Networks. PLOS Comput. Biol. 2009, 5, e1000394. [Google Scholar] [CrossRef] [PubMed]
- Gillies RJ, Schornack PA, Secomb TW, Raghunand N. Causes and efects of heterogeneous perfusion in tumors. Neoplasia. (1999);1:197–207.
- Kurata, Y.; Hayano, K.; Ohira, G.; Narushima, K.; Aoyagi, T.; Matsubara, H. Fractal analysis of contrast-enhanced CT images for preoperative prediction of malignant potential of gastrointestinal stromal tumor. Abdom. Imaging 2018, 43, 2659–2664. [Google Scholar] [CrossRef] [PubMed]
- Hayano, K.; Kulkarni, N.M.; Duda, D.G.; Heist, R.S.; Sahani, D.V. Exploration of Imaging Biomarkers for Predicting Survival of Patients With Advanced Non–Small Cell Lung Cancer Treated With Antiangiogenic Chemotherapy. Am. J. Roentgenol. 2016, 206, 987–993. [Google Scholar] [CrossRef] [PubMed]
- Santiago-Cortes, E., J. L. Martınes-Ledesma, and D. A. Mantilla. “Análisis fractal de redes microvasculares en retinas humanas.” Journal de Ciencia e Ingeniería 12.1 (2020): 230-242.
- Hoover, A.; Kouznetsova, V.; Goldbaum, M. Locating blood vessels in retinal images by piecewise threshold probing of a matched filter response. IEEE Trans. Med Imaging 2000, 19, 203–210. [Google Scholar] [CrossRef] [PubMed]
- E. Santiago-Cortés and J. M. Ledezma, “Dimensión fractal en retinas humanas,” Journal de Ciencia en Ingeniería, (2016), vol. 8, no. 1, pp. 59–65.
- Carbonetto, S. H. , and S. E. Lew. “Characterization of border structure using fractal dimension in melanomas.” 2010 Annual International Conference of the IEEE Engineering in Medicine and Biology. IEEE, 2010.
- Vázquez Domínguez, Minerva Guadalupe. Estudio de dimensión fractal, entropía y análisis de datos para mamografías con microcalcificación o tumor. BS thesis. 2020.
- Brun, Rene, and Fons Rademakers. “ROOT—An object oriented data analysis framework.” Nuclear Instruments and Methods in Physics Research Section A: Accelerators, Spectrometers, Detectors and Associated Equipment 389.1-2 (1997): 81-86.
Disclaimer/Publisher’s Note: The statements, opinions and data contained in all publications are solely those of the individual author(s) and contributor(s) and not of MDPI and/or the editor(s). MDPI and/or the editor(s) disclaim responsibility for any injury to people or property resulting from any ideas, methods, instructions or products referred to in the content. |
© 2023 by the authors. Licensee MDPI, Basel, Switzerland. This article is an open access article distributed under the terms and conditions of the Creative Commons Attribution (CC BY) license (http://creativecommons.org/licenses/by/4.0/).