Preprint
Interesting Images

This version is not peer-reviewed.

A Simple Cyst of the Testis was Found Incidentally during Castration for Prostatic Cancer

Submitted:

30 September 2023

Posted:

01 October 2023

You are already at the latest version

Abstract
Simple cysts (SCs) within the testes are rare in adults. The testicular SC lining comprises mesothelial cells. This report presents a case involving the accidental discovery of a castration-worthy SC in the right testis of a Japanese man in his 90s who was diagnosed with prostatic adenocarcinoma. Microscopic analysis revealed that the cystic wall was covered with flat to cuboidal mesothelial cells. Immunohistochemistry demonstrated mesothelial cell positivity for calretinin, Wilms tumor 1 (WT-1), Hector Battifora mesothelial epitope-1 (HBME-1), and cyclin-dependent kinase inhibitor p16 (p16INK4a). Notably, no human papillomavirus (HPV) in situ hybridization was detected. This report outlines an exceptionally rare instance of a simple cyst within the testis, suggesting the possibility of its origin from ectopic rete testis epithelium. This marks the inaugural documentation in the English literature of an SC within the testis found incidentally during castration for prostatic cancer.
Keywords: 
;  ;  ;  ;  ;  
Testicular simple cysts (SCs) are infrequent benign cystic lesions that contain clear serous fluid within the testicular parenchyma [1]. These cysts exhibit a bimodal distribution in adults and infants, with peaks at eight months and 60 years of age [2]. The lining of the testicular SC typically consists of a flat to cuboidal epithelium, specifically mesothelial cells [3].
The SC has no spermatozoa and ranges from 2 to 18 mm in diameter [2]. In the present study, we elucidated the pathological features of an SC in the right testis of an elderly Japanese man with prostatic acinar adenocarcinoma of the bilateral lobes.
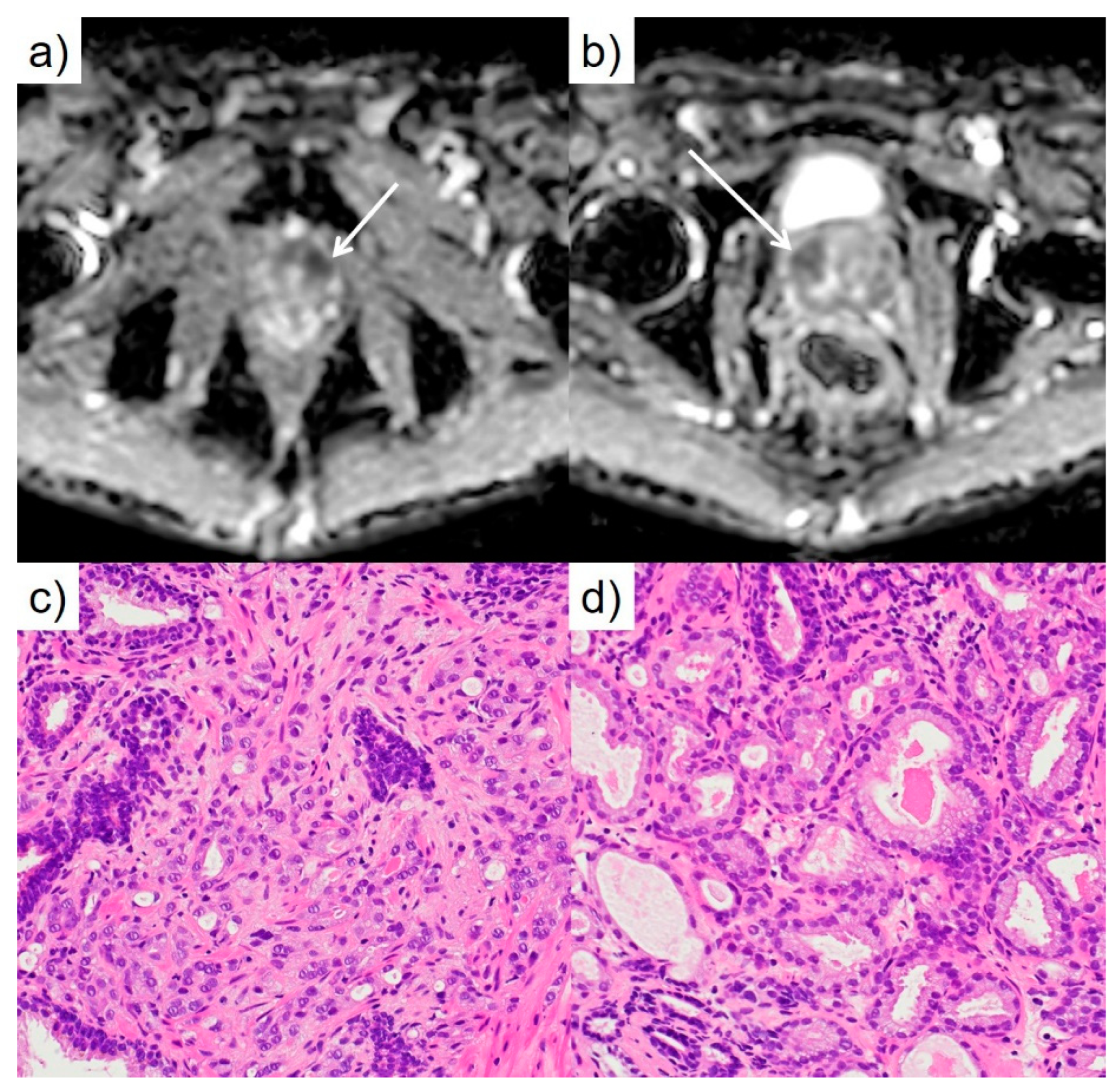
A Japanese man in his 90s regularly visited our hospital and was referred from another hospital with dysuria and high prostatic specific antigen. Laboratory findings on admission showed elevated prostatic specific antigen (27.4ng/mL). Magnetic resonance image revealed a broad capsular lesion in the bilateral transition zone (Figure 1a, b). The results of the prostatic needle biopsies revealed prostate cancer (PC), prostatic acinar adenocarcinoma, and Grade group 3 of the bilateral lobes (7/7) (Figure 1c, d).
Testes measured 6.5×3.5×2.1 cm in size, 22 g in weight (right) and 4.5×3.0×2.3 cm in length, 16 g in weight (left). Hemisection of the right testis revealed a unilocular cyst within the parenchyma (Figure 2, arrow). The cyst measured 16×15 mm in size. The cystic fluid was serous, yellow and transparent. No significant abnormalities were observed in the left testes.
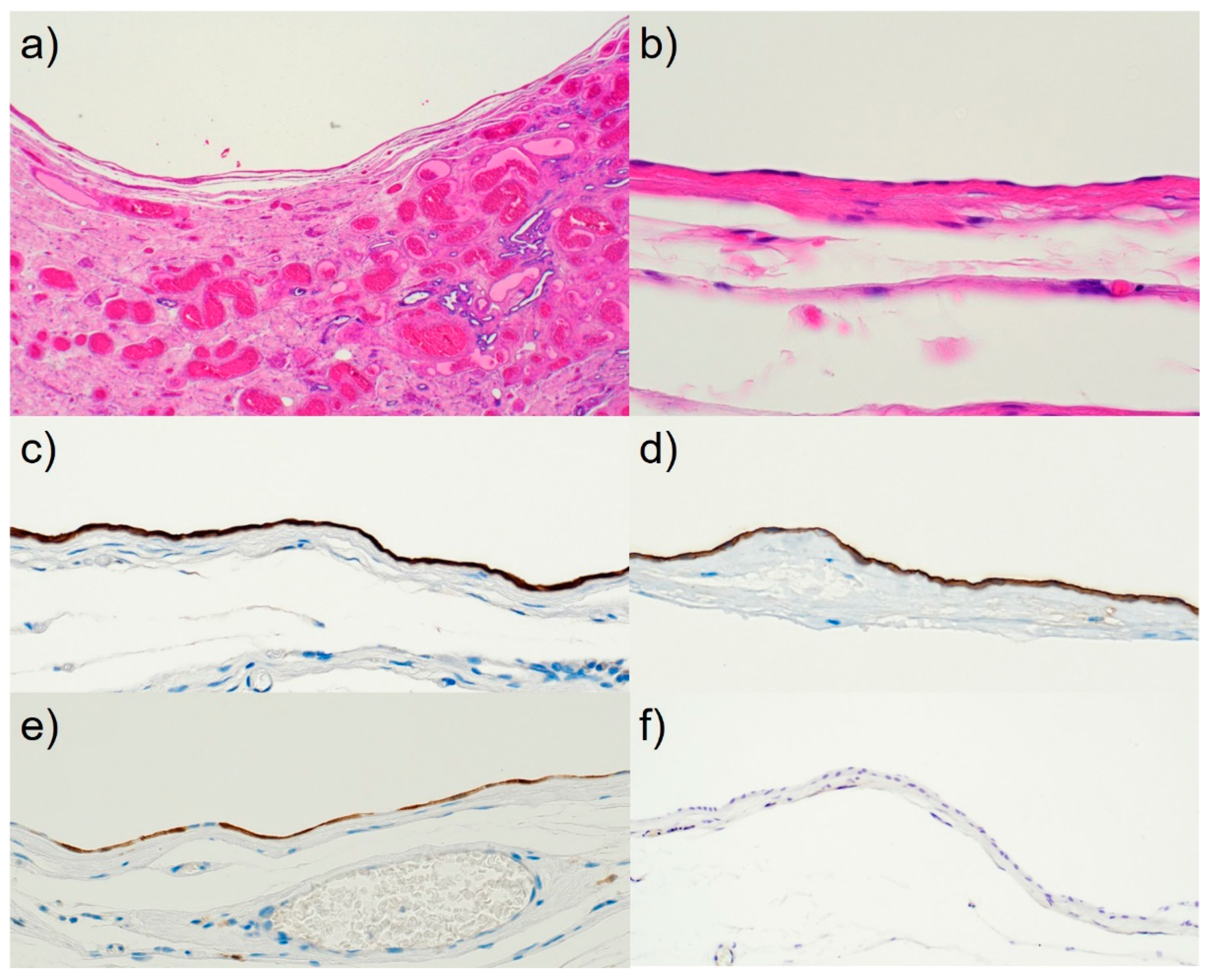
Microscopically, the cyst existed entirely within the parenchyma of the testis near the rete testis and was separated from the rete testis, tunica albuginea, and epididymis (Figure 3a). The empty cyst lumen had no spermatozoa, and the lining epithelium had a flat layer on the cuboidal epithelium (Figure 3b). The seminiferous tubules showed atrophy with hyalinization in the surrounding areas. Immunohistochemically, the cystic lining epithelial cells revealed diffuse strong immunoreactivity for cytokeratin (CK) AE1/AE3 (Figure 3c), Wilms tumor (WT)-1, calretinin, Hector Battifora mesothelial epitope-1 (HBME-1) (Figure 3d), p16INK4a (clone: G175-405) (Figure 3e), and weak positivity for thrombomodulin and EMA. Human papillomavirus (HPV) in situ hybridization was negative (Figure 3f), podoplanin (clone: D2-40), p63, mesothelin, CK 5/6, and Ki-67 (clone: MIB-1) labeling index was as high as 1%.

Discussion

Testicular SC is uncommon; however, its identification has become more frequent due to the widespread use of advanced, high-resolution ultrasound technology for scrotal examinations [4]. These SCs are classified into two clinical categories: infantile and adult types. The adult variant typically presents with no symptoms and remains non-palpable. They are found incidentally on urological examination, castration as a PC or even autopsy treatment [3]. Pathology is the gold standard for diagnosing testicular SCs. Microscopically, the SCs of the testes were defined as follows.
  • They must lie within the parenchyma of the testis, contain clear fluid free from sperm, and be surrounded by a wall lined by flat or cuboidal epithelial cells.
  • The wall must be separated from the tunica albuginea; neither the wall nor the parenchyma contained teratomatous elements.
  • The remaining testes showed no evidence of chronic inflammation or fibrosis [4].
The present case fulfilled these criteria. The management of SC in the testes remains controversial. Orchiectomy, testicular parenchyma-preserving enucleation of the cyst, and conservative surveillance using ultrasonography are the three options available to patients and doctors. Ultrasound studies have indicated that the SC of the testis has little potential for growth [2]. More and more doctors are advocating a “watch and wait” strategy in recent years. This “watch and wait” strategy is an excellent choice for patients with asymptomatic cysts, both infant and adult types. In addition, we recommend orchiectomy if the patient is > 50 years of age [4]. Rete testes showed weak focal calretinin staining [3]. The lining epithelium of the SC of the testes is composed of mesothelial cells derived from the ectopic rete testes [2].
Our patient also showed diffuse immunoreactivity for p16INK4a (Figure 3e); however, HPV was undetectable by in situ hybridization (Figure 3f). According to the research conducted by the human protein atlas [5], it has been reported that high levels of p16INK4a expression occur in male genital tissue, particularly in the testis. Therefore, this observation may be a normal finding.
Here, we report a rare incidental case of SC of the right testis in an adult castration and confirm by immunohistochemistry that the lesion was derived from an ectopic rete testis. This is the rare report of SC in a testis found incidentally during castration for prostatic cancer in English literature.

Author Contributions

Conceptualization, M.T.; methodology, M.T.; validation, M.T., H.H., and S.F.; investigation, M.T., and H.H.; resources, Hi.Na.and Ha.No.; data curation, S.F.; writing—original draft preparation, M.T.; writing—review and editing, H.H. and S.F.; supervision, S.F.; project administration, S.F. All authors have read and agreed to the published version of the manuscript.

Funding

This research received no external funding.

Institutional Review Board Statement

The study was conducted according to the guidelines of the Declaration of Helsinki (1975) and approved by the Ethics Committee of Shimada General Medical Center, Shimada, Shizuoka, Japan (ref: R5-9, approval date: 19 September 2023).

Informed Consent Statement

Informed consent was obtained from all subjects involved in the study. The patient has written informed consent.

Data Availability Statement

Not applicable.

Acknowledgments

The authors would like to thank Naoki Ooishi, Takayoshi Hirota, and Kuniaki Muramatsu (Division of Pathology and Oral Pathology, Shimada General Medical Center, Shimada, Shizuoka, Japan) and Mina Honda (Division of Pathology, Hamamatsu University Hospital, Hamamatsu, Shizuoka, Japan) for performing immunohistochemical staining and Tina Tajima for editing our English manuscript.

Conflicts of Interest

The authors declare no conflict of interest.

Contributor Information

Abbreviations

SC simple cyst
PC prostate cancer
CK cytokeratin
HBME-1 Hector Battifora mesothelial epitope-1
WT-1 Wilms tumor1
p16INK4a cyclin-dependent kinase inhibitor p16
HPV human papillomavirus

References

  1. Hatsiopoulou, O. , Dawson, C. Simple intratesticular cysts in adults: A diagnostic dilemma. BJU Int 2001, 88, 248–250. [Google Scholar] [CrossRef] [PubMed]
  2. Nistal, M. , R., González-Peramato, P. Nonneoplastic diseases of the testis. In UROLOGIC SURGICAL PATHOLOGY., 4th ed.; Cheng, L., MacLennan, G.T., Bostwick, D.G., Eds.; ELSEVIER: Philadelphia, USA, 2020; p. 725. [Google Scholar]
  3. Kuwamoto, S. , Okuno, K., Kato, M., Hayashi, K. Simple cysts of testis with immunohistochemical evidence of mesothelial origin. Pathol Int 2009, 59, 656–659. [Google Scholar] [CrossRef] [PubMed]
  4. Fang, Y. , Zhao, L., Yan, F., Cui, X., Zhou, F. Strategy for treating simple testicular cyst in adults. Am J Men Health 2011, 5, 193–197. [Google Scholar] [CrossRef] [PubMed]
  5. The human protein atlas. Available online: https://www.proteinatlas.org/ENSG00000147889-CDKN2A/tissue (accessed on 30 September 2023).
Figure 1. Magnetic resonance imaging reveals a broad capsular lesion in the bilateral transition zone of the prostate. At the apex level, they correspond to a low signal intensity on the apparent diffusion coefficient map (a, left lobe lesion; b, right lobe lesion; white arrows). Histological findings of the needle biopsies of the prostate: hematoxylin and eosin staining (×200), (c) Gleason pattern4, and (d) Gleason pattern3 are identified. The diagnoses of prostatic biopsies are acinar adenocarcinoma, Grade group 3, highest Gleason score 4+3=7 (7/7).
Figure 1. Magnetic resonance imaging reveals a broad capsular lesion in the bilateral transition zone of the prostate. At the apex level, they correspond to a low signal intensity on the apparent diffusion coefficient map (a, left lobe lesion; b, right lobe lesion; white arrows). Histological findings of the needle biopsies of the prostate: hematoxylin and eosin staining (×200), (c) Gleason pattern4, and (d) Gleason pattern3 are identified. The diagnoses of prostatic biopsies are acinar adenocarcinoma, Grade group 3, highest Gleason score 4+3=7 (7/7).
Preprints 86586 g001
Figure 2. Macroscopic appearance of bilateral testes. Hemisection of the bilateral testes. A unilocular cyst measuring 16×15 mm is seen within the parenchyma of the right testis (arrow). The cystic wall is smooth and no mural nodules are observed. The lesion is separated from the tunica albuginea of the right testis (arrowhead).
Figure 2. Macroscopic appearance of bilateral testes. Hemisection of the bilateral testes. A unilocular cyst measuring 16×15 mm is seen within the parenchyma of the right testis (arrow). The cystic wall is smooth and no mural nodules are observed. The lesion is separated from the tunica albuginea of the right testis (arrowhead).
Preprints 86586 g002
Figure 3. Microscopic findings of an intratesticular simple cyst (a–f). (a) Significantly flattened single-layered cells line the inner surface of the cyst and are surrounded by thin hyalinized connective tissue. The adjacent seminiferous tubules are atrophied by hyalinization (hematoxylin and eosin staining). (b) High-power view of the epithelial cells lining the cyst, showing single flat to cuboidal cells. No mitotic activity is observed (hematoxylin and eosin staining). Immunohistochemical findings for an intratesticular simple cyst. (c) CK AE1/AE3, (d) HBME-1, (e) p16INK4a, and (f) HPV in situ hybridization.
Figure 3. Microscopic findings of an intratesticular simple cyst (a–f). (a) Significantly flattened single-layered cells line the inner surface of the cyst and are surrounded by thin hyalinized connective tissue. The adjacent seminiferous tubules are atrophied by hyalinization (hematoxylin and eosin staining). (b) High-power view of the epithelial cells lining the cyst, showing single flat to cuboidal cells. No mitotic activity is observed (hematoxylin and eosin staining). Immunohistochemical findings for an intratesticular simple cyst. (c) CK AE1/AE3, (d) HBME-1, (e) p16INK4a, and (f) HPV in situ hybridization.
Preprints 86586 g003
Disclaimer/Publisher’s Note: The statements, opinions and data contained in all publications are solely those of the individual author(s) and contributor(s) and not of MDPI and/or the editor(s). MDPI and/or the editor(s) disclaim responsibility for any injury to people or property resulting from any ideas, methods, instructions or products referred to in the content.
Copyright: This open access article is published under a Creative Commons CC BY 4.0 license, which permit the free download, distribution, and reuse, provided that the author and preprint are cited in any reuse.
Prerpints.org logo

Preprints.org is a free preprint server supported by MDPI in Basel, Switzerland.

Subscribe

Disclaimer

Terms of Use

Privacy Policy

Privacy Settings

© 2026 MDPI (Basel, Switzerland) unless otherwise stated