Submitted:
01 September 2023
Posted:
05 September 2023
You are already at the latest version
Abstract
Keywords:
1. Introduction
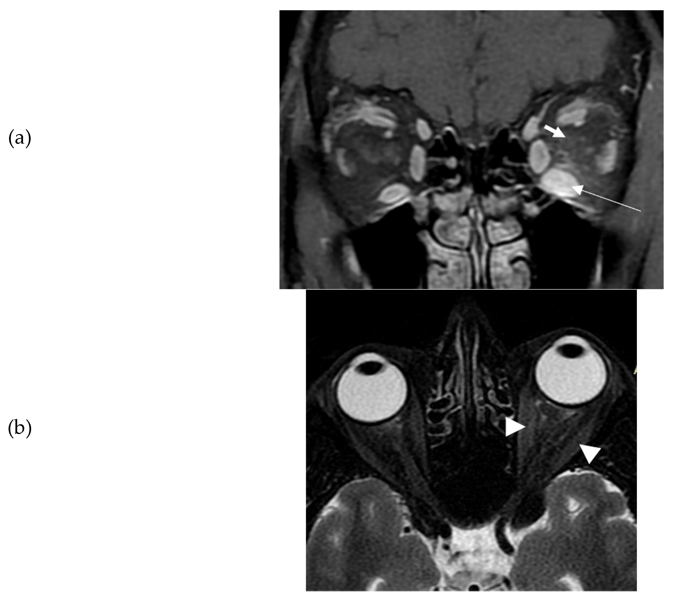
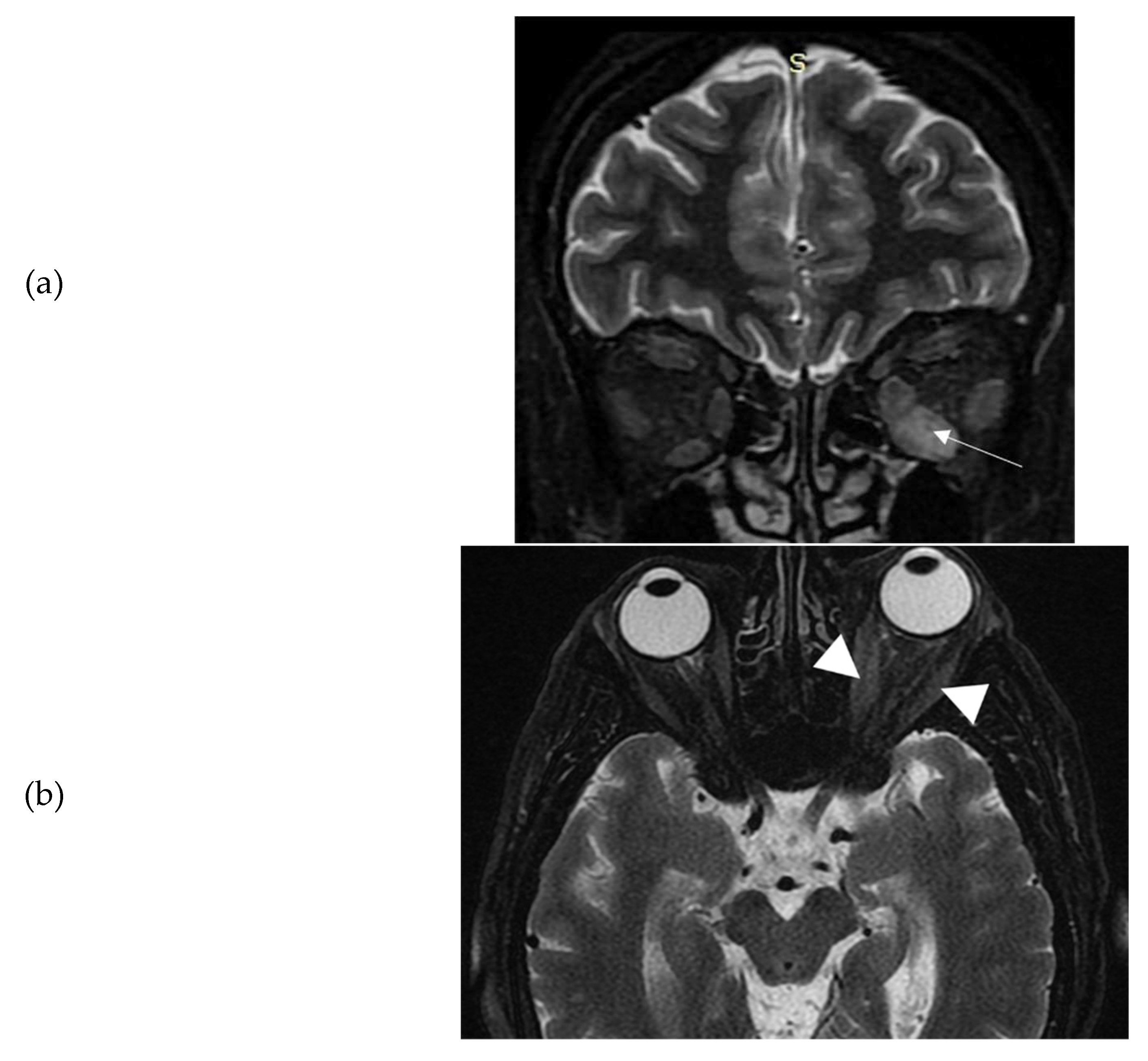
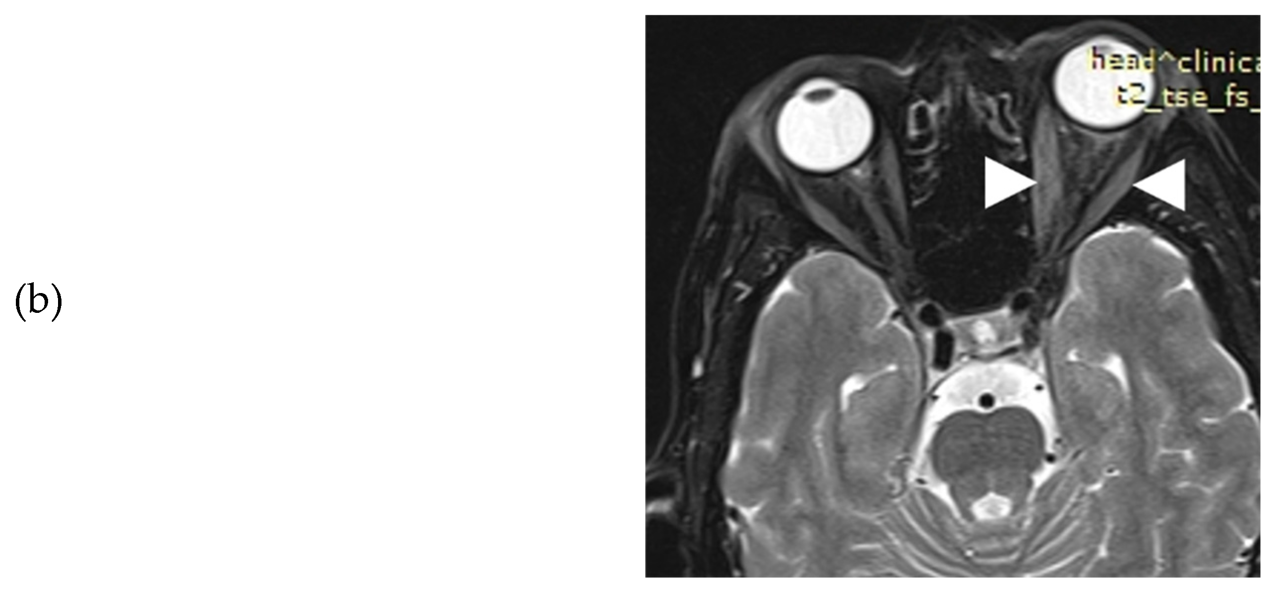
2. Case presentation
3. Review of the literature
4. Discussion
Author Contributions
Funding
Institutional Review Board Statement
Informed Consent Statement
Data Availability Statement
Acknowledgments
Conflicts of Interest
References
- Chen, J. Novel statistics predict the COVID-19 pandemic could terminate in 2022. J. Med Virol. 2022, 94, 2845–2848. [Google Scholar] [CrossRef] [PubMed]
- Mushtaq, H.A.; Khedr, A.; Koritala, T.; Bartlett, B.N.; Jain, N.K.; Khan, S.A. A review of adverse effects of COVID-19 vaccines. Infez. Med. 2022, 30, 1–10. [Google Scholar] [CrossRef]
- Kim MA, Lee YW, Kim SR, Kim JH, Min TK, Park HS, et al. COVID-19 Vaccine-associated Anaphylaxis and Allergic Reactions: Consensus Statements of the KAAACI Urticaria/Angioedema/Anaphylaxis Working Group. Allergy Asthma Immunol Res. 2021 Jul;13(4):526–44. [CrossRef]
- Ribeiro, M.I.; Pimenta, I.; Conde, I.; Gonzalez, F.A. Vaccine-induced immune thrombocytopaenia and thrombosis (VITT) after COVID-19 vaccination. BMJ Case Rep. 2022, 15, e247346. [Google Scholar] [CrossRef] [PubMed]
- Voleti, N.; Reddy, S.P.; Ssentongo, P. Myocarditis in SARS-CoV-2 infection vs. COVID-19 vaccination: A systematic review and meta-analysis. Front. Cardiovasc. Med. 2022, 9, 951314. [Google Scholar] [CrossRef] [PubMed]
- Jafarzadeh, A.; Nemati, M.; Jafarzadeh, S.; Nozari, P.; Mortazavi, S.M.J. Thyroid dysfunction following vaccination with COVID-19 vaccines: a basic review of the preliminary evidence. J. Endocrinol. Investig. 2022, 45, 1835–1863. [Google Scholar] [CrossRef] [PubMed]
- Abeillon-du Payrat J, Grunenwald S, Gall E, Ladsous M, Raingeard I, Caron P. Graves’ orbitopathy post-SARS-CoV-2 vaccines: report on six patients. J Endocrinol Invest. 2023 Mar;46(3):617–27. [CrossRef]
- Rubinstein, T.J. Thyroid Eye Disease Following COVID-19 Vaccine in a Patient With a History Graves’ Disease: A Case Report. Ophthalmic Plast. Reconstr. Surg. 2021, 37, e221–e223. [Google Scholar] [CrossRef]
- Patrizio A, Ferrari SM, Antonelli A, Fallahi P. Worsening of Graves’ ophthalmopathy after SARS-CoV-2 mRNA vaccination. Autoimmun Rev. 2022 Jul;21(7):103096. [CrossRef]
- Chaudhary S, Dogra V, Walia R. Four cases of Graves’ disease following viral vector severe acute respiratory syndrome corona virus-2 (SARS-CoV-2) vaccine. Endocr J. 2022 Dec 28;69(12):1431–5. [CrossRef]
- Pn, T.; D, A.; A, S.; G, G.-B.; Jh, L.; Cm, D.; Oe, O. Global epidemiology of hyperthyroidism and hypothyroidism. Yearb. Paediatr. Endocrinol. 2018. [Google Scholar] [CrossRef]
- Smith TJ, Hegedüs L. Graves’ Disease. N Engl J Med. 2016 Oct 20;375(16):1552–65.
- Burch HB, Perros P, Bednarczuk T, Cooper DS, Dolman PJ, Leung AM, et al. Management of Thyroid Eye Disease: A Consensus Statement by the American Thyroid Association and the European Thyroid Association. Thyroid Off J Am Thyroid Assoc. 2022 Dec;32(12):1439–70. [CrossRef]
- Rundle, F.F. Management of exophthalmos and related ocular changes in Graves' disease.. Metabolism 1957, 6. [CrossRef]
- Anagnostis P, Boboridis K, Adamidou F, Kita M. Natural course of mild Graves’ orbitopathy: is it a chronic remitting or a transient disease? J Endocrinol Invest. 2017 Mar;40(3):257–61. [CrossRef]
- Bartalena L, Kahaly GJ, Baldeschi L, Dayan CM, Eckstein A, Marcocci C, Marinò M, Vaidya B, Wiersinga WM; EUGOGO. The 2021 European Group on Graves' orbitopathy (EUGOGO) clinical practice guidelines for the medical management of Graves' orbitopathy. Eur J Endocrinol. 2021 Aug 27;185(4):G43-G67. [CrossRef]
- Pierman G, Delgrange E, Jonas C. Recurrence of Graves’ Disease (a Th1-type Cytokine Disease) Following SARS-CoV-2 mRNA Vaccine Administration: A Simple Coincidence? Eur J Case Rep Intern Med. 2021;8(9):002807. [CrossRef]
- Bostan, H.; Ucan, B.; Kizilgul, M.; Calapkulu, M.; Hepsen, S.; Gul, U.; Unsal, I.O.; Cakal, E. Relapsed and newly diagnosed Graves’ disease due to immunization against COVID-19: A case series and review of the literature. J. Autoimmun. 2022, 128, 102809–102809. [Google Scholar] [CrossRef]
- Goblirsch TJ, Paulson AE, Tashko G, Mekonnen AJ. Graves’ disease following administration of second dose of SARS-CoV-2 vaccine. BMJ Case Rep. 2021 Dec 30;14(12):e246432. [CrossRef]
- Kikkawa, D.; Park, K.; Fung, S.; Ting, M.; Ozzello, D.; Yoon, J.; Liu, C.; Korn, B. Thyroid eye disease reactivation associated with COVID-19 vaccination. Taiwan J. Ophthalmol. 2022, 12, 93–96. [Google Scholar] [CrossRef]
- Chee YJ, Liew H, Hoi WH, Lee Y, Lim B, Chin HX, et al. SARS-CoV-2 mRNA Vaccination and Graves’ Disease: A Report of 12 Cases and Review of the Literature. J Clin Endocrinol Metab. 2022 Dec 17;107(6):e2324–30. [CrossRef]
- Mohamed A, Tzoulis P, Kossler AL, Dosiou C. New Onset or Deterioration of Thyroid Eye Disease After mRNA SARS-CoV-2 Vaccines: Report of 2 Cases and Literature Review. J Clin Endocrinol Metab. 2023 Mar 10;108(4):979–85. [CrossRef]
- Cheng, O.T.; Schlachter, D.M. Teprotumumab in advanced reactivated thyroid eye disease. Am. J. Ophthalmol. Case Rep. 2022, 26, 101484. [Google Scholar] [CrossRef] [PubMed]
- Barrett, L.; Glatt, H.J.; Burde, R.M.; Gado, M.H. Optic nerve dysfunction in thyroid eye disease: CT. Radiology 1988, 167, 503–507. [Google Scholar] [CrossRef] [PubMed]
- Draman MS, Zhang L, Dayan C, Ludgate M. Orbital Signaling in Graves’ Orbitopathy. Front Endocrinol. 2021;12:739994. [CrossRef]
- Weetman, A.P. The Immunopathogenesis of Chronic Autoimmune Thyroiditis One Century after Hashimoto. Eur. Thyroid. J. 2012, 1, 243–250. [Google Scholar] [CrossRef]
- Bliddal, S.; Nielsen, C.H.; Feldt-Rasmussen, U. Recent advances in understanding autoimmune thyroid disease: the tallest tree in the forest of polyautoimmunity. F1000Research 2017, 6, 1776. [Google Scholar] [CrossRef]
- Kendler, D.L.; Lippa, J.; Rootman, J. The Initial Clinical Characteristics of Graves' Orbitopathy Vary With Age and Sex. Arch. Ophthalmol. 1993, 111, 197–201. [Google Scholar] [CrossRef]
- Stan, M.N.; Bahn, R.S.; Perros, P.; Tumminia, A.; Frittitta, L.; Buscema, M.; Palermo, F.; Sciacca, L.; Squatrito, S.; McAlinden, C.; et al. Risk Factors for Development or Deterioration of Graves' Ophthalmopathy. Thyroid® 2010, 20, 777–783. [Google Scholar] [CrossRef]
- Tallstedt, L.; Abraham-Nordling, M.; Andersson, T.; Berg, G.; Calissendorff, J.; Hallengren, B.; Hedner, P.; Lantz, M.; Ponjavic, V.; Taube, A.; et al. Thyroid-Associated Ophthalmopathy after Treatment for Graves’ Hyperthyroidism with Antithyroid Drugs or Iodine-131. J. Clin. Endocrinol. Metab. 2009, 94, 3700–3707. [Google Scholar] [CrossRef]
- Vestergaard, P. Smoking and thyroid disorders--a meta-analysis. Eur. J. Endocrinol. 2002, 146, 153–161. [Google Scholar] [CrossRef]
- Ye, X.Z.; Huang, S.S.; Liu, J.; Lu, B.; Shao, J.Q. [High serum cholesterol: a novel risk factor for thyroid associated ophthalmopathy?]. 2019, 58, 823–825. [CrossRef]
- Antonelli, A.; Ferrari, S.M.; Ragusa, F.; Elia, G.; Paparo, S.R.; Ruffilli, I.; Patrizio, A.; Giusti, C.; Gonnella, D.; Cristaudo, A.; et al. Graves’ disease: Epidemiology, genetic and environmental risk factors and viruses. Best Pr. Res. Clin. Endocrinol. Metab. 2020, 34, 101387. [Google Scholar] [CrossRef] [PubMed]
- A V, D K. Potential antigenic cross-reactivity between SARS-CoV-2 and human tissue with a possible link to an increase in autoimmune diseases. Clin Immunol Orlando Fla [Internet]. 2020 Aug [cited 2023 Jul 27];217. Available from: https://pubmed.ncbi.nlm.nih.gov/32461193/.
- Shoenfeld Y, Agmon-Levin N. ‘ASIA’ - autoimmune/inflammatory syndrome induced by adjuvants. J Autoimmun. 2011 Feb;36(1):4–8.
- Patrizio A, Ferrari SM, Elia G, Ragusa F, Paparo SR, Mazzi V, et al. Graves’ Disease Following SARS-CoV-2 Vaccination: A Systematic Review. Vaccines. 2022 Sep 1;10(9):1445.
- Teijaro JR, Farber DL. COVID-19 vaccines: modes of immune activation and future challenges. Nat Rev Immunol. 2021 Apr;21(4):195–7.




| Sex | Age | Family history of autoimmunity |
Personal history of autoimmunity |
Name of vaccine |
Type of vaccine |
Dose | Time of TED onset after vaccination (days) | History of TED | Thyrotoxicosis | CAS | Severity of TED | Reference |
|---|---|---|---|---|---|---|---|---|---|---|---|---|
| F | 34 | ND | ND | Pfizer | mRNA | 1st | 10 | New | Yes | ND | Mild | Pierman et al, 2021 |
| F | 50 | ND | ND | Pfizer | mRNA | 2nd | 3 | New | No | 5/7 | Moderate-to-severe | Rubinstein et al,2020 |
| F | 51 | ND | No | Pfizer | mRNA | 2nd | 4 | New | Yes | 3/7 | Mild GO | Bostan et al, 2022 |
| F | 71 | ND | No | Pfizer | mRNA | 2nd | > 70 | New | Yes | ND | Moderate-to-severe / 10 weeks after treatment of Graves' disease |
Goblirsch et al, 2021 |
| M | 43 | ND | ND | Pfizer | mRNA | ND | 14 | TED recurrence | No | ND | Sight threatening | Patrizio et al, 2022 |
| F | 58 | ND | ND | Pfizer | mRNA | 2nd | 3 | Worsening of 3-year TED |
No | 6/10 | Moderate-to-severe | Patrizio et al, 2022 |
| F | 53 | ND | ND | Pfizer | mRNA | 1st | 1 | New | No | ND | Moderate-to-severe | Park et al, 2022 |
| F | 66 | ND | ND | Moderna | mRNA | 2nd | 21 | TED recurrence after 15 years |
No | 6/10 | Moderate-to-severe | Park et al, 2022 |
| F | 37 | ND | ND | ND | mRNA | 2nd | 21 | New | Yes | ND | Mild-to-moderate | Chee et al, 2022 |
| F | 45 | ND | ND | Moderna | mRNA | 1st | 21 | TED recurrence after 5 years |
ND | ND | Mild-to-moderate | Park et al, 2022 |
| M | 59 | ND | ND | ND | mRNA | 1st | 21 | New | Yes | ND | Mild-to-moderate | Chee et al, 2022 |
| F | 34 | ND | ND | ND | mRNA | 1st | 26 | New | Yes | ND | Mild-to-moderate | Chee et al, 2022 |
| F | 70 | ND | Graves’ disease (total thyroidectomy) | ND | mRNA | 2nd | 6 | TED recurrence after 18 weeks | No | 4/7 | Moderate-to-severe | Abeillon-du Payrat et al, 2023 |
| M | 43 | ND | Type-1 diabetes mellitus, psoriasis, Graves’ disease |
Moderna | mRNA | 1st | 1 | TED recurrence after 45 weeks | No | 7/7 | Sight threatening | Abeillon-du Payrat et al, 2023 |
| M | 73 | ND | Graves’ disease |
Pfizer | mRNA | 1st | 21 | New | No | 3/7 | Mild | Abeillon-du Payrat et al, 2023 |
| F | 45 | ND | Graves’ disease (total thyroidectomy) | Moderna | mRNA | 2nd | 7 | TED recurrence | No | 4/7 | Moderate-to-severe | Abeillon-du Payrat et al, 2023 |
| M | 48 | ND | Graves’ disease (total thyroidectomy) | Moderna | mRNA | 2nd | 30 | TED recurrence after 11 months | Yes | 5/7 | Sight threatening |
Abeillon-du Payrat et al, 2023 |
| F | 39 | Thyroid disease | ND | Pfizer | mRNA | 1st | 7 | New | No | 2/7 | Mild | Abeillon-du Payrat et al, 2023 |
| M | 20 | No | No | COVISHIELD | viral vector | 1st | 14 | New | Yes | 2/7 | Mild | Chaudhary et al, 2022 |
| F | 46 | Hypothyroidism | No | COVISHIELD | viral vector | 1st | 10 | New | Yes | 2/7 | Mild | Chaudhary et al, 2022 |
| M | 50 | ND | Psoriasis, vitiligo, atrophic gastritis, Graves’ disease | Pfizer | mRNA | 2nd | 21 | Worsening of 9-months TED | No | 7/10 | Moderate-to-severe |
Mohamed et al, 2023 |
| F | 71 | ND | Hypothyroidism | Moderna | mRNA | 2nd | 3 | New | Yes | 4/7 | Sight threatening |
Mohamed et al, 2023 |
| F | 51 | ND | Graves’ disease | Moderna | mRNA | 2nd | 15 | TED recurrence after 30 weeks | No | 9/10 | Severe | Cheng et al, 2022 |
Disclaimer/Publisher’s Note: The statements, opinions and data contained in all publications are solely those of the individual author(s) and contributor(s) and not of MDPI and/or the editor(s). MDPI and/or the editor(s) disclaim responsibility for any injury to people or property resulting from any ideas, methods, instructions or products referred to in the content. |
© 2023 by the authors. Licensee MDPI, Basel, Switzerland. This article is an open access article distributed under the terms and conditions of the Creative Commons Attribution (CC BY) license (http://creativecommons.org/licenses/by/4.0/).