Preprint
Article

This version is not peer-reviewed.

Side Chain-modified Benzothiazinone Derivatives with Anti-Mycobacterial Activity

A peer-reviewed version of this preprint was published in:
Biomedicines 2023, 11(7), 1975. https://doi.org/10.3390/biomedicines11071975

Submitted:

24 May 2023

Posted:

26 May 2023

Read the latest preprint version here

Abstract
Tuberculosis (TB) is a leading infectious disease with serious antibiotic resistance. The benzothiazinone (BTZ) scaffold PBTZ169, an inhibitor of the decaprenylphosphoryl-β-D-ribose 2'-oxidase (DprE1) in Mycobacterium tuberculosis (Mtb), showed anti-TB potential in animal model and piloted clinical tests. Although highly potent, the BTZ type DprE1 inhibitors in general shows extremely low aqueous solubility, which adversely affect the drug like property. To improve the compounds physiochemical properties, we generated a series of BTZ analogues. Several optimized compounds had MIC values against Mtb in single digit nanomolar. The representative compound 37 displayed improved solubility and bioavailability compared to the lead compound. Additionally, compound 37 shows Mtb-killing ability in an acute infection mouse model.
Keywords: 
;  ;  ;  

1. Introduction

The notorious infectious disease tuberculosis (TB) is listed as one of the top death-leading infectious diseases worldwide. The reported mortality is 1.4 million mortality each year, and an estimated latent infection of 2 billion people[1]. Treatment of the disease using the first-line anti-tubercular agents: isoniazid, rifampicin, ethambutol, pyrazinamide and streptomycin, is challenged as more and more reported cases of multidrug resistant (MDR) and extensively drug-resistant (XDR) clinical mutants[2]. To combat with the disaster of MDR- and XDR-TB, conscious and concerted efforts continued to discover anti-TB antibiotics with new targets or scaffolds over the past decades.
A class of compounds with a benzothiazinone (BTZ) scaffold, first reported in 2009, show potent antitubercular activity[3,4]. Subsequent studies revealed that BTZs inhibits of the essential cell wall biosynthesis enzyme decaprenylphosphoryl-β-D-ribose 2′ oxidase (DprE1) [5]. Among all reported BTZ derivatives, BTZ043 and PBTZ169[6] (Figure 1) attracted most attention because of their remarkable whole-cell activity, with the minimal inhibitory concentration (MIC) values lower than 1.0 ng/mL. On top of this, the BTZ type candidates demonstrated synergistic effect with other TB drugs[6]. Reported studies have shown that the BTZ type DprE1 inhibitors are sensitive to MDR and XDR strains[3]. Although both benzothiazinones have been advanced to clinical trials, each suffered suboptimal drug like properties. In addition to their low aqueous solubility, the presence of a chiral center in BTZ043 renders its synthesis disadvantageous; the more potent second generation PBTZ169 takes liability of poor in vivo bioavailability, presumably emanating from its low water solubility and high plasma protein binding fraction.
To improve the BTZ type compounds physiobhemical property, we herein report our investigation of novel series of derivatives with improved aqueous solibility and good pharmacokinetic activity. We demonstrated side chain modification by opening the cyclic piperidinyl or piperzinyl ring could expand the BTZ compound diversity, afford BTZ analogs with elavated physiochemical properties.

2. Materials and Methods

2.1. General Experimental Information

Reagents, solvents and materials were purchased from commercial suppliers and were used directly, unless further treatment was noted. Anhydrous solvent tetrahydrofuran (THF) and dichloromethane (DCM) were also obtained and used as commercial sources. Thin layer chromatography (TLC) were monitored and performed on silica HSGF254 plates to follow the reations. TLC was virulized by ultraviolet light (UV) light at 254 or 365 nm, or exposure to I2. The crude product purification were conducted on column chromatography silica gel (300−400 mesh). All final products were recorded 1H NMR,13C NMR on an Agilent−400 MHz or Bruker DD2-600 MHz spectrometer in CDCl3 or dimethyl sulfoxide (DMSO-d6), TMS was used as reference. High resolution mass analysis (HRMS) in electrospray ionization mode was determined on Micromass GCT-TOF. The sample purity analysis was determined by high performance liquid chromatography (HPLC) on SHIMADZU LC−20AD system. Before sending for biological test, all tested compounds purity is greater than 95%.
Abbreviations: PEG: poly ethylene glycol; HCl: hydrochloric acid; DMF: N,N-dimethylformamide; DCM: dichloromethane; MeOH: methanol; CDI: 1,1’-carbonyldiimidazole; ESI: electrospray ionization.

2.2. Characterization Data for the Compounds

BTZ: 8-nitro-6-(trifluoromethyl)-4H-benzo[e][1,3]thiazin-4-one

2-(((1-cyclohexyl-1H-1,2,3-triazol-4-yl)methyl)(methyl)amino)-BTZ (1). yield 53%; Solid, yellow color; 1H NMR (400 MHz, CDCl3) δ: 9.13 (s, 1H), 8.77 (s, 1H), 7.77 (s, 1H), 5.12 (s, 2H), 4.43 – 4.37 (m, 1H), 3.51 (s, 3H), 2.16 (d, J = 8.0 Hz, 2H), 1.90 (d, J = 8.0 Hz, 2H), 1.76 – 1.70 (m, 2H), 1.47 – 1.38 (m, 2H), 1.30 – 1.25 (m, 2H); 13C NMR (151 MHz, CDCl3) δ: 163.3, 166.1, 141.4, 143.9, 133.7 (d, J = 2.2 Hz), 134.4, 130.0 (q, J = 35.6 Hz), 126.0 (d, J = 2.6 Hz), 126.7, 122.5 (q, J = 273.3 Hz), 121.6, 46.7, 60.5, 37.0, 25.3, 33.6, 25.2; HRMS-ESI (m/z) calcd [M+H]+ for C19H20F3N6O3S+ 469.1264, found 469.1259.
2-(methyl((1-phenyl-1H-1,2,3-triazol-4-yl)methyl)amino)-BTZ (2). yield 43%; Solid, white; 1H NMR (400 MHz, CDCl3) δ: 9.13 (s, 1H), 8.76 (s, 1H), 8.24 (s, 1H), 7.70 (d, J = 7.60 Hz, 2H), 7.51 (t, J = 7.2 Hz, 2H), 7.44 (d, J = 7.2 Hz, 1H), 5.20 (s, 2H), 3.57 (s, 3H); 13C NMR (151 MHz, CDCl3) δ: 166.1, 163.4, 144.1, 142.5, 136.8, 134.2, 133.6 (d, J = 3.0 Hz), 130.0 (q, J = 36.1 Hz), 123.0, 129.0, 126.7, 126.1 (d, J = 3.0 Hz), 122.4 (q, J = 273.2 Hz), 122.3, 120.6, 46.7, 37.0; HRMS-ESI (m/z) calcd [M+H]+ for C19H14F3N6O3S+ 463.0795, found 463.0797.
2-(ethyl((1-phenyl-1H-1,2,3-triazol-4-yl)methyl)amino)-BTZ (3). yield 43%; Solid, white; 1H NMR (400 MHz, CDCl3) δ: 9.12 (s, 1H), 8.76 (s, 1H), 8.33 (s, 1H), 7.71 (d, J = 8.0 Hz, 2H), 7.50 (t, J = 7.4 Hz, 2H), 7.43 (d, J = 6.8 Hz, 1H), 5.13 (s, 2H), 3.98 (q, J = 7.0 Hz, 2H), 1.50 (t, J = 3.8 Hz, 3H); 13C NMR (151 MHz, CDCl3) δ: 166.2, 162.6, 144.1, 142.9, 137.0, 134.5, 133.6, 129.9, 129.9 (q, J = 34.7 Hz), 129.1, 126.8, 126.2 (d, J = 3.0 Hz), 122.9, 122.5 (q, J = 273.3 Hz), 120.7, 45.1, 44.7, 13.1; HRMS-ESI (m/z) calcd [M+H]+ for C20H16F3N6O3S+ 477.0951, found 477.0944.
2-(((1-benzyl-1H-1,2,3-triazol-4-yl)methyl)(methyl)amino)-BTZ (4). yield 40%; A white solid; 1H NMR (400 MHz, CDCl3) δ: 9.12 (s, 1H), 8.78 (s, 1H), 7.72 (s, 1H), 7.36 (br, 3H), 7.28 (br, 2H), 5.50 (s, 2H), 5.11 (s, 2H), 3.51 (s, 3H); 13C NMR (151 MHz, CDCl3) δ: 166.1, 163.4, 144.0, 142.3, 134.4, 134.4, 133.6 (d, J = 3.1 Hz), 130.0 (q, J = 36.1 Hz), 129.3, 129.0, 128.3, 126.7, 126.1 (d, J = 3.0 Hz), 123.9, 122.5 (q, J = 273.3 Hz), 54.3, 46.3, 36.8; HRMS-ESI (m/z) calcd [M+H]+ for C20H16F3N6O3S+ 477.0951, found 477.0944.
2-(methyl((1-(pyridin-4-yl)-1H-1,2,3-triazol-4-yl)methyl)amino)-BTZ (5). yield 49%; A yellow solid; 1H NMR (400 MHz, DMSO-d6) δ: 9.00 (s, 1H), 8.88 (s, 2H), 8.82 (br, 2H), 7.98 (s, 2H), 5.21 (s, 2H), 3.44 (s, 3H); 13C NMR (151 MHz, CDCl3) δ: 166.1, 163.6, 151.7, 144.0, 143.4, 142.6, 134.3, 133.7 (d, J = 2.9 Hz), 130.1 (q, J = 35.9 Hz), 126.7 (d, J = 3.3 Hz), 126.3 (d, J = 3.3 Hz), 122.5 (q, J = 273.2 Hz), 121.9, 46.8, 37.2; HRMS-ESI (m/z) calcd [M+H]+ for C18H13F3N7O3S+ calculated 464.0747, found 464.0748.
2-(methyl((1-(pyridin-3-yl)-1H-1,2,3-triazol-4-yl)methyl)amino)-BTZ (6). yield 57%; A yellow solid; 1H NMR (400 MHz, CDCl3) δ: 9.12 (s, 1H), 9.04 (s, 1H), 8.77 (s, 1H), 8.72 (brs, 1H), 8.35 (brs, 1H), 8.08 (d, J = 7.4 Hz, 1H), 7.50 (brs, 1H), 5.20 (s, 2H), 3.58 (s, 3H); 13C NMR (151 MHz, CDCl3) δ: 166.2, 163.6, 150.3, 150.2, 144.0, 143.2, 141.9, 134.3, 133.5 (d, J = 2.6 Hz), 130.1 (q, J = 35.5 Hz), 128.1, 126.6, 126.2 (d, J = 2.9 Hz), 122.5, 122.5 (q, J = 273.3 Hz), 121.6, 46.7, 37.3; HRMS-ESI (m/z) calcd [M+Na]+ for C18H12F3N7NaO3S+ 486.0567, found 486.0547.
2-(((1-([1,1’-biphenyl]-4-yl)-1H-1,2,3-triazol-4-yl)methyl)(methyl)amino)-BTZ (7). yield 64%; A yellow solid; 1H NMR (400 MHz, CDCl3) δ: 9.14 (s, 1H), 8.77 (s, 1H), 8.30 (s, 1H), 7.79 (d, J = 8.0 Hz, 2H), 7.72 (d, J = 8.0 Hz, 2H), 7.60 (d, J = 7.2 Hz, 2H), 7.47 (t, J = 7.4 Hz, 2H), 7.39 (t, J = 7.2 Hz, 1H), 5.21 (s, 2H), 3.59 (s, 3H); 13C NMR (151 MHz, CDCl3) δ: 166.2, 163.5, 144.0, 142.6, 142.1, 139.6, 136.0, 134.4, 133.7, 130.0 (q, J = 35.49 Hz), 129.1, 128.5, 128.2, 127.2, 126.7, 126.2 (d, J = 2.6 Hz), 122.6 (q, J = 273.1 Hz), 122.2, 120.9, 46.8, 37.0; HRMS-ESI (m/z) calcd [M+H]+ for C25H18F3N6O3S+ 539.1108, found 539.1108.
2-(methyl((1-(naphthalen-2-yl)-1H-1,2,3-triazol-4-yl)methyl)amino)-BTZ (8). yield 67%; yellow solid; 1H NMR (400 MHz, CDCl3) δ: 9.14 (d, J = 1.6 Hz, 1H), 8.77 (d, J = 1.6 Hz, 1H), 8.39 (s, 1H), 8.16 (d, J = 1.6 Hz, 1H), 7.99 (d, J = 8.8 Hz, 1H), 7.93 – 7.86 (m, 3H), 7.60 – 7.54 (m, 2H), 5.24 (s, 2H), 3.60 (s, 3H); 13C NMR (151 MHz, CDCl3) δ: 166.2 163.6, 134.4, 134.3, 133.6 (d, J = 3.4 Hz), 133.3, 133.1, 130.2, 129.9 (q, J = 35.48 Hz), 128.4, 128.1, 127.7, 127.3, 126.6, 126.2 (d, J = 2.6 Hz), 122.5 (q, J = 273.1 Hz), 122.4, 118.9, 118.7, 46.7, 37.1; HRMS-ESI (m/z) calcd [M+H]+ for C23H16F3N6O3S+ 513.0951, found 513.0949.
2-(methyl((1-(naphthalen-1-yl)-1H-1,2,3-triazol-4-yl)methyl)amino)-BTZ (9). yield 60%; Solid, yellow color; 1H NMR (400 MHz, CDCl3) δ: 9.10 (s, 1H), 8.77 (d, J = 1.6 Hz, 1H), 8.19 (s, 1H), 8.02 (d, J = 8.2 Hz, 1H), 7.95 (d, J = 8.0 Hz, 1H), 7.60 – 7.51 (m, 5H), 5.27 (s, 2H), 3.65 (s, 3H); 13C NMR (151 MHz, CDCl3) δ: 166.1, 163.5, 144.0, 141.9, 134.3, 133.7, 133.5, 130.7, 130.0 (q, J = 35.4 Hz), 128.5, 128.4, 128.1, 127.3, 126.7, 126.2, 125.1, 123.6, 122.5 (q, J = 273.1 Hz), 122.3, 46.8, 37.2; HRMS-ESI (m/z) calcd [M+H]+ for C23H16F3N6O3S+ 513.0951, found 513.0951.
2-(methyl((1-(thiophen-2-ylmethyl)-1H-1,2,3-triazol-4-yl)methyl)amino)-BTZ (10). yield 71%; Solid, yellow color; 1H NMR (400 MHz, CDCl3) δ: 9.11 (d, J = 1.6 Hz, 1H), 8.76 (d, J = 1.6 Hz, 1H), 7.77 (s, 1H), 7.31 (d, J = 4.8 Hz, 1H), 7.10 (d, J = 2.8 Hz, 1H), 7.03 – 6.93 (m, 1H), 5.67 (s, 2H), 5.10 (s, 2H), 3.49 (s, 3H); 13C NMR (151 MHz, CDCl3) δ: 166.1, 163.5, 144.0, 142.2, 135.8, 134.4, 133.6 (d, J = 2.6 Hz), 129.9 (q, J = 35.5 Hz), 128.5, 127.5, 127.4, 126.7, 126.1 (d, J = 2.8 Hz), 123.6, 122.5 (q, J = 273.3 Hz), 48.7, 46.5, 36.9; HRMS-ESI (m/z) calcd [M+H]+ for C18H14F3N6O3S2+ 483.0515, found 483.0512.
2-(methyl((1-(thiazol-4-ylmethyl)-1H-1,2,3-triazol-4-yl)methyl)amino)-BTZ (11). yield 43%; Solid, yellow color; 1H NMR (400 MHz, CDCl3) δ: 9.11 (d, J = 2.0 Hz, 1H), 8.80 (s, 1H), 8.76 (d, J = 2.0 Hz, 1H), 7.91 (s, 1H), 7.32 (s, 1H), 5.68 (s, 2H), 5.12 (s, 2H), 3.49 (s, 3H); 13C NMR (151 MHz, CDCl3) δ: 166.1, 163.5, 154.3, 150.2, 144.0, 142.2, 134.3, 133.6 (d, J = 3.3 Hz), 129.9 (q, J = 35.6 Hz), 126.7, 126.1 (d, J = 3.3 Hz), 124.3, 122.5 (d, J = 273.1 Hz), 118.1, 49.8, 46.5, 36.9; HRMS-ESI (m/z) calcd [M+H]+ for C17H13F3N7O3S2+ 484.0468, found 484.0467.
2-(((1-(4-fluorophenyl)-1H-1,2,3-triazol-4-yl)methyl)(methyl)amino)-BTZ (12). yield 66%; Solid, yellow color; 1H NMR (400 MHz, CDCl3) δ: 9.12 (s, 1H), 8.78 (s, 1H), 8.26 (s, 1H), 7.69 (dd, J = 7.6, 4.4 Hz, 2H), 7.19 (t, J = 8.0 Hz, 2H), 5.20 (s, 2H), 3.57 (s, 3H); 13C NMR (151 MHz, CDCl3) δ: 166.2, 163.6, 162.8 (d, J = 250.0 Hz), 143.9, 142.7, 134.3, 133.6 (d, J = 2.4 Hz), 133.1, 130.0 (q, J = 35.1 Hz), 126.7, 126.3 (d, J = 3.0 Hz), 122.7 (d, J = 8.4 Hz), 122.6, 122.5 (q, J = 273.1 Hz), 116.9 (d, J = 23.3 Hz), 46.6, 37.1; HRMS-ESI (m/z) calcd [M+H]+ for C19H13F4N6O3S+ 481.0700, found 481.0692.
2-(((1-(3-fluorophenyl)-1H-1,2,3-triazol-4-yl)methyl)(methyl)amino)-BTZ (13). yield 59%; Solid, yellow color 1H NMR (400 MHz, CDCl3) δ: 9.13 (s, 1H), 8.78 (s, 1H), 8.30 (s, 1H), 7.56 – 7.47 (m, 3H), 7.14 (s, 1H), 5.18 (s, 2H), 3.58 (s, 3H); ; 13C NMR (151 MHz, CDCl3) δ: 166.2, 163.6, 163.2 (d, J = 249.0 Hz), 143.9, 142.8, 138.0 (d, J = 9.5 Hz), 134.3, 133.7 (d, J = 2.4 Hz), 131.4 (d, J = 8.5 Hz), 132.9 (q, J = 35.5 Hz), 126.6, 126.2 (d, J = 2.8 Hz), 122.5 (q, J = 273.0 Hz), 122.4, 116.1, 116.0, 108.5 (d, J = 26.3 Hz), 46.7, 37.2; HRMS-ESI (m/z) calcd [M+H]+ for C19H13F4N6O3S+ 481.0700, found:481.0701.
2-(((1-(2-fluorophenyl)-1H-1,2,3-triazol-4-yl)methyl)(methyl)amino)-BTZ (14). yield 53%; Solid,yellow color; 1H NMR (400 MHz, CDCl3) δ: 9.12 (s, 1H), 8.76 (s, 1H), 8.29 (s, 1H), 7.88 (br, 1H), 7.44 (d, J = 5.2 Hz, 1H), 7.31 (t, J = 8.2 Hz, 2H), 5.23 (s, 2H), 3.56 (s, 3H); 13C NMR (151 MHz, CDCl3) δ: 166.1, 163.6, 153.5 (d, J = 251.8 Hz), 143.9, 142.3, 134.2, 133.8 (d, J = 2.9 Hz), 130.7 (d, J = 6.8 Hz), 130.0 (q, J = 35.4 Hz), 126.7, 126.1, 125.4, 125.3, 125.1, 125.0, 122.5 (q, J = 273.2 Hz), 117.3 (d, J = 19.9 Hz), 46.5, 37.1; HRMS-ESI (m/z) calcd [M+H]+ for C19H13F4N6O3S+ 481.0700, found 481.0696.
2-(((1-(3-chlorophenyl)-1H-1,2,3-triazol-4-yl)methyl)(methyl)amino)-BTZ (15). yield 49%; Solid, white color; 1H NMR (400 MHz, CDCl3) δ: 9.14 (s, 1H), 8.78 (s, 1H), 8.25 (s, 1H), 7.77 (s, 1H), 7.60 (d, J = 7.3 Hz, 1H), 7.47–7.42 (m, 2H), 5.20 (s, 2H), 3.57 (s, 3H); 13C NMR (151 MHz, CDCl3) δ: 166.2, 163.6, 144.0, 142.9, 137.7, 135.8, 134.3, 133.7, 131.0, 130.0 (q, J = 35.9 Hz), 129.2, 126.7, 126.2, 122.6, 122.5 (q, J = 273.4 Hz), 121.0, 118.7, 46.8, 37.4; HRMS-ESI (m/z) calcd [M+H]+ for: C19H13ClF3N6O3S+ 497.0405, found:497.0407.
2-(((1-(3-bromophenyl)-1H-1,2,3-triazol-4-yl)methyl)(methyl)amino)-BTZ (16). yield 57%; Solid, white color; 1H NMR (400 MHz, CDCl3) δ: 9.13 (s, 1H), 8.77 (s,1H), 8.26 (s, 1H), 7.93 (s, 1H), 7.65 (d, J = 7.6 Hz, 1H), 7.56 (d, J = 7.6 Hz, 1H), 7.38 (t, J = 7.8 Hz, 1H), 5.19 (s, 2H), 3.57 (s, 3H); 13C NMR (151 MHz, CDCl3) δ: 166.2, 163.4, 144.0, 142.9, 137.8, 134.2, 133.6 (d, J = 2.4 Hz), 132.2, 131.2, 130.0 (q, J = 35.8 Hz), 126.5, 126.1 (d, J = 2.7 Hz), 123.8, 123.5, 122.5 (q, J = 273.0 Hz), 122.2, 119.1, 46.6, 37.2; HRMS-ESI (m/z) calcd [M+H]+ for C19H13BrF3N6O3S+ 540.9900; 542.9879, found 540.9899; 542.9880.
2-(((1-(3-iodophenyl)-1H-1,2,3-triazol-4-yl)methyl)(methyl)amino)-BTZ (17). yield 70%; Solid,white color. 1H NMR (400 MHz, CDCl3) δ: 9.13 (s, 1H), 8.77 (s, 1H), 8.24 (s, 1H), 8.10 (s, 1H), 7.76 (d, J = 7.6 Hz, 1H), 7.68 (d, J = 7.6 Hz, 1H), 7.22 (t, J = 7.6 Hz, 1H), 5.19 (s, 2H), 3.57 (s, 3H); 13C NMR (151 MHz, CDCl3) δ: 166.1, 163.6, 144.1, 142.8, 138.2, 137.6, 134.3, 133.7, 131.3, 130.0 (q, J = 35.2 Hz), 129.5, 126.6, 126.2 (d, J = 2.6 Hz), 122.5 (q, J = 273.2 Hz), 122.2, 119.8, 94.6, 46.6, 37.1; HRMS-ESI (m/z) calcd [M+H]+ for C19H13F3IN6O3S+ 588.9761, found: 588.9760.
2-(((1-(3-methoxyphenyl)-1H-1,2,3-triazol-4-yl)methyl)(methyl)amino)-BTZ (18). yield 57%; Solid, white color; 1H NMR (400 MHz, CDCl3) δ: 9.12 (s, 1H), 8.77 (s, 1H), 8.24 (s, 1H), 7.39 (t, J = 8.0 Hz, 1H), 7.30 (s, 1H), 7.23 (d, J = 7.8 Hz, 1H), 6.95 (d, J = 7.8 Hz, 1H), 5.20 (s, 2H), 3.86 (s, 3H), 3.57 (s, 3H); 13C NMR (151 MHz, CDCl3) δ: 166.1, 163.5, 160.8, 144.1, 142.5, 137.9, 134.3, 133.7, 130.7, 130.0 (q, J = 35.6 Hz), 126.7, 126.2 (d, J = 2.6 Hz), 122.5 (q, J = 273.2 Hz), 122.3, 115.0, 112.6, 106.5, 55.8, 46.6, 37.1; HRMS-ESI (m/z) calcd [M+H]+ for C20H16F3N6O4S+ 493.0900, found 493.0900.
2-(methyl((1-(m-tolyl)-1H-1,2,3-triazol-4-yl)methyl)amino)-BTZ (19). yield 66%; Solid,white color; 1H NMR (400 MHz, CDCl3) δ: 9.13 (s, 1H), 8.77 (s, 1H), 8.22 (s, 1H), 7.53 (s, 1H), 7.48 (d, J = 8.0 Hz, 1H), 7.37 (t, J = 7.6 Hz, 1H), 7.23 (d, J = 7.6 Hz, 1H), 5.20 (s, 2H), 3.57 (s, 3H), 2.43 (s, 3H); 13C NMR (151 MHz, CDCl3) δ: 166.2, 163.5, 144.0, 142.5, 140.2, 136.8, 134.4, 133.7 (d, J = 2.5 Hz), 130.0 (q, J = 35.6 Hz), 129.9, 129.7, 126.7, 126.2 (d, J = 2.7 Hz), 122.5 (q, J = 273.2 Hz), 122.3, 121.3, 117.8, 46.6, 37.1, 21.5; HRMS-ESI (m/z) calcd [M+H]+ for C20H16F3N6O3S+ 477.0951, found 477.0948.
2-(methyl((1-(3-(trifluoromethyl)phenyl)-1H-1,2,3-triazol-4-yl)methyl)amino)-BTZ (20). yield 65%; Solid, white color, 1H NMR (400 MHz, CDCl3) δ: 9.13 (s, 1H), 8.79 (s, 1H), 8.34 (s, 1H), 8.04 (br, 1H), 7.91 (br, 1H), 7.68 (d, J = 12.0 Hz, 2H), 5.20 (s, 2H), 3.58 (s, 3H); 13C NMR (151 MHz, CDCl3) δ: 166.2, 163.7, 144.0, 143.1, 137.2, 134.3, 132.7 (q, J = 33.5 Hz), 130.7, 130.0 (q, J = 35.6 Hz), 129.6 (d, J = 4.0 Hz), 126.6, 126.2 (d, J = 3.3 Hz), 125.8, 123.8 (q, J = 272.8 Hz), 123.7, 123.4 (q, J = 272.7 Hz), 122.4, 117.8 (d, J = 3.7 Hz), 46.6, 37.2; HRMS-ESI (m/z) calcd [M+H]+ for C20H13F6N6O3S+ 531.0669, found 531.0669.
3-(4-((methyl(8-nitro-4-oxo-6-(trifluoromethyl)-4H-benzo[e][1,3]thiazin-2-yl)amino)methyl)-1H-1,2,3-triazol-1-yl)benzonitrile (21). yield 63%; Solid, white color. 1H NMR (400 MHz, CDCl3) δ: 9.13 (s, 1H), 8.77 (s, 1H), 8.36 (s, 1H), 8.10 (s, 1H), 7.98 (d, J = 7.60 Hz, 1H), 7.73 (d, J = 7.40 Hz, 1H), 7.66 (t, J = 7.80 Hz, 1H), 5.19 (s, 2H), 3.59 (s, 3H); 13C NMR (151 MHz, CDCl3) δ: 166.1, 163.5, 143.9, 143.3, 137.5, 134.3, 133.7 (d, J = 2.30 Hz), 132.4, 131.2, 130.1 (q, J = 35.6 Hz), 126.6, 126.3 (d, J = 3.1 Hz), 124.5, 123.9, 122.5 (q, J = 273.3 Hz), 122.3, 117.4, 114.5, 46.7, 37.3; HRMS-ESI (m/z) calcd [M+H]+ for C20H13F3N7O3S+ 488.0747, found 488.074.
2-(((1-(3,4-difluorophenyl)-1H-1,2,3-triazol-4-yl)methyl)(methyl)amino)-BTZ (22). yield 61%; Solid,white color; 1H NMR (400 MHz, CDCl3) δ: 9.13 (s, 1H), 8.78 (s, 1H), 8.26 (s, 1H), 7.68 – 7.64 (m, 1H), 7.44 (brs, 1H), 7.35 – 7.28 (m, 1H), 5.17 (s, 2H), 3.58 (s, 3H); 13C NMR (151 MHz, CDCl3) δ: 166.2, 163.6, 150.8 (dd, J = 252.2, 13.60 Hz), 150.5 (dd, J = 253.70, 13.6 Hz), 144.0, 143.0, 134.3 133.7 (d, J = 1.50 Hz),133.2, 130.1 (q, J = 36.24 Hz), 126.6, 126.2 (d, J = 3.0 Hz), 122.5 (q, J = 273.3 Hz), 122.5, 118.6 (d, J = 19.4 Hz), 116.7, 110.7 (d, J = 22.7 Hz), 46.7, 37.3; HRMS-ESI (m/z) calcd [M+H]+ for C19H12F5N6O3S+ 499.0606, found 499.0606.
2-(((1-(3,5-difluorophenyl)-1H-1,2,3-triazol-4-yl)methyl)(methyl)amino)-BTZ (23). yield 43%; Solid, white color. 1H NMR (400 MHz, CDCl3) δ: 9.13 (s, 1H), 8.78 (s, 1H), 8.30 (s, 1H), 7.34 (d, J = 5.20 Hz, 2H), 6.89 (brs, 1H), 5.18 (s, 2H), 3.58 (s, 3H); 13C NMR (151 MHz, CDCl3) δ: 166.2, 163.6, 163.55 (dd, J = 251.10, 13.7 Hz), 144.0, 143.1, 138.4 (d, J = 8.90 Hz), 134.3, 133.7 (d, J = 2.60 Hz), 130.1 (q, J = 35.40 Hz), 126.6, 126.3 (d, J = 3.0 Hz), 122.5 (q, J = 273.30 Hz), 122.4, 104.3 (d, J = 40.10 Hz), 104.2 (d, J = 30.50 Hz), 46.7, 37.3; HRMS-ESI (m/z) calcd [M+H]+ for C19H12F5N6O3S+ 499.0606, found 499.0603.
2-(((1-(2,6-difluorophenyl)-1H-1,2,3-triazol-4-yl)methyl)(methyl)amino)-BTZ (24). yield 57%; Solid, white color; 1H NMR (400 MHz, CDCl3) δ: 9.11 (s, 1H), 8.77 (s, 1H), 8.10 (s, 1H), 7.50 – 7.47 (m, 1H), 7.12 (t, J = 8.4 Hz, 2H), 5.22 (s, 2H), 3.59 (s, 3H); 13C NMR (151 MHz, CDCl3) δ: 166.1, 163.6, 156.9 (d, J = 256.70 Hz), 144.0, 141.8, 134.4, 133.7 (d, J = 2.10 Hz), 131.71 (t, J = 9.10 Hz), 130.0 (q, J = 35.50 Hz), 127.0, 126.7,126.2 (d, J = 3.00 Hz), 122.5 (q, J = 273.30 Hz), 115.1 (t, J = 15.10 Hz), 112.7 (d, J = 19.80 Hz), 46.6, 37.2; HRMS-ESI (m/z) calcd [M+H]+ for C19H12F5N6O3S+ 499.0606, found 499.0602.
2-(((1-(2,4-difluorophenyl)-1H-1,2,3-triazol-4-yl)methyl)(methyl)amino)-BTZ (25). yield 85%; Solid, white color1H NMR (400 MHz, CDCl3) δ: 9.13 (s, 1H), 8.78 (s, 1H), 8.26 (s, 1H), 7.88 – 7.82 (m, 1H), 7.08– 7.03 (m, 2H), 5.21 (s, 2H), 3.58 (s, 3H); . 13C NMR (151 MHz, CDCl3) δ: 166.0, 163.6, 162.7 (dd, J = 253.40, 10.9 Hz), 154.1 (dd, J = 254.70, 11.8 Hz), 144.0, 142.4, 134.3, 133.7 (d, J = 2.80 Hz), 130.0 (q, J = 35.50 Hz), 126.7,126.4 (d, J = 9.90 Hz), 126.1 (d, J = 2.60 Hz), 125.3 (d, J = 4.10 Hz), 122.5 (q, J = 273.60 Hz), 121.9 (d, J = 7.20 Hz), 112.7 (d, J = 22.40 Hz), 105.6 (dd, J = 78.5, 2.30 Hz), 46.5, 37.1; HRMS-ESI (m/z) calcd [M+H]+ for C19H12F5N6O3S+ 499.0606, found 499.0607.
2-(((1-(3,4-dichlorophenyl)-1H-1,2,3-triazol-4-yl)methyl)(methyl)amino)-BTZ (26). yield 65%; Solid, white color. 1H NMR (400 MHz, CDCl3) δ: 9.14 (s, 1H), 8.78 (s, 1H), 8.29 (s, 1H), 7.91 (s, 1H), 7.59 (br, 2H),5.18 (s, 2H), 3.57 (s, 3H); 13C NMR (151 MHz, CDCl3) δ: 166.3, 163.6, 144.1, 143.1, 135.9, 134.2, 133.6 (d, J = 2.000 Hz), 133.4, 131.6, 130.1 (q, J = 35.3 Hz), 126.5, 126.3 (d, J = 3.0 Hz), 122.5 (q, J = 273.30 Hz), 122.5, 122.4, 122.3, 119.6, 46.7, 37.2; HRMS-ESI (m/z) calcd [M+H]+ for C19H12Cl2F3N6O3S+ 531.0015, found 531.0012.
2-(((1-(3-bromo-4-fluorophenyl)-1H-1,2,3-triazol-4-yl)methyl)(methyl)amino)-BTZ (27). yield 74%; solid, white color. 1H NMR (400 MHz, CDCl3) δ: 9.13 (s, 1H), 8.78 (s, 1H), 8.25 (s, 1H), 7.98 (d, J = 3.2 Hz, 1H), 7.65 (d, J = 8.4 Hz, 1H), 7.29 (br, 1H), 5.18 (s, 2H), 3.58 (s, 3H); Poor solubility to obtain a 13C NMR. HRMS-ESI (m/z) calcd [M+H]+ for C19H12BrF4N6O3S+ 558.9806, 560.9785, found 558.9794,560.9766.
2-(((1-(3-chloro-4-fluorophenyl)-1H-1,2,3-triazol-4-yl)methyl)(methyl)amino)-BTZ (28). 87%; Solid, white color. 1H NMR (400 MHz, CDCl3) δ: 9.13 (s, 1H), 8.78 (s, 1H), 8.24 (s, 1H), 7.85 (d, J = 4.41 Hz, 1H), 7.61 (d, J = 7.19 Hz, 1H), 7.31 – 7.29 (m, 1H), 5.17 (s, 2H), 3.56 (s, 3H); 13C NMR (151 MHz, CDCl3) δ: 166.3, 163.5, 158.2 (d, J = 252.2 Hz), 144.0, 143.0, 134.4, 133.6, 133.5, 130.1 (q, J = 34.7 Hz), 126.5, 126.3 (d, J = 3.0 Hz), 123.3, 122.8, 122.5, 122.5 (q, J = 273.3 Hz), 120.4 (d, J = 7.6 Hz), 117.8 (d, J = 22.7 Hz), 46.8, 37.3; HRMS-ESI (m/z) calcd [M+H]+ for C19H12ClF4N6O3S+ 515.0311, found 515.0303.
2-(((1-(2,4-dichlorophenyl)-1H-1,2,3-triazol-4-yl)methyl)(methyl)amino)-BTZ (29). yield 72%; Solid, white color; 1H NMR (400 MHz, CDCl3) δ: 9.11 (d, J = 1.62 Hz, 1H), 8.77 (d, J = 1.62 Hz, 1H), 8.22 (s, 1H), 7.58 (d, J = 2.0 Hz, 1H), 7.52 (d, J = 8.8 Hz, 1H), 7.41 (dd, J = 8.4, 1.6 Hz, 1H), 5.21 (s, 2H), 3.58 (s, 3H); 13C NMR (151 MHz, CDCl3) δ: 166.0, 163.4, 143.9, 141.9, 136.6, 134.4, 133.8 (d, J = 2.6 Hz), 133.4, 130.8, 130.0 (q, J = 35.6 Hz), 129.6, 128.5, 128.4, 126.6, 126.1, 122.5 (q, J = 273.0 Hz), 46.6, 37.3; HRMS-ESI (m/z) calcd [M+H]+ for C19H12Cl2F3N6O3S+ 531.0015, found 531.0015.
2-(((1-(3,5-dichlorophenyl)-1H-1,2,3-triazol-4-yl)methyl)(methyl)amino)-BTZ (30). yield 75%; Solid, white color. 1H NMR (400 MHz, CDCl3) δ: 9.13 (d, J = 1.6 Hz, 1H), 8.78 (d, J = 1.2 Hz, 1H), 8.28 (s,1H), 7.68 (d, J = 1.6 Hz, 2H), 7.42 (s, 1H), 5.20 (s, 2H), 3.56 (s, 3H); 13C NMR (151 MHz, CDCl3) δ: 166.2, 163.7, 144.0, 143.1, 138.1, 136.5, 134.2, 133.7 (d, J = 2.8 Hz), 130.1 (q, J = 35.2 Hz), 129.1, 126.6, 126.2 (d, J = 2.7 Hz), 122.6 (q, J = 273.0 Hz), 122.2, 119.1, 46.6, 37.2; HRMS-ESI (m/z) calcd [M+H]+ for C19H12Cl2F3N6O3S+ 531.0015, found 531.0016.
2-(methyl((2-phenyloxazol-4-yl)methyl)amino)-BTZ (31). Solid, white color; 1H NMR indicates 3:1 atropisomeric ratio through the integral value of −CH2 protons and the oxazole – CH protons; 1H NMR (400 MHz, CDCl3) δ: 9.15 (s, 1H), 8.76 (s, 1H), 8.01 (br, 2H), 7.85 (s, 0.75H, major), 7.77 (s, 0.25H, minor), 7.45 (br, 3H), 5.06 (s, 1.5H, major), 4.88 (s, 0.5H, minor), 3.57 (s, 3H); 13C NMR (151 MHz, CDCl3) δ: 166.2, 166.1, 162.1, 144.0, 137.6, 136.2, 134.4, 133.7, 130.8, 129.9 (q, J = 35.40 Hz), 129.0, 126.8, 126.7, 126.1, 122.5 (q, J = 273.3 Hz), 116.3, 46.9, 37.1; HRMS-ESI (m/z) calcd [M+H]+ for C20H14F3N4O4S+ 463.0682, found 463.0683.
2-(((2-(4-fluorophenyl)oxazol-4-yl)methyl)(methyl)amino)-BTZ (32). Solid, white; 1H NMR indicates 3:1 atropisomeric ratio through the integral value of −CH2 protons and the oxazole −CH protons; 1H NMR (400 MHz, CDCl3) δ: 9.09 (s, 1H), 8.72 (s, 1H), 7.96 (br, 2H), 7.78 (s, 0.75H, major), 7.72 (s, 0.25H, minor), 7.09 (t, J = 7.5 Hz, 2H), 4.99 (s, 1.5H, major), 4.81 (s, 0.5H, minor), 3.51 (s, 3H); 13C NMR (151 MHz, CDCl3) δ: 166.1, 164.3 (d, J = 252.4 Hz), 163.5, 161.2, 144.0, 137.6, 136.2, 134.4, 133.7, 129.9 (d, J = 35.6 Hz), 128.7 (d, J = 7.9 Hz), 126.7, 126.1, 123.6, 122.5 (d, J = 273.0 Hz), 116.0 (d, J = 22.1 Hz), 46.9, 37.1; HRMS-ESI (m/z) calcd [M+H]+ for C20H13F4N4O4S+ 481.0588, found 481.0586.
2-(((2-(3-fluorophenyl)oxazol-4-yl)methyl)(methyl)amino)-BTZ (33). A white solid; 1H NMR indicates 3:1 atropisomeric ratio through the integral value of −CH2 protons and the oxazole −CH protons; 1H NMR (400 MHz, CDCl3) δ: 9.09 (s, 1H), 8.73 (s, 1H), 7.95 (s, 1H), 7.86 (s, 0.75H, major), 7.79 (s, 0.25H, minor), 7.41 (br, 1H), 7.21 – 7.10 (m, 2H), 5.04 (s, 1.5H, major), 4.85 (s, 0.5H, minor), 3.52 (s, 3H); 13C NMR (151 MHz, CDCl3) δ: 166.1, 163.5, 160.1 (d, J = 256.0 Hz), 158.4, 138.0, 137.6, 136.2, 134.4, 133.7, 132.4 (d, J = 7.2 Hz), 129.9 (d, J = 35.6 Hz), 129.7, 128.9, 126.7, 126.1, 124.5, 122.5 (q, J = 273.2 Hz), 117.0 (d, J = 21.2 Hz), 46.8, 37.1; HRMS-ESI (m/z) calcd [M+H]+ for C20H13F4N4O4S+ 481.0588, found 481.0587.
2-(methyl((2-phenylthiazol-4-yl)methyl)amino)-BTZ (34). Solid, white color; 1H NMR indicates 3:1 atropisomeric ratio through the integral value of −CH2 protons; 1H NMR (400 MHz, CDCl3) δ: 9.13 (s, 1H), 8.76 (d, J = 1.9 Hz, 1H), 7.96 – 7.88 (m, 2H), 7.44 – 7.41 (m, 4H), 5.22 (s, 1.5H , major), 5.03 (s, 0.5H , minor), 3.57 (s, 3H); 13C NMR (151 MHz, CDCl3) δ: 168.7, 166.2, 163.5, 151.1, 144.0, 134.5, 133.7, 130.4, 129.8 (q, J = 35.4 Hz), 129.1, 126.9, 126.6, 126.1, 122.5 (q, J = 273.3 Hz), 118.2, 116.8, 50.7, 37.2; HRMS-ESI (m/z) calcd [M+H]+ for C20H14F3N4O3S2+ 479.0454, found 479.0451.
2-(((2-(3-fluorophenyl)thiazol-4-yl)methyl)(methyl)amino)-BTZ (35). Solid, white color; 1H NMR indicates 3:1 atropisomeric ratio through the integral value of −CH2 protons and the thiazole −CH protons; 1H NMR (400 MHz, CDCl3) δ: 9.13 (s, 1H), 8.76 (s, 1H), 8.24 (br, 1H), 7.91 (s, 0.75H,major), 7.52 (s, 0.25H,minor), 7.42 (br, 2H), 7.23 – 7.16(m, 1H), 5.24 (s, 1.5H, major), 5.06 (s, 0.5H, minor), 3.57 (s, 3H); 13C NMR (151 MHz, CDCl3) δ: 166.2, 163.6, 160.1 (d, J = 253.5 Hz), 150.1, 144.0, 134.5, 133.7, 131.4 (d, J = 7.2 Hz), 129.8 (q, J = 34.6 Hz), 129.1, 128.8, 126.8, 126.6, 126.1, 124.7, 122.5 (q, J = 272.8 Hz), 119.6 (d, J = 7.3 Hz), 116.3 (d, J = 21.8 Hz), 50.7, 37.2; HRMS-ESI (m/z) calcd [M+H]+ for C20H13F4N4O3S2+ 497.0360, found 497.0358.
2-(((2-(4-fluorophenyl)thiazol-4-yl)methyl)(methyl)amino)-BTZ (36). Solid, white color; 1H NMR indicates 2:3 atropisomeric ratio through the integral value of −CH2 protons and the thiazole −CH protons; 1H NMR (400 MHz, DMSO-d6) δ: 8.86 (s, 1H), 8.82 (s, 1H), 7.92 (br, 2H), 7.80 (s, 0.4 H, minor), 7.63 (s, 0.6 H, major), 7.49 (br, 2H), 5.18 (s, 1.2H, major), 5.14 (s, 0.8H, minor), 3.47 – 3.41 (m, 3H); 13C NMR (151 MHz, CDCl3) δ: 166.3, 163.5, 162.3 (d, J = 279.0 Hz), 151.1, 144.0, 134.5, 133.7, 130.4, 129.8 (q, J = 35.4 Hz), 129.1, 126.8, 126.7, 126.1, 122.5 (d, J = 273.1 Hz), 118.2, 116.8, 50.7, 37.2; HRMS-ESI (m/z) calcd [M+H]+ for C20H13F4N4O3S2+ 497.0360, found 497.0358.
2-(methyl((5-phenyl-1,3,4-oxadiazol-2-yl)methyl)amino)-BTZ (37). Solid, yellow color; 1H NMR (400 MHz, CDCl3) δ: 9.15 (s, 1H), 8.82 (s, 1H), 8.03 (d, J = 7.60 Hz, 2H), 7.56 – 7.46 (m, 3H), 5.43 (s, 2H), 3.54 (s, 3H); 13C NMR (151 MHz, CDCl3) δ: 166.2, 166.1, 164.8, 160.8, 144.0, 133.9 (d, J = 2.8 Hz), 132.2, 130.2 (q, J = 35.49 Hz), 129.2, 127.1, 126.5, 126.2 (d, J = 3.2 Hz), 123.2, 122.3 (q, J = 274.0 Hz), 45.2, 36.7; HRMS-ESI (m/z) calcd [M+H]+ for C19H13F3N5O4S+ 464.0635, found 464.0632.
2-(((5-(3-fluorophenyl)-1,3,4-oxadiazol-2-yl)methyl)(methyl)amino)-BTZ (38). Solid, yellow color; 1H NMR (400 MHz, CDCl3) δ: 9.14 (s, 1H), 8.81 (s, 1H), 8.03 (t, J = 7.0 Hz, 1H), 7.55 (dd, J = 6.8 Hz , J = 12.4 Hz , 1H), 7.31 – 7.21 (m, 2H), 5.44 (s, 2H), 3.56 (s, 3H); 13C NMR (151 MHz, CDCl3) δ: 166.1,165.6, 164.9, 162.8, 160.2 (d, J = 259.0 Hz), 144.1, 134.2 (d, J = 5.4 Hz), 133.8, 130.3 (q, J = 35.8 Hz), 130.0, 126.6, 126.4 (d, J = 3.2 Hz), 124.9 (d, J = 3.1 Hz), 122.4 (q, J = 273.6 Hz), 117.2 (d, J = 20.8 Hz), 111.9 (d, J = 14.2 Hz), 110.2, 45.3, 37.0; HRMS-ESI (m/z) calcd [M+H]+ for C19H12F4N5O4S+ 482.0541, found 482.0541.
2-(((5-(4-fluorophenyl)-1,3,4-oxadiazol-2-yl)methyl)(methyl)amino)-BTZ (39). Solid, yellow color; 1H NMR (400 MHz, CDCl3) δ: 9.14 (s, 1H), 8.82 (s, 1H), 8.04 – 8.01 (m, 2H), 7.18 (t, J = 8.0 Hz, 2H), 5.41 (s, 2H), 3.55 (s, 3H); 13C NMR (151 MHz, CDCl3) δ: 166.1, 165.3, 165.2 (d, J = 254.1 Hz), 165.0, 161.0, 144.2, 134.0 (d, J = 2.9 Hz), 130.3 (q, J = 35.5 Hz), 129.6 (d, J = 8.9 Hz), 126.6, 126.4 (d, J = 3.2 Hz), 122.4 (q, J = 273.6 Hz), 119.7, 116.7 (d, J = 22.3 Hz), 45.2, 37.0; HRMS-ESI (m/z) calcd [M+H]+ for C19H12F4N5O4S+ 482.0541, found 482.0541.
2-(methyl((5-phenyl-1,3,4-thiadiazol-2-yl)methyl)amino)-BTZ (40). Solid, white color; 1H NMR (400 MHz, CDCl3) δ: 9.17 (s, 1H), 8.82 (s, 1H), 7.93 (d, J = 6.8 Hz, 2H), 7.49 – 7.45 (m, 3H), 5.44 (s, 2H), 3.54 (s, 3H); 13C NMR (151 MHz, CDCl3) δ: 171.2, 165.8, 164.0, 162.1, 134.0, 133.9 (d, J = 3.2 Hz), 131.6, 130.3 (q, J = 35.6 Hz), 129.8, 129.4, 128.1, 126.6, 126.4 (d, J = 3.5 Hz), 122.4 (q, J = 273.2 Hz), 110.0, 49.8, 36.9; HRMS-ESI (m/z) calcd [M+H]+ for C19H13F3N5O3S2+ 480.0406, found 480.0405.
2-(((5-(3-fluorophenyl)-1,3,4-thiadiazol-2-yl)methyl)(methyl)amino)-BTZ (41). Solid, yellow color; 1H NMR (400 MHz, CDCl3) δ: 9.17 (s, 1H), 8.81 (s, 1H), 8.35 (t, J = 6.8 Hz, 1H), 7.50 (dd, J = 5.6 Hz, J = 11.2 Hz, 1H), 7.30 (t, J = 7.19 Hz, 1H), 7.20 (t, J = 9.6 Hz, 1H), 5.50 (s, 2H), 3.54 (s, 3H); 13C NMR (151 MHz, CDCl3) δ: 170.0, 165.8, 164.1, 163.7, 159.7 (d, J = 253.0 Hz), 144.1, 133.9 (d, J = 3.0 Hz), 133.1 (d, J = 8.4 Hz), 130.3 (q, J = 35.6 Hz), 129.2, 126.7, 126.3 (d, J = 3.0 Hz), 125.1, 122.3 (q, J = 273.1 Hz), 118.1 (d, J = 7.7 Hz), 116.6 (d, J = 21.7 Hz), 49.5, 36.8; HRMS-ESI (m/z) calcd [M+H]+ for C19H12F4N5O3S2+ 498.0312, found 498.0314.
2-(((5-(4-fluorophenyl)-1,3,4-thiadiazol-2-yl)methyl)(methyl)amino)-BTZ (42). Solid, yellow color; 1H NMR (400 MHz, CDCl3) δ: 9.17 (s, 1H), 8.82 (s, 1H), 8.02 – 7.86 (m, 2H), 7.14 (t, J = 8.0 Hz, 2H), 5.42 (s, 2H), 3.53 (s, 3H); 13C NMR (151 MHz, CDCl3) δ: 170.1, 165.7, 164.6 (d, J = 253.1 Hz), 163.9, 162.1, 144.1, 134.0 (d, J = 3.0 Hz), 130.3, 130.1 (d, J = 8.7 Hz), 123.0 (q, J = 35.4 Hz), 126.5, 126.3 (d, J = 3.2 Hz), 126.2, 122.3 (q, J = 273.2 Hz), 116.5 (d, J = 22.1 Hz), 49.9, 37.0; HRMS-ESI (m/z) calcd [M+H]+ for C19H12F4N5O3S2+ 498.0312, found 498.0317.

2.3. MIC Determination

The MIC against replicating M. tuberculosis against H37Rv were determined using microplate alamar blue assay (MABA), as previously reported[7]. Compound PBTZ169 was employed as positive control. At 37℃,M. tuberculosis H37Rv (ACTT 25618) strains were cultured in Difco Middlebrook 7H9 Broth (Seebio), with 0.2% (v/v) glycerol, 0.05% Tween 80, and 10% (v/v) albumin-dextrose-catalase (Seebio) (7H9-ADC-TG) to grow into late log phase (70-100 Klett units), then centrifuged, washed twice, and resuspended in phosphate-buffered saline. All tested compound stock solutions were initially prepared in DMSO, then serially diluted in two-fold in 7H9-ADC-TG in a volume of 100 μL in 96-well clear-bottom microplates (BD), then added the bacterial culture suspension in 100 μL containing 2 × 105 CFU) to yield a final testing volume of 200 μL The tested compound concentration range was 2 to 0.002 μg/mL. The plates containing the corresponding compounds were incubated at 37 °C. On day 7, 20 μL of alamar blue and 50 μL 5% Tween 80 were added to all wells. After incubation at 37 °C for 16-24 h, the fluorescence signal was read at an excitation of 530 nm and an emission of 590 nm. The MIC was defined as the lowest concentration resulting in a reduction in fluorescence of ≥90% relative to the mean of replicate bacterium-only controls.

2.4. Compound IC50 Determination

The recombinant M. tuberculosis DprE1 enzyme was produced in E. coli, as previously reported. Enzymatic activity was assayed using a Amplex Red/peroxidase coupled assay at 30 °C. Briefly, DprE1 (0.15 μM) was incubated in 20 mM glycylglycine pH 8.5, containing 0.05 mM Amplex Red, and 0.35 μM horseradish peroxidase; the reaction was started by addition of 0.5 mM FPR, and monitored by measuring the generation of resorufin at 572 nm (ε=54,000 M-1 cm-1) . For inhibition studies, each compound (dissolved in DMSO) was firstly assayed at a final concentration of 20 μM, using DMSO as negative and PBTZ169 as positive control. Compounds displaying less than 20% of residual activity at 20 μM were further investigated, through the determination of IC50 and the analysis of kinetic inactivation of DprE1 as previously reported.
A I = A 0 × 1 I I + I C 50
where A[I], A[0] is the initial activity of DprE1 at inhibitor concentration [I], or the initial activity in the absence of inhibitor, respectively.

2.5. Metabolic labeling of M. tuberculosis H37Rv

M. tuberculosis were incubated in 7H9 media supplemented with Tween 80 and ADC at 37 °C with shaking until OD600 0.9. As described[9], the final concentration of 1 μCi/mL radiolabeled [14C]-acetate [specific activity: 110 mCi/mmol, American Radiolabeled Chemicals, Inc.] was cultured for 24 hrs, in the volume of 100 μL at concentrations 10 x MIC, 100 x MIC of the target compounds. The lipids were extracted with 1.5 mL of CH3OH /CHCl3 (1:2) by incubation at 65 °C for 3 hours. Following the biphasic Folch wash (2 x), the samples were monitored on TLC Silica gel 60 F254 plates in the solvent H2O/CH3OH /CHCl3 (0.5:4:20, v/v) and the radiolabeled lipids were visualized by Amersham Typhoon 5 phosphorimager (GE Healthcare).

2.6. Liver Microsomal Metabolic Stability Test

The compounds metabolic stability were determined in human liver microsomes. A solution of microsomes (0.2 mg/mL) containing the compounds (1.0 mM), NADPH (1 mM), phosphate buffer (100 mM, pH 7.4) were prepared. Pre-incubation at 37 oC for 10 min. Addition of 50 uL, 5 mM NADPH to initiate the reaction. At 5, 15, 30, 60, or 120 min, 30 uL of reaction solution was taken out and quenched with 300 uL internal standard tolbutamide(10 ng/mL) in cold CH3CN. The mixture was centrifuged at 6000 rpm for 15 min at 4 oC. Then, 100 μL supernatant was diluted with 100 uL ultrapure water (Millipore, ZMQS50F01). The solution was analyed by LC/MS analysis.

2.7. Pharmacokinetic Study in Mice

Animal Care and Welfare Committee of Shanghai Institute of Materia Medica, Chinese Academy of Sciences approved all animal protocols. All animal programs are in compliance with the Guide for the Care and Use of Laboratory Animals issued by Shanghai Association on Laboratory Animal Care (SALAC). SPF male ICR mice weighing 25-27 g were divided into two groups,three mice in each group. The tested compoundd were administrated in oral and intravenous injection, separately. The compound was oral dosed at 5 mg/kg at a concentration as 1.0 mg/mL and intravenously (i.v.) dosed 2 mg/kg as 0.4 mg/mL. The compound was co-dissolved by using 0.5% carboxymethyl cellulose for p.o. administration, and 10% DMSO/40%PEG400/40% water was used for i.v. administration, respectively. After oral dosing or i.v. administration, the blood sampled at 5, 15, 30 min, 1, 2, 4, 7, 24 h. The sample plasma was harvested and stored at -80 oC for analysis. Based on noncompartmental analysis (Pharsight Corporation, Mountain View), the pharmacokinetic data were analyed using WinNonlin software version 6.3.

2.8. In vivo Efficacy Study

Animal work was approved by the Bioethics Committee at the Research Center of Biotechnology of RAS (Protocol N◦22/1, February 11, 2022) and was carried out according to the corresponding guidelines for animal use. Female 2-month-old BALB/c mice were kept in cages with a floor area of ​​960 cm2 and a height of 12 cm (North Kent Plastic Cages, UK), in a special room with separate supply and exhaust ventilation without recirculation, equipped with a HEPA filter at the outlet, under standard conditions (natural light/dark cycle, air temperature 21−22°C, relative humidity 50%, 15-fold air exchange rate). Water and standard rodent compound feed (PK-120; Laboratorkorm, Moscow, Russia) were provided at libitum.
After 6 days of adaptation, mice were randomized into groups (n = 6) and inoculated with 0.2 µL of a suspension containing 3.6·106 CFU of virulent M. tuberculosis strain H37Rv in PBS containing 0.0027 M KCl and 0.138 M NaCl per mouse intravenously in the lateral tail vein using a sterile 0.5 mL-tuberculin syringe with a 28G 1/2” needle (ISO-Med, Inc, Corona, CA).
Solutions of test compounds were prepared in PBS buffer (pH 7.0, 50 mM) containing PEG-400 (40%) as a solubilizer and dispersed in an ultrasonic bath. One week after Mtb infection, the compounds were administered once a day intragastrically using a syringe pump (Harvard Apparatus, Holliston, MA, USA). Treatment was continued for 4 weeks, except weekends. Euthanasia was performed by dislocation of the cervical vertebrae.
To determine the number of Mtb CFU, the lungs from animals of each group were homogenized using a YellowlineD1 25 basic homogenizer (IKA-WERKE, Staufen im Breisgau, Germany). 10-fold Serial dilutions of the initial suspension in saline was prepared, 100 μL of each dilution was placed on a Petri dish with Dubos agar, and incubated for 21 days. The number of colonies per plate was then counted and the number of CFU of Mtb/lung was determined. The obtained quantitative data CFU Mtb/lung were converted to log10.
Statistical analysis was performed using an MS Office Excel software. Mean value (M), standard deviation (SD), statistical significance (p) was evaluated at 95% confidence interval by Student’s t-test.

3. Results

3.1. Chemistry

Chemical Synthesis

Compounds 1−30 were prepared as shown in Scheme 1. The intermediate 43 and 45 was prepared according to published methods[10]. Click chemistry between 45 and corresponding azide using CuSO4 and sodium ascorbate in EtOH/H2O gave final compounds 1−30.
Reagents and conditions: (a) oxalyl chloride, a drop of DMF, DCM, 0.5 h; then NH4SCN, DCM/CH3COCH3 = 5:1, 1.0 h, rt; (b) N-methylpropagyl amine, 2.5 h, DCM, yield 65%; (c) corresponding azide R-N3, CuSO4, K2CO3, sodium ascorbate, EtOH/H2O, rt, 16 h, yield: 40−68%.
Compounds 31−36 were prepared as shown in Scheme 2. The reaction intermediates 46ac and 47ac were prepared according to the published procedure[10]. The final cyclization reaction between 44 and the above intermediates afforded compounds 3136 in medium yield.
Compounds 3743 were prepared as shown in Scheme 3. The reaction intermediates 48ac and 49ac were prepared according to the published procedure[10]. The final cyclization reaction of 44 with the above intermediates provided the target compounds 3742 in 30%−50% yields.

3.2. MIC Determination and Structure Activity Relationship

The compound antimycobacterial activity was performed as previously described[10]. The triazole moiety has been widely used in drug molecules and regarded as a privileged motif[11]. More importantly, the facile click chemistry to construct triazole is readily achieved through the reaction between a terminal alkyne and an azide, the 1,2,3-triazole linker compounds 1−11 displayed MIC 4−237 ng/mL, The MIC values are shown in Table 1. Specifically, the N-cyclohexyltriazole 1 exhibited MIC 16 ng/mL against Mtb H37Rv. the N-phenyltriazole 2 was 4−fold more potent, with MIC 4 ng/mL. Reduced activities were recorded for N-benzyltriazole 3 and compound 4. Notably, all compounds showed ~5−fold activity improvement as compared to our previously reported 6-methanesulfonyl counterparts[11].
Having profiled the tail position, we then defined the phenyl group and intended to further investigate the substitute effect at the phenyl ring (Table 2), aiming to obtain compounds with higher potency and improved physiochemical properties than compound 2. Replacement of one or more hydrogens with a fluorine atom is a commonly employed tactic to elevate the compounds ADME properties[12]. Thus, the analogs 12, 13 and 14 with one fluorine atom at different position were prepared. The meta-F substituted compound 13, MIC 4.0 ng/mL, had the highest potency among these three compounds, compounds 12 and 14 had MIC 6 and13 ng/mL, respectively.
We then explored the meta- position by introducing an electron withdrawing or donating group. Within this frame, compounds 15−21 were generated. Unfortunately, none of them exhibited activity improvement, higher MIC values of 7−101 ng/mL were recorded. Specifically, gradual activity loss was observed from chloro- to bromo- and iodo-. Other groups like methyl, methoxyl, and trifluoromethyl substitution also diminished the Mtb growth inhibition activity. The meta-cyano substituted compound 21 showed the weakest activity. Thus, our optimization choice was turned to phenyl di-substitution, generating compounds 22−29. The di-substitution strategy also failed to provide compounds with further potency increase. Among these compounds, the three difluoro-substituted compounds 22, 23 and 24 showed MICs lower than 10 ng/mL. In contrast, the 2,5-difluoro substituted compound 24 displayed MIC 129 ng/mL.
Having established that the triazole linker and the phenyl attachment could drop down MICs to less than 10 ng/mL, we next replaced this linker with its bioisosters. Other five-member heterocycles like oxazole, thiazole, oxadiazole or thiodiazole are considered as suitable surrogates of triazole[13]. We postulated that replacement of triazole with the heterocycles likely generates analogs with different physiochemical properties. Compounds 3142 were designed and synthesized using various linkers (Table 3). It was interesting that the oxazole linker compounds 31−33 and the three 1,3,4-oxadiazole compounds 37−39 displayed antitubercular activity higher than or comparable to compound 2. The MIC of compound 34 with a thiazole linker was 7 ng/mL, while compounds 35 and 36 with substituted phenyl attachment exhibited decreased activity (MIC 16 and 17 ng/mL, respectively). Similarly, the 1,3,4-thiodiazole-linked compounds 4042 displayed higher MIC values.

3.3. DprE1 Inhibition Activity

The above compounds with various linkers were selected based on their MIC values to test potential on-target inhibitory activity of the Mtb DprE1 enzyme. Following a previously reported assay method[8], all of the compounds inhibited the DprE1 activity, with the IC50 values ranging from 0.02 to 7.2 μM (Figure 2, and Supplementary Table S1). Compounds with low MICs accordingly exhibited lower IC50 values as observed in the DprE1 inhibitory assays. For example, compounds 2, 31, 34, and 37 had the IC50 values of 0.02−0.75 μM, and the least potent compound 24 displayed an IC50 of 7.2 μM. As a comparison, the positive control PBTZ169 displayed IC50 0.009 μM, consistent with the value reported in literature[6].

3.4. Compound−mediated Cell Wall Inhibition of Mtb

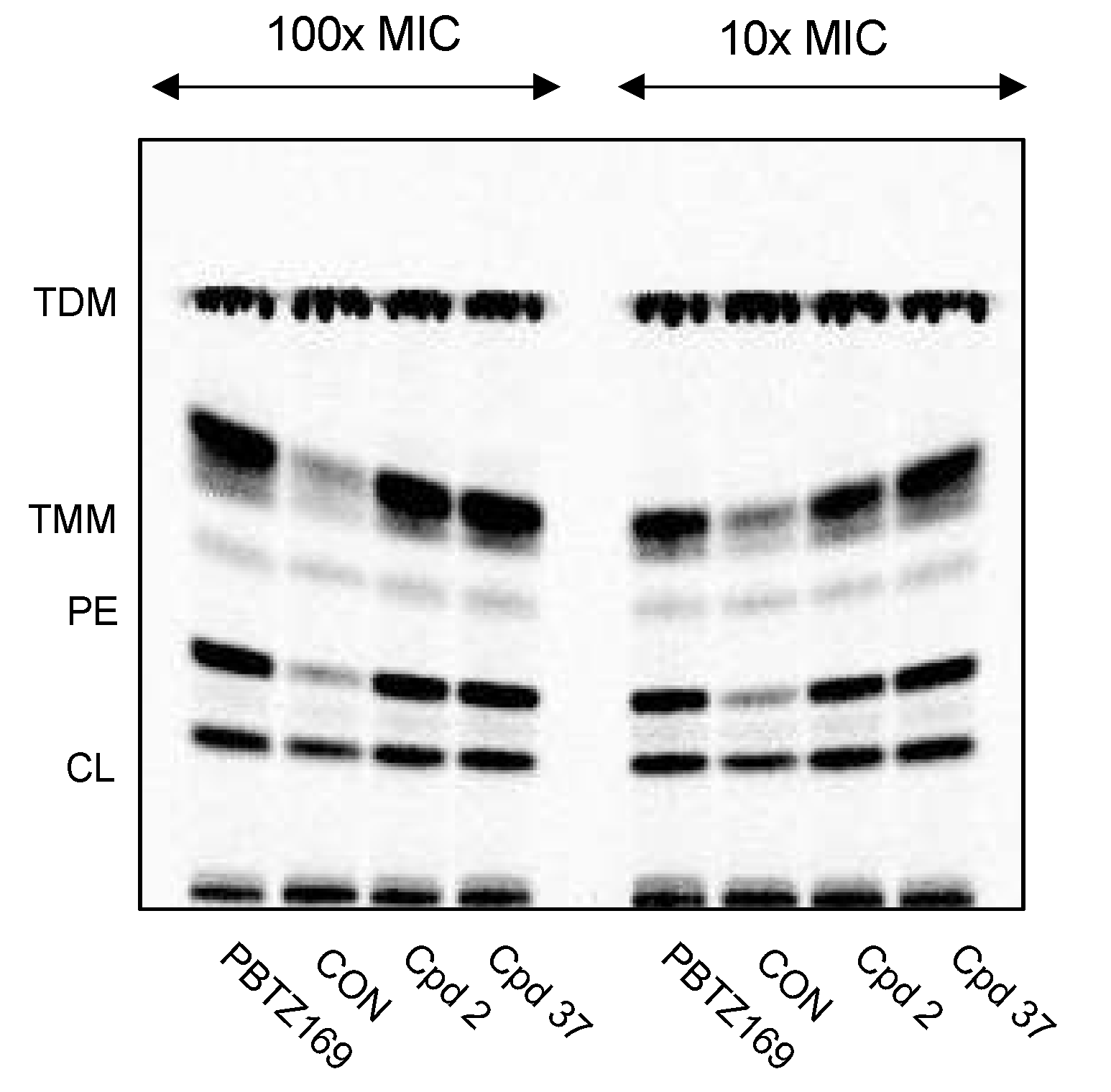
DprE1 inhibition causes deficiency in the synthesis of arabinan chains serving as attachment sites for mycolic acids, which then incorporated to soluble lipids, trehalose monomycolates (TMM) and trehalose dimycolates (TDM)[13]. Compounds 2 and 37 were selected to examine the ability to inhibit the DprE1 enzyme in Mtb H37Rv using a [14C]-acetate metabolic labeling method (Figure 3)[13]. The similar profiles of extractable lipids, as separated by TLC, were seen in the bacteria radiolabeled by the two tested inhibitors as well as PBTZ169. Accumulation of TMM and TDM, which indicates interference with the build-up of the mycobacterial cell wall core, in the cultures treated with the two inhibitors was also comparable to the PBTZ169-treated control.

3.5. Metabolic Stability, Cytotoxicity and Solubility of Selected Compounds

Since compounds 2, 31, 34, 37 and 40 showed higher inhibition potentials against DrpE1, their metabolic stability in human microsomes was then examined (Table 4). As expected, the metabolic stability was affected by the linker portion. Among them, compound 2 containing an 1,2,3-triazole linker had the highest stability (T1/2=100.4 min) and the lowest intrinsic clearance Clint (17.31 mL/min/kg), followed by compound 36 with an 1,2,4-oxadiazole linker (T1/2=68.2 min, and Clint=25.48 mL/min/kg). The thiazole linker compound 34 was the least stable.
Compounds 2 and 37 were further examined for cytotoxicity against HepG2 cell using an MTT assay[14]. No inhibition of cell viability was observed at concentration lower than 1.0 μg/mL (supporting information, Figure S1). At 5.0 μg/mL, cell viability was reduced to 72−75%.
The compound solubility is closely related to its bioavailability and in vivo activity, thus the kinetic solubility of compounds 2 and 37 was determined. In PBS buffer, both compounds exhibited higher solubility than PBTZ169 (supporting information,Table S2), which also correlated with their reduced clogP values.

3.6. Pharmacokinetics and Efficacy of Compounds 2 and 37

To further characterize compounds 2 and 37, we evaluated their pharmacokinetic profiles in mice. BALB/C mice were given compounds 2 or 37 intravenously (i.v., 2 mg/kg) or orally (p.o., 10 mg/kg). As shown in Table 5, both compounds had acceptable PK profiles with good oral bioavailability of 35.7% and 70.6%, respectively. The T1/2 and Cmax values were shorter than PBTZ169[15], which was dosed orally at 25 mg/kg.
The anti-TB potential of the compounds was evaluated using a mouse model acutely infected with Mtb H37Rv. Both compounds were administered, oral dose 50 mg/kg for 4 weeks, once per day except weekends. PBTZ169 killed Mtb by 3 logs in the lungs compared to the control group (Figure 4). By comparison, compound 37 reduced the bacteria load by 1.2 logs, compound 2 barely displayed efficacy.

4. Discussion

BTZ derivatives has been reported to exhibit potent antimycobacterial activity in vitro and in vivo, the two analogs BTZ043 and PBTZ169 were being evaluated in clinical trial[16,17]. However, the poor solubility and high plasma binding percentage for both compounds indicate their physiochemical properties are far from optimal[18], thus improvement of the BTZ compounds drug-like property have been a continuous effort in the research community[18,19,20].
We previously reported a series of BTZ derivatives with 6-methansulfonyl replacement of 6-CF3, along with side chain modification. The optimized BTZ analogs displayed more than 20−fold increased aqueous solubility than PBTZ169[10]. With MIC values in 10−40 nM ranges and acceptable pharmacokinetic properties, we recently performed the compound efficacy study in the TB infected mice model. Unfortunately, no obvious CFU reduction (data not reported) was recorded. Nonetheless, our side chain modification strategy highlights alternatives to obtain BTZ derivatives with improved physiochemical properties, thus potential in vivo antimycobacterial activity.
Herein, we investigated analogs with the original 6-CF3 BTZ pharmacophore in combination with our side chain moieties. The compounds studied in this manuscript exhibited MICs values 5−7 folds lower than that of the corresponding 6-methansulfonyl counterparts, indicating the original 6-CF3 BTZ core structure is more favorable. By performing the DprE1 enzyme activity assay and the cell wall disruption experiments, we demonstrated the compounds on target inhibitory activity in accordance with that of PBTZ169. The optimized compound in this novel series of BTZ analogs displayed good PK profile in mice model.
This study demonstrated that our side chain modification approach provided a BTZ derivative with efficacy of reducing the bacteria load in lung 1.2 logs. Factors to influence the compound in vivo efficacy are complex, we noticed that the PK parameter t1/2 for PBTZ 169 was longer than compound 37[15], that may partially explain the observed potency difference. Our study also shown that the compounds metabolic stability was closely related to the linker moiety, the t1/2 for the triazole linker compound was 5-folds longer than the thiozole linker, suggesting further linker exploration might provide more metabolic stable compounds. Finally, the presence of a basic nitrogen in the side chain of PBTZ169 greatly increased the compound solubility in acidic atmosphere, thus facilitated the compound gastric absorption[21]. While the lack of such a basic center in neutral compound 37 might be unbeneficical, further investigation by introducing a basic or polar atom at appropriate position might be worthy of being explored.

5. Conclusions

In the present work, a new series of BTZ derivatives were prepared. We linked the BTZ core structure with aryl groups using different heterocycles as linkers: including 1,3,4-triazole, oxazole, thiazole, 1,2,4-oxadiazole and 1,2,4-thiadiazole. Compared to the previously reported compounds, these novel BTZ derivatives displayed increased mycobacteria inhibitory activity and metabolic stability. The represented compounds exhibited single digit nanomolar MICs values, low cytotoxicity against mammalian cell. One compound displayed in vivo efficacy. The study highlighted our side chain modification strategy and expanded the diversity of BTZ compounds. Further linker and side chain modification to increase the compound in vivo potency is going on and will be reported in due course.

Supplementary Materials

The synthetic procedure of reaction intermediates, DprE1 enzyme IC50s aqueous solubility and cytotoxicity information were provided in the supporting information, which can be downloaded at the website of this paper posted on Preprints.org., Figure S1: Inhibitory activity of compounds 2 and 37 against HepG2 cell; Table S1: MIC (H37Rv) and DprE1 inhibitory IC50 for selected compounds and Table S2: Kinetic solubility of compounds 2 and 37 in 50 mM PBS at pH 7.2

Author Contributions

D.F. and B.W. contributed equally. C. Q. conceived the idea and wrote the manuscript. D.F., R.S., and X. W. synthesized the compounds. B. W. and Y. L. designed and performed the compounds MIC determination. G.S. and L.R.C designed and determined the compounds inhibitory activity against DprE1. K.S. and K.M. designed and performed the bacterial membrane disruption experiment. O.R. and V.M. designed and performed the in vivo efficacy experiments. Y.H. analyzed the data and wrote the manuscript. All authors have given approval to the final version of the manuscript.

Funding

Funded by The Priority Academic Program Development of the Jiangsu Higher Education Institutes (PAPD); Italian Ministry of Education, University and Research (MIUR) (Dipartimenti di Eccellenza, Program 2018-2022) to Department of Biology and Biotechnology, University of Pavia (L.R.C.); the Ministry of Education, Science, Research and Sport of the Slovak Republic (grant VEGA 1/0301/18); the Operation Program of Integrated Infrastructure for the project, Advancing University Capacity and Competence in Research, Development and Innovation, ITMS2014+: 313021X329, co-financed by the European Regional Development Fund. National Natural Science Foundation of China (32170032), National Major Youth Talent Project A, Jiangsu Specially-appointed Professor Project, Suzhou Innovation Leading Talent Project (ZXL2022456), and a Start Fund of Soochow University.

Institutional Review Board Statement

Not applicable.

Data Availability Statement

Not applicable.

Conflicts of Interest

The authors declare no conflict of interest.

References

  1. Global Tuberculosis Report 2022; 2022, World Health Organization.
  2. Shetye, G.S.; Franzblau, S.G.; Cho, S. New tuberculosis drug targets, their inhibitors, and potential therapeutic impact. Transl. Res. 2020, 220, 68–97. [Google Scholar] [CrossRef] [PubMed]
  3. Makarov, V.; Manina, G.; Mikušová, K.; Mollmann, U.; Ryabova, O.; Saint-Joanis, B.; Dhar, N.; Pasca, M. R.; Buroni, S.; Lucarelli, A. P.; Milano, A.; De Rossi, E.; Beláňová, M.; Bobovská, A.; Dianišková, P.; Korduláková, J.; Sala, C.; Fullam, E.; Schneider, P.; McKinney, J. D.; Brodin, P.; Christophe, T.; Waddell, S.; Butcher, P.; Albrethsen, J.; Rosenkrands, I.; Brosch, R.; Nandi, V.; Bharath, S.; Gaonkar, S.; Shandil, R. K.; Balasubramanian, V.; Balganesh, T.; Tyagi, S.; Grosset, J.; Riccardi, G.; and Cole, S. T. Benzothiazinones kill Mycobacterium tuberculosis by blocking arabinan synthesis, Science, 2009, 324, 801−804.
  4. Trefzer, C.; Škovierová, H.; Buroni, S.; Bobovská, A.; Nenci,S.; Molteni, E.; Pojer, F.; Pasca, M. R.; Makarov, V.; Cole, S. T.; Riccardi, G.; Mikušová, K.; and Johnsson, K., Benzothiazinones are suicide inhibitors of mycobacterial decaprenylphosphoryl-beta-D-ribofuranose 2'-oxidase DprE1. J. Am. Chem. Soc. 2012, 134, 912−915.
  5. Neres, J.; Pojer, F.; Molteni, E.; Chiarelli, L.R.; Dhar, N.; Boy-Röttger, S.; Buroni, S.; Fullam, E.; Degiacomi, G.; Lucarelli, A.P.; et al. Structural Basis for Benzothiazinone-Mediated Killing of Mycobacterium tuberculosis. Sci. Transl. Med. 2012, 4, 150ra121–150ra121. [Google Scholar] [CrossRef] [PubMed]
  6. Makarov, V.; Lechartier, B.; Zhang, M.; Neres, J.; van der Sar, A.M.; A Raadsen, S.; Hartkoorn, R.C.; Ryabova, O.B.; Vocat, A.; A Decosterd, L.; et al. Towards a new combination therapy for tuberculosis with next generation benzothiazinones. EMBO Mol. Med. 2014, 6, 372–383. [Google Scholar] [CrossRef] [PubMed]
  7. Rui, S.; Bin, W.; Giovanni, S.; Xiaomei, W.; Yuanyuan, S.; Yue, W.; Xin, W.; Laurent R., C.; Yu, L.; and Chunhua, Q. Development of 6-methanesulfonyl-8-nitrobenzothiazinone based antitubercular agents, ACS Med. Chem. Lett. 2022, 13, 593−598. [Google Scholar]
  8. Liu, L.; Kong, C.; Fumagalli, M.; Savková, K.; Xu, Y.; Huszár, S.; Sammartino, J.C.; Fan, D.; Chiarelli, L.R.; Mikušová, K.; et al. Design, synthesis and evaluation of covalent inhibitors of DprE1 as antitubercular agents. Eur. J. Med. Chem. 2020, 208, 112773. [Google Scholar] [CrossRef] [PubMed]
  9. Neres, J.; Hartkoorn, R.C.; Chiarelli, L.R.; Gadupudi, R.; Pasca, M.R.; Mori, G.; Venturelli, A.; Savina, S.; Makarov, V.; Kolly, G.S.; et al. 2-Carboxyquinoxalines Kill Mycobacterium tuberculosis through Noncovalent Inhibition of DprE1. ACS Chem. Biol. 2014, 10, 705–714. [Google Scholar] [CrossRef] [PubMed]
  10. Dongguang F.; Bin W.; Stelitano, G.; Savková, K., Shi, R. Huszár, S., Han, Q., Mikusová, K., Chiarelli, L. R., Lu, Y., Chunhua, Q.; Structure and activity relationships of 6 sulfonyl-8-nitrobenzothiazinones as antitubercular agents, J. Med. Chem. 2021, 64, 14526–14539.
  11. Kumari, S.; Carmona, A.V.; Tiwari, A.K.; Trippier, P.C. Amide Bond Bioisosteres: Strategies, Synthesis, and Successes. J. Med. Chem. 2020, 63, 12290–12358. [Google Scholar] [CrossRef] [PubMed]
  12. Gillis, E.P.; Eastman, K.J.; Hill, M.D.; Donnelly, D.J.; Meanwell, N.A. Applications of Fluorine in Medicinal Chemistry. J. Med. Chem. 2015, 58, 8315–8359. [Google Scholar] [CrossRef] [PubMed]
  13. Karabanovich, G., Dusek, J.; Savkova,K.; Pavlis,O.; Pavkova,I.; Korabecny, J.; Kucera,T.; Vlckova, H. K.; Huszar, S.; Konyarikova, Z.; Konecna, K.; Jandourek,O.; Stolarikova, J.; Kordulakova, J.; Vavrova, K.; Pavek, P.; Klimesova,V.; Hrabalek, A.; Mikusova K.; Roh J. Development of 3,5-dinitrophenyl-containing 1,2,4-triazoles and their trifluoromethyl analogues as highly efficient antitubercular agents inhibiting decaprenylphosphoryl-β-D-ribofuranose 2'-oxidase. J. Med. Chem. 2019, 62, 8115–8139.
  14. Yang, J.; Liu, Y.; Xue, C.; Yu, W.; Zhang, J.; Qiao, C. Synthesis and biological evaluation of glaucocalyxin A derivatives as potential anticancer agents. Eur. J. Med. Chem. 2014, 86, 235–241. [Google Scholar] [CrossRef] [PubMed]
  15. Makarov. V.; Cole. S. T. 2-Piperazine-1-yl-4H-1,3-benzothiazin-4-one derivatives and their use for the treatment of mammalian infections, WO 2012/066518A1.
  16. https://www.newtbdrugs.org/pipeline/compound/btz-043.
  17. https://www.newtbdrugs.org/pipeline/compound/macozinone-mcz-pbtz-169.
  18. Zhang, G.; Howe, M.; Aldrich, C.C. Spirocyclic and Bicyclic 8-Nitrobenzothiazinones for Tuberculosis with Improved Physicochemical and Pharmacokinetic Properties. ACS Med. Chem. Lett. 2019, 10, 348–351. [Google Scholar] [CrossRef] [PubMed]
  19. Tiwari, R.; Möllmann, U.; Cho, S.; Franzblau, S.G.; Miller, P.A.; Miller, M.J. Design and Syntheses of Anti-Tuberculosis Agents Inspired by BTZ043 Using a Scaffold Simplification Strategy. ACS Med. Chem. Lett. 2014, 5, 587–591. [Google Scholar] [CrossRef] [PubMed]
  20. Piton, J.; Vocat, A.; Lupien, A.; Foo, C.S.; Riabova, O.; Makarov, V.; Cole, S.T. Structure-Based Drug Design and Characterization of Sulfonyl-Piperazine Benzothiazinone Inhibitors of DprE1 from Mycobacterium tuberculosis. Antimicrob. Agents Chemother. 2018, 62. [Google Scholar] [CrossRef] [PubMed]
  21. Makarov, V.; Mikušová, K. Development of Macozinone for TB treatment: An Update. Appl. Sci. 2020, 10, 2269. [Google Scholar] [CrossRef]
Figure 1. Structures of BTZ043 and PBTZ169.
Figure 1. Structures of BTZ043 and PBTZ169.
Preprints 74586 g001
Scheme 1. Synthesis of compound 1−30.
Scheme 1. Synthesis of compound 1−30.
Preprints 74586 sch001
Scheme 2. Synthesis of compounds 31−36.
Scheme 2. Synthesis of compounds 31−36.
Preprints 74586 sch002
Scheme 3. Synthesis of compound 31−36.
Scheme 3. Synthesis of compound 31−36.
Preprints 74586 sch003
Figure 2. IC50 determination of compounds 2 (Preprints 74586 i004), 24 (Preprints 74586 i005), 31 (Preprints 74586 i006), 34 (Preprints 74586 i007), 37 (Preprints 74586 i008) and PBTZ169 (Preprints 74586 i009), against the DprE1 activity.
Figure 2. IC50 determination of compounds 2 (Preprints 74586 i004), 24 (Preprints 74586 i005), 31 (Preprints 74586 i006), 34 (Preprints 74586 i007), 37 (Preprints 74586 i008) and PBTZ169 (Preprints 74586 i009), against the DprE1 activity.
Preprints 74586 g002
Figure 3. TLC analysis of the [14C]-acetate labelled lipids, extracted from Mtb H37Rv. Control: TDM, trehalose dimycolates; TMM, trehalose monomycolates; PE, phosphatidylethanolamine; CL, cardiolipin.
Figure 3. TLC analysis of the [14C]-acetate labelled lipids, extracted from Mtb H37Rv. Control: TDM, trehalose dimycolates; TMM, trehalose monomycolates; PE, phosphatidylethanolamine; CL, cardiolipin.
Preprints 74586 g003
Figure 4. Efficacy of compound 2 and 37 in BALB/C mice (n = 6) infected with M. tuberculosis H37Rv.
Figure 4. Efficacy of compound 2 and 37 in BALB/C mice (n = 6) infected with M. tuberculosis H37Rv.
Preprints 74586 g004
Table 1. Antitubercular activity of compounds 1−11 against Mtb H37Rv.
Table 1. Antitubercular activity of compounds 1−11 against Mtb H37Rv.
Preprints 74586 i001
Table 2. Antitubercular activity of compounds 12−30 against Mtb H37Rv.
Table 2. Antitubercular activity of compounds 12−30 against Mtb H37Rv.
Preprints 74586 i002
Table 3. Antitubercular activity of compounds 31−42 against Mtb H37Rv.
Table 3. Antitubercular activity of compounds 31−42 against Mtb H37Rv.
Preprints 74586 i003
Table 4. Metabolic stability of compounds 2, 31, 34, 37 and 40 in human microsomes.
Table 4. Metabolic stability of compounds 2, 31, 34, 37 and 40 in human microsomes.
2 31 34 37 40
T1/2 (min) 100.4 33.6 24.3 68.2 34.3
Clint(mL/min/kg) 17.31 51.71 71.60 25.48 50.68
Table 5. Pharmacokinetic parameters for compounds 2 and 37.
Table 5. Pharmacokinetic parameters for compounds 2 and 37.
PK parameters Compound 2 Compound 37
PO IV PO IV
Cmax(ng·mL-1) 1798.5 1250.0 1891.3 1860.8
t1/2 (h) 1.3 1.1 0.6 0.3
MRT (h) 2.0 1.5 0.9 0.4
AUC (h·ng/mL) 2185.6 1210.6 1865.2 528.1
Clint (mL/h/kg) 1670.2 3837.4
F (%) 35.7 70.6
Cmax, maximum concentration of drug in blood plasma; t1/2, the elimination half-life of drug; MRT, mean residence time; AUC, area under the curve; Clint, hepatic clearance; F, oral bioavailability. Dose: i.v., 2 mg/kg; p.o., 10 mg/kg.
Disclaimer/Publisher’s Note: The statements, opinions and data contained in all publications are solely those of the individual author(s) and contributor(s) and not of MDPI and/or the editor(s). MDPI and/or the editor(s) disclaim responsibility for any injury to people or property resulting from any ideas, methods, instructions or products referred to in the content.
Copyright: This open access article is published under a Creative Commons CC BY 4.0 license, which permit the free download, distribution, and reuse, provided that the author and preprint are cited in any reuse.
Prerpints.org logo

Preprints.org is a free preprint server supported by MDPI in Basel, Switzerland.

Subscribe

Disclaimer

Terms of Use

Privacy Policy

Privacy Settings

© 2026 MDPI (Basel, Switzerland) unless otherwise stated