Submitted:
16 March 2023
Posted:
21 March 2023
You are already at the latest version
Abstract
Keywords:
1. Introduction
2. Materials and Methods
2.1. Animal preparation

2.2. Paraffin-Embedded Tissue Preparation
2.3. H&E staining
2.4. Masson’s trichrome staining
2.5. Immunohistochemistry (IHC)
2.6. RNA Extraction and RT-PCR
2.7. Statistical analysis
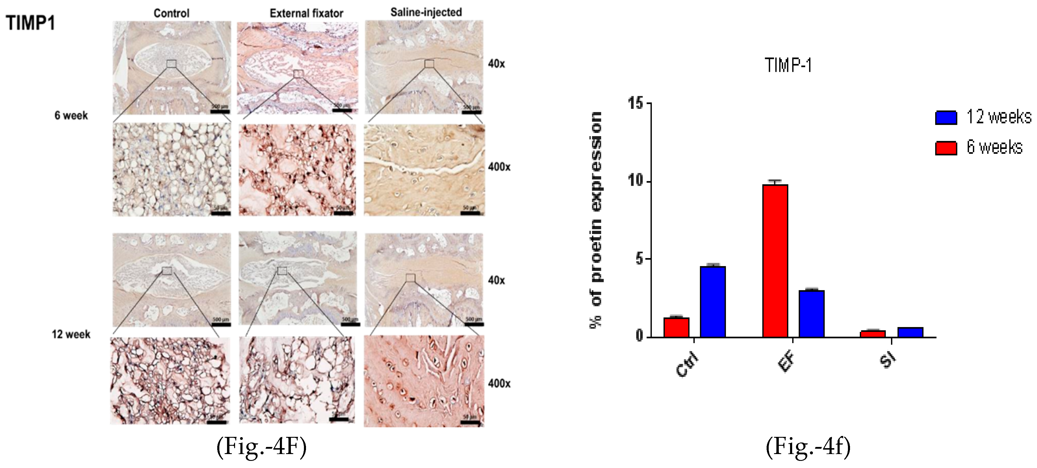
3. Results
3.1. External fixator exerted insidious degradation of NP cells

3.2. External fixator-induced autophagy-mediated NP cell degradation


3.3. External fixator-induced apoptosis-mediated NP cell death
3.4. RT-PCR results
3.4.1. External fixator up-regulated autophagy-related gene expression
3.4.2. Saline injection upregulated apoptosis-related gene expression
4. Discussion
5. Conclusions
Acknowledgments
Conflicts of Interest
References
- Quan, M., et al., Relationships Between Disc Degeneration and Autophagy Expression in Human Nucleus Pulposus. Orthop Surg, 2020. 12(1): p. 312-320. [CrossRef]
- Zhang, S., et al., Quercetin Alleviates Intervertebral Disc Degeneration by Modulating p38 MAPK-Mediated Autophagy. Biomed Res Int, 2021. 2021: p. 6631562. [CrossRef]
- Yurube, T., et al., Involvement of Autophagy in Rat Tail Static Compression-Induced Intervertebral Disc Degeneration and Notochordal Cell Disappearance. Int J Mol Sci, 2021. 22(11). [CrossRef]
- Banala, R.R., et al., The Anti-Inflammatory and Cytoprotective Efficiency of Curvularin, a Fungal Macrolactone against Lipopolysaccharide-Induced Inflammatory Response in Nucleus Pulposus Cells: An In Vitro Study. Asian Spine J, 2021. 15(2): p. 143-154. [CrossRef]
- Andersson, G.B., Epidemiological features of chronic low-back pain. Lancet, 1999. 354(9178): p. 581-5. [CrossRef]
- Rajasekaran, S., et al., Proteomic Signature of Nucleus Pulposus in Fetal Intervertebral Disc. Asian Spine J, 2020. 14(4): p. 409-420. [CrossRef]
- Baldia, M., et al., Development of a Unique Mouse Intervertebral Disc Degeneration Model Using a Simple Novel Tool. Asian Spine J, 2021. 15(4): p. 415-423. [CrossRef]
- Zhao, L., et al., Hydrogen peroxide induces programmed necrosis in rat nucleus pulposus cells through the RIP1/RIP3-PARP-AIF pathway. J Orthop Res, 2018. 36(4): p. 1269-1282. [CrossRef]
- Che, H., et al., p16 deficiency attenuates intervertebral disc degeneration by adjusting oxidative stress and nucleus pulposus cell cycle. Elife, 2020. 9. https://doi.org/10.7554/eLife.52570.
- Yurube, T., et al., Notochordal cell disappearance and modes of apoptotic cell death in a rat tail static compression-induced disc degeneration model. Arthritis Res Ther, 2014. 16(1): p. R31. [CrossRef]
- Yurube, T., et al., Autophagy and mTOR signaling during intervertebral disc aging and degeneration. JOR Spine, 2020. 3(1): p. e1082. [CrossRef]
- Zhang, F., et al., Molecular mechanisms of cell death in intervertebral disc degeneration (Review). Int J Mol Med, 2016. 37(6): p. 1439-48. [CrossRef]
- Zhao, C.Q., L.S. Jiang, and L.Y. Dai, Programmed cell death in intervertebral disc degeneration. Apoptosis, 2006. 11(12): p. 2079-88. [CrossRef]
- Ding, F., Z.W. Shao, and L.M. Xiong, Cell death in intervertebral disc degeneration. Apoptosis, 2013. 18(7): p. 777-85. [CrossRef]
- Chen, S., et al., RIPK1/RIPK3/MLKL-mediated necroptosis contributes to compression-induced rat nucleus pulposus cells death. Apoptosis, 2017. 22(5): p. 626-638. [CrossRef]
- Chen, S., et al., Critical contribution of RIPK1 mediated mitochondrial dysfunction and oxidative stress to compression-induced rat nucleus pulposus cells necroptosis and apoptosis. Apoptosis, 2018. 23(5-6): p. 299-313. [CrossRef]
- Tsujimoto, R., et al., Involvement of autophagy in the maintenance of rat intervertebral disc homeostasis: an in-vitro and in-vivo RNA interference study of Atg5. Osteoarthritis Cartilage, 2022. 30(3): p. 481-493. [CrossRef]
- Yu, L., Y. Chen, and S.A. Tooze, Autophagy pathway: Cellular and molecular mechanisms. Autophagy, 2018. 14(2): p. 207-215. [CrossRef]
- Elliott, D.M., et al., The Effect of Relative Needle Diameter in Puncture and Sham Injection Animal Models of Degeneration. Spine, 2008. 33(6): p. 588-596. [CrossRef]
- Kang, L., et al., Restoration of Autophagic Flux Rescues Oxidative Damage and Mitochondrial Dysfunction to Protect against Intervertebral Disc Degeneration. Oxid Med Cell Longev, 2019. 2019: p. 7810320. [CrossRef]
- Ma, K.G., et al., Autophagy is activated in compression-induced cell degeneration and is mediated by reactive oxygen species in nucleus pulposus cells exposed to compression. Osteoarthritis Cartilage, 2013. 21(12): p. 2030-8. [CrossRef]
- Kang, R., et al., The Beclin 1 network regulates autophagy and apoptosis. Cell Death Differ, 2011. 18(4): p. 571-80. [CrossRef]
- Ma, K., et al., Mechanisms of endogenous repair failure during intervertebral disc degeneration. Osteoarthritis Cartilage, 2019. 27(1): p. 41-48. [CrossRef]
- Yurube, T., et al., Serum and nutrient deprivation increase autophagic flux in intervertebral disc annulus fibrosus cells: an in vitro experimental study. Eur Spine J, 2019. 28(5): p. 993-1004. [CrossRef]
- Carames, B., et al., Autophagy is a protective mechanism in normal cartilage, and its aging-related loss is linked with cell death and osteoarthritis. Arthritis Rheum, 2010. 62(3): p. 791-801. [CrossRef]
- Kakiuchi, Y., et al., Pharmacological inhibition of mTORC1 but not mTORC2 protects against human disc cellular apoptosis, senescence, and extracellular matrix catabolism through Akt and autophagy induction. Osteoarthritis Cartilage, 2019. 27(6): p. 965-976. [CrossRef]
- Li, Y.X., et al., Nucleus pulposus cells degeneration model: a necessary way to study intervertebral disc degeneration. Folia Morphol (Warsz), 2022. [CrossRef]
- Runwal, G., et al., LC3-positive structures are prominent in autophagy-deficient cells. Sci Rep, 2019. 9(1): p. 10147. [CrossRef]
- Gruber, H.E., et al., Autophagy in the Degenerating Human Intervertebral Disc: In Vivo Molecular and Morphological Evidence, and Induction of Autophagy in Cultured Annulus Cells Exposed to Proinflammatory Cytokines-Implications for Disc Degeneration. Spine (Phila Pa 1976), 2015. 40(11): p. 773-82. [CrossRef]
- Jiang, L., et al., Apoptosis, senescence, and autophagy in rat nucleus pulposus cells: Implications for diabetic intervertebral disc degeneration. J Orthop Res, 2013. 31(5): p. 692-702. [CrossRef]
- Kandasamy, A.D., et al., Matrix metalloproteinase-2 and myocardial oxidative stress injury: beyond the matrix. Cardiovasc Res, 2010. 85(3): p. 413-23. [CrossRef]
- Ghoshal-Gupta, S., et al., TIMP-1 downregulation modulates miR-125a-5p expression and triggers the apoptotic pathway. Oncotarget, 2018. 9(10): p. 8941-8956. [CrossRef]
- Lao, G., et al., Human tissue inhibitor of metalloproteinases-1 improved wound healing in diabetes through its anti-apoptotic effect. Exp Dermatol, 2019. 28(5): p. 528-535. [CrossRef]
- Kim, E.M., et al., Matrix metalloproteinase-3 is increased and participates in neuronal apoptotic signaling downstream of caspase-12 during endoplasmic reticulum stress. J Biol Chem, 2010. 285(22): p. 16444-52. [CrossRef]
- Shapiro, S., et al., Different activation forms of MMP-2 oppositely affect the fate of endothelial cells. Am J Physiol Cell Physiol, 2010. 298(4): p. C942-51. [CrossRef]


| Primer name | Primer sequence |
|---|---|
| LC3 | Forward 5′-CCTGCTGCTGGCCGTAGT-3′ Reverse 5′ -TGATGAAGTCTTCCTGCCAAAA-3′ |
| Beclin-1 | Forward 5′ -TTCAAGATCCTGGACCGAGTGAC-3′ Reverse 5′ -AGACACCATCCTGGCGAGTTTC-3′ |
| P62 | Forward 5′ -TCCCTGTCAAGCAGTATCC-3′ Reverse 5′ -TCCTCCTTGGCTTTGTCTC-3′ |
| MMP2 | Forward 5′ -GACCTTGACCAGAACACCATCG-3′ Reverse 5′ -GCTGTATTCCCGACCGTTGAAC-3′ |
| MMP3 | Forward 5′ -TTTGGCCGTCTCTTCCATCC-3′ Reverse 5′ -CTGCTGGGTGGTAACTCTT-3′ |
| TIMP1 | Forward 5′ -CTGTTCCCACTCCCATCTTT-3′ Reverse 5′ -CTGCTGGGTGGTAACTCTT-3′ |
| GAPDH | Forward 5′-GTATCGGACGCCTGGTTAC-3′ Reverse 5′-CTTGCCGTGGGTAGAGTCAT-3′ |
Disclaimer/Publisher’s Note: The statements, opinions and data contained in all publications are solely those of the individual author(s) and contributor(s) and not of MDPI and/or the editor(s). MDPI and/or the editor(s) disclaim responsibility for any injury to people or property resulting from any ideas, methods, instructions or products referred to in the content. |
© 2023 by the authors. Licensee MDPI, Basel, Switzerland. This article is an open access article distributed under the terms and conditions of the Creative Commons Attribution (CC BY) license (http://creativecommons.org/licenses/by/4.0/).