Submitted:
03 February 2025
Posted:
04 February 2025
You are already at the latest version
Abstract
Keywords:
1. Introduction
2. Materials and Methods
2.1. Study Design and Ethics Approval
2.2. Patient Selection
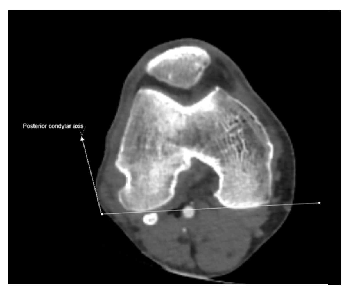
2.3. Imaging and Measurement Methods
2.4. Statistical Analysis
3. Results
4. Discussion
5. Conclusions
Author Contributions
Funding
Institutional Review Board Statement
Informed Consent Statement
Data Availability Statement
Conflicts of Interest
Abbreviations
| AFC | Anterior femoral cortex |
| AT | Adductor tubercle |
| CT | Computed tomography |
| CTA | Computed tomography angiography |
| DFA | Deep femoral artery |
| DMC | Distal medial condylar plateau |
| FA | Femoral artery |
| GT | Greater trochanter |
| MFC | Medial femoral cortex |
| MIPO | Minimally invasive plate osteosynthesis |
| NA | Not applicable. |
| PFC | Posterior femoral cortex |
| SD | Standard deviation |
| SFA | Superficial femoral artery |
References
- Schulte, Erik; Schumacher, Udo (2006). "Arterial Supply to the Thigh". In Ross, Lawrence M.; Lamperti, Edward D. (eds.). Thieme Atlas of Anatomy: General Anatomy and Musculoskeletal System. Thieme. p. 490. ISBN 978-3-13-142081-7.
- Maslow JI, Collinge CA. Course of the Femoral Artery in the Mid- and Distal Thigh and Implications for Medial Approaches to the Distal Femur: A CT Angiography Study. J Am Acad Orthop Surg. 2019, 27, e659–e663. [Google Scholar] [CrossRef] [PubMed]
- Grimaldi M, Courvoisier A, Tonetti J, Vouaillat H, Merloz P. Superficial femoral artery injury resulting from intertrochanteric hip fracture fixation by a locked intramedullary nail. Orthop Traumatol Surg Res. 2009, 95, 380–2. [Google Scholar] [CrossRef] [PubMed]
- Eslami MH, Silvia BA. Endovascular repair of femoral artery pseudoaneurysm after orthopedic surgery with balloon-expandable covered stents. Vasc Endovascular Surg. 2008, 42, 176–9. [Google Scholar] [CrossRef] [PubMed]
- Tiwary SK, Kumar S, Khanna R, Khanna AK. Iatrogenic femoral artery aneurysms in orthopaedic practice. ANZ J Surg. 2007, 77, 899–901. [Google Scholar] [CrossRef] [PubMed]
- Handolin L, Pajarinen J, Tulikoura I. Injury to the deep femoral artery during proximal locking of a distal femoral nail--a report of 2 cases. Acta Orthop Scand. 2003 Feb;74(1):111-3.
- Mehta V, Finn HA. Femoral artery and vein injury after cerclage wiring of the femur: a case report. J Arthroplasty. 2005 Sep;20(6):811-4.
- Aleto T, Ritter MA, Berend ME. Case report: superficial femoral artery injury resulting from cerclage wiring during revision THA. Clin Orthop Relat Res. 2008 Mar;466(3):749-53.
- Paul MA, Patka P, van Heuzen EP, Koomen AR, Rauwerda J. Vascular injury from external fixation: case reports. J Trauma. 1992 Dec;33(6):917-20.
- Ha YC, Luminita S, Cho SH, Choi JY, Koo KH. Laceration of femoral vessels by an avulsion fracture fragment of the lesser trochanter after bipolar hemiarthroplasty. J Arthroplasty. 2005 Aug;20(5):680-3.
- DeCasas R, Lázaro FJ, García-Rayo MR, Arias J. Arteriovenous fistula after interlocking nailing of the femur: a case report. J Trauma. 1995 Feb;38(2):303-4.
- Yang KH, Park HW, Park SJ. Pseudoaneurysm of the superficial femoral artery after closed hip nailing with a Gamma nail: report of a case. J Orthop Trauma. 2002 Feb;16(2):124-7.
- Yang KH, Yoon CS, Park HW, Won JH, Park SJ. Position of the superficial femoral artery in closed hip nailing. Arch Orthop Trauma Surg. 2004 Apr;124(3):169-72.
- Kapoor R, Adhikary SD, Siefring C, McQuillan PM. The saphenous nerve and its relationship to the nerve to the vastus medialis in and around the adductor canal: an anatomical study. Acta Anaesthesiol Scand. 2012 Mar;56(3):365-7.
- Kwon JY, Johnson CE, Appleton P, Rodriguez EK. Lateral femoral traction pin entry: risk to the femoral artery and other medial neurovascular structures. J Orthop Surg Res. 2010 Jan 22;5:4.
- Han CD, Lee YH, Yang KH, Yang IH, Lee WS, Park YJ, Suh JS, Park KK. Relationship between distal screws and femoral arteries in closed hip nailing on computed tomography angiography. Arch Orthop Trauma Surg. 2013 Mar;133(3):361-6.
- Mahmoud SSS, Ahmed B, Hamid K, Milburn S, Baker P. Identification of the medial femoral safe zone for drilling during dynamic hip screw side plate fixation: A CT angiogram tracing of the profunda femoris artery. Injury. 2019 Mar;50(3):720-726.
- Narulla RS, Kanawati AJ. Safe zone for the superficial femoral artery demonstrated on computed tomography angiography. Injury. 2016 Mar;47(3):748-51.
- Kazemi SM, Keyhani S, Sadighi M, Hosseininejad SM. Navigation of femoral and popliteal artery around the knee with CT angiography: implications for surgical interventions. Surg Radiol Anat. 2023 Nov;45(11):1515-1523.
- Kim JJ, Oh HK, Bae JY, Kim JW. Radiological assessment of the safe zone for medial minimally invasive plate osteosynthesis in the distal femur with computed tomography angiography. Injury. 2014 Dec;45(12):1964-9.
- Han CD, Lee YH, Yang KH, Yang IH, Lee WS, Park YJ, Suh JS, Park KK. Relationship between distal screws and femoral arteries in closed hip nailing on computed tomography angiography. Arch Orthop Trauma Surg. 2013 Mar;133(3):361-6.




| Variable | Female (N:70) Mean ± SD Min-Max |
Male (N:90) Mean ± SD Min-Max |
P value |
| Age (year) | 58.48 ± 13.73 (20.0 - 81.0) |
59.24 ± 13.72 (25.0 - 88.0) |
.729 |
| Femoral head neck angle (degree) | 21.21 ± 8.97 (3.2 - 39.1) |
20.99 ± 8.94 (1.4 - 39.6) |
.878 |
| Anteversion angle (degree) | 14.75 ± 6.56 (1.0 - 27.9) |
15.07 ± 6.92 (0.8 - 33.3) |
.769 |
| Angle of the SFA to the condylar line at the level of the AFC (degree) | 15.66 ± 4.25 (4.2 - 32.5) |
17.14 ± 5.10 (1.7 - 40.5) |
.349 |
| Angle of the SFA to the condylar line at the level of the PFC (degree) | -35.33 ± 10.16 (-55.7 - -10.3) |
-37.55 ± 12.09 (-79.2 - -18.0) |
.219 |
| Anatomical reference level | Distance to AT (mm) Mean ± SD |
Distance to distal meidal condyle (mm) Mean ± SD | Distance to femoral cortex (mm) Mean ± SD |
Angle relative to condyles line (degree) Mean ± SD |
| Anterior femoral cortex | 223.01 ± 27.38 (156.3 - 293.8) |
265.04 ± 28.21 (207.0 -334.5) |
27.20 ± 5.32 (15.1 - 40.4) |
16.49 ± 9.94 (-9.7 - 40.5) |
| Midsagittal femoral cortex | 180.78 ± 26.83 (107.1 - 246.3) |
222.40 ± 27.65 (156.1 - 292.6) |
25.22 ± 5.52 (11.5 - 58.2) |
NA |
| Posterior femoral cortex | 128.01 ± 29.59 (54.1- 200.1) |
170.13 ± 29.96 (93.9 - 241.7) |
22.93 ± 6.04 (7.6 - 38.0) |
-36.58 ± 11.30 (-79.2 - -10.3) |
| Distance (mm) | Distance (mm) | |||||
| Anatomical reference | Female (N:70) Mean ± SD Min-Max |
Male (N:90) Mean ± SD Min-Max |
p-value | Left side (N:80) Mean ± SD Min-Max |
Right side (N:80) Mean ± SD Min-Max |
p-value |
| GT to AT distance | 353.09 ± 22.35 (314.1 - 400.9) |
393.05 ± 18.76 (347.6 - 443.1) |
.000 | 376.02 ± 28.54 (314.1 - 441.1) |
375.11 ± 28.53 (316.2 - 443.1) |
.841 |
| GT to DMC distance | 392.83 ± 22.48 (351.0 - 440.0) |
435.81 ± 19.53 (394.6 - 485.4) |
.000 | 417.75 ± 30.28 (351.0 - 485.4) |
416.26 ± 29.56 (353.0 - 480.1) |
.754 |
| Distance between SFA to AT at the level of AFC | 214.25 ± 25.93 (167.7 - 286.7) |
229.83 ± 26.65 (156.3 - 293.8) |
.000 | 220.72 ± 28.32 (156.3 - 282.3) |
225.3 ± 26.38 (177.4 - 293.8) |
.291 |
| Distance between SFA to DMC at the level of AFC | 253.99 ± 26.11 (207.1 - 333.1) |
272.59 ± 26.31 (207.5 - 330.7) |
.000 | 262.45 ± 28.77 (207.0 - 322.9) |
266.45 ± 26.68 (214.8 - 333.1) |
.363 |
| Distance between SFA to AT at the level of MFC | 177.31 ± 25.83 (134.9 - 246.3) |
183.49 ± 27.41 (107.1 - 238.4) |
.146 | 179.56 ± 28.35 (107.1 - 239.0) |
182.01 ± 25.33 (136.3 - 246.3) |
.567 |
| Distance between SFA to DMC at the level of MFC | 216.37 ± 26.7 (167.4 - 292.6) |
227.09 ± 27.62 (156.1 - 280.7) |
.014 | 221.26 ± 29.09 (156.1 - 280.7) |
223.54 ± 26.28 (174.1 - 292.6) |
.604 |
| Distance between SFA to AT at the level of PFC | 129.21 ± 29.28 (66.0- 200.0) |
127.08 ± 29.96 (54.1 - 182.7) |
.653 | 126.12 ± 30.55 (66.0 - 198.8) |
129.9 ± 28.66 (54.1 - 200.1) |
.422 |
| Distance between SFA to DMC at the level of PFC | 168.56 ± 29.67 (102.0 - 241.7) |
171.36 ± 30.29 (93.9 - 229.2) |
.559 | 168.37 ± 31.08 (102.0 - 234.6) |
171.90 ± 28.89 (93.9 - 241.7) |
.458 |
| Distance of SFA to femoral cortex at the level of AFC | 24.86 ± 4.24 (15.1 - 33.2) |
29.03 ± 5.38 (16.0 - 40.4) |
.000 | 26.36 ± 5.35 (15.1 - 38.5) |
28.05 ± 5.18 (16.6 - 40.4) |
.045 |
| Distance of SFA to femoral cortex at the level of MFC | 22.84 ± 4.51 (14.0 - 33.1) |
27.07 ± 5.55 (11.5 - 38.2) |
.000 | 24.02 ± 5.47 (11.5 - 38.2) |
26.42 ± 5.33 (13.6 - 37.8) |
.006 |
| Distance of SFA to femoral cortex at the level of PFC | 21.92 ± 5.01 (11.3 - 32.1) |
23.73 ± 6.66 (7.6 - 38.1) |
.051 | 22.07 ± 5.86 (10.5 - 35.5) |
23.80 ± 6.13 (7.6 - 38.1) |
.070 |
| SFA length between AFC and PFC levels | 85.04 ± 18.80 55.4-152.1) |
102.74 ± 15.84 (61.1-145.0) |
.000 | 94.59 ± 19.29 (55.4-152.1) |
95.40 ± 19.36 (57.4-143.9) |
.790 |
| Ratio | Female (N:70) Mean ± SD Min-Max |
Male (N:90) Mean ± SD Min-Max |
P value | Left side(N:80) Mean ± SD Min-Max |
Right side(N:80) Mean ± SD Min-Max |
P value |
| Ratio 1 | 0.60 ± 0.05 (0.49 - 0.77) |
0.58 ± 0.06 (0.40 - 0.78) |
.021 | 0.58 ± 0.06 (0.40 - 0.78) |
0.60 ± 0.05 (0.46 - 0.77) |
.158 |
| Ratio 2 | 0.64 ± 0.05 (0.55 - 0.79) |
0.62 ± 0.05 (0.48 - 0.81) |
.014 | 0.62 ± 0.05 (0.48 - 0.81) |
0.64 ± 0.05 (0.52 - 0.79) |
.169 |
| Ratio 3 | 0.50 ± 0.05 (0.40 - 0.68) |
0.46 ± 0.06 (0.28 - 0.68) |
.000 | 0.47 ± 0.06 (0.28 - 0.68) |
0.48 ± 0.05 (0.36 - 0.68) |
.463 |
| Ratio 4 | 0.55 ± 0.05 (0.45 - 0.72) |
0.52 ± 0.05 (0.36 - 0.71) |
.001 | 0.53 ± 0.06 (0.36 - 0.71) |
0.53 ± 0.05 (0.42 - 0.72) |
.426 |
| Ratio 5 | 0.36 ± 0.07 (0.17 - 0.57) |
0.32 ± 0.07 (0.14 - 0.51) |
.000 | 0.33 ± 0.07 (0.17 - 0.55) |
0.34 ± 0.07 (0.14 - 0.57) |
.383 |
| Ratio 6 | 0.42 ± 0.07 (0.24 - 061) |
0.39 ± 0.06 (0.23 - 0.58) |
.001 | 0.40 ± 0.07 (0.24 - 059) |
0.41 ± 0.06 (0.23 - 0.61) |
.381 |
| Ratio 7 | 0.24 ± 0.04 (0.16-0.39) |
0.26 ± 0.04 (0.15-0.38) |
.004 | 0.25 ± 0.04 (0.16-0.39) |
0.25 ± 0.04 (0.15-0.38) |
.711 |
| GT to AT distance (374.9 ± 30.2 mm) |
GT to DMC distance (417.0 ± 29.8 mm) |
|||||
| n | Distance (mm) | Pearson r | p | Pearson r | p | |
| Distance of SFA to femoral cortex at the level of AFC | 160 | 27.2 ± 5.3 | .288* | .000 | .276* | .000 |
| Distance of SFA to femoral cortex at the level of MFC | 160 | 25.2 ± 5.5 | .344* | .000 | .348* | .000 |
| Distance of SFA to femoral cortex at the level of PFC | 160 | 22.9 ± 6.0 | .294* | .000 | .304* | .000 |
| Distance between SFA to AT at the level of AFC | 160 | 223.0 ± 27.3 | .568* | .000 | .535* | .000 |
| Distance between SFA to AT at the level of MFC | 160 | 180.7 ± 26.8 | .464* | .000 | .437* | .000 |
| Distance between SFA to AT at the level of PFC | 160 | 128.0 ± 29.5 | .244* | .000 | .217* | .000 |
| SFA length between AFC and PFC levels | 160 | 94.9 ± 19.2 | .432* | .000 | .426* | .000 |
Disclaimer/Publisher’s Note: The statements, opinions and data contained in all publications are solely those of the individual author(s) and contributor(s) and not of MDPI and/or the editor(s). MDPI and/or the editor(s) disclaim responsibility for any injury to people or property resulting from any ideas, methods, instructions or products referred to in the content. |
© 2025 by the authors. Licensee MDPI, Basel, Switzerland. This article is an open access article distributed under the terms and conditions of the Creative Commons Attribution (CC BY) license (http://creativecommons.org/licenses/by/4.0/).
