Submitted:
22 October 2024
Posted:
23 October 2024
You are already at the latest version
Abstract
Keywords:
1. Introduction
2. Results
2.1. Characterization of Fucoxanthin Nanoparticle
2.2. Effects of Fucoxanthin Nanoparticles on Serum Insulin and Blood Glucose Levels in Diabetic Rats
2.3. Effects of Fucoxanthin Nanoparticles on MDA Levels in Diabetic Rats Aorta Tissue
2.4. Effect of Fucoxanthin Nanoparticles on SOD and GPx Levels in Diabetic Rat Aorta Tissue
2.5. Effect of Fucoxanthin Nanoparticles IL-6 and TN-α Levels in Diabetic Rat Aorta Tissue
2.6. Effects of Fucoxanthin Nanoparticles on the Expression of eNOS in Diabetic Rat Aorta Tissue
2.7. Effects of Fucoxanthin Nanoparticles on the Levels of NO on Diabetic Rat Aorta Tissue
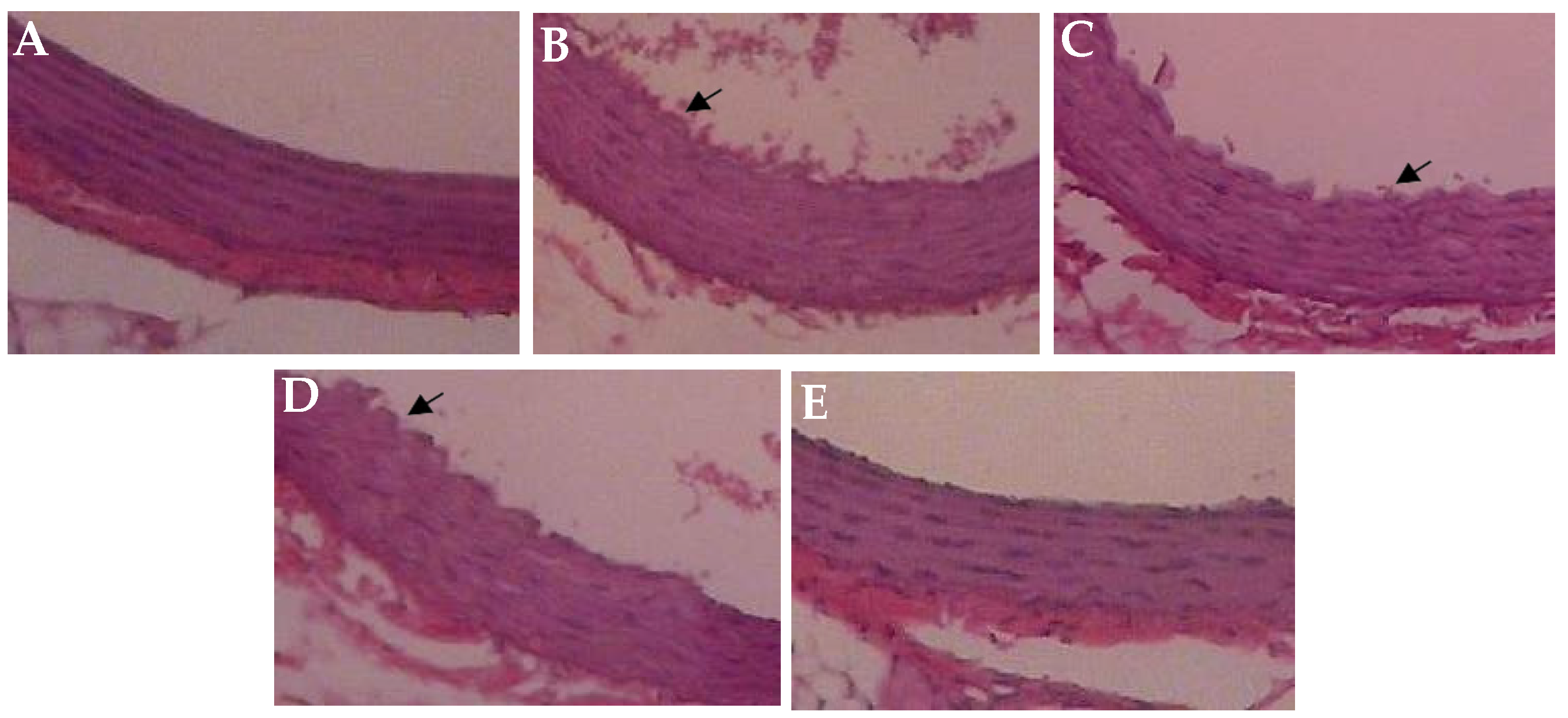
2.8. Effects of Fucoxanthin Nanoparticles on Structural Changes in Diabetic Rat Aorta Tissues
3. Discussion
4. Materials and Methods
4.1. Ball Milling Methods to Make Fucoxanthin Nanoparticles
4.2. Experimental Animal
4.3. Induction of Diabetes
4.4. Experimental Design
4.5. Measurement of Serum Insulin and Blood Glucose Levels in Diabetic Rats
4.6. Measurement of MDA in the Diabetic Rats Aorta Tissue
4.7. Measurement of SOD and GPX in the Diabetic Rat Aorta Tissue
4.8. Measurement of IL-6 and TNF-α in the Diabetic Rat Aorta Tissue
4.9. Immunohistochemical Staining of eNOS in the Diabetic Rats Aorta Tissue
4.10. NO Assay in the Diabetic Rat’s Aorta Tissue
4.11. Histopathological Evaluation of the Diabetic Rat’s Aorta Tissue
4.12. Data Analysis
5. Conclusions
Author Contributions
Funding
Data Availability Statement
Conflicts of Interest
References
- Volpe, C.M.O.; Villar-Delfino, P.H.; dos Anjos, P.M.F. Cellular death, reactive oxygen species (ROS), and diabetic complications. Cell Death Dis. 2018; 9(2): 119-131. [CrossRef]
- Ighodaro, O.M. Molecular pathways associated with oxidative stress in diabetes mellitus. Biomed Pharmacother. 2018;108: 656-662. [CrossRef]
- Bigagli, M.; Lodovici, M. Circulating oxidative stress biomarkers in clinical studies on type 2 diabetes and its complications. Oxid Med Cell Longev. 2019; 2019: 1-12. [CrossRef]
- Oguntibeju, O.O. Type 2 diabetes mellitus, oxidative stress, and inflammation: examining the links. Int J Physiol Pathophysiol Pharmacol. 2019;11(3): 45-63. PMC6628012.
- AlKahtane, A.A.; Abushouk, A.I.; Mohammed, E.T.; Aleya, L.; Abdel-Daim, M.M. Fucoidan alleviates microcystin-LR-induced hepatic, renal, and cardiac oxidative stress and inflammatory injuries in mice. Environ Sci Pollut Res Int. 2020; 27(3): 2935-2944. [CrossRef]
- Pickering, R.J.; Rosado, C.J.; Sharma,; Buksh, S.; Tate, M.; de Haan, J.B. Recent novel approaches to limit oxidative stress and inflammation in diabetic complications. Clin Transl Immunol. 2018; 7: e1016- e1026, 2018. [CrossRef]
- Lazaro, I.; Lopez-Sanz, L.; Bernal, S.; Oguiza, A.; Recio, C.; Melgar, A.; Gomez-Guerrero, C. Nrf2 Activation Provides Atheroprotection in Diabetic Mice Through Concerted Upregulation of Antioxidant, Anti- inflammatory, and Autophagy Mechanisms. Front Pharmacol. 2018; 9: 819-827, 2018. [CrossRef]
- Yuan, T.; Yang T, Chen H, Fu D, Hu Y, Xie X. New insights into oxidative stress and inflammation during diabetes mellitus-accelerated atherosclerosis. Redox Biol. 2019; 20: 247-260, 2019. [CrossRef]
- Boarescu PM, Boarescu, I.; Pop, RM.; Rosan, S.H.; Rus, V.; Neagu, N.; Bulboaca, A.E. Evaluation of Oxidative Stress Biomarkers, Pro-Inflammatory Cytokines, and Histological Changes in Experimental Hypertension, Dyslipidemia, and Type 1 Diabetes Mellitus. Int J Mol Sci. 2022; 23: 1438-1449. [CrossRef]
- Ma, X.; Chen, Z.; Wang, L.; Wang, G.; Wang, Z.; Dong, X.; Wen, B.; Zhang, Z. The Pathogenesis of Diabetes Mellitus by Oxidative Stress and Inflammation: Its Inhibition by Berberine. Front. Pharmacol. 2018; 9: 782-794. [CrossRef]
- Awad, E.M.; Ahmed, A.F.; El-Daly, M.; Wagdy, A.; Taye, A. Role of Apoptosis and Oxidative Stress in High Glucose-Induced Endothelial Dysfunction in Isolated Aortic Rings. J Adv Biomed Pharm Sci. 2022; 5: 23-28. [CrossRef]
- Garzarella, J.; Karin, A.M.; Jha, J.C.; Charlton, A. Oxidative Stress and Inflammation in Renal and Cardiovascular Complications of Diabetes. Biol. 2021; 10(18): 1-18. [CrossRef]
- Jin, Q.; Zhu, Q.; Wang, K.; Li, X. Allisartan isoproxil attenuates oxidative stress and inflammation through the SIRT1/Nrf2/NF-κB signalling pathway in diabetic cardiomyopathy rats. Mol Med Rep. 2015; 23: 1-10. [CrossRef]
- Li, C.; Miao, X.; Wang, S.; Sun, J.; Liu, Q.; Tong, Q.; Wang, Y. Novel Curcumin C66 That Protects Diabetes- Induced Aortic Damage Was Associated with Suppressing JNK2 and Upregulating Nrf2 Expression and Function. Oxid Med Cell Longev. 2018; 2018: 1-12. [CrossRef]
- Zhang, X.; Zhu, Y.; Zhou, Y.; Fei, B. Activation of Nrf2 Signaling by Apelin Attenuates Renal Ischemia Reperfusion Injury in Diabetic Rats. Diabet Metab Synd Obes: Targets and Therapy. 2020; 13: 2169- 2177. [CrossRef]
- Luc, K.; Schramm-Luc, A.; Guzik, T.J.; Mikolajczyk, T.P. Oxidative stress and inflammatory markers in prediabetes and diabetes. J Physiol Pharmacol. 2019; 70(6): 809-824. [CrossRef]
- Sudjarwo, S.A.; Wardani, G,; Eraiko, K.; Koerniasari. Antioxidant and anti-caspase-3 activity of chitosan- Pinus merkusii extract nanoparticle on lead acetate-induced hepatotoxicity. Pharmacog Mag. 2019; 15: 253-258. [CrossRef]
- Bin-Jaliah, I.; Morsy, M.D.; Al-Ani, B.; Haidara, M.A. Vanadium Inhibits Type 2 Diabetes Mellitus- Induced Aortic Ultrastructural Alterations Associated with the Inhibition of Dyslipidemia and Biomarkers of Inflammation in Rats. Int J Morphol. 2020; 38(1): 215-221. [CrossRef]
- Teodoro, J.S.; Nunes, S.; Rolo, A.P.; Reis, F.; Palmeira, C.M. Therapeutic Options Targeting Oxidative Stress, Mitochondrial Dysfunction and Inflammation to Hinder the Progression of Vascular Complications of Diabetes. Front Physiol. 2019; 9: 1857-1869. [CrossRef]
- bdel-Daim, M.M.; Eissa, I.A.M.; Abdeen. A.; Abdel-Latif, H.M.R.; Ismail, M.; Dawood, M.O.A.; Hassan, A.M. Lycopene and resveratrol ameliorate zinc oxide nanoparticles-inducednoxidative stress in Nile tilapia, Oreochromis niloticus. Environ. Toxicol. Pharmacol. 2019; 69: 44-50. [CrossRef]
- Gerardi, G.; Cavia-Saiz, M.; del Pino-García, R.; González-SanJosé, M.L.; Muñiz, P. Wine pomace product ameliorates hypertensive and diabetic aorta vascular remodeling through antioxidant and anti- inflammatory actions. J Funct Foods. 2020; 66: 103794-1038002. [CrossRef]
- Xiao, H.; Zhao, J.; Fang, C.; Cao, Q.; Xing, M.; Song, S. Advances in Studies on the Pharmacological Activities of Fucoxanthin. Mar. Drugs. 2020; 18: 634-649. [CrossRef]
- Lourenço-Lopes, C.; Fraga-Corral, M.; Jimenez-Lopez, C.; Carpena, M.; Prieto, MA.; Simal-Gandara, J. Biological action mechanisms of fucoxanthin extracted from algae for application in food and cosmetic industries. Trends in Food Science & Technology. 2021; 117: 163-181. [CrossRef]
- Chen, S.J.; Lin, T.B.; Peng, H.Y.; Liu, H.J.; Lee, A.S.; Lin, C.H.; Tseng, K.W. Cytoprotective Potential of Fucoxanthin in Oxidative Stress-Induced Age-Related Macular Degeneration and Retinal Pigment Epithelial Cell Senescence In Vivo and In Vitro. Mar. Drugs. 2021; 19: 114-128. [CrossRef]
- Teja, P.K.; Mithiya, J.; Kate, A.S.; Bairwa, K.; Chauthe, S.K. Herbal nanomedicines: Recent advancements, challenges, opportunities, and regulatory overview. Phytomedicine. 2022; 96:153890-153905. [CrossRef]
- Pati, R.Y.; Patil, S.A.; Chivate, N.D.; Patil, Y.N. Herbal Drug Nanoparticles: Advancements in Herbal Treatment. Res J Pharm Tech. 2018; 11(1): 421-26. [CrossRef]
- Aman, A.K.; Singh, R.K.; Kumar, R.; Ghosh, A.K. Effect of high energy ball milling grinding on physicochemical, morphological, and optical properties of Curcuma longa nanoparticle powder. Int J Pharm Sci Res. 2018; 9(2): 672-677. [CrossRef]
- Sudjarwo, S.A.; Eraiko, K.; Sudjarwo, G.W. The potency of chitosan-Pinus merkusii extract nanoparticle as the antioxidant and anti-caspase 3 on lead acetate-induced nephrotoxicity in rats. J Adv Pharm Technol Res. 2019; 10: 27-32. [CrossRef]
- Pouvreau, C.; Dayre, A.; Butkowski, E.G.; Jelinek, H.F. Inflammation and oxidative stress markers in diabetes and hypertension. J Inflamm Res. 2018; 11: 61-68. [CrossRef]
- Oliyaei, N.; Moosavi-Nasab, M.; Tamaddon, A.M.; Tanideh, N. Antidiabetic effect of fucoxanthin extracted from Sargassum angustifolium on streptozotocin-nicotinamide-induced type 2 diabetic mice”. Food Sci Nutr. 2021; 9: 3521-3529. [CrossRef]
- Mihailovi’c, M.; Dini´c, S.; Arambaši´c, J.; Uskokovi´c, A.; Grdovi´c, A.N.; Vidakovi´c, M. The Influence of Plant Extracts and Phytoconstituents on Antioxidant Enzymes Activity and Gene Expression in the Prevention and Treatment of Impaired Glucose Homeostasis and Diabetes Complications. Antioxidants. 2021; 10: 480494-480518. [CrossRef]
- Wardani, G.; Nugraha, J.; Mustafa, M.R.; Sudjarwo, S.A. Antioxidative stress and ant-inflamatory activity of fucoidan nanoparticles against nephropathy of streptozotocin-induced diabetes in rats. Evid-Based Complement. Altern. Med. 2022; 2022: 1-10. [CrossRef]
- Zheng, J.; Tian, X.; Zhang, W.; Zheng, P.; Yang, Z. Protective Effects of Fucoxanthin against Alcoholic Liver Injury by Activation of Nrf2-Mediated Antioxidant Defense and Inhibition of TLR4-Mediated Inflammation. Mar. Drugs. 2019; 17: 552-567. [CrossRef]
- Mumu, M.; Das, A.; Emran, T.B.; Mitra, S.; Islam, F.; Roy, A.; Karim, M.M.; Das, R.; Park, M.N.; Chandran, D.; Sharma, R.; Khandaker, M.U.; Idris, A.M.; Kim, B. Fucoxanthin: A Promising Phytochemical on Diverse Pharmacological Targets. Front. Pharmacol. 2022; 13: 929442-929458. [CrossRef]
- Chiang, Y.F.; Chen, H.Y.; Chang, Y.J.; Shih, Y.H.; Shieh, T.M.; Wang, K.L.; Hsia, S.M. Protective Effects of Fucoxanthin on High Glucose and 4-Hydroxynonenal (4-HNE)-Induced in Human Retinal Pigment Epithelial Cells. Antioxidants. 2020; 9: 1176-1188. [CrossRef]
- Cervantes-Gracia, K.; Raja, K.; Husi, H. Oxidative stress and inflammation in the development of cardiovascular disease and contrast-induced nephropathy. Vessel Plus. 2020; 4: 27-38. [CrossRef]
- Lee, N.; Youn, K.; Yoon, Y.; Lee, B.; Kim, D.H. The Role of Fucoxanthin as a Potent Nrf2 Activator via Akt/GSK-3β/Fyn Axis against Amyloid-β Peptide-Induced Oxidative Damage. Antioxidants (Basel). 2023; 12(3): 629-642. [CrossRef]
- Kurnijasanti, R.; Wardani, G.; Mustafa, M.R.; Sudjarwo, S.A. Protective Mechanism Pathway of Swietenia macrophylla Extract Nanoparticles against Cardiac Cell Damage in Diabetic Rats”. Pharmaceuticals. 2023; 16: 973-988. [CrossRef]
- Öztürk, Z. Diabetes, Oxidative Stress and Endothelial Dysfunction. Bezmialem Sci. 2019; 7(1): 52-57. [CrossRef]








Disclaimer/Publisher’s Note: The statements, opinions and data contained in all publications are solely those of the individual author(s) and contributor(s) and not of MDPI and/or the editor(s). MDPI and/or the editor(s) disclaim responsibility for any injury to people or property resulting from any ideas, methods, instructions or products referred to in the content. |
© 2024 by the authors. Licensee MDPI, Basel, Switzerland. This article is an open access article distributed under the terms and conditions of the Creative Commons Attribution (CC BY) license (https://creativecommons.org/licenses/by/4.0/).