Submitted:
27 September 2024
Posted:
30 September 2024
You are already at the latest version
Abstract
Keywords:
1. Introduction
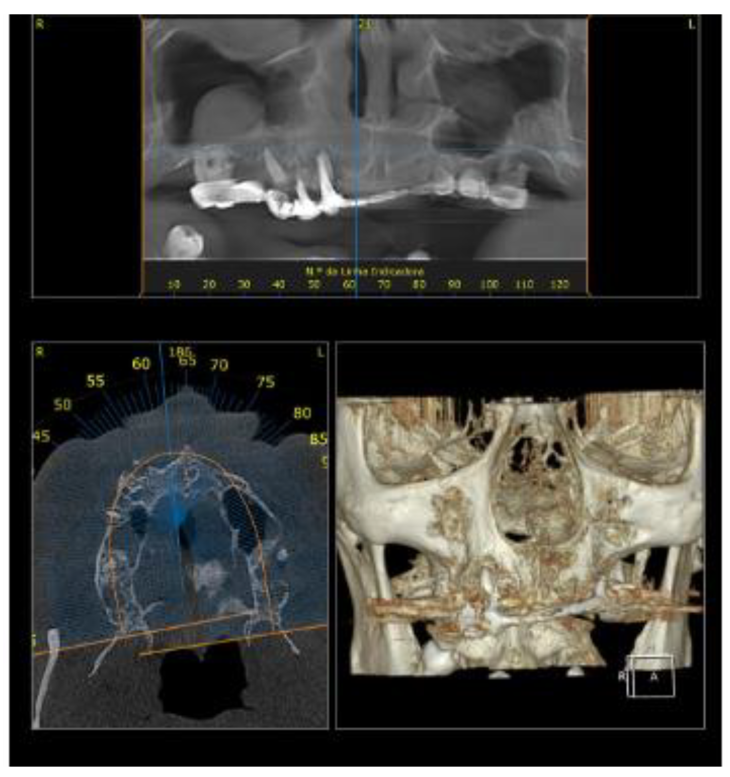
2. Case Report
3. Dicussion
4. Conclusions
Author Contributions
Funding
Institutional Review Board Statement
Informed Consent Statement
Data Availability Statement
Conflicts of Interest
References
- BHALERAO, A. et al. Dynamic navigation for zygomatic implant placement: A randomized clinical study comparing the flapless versus the conventional approach. Journal of dentistry, v. 130, n. 104436, p. 104436, 2023a. [CrossRef]
- ERKUT, S.; UCKAN, S. Alveolar distraction osteogenesis and implant placement in a severely resorbed maxilla: A clinical report. The journal of prosthetic dentistry, v. 95, n. 5, p. 340– 343, 2006. Disponível em: . [CrossRef]
- PÉREZ, A. S. et al. Success rates of zygomatic implants for the rehabilitation of severely atrophic maxilla: A systematic review. Dentistry journal, v. 10, n. 8, p. 151, 2022. Disponível em: . [CrossRef]
- Brånemark P. et al., Zygoma Fixture in the Management of Advanced Atrophy of the Maxilla: Technique and Long-Term Results. Scand. J. Plast. Reconstr. Surg. Hand Surg. 2004;38:70–85. [CrossRef]
- Davis D.M. et al., The Emotional Effects of Tooth Loss: A Preliminary Quantitative Study. Br. Dent. J. 2000;188:503–506. [CrossRef]
- Aparicio C. et al., Zygomatic implants: indications, techniques and outcomes, and the zygomatic success code. Periodontol 2000. 2014 Oct;66(1):41-58.
- Kawade R. et al., Zygomatic Implant-Supported Prosthetic Rehabilitation of a Patient with Post-COVID-19 Mucormycosis and Maxillectomy. Case Rep Dent. 2024 May 10;2024:8193822. PMID: 38764612; PMCID: PMC11101258. [CrossRef]
- Chan MFW-Y. Howell RA, Cawood JI. Prosthetic rehabilitation of the atrophic maxilla using pre-implant surgery and endosseous implants. Britsh Dental Journal 1996;181: 51-58.
- BEDROSSIAN, E. et al. Zygoma implant under function: biomechanical principles clarified. International journal of implant dentistry, v. 9, n. 1, p. 15, 2023. [CrossRef]
- Chrcanovic BR, Abreu MH. Survival and complications of zygomatic implants: a systematic review. Oral Maxillofac Surg. 2013 Jun;17(2):81-9. Epub 2012 May 6. PMID: 22562293. [CrossRef]
- Kämmerer PW. Et al.,Evaluation of surgical techniques in survival rate and complications of zygomatic implants for the rehabilitation of the atrophic edentulous maxilla: a systematic review. Int J Implant Dent. 2023 May 17;9(1):11. PMID: 37198345; PMCID: PMC10192488. [CrossRef]
- Gabriele G. et al.,Technique-Related Survival Rate and Complications of Zygomatic Implant Placement: A Systematic Review and Meta-Analysis. Int J Oral Maxillofac Implants. 2023 Oct 17;38(5):855-875. [CrossRef]
- Cawood JI, Howell RA. A Classification of the edentulous jaws. Int J Oral Maxillofac Surg. 1988; 17:232-236.
- Rinaldi M, Ganz SD. Computer-Guided Approach for Placement of Zygomatic Implants: Novel Protocol and Surgical Guide. Compend Contin Educ Dent. 2019 Mar;40(3):e1-e4. PMID: 30829495.
- Goiato MC, Pellizzer EP, Moreno A, Gennari-Filho H, dos Santos DM, Santiago JF Jr, et al. Implants in the zygomatic bone for maxillary prosthetic rehabilitation: a systematic review. Int J Oral Maxillofac Surg. 2014;43(6):748-57. [CrossRef]
- Fernández H, Gómez-Delgado A, Trujillo-Saldarriaga S, VarónCardona D, Castro-Núñez J. Zygomatic implants for the management of the severely atrophied maxilla: a retrospective analysis of 244 implants. J Oral Maxillofac Surg. 2014;72(5):887-91. [CrossRef]
- Gonçalves LM, Gonçalves TM, Rodrigues AH, Lanza MD, do Nascimento PR, Girundi FM. Intra-and extraoral prostheses retained by zygoma implants following resection of the upper lip and nose. J Prosthodont. 2015;24(2):172-7. [CrossRef]
- Albrektsson T, Zarb GA, Worthington P, Eriksson AR. The long-term efficacy of currently used dental implants: a review and proposed criteria of success. Int J Oral Maxillofac Implants 1986,1(1):11-25.
- Bedrossian E. Rehabilitation of the edentulous maxilla with the zygoma concept: a 7-year prospective study. Int J Oral Maxillofac Implants 2010;25(6):1213-21.
- Nkenke E, Hahn M, Lell M, Wiltfang J, Schultze MS, Stech B, et al. Anatomic site evaluation of the zygomatic bone for dental implant placement. Clin Oral Implants Res. 2003; 14(1):72-9. [CrossRef]
- Pena N, Campos PC, De Almeida SM, Boscolo FN. Determination of the length of zygomatic implants through computed tomography: establishing a protocol. Dentomaxillofac Radiol 2008;37(8):453-7. http://dx.doi.org/10.1259/dmfr/16676031.
- Rosenstein JD, Dym H. Zygomatic Implants: A Solution for the Atrophic Maxilla: 2021 Update. Dent Clin North Am. 2021;65(1):229-239.
- Davó R, Pons O, Rojas J, Carpio E. Immediate function of four zygomatic implants: a 1-year report of a prospective study. Eur J Oral Implantology. 2010;3(4):323-34. PMid:21180685.



Disclaimer/Publisher’s Note: The statements, opinions and data contained in all publications are solely those of the individual author(s) and contributor(s) and not of MDPI and/or the editor(s). MDPI and/or the editor(s) disclaim responsibility for any injury to people or property resulting from any ideas, methods, instructions or products referred to in the content. |
© 2024 by the authors. Licensee MDPI, Basel, Switzerland. This article is an open access article distributed under the terms and conditions of the Creative Commons Attribution (CC BY) license (http://creativecommons.org/licenses/by/4.0/).