Submitted:
13 September 2024
Posted:
18 September 2024
You are already at the latest version
Abstract
Keywords:
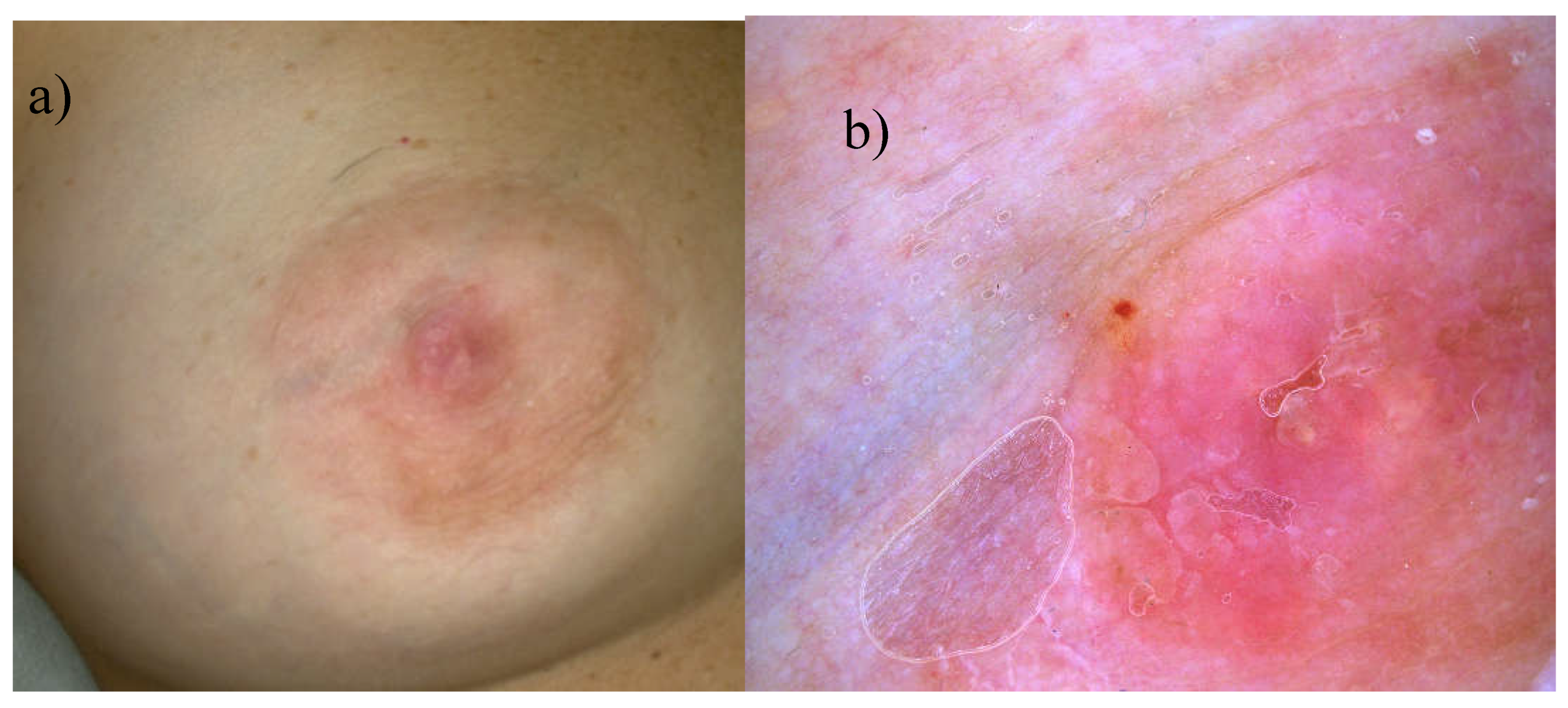
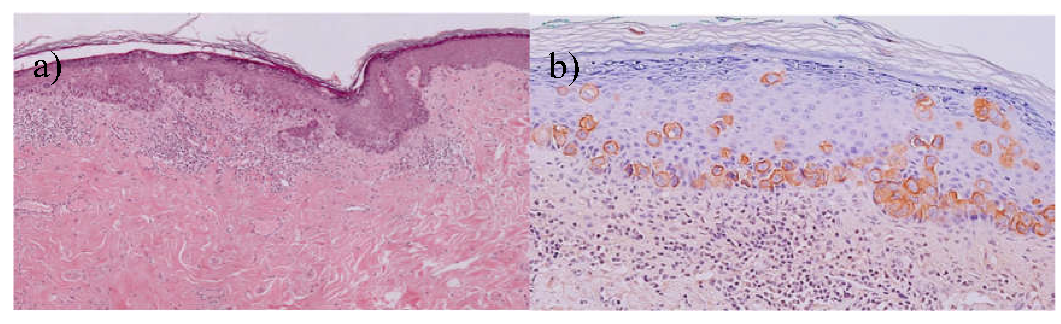
Interesting Cases
Author Contributions
Funding
Conflict of Interest
References
- Zou Y, Zhu X, Yang L, Gu J, Xia R. Pigmented mammary Paget disease mimicking melanoma on reflectance confocal microscopy. Skin Res Technol. 2020 Nov;26(6):954-955. [CrossRef]
- Longo C, Fantini F, Cesinaro AM, Bassoli S, Seidenari S, Pellacani G. Pigmented mammary Paget disease: dermoscopic, in vivo reflectance-mode confocal microscopic, and immunohistochemical study of a case. Arch Dermatol. 2007;143(6):752-754. [CrossRef]
- Guitera P, Scolyer RA, Gill M, Akita H, Arima M, Yokoyama Y, Matsunaga K, Longo C, Bassoli S, Bencini PL, Giannotti R, Pellacani G, Alessi-Fox C, Dalrymple Reflectance confocal microscopy for diagnosis of mammary and extramammary Paget's disease. C.J Eur Acad Dermatol Venereol. 2013 Jan;27(1):e24-9. [CrossRef]
- Stanganelli I, Mazzoni L, Magi S, et al. Atypical pigmented lesion of the nipple. J Am Acad Dermatol. 2014;71:e183-e185.
- Cinotti E, Galluccio D, Tognetti L, Habougit C, Manganoni AM, Venturini M, Perrot JL, Rubegni P. Nipple and areola lesions: review of dermoscopy and reflectance confocal microscopy features. J Eur Acad Dermatol Venereol. 2019 Oct;33(10):1837-1846. [CrossRef]



Disclaimer/Publisher’s Note: The statements, opinions and data contained in all publications are solely those of the individual author(s) and contributor(s) and not of MDPI and/or the editor(s). MDPI and/or the editor(s) disclaim responsibility for any injury to people or property resulting from any ideas, methods, instructions or products referred to in the content. |
© 2024 by the authors. Licensee MDPI, Basel, Switzerland. This article is an open access article distributed under the terms and conditions of the Creative Commons Attribution (CC BY) license (http://creativecommons.org/licenses/by/4.0/).
