Submitted:
25 June 2024
Posted:
25 June 2024
You are already at the latest version
Abstract
Keywords:
1. Introduction
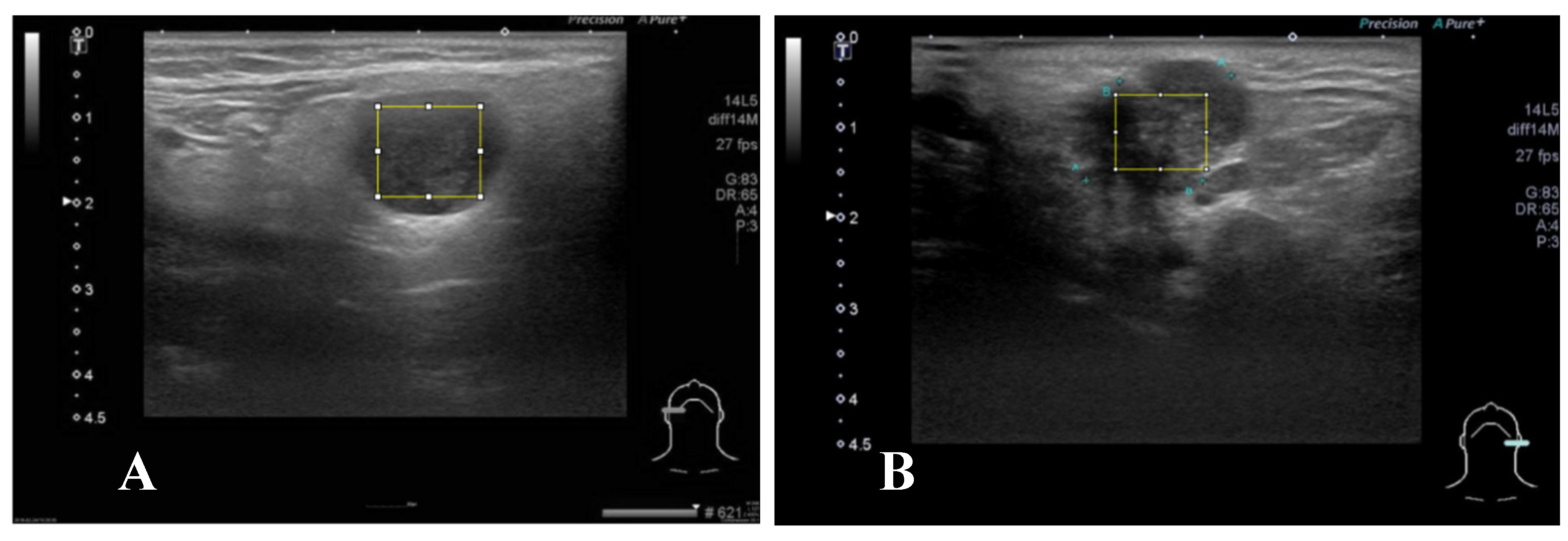
2. Materials and Methods
3. Results
4. Discussion
5. Conclusions
Author Contributions
Funding
Institutional Review Board Statement
Informed Consent Statement
Data Availability Statement
Conflicts of Interest
References
- Kuan, E.C.; Mallen-St Clair, J.; St John, M.A. Evaluation of Parotid Lesions Otolaryngol Clin North Am 2016, 49, 313–325. [CrossRef]
- Bozzato, A.; Zenk J Fau - Greess, H.; Greess H Fau - Hornung, J.; Hornung J Fau - Gottwald, F.; Gottwald F Fau - Rabe, C.; Rabe C Fau - Iro, H.; Iro, H. Potential of ultrasound diagnosis for parotid tumors: analysis of qualitative and quantitative parameters Otolaryngol Head Neck Surg 2007, 137, 642–646. [CrossRef]
- Haidar, Y.M.; Moshtaghi, O.; Mahmoodi, A.; Helmy, M.; Goddard, J.A.; Armstrong, W.B. The Utility of In-Office Ultrasound in the Diagnosis of Parotid Lesions Otolaryngol Head Neck Surg 2017, 156, 511-517. [CrossRef]
- Liao, L.J.; Wen, M.H.; Yang, T.L. Point-of-care ultrasound in otolaryngology and head and neck surgery: A prospective survey study J Formos Med Assoc 2021, 120, 1547–1553. [CrossRef]
- Kovacević, D.O.; Fabijanić, I. Sonographic diagnosis of parotid gland lesions: correlation with the results of sonographically guided fine-needle aspiration biopsy J Clin Ultrasound 2010, 38, 294–298. [CrossRef]
- Song, I.H.; Song, J.S.; Sung, C.O.; Roh, J.L.; Choi, S.H.; Nam, S.Y.; Kim, S.Y.; Lee, J.H.; Baek, J.H.; Cho, K.J. Accuracy of Core Needle Biopsy Versus Fine Needle Aspiration Cytology for Diagnosing Salivary Gland Tumors J Pathol Transl Med 2015, 49.
- Cheng, P.C.; Chang, C.M.; Huang, C.C.; Lo, W.C.; Huang, T.W.; Cheng, P.W.; Liao, L.J. The diagnostic performance of ultrasonography and computerized tomography in differentiating superficial from deep lobe parotid tumours Clin Otolaryngol 2019, 44. [CrossRef]
- Lo, W.A.-O.; Chang, C.M.; Wang, C.T.; Cheng, P.W.; Liao, L.A.-O. A Novel Sonographic Scoring Model in the Prediction of Major Salivary Gland Tumors Laryngoscope 2021, 131, E157-E162. [CrossRef]
- Haralick, R.M.; Shanmugam, K.; Dinstein, I.H. Textural features for image classification IEEE Transactions on systems, man, and cybernetics 1973, 610-621.
- Ghorayeb, S.R.; Bracero, L.A.; Blitz, M.J.; Rahman, Z.; Lesser, M.L. Quantitative Ultrasound Texture Analysis for Differentiating Preterm From Term Fetal Lungs J Ultrasound Med 2017, 36, 1437-1443.
- Bhatia, K.S.; Lam, A.C.; Pang, S.W.; Wang, D.; Ahuja, A.T. Feasibility Study of Texture Analysis Using Ultrasound Shear Wave Elastography to Predict Malignancy in Thyroid Nodules Ultrasound Med Biol 2016, 42, 1671-1680. [CrossRef]
- Yang, X.; Tridandapani S Fau - Beitler, J.J.; Beitler Jj Fau - Yu, D.S.; Yu Ds Fau - Yoshida, E.J.; Yoshida Ej Fau - Curran, W.J.; Curran Wj Fau - Liu, T.; Liu, T. Ultrasound GLCM texture analysis of radiation-induced parotid-gland injury in head-and-neck cancer radiotherapy: an in vivo study of late toxicity Med Phys 2012, 39, 5732-5739. [CrossRef]
- Brattain, L.J.; Telfer, B.A.; Dhyani, M.; Grajo, J.R.; Samir, A.E. Machine learning for medical ultrasound: status, methods, and future opportunities Abdom Radiol (NY) 2018, 43, 786-799. [CrossRef]
- Yonetsu, K.; Ohki M Fau - Kumazawa, S.; Kumazawa S Fau - Eida, S.; Eida S Fau - Sumi, M.; Sumi M Fau - Nakamura, T.; Nakamura, T. Parotid tumors: differentiation of benign and malignant tumors with quantitative sonographic analyses Ultrasound Med Biol 2004, 30, 567-574. [CrossRef]
- Lantz, B., Machine learning with R: expert techniques for predictive modeling, Packt publishing ltd2019.
- Schneider, C.A.; Rasband Ws Fau - Eliceiri, K.W.; Eliceiri, K.W. NIH Image to ImageJ: 25 years of image analysis Nat Methods 2012, 9. [CrossRef]
- Team, R.C. R: A language and environment for statistical computing. R Foundation for Statistical Computing (No Title) 2013.
- Chi, J.; Walia, E.; Babyn, P.; Wang, J.; Groot, G.; Eramian, M. Thyroid Nodule Classification in Ultrasound Images by Fine-Tuning Deep Convolutional Neural Network J Digit Imaging 2017, 30, 477-486. [CrossRef]
- Chai, Y.J.; Song, J.; Shaear, M.; Yi, K.H. Artificial intelligence for thyroid nodule ultrasound image analysis Annals of Thyroid 2020, 5. [CrossRef]
- Nwanganga, F.; Chapple, M., Practical machine learning in R, John Wiley & Sons2020.
- Nanni, L.; Lumini A Fau - Brahnam, S.; Brahnam, S. Local binary patterns variants as texture descriptors for medical image analysis Artif Intell Med 2010, 49, 117-125. [CrossRef]
- Materka, A.; Strzelecki, M. Texture analysis methods–a review Technical university of lodz, institute of electronics, COST B11 report, Brussels 1998, 10, 4968.
- Uddin, S.A.-O.; Khan, A.; Hossain, M.E.; Moni, M.A. Comparing different supervised machine learning algorithms for disease prediction BMC Med Inform Decis Mak 2019, 19, 281. [CrossRef]



| Characteristics | Benign | Malignant | p-value |
|---|---|---|---|
| Age | 50.5±12.8 | 56.1±17.8 | 0.06 |
| Gender (F/M) | 30/41 | 19/32 | 0.71 |
| Size-short axis | 1.58±0.59 | 1.79±0.60 | 0.06 |
| Size-long axis | 2.35±0.95 | 2.51±0.91 | 0.35 |
| Contrast | 90.2±58.0 | 129.2±115.4 | 0.03 |
| IDM | 0.28±0.10 | 0.23±0.09 | 0.02 |
| Entropy | 7.01±0.87 | 7.39±0.86 | 0.04 |
| Dissimilarity | 4.70±1.53 | 6.08±2.72 | 0.002 |
| INV | 0.36±0.09 | 0.32±0.09 | 0.01 |
| Diffenth | 2.47±0.31 | 2.7±0.41 | 0.0006 |
| Final diagnosis | Pleomorphic adenoma (29) | Metastatic carcinoma(26) | |
| Warthin`s tumor (24) | Invasive carcinoma(6) | ||
| Chronic sialadenitis (5) | Mucoepidermoid carcinoma(3) | ||
| Basal cell adenoma (4) | Acinic cell carcinoma(3) | ||
| Lymphoepithelial cyst (2) | Lymphoepithelial carcinoma(2) | ||
| Nodular fasciitis (2) | Adenoid cystic carcinoma(2) | ||
| Benign cyst(2) | Carcinoma ex-pleomorphic adenoma(2) | ||
| Epidermal cyst(1) | Adenocarcinoma(1) | ||
| Lipoma(1) | Diffuse large B cell lymphoma(1) | ||
| Reactive hyperplasia LN(1) | High-grade B cell lymphoma(1) | ||
| Blue round cell tumor(1) | |||
| Lymphoblastic lymphoma(1) | |||
| Squamous cell carcinoma(1) | |||
| Salivary ductal carcinoma(1) |
| Sensitivity | Specificity | Overall Accuracy | |
|---|---|---|---|
| kNN (k=5) | 62.5(38.8-86.2)% | 84.2(67.8-100)% | 74.3(59.8-88.8)% |
| naïve Bay | 88.2(72.9-100)% | 100% | 94.3(86.6-100)% |
| Logistic regression | 75.0(32.6-100)% | 71.4(52.1-90.8)% | 72.0(54.4-89.6)% |
| ANN | 60.0(29.6-90.4)% | 100% | 84.0(69.5-97.3)% |
| SVM | 87.5(64.6-100)% | 69.2(51.5-87.0)% | 73.5(58.7-88.4)% |
Disclaimer/Publisher’s Note: The statements, opinions and data contained in all publications are solely those of the individual author(s) and contributor(s) and not of MDPI and/or the editor(s). MDPI and/or the editor(s) disclaim responsibility for any injury to people or property resulting from any ideas, methods, instructions or products referred to in the content. |
© 2024 by the authors. Licensee MDPI, Basel, Switzerland. This article is an open access article distributed under the terms and conditions of the Creative Commons Attribution (CC BY) license (http://creativecommons.org/licenses/by/4.0/).