Submitted:
12 June 2024
Posted:
13 June 2024
You are already at the latest version
Abstract
Keywords:
Introduction
Case Reports
Patient Selection
Infectious Keratitis Post-Femtosecond LASIK
Patient #1
Patient #2
Infectious Keratitis Post-KLEx
Patient #3







Patient #4
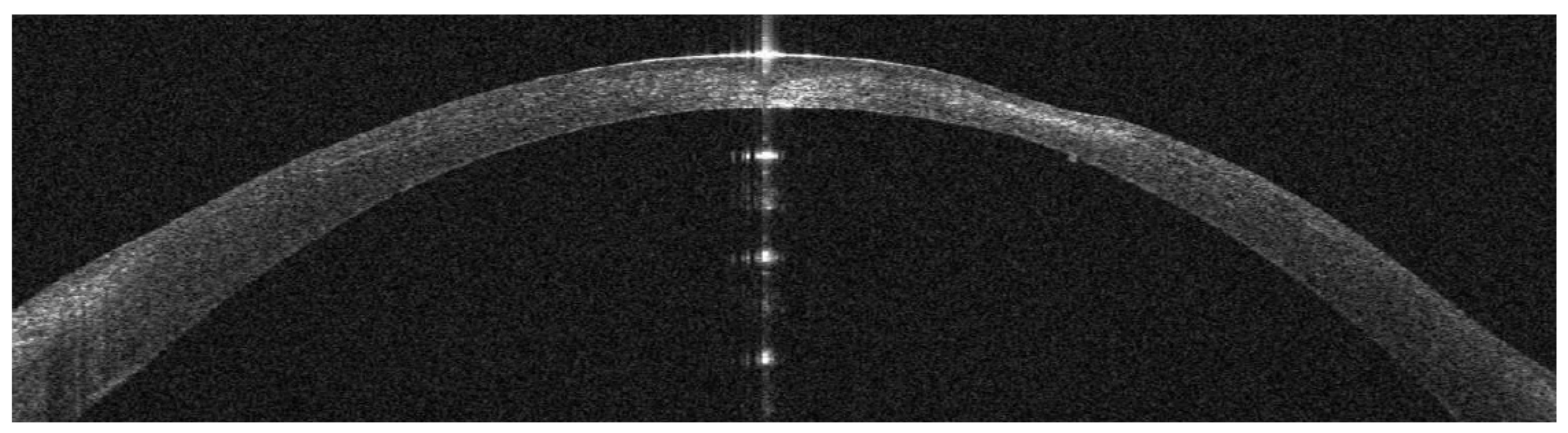
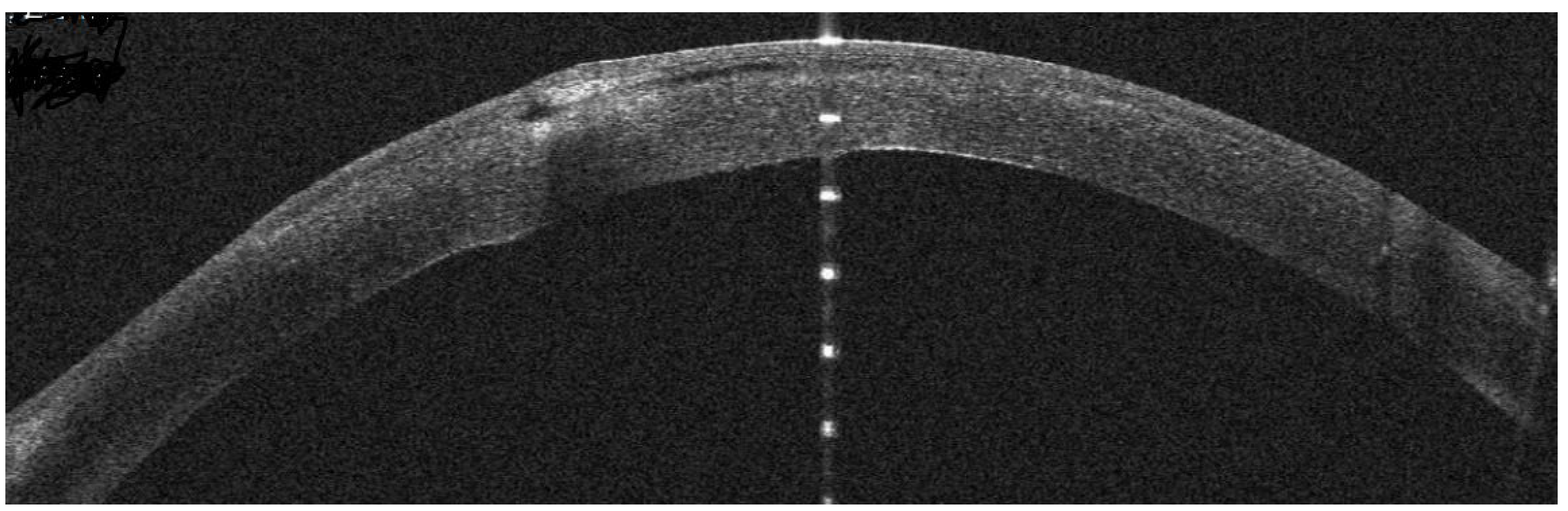
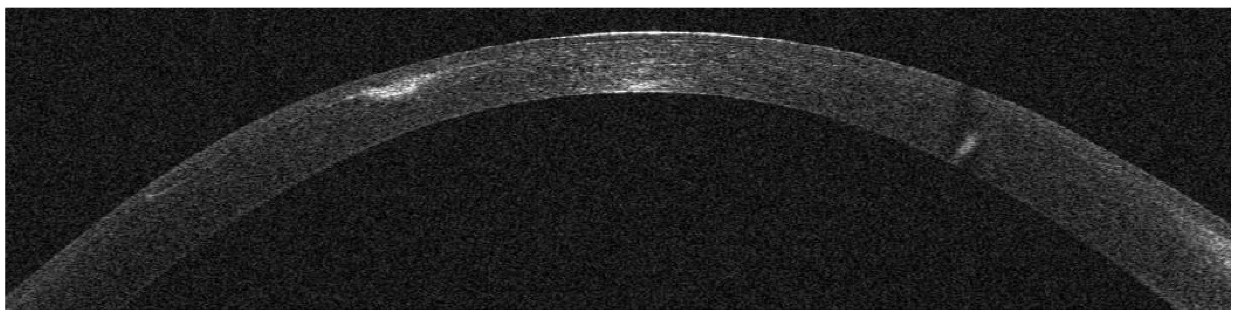
AS-OCT Features
Discussion
Conclusion
Author Contributions
Funding
Institutional Review Board Statement
Informed Consent Statement
Data Availability Statement
Conflicts of Interest
References
- Han, S.B.; Liu, Y.C.; Noriega, K.M.; Mehta, J.S. Applications of anterior segment optical coherence tomography in cornea and ocular surface diseases. J Ophthalmol 2016, 4971572. [Google Scholar] [CrossRef]
- Konstantopoulos, A.; Kuo, J.; Anderson, D.F.; Hossain, P.N. Assessment of the use of anterior segment optical coherence tomography in microbial keratitis. Am J Ophthalmol 2008, 146, 534–542. [Google Scholar] [CrossRef]
- Konstantopoulos, A.; Yadegarfar, G.; Fievez, M.; Anderson, D.F.; Hossain, P. In vivo quantification of bacterial keratitis with optical coherence tomography. Invest Ophthalmol Vis Sci 2011, 52, 1093–1097. [Google Scholar] [CrossRef]
- Soliman, W.; Fathalla, A.M.; El-Sebaity, D.M.; Al-Hussaini, A.K. Spectral domain anterior segment optical coherence tomography in microbial keratitis. Graefes Arch Clin Exp Ophthalmol 2013, 251, 549–553. [Google Scholar] [CrossRef]
- Abdelghany, A.A.; D’Oria, F.; Alio Del Barrio, J.; Alio, J.L. The value of anterior segment optical coherence tomography in different types of corneal infections: An update. J Clin Med 2021, 10, 2841. [Google Scholar] [CrossRef]
- Refr Surg in 2020.
- Li, J.; Ren, S.-W.; Dai, L.-J.; Zhang, B.; Gu, Y.-W.; Pang, C.-J.; Wang, Y. Bacterial keratitis following small incision lenticule extraction. Infection and Drug Resistance 2022, 4585–4593. [Google Scholar] [CrossRef]
- Liu, H.-Y.; Chu, H.-S.; Chen, W.-L.; Hu, F.-R.; Wang, I.-J. Bilateral non-tuberculous mycobacterial keratitis after small incision lenticule extraction. J Refract Surg 2018, 34, 633–636. [Google Scholar] [CrossRef]
- Ko, J.S.; Kim, S.K.; Yong, D.E.; Kim, T.; Kim, E.K. Delayed onset Mycobacterium intracellulare keratitis after laser in situ keratomileusis. A case report and literature review. Medicine 2017, 96, 51–e9356. [Google Scholar] [CrossRef]
- Schallhorn, J.M.; Schallhorn, S.C.; Hettinger, K.; Hannan, S. Infectious keratitis after laser vision correction: Incidence and risk factors. J Cataract Refract Surg 2017, 43, 473–479. [Google Scholar] [CrossRef]
- Ichikawa, K.; Ono, T.; Chen, L.; Kitamoto, K.; Taketatni, Y.; Toyono, T.; et al. Quantitative evaluation of corneal irregularity and scarring after infectious keratitis using anterior segment optical coherence tomography. Graefes Arch Clin Exp Ophthalmol 2024, 262, 133–141. [Google Scholar] [CrossRef]
- Yamazaki, N.; Kobayashi, A.; Yokogawa, H.; Ishibashi, Y.; Oikawa, Y.; Tokoro, M.; Sugiyama, K. In vivo imaging of radial keratoneuritis in patients with acanthamoeba keratitis by anterior-segment optical coherence tomography. Ophthalmology 2014, 121, 2153–2158. [Google Scholar] [CrossRef]
- Oliveira, M.A.; Rosa, A.; Soares, M.; et al. Anterior segment optical coherence anterior tomography in the early management of microbial keratitis: A cross-sectional Study. Acta Med Port 2020, 33, 318–325. [Google Scholar] [CrossRef]
- Ganesh, S.; Brar, S.; Nagesh, B.N. Management of infectious keratitis following uneventful small-incision lenticule extraction using a multimodal approach –A case report. Indian J Ophthalmol 2020, 68, 3064–3066. [Google Scholar]
- Leccisotti, A.; Fields, S.V. Diffuse lamellar keratitis after LASIK with low-energy femtosecond laser. J Cataract Refract Surg 2021, 47, 233–237. [Google Scholar] [CrossRef]
- Stuart, A.; Reinstein, D.Z.; Vida, R.S.; Archer, T.J.; Carp, G. Atypical presentation of diffuse lamellar keratitis after small-incision lenticule extraction: Sterile multifocal inflammatory keratitis. J Cataract Refract Surg 2018, 44, 774–779. [Google Scholar] [CrossRef]
- Chao, C.W.; Azar, D.T. Lamellar keratitis following laser-assisted in situ keratomileusis. Ophthalmol Clin North Am 2002, 15, 35–40. [Google Scholar] [CrossRef]
- Santhiago, M.R.; Wilson, S.E. Cellular effects after laser in situ keratomileusis flap formation with femtosecond lasers: A review. Cornea 2012, 31, 198–205. [Google Scholar] [CrossRef]

















Disclaimer/Publisher’s Note: The statements, opinions and data contained in all publications are solely those of the individual author(s) and contributor(s) and not of MDPI and/or the editor(s). MDPI and/or the editor(s) disclaim responsibility for any injury to people or property resulting from any ideas, methods, instructions or products referred to in the content. |
© 2024 by the authors. Licensee MDPI, Basel, Switzerland. This article is an open access article distributed under the terms and conditions of the Creative Commons Attribution (CC BY) license (https://creativecommons.org/licenses/by/4.0/).