Submitted:
07 May 2024
Posted:
07 May 2024
You are already at the latest version
Abstract
Keywords:
1. Introduction
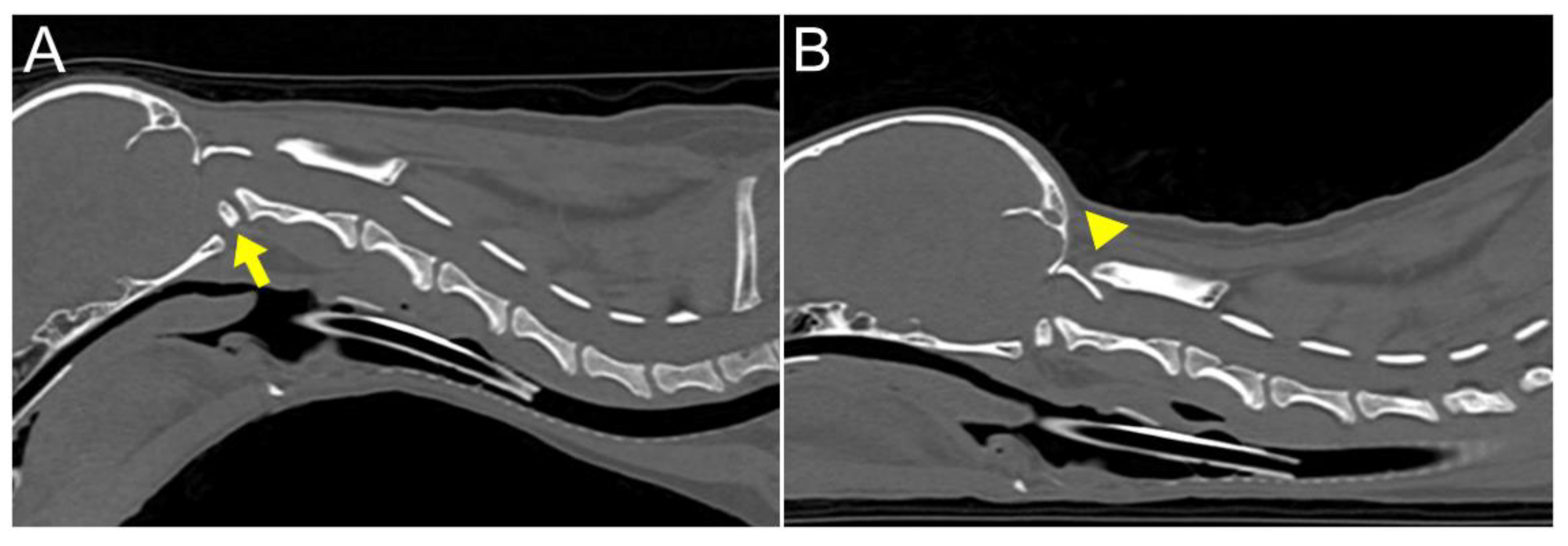
2. Case Description
3. Discussion
4. Conclusion
Author Contributions
Funding
Institutional Review Board Statement
Informed Consent Statement
Data Availability Statement
Acknowledgments
Conflicts of Interest
References
- Joaquim, A.F., G.D. Schroeder, and A.R. Vaccaro, Traumatic atlanto-occipital dislocation—A comprehensive analysis of all case series found in the spinal trauma literature. Int J Spine Surg, 2021. 15(4): p. 724-739. [CrossRef]
- Blackwood, N., III. Atlo-occipital dislocation: a case of fracture of the atlas and axis, and forward dislocation of the occiput on the spinal column, life being maintained for thirty-four hours and forty minutes by artificial respiration, during which a laminectomy was performed upon the third cervical vertebra. Annals of Surgery, 1908. 47(5): p. 654.
- Ehlinger, M., et al., Survivor of a traumatic atlanto-occipital dislocation. Orthop Traumatol Surg Res, 2011. 97(3): p. 335-340. [CrossRef]
- Dolera, M., et al., Zygomatic arch-atlas wing stabilization in 5 dogs with atlanto-occipital dislocation. Journal of Veterinary Medical Science, 2016. 78(6): p. 963-970. [CrossRef]
- Marino, D.J., et al., Morphometric features of the craniocervical junction region in dogs with suspected Chiari-like malformation determined by combined use of magnetic resonance imaging and computed tomography. Am J Vet Res, 2012. 73(1): p. 105-111. [CrossRef]
- Dewey, C.W.; Da Costa, R.C. Practical Guide to Canine and Feline Neurology, 3rd ed.; John Wiley & Sons: Hoboken, NJ, USA, 2015; pp. 157-167.
- Rotter, C., C. Rusbridge, and N. Fitzpatrick, Occipitoatlantoaxial malformation in a dog treated with a custom-made implant. VCOT Open, 2020. 3(02): p. e170-e176. [CrossRef]
- Onodera, R., et al., Congenital atlanto-occipital dislocation in a patient with Down syndrome: a case report. Skeletal Radiol, 2023: p. 1-5. [CrossRef]
- Hall, G.C., et al., Atlanto-occipital dislocation. World J Orthop, 2015. 6(2): p. 236. [CrossRef]
- Traynelis, V.C., et al., Traumatic atlanto-occipital dislocation: case report. J Neurosurg, 1986. 65(6): p. 863-870. [CrossRef]
- Lye, G., et al., Computed Tomographic Diagnosis of Traumatic Atlanto-occipital Rotatory Luxation and Successful Closed Reduction in a Dog. VCOT Open, 2020. 3(02): p. e164-e169. [CrossRef]
- Steffen, F., M. Flueckiger, and P.M. Montavon, Traumatic atlanto-occipital luxation in a dog: associated hypoglossal nerve deficits and use of 3-dimensional computed tomography. Vet Surg, 2003. 32(5): p. 411-415. [CrossRef]
- Shamoun, J.M., L. Riddick, and R.W. Powell, Atlanto-occipital subluxation/dislocation: a “survivable” injury in children. Am Surg, 1999. 65(4): p. 317-320. [CrossRef]
- Pang, D., W.R. Nemzek, and J. Zovickian, Atlanto-occipital dislocation: Part 1 normal occipital condyle C: 1: Interval in 89 children. Neurosurg, 2007. 61(3): p. 514-521. [CrossRef]
- Crane, S.W., Surgical management of traumatic atlanto-occipital instability in a dog. Vet Surg, 1978. 7(2): p. 39-42; DOI: 10.1111/j.1532-950X.1978.tb00577.x.
- Greenwood, K. and J. Oliver Jr, Traumatic atlanto-occipital dislocation in two dogs. J Am Vet Med Assoc, 1978. 173(10): p. 1324-1327; DOI: 173(10):1324-1327.
- Buks, Y., S. Snelling, and G. Yates, Ventral fixation of chronic atlanto-occipital luxation in a dog. J Small Anim Pract, 2011. 52(9): p. 497-500. [CrossRef]
- Levine, J.M., et al., Matrix metalloproteinase-9 activity in the cerebrospinal fluid and serum of dogs with acute spinal cord trauma from intervertebral disk disease. Am J Vet Res, 2006. 67(2): p. 283-287. [CrossRef]
- White, D.A., et al., Flexed radiographic angles for determination of atlantoaxial instability in dogs. Vet Surg, 2019. 48(8): p. 1406-1415. [CrossRef]
- Gupta, V., et al., Dynamic magnetic resonance imaging evaluation of craniovertebral junction abnormalities. J Comput Assist Tomogr, 2007. 31(3): p. 354-359. [CrossRef]
- Shores, A. and L.C. Tepper, A modified ventral approach to the atlantoaxial junction in the dog. Vet Surg, 2007. 36(8): p. 765-770. [CrossRef]
- Rylander, H. and J.C. Robles, Diagnosis and treatment of a chronic atlanto-occipital subluxation in a dog. J Am Anim Hosp Assoc, 2007. 43(3): p. 173-178. [CrossRef]
- Lappin, M.R. and S. Dow, Traumatic atlanto-occipital luxation in a cat. Vet Surg, 1983. 12(1): p. 30-32. [CrossRef]
- Sorjonen, D., et al., Ventral Surgical Fixation and Fusion for Atlanto-occipital Subluxation in a Goat. Vet Surg, 1983. 12(3): p. 127-129. [CrossRef]
- Cerda-Gonzalez, S., et al., Imaging features of atlanto-occipital overlapping in dogs. Vet Radiol Ultrasound, 2009. 50(3): p. 264-268. [CrossRef]
- Song, J.-H., et al., Successful management of and recovery from multiple cranial nerve palsies following surgical ventral stabilization in a dog with atlantoaxial subluxation. Vet Sci, 2022. 9(7): p. 322. [CrossRef]






Disclaimer/Publisher’s Note: The statements, opinions and data contained in all publications are solely those of the individual author(s) and contributor(s) and not of MDPI and/or the editor(s). MDPI and/or the editor(s) disclaim responsibility for any injury to people or property resulting from any ideas, methods, instructions or products referred to in the content. |
© 2024 by the authors. Licensee MDPI, Basel, Switzerland. This article is an open access article distributed under the terms and conditions of the Creative Commons Attribution (CC BY) license (http://creativecommons.org/licenses/by/4.0/).