Submitted:
22 April 2024
Posted:
23 April 2024
You are already at the latest version
Abstract
Keywords:
1. Introduction
2. Material and Methods
2.1. Experimental Animals
2.2. Induction of Pregnancy
2.3. Grouping and Medications
2.4. Tissue Preparation
2.5. Statistical Analysis
3. Results
3.1. Maternal Death
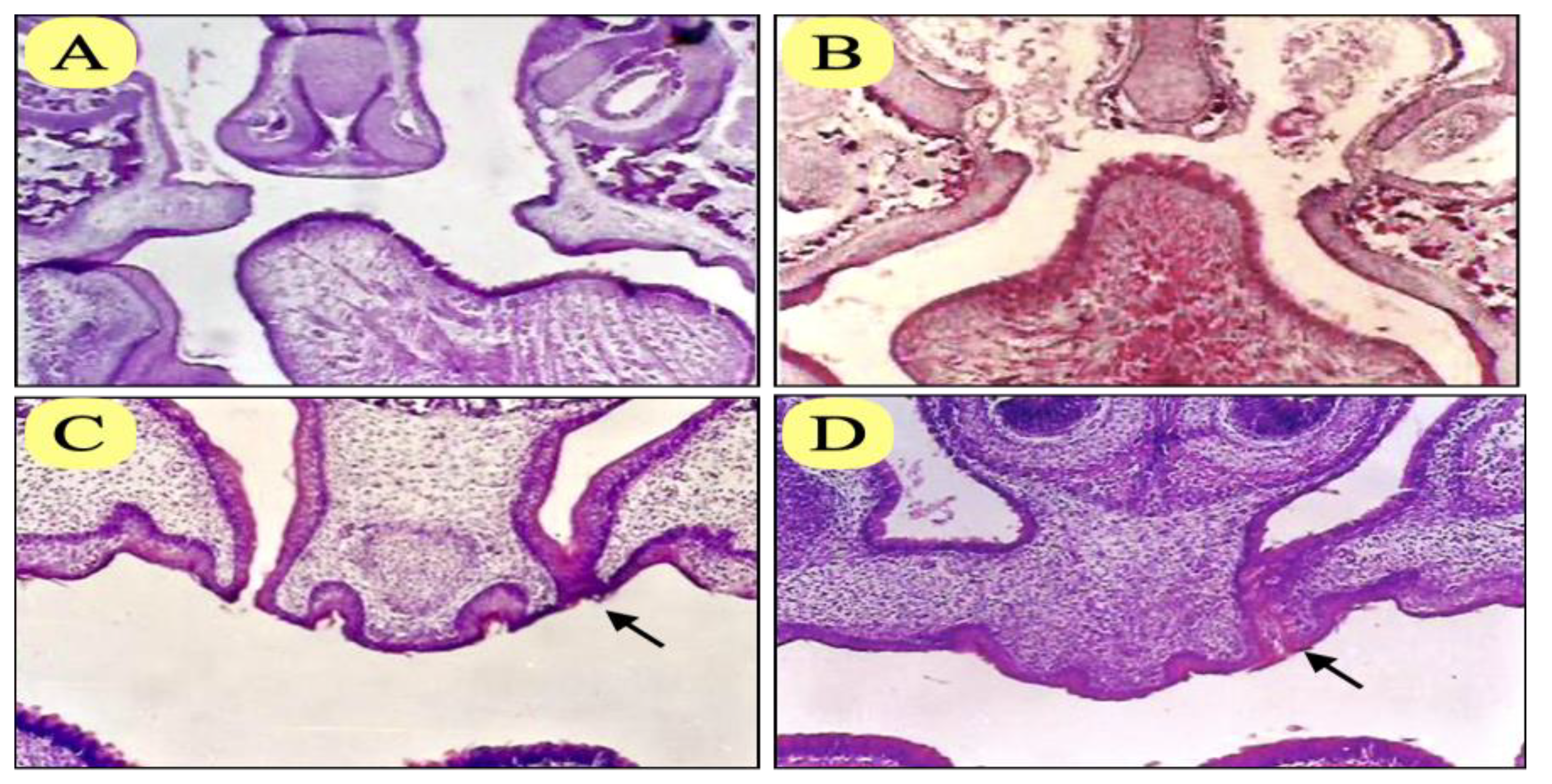
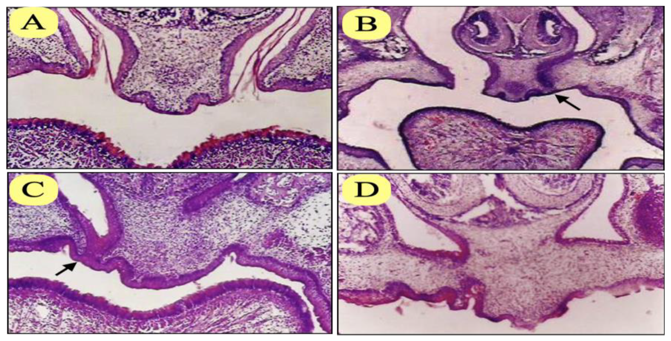
3.2. Microscopic Examination
3.3. Statistical Analysis of Cleft Palate
3.4. Statistical Analysis of Head Circumferences
4. Discussion
5. Conclusions
Acknowledgments
Author Contributions
Funding
Data Availability Statement
Conflicts of Interest
References
- Chiquet M, Blumer S, Angelini M, et al. Mesenchymal remodeling during palatal Shelf Elevation Revealed by Extracellular Matrix and F-Actin Expression Patterns. Front Physiol. 2016, 7, 392. [Google Scholar] [CrossRef]
- Bush JO, Jiang R. Palatogenesis: morphogenetic and molecular mechanisms of secondary palate development. Development. 2012, 139, 231–243. [Google Scholar] [CrossRef] [PubMed]
- Trainor, PA. Craniofacial birth defects: The role of neural crest cells in the etiology and pathogenesis of Treacher Collins syndrome and the potential for prevention. Am J Med Genet A. 2010, 152A, 2984–2994. [Google Scholar] [CrossRef] [PubMed]
- Kim S, Lewis AE, Singh V, et al. Convergence and extrusion are required for normal fusion of the mammalian secondary palate. PLo S Biol. 2015, 13, e1002122. [Google Scholar] [CrossRef]
- Sasaki Y, Taya Y, Saito K, et al. Molecular contribution to cleft palate production in cleft lip mice. Congenit Anom (Kyoto). 2014, 54, 94–99. [Google Scholar] [CrossRef] [PubMed]
- Angelieri F, Cevidanes LH, Franchi L, et al. Midpalatal suture maturation: classification method for individual assessment before rapid maxillary expansion. Am J Orthod Dentofacial Orthop. 2013, 144, 759–769. [Google Scholar] [CrossRef]
- Martínez-Alvarez C, Tudela C, Pérez-Miguelsanz J, et al. Medial edge epithelial cell fate during palatal fusion. Dev Biol. 2000, 220, 343–357. [Google Scholar] [CrossRef] [PubMed]
- Lan Y, Jiang R. Mouse models in palate development and orofacial cleft research: Understanding the crucial role and regulation of epithelial integrity in facial and palate morphogenesis. Curr Top Dev Biol. 2022, 148, 13–50. [Google Scholar] [CrossRef]
- Burg ML, Chai Y, Yao CA, et al. Epidemiology, Etiology, and Treatment of Isolated Cleft Palate. Front Physiol. 2016, 7, 67. [Google Scholar] [CrossRef]
- Mai CT, Cassell CH, Meyer RE, et al. Birth defects data from population-based birth defects surveillance programs in the United States, 2007 to 2011, highlighting orofacial clefts. Birth Defects Res A Clin Mol Teratol. 2010, 895-904. [CrossRef]
- Bishop MR, Diaz Perez KK, Sun M, Ho S,, et al. Genome-wide Enrichment of De Novo Coding Mutations in Orofacial Cleft Trios. Am J Hum Genet. 2020, 107, 124–136. [Google Scholar] [CrossRef]
- Tarr JT, Lambi AG, Bradley JP, et al. Development of Normal and Cleft Palate: A Central Role for Connective Tissue Growth Factor (CTGF) / CCN2. J Dev Biol. 2018, 6, 18. [Google Scholar] [CrossRef]
- Iwata J, Parada C, Chai Y. The mechanism of TGF-β signalling during palate development. Oral Dis. 2011, 17, 733–744. [Google Scholar] [CrossRef] [PubMed]
- Taya Y, O'Kane S, Ferguson MW. Pathogenesis of cleft palate in TGF-beta3 knockout mice. Development. 1999, 126, 3869–3879. [Google Scholar] [CrossRef] [PubMed]
- Skuladottir H, Wilcox A, McConnaughey R, et al. First-trimester nonsystemic corticosteroid use and the risk of oral clefts in Norway. Ann Epidemiol. 2014, 24, 635–640. [Google Scholar] [CrossRef] [PubMed]
- Van Aalst JA, Kolappa KK, Sadove M. MOC-PSSM CME article: Nonsyndromic cleft palate. Plast Reconstr Surg. 2008, 121, 1–14. [Google Scholar] [CrossRef] [PubMed]
- Garland MA, Reynolds K, Zhou CJ. Environmental mechanisms of orofacial clefts. Birth Defects Res. 2020, 112, 1660–1698. [Google Scholar] [CrossRef] [PubMed]
- Panisch LS, Murphy HR, Wu Q, et al. Adverse Childhood Experiences Predict Diurnal Cortisol Throughout Gestation. Psychosom Med. 2023, 85, 507–516. [Google Scholar] [CrossRef] [PubMed]
- Weikum ER, Knuesel MT, Ortlund EA, Yamamoto KR. Glucocorticoid receptor control of transcription: precision and plasticity via allostery. Nat Rev Mol Cell Biol. 2017, 18, 159–174. [Google Scholar] [CrossRef]
- Yoneda T, Pratt RM. Vitamin B6 reduces cortisone-induced cleft palate in the mouse. Teratology. 1982, 26, 255–258. [Google Scholar] [CrossRef]
- Hviid A, Molgaard-Nielsen D. Corticosteroid use during pregnancy and risk of orofacial clefts. CMAJ. 2011, 183, 796–804. [Google Scholar] [CrossRef]
- Lan SJ, Yang XG, Chen Z, et al. Role of GATA-6 and Bone Morphogenetic Protein-2 in Dexamethasone-Induced Cleft Palate Formation in Institute of Cancer Research Mice. J Craniofac Surg. 2016, 27, 1600–1605. [Google Scholar] [CrossRef]
- Chugh PK, Lhamo Y. An assessment of vitamin supplements in the Indian market. Indian J Pharm Sci. 2012, 74, 469–473. [Google Scholar] [CrossRef] [PubMed]
- Parra M, Stahl S, Hellmann H. Vitamin B₆ and Its Role in Cell Metabolism and Physiology. Cells. 2018, 7, 84. [Google Scholar] [CrossRef] [PubMed]
- Birch TW, György P, Harris LJ. The vitamin B (2) complex. Differentiation of the antiblack tongue and the "P.-P." factors from lactoflavin and vitamin B (6) (so-called "rat pellagra" factor). Parts I-VI. Biochem J. 1935, 29, 2830–2850. [Google Scholar] [CrossRef] [PubMed]
- Mascolo E, Vernì F. Vitamin B6 and Diabetes: Relationship and Molecular Mechanisms. Int J Mol Sci. 2020, 21, 3669. [Google Scholar] [CrossRef]
- Kennedy, DO. B Vitamins and the Brain: Mechanisms, Dose and Efficacy--A Review. Nutrients. 2016, 8, 68. [Google Scholar] [CrossRef] [PubMed]
- Tully DB, Allgood VE, Cidlowski JA. Modulation of steroid receptor-mediated gene expression by vitamin B6. FASEB J. 1994, 8, 343–349. [Google Scholar] [CrossRef]
- Hanna M, Jaqua E, Nguyen V, Clay J. B Vitamins: Functions and Uses in Medicine. Perm J. 2022, 26, 89–97. [Google Scholar] [CrossRef] [PubMed]
- Shaw G, Carmichael S, Yang W, et al. Periconceptional dietary intake of choline and betaine and neural tube defects in offspring. Am J Epidemiol, 2004, 160, 102–109. [Google Scholar] [CrossRef]
- Kallen, B. Maternal drug use and infant cleft lip/palate with special reference to corticoids. Cleft Palate Craniofac J. 2003, 40, 624–628. [Google Scholar] [CrossRef]
- Pradat P, Robert-Gnansia E, Tanna GL, et al. First trimester exposure to corticosteroids and oral clefts. Birth Defects Res A Clin Mol Teratol. 2003, 67, 968–970. [Google Scholar] [CrossRef] [PubMed]
- Oh C, Keats EC, Bhutta ZA. Vitamin and Mineral Supplementation During Pregnancy on Maternal, Birth, Child Health and Development Outcomes in Low- and Middle-Income Countries: A Systematic Review and Meta-Analysis. Nutrients. 2020, 12, 491. [Google Scholar] [CrossRef] [PubMed]
- Itikala P, Watkins, M, Mulinare J, Moore C, et al. Maternal multivitamin use and orofacial clefts in offspring. Teratology, 2001, 63, 79–86. [Google Scholar] [CrossRef]






| Groups | Number of offsprings | Cleft palate foetuses | Palatine closure with persistence of epithelial seam | Complete palatine closure foetuses |
|---|---|---|---|---|
| Group I | 31 | 1/31 (3.22%) | 0/31 (0%) | 30/31 (96.78%) |
| Group II | 33 | 19/33 (57.58%) | 7/33 (21.21%) | 7/33 (21.21%) |
| Group III | 29 | 8/29 (27.59%) | 8/29 (27.59%) | 13/29 (44.83%) |
| (I) Groups | (J) Groups | Mean Difference (I-J) | Std. Error | Sig. | 95% Confidence Interval | |
|---|---|---|---|---|---|---|
| Lower Bound | Upper Bound | |||||
| 1 | 2 | -.57380* | .10088 | .000 | -.8142 | -.3334 |
| 3 | -.24360 | .10419 | .056 | -.4919 | .0047 | |
| 2 | 1 | .57380* | .10088 | .000 | .3334 | .8142 |
| 3 | .33020* | .10266 | .005 | .0856 | .5748 | |
| 3 | 1 | .24360 | .10419 | .056 | -.0047 | .4919 |
| 2 | -.33020* | .10266 | .005 | -.5748 | -.0856 | |
| (I) Groups | (J) Groups | Mean Difference (I-J) | Std. Error | Sig. | 95% Confidence Interval | |
|---|---|---|---|---|---|---|
| Lower Bound | Upper Bound | |||||
| 1 | 2 | 3.80762* | .39854 | .000 | 2.8579 | 4.7574 |
| 3 | 2.30512* | .41164 | .000 | 1.3241 | 3.2861 | |
| 2 | 1 | -3.80762* | .39854 | .000 | -4.7574 | -2.8579 |
| 3 | -1.50251* | .40556 | .001 | -2.4690 | -.5360 | |
| 3 | 1 | -2.30512* | .41164 | .000 | -3.2861 | -1.3241 |
| 2 | 1.50251* | .40556 | .001 | .5360 | 2.4690 | |
| Groups | Kolmogorov-Smirnova | Shapiro-Wilk | |||||
|---|---|---|---|---|---|---|---|
| Statistic | df | Sig. | Statistic | df | Sig. | ||
| Cleft palate | 1 | .539 | 31 | .000 | .176 | 31 | .000 |
| 2 | .392 | 33 | .000 | .621 | 33 | .000 | |
| 3 | .452 | 29 | .000 | .561 | 29 | .000 | |
| Head circumference | 1 | .107 | 31 | .200* | .914 | 31 | .017 |
| 2 | .172 | 33 | .015 | .914 | 33 | .012 | |
| 3 | .187 | 29 | .011 | .921 | 29 | .033 | |
| Sum of Squares | df | Mean Square | F | Sig. | |
|---|---|---|---|---|---|
| Cleft palate frequency | |||||
| Between Groups | 5.317 | 2 | 2.659 | 16.345 | .000 |
| Within Groups | 14.640 | 90 | .163 | ||
| Total | 19.957 | 92 | |||
| Head circumference | |||||
| Between Groups | 234.073 | 2 | 117.037 | 46.098 | .000 |
| Within Groups | 228.496 | 90 | 2.539 | ||
| Total | 462.569 | 92 | |||
Disclaimer/Publisher’s Note: The statements, opinions and data contained in all publications are solely those of the individual author(s) and contributor(s) and not of MDPI and/or the editor(s). MDPI and/or the editor(s) disclaim responsibility for any injury to people or property resulting from any ideas, methods, instructions or products referred to in the content. |
© 2024 by the authors. Licensee MDPI, Basel, Switzerland. This article is an open access article distributed under the terms and conditions of the Creative Commons Attribution (CC BY) license (http://creativecommons.org/licenses/by/4.0/).